Diagnostic Challenges of Thyrotropin-Secreting Hypophyseal Macroadenoma Associated with Papillary Thyroid Carcinoma: Case Report and Literature Review
Abstract
1. Introduction
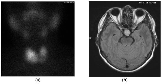
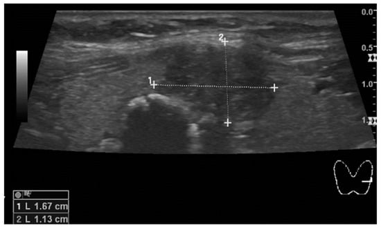
2. Case Presentation
3. Discussion
4. Conclusions
Author Contributions
Funding
Institutional Review Board Statement
Informed Consent Statement
Data Availability Statement
Conflicts of Interest
References
- Beck-Peccoz, P.; Giavoli, C.; Lania, A. A 2019 update on TSH-secreting pituitary adenomas. J. Endocrinol. Investig. 2019, 42, 1401–1406. [Google Scholar] [CrossRef] [PubMed]
- Beck-Peccoz, P.; Persani, L.; Mannavola, D.; Campi, I. Pituitary tumours: TSH-secreting adenomas. Best Pract. Res. Clin. Endocrinol. Metab. 2009, 23, 597–606. [Google Scholar] [CrossRef] [PubMed]
- Ónnestam, L.; Berinder, K.; Burman, P.; Dahlqvist, P.; Engström, B.E.; Wahlberg, J.; Nyström, H.F. National incidence and prevalence of TSH-secreting pituitary adenomas in Sweden. J. Clin. Endocrinol. Metab. 2013, 98, 626–635. [Google Scholar] [CrossRef] [PubMed]
- De Herdt, C.; Philipse, E.; De Block, C. ENDOCRINE TUMOURS: Thyrotropin-secreting pituitary adenoma: A structured review of 535 adult cases. Eur. J. Endocrinol. 2021, 185, R65–R74. [Google Scholar] [CrossRef]
- Calle-Pascual, A.L.; Yuste, E.; Martin, P.; Aramendi, T.; Garcia-Mauriño, M.L.; Argente, J.; Catalan, M.J.; Uria, J.; Cabranes, J.A.; Charro, A.L. Association of a thyrotropin-secreting pituitary adenoma and a thyroid follicular carcinoma. J. Endocrinol. Investig. 1991, 14, 499–502. [Google Scholar] [CrossRef]
- Inoue, H.; Shinojima, N.; Ueda, R.; Yamamoto, K.; Ishii, N.; Igata, M.; Kawashima, J.; Araki, E.; Iwase, H.; Mikami, Y.; et al. A Rare Case of Thyrotropin-Secreting Pituitary Adenoma Coexisting with Papillary Thyroid Carcinoma Presenting with Visual Disturbance without Hyperthyroidism. World Neurosurg. 2018, 119, 394–399. [Google Scholar] [CrossRef]
- Gasparoni, P.; Rubello, D.; Persani, L.; Beck-Peccoz, P. Unusual association between a thyrotropin-secreting pituitary adenoma and a papillary thyroid carcinoma. Thyroid 1998, 8, 181–183. [Google Scholar] [CrossRef]
- Yang, J.; Liu, S.; Yang, Z.; Shi, Y.B. Ectopic thyrotropin secreting pituitary adenoma concomitant with papillary thyroid carcinoma: Case report. Medicine 2017, 96, e8912. [Google Scholar] [CrossRef]
- Kishida, M.; Otsuka, F.; Kataoka, H.; Yokota, K.; Oishi, T.; Yamauchi, T.; Doihara, H.; Tamiya, T.; Mimura, Y.; Ogura, T.; et al. Hyperthyroidism in a patient with TSH-producing pituitary adenoma coexisting with thyroid papillary adenocarcinoma. Endocr. J. 2000, 47, 731–738. [Google Scholar] [CrossRef][Green Version]
- Ohta, S.; Nishizawa, S.; Oki, Y.; Namba, H. Coexistence of thyrotropin-producing pituitary adenoma with papillary adenocarcinoma of the thyroid—A case report and surgical strategy. Pituitary 2001, 4, 271–274. [Google Scholar] [CrossRef]
- Kiatpanabhikul, P.; Shuangshoti, S.; Chantra, K.; Navicharern, P.; Kingpetch, K.; Houngngam, N.; Snabboon, T. A case of coexistence of TSH/GH-secreting pituitary tumor and papillary thyroid carcinoma: Challenges in pathogenesis and management. J. Clin. Neurosci. 2017, 41, 78–80. [Google Scholar] [CrossRef] [PubMed]
- Gessl, A.; Vierhapper, H.; Feichtinger, H. Non-suppressible TSH in a patient thyroidectomized due to follicular thyroid carcinoma. Exp. Clin. Endocrinol. Diabetes 2006, 114, 389–392. [Google Scholar] [CrossRef] [PubMed]
- Poggi, M.; Monti, S.; Pascucci, C.; Toscano, V. A rare case of follicular thyroid carcinoma in a patient with thyrotropin-secreting pituitary adenoma. Am. J. Med. Sci. 2009, 337, 462–465. [Google Scholar] [CrossRef] [PubMed]
- Ünlütürk, U.; Sriphrapradang, C.; Erdoğan, M.F.; Emral, R.; Güldiken, S.; Refetoff, S.; Güllü, S. Management of differentiated thyroid cancer in the presence of resistance to thyroid hormone and TSH-secreting adenomas: A report of four cases and review of the literature. J. Clin. Endocrinol. Metab. 2013, 98, 2210–2217. [Google Scholar] [CrossRef]
- Perticone, F.; Pigliaru, F.; Mariotti, S.; Deiana, L.; Furlani, L.; Mortini, P.; Losa, M. Is the incidence of differentiated thyroid cancer increased in patients with thyrotropin-secreting adenomas? Report of three cases from a large consecutive series. Thyroid 2015, 25, 417–424. [Google Scholar] [CrossRef]
- Yoon, J.H.; Choi, W.; Park, J.Y.; Hong, A.R.; Kim, S.S.; Kim, H.K.; Kang, H.-C. A challenging TSH/GH co-secreting pituitary adenoma with concomitant thyroid cancer; a case report and literature review. BMC Endocr. Disord. 2021, 21, 177. [Google Scholar] [CrossRef]
- Safi, S.; Benabdelfedil, Y.; Derrou, S.; El Guendouz, F. Simultaneous Coexistence of Thyrotropin-Prolactin-Secreting Adenoma and Papillary Thyroid Carcinoma. Case Rep. Endocrinol. 2021, 2021, 6564765. [Google Scholar] [CrossRef]
- Beck-Peccoz, P.; Lania, A.; Beckers, A.; Chatterjee, K.; Wemeau, J.L. 2013 European thyroid association guidelines for the diagnosis and treatment of thyrotropin-secreting pituitary tumors. Eur. Thyroid. J. 2013, 2, 76–82. [Google Scholar] [CrossRef]
- Beck-Peccoz, P.; Forloni, F.; Cortelazzi, D.; Persani, L.; Papandreou, M.-J.; Asteria, C.; Faglia, G. Pituitary resistance to thyroid hormones. Horm. Res. 1992, 38, 66–72. [Google Scholar] [CrossRef]
- Ortiga-Carvalho, T.M.; Sidhaye, A.R.; Wondisford, F.E. Thyroid hormone receptors and resistance to thyroid hormone disorders. Nat. Rev. Endocrinol. 2014, 10, 582–591. [Google Scholar] [CrossRef]
- Bertherat, J.; Brue, T.; Enjalbert, A.; Gunz, G.; Rasolonjanahary, R.; Warnet, A.; Jaquet, P.; Epelbaum, J. Somatostatin receptors on thyrotropin-secreting pituitary adenomas: Comparison with the inhibitory effects of octreotide upon in vivo and in vitro hormonal secretions. J. Clin. Endocrinol. Metab. 1992, 75, 540–546. [Google Scholar] [CrossRef] [PubMed]
- Socin, H.V.; Chanson, P.; Delemer, B.; Tabarin, A.; Rohmer, V.; Mockel, J.; Stevenaert, A.; Beckers, A. The changing spectrum of TSH-secreting pituitary adenomas: Diagnosis and management in 43 patients. Eur. J. Endocrinol. 2003, 148, 433–442. [Google Scholar] [CrossRef] [PubMed]
- Zgliczyński, W.; Zdunowski, P.; Czajka-Oraniec, I.; Jeske, W.; Zieliński, G. The role of somatostatin analogues in treatment of TSH secreting pituitary adenomas. Thyroid. Res. 2013, 6 (Suppl. S2), A64. [Google Scholar] [CrossRef]
- Chanson, P.; Orgiazzi, J.; Derome, P.J.; Bression, D.; Jedynak, C.P.; Trouillas, J.; Legentil, P.; Racadot, J.; Peillon, F. Paradoxical response of thyrotropin to L-dopa and presence of dopaminergic receptors in a thyrotropin-secreting pituitary adenoma. J. Clin. Endocrinol. Metab. 1984, 59, 542–546. [Google Scholar] [CrossRef]
- Mouton, F.; Faivre-Defrance, F.; Cortet-Rudelli, C.; Assaker, R.; Soto-Ares, G.; Defoort-Dhellemmes, S.; Blond, S.; Wemeau, J.-L.; Vantyghem, M.-C. TSH-secreting adenoma improved with cabergoline. Ann. Endocrinol. 2008, 69, 244–248. [Google Scholar] [CrossRef]
- Mulinda, J.R.; Hasinski, S.; Rose, L.I. Successful therapy for a mixed thyrotropin-and prolactin-secreting pituitary macroadenoma with cabergoline. Endocr. Pract. 1999, 5, 76–79. [Google Scholar] [CrossRef]
- Haugen, B.R.; Alexander, E.K.; Bible, K.C.; Doherty, G.M.; Mandel, S.J.; Nikiforov, Y.E.; Pacini, F.; Randolph, G.W.; Sawka, A.M.; Schlumberger, M.; et al. 2015 American Thyroid Association Management Guidelines for Adult Patients with Thyroid Nodules and Differentiated Thyroid Cancer: The American Thyroid Association Guidelines Task Force on Thyroid Nodules and Differentiated Thyroid Cancer. Thyroid 2016, 26, 1–133. [Google Scholar] [CrossRef]
- Dorange, A.; Triau, S.; Mucci-Hennekinne, S.; Bizon, A.; Laboureau-Soares, S.; Illouz, F.; Rodien, P.; Rohmer, V. An elevated level of TSH might be predictive of differentiated thyroid cancer. Ann. Endocrinol. 2011, 72, 513–521. [Google Scholar] [CrossRef]
- Kim, H.K.; Yoon, J.H.; Kim, S.J.; Cho, J.S.; Kweon, S.S.; Kang, H.C. Higher TSH level is a risk factor for differentiated thyroid cancer. Clin. Endocrinol. 2013, 78, 472–477. [Google Scholar] [CrossRef]
- Zheng, J.; Li, C.; Lu, W.; Wang, C.; Ai, Z. Quantitative assessment of preoperative serum thyrotropin level and thyroid cancer. Oncotarget 2016, 7, 34918–34929. [Google Scholar] [CrossRef]


| Test | Results | Normal Range |
|---|---|---|
| Thyroid stimulating hormone (TSH) | 2.1 mU/L | 0.4–4.0 mU/L |
| Free thyroxine (FT4) | 24.7 pmol/L | 9.0–19.0 pmol/L |
| Free triiodothyronine (LT3) | 7.8 pmol/L | 2.9–4.9 pmol/L |
| Prolactin (PRL) | 285.6 mU/L | 108.7–557.1 mU/L |
| Cortisol (COR) | 404.0 nmol/L | 101.0–536.0 nmol/L |
| IGF-1 (growth factor) | 219.8 μg/L | 43.0–220.0 μg/L |
| Sex hormone binding globulin (SHBG) | 103.0 nmol/L | 50.0–80.0 nmol/L |
| Test | Results | Normal Range |
|---|---|---|
| Thyroid stimulating hormone (TSH) | 2.1 mU/L | 0.4–4.0 mU/L |
| Free thyroxine (FT4) | 24.7 pmol/L | 9.0–19.0 pmol/L |
| Free triiodothyronine (LT3) | 7.8 pmol/L | 2.9–4.9 pmol/L |
| Prolactin (PRL) | 285.6 mU/L | 108.7–557.1 mU/L |
| Insulin-like growth factor 1 (IGF-1) | 121.0 µg/L | 65–69 years: 40.2–225.0 |
| Test and Biological Reference Values | August 2019 Post THR Surgery | September 2019 | February 2020 Post I-131 Therapy | September 2020 | April 2021 | October 2021 | May 2022 | May 2022 |
|---|---|---|---|---|---|---|---|---|
| TSH (0.4–4.0 mU/L) | 9.3 ↑ | 8.2 ↑ | 5.0 ↑ | 3.7 | 2.8 | 2.0 | 2.4 | 1.3 |
| Thyroglobulin (0.8–55.0 µg/L) | - | - | <0.2 | <0.2 | <0.2 | <0.2 | 0.2 | <0.2 |
| Treatment (tab. Levothyroxine) | 100 μg → 150 μg 1 t./d. | 150 μg → 175 μg 1 t./d. | 175 μg → 200 μg 1 t./d. | 200 μg 1 t./d. | 200 μg → 225 μg 1 t./d. | 225 μg 1 t./d | 225 μg 1 t./d | 225 μg 1 t./d |
Disclaimer/Publisher’s Note: The statements, opinions and data contained in all publications are solely those of the individual author(s) and contributor(s) and not of MDPI and/or the editor(s). MDPI and/or the editor(s) disclaim responsibility for any injury to people or property resulting from any ideas, methods, instructions or products referred to in the content. |
© 2025 by the authors. Licensee MDPI, Basel, Switzerland. This article is an open access article distributed under the terms and conditions of the Creative Commons Attribution (CC BY) license (https://creativecommons.org/licenses/by/4.0/).
Share and Cite
Jocys, J.; Laukienė, R.; Tamošiūnas, A.E. Diagnostic Challenges of Thyrotropin-Secreting Hypophyseal Macroadenoma Associated with Papillary Thyroid Carcinoma: Case Report and Literature Review. Diagnostics 2025, 15, 1313. https://doi.org/10.3390/diagnostics15111313
Jocys J, Laukienė R, Tamošiūnas AE. Diagnostic Challenges of Thyrotropin-Secreting Hypophyseal Macroadenoma Associated with Papillary Thyroid Carcinoma: Case Report and Literature Review. Diagnostics. 2025; 15(11):1313. https://doi.org/10.3390/diagnostics15111313
Chicago/Turabian StyleJocys, Juras, Romena Laukienė, and Algirdas Edvardas Tamošiūnas. 2025. "Diagnostic Challenges of Thyrotropin-Secreting Hypophyseal Macroadenoma Associated with Papillary Thyroid Carcinoma: Case Report and Literature Review" Diagnostics 15, no. 11: 1313. https://doi.org/10.3390/diagnostics15111313
APA StyleJocys, J., Laukienė, R., & Tamošiūnas, A. E. (2025). Diagnostic Challenges of Thyrotropin-Secreting Hypophyseal Macroadenoma Associated with Papillary Thyroid Carcinoma: Case Report and Literature Review. Diagnostics, 15(11), 1313. https://doi.org/10.3390/diagnostics15111313

