Next Article in Journal
Association of [18F]-FDG PET/CT-Derived Radiomic Features with Clinical Outcomes and Genomic Profiles in Patients with Chronic Lymphocytic Leukemia
Previous Article in Journal
Experience in Diagnostic of HIV Drug Resistance in the Mekong Delta Region, Vietnam: A Comparative Analysis Before and After the COVID-19 Pandemic
 
 
Font Type:
Arial Georgia Verdana
Font Size:
Aa Aa Aa
Line Spacing:
Column Width:
Background:
Interesting Images

Tumor Cavitation with Anlotinib Treatment in Lung Adenocarcinoma

1
Department of Thoracic Oncology, Hangzhou Cancer Hospital, No. 34, Yanguan Lane, Shangcheng District, Hangzhou 310002, China
2
Affiliated Hangzhou First People’s Hospital, School of Medicine, Westlake University, Hangzhou 310006, China
*
Author to whom correspondence should be addressed.
Diagnostics 2025, 15(10), 1280; https://doi.org/10.3390/diagnostics15101280
Submission received: 8 March 2025 / Revised: 13 May 2025 / Accepted: 15 May 2025 / Published: 18 May 2025
(This article belongs to the Section Medical Imaging and Theranostics)

Abstract

Tumor cavitation is distinguished by the emergence of central necrosis and cavity formation within the tumor mass, which indicates a notable outcome of anti-angiogenic therapies. This case describes a 52-year-old Chinese female with advanced EGFR-mutated lung adenocarcinoma (Exon 19 deletion), which was metastatic to bilateral lungs, brain, and right adrenal gland, who exhibited a radiographic response to combination therapy with the third-generation EGFR tyrosine kinase inhibitor (TKI) aumolertinib and the anti-angiogenic agent anlotinib. The patient achieved near-complete cavitation of almost all bilateral lung nodules, manifesting as distinctive “bullet hole” lesions on the chest CT. Despite this initial response, disease progression occurred two months later with new liver metastases, culminating in the patient’s death. This case underscores the potential efficacy of EGFR TKIs and anti-angiogenic agents in inducing unique tumor microenvironment modifications, while highlighting the transient nature of such responses and the critical need to address resistance mechanisms. Tumor cavitation may serve as a radiographic marker of anti-angiogenic activity but does not preclude metastatic spread, necessitating vigilant monitoring even in the setting of favorable imaging changes.

A 52-year-old Chinese female patient with advanced lung adenocarcinoma harboring an EGFR Exon 19 deletion mutation presented with metastases to the bilateral lungs, brain, and right adrenal gland. She was a never-smoker with no working exposition and cancer familiarity. Initial treatment with the third-generation EGFR tyrosine kinase inhibitor (TKI) furmonertinib resulted in disease progression within 7 months.
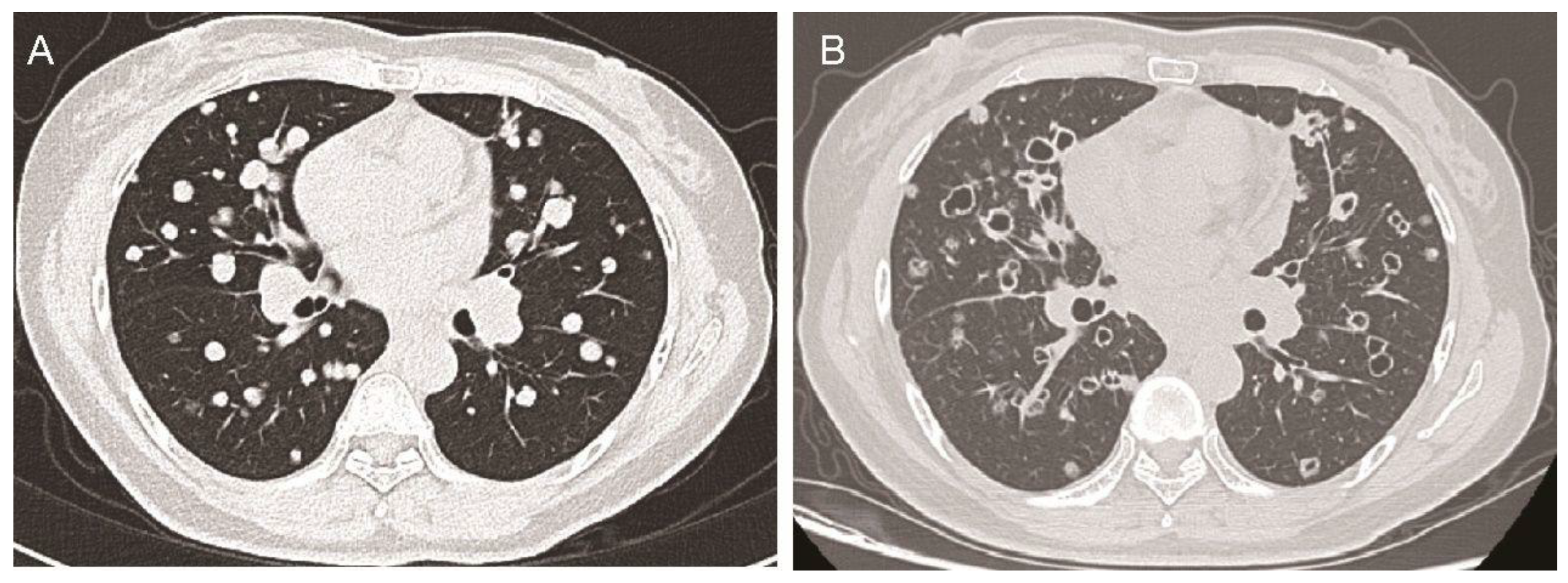
Subsequent administration of standard first-line and second-line systemic chemotherapies also failed to arrest tumor progression. Consequently, the patient received a combination therapy comprising the orally taken third-generation EGFR TKI aumolertinib at a dose of 110 mg daily and the small-molecule angiogenesis inhibitor anlotinib [1] at a dose schedule of 12 mg daily, 2 weeks on/1 week off. Baseline chest computed tomography (CT) scans revealed multiple solid metastatic nodules in the bilateral lungs (Figure 1A). Notably, after 6 months of this combination therapy, the chest CT scans demonstrated near-complete cavitation of the lung nodules, manifesting as “bullet holes” (Figure 1B). Along with the remarkable imaging feature, which was attributed to the anti-angiogenic effects of anlotinib, the CEA levels also dropped from 650 ng/mL to 430.2 ng/mL, and the patient reported a partial relief of shortness of breath.
Angiogenesis, the process of new blood vessel formation, is a well-established characteristic of the tumor microenvironment. Anti-angiogenic agents, including bevacizumab, sorafenib, apatinib, and anlotinib, have been extensively utilized in clinical settings. These pharmacological interventions aim to disrupt the tumor-associated vasculature, thereby facilitating vascular normalization [2]. A notable outcome of anti-angiogenic therapy, especially with agents such as sorafenib, regorafenib, and apatinib, as well as anlotinib, is tumor cavitation, which is distinguished by the emergence of central necrosis and the formation of cavities within the tumor mass [3,4,5,6]. As stated in a retrospective analysis of 124 lung cancer patients who were treated with anti-angiogenesis agents in MD Anderson Center, about 14% (17) patients developed tumor cavitations [4]. Although tumor cavitation has also been reported to be induced by other treatment strategies such as immunotherapy, the frequency is still low. However, to our knowledge, such an interesting image with near-complete cavitation of almost all lung nodules was never reported.
Despite the initial promising response, the patient’s disease unfortunately progressed two months later, with the emergence of liver metastases and ultimately death. This case highlights the potential efficacy of combining anti-angiogenic agents with targeted therapies like EGFR TKIs in EGFR-mutated advanced lung cancer, as evidenced by the remarkable tumor cavitation observed with the aumolertinib and anlotinib combination. However, the eventual progression underscores the need for further research into overcoming resistance mechanisms and developing more durable therapeutic strategies. We acknowledge the limitations related to the single-case design and absence of other information, including the PD-L1 status and resistance mutation details, due to the patient’s preferences. While tumor cavitation may signify a favorable initial response to anti-angiogenic agents, it does not consistently indicate a good prognosis. Thus, intensive monitoring for metastasis is imperative, as new metastatic lesions can develop despite this radiographic finding.

Author Contributions

Conceptualization, J.H. and X.C.; methodology, J.H.; software, J.H.; validation, J.H.; formal analysis, J.H.; investigation, J.H.; resources, J.H. and X.C.; data curation, J.H. and X.C.; writing—original draft preparation, J.H.; writing—review and editing, J.H. and X.C.; visualization, J.H.; supervision, X.C.; project administration, X.C.; All authors have read and agreed to the published version of the manuscript.

Funding

This research received no external funding.

Informed Consent Statement

Written informed consent has been obtained from the patient to publish this paper.

Conflicts of Interest

The authors declare no conflict of interest.

References

  1. Shen, G.; Zheng, F.; Ren, D.; Du, F.; Dong, Q.; Wang, Z.; Zhao, F.; Ahmad, R.; Zhao, J. Anlotinib: A novel multi-targeting tyrosine kinase inhibitor in clinical development. J. Hematol. Oncol. 2018, 11, 120. [Google Scholar] [CrossRef] [PubMed]
  2. Jain, R.K. Normalizing tumor vasculature with anti-angiogenic therapy: A new paradigm for combination therapy. Nat. Med. 2001, 7, 987–989. [Google Scholar] [CrossRef] [PubMed]
  3. Ricotta, R.; Verrioli, A.; Ghezzi, S.; Porcu, L.; Grothey, A.; Falcone, A.; Van Cutsem, E.; Argilés, G.; Adenis, A.; Ychou, M.; et al. Radiological imaging markers predicting clinical outcome in patients with metastatic colorectal carcinoma treated with regorafenib: Post hoc analysis of the CORRECT phase III trial (RadioCORRECT study). ESMO Open 2016, 1, e000111. [Google Scholar] [CrossRef] [PubMed]
  4. Marom, E.M.; Martinez, C.H.; Truong, M.T.; Lei, X.; Sabloff, B.S.; Munden, R.F.; Gladish, G.W.; Herbst, R.S.; Morice, R.C.; Stewart, D.J.; et al. Tumor Cavitation During Therapy with Antiangiogenesis Agents in Patients with Lung Cancer. J. Thorac. Oncol. 2008, 3, 351–357. [Google Scholar] [CrossRef] [PubMed]
  5. Cai, Q.; Hu, K.; Dong, S.; Li, X.; Hu, S.; Deng, W.; Ou, W. Tumor cavitation in patients with non-small-cell lung cancer receiving anti-angiogenic therapy with apatinib. Transl. Lung Cancer Res. 2024, 13, 1708–1717. [Google Scholar] [CrossRef] [PubMed]
  6. Chen, D.; Xu, J.; Zhao, Y.; Chu, T.; Zhong, H.; Han, B.; Zhong, R. Prognostic value of tumor cavitation in extensive-stage small-cell lung cancer patients treated with anlotinib. J. Cancer Res. Clin. Oncol. 2020, 146, 401–406. [Google Scholar] [CrossRef] [PubMed]
Figure 1. The chest CT scans of the patient before and after anlotinib treatment. (A): Axial chest CT scan showing multiple solid metastatic nodules in bilateral lungs at the baseline before anlotinib treatment. (B) After 6 months of anlotinib treatment, the axial chest CT scan shows that almost all nodules with tumor cavity looked like holes shot by bullets.
Figure 1. The chest CT scans of the patient before and after anlotinib treatment. (A): Axial chest CT scan showing multiple solid metastatic nodules in bilateral lungs at the baseline before anlotinib treatment. (B) After 6 months of anlotinib treatment, the axial chest CT scan shows that almost all nodules with tumor cavity looked like holes shot by bullets.
Diagnostics 15 01280 g001
Disclaimer/Publisher’s Note: The statements, opinions and data contained in all publications are solely those of the individual author(s) and contributor(s) and not of MDPI and/or the editor(s). MDPI and/or the editor(s) disclaim responsibility for any injury to people or property resulting from any ideas, methods, instructions or products referred to in the content.

Share and Cite

MDPI and ACS Style

Huang, J.; Chen, X. Tumor Cavitation with Anlotinib Treatment in Lung Adenocarcinoma. Diagnostics 2025, 15, 1280. https://doi.org/10.3390/diagnostics15101280

AMA Style

Huang J, Chen X. Tumor Cavitation with Anlotinib Treatment in Lung Adenocarcinoma. Diagnostics. 2025; 15(10):1280. https://doi.org/10.3390/diagnostics15101280

Chicago/Turabian Style

Huang, Jie, and Xueqin Chen. 2025. "Tumor Cavitation with Anlotinib Treatment in Lung Adenocarcinoma" Diagnostics 15, no. 10: 1280. https://doi.org/10.3390/diagnostics15101280

APA Style

Huang, J., & Chen, X. (2025). Tumor Cavitation with Anlotinib Treatment in Lung Adenocarcinoma. Diagnostics, 15(10), 1280. https://doi.org/10.3390/diagnostics15101280

Note that from the first issue of 2016, this journal uses article numbers instead of page numbers. See further details here.

Article Metrics

Back to TopTop