Impact of AI-Based Post-Processing on Image Quality of Non-Contrast Computed Tomography of the Chest and Abdomen
Abstract
1. Introduction
2. Materials and Methods
2.1. Patients and Image Acquisition
2.2. Objective Image Quality Analysis
2.3. Subjective Image Quality Analysis
2.4. Statistical Analysis
3. Results
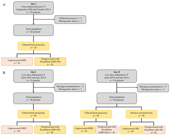
3.1. Patient Cohort
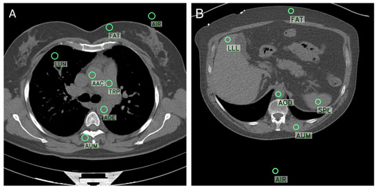
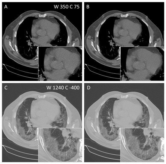
3.2. Objective Image Quality of Thoracal CT
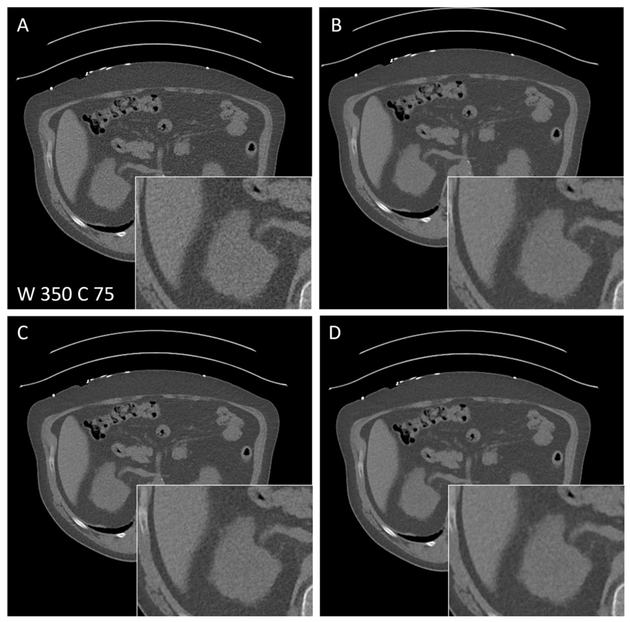
3.3. Objective Image Quality of Abdominal CT
3.4. Subjective Image Quality of Thoracal CT
3.5. Subjective Image Quality of Abdominal CT
4. Discussion
4.1. Objective Image Quality
4.2. Subjective Image Quality
4.3. Limitations
Supplementary Materials
Author Contributions
Funding
Institutional Review Board Statement
Informed Consent Statement
Data Availability Statement
Acknowledgments
Conflicts of Interest
References
- Brenner, D.J.; Hall, E.J. Computed tomography—An increasing source of radiation exposure. New Engl. J. Med. 2007, 357, 2277–2284. [Google Scholar] [CrossRef]
- Lell, M.M.; Kachelriess, M. Recent and Upcoming Technological Developments in Computed Tomography: High Speed, Low Dose, Deep Learning, Multienergy. Investig. Radiol. 2020, 55, 8–19. [Google Scholar] [CrossRef] [PubMed]
- Andrabi, Y.; Patino, M.; Das, C.J.; Eisner, B.; Sahani, D.V.; Kambadakone, A. Advances in CT imaging for urolithiasis. Indian J. Urol. 2015, 31, 185–193. [Google Scholar] [CrossRef] [PubMed]
- Suliman, I.I.; Khouqeer, G.A.; Ahmed, N.A.; Abuzaid, M.M.; Sulieman, A. Low-Dose Chest CT Protocols for Imaging COVID-19 Pneumonia: Technique Parameters and Radiation Dose. Life 2023, 13, 992. [Google Scholar] [CrossRef]
- ICRP. The 2007 Recommendations of the International Commission on Radiological Protection; ICRP Publication 103; SAGE Publications: Thousand Oaks, CA, USA, 2007; Volume 37, pp. 1–332. [Google Scholar] [CrossRef]
- Calabrese, E.J.; O’Connor, M.K. Estimating risk of low radiation doses—A critical review of the BEIR VII report and its use of the linear no-threshold (LNT) hypothesis. Radiat. Res. 2014, 182, 463–474. [Google Scholar] [CrossRef] [PubMed]
- Arndt, C.; Guttler, F.; Heinrich, A.; Burckenmeyer, F.; Diamantis, I.; Teichgraber, U. Deep Learning CT Image Reconstruction in Clinical Practice. Rofo 2021, 193, 252–261. [Google Scholar] [CrossRef]
- Lim, K.; Kwon, H.; Cho, J.; Oh, J.; Yoon, S.; Kang, M.; Ha, D.; Lee, J.; Kang, E. Initial phantom study comparing image quality in computed tomography using adaptive statistical iterative reconstruction and new adaptive statistical iterative reconstruction v. J. Comput. Assist. Tomogr. 2015, 39, 443–448. [Google Scholar] [CrossRef]
- Geyer, L.L.; Schoepf, U.J.; Meinel, F.G.; Nance, J.W., Jr.; Bastarrika, G.; Leipsic, J.A.; Paul, N.S.; Rengo, M.; Laghi, A.; De Cecco, C.N. State of the Art: Iterative CT Reconstruction Techniques. Radiology 2015, 276, 339–357. [Google Scholar] [CrossRef]
- Stiller, W. Basics of iterative reconstruction methods in computed tomography: A vendor-independent overview. Eur. J. Radiol. 2018, 109, 147–154. [Google Scholar] [CrossRef]
- Oostveen, L.J.; Meijer, F.J.A.; de Lange, F.; Smit, E.J.; Pegge, S.A.; Steens, S.C.A.; van Amerongen, M.J.; Prokop, M.; Sechopoulos, I. Deep learning-based reconstruction may improve non-contrast cerebral CT imaging compared to other current reconstruction algorithms. Eur. Radiol. 2021, 31, 5498–5506. [Google Scholar] [CrossRef] [PubMed]
- Pan, T.; Hasegawa, A.; Luo, D.; Wu, C.C.; Vikram, R. Technical Note: Impact on central frequency and noise magnitude ratios by advanced CT image reconstruction techniques. Med. Phys. 2020, 47, 480–487. [Google Scholar] [CrossRef]
- Steuwe, A.; Valentin, B.; Bethge, O.T.; Ljimani, A.; Niegisch, G.; Antoch, G.; Aissa, J. Influence of a Deep Learning Noise Reduction on the CT Values, Image Noise and Characterization of Kidney and Ureter Stones. Diagnostics 2022, 12, 1627. [Google Scholar] [CrossRef]
- Brendlin, A.S.; Schmid, U.; Plajer, D.; Chaika, M.; Mader, M.; Wrazidlo, R.; Mannlin, S.; Spogis, J.; Estler, A.; Esser, M.; et al. AI Denoising Improves Image Quality and Radiological Workflows in Pediatric Ultra-Low-Dose Thorax Computed Tomography Scans. Tomography 2022, 8, 1678–1689. [Google Scholar] [CrossRef]
- Steuwe, A.; Weber, M.; Bethge, O.T.; Rademacher, C.; Boschheidgen, M.; Sawicki, L.M.; Antoch, G.; Aissa, J. Influence of a novel deep-learning based reconstruction software on the objective and subjective image quality in low-dose abdominal computed tomography. Br. J. Radiol. 2021, 94, 20200677. [Google Scholar] [CrossRef]
- Rozema, R.; Kruitbosch, H.T.; van Minnen, B.; Dorgelo, B.; Kraeima, J.; van Ooijen, P.M.A. Iterative reconstruction and deep learning algorithms for enabling low-dose computed tomography in midfacial trauma. Oral Surg. Oral Med. Oral Pathol. Oral Radiol. 2021, 132, 247–254. [Google Scholar] [CrossRef]
- May, M.S.; Wust, W.; Brand, M.; Stahl, C.; Allmendinger, T.; Schmidt, B.; Uder, M.; Lell, M.M. Dose reduction in abdominal computed tomography: Intraindividual comparison of image quality of full-dose standard and half-dose iterative reconstructions with dual-source computed tomography. Investig. Radiol. 2011, 46, 465–470. [Google Scholar] [CrossRef] [PubMed]
- Fletcher, J.G.; Leng, S.; Yu, L.; McCollough, C.H. Dealing with Uncertainty in CT Images. Radiology 2016, 279, 5–10. [Google Scholar] [CrossRef] [PubMed]
- Wisselink, H.J.; Pelgrim, G.J.; Rook, M.; van den Berge, M.; Slump, K.; Nagaraj, Y.; van Ooijen, P.; Oudkerk, M.; Vliegenthart, R. Potential for dose reduction in CT emphysema densitometry with post-scan noise reduction: A phantom study. Br. J. Radiol. 2020, 93, 20181019. [Google Scholar] [CrossRef] [PubMed]
- Tian, S.F.; Liu, A.L.; Liu, J.H.; Liu, Y.J.; Pan, J.D. Potential value of the PixelShine deep learning algorithm for increasing quality of 70 kVp+ASiR-V reconstruction pelvic arterial phase CT images. Jpn. J. Radiol. 2019, 37, 186–190. [Google Scholar] [CrossRef]
- Rozema, R.; Kruitbosch, H.T.; van Minnen, B.; Dorgelo, B.; Kraeima, J.; van Ooijen, P.M.A. Structural similarity analysis of midfacial fractures-a feasibility study. Quant. Imaging Med. Surg. 2022, 12, 1571–1578. [Google Scholar] [CrossRef]
- Brendlin, A.S.; Plajer, D.; Chaika, M.; Wrazidlo, R.; Estler, A.; Tsiflikas, I.; Artzner, C.P.; Afat, S.; Bongers, M.N. AI Denoising Significantly Improves Image Quality in Whole-Body Low-Dose Computed Tomography Staging. Diagnostics 2022, 12, 225. [Google Scholar] [CrossRef]
- Nam, J.G.; Ahn, C.; Choi, H.; Hong, W.; Park, J.; Kim, J.H.; Goo, J.M. Image quality of ultralow-dose chest CT using deep learning techniques: Potential superiority of vendor-agnostic post-processing over vendor-specific techniques. Eur. Radiol. 2021, 31, 5139–5147. [Google Scholar] [CrossRef] [PubMed]
- Hong, J.H.; Park, E.-A.; Lee, W.; Ahn, C.; Kim, J.-H. Incremental image noise reduction in coronary CT angiography using a deep learning-based technique with iterative reconstruction. Korean J. Radiol. 2020, 21, 1165. [Google Scholar] [CrossRef] [PubMed]
- Yeoh, H.; Hong, S.H.; Ahn, C.; Choi, J.-Y.; Chae, H.-D.; Yoo, H.J.; Kim, J.H. Deep learning algorithm for simultaneous noise reduction and edge sharpening in low-dose CT images: A pilot study using lumbar spine CT. Korean J. Radiol. 2021, 22, 1850. [Google Scholar] [CrossRef]
- Noda, Y.; Iritani, Y.; Kawai, N.; Miyoshi, T.; Ishihara, T.; Hyodo, F.; Matsuo, M. Deep learning image reconstruction for pancreatic low-dose computed tomography: Comparison with hybrid iterative reconstruction. Abdom. Radiol. 2021, 46, 4238–4244. [Google Scholar] [CrossRef] [PubMed]
- Singh, R.; Digumarthy, S.R.; Muse, V.V.; Kambadakone, A.R.; Blake, M.A.; Tabari, A.; Hoi, Y.; Akino, N.; Angel, E.; Madan, R. Image quality and lesion detection on deep learning reconstruction and iterative reconstruction of submillisievert chest and abdominal CT. Am. J. Roentgenol. 2020, 214, 566–573. [Google Scholar] [CrossRef]
- Tanabe, N.; Sakamoto, R.; Kozawa, S.; Oguma, T.; Shima, H.; Shiraishi, Y.; Koizumi, K.; Sato, S.; Nakamoto, Y.; Hirai, T. Deep learning-based reconstruction of chest ultra-high-resolution computed tomography and quantitative evaluations of smaller airways. Respir. Investig. 2022, 60, 167–170. [Google Scholar] [CrossRef]
- Kim, J.H.; Yoon, H.J.; Lee, E.; Kim, I.; Cha, Y.K.; Bak, S.H. Validation of Deep-Learning Image Reconstruction for Low-Dose Chest Computed Tomography Scan: Emphasis on Image Quality and Noise. Korean J. Radiol. 2021, 22, 131–138. [Google Scholar] [CrossRef]
- Shin, Y.J.; Chang, W.; Ye, J.C.; Kang, E.; Oh, D.Y.; Lee, Y.J.; Park, J.H.; Kim, Y.H. Low-Dose Abdominal CT Using a Deep Learning-Based Denoising Algorithm: A Comparison with CT Reconstructed with Filtered Back Projection or Iterative Reconstruction Algorithm. Korean J. Radiol. 2020, 21, 356–364. [Google Scholar] [CrossRef]




| Thorax | Abdomen | ||
|---|---|---|---|
| Site I | Site I | Site II | |
| Scanner model | SOMATOM Emotion 6 (Siemens Healthineers) | SOMATOM Emotion 6 (Siemens Healthineers) | SOMATOM Force (Siemens Healthineers) |
| Scanner slices | 6 | 6 | 192 |
| Scanner mode | sequential | sequential | spiral |
| Tube potential (kVp) | 130 | 130 | 150 or 100 |
| Reference tube current time product (mAs) | 70 | 40 | 40 or 244 |
| Reconstructed slice thickness (mm) | 2.5 | 5 | 5 |
| Single collimation width (mm) | 2 | 2 | 0.6 |
| Total collimation width (mm) | 12 | 12 | 57.6 |
| Pitch factor | - | - | 0.9 |
| Thorax | Abdomen | ||
|---|---|---|---|
| Site I | Site I | Site II | |
| Patients | 26 (9 female/17 male) | 48 (17 female/31 male) | 48 (17 female/31 male) |
| Median age (years) | 77.0 (IQR 16.5) | 55.5 (IQR 25) | 39.0 (IQR 18) |
| Median tube Current time product (mAs) [Tube potential kVp] | 86.5 (IQR 45) [130] | 32.0 (IQR 18) [130] | 220 (IQR 89.0) [100] 50 (IQR 25) [150] |
| Median scan length (cm) | 32.1 (IQR 4.8) | 47.6 (IQR 6.1) | 49.6 (IQR 11.1) |
| Median CTDIvol (mGy) | 9.5 (IQR 4.9) | 3.5 (IQR 1.9) | 1.21 (IQR 0.6) |
| Median DLP (mGy·cm) | 301.4 (IQR 188.6) | 178.4 (IQR 108.1) | 60.0 (IQR 40.2) |
| Ascending Aorta | Pulmonary Trunk | Descending Aorta | Lung | Autochthonous Muscle | Fat | Air | |
|---|---|---|---|---|---|---|---|
| B40 [soft-tissue kernel] | |||||||
| CT FBP + PS vs. FBP | −0.08 ± 0.4 p = 0.116 | −0.01 ± 0.4 p = 0.708 | 0.06 ± 0.5 p = 0.423 | 0.52 ± 0.5 p ≤ 0.001 | −0.09 ± 0.6 p = 0.94 | 1.11 ± 0.4 p ≤ 0.001 | 0.79 ± 0.4 p ≤ 0.001 |
| Noise FBP + PS vs. FBP | −8.72 ± 3.4 p ≤ 0.001 | −9.28 ± 3.2 p ≤ 0.001 | −9.68 ± 3.4 p ≤ 0.001 | −2.33 ± 2.3 p ≤ 0.001 | −6.49 ± 2.1 p ≤ 0.001 | −4.10 ± 2.1 p ≤ 0.001 | −6.53 ± 2.6 p ≤ 0.001 |
| SNR FBP + PS vs. FBP | 1.69 ± 0.6 p ≤ 0.001 | 1.61 ± 0.5 p ≤ 0.001 | 1.30 ± 0.5 p ≤ 0.001 | 2.59 ± 2.9 p ≤ 0.001 | 0.34 ± 0.3 p ≤ 0.001 | −2.11 ± 1.2 p ≤ 0.001 | - |
| CNR FBP + PS vs. FBP | 2.99 ± 1.7 p ≤ 0.001 | 2.96 ± 1.7 p ≤ 0.001 | 2.92 ± 1.7 p ≤ 0.001 | 15.92 ± 8.9 p ≤ 0.001 | 2.60 ± 1.4 p ≤ 0.001 | - | - |
| B70 [lung kernel] | |||||||
| CT FBP + PS vs. FBP | 0.17 ± 0.6 p = 0.328 | 0.19 ± 0.5 p = 0.054 | 0.08 ± 0.7 p = 0.861 | 1.63 ± 0.8 p ≤ 0.001 | 0.58 ± 0.9 p = 0.002 | 1.98 ± 0.4 p ≤ 0.001 | 1.78 ± 0.6 p ≤ 0.001 |
| Noise FBP + PS vs. FBP | −27.95 ± 12.7 p ≤ 0.001 | −28.91 ± 12.0 p ≤ 0.001 | −28.98 ± 10.6 p ≤ 0.001 | −5.59 ± 8.3 p = 0.001 | −20.60 ± 8.3 p ≤ 0.001 | −14.69 ± 8.9 p ≤ 0.001 | −14.93 ± 6.8 p ≤ 0.001 |
| SNR FBP + PS vs. FBP | 0.46 ± 0.2 p ≤ 0.001 | 0.44 ± 0.2 p ≤ 0.001 | 0.38 ± 0.2 p ≤ 0.001 | 1.63 ± 2.4 p = 0.001 | 0.14 ± 0.1 p ≤ 0.001 | −0.66 ± 0.46 p ≤ 0.001 | - |
| CNR FBP + PS vs. FBP | 0.95 ± 0.6 p ≤ 0.001 | 0.94 ± 0.6 p ≤ 0.001 | 0.93 ± 0.6 p ≤ 0.001 | 5.22 ± 3.4 p ≤ 0.001 | 0.83 ± 0.5 p ≤ 0.001 | - | - |
| Left Liver Lobule | Spleen | Descending Aorta | Autochthonous Muscle | Fat | Air | ||
|---|---|---|---|---|---|---|---|
| Site I | |||||||
| FBP + PS vs. FBP | CT | 0.05 ± 0.5 p = 0.532 | −0.15 ± 0.7 p = 0.189 | −0.05 ± 0.5 p = 0.579 | −0.09 ± 0.5 p = 0.367 | 1.00 ± 0.5 p ≤ 0.001 | 0.83 ± 0.4 p ≤ 0.001 |
| Noise | −11.35 ± 5.3 p ≤ 0.001 | −8.67 ± 4.5 p ≤ 0.001 | −11.15 ± 4.6 p ≤ 0.001 | −7.00 ± 4.1 p ≤ 0.001 | −5.32 ± 3.5 p ≤ 0.001 | −6.80 ± 3.4 p ≤ 0.001 | |
| SNR | 1.37 ± 0.5 p ≤ 0.001 | 1.41 ± 0.5 p ≤ 0.001 | 1.10 ± 0.4 p ≤ 0.001 | 1.00 ± 0.5 p ≤ 0.001 | 3.16 ± 2.32 p ≤ 0.001 | - | |
| CNR | 4.68 ± 3.3 p ≤ 0.001 | 4.51 ± 3.1 p ≤ 0.001 | 4.46 ± 3.2 p ≤ 0.001 | 4.31 ± 2.9 p ≤ 0.001 | - | - | |
| Site II | |||||||
| FBP + PS vs. FBP | CT | 0.09 ± 0.7 p = 0.772 | −0.11 ± 0.7 p = 0.291 | 0.26 ± 0.7 p = 0.008 | −0.13 ± 0.6 p = 0.154 | 1.08 ± 0.6 p ≤ 0.001 | 0.65 ± 0.5 p ≤ 0.001 |
| Noise | −11.92 ± 2.8 p ≤ 0.001 | −9.98 ± 2.5 p ≤ 0.001 | −10.44 ± 2.9 p ≤ 0.001 | −8.25 ± 2.7 p ≤ 0.001 | −6.93 ± 2.3 p ≤ 0.001 | −6.55 ± 1.5 p ≤ 0.001 | |
| SNR | 1.87 ± 0.5 p ≤ 0.001 | 1.72 ± 0.6 p ≤ 0.001 | 1.41 ± 0.5 p ≤ 0.001 | 1.50 ± 0.6 p ≤ 0.001 | 1.89 ± 0.9 p ≤ 0.001 | - | |
| CNR | 3.12 ± 1.5 p ≤ 0.001 | 3.01 ± 1.4 p ≤ 0.001 | 2.80 ± 1.3 p ≤ 0.001 | 3.03 ± 1.5 p ≤ 0.001 | - | - | |
| IR + PS vs. IR | CT | 0.10 ± 0.3 p = 0.06 | 0.01 ± 0.25 p = 0.495 | 0.31 ± 0.4 p ≤ 0.001 | 0.10 ± 0.2 p = 0.001 | 0.92 ± 0.2 p ≤ 0.001 | 0.98 ± 0.3 p ≤ 0.001 |
| Noise | −4.03 ± 1.6 p ≤ 0.001 | −2.69 ± 1.3 p ≤ 0.001 | −3.32 ± 1.5 p ≤ 0.001 | −1.69 ± 1.3 p ≤ 0.001 | −1.13 ± 1.1 p ≤ 0.001 | −1.94 ± 1.3 p ≤ 0.001 | |
| SNR | 1.00 ± 0.4 p ≤ 0.001 | 0.72 ± 0.4 p ≤ 0.001 | 0.73 ± 0.4 p ≤ 0.001 | 0.47 ± 0.3 p ≤ 0.001 | −0.41 ± 0.5 p ≤ 0.001 | - | |
| CNR | 0.71 ± 0.7 p ≤ 0.001 | 0.69 ± 0.7 p ≤ 0.001 | 0.65 ± 0.7 p ≤ 0.001 | 0.70 ± 0.7 p ≤ 0.001 | - | - | |
| FBP + PS vs. IR | CT | 0.09 ± 0.6 p = 0.636 | 0.05 ± 0.6 p = 0.715 | −0.09 ± 0.8 p = 0.367 | −0.07 ± 0.5 p = 0.351 | 1.15 ± 0.5 p ≤ 0.001 | 1.68 ± 0.7 p ≤ 0.001 |
| Noise | −3.21 ± 1.9 p ≤ 0.001 | −1.96 ± 1.9 p ≤ 0.001 | −2.36 ± 1.9 p ≤ 0.001 | −0.90 ± 1.9 p = 0.004 | 0.20 ± 1.9 p = 0.373 | −3.54 ± 1.3 p ≤ 0.001 | |
| SNR | 0.76 ± 0.5 p ≤ 0.001 | 0.55 ± 0.5 p ≤ 0.001 | 0.48 ± 0.4 p ≤ 0.001 | 0.27 ± 0.5 p = 0.001 | 0.05 ± 0.8 p = 0.221 | - | |
| CNR | −0.01 ± 1.3 p = 0.378 | −0.02 ± 1.3 p = 0.322 | −0.03 ± 1.2 p = 0.278 | −0.02 ± 1.3 p = 0.362 | - | - | |
| Rater 1 | Rater 2 | Rater 3 | W | p | |
|---|---|---|---|---|---|
| Thorax | |||||
| B40 (FBP + PS vs. FBP) | 1 | 1 | 1 | 1 | <0.001 |
| B70 (FBP + PS vs. FBP) | 0.04 | 0.35 | 0.65 | 0.50 | 0.01 |
| Abdomen (Site I) | |||||
| FBP + PS vs. FBP | 0.96 | 1 | 1 | 0.98 | <0.001 |
| Abdomen (Site II) | |||||
| FBP + PS vs. FBP | 1 | 0.96 | 1 | 0.98 | <0.001 |
| FBP + PS vs. IR | −0.81 | 0.44 | 0.79 | 0.19 | 1 |
| Rater 1 | Rater 2 | Rater 3 | W | p | |
|---|---|---|---|---|---|
| Thorax | |||||
| B40 (FBP + PS vs. FBP) Mean difference | 4.0 ± 0 vs. 4.0 ± 0 0 | 4.0 ± 0 vs. 3.6 ± 0.5 0.38 | 4.0 ± 0.4 vs. 3.1 ± 0.3 0.88 | 1 | <0.001 |
| B70 (FBP + PS vs. FBP) Mean difference | 4.0 ± 0 vs. 4.0 ± 0 0 | 4.1 ± 0.3 vs. 4.0 ± 0.2 0.08 | 3.4 ± 0.8 vs. 3.4 ± 0.8 0 | 0.50 | 0.01 |
| Abdomen (Site I) | |||||
| FBP + PS vs. FBP Mean difference | 4.4 ± 0.5 vs. 3.6 ± 0.5 0.80 | 4.3 ± 0.4 vs. 3.7 ± 0.6 0.63 | 4.2 ± 0.6 vs. 3.3 ± 0.5 0.92 | 0.59 | <0.001 |
| Abdomen (Site II) | |||||
| FBP + PS vs. FBP Mean difference | 4.1 ± 0.4 vs. 3.2 ± 0.5 0.96 | 4.1 ± 0.3 vs. 3.3 ± 0.5 0.85 | 3.95 ± 0.3 vs. 3.0 ± 0.1 0.94 | 0.98 | <0.001 |
| FBP + PS vs. IR Mean difference | 3.0 ± 0 vs. 3.0 ± 0 0 | 4.0 ± 0.2 vs. 3.8 ± 0.4 0.19 | 4.6 ± 0.6 vs. 4.1 ± 0.6 0.5 | 0.19 | 1 |
Disclaimer/Publisher’s Note: The statements, opinions and data contained in all publications are solely those of the individual author(s) and contributor(s) and not of MDPI and/or the editor(s). MDPI and/or the editor(s) disclaim responsibility for any injury to people or property resulting from any ideas, methods, instructions or products referred to in the content. |
© 2024 by the authors. Licensee MDPI, Basel, Switzerland. This article is an open access article distributed under the terms and conditions of the Creative Commons Attribution (CC BY) license (https://creativecommons.org/licenses/by/4.0/).
Share and Cite
Drews, M.A.; Demircioğlu, A.; Neuhoff, J.; Haubold, J.; Zensen, S.; Opitz, M.K.; Forsting, M.; Nassenstein, K.; Bos, D. Impact of AI-Based Post-Processing on Image Quality of Non-Contrast Computed Tomography of the Chest and Abdomen. Diagnostics 2024, 14, 612. https://doi.org/10.3390/diagnostics14060612
Drews MA, Demircioğlu A, Neuhoff J, Haubold J, Zensen S, Opitz MK, Forsting M, Nassenstein K, Bos D. Impact of AI-Based Post-Processing on Image Quality of Non-Contrast Computed Tomography of the Chest and Abdomen. Diagnostics. 2024; 14(6):612. https://doi.org/10.3390/diagnostics14060612
Chicago/Turabian StyleDrews, Marcel A., Aydin Demircioğlu, Julia Neuhoff, Johannes Haubold, Sebastian Zensen, Marcel K. Opitz, Michael Forsting, Kai Nassenstein, and Denise Bos. 2024. "Impact of AI-Based Post-Processing on Image Quality of Non-Contrast Computed Tomography of the Chest and Abdomen" Diagnostics 14, no. 6: 612. https://doi.org/10.3390/diagnostics14060612
APA StyleDrews, M. A., Demircioğlu, A., Neuhoff, J., Haubold, J., Zensen, S., Opitz, M. K., Forsting, M., Nassenstein, K., & Bos, D. (2024). Impact of AI-Based Post-Processing on Image Quality of Non-Contrast Computed Tomography of the Chest and Abdomen. Diagnostics, 14(6), 612. https://doi.org/10.3390/diagnostics14060612

