Subscapularis Partial Thickness Tears by Yoo and Rhee Classification: Identifying MRI Predictors for Type IIB, Requiring Surgical Repair
Abstract
1. Introduction
2. Materials and Methods
2.1. Patient Population
2.2. MRI Protocol
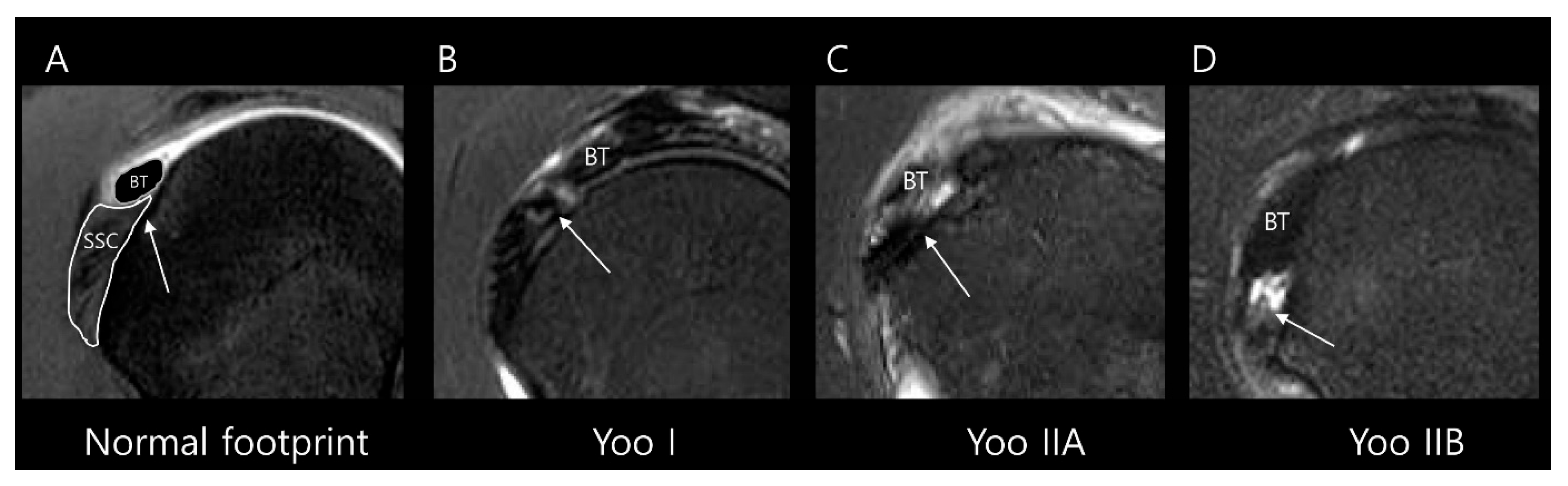
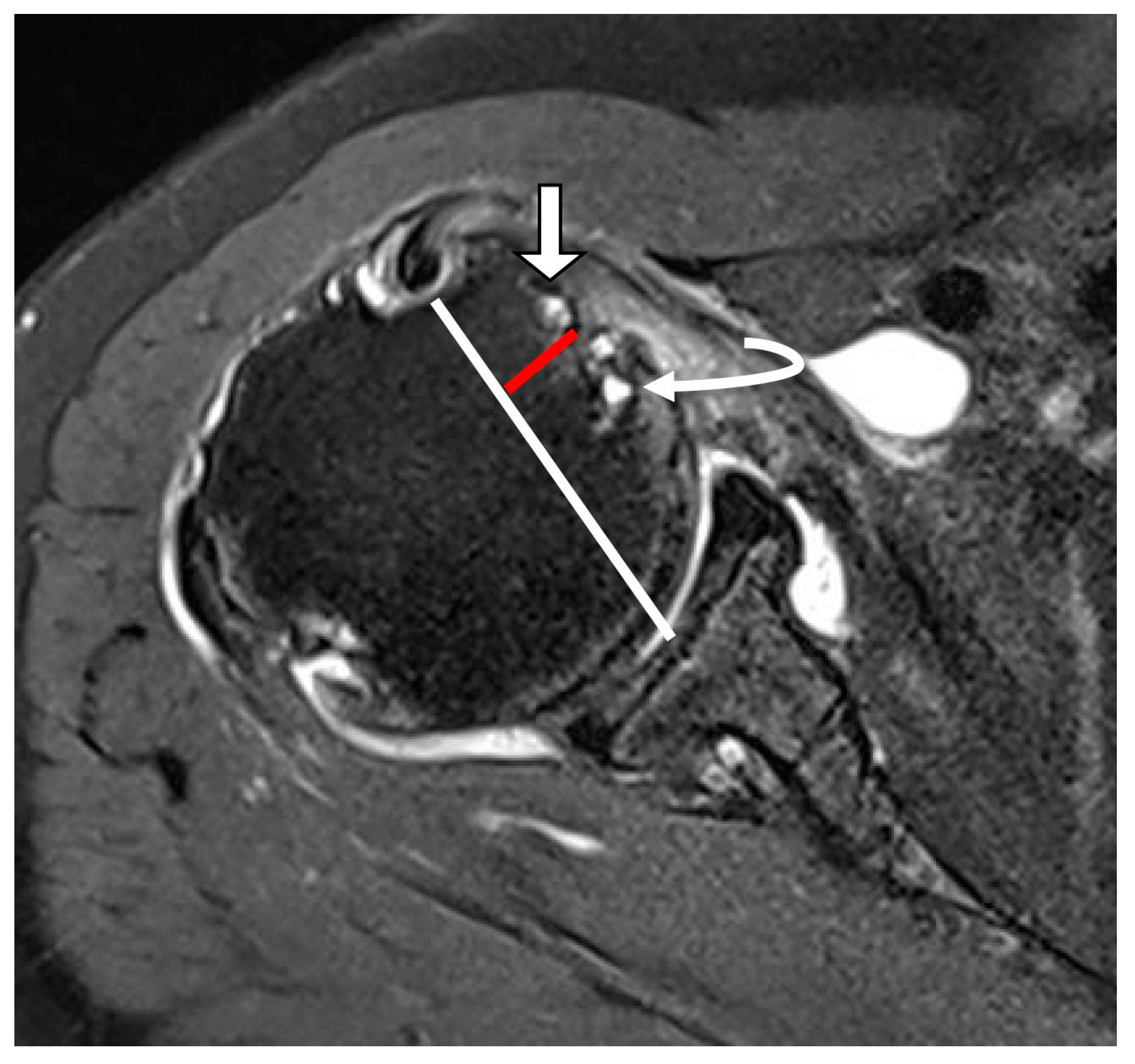
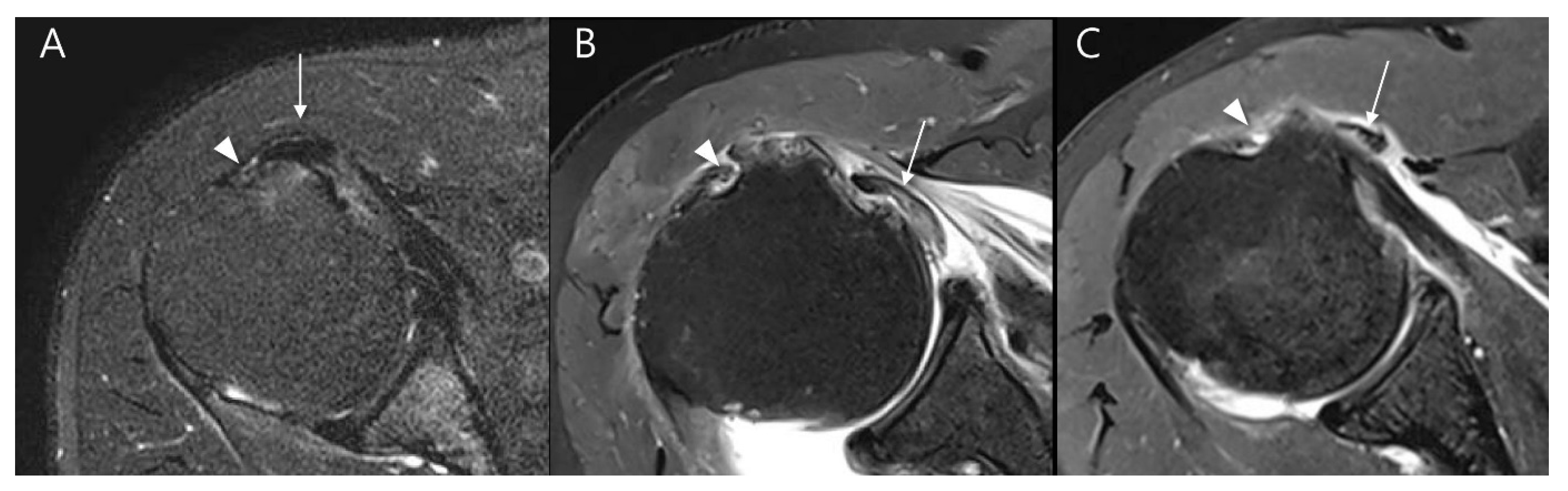
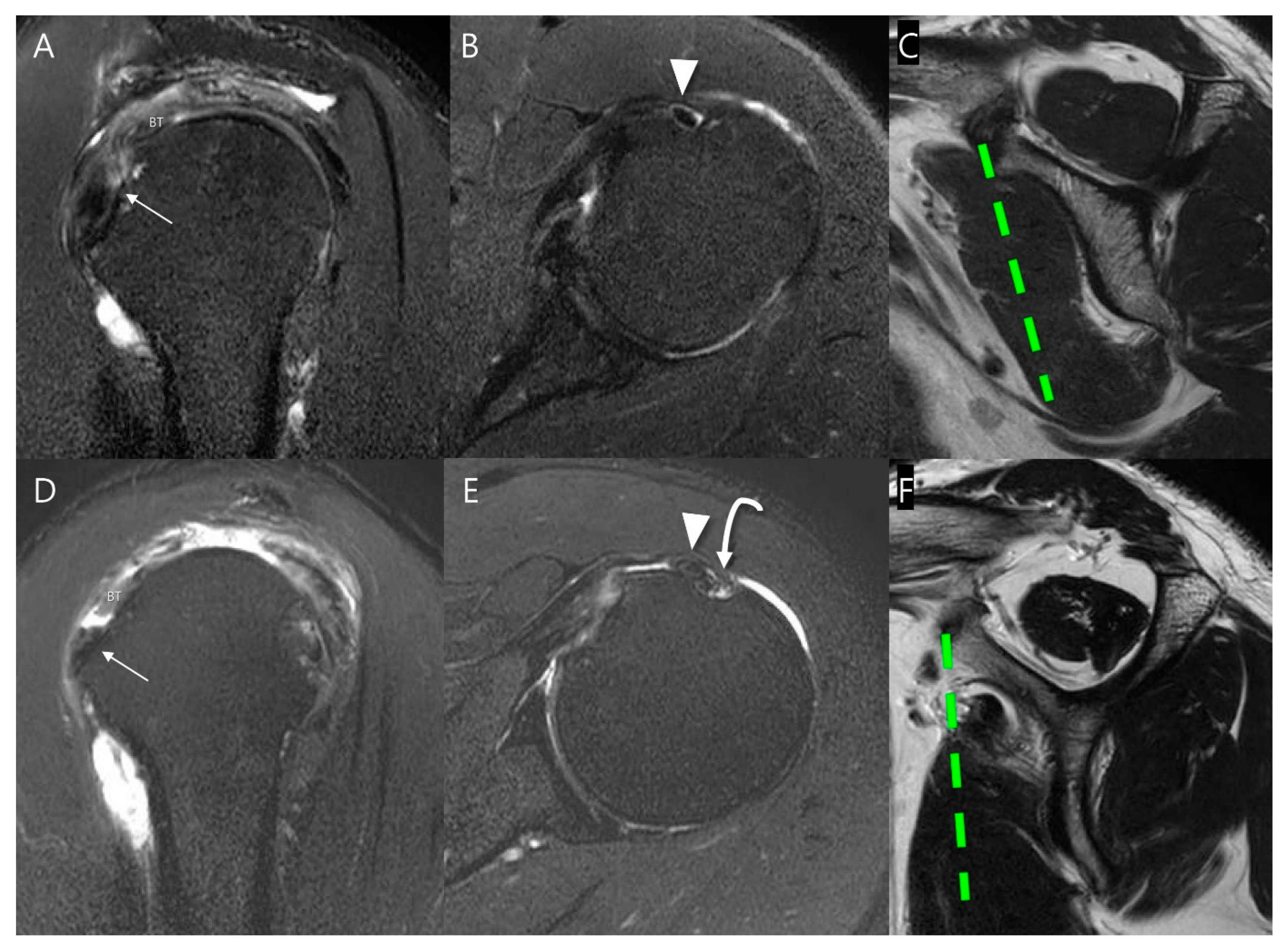
2.3. MRI Analysis
2.4. Statistical Analyses
3. Results
3.1. Patient Demographics
3.2. MRI Findings
3.3. Predictive MRI Factors for Yoo Type IIB
3.4. Flowchart of MRI Predictors for Yoo Subclassification
4. Discussion
5. Conclusions
Author Contributions
Funding
Institutional Review Board Statement
Informed Consent Statement
Data Availability Statement
Conflicts of Interest
References
- Adams, C.R.; Schoolfield, J.D.; Burkhart, S.S. The results of arthroscopic subscapularis tendon repairs. Arthroscopy 2008, 24, 1381–1389. [Google Scholar] [CrossRef]
- Burkhart, S.S.; Tehrany, A.M. Arthroscopic subscapularis tendon repair: Technique and preliminary results. Arthroscopy 2002, 18, 454–463. [Google Scholar] [CrossRef]
- Lee, J.; Shukla, D.R.; Sánchez-Sotelo, J. Subscapularis tears: Hidden and forgotten no more. JSES Open Access 2018, 2, 74–83. [Google Scholar] [CrossRef]
- Pfirrmann, C.W.; Zanetti, M.; Weishaupt, D.; Gerber, C.; Hodler, J. Subscapularis tendon tears: Detection and grading at MR arthrography. Radiology 1999, 213, 709–714. [Google Scholar] [CrossRef]
- Lafosse, L.; Jost, B.; Reiland, Y.; Audebert, S.; Toussaint, B.; Gobezie, R. Structural integrity and clinical outcomes after arthroscopic repair of isolated subscapularis tears. J. Bone Jt. Surg. Am. 2007, 89, 1184–1193. [Google Scholar] [CrossRef]
- Garg, A.K.; Meena, A.; Farinelli, L.; D’Ambrosi, R.; Tapasvi, S.; Braun, S. Partial subscapularis tear: State-of-the-art. J. ISAKOS 2024, 9, 100290. [Google Scholar] [CrossRef] [PubMed]
- Ghasemi, S.A.; McCahon, J.A.S.; Yoo, J.C.; Toussaint, B.; McFarland, E.G.; Bartolozzi, A.R.; Raphael, J.S.; Kelly, J.D. Subscapularis tear classification implications regarding treatment and outcomes: Consensus decision-making. JSES Rev. Rep. Tech. 2023, 3, 201–208. [Google Scholar] [CrossRef] [PubMed]
- Yoo, J.C.; Rhee, Y.G.; Shin, S.J.; Park, Y.B.; McGarry, M.H.; Jun, B.J.; Lee, T.Q. Subscapularis tendon tear classification based on 3-dimensional anatomic footprint: A cadaveric and prospective clinical observational study. Arthroscopy 2015, 31, 19–28. [Google Scholar] [CrossRef]
- Ahn, T.R.; Yoon, Y.C.; Yoo, J.C.; Kim, H.S.; Lee, J.H. Diagnostic performance of conventional magnetic resonance imaging for detection and grading of subscapularis tendon tear according to Yoo and Rhee classification system in patients underwent arthroscopic rotator cuff surgery. Skelet. Radiol. 2022, 51, 659–668. [Google Scholar] [CrossRef]
- Kim, H.G.; Kim, S.C.; Park, J.H.; Kim, J.S.; Kim, B.T.; Kim, D.Y.; Lee, S.M.; Yoo, J.C. Diagnostic Performance of Belly-Press Angle in Predicting the Severity of Subscapularis Tear. Am. J. Sports Med. 2023, 51, 3226–3234. [Google Scholar] [CrossRef]
- Ryu, H.Y.; Song, S.Y.; Yoo, J.C.; Yun, J.Y.; Yoon, Y.C. Accuracy of sagittal oblique view in preoperative indirect magnetic resonance arthrography for diagnosis of tears involving the upper third of the subscapularis tendon. J. Shoulder Elb. Surg. 2016, 25, 1944–1953. [Google Scholar] [CrossRef] [PubMed]
- Warner, J.J.P.; Higgins, L.; Parsons, I.M., IV; Dowdy, P. Diagnosis and treatment of anterosuperior rotator cuff tears. J. Shoulder Elb. Surg. 2001, 10, 37–46. [Google Scholar] [CrossRef] [PubMed]
- Seppel, G.; Voss, A.; Henderson, D.J.H.; Waldt, S.; Haller, B.; Forkel, P.; Reuter, S.; Holzapfel, B.M.; Plath, J.E.; Imhoff, A.B. Atrophy patterns in isolated subscapularis lesions. BMC Musculoskelet. Disord. 2021, 22, 378. [Google Scholar] [CrossRef]
- Yoon, T.H.; Kim, S.J.; Choi, Y.R.; Oh, J.H.; Chun, Y.M. Comparison of the Goutallier Classification of Fatty Infiltration for the Subscapularis With a Novel Modified Classification. Orthop. J. Sports Med. 2023, 11, 23259671231174428. [Google Scholar] [CrossRef]
- Studler, U.; Pfirrmann, C.W.; Jost, B.; Rousson, V.; Hodler, J.; Zanetti, M. Abnormalities of the lesser tuberosity on radiography and MRI: Association with subscapularis tendon lesions. AJR Am. J. Roentgenol. 2008, 191, 100–106. [Google Scholar] [CrossRef]
- Wissman, R.D.; Ingalls, J.; Hendry, D.; Gorman, D.; Kenter, K. Cysts within and adjacent to the lesser tuberosity: Correlation with shoulder arthroscopy. Skelet. Radiol. 2012, 41, 1105–1110. [Google Scholar] [CrossRef]
- Gaskin, C.M.; Anderson, M.W.; Choudhri, A.; Diduch, D.R. Focal partial tears of the long head of the biceps brachii tendon at the entrance to the bicipital groove: MR imaging findings, surgical correlation, and clinical significance. Skelet. Radiol. 2009, 38, 959–965. [Google Scholar] [CrossRef]
- Zanetti, M.; Weishaupt, D.; Gerber, C.; Hodler, J. Tendinopathy and rupture of the tendon of the long head of the biceps brachii muscle: Evaluation with MR arthrography. AJR Am. J. Roentgenol. 1998, 170, 1557–1561. [Google Scholar] [CrossRef]
- Walch, G.; Nové-Josserand, L.; Boileau, P.; Levigne, C. Subluxations and dislocations of the tendon of the long head of the biceps. J. Shoulder Elb. Surg. 1998, 7, 100–108. [Google Scholar] [CrossRef]
- Longo, U.G.; Berton, A.; Marinozzi, A.; Maffulli, N.; Denaro, V. Subscapularis tears. Med. Sport. Sci. 2012, 57, 114–121. [Google Scholar] [CrossRef]
- Saremi, H.; Seifrabiei, M. Subscapularis tendon tear classification and diagnosis: A systemic review and meta-analysis. Front. Surg. 2023, 10, 916694. [Google Scholar] [CrossRef] [PubMed]
- Martetschläger, F.; Zampeli, F.; Tauber, M.; Habermeyer, P.; Leibe, M. A classification for partial subscapularis tendon tears. Knee Surg. Sports Traumatol. Arthrosc. 2021, 29, 275–283. [Google Scholar] [CrossRef] [PubMed]
- Fandridis, E.; Malahias, M.A.; Plagou, A.; Orgiani, A.; Flaviis, L.; Castagna, A. The grade of preoperative subscapularis muscle atrophy as a prognostic factor for postoperative retears: A double-center retrospective series. Orthop. Rev. 2019, 11, 7909. [Google Scholar] [CrossRef] [PubMed]
- Hassebrock, J.D.; Sylvia, S.M.; McCarthy, T.P.; Bravman, J.T. Arthroscopic Subscapularis Repair With Preserved Biceps Anatomy. Arthrosc. Tech. 2023, 12, e1091–e1095. [Google Scholar] [CrossRef]
- Lee, J.H.; Rhyou, I.H.; Ahn, K.B. Prediction of the anterior shoulder pain source by detecting indirect signs for partial articular subscapularis tendon tears through conventional magnetic resonance imaging. Knee Surg. Sports Traumatol. Arthrosc. 2021, 29, 2297–2304. [Google Scholar] [CrossRef]
- Xu, W.; Wang, F.; Xue, Q. Identifying key factors associated with subscapularis tendon tears and developing a risk prediction model to assist diagnosis. BMC Musculoskelet. Disord. 2022, 23, 393. [Google Scholar] [CrossRef]
- Wu, H.T.; Liu, Q.; Lin, J.H. Fatty infiltration predicts retear and functional impairment following rotator cuff repair: Systematic review and meta-analysis. J. Orthop. Surg. Res. 2025, 20, 303. [Google Scholar] [CrossRef]
- Matsuki, K.; Sugaya, H.; Takahashi, N.; Tokai, M.; Hoshika, S.; Ueda, Y. Fatty Degeneration of the Rotator Cuff Muscles Improves in Shoulders with Successful Arthroscopic Rotator Cuff Repair: A Prospective Study Using Quantitative T2 Mapping Techniques, with 2-Year Follow-up. JB JS Open Access 2024, 9, e23.00083. [Google Scholar] [CrossRef]
- Maier, D.; Jaeger, M.; Suedkamp, N.P.; Koestler, W. Stabilization of the long head of the biceps tendon in the context of early repair of traumatic subscapularis tendon tears. J. Bone Jt. Surg. Am. 2007, 89, 1763–1769. [Google Scholar] [CrossRef]
- Plath, J.E.; Henderson, D.J.H.; Coquay, J.; Dück, K.; Lafosse, L. Arthroscopic Repair of Subscapularis Tendon Tears. JBJS Essent. Surg. Tech. 2017, 7, e13. [Google Scholar] [CrossRef]









| Type I | Fraying or longitudinal split of the leading edge tendon |
| Type II | Partial detachment in the first facet (Lafosse type 1) |
| IIA | ≤50% detachment of SSC in the first facet |
| IIB | >50% detachment of SSC in the first facet without complete disruption of the lateral band |
| Type III | Complete first facet detachment with disruption of the lateral band (full thickness superior 1/3 of SSC tear, Lafosse type 2) |
| Type IV | First and second facets exposed with medial retraction of the subscapularis (equal to upper 2/3 of SSC tear, Lafosse type 3) |
| Type V | Complete SSC tear involving the muscular portion |
| Modified Goutallier Classification [14] | |
|---|---|
| Grade 0 | No fat |
| Grade 1 | Some fatty streaks |
| Grade 2 | Less fat than muscle in the upper half |
| Grade 3 | More fat than muscle in the upper half, with no fat or fatty streaks in the lower half |
| Grade 4 | More fat than muscle in the upper half, with less fat than muscle in the lower half |
| Grade 5 | More fat than muscle in both upper and lower halves |
| Control Group (Yoo Type I + IIA, n = 111) | Study Group (Yoo Type IIB, n = 32) | p Value | |
|---|---|---|---|
| Age (years), median [range] | 63 [32–82] | 66 [50–85] | 0.025 |
| Sex | 0.634 | ||
| Male (%) | 48 (43.2) | 16 (50.0) | |
| Female (%) | 63 (56.8) | 16 (50.0) |
| Control Group (Yoo Type I + IIA, n = 111) | Study Group (Yoo Type IIB, n = 32) | p Value | Interobserver Agreement (p Value) | |
|---|---|---|---|---|
| Subscapularis muscle atrophy | <0.001 | κ = 1.000 (p < 0.001) | ||
| None to mild degrees (%) | 110 (99.1) | 21 (65.6) | ||
| Moderate to severe degrees (%) | 1 (0.9) | 11 (34.4) | ||
| Subscapularis muscle fatty infiltration | <0.001 | κ = 0.818 (p < 0.001) | ||
| None to some fatty streaks (grade 0 and 1, %) | 109 (98.2) | 25 (78.1) | ||
| Less or more than 50% of fat than muscle (grade 2 and 3, %) | 2 (1.8) | 7 (21.9) | ||
| Lesser tuberosity cyst (%) | 28 (25.2) | 15 (46.9) | 0.033 | κ = 1.000 (p < 0.001) |
| Long head biceps tendon pathologies | ||||
| Full thickness tear (%) | 4 (3.6) | 5 (15.6) | 0.040 | κ = 1.000 (p < 0.001) |
| Partial thickness tear (%) | 47 (43.9) | 25 (92.6) | <0.001 | κ = 0.981 (p < 0.001) |
| Tendinosis (%) | 76 (71.0) | 27 (100.0) | 0.003 | κ = 0.899 (p < 0.001) |
| Subluxation or dislocation (%) | 13 (12.1%) | 22 (81.5%) | <0.001 | κ = 0.853 (p < 0.001) |
| Univariate | Multivariate | |||||
|---|---|---|---|---|---|---|
| Odds Ratio | 95% CI | p Value | Odds Ratio | 95% CI | p Value | |
| Age | 1.060 | 1.010–1.113 | 0.019 | - | - | - |
| Sex | 0.762 | 0.346–1.676 | 0.499 | - | - | - |
| Subscapularis muscle atrophy | 57.619 | 7.058–470.362 | <0.001 | 33.830 | 2.505–456.914 | 0.008 |
| Subscapularis muscle fatty infiltration | 15.260 | 2.989–77.921 | 0.001 | - | - | - |
| Lesser tuberosity cyst | 2.616 | 1.157–5.914 | 0.021 | - | - | - |
| LHBT full thickness tear | 4.954 | 1.245–19.708 | 0.023 | - | - | - |
| LHBT partial thickness tear | 15.957 | 3.596–70.806 | <0.001 | - | - | - |
| LHBT tendinosis | 11.093 | 1.443–85.291 | 0.021 | - | - | - |
| LHBT subluxation | 31.815 | 10.267–98.593 | <0.001 | 22.836 | 3.993–130.605 | <0.001 |
Disclaimer/Publisher’s Note: The statements, opinions and data contained in all publications are solely those of the individual author(s) and contributor(s) and not of MDPI and/or the editor(s). MDPI and/or the editor(s) disclaim responsibility for any injury to people or property resulting from any ideas, methods, instructions or products referred to in the content. |
© 2025 by the authors. Licensee MDPI, Basel, Switzerland. This article is an open access article distributed under the terms and conditions of the Creative Commons Attribution (CC BY) license (https://creativecommons.org/licenses/by/4.0/).
Share and Cite
Lee, Y.; Lee, S.K.; Kim, J.-Y. Subscapularis Partial Thickness Tears by Yoo and Rhee Classification: Identifying MRI Predictors for Type IIB, Requiring Surgical Repair. Diagnostics 2025, 15, 2670. https://doi.org/10.3390/diagnostics15212670
Lee Y, Lee SK, Kim J-Y. Subscapularis Partial Thickness Tears by Yoo and Rhee Classification: Identifying MRI Predictors for Type IIB, Requiring Surgical Repair. Diagnostics. 2025; 15(21):2670. https://doi.org/10.3390/diagnostics15212670
Chicago/Turabian StyleLee, Yoonsang, Seul Ki Lee, and Jee-Young Kim. 2025. "Subscapularis Partial Thickness Tears by Yoo and Rhee Classification: Identifying MRI Predictors for Type IIB, Requiring Surgical Repair" Diagnostics 15, no. 21: 2670. https://doi.org/10.3390/diagnostics15212670
APA StyleLee, Y., Lee, S. K., & Kim, J.-Y. (2025). Subscapularis Partial Thickness Tears by Yoo and Rhee Classification: Identifying MRI Predictors for Type IIB, Requiring Surgical Repair. Diagnostics, 15(21), 2670. https://doi.org/10.3390/diagnostics15212670

