Next-Generation Sequencing for Diagnosis of Fatal Balamuthia Amoebic Encephalitis: A Case Report
Abstract
1. Introduction
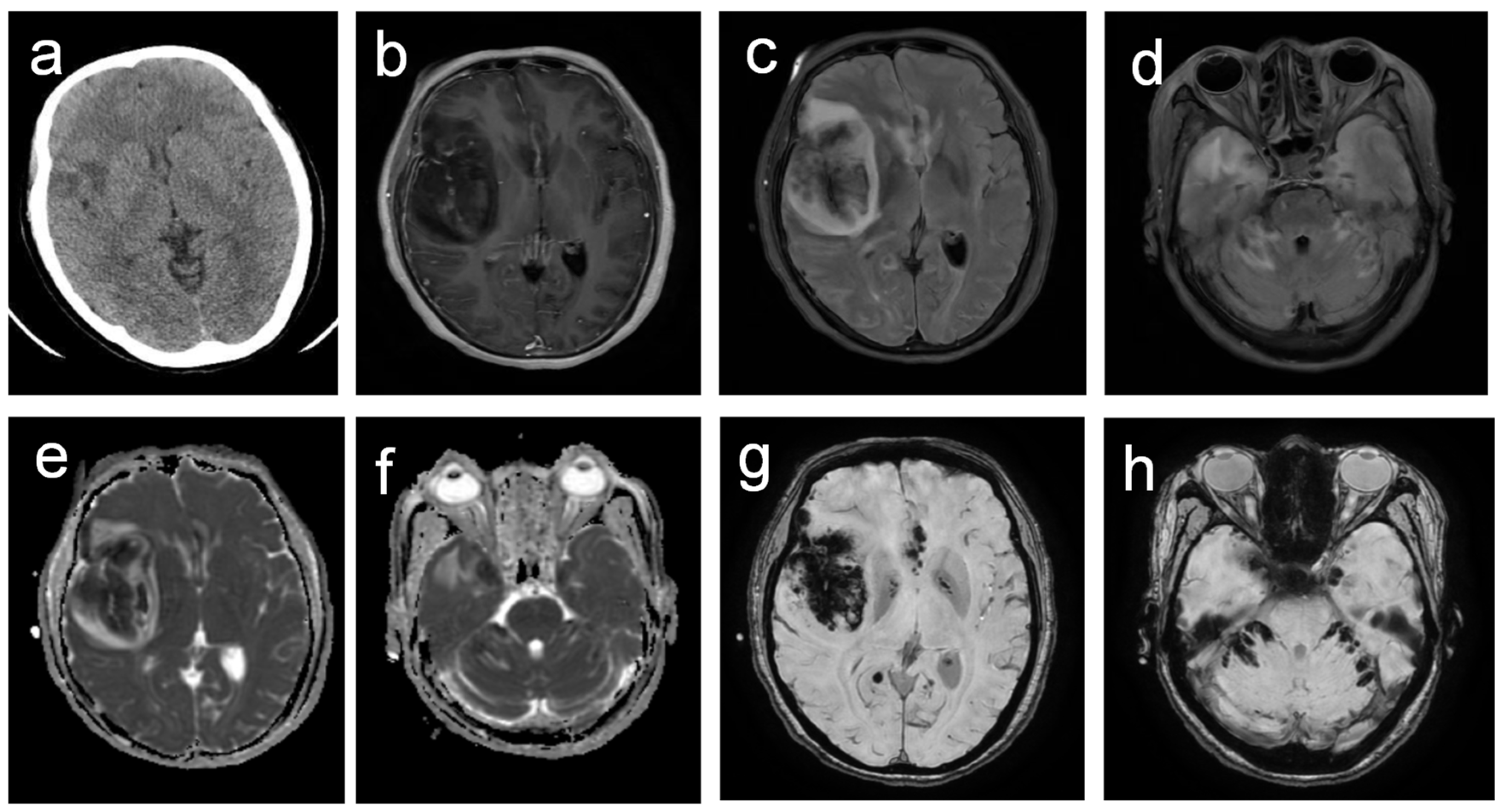
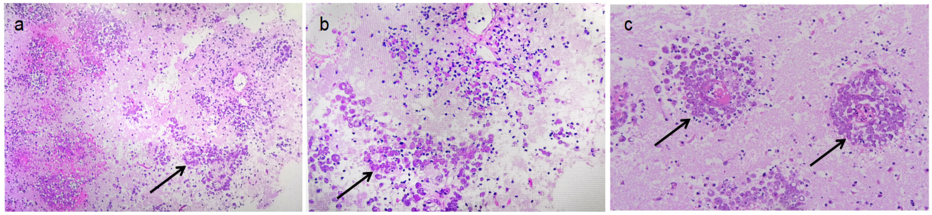
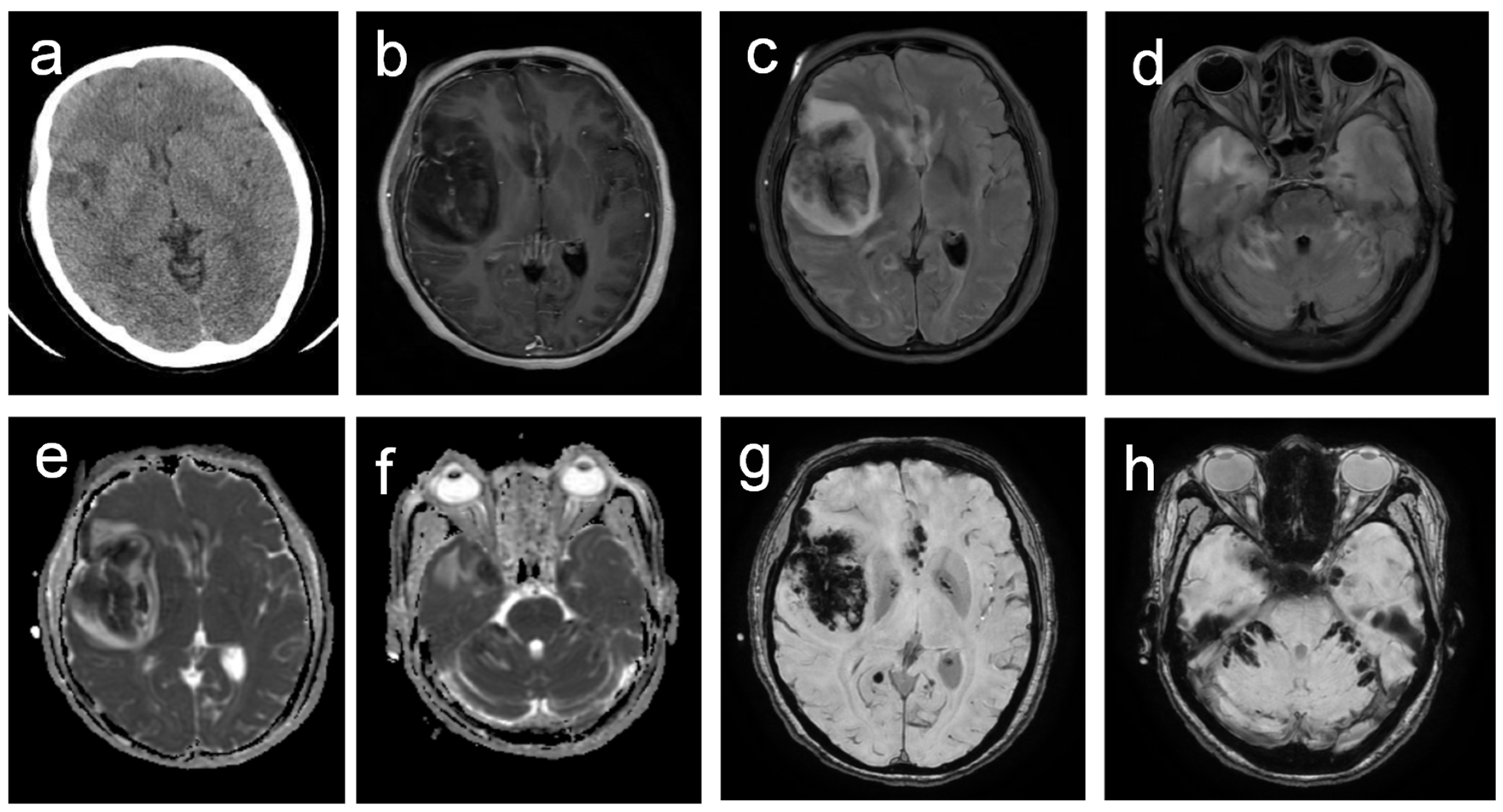
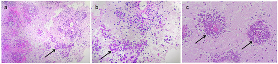
2. Case Presentation
3. Discussion
4. Conclusions
Author Contributions
Funding
Institutional Review Board Statement
Informed Consent Statement
Data Availability Statement
Conflicts of Interest
References
- Bhosale, N.K.; Parija, S.C. Balamuthia mandrillaris: An opportunistic, free-living ameba—An updated review. Trop. Parasitol. 2021, 11, 78–88. [Google Scholar] [CrossRef]
- Lares-Jiménez, L.F.; Borquez-Román, M.A.; Alfaro-Sifuentes, R.; Meza-Montenegro, M.M.; Casillas-Hernández, R.; Lares-Villa, F. Detection of serum antibodies in children and adolescents against Balamuthia mandrillaris, Naegleria fowleri and Acanthamoeba T4. Exp. Parasitol. 2018, 189, 28–33. [Google Scholar] [CrossRef]
- Cope, J.R.; Landa, J.; Nethercut, H.; A Collier, S.; Glaser, C.; Moser, M.; Puttagunta, R.; Yoder, J.S.; Ali, I.K.; Roy, S.L. The Epidemiology and Clinical Features of Balamuthia mandrillaris Disease in the United States, 1974–2016. Clin. Infect. Dis. 2019, 68, 1815–1822. [Google Scholar] [CrossRef] [PubMed]
- Latifi, A.R.; Niyyati, M.; Lorenzo-Morales, J.; Haghighi, A.; Tabaei, S.J.S.; Lasjerdi, Z. Presence of Balamuthia mandrillaris in hot springs from Mazandaran province, northern Iran. Epidemi. Infect. 2016, 144, 2456–2461. [Google Scholar] [CrossRef] [PubMed]
- Natalya, B.; Smirnov, A.; Elena, A.; Anna, G.; Maria, F.D.A. Mitochondrial genomes of Amoebozoa. Protistology 2019, 13, 179–191. [Google Scholar] [CrossRef]
- Greninger, A.L.; Messacar, K.; Dunnebacke, T.; Naccache, S.N.; Federman, S.; Bouquet, J.; Mirsky, D.; Nomura, Y.; Yagi, S.; Glaser, C.; et al. Clinical metagenomic identification of Balamuthia mandrillaris encephalitis and assembly of the draft genome: The continuing case for reference genome sequencing. Genome Med. 2015, 7, 113. [Google Scholar] [CrossRef]
- Niyyati, M.; Karamati, S.A.; Lorenzo Morales, J.; Lasjerdi, Z. Isolation of Balamuthia mandrillaris from soil samples in North-Western Iran. Parasitol. Res. 2016, 115, 541–545. [Google Scholar] [CrossRef] [PubMed]
- Javanmard, E.; Niyyati, M.; Lorenzo-Morales, J.; Lasjerdi, Z.; Behniafar, H.; Mirjalali, H. Molecular identification of waterborne free living amoebae (Acanthamoeba, Naegleria and Vermamoeba) isolated from municipal drinking water and environmental sources, Semnan province, north half of Iran. Exp. Parasitol. 2017, 183, 240–244. [Google Scholar] [CrossRef] [PubMed]
- Mittal, S.O.; Alsinaidi, O. Teaching Neuro Images: Balamuthia mandrillaris amebic encephalitis: Clinical-radiologic-pathologic correlation. Neurology 2017, 88, e183. [Google Scholar] [CrossRef] [PubMed]
- Zhang, H.; Cheng, X. Various brain-eating amoebae: The protozoa, the pathogenesis, and the disease. Front. Med. 2021, 15, 842–866. [Google Scholar] [CrossRef] [PubMed]
- Yamanouchi, K.; Arima, H.; Sakamoto, Y.; Kanto, K.; Kasai, K.; Ito, K.; Inaba, T. First report of the isolation of Balamuthia mandrillaris in the northern region of Japan. Parasitol. Res. 2018, 117, 2895–2900. [Google Scholar] [CrossRef]
- Takei, K.; Toyoshima, M.; Nakamura, M.; Sato, M.; Shimizu, H.; Inoue, C.; Shimizu, Y.; Yagita, K. An Acute Case of Granulomatous Amoebic Encephalitis-Balamuthia mandrillaris Infection. Intern. Med. 2018, 57, 1313–1316. [Google Scholar] [CrossRef]
- Chen, X.T.; Zhang, Q.; Wen, S.Y.; Chen, F.-F.; Zhou, C.-Q. Pathogenic free-living amoebic encephalitis from 48 cases in China: A systematic review. Front. Neurol. 2023, 14, 1100785. [Google Scholar] [CrossRef]
- Safavi, M.; Mehrtash, V.; Habibi, Z.; Mohammadpour, M.; Ashtiani, M.T.H.; Anvari, M.S.; Zaresharifi, N.; Shafizadeh, M.; Jafarzadeh, B. Case Report: Encephalitis Caused by Balamuthia mandrillaris in a 3-Year-Old Iranian Girl. Am. J. Trop. Med. Hyg. 2021, 104, 1836–1840. [Google Scholar] [CrossRef]
- Farnon, E.C.; Kokko, K.E.; Budge, P.J.; Mbaeyi, C.; Lutterloh, E.C.; Qvarnstrom, Y.; da Silva, A.J.; Shieh, W.-J.; Roy, S.L.; Paddock, C.D.; et al. Transmission of Balamuthia mandrillaris by Organ Transplantation. Clin. Infect. Dis. 2016, 63, 878–888. [Google Scholar] [CrossRef] [PubMed]
- Itoh, K.; Yagita, K.; Nozaki, T.; Katano, H.; Hasegawa, H.; Matsuo, K.; Hosokawa, Y.; Tando, S.; Fushiki, S. An autopsy case of Balamuthia mandrillaris amoebic encephalitis, a rare emerging infectious disease, with a brief review of the cases reported in Japan. Neuropathology 2015, 35, 64–69. [Google Scholar] [CrossRef]
- Nampoothiri, R.V.; Malhotra, P.; Jain, A.; Batra, N.; Gupta, K.; Saj, F.; Khurana, S.; Mahalingam, H.; Lal, A.; Mukherjee, K.; et al. An Unusual Cause of Central Nervous System Infection During Acute Myeloid Leukemia Induction Chemotherapy: Acanthamoeba Brain Abscess. Indian J. Hematol. Blood Transfus. 2018, 34, 153–155. [Google Scholar] [CrossRef] [PubMed]
- Wu, X.; Yan, G.; Han, S.; Ye, Y.; Cheng, X.; Gong, H.; Yu, H. Diagnosing Balamuthia mandrillaris encephalitis via next-generation sequencing in a 13-year-old girl. Emerg. Microbes Infect. 2020, 9, 1379–1387. [Google Scholar] [CrossRef] [PubMed]
- Yao, S.; Chen, X.; Qian, L.; Sun, S.; Zhao, C.; Bai, Z.; Chen, Z.; Wu, Y. Diagnosing Balamuthia mandrillaris amebic meningoencephalitis in a 64-year-old woman from the Southwest of China. Parasites Hosts Dis. 2023, 61, 183–193. [Google Scholar] [CrossRef] [PubMed]
- Matin, A.; Nawaz, S.; Jung, S.Y. Report: Effect of macrophage alone or primed with cytokines on Balamuthia mandrillaris interactions with human brain microvascular endothelial cells in vitro. Pak. J. Pharm. Sci. 2018, 31, 2553–2559. [Google Scholar] [PubMed]
- Shehab, K.W.; Aboul-Nasr, K.; Elliott, S.P. Balamuthia mandrillaris Granulomatous Amebic Encephalitis with Renal Dissemination in a Previously Healthy Child: Case Report and Review of the Pediatric Literature. J. Pediatr. Infect. Dis. Soc. 2018, 7, e163–e168. [Google Scholar] [CrossRef]
- Chen, X.; Qian, L.; Sun, S.; Wu, Y. Research progress in Balamuthia mandrillaris amoebic encephalitis. Chin. J. Zoonoses 2022, 38, 331–340. [Google Scholar] [CrossRef]
- Khurana, S.; Hallur, V.; Goyal, M.K.; Sehgal, R.; Radotra, B. Emergence of Balamuthia mandrillaris meningoencephalitis in India. Indian J. Med. Microbiol. 2015, 33, 298–300. [Google Scholar] [CrossRef] [PubMed]
- Bhatt, H.; Zilani, G.; Hayhurst, C. Orbitocerebral mucormycosis and intracranial haemorrhage: A role for caution with steroids in suspected giant cell arteritis. BMJ Case Rep. 2018, 2018, bcr-2017. [Google Scholar] [CrossRef] [PubMed]
- Gaston, D.C.; Miller, H.B.; Fissel, J.A.; Jacobs, E.; Gough, E.; Wu, J.; Klein, E.Y.; Carroll, K.C.; Simner, P.J. Evaluation of Metagenomic and Targeted Next-Generation Sequencing Workflows for Detection of Respiratory Pathogens from Bronchoalveolar Lavage Fluid Specimens. J. Clin. Microbiol. 2022, 60, e0052622. [Google Scholar] [CrossRef] [PubMed]
- Laurie, M.T.; White, C.V.; Retallack, H.; Wu, W.; Moser, M.S.; Sakanari, J.A.; Ang, K.; Wilson, C.; Arkin, M.R.; DeRisi, J.L. Functional Assessment of 2177 U.S. and International Drugs Identifies the Quinoline Nitroxoline as a Potent Amoebicidal Agent against the Pathogen Balamuthia mandrillaris. mBio 2018, 9, e02051-18. [Google Scholar] [CrossRef]
- Moriarty, P.; Burke, C.; McCrossin, D.; Campbell, R.; Cherian, S.; Shahab, M.S.; Visvesvara, G.S.; Nourse, C. Balamuthia mandrillaris Encephalitis: Survival of a Child with Severe Meningoencephalitis and Review of the Literature. J. Pediatr. Infect. Dis. Soc. 2014, 3, e4–e9. [Google Scholar] [CrossRef]
- Spottiswoode, N.; Pet, D.; Kim, A.; Gruenberg, K.; Shah, M.; Ramachandran, A.; Laurie, M.T.; Zia, M.; Fouassier, C.; Boutros, C.L.; et al. Successful Treatment of Balamuthia mandrillaris Granulomatous Amebic Encephalitis with Nitroxoline. Emerg. Infect. Dis. 2023, 29, 197–201. [Google Scholar] [CrossRef]
- Julia, C.H.; Jennifer, R.C. Amebic encephalitis and meningoencephalitis: An update on epidemiology, diagnostic methods, and treatment. Curr. Opin. Infect. Dis. 2023, 36, 186–191. [Google Scholar] [CrossRef] [PubMed]
- Li, J.; Xiong, M.; Nadavaluru, P.R.; Zuo, W.; Ye, J.H.M.; Eloy, J.D.; Bekker, A. Dexmedetomidine Attenuates Neurotoxicity Induced by Prenatal Propofol Exposure. J. Neurosurg. Anesthesiol. 2016, 28, 51–64. [Google Scholar] [CrossRef] [PubMed]
- Taravaud, A.; Fechtali-Moute, Z.; Loiseau, P.M.; Pomel, S. Drugs used for the treatment of cerebral and disseminated infections caused by free-living amoebae. Clin. Transl. Sci. 2021, 14, 791–805. [Google Scholar] [CrossRef] [PubMed]
- Phan, I.Q.; Rice, C.A.; Craig, J.; Noorai, R.E.; McDonald, J.R.; Subramanian, S.; Tillery, L.; Barrett, L.K.; Shankar, V.; Morris, J.C.; et al. The transcriptome of Balamuthia mandrillaris trophozoites for structure-guided drug design. Sci. Rep. 2021, 11, 21664. [Google Scholar] [CrossRef] [PubMed]
- Yi, Z.; Zhong, J.; Wu, H.; Li, X.; Chen, Y.; Chen, H.; Yang, Y.; Yu, X. Balamuthia mandrillaris encephalitis in a child: Case report and literature review. Diagn. Microbiol. Infect. Dis. 2021, 100, 115180. [Google Scholar] [CrossRef] [PubMed]




| Laboratory Examination | Items | 25 February | 26 February | 27 February | Range |
|---|---|---|---|---|---|
| Complete blood count | White blood cell (×109/L) | 9.83 | 11.87 ↑ | 9.26 | 4.00–10.00 |
| Neutrophil,% | 0.825 ↑ | 0.920 ↑ | 0.899 ↑ | 0.460–0.750 | |
| CRP (mg/L) | 4.81 | 30.96 ↑ | 47.57 ↑ | 0.00–10.00 | |
| Biochemistry | PCT (ng/L) | 0.18 ↑ | 0.37 ↑ | 0.34 ↑ | 0.00–0.05 |
| Sodium (mmol/L) | 130 ↓ | 151 ↑ | 170 ↑ | 135–145 | |
| Potassium (mmol/L) | 2.74 ↓ | 2.68 ↓ | 2.99 ↓ | 3.5–5.3 | |
| Chloridion (mmol/L) | 97 | 118 ↑ | 136 ↑ | 96–110 | |
| Blood glucose (mmol/L) | 8.0↑ | 18.2 ↑ | 17.3 ↑ | 2.9–6.0 | |
| Serum osmolality (mOsm/L) | 274.0 ↓ | 325.1 ↑ | 359.9 ↑ | 275–295 | |
| CSF biochemistry | Glucose (mmol/L) | - | - | 4.2 ↑ | 2.3–3.9 |
| Chloride (mmol/L) | - | - | 144 ↑ | 119–129 | |
| Protein (mg/L) | - | - | 12,114.5 ↑ | 120.0–600.0 | |
| CSF microscopic examination | White blood cell (×106/L) | - | - | 29 ↑ | ≤10 |
| Mononuclear cell,% | - | - | 0.3 | 0–0.6 | |
| Multinucleate cell,% | - | - | 0.7 ↑ | 0–0.4 | |
| Cultures of the CSF | Culture of bacteria, fungi and tuberculosis bacilli | negative | negative | negative | negative |
| Tuberculosis antibody and tuberculosis smear examination | Tuberculosis antibody and tuberculosis smear examination | - | negative | - | negative |
| fungal glucan test (G test) | fungal glucan test (G test) | - | negative | - | negative |
| Mycological Triple Panel Test | Detection of Aspergillus, Cryptococcus and Pneumocystis nucleic acids | - | negative | negative | negative |
| Category | Pathogen | Reads | Coverage (%) | Relative Abundance (%) |
|---|---|---|---|---|
| Bacteria | - | - | - | - |
| Fungi | - | - | - | - |
| Virus | Human Herpesvirus V | 110 | <0.01 | 42.33 |
| Human Herpesvirus IV | 90 | <0.01 | 51.74 | |
| Parasite | B.mandrillaris | 4 | 1.03 | 100 |
| Human microbiota | - | - | - | - |
| Category | Pathogen | Reads | Coverage (%) | Relative Abundance (%) |
|---|---|---|---|---|
| Bacteria | - | - | - | - |
| Fungi | - | - | - | - |
| Virus | - | - | - | - |
| Parasite | B.mandrillaris | 49,517 | 2.6 | 100 |
| Human microbiota | - | - | - | - |
Disclaimer/Publisher’s Note: The statements, opinions and data contained in all publications are solely those of the individual author(s) and contributor(s) and not of MDPI and/or the editor(s). MDPI and/or the editor(s) disclaim responsibility for any injury to people or property resulting from any ideas, methods, instructions or products referred to in the content. |
© 2025 by the authors. Licensee MDPI, Basel, Switzerland. This article is an open access article distributed under the terms and conditions of the Creative Commons Attribution (CC BY) license (https://creativecommons.org/licenses/by/4.0/).
Share and Cite
Feng, Y.; Feng, H.; Yu, X.; Zhao, J.; Zhou, H.; Li, J.; Chen, P.; Feng, L. Next-Generation Sequencing for Diagnosis of Fatal Balamuthia Amoebic Encephalitis: A Case Report. Diagnostics 2025, 15, 2590. https://doi.org/10.3390/diagnostics15202590
Feng Y, Feng H, Yu X, Zhao J, Zhou H, Li J, Chen P, Feng L. Next-Generation Sequencing for Diagnosis of Fatal Balamuthia Amoebic Encephalitis: A Case Report. Diagnostics. 2025; 15(20):2590. https://doi.org/10.3390/diagnostics15202590
Chicago/Turabian StyleFeng, Yuanyuan, Huiyu Feng, Xuegao Yu, Jing Zhao, Hongyan Zhou, Jiaoxing Li, Peisong Chen, and Li Feng. 2025. "Next-Generation Sequencing for Diagnosis of Fatal Balamuthia Amoebic Encephalitis: A Case Report" Diagnostics 15, no. 20: 2590. https://doi.org/10.3390/diagnostics15202590
APA StyleFeng, Y., Feng, H., Yu, X., Zhao, J., Zhou, H., Li, J., Chen, P., & Feng, L. (2025). Next-Generation Sequencing for Diagnosis of Fatal Balamuthia Amoebic Encephalitis: A Case Report. Diagnostics, 15(20), 2590. https://doi.org/10.3390/diagnostics15202590

