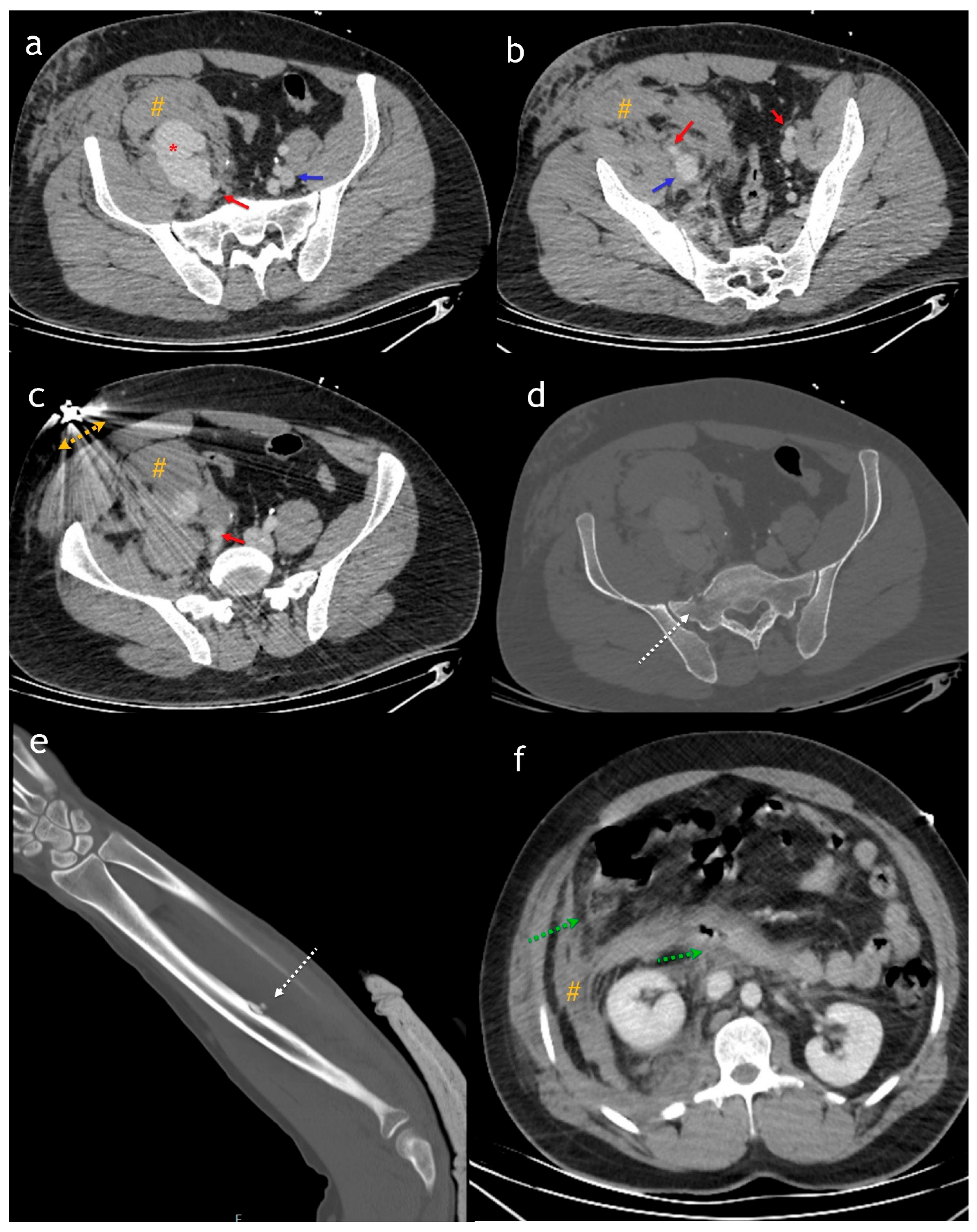
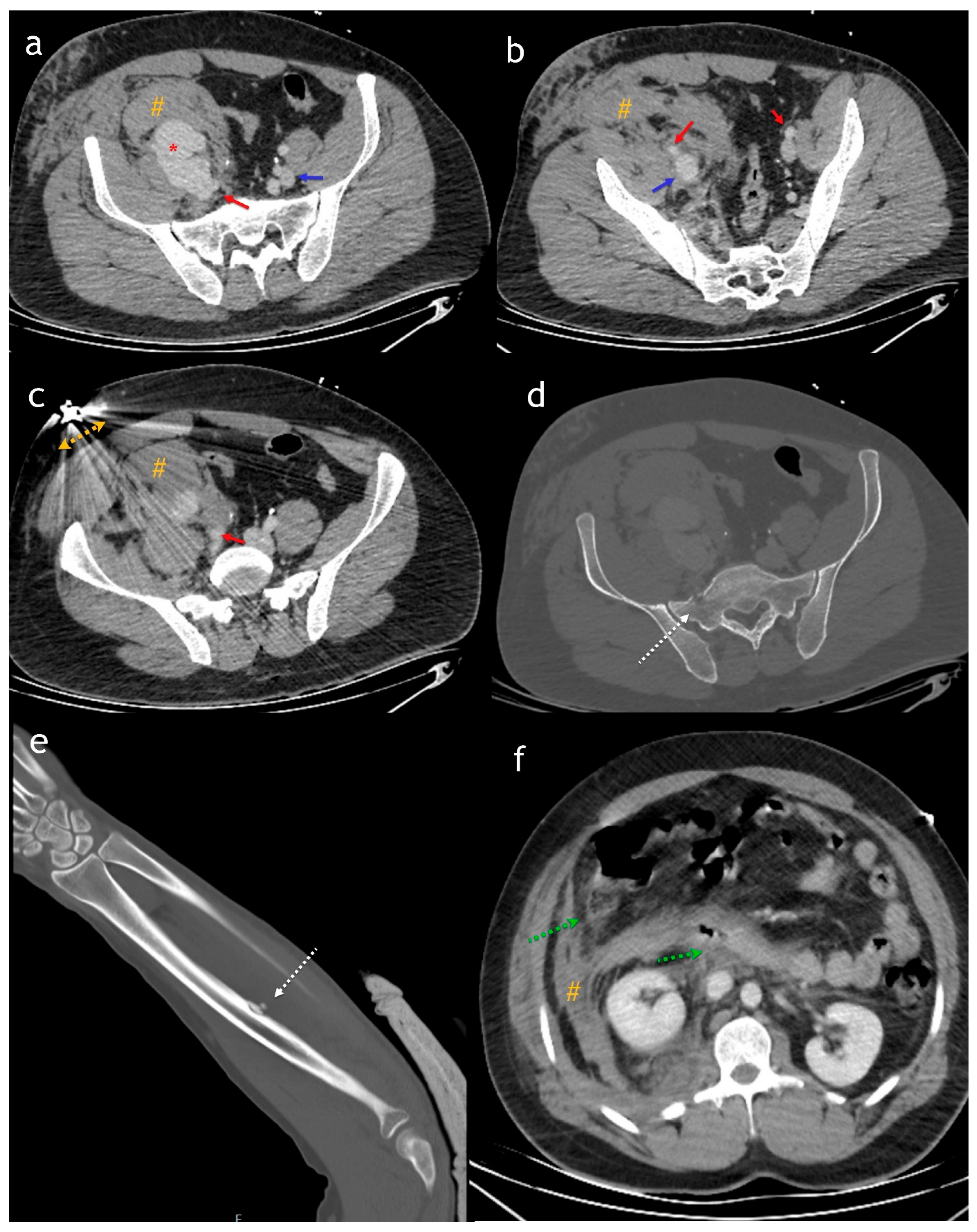
Iliac Arteriovenous Fistula and Pseudoaneurysm Secondary to Gunshot Trauma
Abstract


Author Contributions
Funding
Institutional Review Board Statement
Informed Consent Statement
Data Availability Statement
Conflicts of Interest
References
- Kee-Sampson, J.W.; Gopireddy, D.R.; Vulasala, S.S.R.; Stein, R.; Kumar, S.; Virarkar, M. Role of imaging in penetrating vascular injuries of the craniocervical region. J. Clin. Imaging Sci. 2022, 12, 63. [Google Scholar] [CrossRef]
 - González, S.B.; Busquets, J.C.V.; Figueiras, R.G.; Martín, C.V.; Pose, C.S.; de Alegría, A.M.; Mourenza, J.A.C. Imaging Arteriovenous Fistulas. Am. J. Roentgenol. 2009, 193, 1425–1433. [Google Scholar] [CrossRef]
 - Iacobellis, F.; Ierardi, A.M.; A Mazzei, M.; Biasina, A.M.; Carrafiello, G.; Nicola, R.; Scaglione, M. Dual-phase CT for the assessment of acute vascular injuries in high-energy blunt trauma: The imaging findings and management implications. Br. J. Radiol. 2016, 89, 20150952. [Google Scholar] [CrossRef]
 - Wahlgren, C.M.; Aylwin, C.; Davenport, R.A.; Davidovic, L.B.; DuBose, J.J.; Gaarder, C.; Heim, C.; Jongkind, V.; Jørgensen, J.; Kakkos, S.K.; et al. European Society for Vascular Surgery (ESVS) 2025 Clinical Practice Guidelines on the Management of Vascular Trauma. Eur. J. Vasc. Endovasc. Surg. 2025, 69, 179–237. [Google Scholar] [CrossRef]
 - Robbs, J.V.; A Carrim, A.; Kadwa, A.M.; Mars, M. Traumatic arteriovenous fistula: Experience with 202 patients. Br. J. Surg. 1994, 81, 1296–1299. [Google Scholar] [CrossRef]
 - Marchetti, A.A.; Oddi, F.M.; Diotallevi, N.; Battistini, M.; Ippoliti, A. An unusual complication after endovascular aneurysm repair for giant abdominal aortic aneurysm with aortocaval fistula: High bilirubin levels. SAGE Open Med. Case Rep. 2020, 8, 2050313X20984322. [Google Scholar] [CrossRef]
 - Benbrahim, F.Z.; Ankri, M.; Fariyou, A.; El Aoufir, O.; Laamrani, F.Z.; Laila, J. Spontaneous ilio-iliac arteriovenous fistula: A rare complication of aorto-iliac aneurysm. Radiol. Case Rep. 2024, 19, 2996–3000. [Google Scholar] [CrossRef]
 - Rezvani, M. Traumatic Arteriovenous Fistula After Kickboxing injury: Case Report & Review of the Literature. Arch. Trauma Res. 2014, 3, e15575. [Google Scholar]
 
Disclaimer/Publisher’s Note: The statements, opinions and data contained in all publications are solely those of the individual author(s) and contributor(s) and not of MDPI and/or the editor(s). MDPI and/or the editor(s) disclaim responsibility for any injury to people or property resulting from any ideas, methods, instructions or products referred to in the content.  | 
© 2025 by the authors. Licensee MDPI, Basel, Switzerland. This article is an open access article distributed under the terms and conditions of the Creative Commons Attribution (CC BY) license (https://creativecommons.org/licenses/by/4.0/).
Share and Cite
Akbudak, I.; Tekinhatun, M.; Duyu, M.S.; Cihan, F. Iliac Arteriovenous Fistula and Pseudoaneurysm Secondary to Gunshot Trauma. Diagnostics 2025, 15, 1882. https://doi.org/10.3390/diagnostics15151882
Akbudak I, Tekinhatun M, Duyu MS, Cihan F. Iliac Arteriovenous Fistula and Pseudoaneurysm Secondary to Gunshot Trauma. Diagnostics. 2025; 15(15):1882. https://doi.org/10.3390/diagnostics15151882
Chicago/Turabian StyleAkbudak, Ibrahim, Muhammed Tekinhatun, Mehmet Sait Duyu, and Fatih Cihan. 2025. "Iliac Arteriovenous Fistula and Pseudoaneurysm Secondary to Gunshot Trauma" Diagnostics 15, no. 15: 1882. https://doi.org/10.3390/diagnostics15151882
APA StyleAkbudak, I., Tekinhatun, M., Duyu, M. S., & Cihan, F. (2025). Iliac Arteriovenous Fistula and Pseudoaneurysm Secondary to Gunshot Trauma. Diagnostics, 15(15), 1882. https://doi.org/10.3390/diagnostics15151882
        
