Estrogen Receptor (ER) and Progesterone Receptor (PgR) Expression in Endometrial Cancer—An Immunohistochemical Assessment
Abstract
1. Introduction
1.1. Estrogen Receptors and Progesterone Receptors
1.2. The Aim of This Study
2. Materials and Methods
- Stage I—well-differentiated cancer. This is composed almost exclusively of glandular tubules. Solid fields do not constitute more than 5% of the weave.
- Stage II—moderately differentiated cancer. Solid fields constitute 6% to 50% of the tumor tissue.
- Stage III—poorly differentiated cancer. Solid fields occur in more than 50% of the tumor tissue. Greater mitotic activity and greater cell polymorphism are also observed.
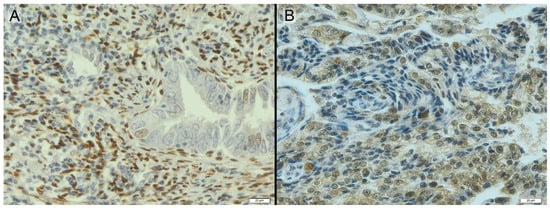
3. Results
4. Discussion
5. Conclusions
- The downregulated expression of ERβ1 in the tissue of patients diagnosed with EC could suggest grade III cancer;
- The downregulated expression of PgR in the tissue of patients diagnosed with EC could suggest grade III cancer. Meanwhile, a high expression of this receptor can indicate stage I stage or Adenocarcinoma endometroides;
- PgR can be a good prognostic and diagnostic tool when aiming to determine the EC grade, its prognosis, and its histological type;
- Computer microscopic image analysis ensures that the assessment is objective and reduces the time required for analysis.
Author Contributions
Funding
Institutional Review Board Statement
Informed Consent Statement
Data Availability Statement
Conflicts of Interest
References
- Available online: https://onkologia.org.pl/pl/raporty (accessed on 11 October 2023).
- Markowska, A.; Grybos, A.; Marszałek, A.; Bednarek, W.; Filas, V.; Gryboś, M.; Markowska, J.; Mądry, R.; Więckowska, B.; Nowalińska, D.; et al. Expression of selected molecular factors in two types of endometrial cancer. Adv. Clin. Exp. Med. 2021, 30, 1057–1064. [Google Scholar] [CrossRef]
- Setiawan, V.W.; Yang, H.P.; Pike, M.C.; McCann, S.E.; Yu, H.; Xiang, Y.-B.; Wolk, A.; Wentzensen, N.; Weiss, N.S.; Webb, P.M.; et al. Type I and II Endometrial Cancers: Have They Different Risk Factors? J. Clin. Oncol. Off. J. Am. Soc. Clin. 2013, 31, 2607–2618. [Google Scholar] [CrossRef] [PubMed]
- Raglan, O.; Kalliala, I.; Markozannes, G.; Cividini, S.; Gunter, M.J.; Nautiyal, J.; Gabra, H.; Paraskevaidis, E.; Martin-Hirsch, P.; Tsilidis, K.K.; et al. Risk factors for endometrial cancer: An umbrella review of the literature. Int. J. Cancer 2019, 145, 1719–1730. [Google Scholar] [CrossRef] [PubMed]
- Ali, A.T. Reproductive Factors and the Risk of Endometrial Cancer. Int. J. Gynecol. Cancer Off. J. Int. Gynecol. Cancer Soc. 2014, 24, 384–393. [Google Scholar] [CrossRef] [PubMed]
- Yeramian, A.; Moreno-Bueno, G.; Dolcet, X.; Catasus, L.; Abal, M.; Colas, E.; Reventos, J.; Palacios, J.; Prat, J.; Matias-Guiu, X. Endometrial carcinoma: Molecular alterations involved in tumor development and progression. Oncogene 2013, 32, 403–413. [Google Scholar] [CrossRef] [PubMed]
- Lu, K.H.; Daniels, M. Endometrial and ovarian cancer in women with Lynch syndrome: Update in screening and prevention. Fam. Cancer 2013, 12, 273–277. [Google Scholar] [CrossRef] [PubMed]
- Wilczyński, M.; Danielska, J.; Wilczyński, J. An update of the classical Bokhman’s dualistic model of endometrial cancer. Menopausal Rev. 2016, 15, 63–68. [Google Scholar] [CrossRef]
- Goebel, E.A.; Vidal, A.; Matias-Guiu, X.; Gilks, C.B. The evolution of endometrial carcinoma classification through application of immunohistochemistry and molecular diagnostics: Past, present and future. Virchows Arch. 2018, 472, 885–896. [Google Scholar] [CrossRef] [PubMed]
- Murali, R.; Davidson, B.; Fadare, O.; Carlson, J.A.; Crum, C.P.; Gilks, C.B.; Irving, J.A.; Malpica, A.; Matias-Guiu, X.; McCluggage, W.G.; et al. High-grade Endometrial Carcinomas: Morphologic and Immunohistochemical Features, Diagnostic Challenges and Recommendations. Int. J. Gynecol. Pathol. 2019, 38, S40–S63. [Google Scholar] [CrossRef]
- Koskas, M.; Amant, F.; Mirza, M.R.; Creutzberg, C.L. Cancer of the corpus uteri: 2021 update. Int. J. Gynecol. Obstet. 2021, 155, 45–60. [Google Scholar] [CrossRef]
- Chang, Z.; Talukdar, S.; Mullany, S.A.; Winterhoff, B. Molecular characterization of endometrial cancer and therapeutic implications. Curr. Opin. Obstet. Gynecol. 2019, 31, 24–30. [Google Scholar] [CrossRef] [PubMed]
- Arciuolo, D.; Travaglino, A.; Raffone, A.; Raimondo, D.; Santoro, A.; Russo, D.; Varricchio, S.; Casadio, P.; Inzani, F.; Seracchioli, R.; et al. TCGA Molecular Prognostic Groups of Endometrial Carcinoma: Current Knowledge and Future Perspectives. Int. J. Mol. Sci. 2022, 23, 11684. [Google Scholar] [CrossRef] [PubMed]
- Jia, M.; Dahlman-Wright, K.; Gustafsson, J.Å. Estrogen receptor alpha and beta in health and disease. Best Pract. Res. Clin. Endocrinol. Metab. 2015, 29, 557–568. [Google Scholar] [CrossRef] [PubMed]
- Pinton, G.; Manzotti, B.; Balzano, C.; Moro, L. Expression and clinical implications of estrogen receptors in thoracic malignancies: A narrative review. J. Thorac. Dis. 2021, 13, 1851–1863. [Google Scholar] [CrossRef] [PubMed]
- Yu, K.; Huang, Z.-Y.; Xu, X.-L.; Li, J.; Fu, X.-W.; Deng, S.-L. Estrogen Receptor Function: Impact on the Human Endometrium. Front. Endocrinol. 2022, 13, 827724. [Google Scholar] [CrossRef]
- Reis, F.M.; Coutinho, L.M.; Vannuccini, S.; Batteux, F.; Chapron, C.; Petraglia, F. Progesterone receptor ligands for the treatment of endometriosis: The mechanisms behind therapeutic success and failure. Hum. Reprod. Updat. 2020, 26, 565–585. [Google Scholar] [CrossRef]
- Islam, S.; Afrin, S.; Jones, S.I.; Segars, J. Selective Progesterone Receptor Modulators—Mechanisms and Therapeutic Utility. Endocr. Rev. 2020, 41, bnaa012. [Google Scholar] [CrossRef]
- Wu, S.-P.; DeMayo, F.J. Progesterone Receptor Signaling in Uterine Myometrial Physiology and Preterm Birth. Curr. Top. Dev. Biol. 2017, 125, 171–190. [Google Scholar] [CrossRef]
- Smith, D.; Stewart, C.J.; Clarke, E.M.; Lose, F.; Davies, C.; Armes, J.; Obermair, A.; Brennan, D.; Webb, P.M.; Nagle, C.M.; et al. ER and PR expression and survival after endometrial cancer. Gynecol. Oncol. 2018, 148, 258–266. [Google Scholar] [CrossRef]
- Busch, E.L.; Crous-Bou, M.; Prescott, J.; Chen, M.M.; Downing, M.J.; Rosner, B.A.; Mutter, G.L.; De Vivo, I. Endometrial Cancer Risk Factors, Hormone Receptors, and Mortality Prediction. Cancer Epidemiol. Biomarkers Prev. 2017, 26, 727–735. [Google Scholar] [CrossRef]
- Chalcarz, M.; Żurawski, J. The absence of early malignant changes in women subjected to Aquafilling breast augmentation on the basis of E-cadherin and N-cadherin immunohistochemical expression. Cent. Eur. J. Immunology. 2022, 47, 350–356. [Google Scholar] [CrossRef]
- Markowska, A.; Szarszewska, M.; Żurawski, J.; Sajdak, S.; Knapp, P.; Gryboś, A.; Oleje, A.; Bednarek, W.; Roszak, A.; Jóżwik, M.; et al. Studies on selected molecular factors in endometrial cancers. Adv. Clin. Exp. Med. 2018, 27, 1417–1424. [Google Scholar] [CrossRef] [PubMed]
- Hapangama, D.; Kamal, A.; Bulmer, J. Estrogen receptor β: The guardian of the endometrium. Hum. Reprod. Updat. 2015, 21, 174–193. [Google Scholar] [CrossRef] [PubMed]
- Wang, C.; Tran, D.A.; Fu, M.Z.; Chen, W.; Fu, S.W.; Li, X. Estrogen Receptor, Progesterone Receptor, and HER2 Receptor Markers in Endometrial Cancer. J. Cancer 2020, 11, 1693–1701. [Google Scholar] [CrossRef] [PubMed]
- Wilson, M.R.; Reske, J.J.; Koeman, J.; Adams, M.; Joshi, N.R.; Fazleabas, A.T.; Chandler, R.L. SWI/SNF Antagonism of PRC2 Mediates Estrogen-Induced Progesterone Receptor Expression. Cells 2022, 11, 1000. [Google Scholar] [CrossRef] [PubMed]
- Wu, Y.; Strawn, E.; Basir, Z.; Halverson, G.; Guo, S.-W. Promoter Hypermethylation of Progesterone Receptor Isoform B (PR-B) in Endometriosis. Epigenetics 2006, 1, 106–111. [Google Scholar] [CrossRef] [PubMed]
- Wen, D.X.; Xu, Y.F.; E Mais, D.; E Goldman, M.; McDonnell, D.P. The A and B isoforms of the human progesterone receptor operate through distinct signaling pathways within target cells. Mol. Cell. Biol. 1994, 14, 8356–8364. [Google Scholar] [CrossRef]
- Arnett-Mansfield, R.L.; de Fazio, A.; Wain, G.V.; Jaworski, R.C.; Byth, K.; Mote, P.A.; Clarke, C.L. Relative expression of progesterone receptors A and B in endometrioid cancers of the endometrium. Cancer Res. 2001, 61, 4576–4578. [Google Scholar] [PubMed]
- Reid-Nicholson, M.; Iyengar, P.; Hummer, A.J.; Linkov, I.; Asher, M.; A Soslow, R. Immunophenotypic diversity of endometrial adenocarcinomas: Implications for differential diagnosis. Mod. Pathol. 2006, 19, 1091–1100. [Google Scholar] [CrossRef]
- Clement, P.B.; Young, R.H. Non-Endometrioid Carcinomas of the Uterine Corpus: A Review of Their Pathology With Emphasis on Recent Advances and Problematic Aspects. Adv. Anat. Pathol. 2004, 11, 117–142. [Google Scholar] [CrossRef]
- A Soslow, R. High-grade endometrial carcinomas–strategies for typing. Histopathology 2012, 62, 89–110. [Google Scholar] [CrossRef] [PubMed]
- Bartosch, C.; Lopes, J.M.; Oliva, E. Endometrial Carcinomas: A Review Emphasizing Overlapping and Distinctive Morphological and Immunohistochemical Features. Adv. Anat. Pathol. 2011, 18, 415–437. [Google Scholar] [CrossRef]
- Pu, H.; Wen, X.; Luo, D.; Guo, Z. Regulation of progesterone receptor expression in endometriosis, endometrial cancer, and breast cancer by estrogen, polymorphisms, transcription factors, epigenetic alterations, and ubiquitin-proteasome system. J. Steroid Biochem. Mol. Biol. 2022, 227, 106199. [Google Scholar] [CrossRef] [PubMed]
- Petz, L.N.; Ziegler, Y.S.; Schultz, J.R.; Kim, H.; Kemper, J.; Nardulli, A.M. Differential regulation of the human progesterone receptor gene through an estrogen response element half site and Sp1 sites. J. Steroid Biochem. Mol. Biol. 2004, 88, 113–122. [Google Scholar] [CrossRef] [PubMed]




| Clinical Characteristics | M ± SD/Me (Q1; Q3) | P |
|---|---|---|
| ERα | ||
| Grading | ||
| G1 | 2217.16 (818.47; 4118.53) | 0.538 |
| G2 | 2080.48 (508.98; 3696.69) | |
| G3 | 1781.10 (180.61; 3102.98) | |
| FIGO staging | ||
| I | 2063.94 (922.12; 3919.11) | 0.133 |
| II | 919.42 (44.10; 2288.30) | |
| III | 2486.85 (732.53; 4273.29) | |
| IV | 1767.39 (262.35; 3902.94) | |
| Histological type | ||
| Adenocarcinoma endometroides | 1977.05 (521.86; 3692.75) | 0.596 |
| Adenocarcinoma serous | 2251.14 (110.75; 3510.44) | |
| ERβ1 | ||
| Grading | ||
| G1 | 1368.50 (319.29; 2623.64) | 0.948 |
| G2 | 1652.46 (243.74; 4276.30) | |
| G3 | 1134.74 (240.61; 4816.59) | |
| FIGO staging | ||
| I | 1293.68 (243.74; 3027.34) | 0.005 |
| II | 1109.56 (377.35; 4201.59) | |
| III | 4798.04 (2267.15; 7489.39) | |
| IV | 285.46 (64.20; 1752.23) | |
| Histological type | ||
| Adenocarcinoma endometroides | 1698.21 (288.45; 4714.87) | 0.231 |
| Adenocarcinoma serous | 861.08 (191.28; 2541.03) | |
| PgR | ||
| Grading | ||
| G1 | 10,316.56 (8239.62; 12,331.57) | 0.003 |
| G2 | 9981.14 (6659.41; 13,416.16) | |
| G3 | 5289.84 (2235.35; 10,221.28) | |
| FIGO staging | ||
| I | 10,566.50 (7148.94; 13,438.49) | 0.008 |
| II | 4976.73 (2660.06; 10,181.67) | |
| III | 9463.98 (6578.57; 12,562.79) | |
| IV | 6866.14 (3150.23; 7986.22) | |
| Histological type | ||
| Adenocarcinoma endometroides | 9577.68 ± 5024.92 | 0.029 |
| Adenocarcinoma serous | 6110.82 ± 5258.12 |
Disclaimer/Publisher’s Note: The statements, opinions and data contained in all publications are solely those of the individual author(s) and contributor(s) and not of MDPI and/or the editor(s). MDPI and/or the editor(s) disclaim responsibility for any injury to people or property resulting from any ideas, methods, instructions or products referred to in the content. |
© 2024 by the authors. Licensee MDPI, Basel, Switzerland. This article is an open access article distributed under the terms and conditions of the Creative Commons Attribution (CC BY) license (https://creativecommons.org/licenses/by/4.0/).
Share and Cite
Przewoźny, S.; Rogaliński, J.; de Mezer, M.; Markowska, A.; Markowska, J.; Żurawski, J. Estrogen Receptor (ER) and Progesterone Receptor (PgR) Expression in Endometrial Cancer—An Immunohistochemical Assessment. Diagnostics 2024, 14, 322. https://doi.org/10.3390/diagnostics14030322
Przewoźny S, Rogaliński J, de Mezer M, Markowska A, Markowska J, Żurawski J. Estrogen Receptor (ER) and Progesterone Receptor (PgR) Expression in Endometrial Cancer—An Immunohistochemical Assessment. Diagnostics. 2024; 14(3):322. https://doi.org/10.3390/diagnostics14030322
Chicago/Turabian StylePrzewoźny, Stanisław, Jan Rogaliński, Mateusz de Mezer, Anna Markowska, Janina Markowska, and Jakub Żurawski. 2024. "Estrogen Receptor (ER) and Progesterone Receptor (PgR) Expression in Endometrial Cancer—An Immunohistochemical Assessment" Diagnostics 14, no. 3: 322. https://doi.org/10.3390/diagnostics14030322
APA StylePrzewoźny, S., Rogaliński, J., de Mezer, M., Markowska, A., Markowska, J., & Żurawski, J. (2024). Estrogen Receptor (ER) and Progesterone Receptor (PgR) Expression in Endometrial Cancer—An Immunohistochemical Assessment. Diagnostics, 14(3), 322. https://doi.org/10.3390/diagnostics14030322

