Comparison of Transoral and Transcervical Ultrasonography with MRI for the Diagnostic Work-Up of Oropharynx Tumors: A Protocol for a Multicenter Clinical Trial (SPOTUS)
Abstract
1. Introduction
Research Question
2. Materials and Methods
2.1. Study Design and Setting
2.2. Participant Eligibility
2.3. Outpatient-Performed Clinical Exam with Transoral and Transcervical US (Index Test)
2.3.1. Standard Clinical Work-Up
2.3.2. Prospective Clinical Data Collection during Initial Outpatient Clinic Exam
| Setting | Standard Diagnostic Work-Up | Study Interventions |
|---|---|---|
| Otorhinolaryngology, Head and Neck Surgery outpatient clinic (Initial work-up) |
|
|
| Diagnostic imaging |
| |
| Diagnostic operations |
| |
| MDT conference and treatment-initiation planning |
|
2.3.3. Transoral and Transcervical US Training
2.3.4. Outpatient-Performed Transoral US
2.3.5. Outpatient-Performed Transcervical US
2.3.6. US Criteria for Tumor Detection
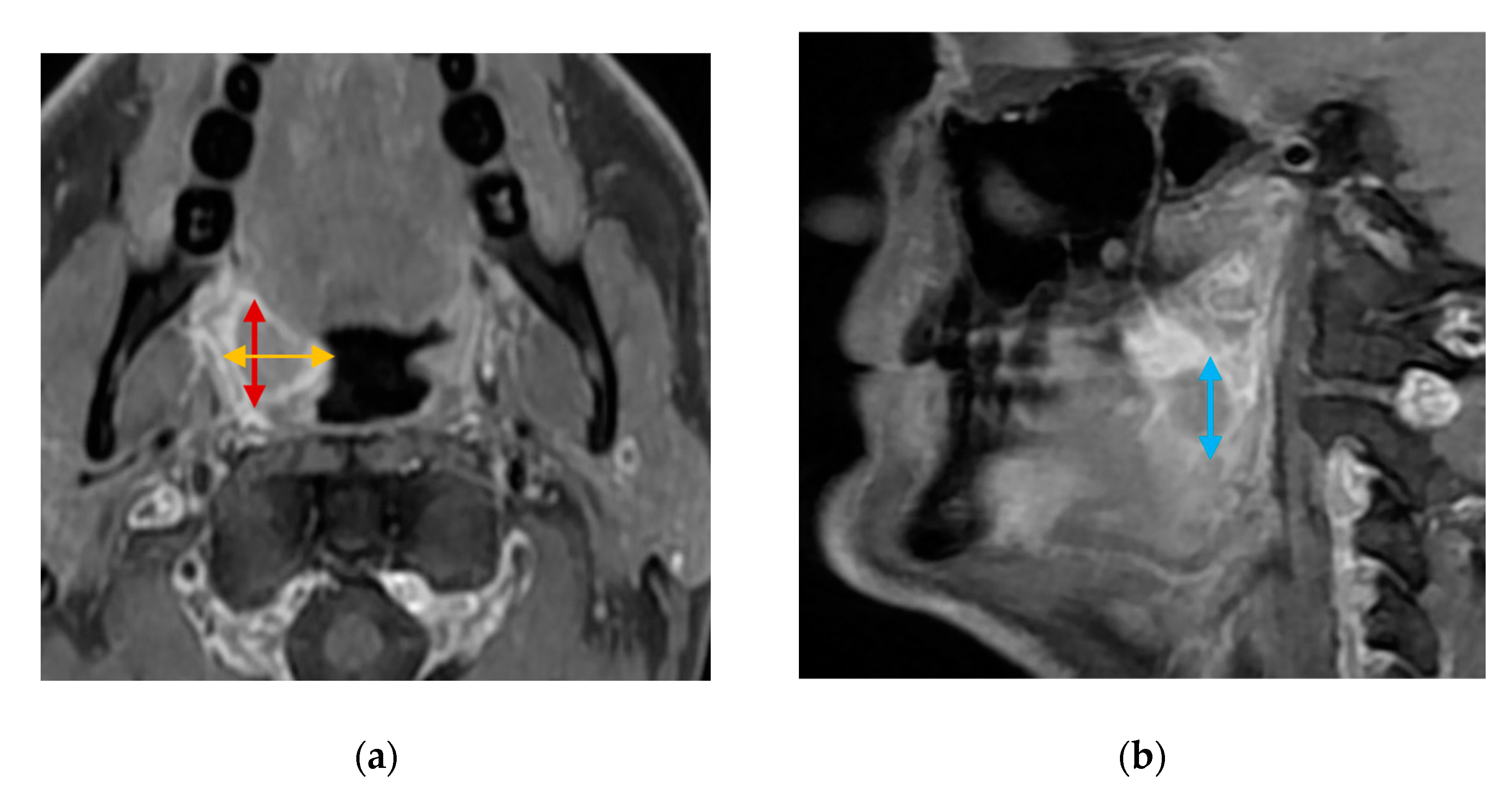
2.3.7. US Tumor Size Estimation and T-Staging
2.4. Cross-Sectional Imaging (Comparison Tests)
2.5. Reference Standard for Tumor Detection
3. Outcome Definitions
3.1. Primary Outcomes
3.2. Secondary Outcomes
- Oropharyngeal tumor suspicion via US, MRI, PET/CT, and CT (5-point Likert scale).
- Detection of patients suspected to have unknown primary OPSCCs via transoral and transcervical US, MRI, and PET/CT.
- Tumor detection, size (mm) in three dimensions (craniocaudal, anteroposterior, and mediolateral), and volume (mm3) estimated clinically via US, MRI, CT, and histopathology.
- Categorical T-stage (Tx, T0, T1, T2, T3, or T4) measured clinically via US, MRI, and CT.
3.3. Other Outcomes
- Scan quality of transoral US, transcervical US, MRI, PET/CT, and CT (5-point Likert scale).
- Patient mouth opening ability (mm) and categorical trismus (>35 mm, ≤35 mm).
- An 11-point numeric rating scale for discomfort of oropharyngeal palpation and transoral US.
- Patient gagging severity index (5-point scale).
- Patient Mallampati score (grade I-IV).
4. Statistics
5. Sample Size Calculation
6. Discussion
Supplementary Materials
Author Contributions
Funding
Institutional Review Board Statement
Informed Consent Statement
Data Availability Statement
Acknowledgments
Conflicts of Interest
Abbreviations
| 95%CI | 95% Confidence interval | MPM | Medial pterygoid muscle |
| BOT | Base of tongue | MRI | Magnetic resonance imaging |
| CT | Computerized tomography | OPSCC | Oropharyngeal squamous cell carcinoma |
| FDG | 18F-Fluorodeoxyglucose | PET/CT | Positron emission tomography/computerized tomography |
| GEE | Generalized estimating equations | PT | Palatine tonsil |
| GGM | Genioglossus muscle | SGM | Styloglossus muscle |
| GHM | Geniohyoid muscle | SMG | Submandibular gland |
| HPV | Human papillomavirus | SPM | Stylopharyngeus muscle |
| ICA | Internal carotid artery | SPOT-US | Surgeon-Performed Oropharyngeal Transoral UltraSonography |
| ITM | Intrinsic tongue muscles | UICC8 | Union for International Cancer Control 8th Edition |
| MDT | Multidisciplinary team | US | Ultrasonography |
References
- Chaturvedi, A.K.; Anderson, W.F.; Lortet-Tieulent, J.; Curado, M.P.; Ferlay, J.; Franceschi, S.; Rosenberg, P.S.; Bray, F.; Gillison, M.L. Worldwide Trends in Incidence Rates for Oral Cavity and Oropharyngeal Cancers. J. Clin. Oncol. 2013, 31, 4550–4559. [Google Scholar] [CrossRef] [PubMed]
- Zamani, M.; Grønhøj, C.; Jensen, D.H.; Carlander, A.F.; Agander, T.; Kiss, K.; Olsen, C.; Baandrup, L.; Nielsen, F.C.; Andersen, E.; et al. The current epidemic of HPV-associated oropharyngeal cancer: An 18-year Danish population-based study with 2169 patients. Eur. J. Cancer 2020, 134, 52–59. [Google Scholar] [CrossRef] [PubMed]
- Braakhuis, B.J.M.; Visser, O.; René Leemans, C. Oral and oropharyngeal cancer in The Netherlands between 1989 and 2006: Increasing incidence, but not in young adults. Oral Oncol. 2009, 45, e85–e89. [Google Scholar] [CrossRef]
- Chancellor, J.A.; Ioannides, S.J.; Elwood, J.M. Oral and oropharyngeal cancer and the role of sexual behaviour: A systematic review. Community Dent. Oral Epidemiol. 2017, 45, 20–34. [Google Scholar] [CrossRef]
- Dahlstrom, K.R.; Bell, D.; Hanby, D.; Li, G.; Wang, L.E.; Wei, Q.; Williams, M.D.; Sturgis, E.M. Socioeconomic characteristics of patients with oropharyngeal carcinoma according to tumor HPV status, patient smoking status, and sexual behavior. Oral Oncol. 2015, 51, 832–838. [Google Scholar] [CrossRef] [PubMed]
- D’Souza, G.; Wentz, A.; Kluz, N.; Zhang, Y.; Sugar, E.; Youngfellow, R.M.; Guo, Y.; Xiao, W.; Gillison, M.L. Sex Differences in Risk Factors and Natural History of Oral Human Papillomavirus Infection. J. Infect. Dis. 2016, 213, 1893–1896. [Google Scholar] [CrossRef]
- Ruud Kjær, E.K.; Jensen, J.S.; Jakobsen, K.K.; Lelkaitis, G.; Wessel, I.; von Buchwald, C.; Grønhøj, C. The Impact of Comorbidity on Survival in Patients With Head and Neck Squamous Cell Carcinoma: A Nationwide Case-Control Study Spanning 35 Years. Front. Oncol. 2021, 10, 617184. [Google Scholar] [CrossRef]
- McIlwain, W.R.; Sood, A.J.; Nguyen, S.A.; Day, T.A. Initial Symptoms in Patients With HPV-Positive and HPV-Negative Oropharyngeal Cancer. JAMA Otolaryngol. Head Neck Surg. 2014, 140, 441–447. [Google Scholar] [CrossRef]
- Larsen, M.H.H.; Channir, H.I.; Von Buchwald, C. Human Papillomavirus and Squamous Cell Carcinoma of Unknown Primary in the Head and Neck Region: A Comprehensive Review on Clinical Implications. Viruses 2021, 13, 1297. [Google Scholar] [CrossRef]
- Kalavacherla, S.; Sanghvi, P.; Lin, G.Y.; Guo, T. Updates in the management of unknown primary of the head and neck. Front. Oncol. 2022, 12, 991838. [Google Scholar] [CrossRef]
- Channir, H.I.; Rubek, N.; Nielsen, H.U.; Kiss, K.; Charabi, B.W.; Lajer, C.B.; von Buchwald, C. Transoral robotic surgery for the management of head and neck squamous cell carcinoma of unknown primary. Acta Otolaryngol. 2015, 135, 1051–1057. [Google Scholar] [CrossRef]
- Bhatia, K.S.S.; King, A.D.; Yeung, D.K.W.; Mo, F.; Vlantis, A.C.; Yu, K.-H.; Wong, J.K.T.; Ahuja, A.T. Can diffusion-weighted imaging distinguish between normal and squamous cell carcinoma of the palatine tonsil? Br. J. Radiol. 2010, 83, 753–758. [Google Scholar] [CrossRef]
- Chen, B.; Zhang, H.; Liu, D.; Wang, X.; Ji, B.; Gao, S. Diagnostic performance of 18F-FDG PET/CT for the detection of occult primary tumors in squamous cell carcinoma of unknown primary in the head and neck: A single-center retrospective study. Nucl. Med. Commun. 2021, 42, 523–527. [Google Scholar] [CrossRef] [PubMed]
- Johansen, J.; Buus, S.; Loft, A.; Keiding, S.; Overgaard, M.; Hansen, H.S.; Grau, C.; Bundgaard, T.; Kirkegaard, J.; Overgaard, J. Prospective study of 18FDG-PET in the detection and management of patients with lymph node metastases to the neck from an unknown primary tumor. Results from the DAHANCA-13 study. Head Neck 2008, 30, 471–478. [Google Scholar] [CrossRef] [PubMed]
- Golusinski, P.; Di Maio, P.; Pehlivan, B.; Colley, S.; Nankivell, P.; Kong, A.; Hartley, A.; Mehanna, H. Evidence for the approach to the diagnostic evaluation of squamous cell carcinoma occult primary tumors of the head and neck. Oral Oncol. 2019, 88, 145–152. [Google Scholar] [CrossRef]
- Faraji, F.; Coquia, S.F.; Wenderoth, M.B.; Padilla, E.S.; Blitz, D.; Dejong, M.R.; Aygun, N.; Hamper, U.M.; Fakhry, C. Evaluating oropharyngeal carcinoma with transcervical ultrasound, CT, and MRI. Oral Oncol. 2018, 78, 177–185. [Google Scholar] [CrossRef]
- Lang Kuhs, K.A.; Wood, C.B.; Wiggleton, J.; Aulino, J.M.; Latimer, B.; Smith, D.K.; Bender, N.; Rohde, S.; Mannion, K.; Kim, Y.; et al. Transcervical sonography and human papillomavirus 16 E6 antibodies are sensitive for the detection of oropharyngeal cancer. Cancer 2020, 126, 2658–2665. [Google Scholar] [CrossRef]
- Fakhry, C.; Agrawal, N.; Califano, J.; Messing, B.; Liu, J.; Saunders, J.; Ha, P.; Coquia, S.; Hamper, U.; Gillison, M.; et al. The use of ultrasound in the search for the primary site of unknown primary head and neck squamous cell cancers. Oral Oncol. 2014, 50, 640–645. [Google Scholar] [CrossRef]
- Mydlarz, W.K.; Liu, J.; Blanco, R.; Fakhry, C. Transcervical ultrasound identifies primary tumor site of unknown primary head and neck squamous cell carcinoma. Otolaryngol. Head Neck Surg. 2014, 151, 1090–1092. [Google Scholar] [CrossRef]
- Coquia, S.F.; Hamper, U.M.; Holman, M.E.; DeJong, M.R.; Subramaniam, R.M.; Aygun, N.; Fakhry, C. Visualization of the Oropharynx With Transcervical Ultrasound. AJR Am. J. Roentgenol. 2015, 205, 1288–1294. [Google Scholar] [CrossRef] [PubMed]
- Jacobson, J.A.; Middleton, W.D.; Allison, S.J.; Dahiya, N.; Lee, K.S.; Levine, B.D.; Lucas, D.R.; Murphey, M.D.; Nazarian, L.N.; Siegel, G.W.; et al. Ultrasonography of Superficial Soft-Tissue Masses: Society of Radiologists in Ultrasound Consensus Conference Statement. Radiology 2022, 304, 18–30. [Google Scholar] [CrossRef] [PubMed]
- Marchi, F.; Filauro, M.; Iandelli, A.; Carobbio, A.L.C.; Mazzola, F.; Santori, G.; Parrinello, G.; Canevari, F.R.M.; Piazza, C.; Peretti, G. Magnetic Resonance vs. Intraoral Ultrasonography in the Preoperative Assessment of Oral Squamous Cell Carcinoma: A Systematic Review and Meta-Analysis. Front. Oncol. 2020, 9, 1571. [Google Scholar] [CrossRef] [PubMed]
- Kaltoft, M.; Hahn, C.H.; Wessman, M.; Hansen, M.L.; Agander, T.K.; Makouei, F.; Wessel, I.; Todsen, T. Intraoral Ultrasound versus MRI for Depth of Invasion Measurement in Oral Tongue Squamous Cell Carcinoma: A Prospective Diagnostic Accuracy Study. Cancers 2024, 16, 637. [Google Scholar] [CrossRef] [PubMed]
- Todsen, T.; Stage, M.; Holst Hahn, C. A Novel Technique for Intraoral Ultrasound-Guided Aspiration of Peritonsillar Abscess. Diagnostics 2018, 8, 50. [Google Scholar] [CrossRef] [PubMed]
- Todsen, T.; Stage, M.G.; Hahn, C.H. Surgeon-performed Transoral Ultrasound-Guided Aspiration of Peritonsillar Abscess. Laryngoscope 2021, 131, 2241–2245. [Google Scholar] [CrossRef]
- Garset-Zamani, M.; Norling, R.; Hahn, C.H.; Agander, T.K.; Von Buchwald, C.; Todsen, T. Transoral Ultrasound in the Outpatient Clinic for the Diagnostic Work-Up of Oropharyngeal Cancer: A Feasibility Study. Cancers 2023, 15, 5292. [Google Scholar] [CrossRef] [PubMed]
- Yang, B.; Olsen, M.; Vali, Y.; Langendam, M.W.; Takwoingi, Y.; Hyde, C.J.; Bossuyt, P.M.M.; Leeflang, M.M.G. Study designs for comparative diagnostic test accuracy: A methodological review and classification scheme. J. Clin. Epidemiol. 2021, 138, 128–138. [Google Scholar] [CrossRef] [PubMed]
- Union for International Cancer Control. TNM Classification of Malignant Tumours—8th Edition: Changes between the 7th and 8th Editions; Union for International Cancer Control: Geneva, Switzerland, 2018. [Google Scholar]
- Todsen, T.; Tolsgaard, M.G.; Benfield, T.; Folke, F.; Jakobsen, K.K.; Gredal, N.T.; Ersbøll, A.K.; Von Buchwald, C.; Kirkby, N. Higher SARS-CoV-2 detection of oropharyngeal compared with nasopharyngeal or saliva specimen for molecular testing: A multicentre randomised comparative accuracy study. Thorax 2023, 78, 1028–1034. [Google Scholar] [CrossRef]
- Todsen, T. Surgeon-performed ultrasonography. Dan. Med. J. 2017, 64, B5421. [Google Scholar]
- DAHANCA. DAHANCA Head and Neck Cancer Guidelines for Fast Track Work-Up. Available online: https://www.dahanca.dk/CA_Adm_Web_Page?WebPageMenu=1&CA_Web_TabNummer=0 (accessed on 1 January 2023).
- Harris, P.A.; Taylor, R.; Thielke, R.; Payne, J.; Gonzalez, N.; Conde, J.G. Research electronic data capture (REDCap)—A metadata-driven methodology and workflow process for providing translational research informatics support. J. Biomed. Inform. 2009, 42, 377–381. [Google Scholar] [CrossRef]
- Chatterjee, A.; Maheshwari, V.S.; Mahanty, P.R.; Nag, D.S.; Shukla, R. A Prospective, Comparative Study to Evaluate the Diagnostic Accuracy of Mallampati Grading in Supine and Sitting Positions for Prediction of Difficult Airway. Cureus 2021, 13, e18465. [Google Scholar] [CrossRef]
- Ramu, R.; Kottur, A.; Swamy, K.N.R.; Pallavi, M.; Kavita, G.C.; Dureja, S.; Meenakshi, S. The Gag Reflex: A Hurdle in Dentistry– Literature Review. J. Pharm. Res. Int. 2021, 33, 224–237. [Google Scholar] [CrossRef]
- Partovi, S.; Kohan, A.; Gaeta, C.; Rubbert, C.; Vercher-Conejero, J.L.; Jones, R.S.; O’Donnell, J.K.; Wojtylak, P.; Faulhaber, P. Image quality assessment of automatic three-segment MR attenuation correction vs. CT attenuation correction. Am. J. Nucl. Med. Mol. Imaging 2013, 3, 291–299. [Google Scholar]
- Cho, W.; Park, H. Transoral Sonographic Diagnosis of Tonsilloliths. J. Ultrasound Med. 2013, 32, 2037–2042. [Google Scholar] [CrossRef] [PubMed]
- Vrinceanu, D.; Dumitru, M.; Cergan, R.; Anghel, A.G.; Costache, A.; Patrascu, E.T.; Sarafoleanu, C.C. Correlations between ultrasonography performed by the ENT specialist and pathologic findings in the management of three cases with thyroglossal duct cyst. Med. Ultrason. 2018, 20, 524. [Google Scholar] [CrossRef] [PubMed]
- Harada, T.; Abe, T.; Kato, F.; Matsumoto, R.; Fujita, H.; Murai, S.; Miyajima, N.; Tsuchiya, K.; Maruyama, S.; Kudo, K.; et al. Five-point Likert scaling on MRI predicts clinically significant prostate carcinoma. BMC Urol. 2015, 15, 91. [Google Scholar] [CrossRef] [PubMed]
- Shinkins, B.; Thompson, M.; Mallett, S.; Perera, R. Diagnostic accuracy studies: How to report and analyse inconclusive test results. BMJ 2013, 346, f2778. [Google Scholar] [CrossRef] [PubMed]
- Bland, J.M.; Altman, D.G. Statistical methods for assessing agreement between two methods of clinical measurement. Lancet 1986, 327, 307–310. [Google Scholar] [CrossRef]
- R Core Team. R: A Language and Environment for Statistical Computing; R Foundation for Statistical Computing: Vienna, Austria, 2020. [Google Scholar]
- Blanco, R.G.; Califano, J.; Messing, B.; Richmon, J.; Liu, J.; Quon, H.; Neuner, G.; Saunders, J.; Ha, P.K.; Sheth, S.; et al. Transcervical ultrasonography is feasible to visualize and evaluate base of tongue cancers. PLoS ONE 2014, 9, e87565. [Google Scholar] [CrossRef]




| Screen ID | Age | Sex | Clinical Diagnosis | Offered Inclusion | Reasons Not Included | Excluded | Reasons for Exclusion | Final Histopathology Diagnosis | Final Tumor Location | Final T-Stage |
|---|---|---|---|---|---|---|---|---|---|---|
| Suspected oropharynx tumor or unknown primary cancer | Yes, No | Declined, Missed, Other | Yes, No | Inclusion/exclusion criteria not met | No tumor, Squamous cell carcinoma, Benign tumor, Lymphoma, Other | Palatine tonsil, Lingual tonsil, Other oropharynx, Unknown, Other head and neck tumor. | Tx, T0, T1, T2, T3, T4 |
| Criteria | Description |
|---|---|
| Inclusion |
|
| Exclusion |
|
| Test Result | Oropharyngeal Tumor | No Oropharyngeal Tumor |
|---|---|---|
| Positive or inconclusive, correct location | TP | FP |
| Positive or inconclusive, wrong location | FN | FP |
| Negative | FN | TN |
Disclaimer/Publisher’s Note: The statements, opinions and data contained in all publications are solely those of the individual author(s) and contributor(s) and not of MDPI and/or the editor(s). MDPI and/or the editor(s) disclaim responsibility for any injury to people or property resulting from any ideas, methods, instructions or products referred to in the content. |
© 2024 by the authors. Licensee MDPI, Basel, Switzerland. This article is an open access article distributed under the terms and conditions of the Creative Commons Attribution (CC BY) license (https://creativecommons.org/licenses/by/4.0/).
Share and Cite
Garset-Zamani, M.; Hvilsom, G.B.; Kjærgaard, T.; Plaschke, C.C.; Hahn, C.H.; Kaltoft, M.; O’Leary, P.; Frid, N.L.; Norling, R.; Dejanovic, D.; et al. Comparison of Transoral and Transcervical Ultrasonography with MRI for the Diagnostic Work-Up of Oropharynx Tumors: A Protocol for a Multicenter Clinical Trial (SPOTUS). Diagnostics 2024, 14, 577. https://doi.org/10.3390/diagnostics14060577
Garset-Zamani M, Hvilsom GB, Kjærgaard T, Plaschke CC, Hahn CH, Kaltoft M, O’Leary P, Frid NL, Norling R, Dejanovic D, et al. Comparison of Transoral and Transcervical Ultrasonography with MRI for the Diagnostic Work-Up of Oropharynx Tumors: A Protocol for a Multicenter Clinical Trial (SPOTUS). Diagnostics. 2024; 14(6):577. https://doi.org/10.3390/diagnostics14060577
Chicago/Turabian StyleGarset-Zamani, Martin, Gitte Bjørn Hvilsom, Thomas Kjærgaard, Christina Caroline Plaschke, Christoffer Holst Hahn, Mikkel Kaltoft, Padraig O’Leary, Natalie Lassen Frid, Rikke Norling, Danijela Dejanovic, and et al. 2024. "Comparison of Transoral and Transcervical Ultrasonography with MRI for the Diagnostic Work-Up of Oropharynx Tumors: A Protocol for a Multicenter Clinical Trial (SPOTUS)" Diagnostics 14, no. 6: 577. https://doi.org/10.3390/diagnostics14060577
APA StyleGarset-Zamani, M., Hvilsom, G. B., Kjærgaard, T., Plaschke, C. C., Hahn, C. H., Kaltoft, M., O’Leary, P., Frid, N. L., Norling, R., Dejanovic, D., Hall, J. M., Agander, T. K., Nielsen, S. B., Ersbøll, A. K., Wessel, I., Buchwald, C. v., & Todsen, T. (2024). Comparison of Transoral and Transcervical Ultrasonography with MRI for the Diagnostic Work-Up of Oropharynx Tumors: A Protocol for a Multicenter Clinical Trial (SPOTUS). Diagnostics, 14(6), 577. https://doi.org/10.3390/diagnostics14060577

