Impact of Neoadjuvant Therapy on PD-L1 Expression in Triple-Negative Breast Cancer and Correlation with Clinicopathological Factors
Abstract
1. Introduction
- LAR (Luminal Androgen Receptor subtype): This subtype is marked by the expression of genes associated with the androgen receptor (AR), estrogen receptor (ER), ESR1, and other estrogen-regulated genes, despite demonstrating negative immunohistochemical expression for ER.
- MES (Mesenchymal subtype): This subtype exhibits enrichment in genes implicated in cell motility and signaling pathways related to growth factors.
- BLIS (Basal-like Immunosuppressed subtype): Characterized by downregulation of immunoregulatory pathways and dysfunction in DNA repair mechanisms, this subtype also shows expression of VEGFR and transcription factors from the SOX family.
2. Materials and Methods
3. Results
3.1. Clinicopathological Findings
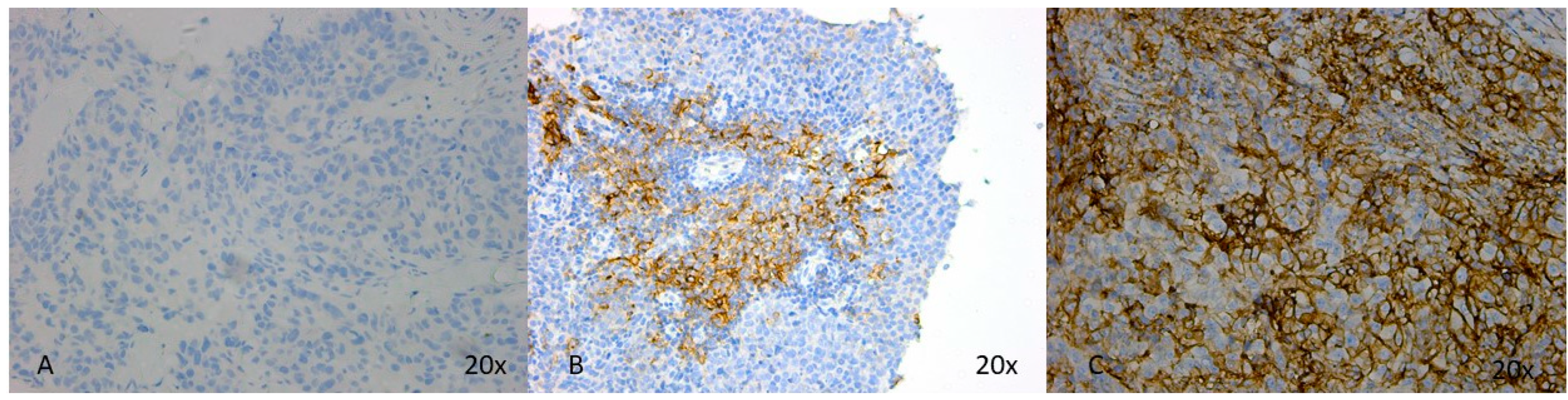
3.2. Immunohistochemical Findings
3.3. PD-L1 Expression
3.4. Correlation Between PD-L1 Expression and Clinicopathological Features
3.5. Correlation Between PD-L1 and Immunohistochemical Parameters
3.6. Pathological Response to Neoadjuvant Treatment
4. Discussion
5. Conclusions
Author Contributions
Funding
Institutional Review Board Statement
Informed Consent Statement
Data Availability Statement
Conflicts of Interest
References
- Zagami, P.; Carey, L.A. Triple Negative Breast Cancer: Pitfalls and Progress. NPJ Breast Cancer 2022, 8, 95. [Google Scholar] [CrossRef] [PubMed]
- Geyer, F.C.; Pareja, F.; Weigelt, B.; Rakha, E.; Ellis, I.O.; Schnitt, S.J.; Reis-Filho, J.S. The Spectrum of Triple-Negative Breast Disease. Am. J. Pathol. 2017, 187, 2139–2151. [Google Scholar] [CrossRef] [PubMed]
- Pareja, F.; Geyer, F.C.; Marchiò, C.; Burke, K.A.; Weigelt, B.; Reis-Filho, J.S. Triple-Negative Breast Cancer: The Importance of Molecular and Histologic Subtyping, and Recognition of Low-Grade Variants. npj Breast Cancer 2016, 2, 16036. [Google Scholar] [CrossRef] [PubMed]
- Cao, L.; Niu, Y. Triple Negative Breast Cancer: Special Histological Types and Emerging Therapeutic Methods. Cancer Biol. Med. 2020, 17, 293–306. [Google Scholar] [CrossRef]
- Medina, M.A.; Oza, G.; Sharma, A.; Arriaga, L.G.; Hernández Hernández, J.M.; Rotello, V.M.; Ramirez, J.T. Triple-Negative Breast Cancer: A Review of Conventional and Advanced Therapeutic Strategies. Int. J. Environ. Res. Public Health 2020, 17, 2078. [Google Scholar] [CrossRef]
- Mustacchi, G.; De Laurentiis, M. The Role of Taxanes in Triple-Negative Breast Cancer: Literature Review. Drug Des. Dev. Ther. 2015, 9, 4303–4318. [Google Scholar] [CrossRef]
- Robson, M.E.; Tung, N.; Conte, P.; Im, S.-A.; Senkus, E.; Xu, B.; Masuda, N.; Delaloge, S.; Li, W.; Armstrong, A.; et al. OlympiAD Final Overall Survival and Tolerability Results: Olaparib versus Chemotherapy Treatment of Physician’s Choice in Patients with a Germline BRCA Mutation and HER2-Negative Metastatic Breast Cancer. Ann. Oncol. 2019, 30, 558–566. [Google Scholar] [CrossRef]
- Tutt, A.; Tovey, H.; Cheang, M.C.U.; Kernaghan, S.; Kilburn, L.; Gazinska, P.; Owen, J.; Abraham, J.; Barrett, S.; Barrett-Lee, P.; et al. Carboplatin in BRCA1/2-Mutated and Triple-Negative Breast Cancer BRCAness Subgroups: The TNT Trial. Nat. Med. 2018, 24, 628–637. [Google Scholar] [CrossRef]
- Santa-Maria, C.A.; O’Donnell, M.; Nunes, R.; Wright, J.L.; Stearns, V. Integrating Immunotherapy in Early-Stage Triple-Negative Breast Cancer: Practical Evidence-Based Considerations. J. Natl. Compr. Cancer Netw. 2022, 20, 738–744. [Google Scholar] [CrossRef]
- Cortes, J.; Rugo, H.S.; Cescon, D.W.; Im, S.-A.; Yusof, M.M.; Gallardo, C.; Lipatov, O.; Barrios, C.H.; Perez-Garcia, J.; Iwata, H.; et al. Pembrolizumab plus Chemotherapy in Advanced Triple-Negative Breast Cancer. N. Engl. J. Med. 2022, 387, 217–226. [Google Scholar] [CrossRef]
- Bardia, A.; Hurvitz, S.A.; Tolaney, S.M.; Loirat, D.; Punie, K.; Oliveira, M.; Brufsky, A.; Sardesai, S.D.; Kalinsky, K.; Zelnak, A.B.; et al. Sacituzumab Govitecan in Metastatic Triple-Negative Breast Cancer. N. Engl. J. Med. 2021, 384, 1529–1541. [Google Scholar] [CrossRef] [PubMed]
- Modi, S.; Jacot, W.; Yamashita, T.; Sohn, J.; Vidal, M.; Tokunaga, E.; Tsurutani, J.; Ueno, N.T.; Prat, A.; Chae, Y.S.; et al. Trastuzumab Deruxtecan in Previously Treated HER2-Low Advanced Breast Cancer. N. Engl. J. Med. 2022, 387, 9–20. [Google Scholar] [CrossRef] [PubMed]
- Gradishar, W.J.; Moran, M.S.; Abraham, J.; Abramson, V.; Aft, R.; Agnese, D.; Allison, K.H.; Anderson, B.; Burstein, H.J.; Chew, H.; et al. NCCN Guidelines® Insights: Breast Cancer, Version 4.2023. J. Natl. Compr. Cancer Netw. JNCCN 2023, 21, 594–608. [Google Scholar] [CrossRef] [PubMed]
- Lehmann, B.D.; Bauer, J.A.; Chen, X.; Sanders, M.E.; Chakravarthy, A.B.; Shyr, Y.; Pietenpol, J.A. Identification of Human Triple-Negative Breast Cancer Subtypes and Preclinical Models for Selection of Targeted Therapies. J. Clin. Investig. 2011, 121, 2750–2767. [Google Scholar] [CrossRef] [PubMed]
- Burstein, M.D.; Tsimelzon, A.; Poage, G.M.; Covington, K.R.; Contreras, A.; Fuqua, S.A.W.; Savage, M.I.; Osborne, C.K.; Hilsenbeck, S.G.; Chang, J.C.; et al. Comprehensive Genomic Analysis Identifies Novel Subtypes and Targets of Triple-Negative Breast Cancer. Clin. Cancer Res. 2014, 21, 1688–1698. [Google Scholar] [CrossRef]
- Lehmann, B.D.; Jovanović, B.; Chen, X.; Estrada, M.V.; Johnson, K.N.; Shyr, Y.; Moses, H.L.; Sanders, M.E.; Pietenpol, J.A. Refinement of Triple-Negative Breast Cancer Molecular Subtypes: Implications for Neoadjuvant Chemotherapy Selection. PLoS ONE 2016, 11, e0157368. [Google Scholar] [CrossRef]
- Xiong, N.; Wu, H.; Yu, Z. Advancements and Challenges in Triple-Negative Breast Cancer: A Comprehensive Review of Therapeutic and Diagnostic Strategies. Front. Oncol. 2024, 14, 1405491. [Google Scholar] [CrossRef]
- Stagg, J.; Allard, B. Immunotherapeutic Approaches in Triple-Negative Breast Cancer: Latest Research and Clinical Prospects. Ther. Adv. Med. Oncol. 2013, 5, 169–181. [Google Scholar] [CrossRef]
- Schmid, P.; Adams, S.; Rugo, H.S.; Schneeweiss, A.; Barrios, C.H.; Iwata, H.; Diéras, V.; Hegg, R.; Im, S.-A.; Shaw Wright, G.; et al. Atezolizumab and Nab-Paclitaxel in Advanced Triple-Negative Breast Cancer. N. Engl. J. Med. 2018, 379, 2108–2121. [Google Scholar] [CrossRef]
- Alsaab, H.O.; Sau, S.; Alzhrani, R.; Tatiparti, K.; Bhise, K.; Kashaw, S.K.; Iyer, A.K. PD-1 and PD-L1 Checkpoint Signaling Inhibition for Cancer Immunotherapy: Mechanism, Combinations, and Clinical Outcome. Front. Pharmacol. 2017, 8, 561. [Google Scholar] [CrossRef]
- Lee, J. Current Treatment Landscape for Early Triple-Negative Breast Cancer (TNBC). J. Clin. Med. 2023, 12, 1524. [Google Scholar] [CrossRef] [PubMed]
- Obidiro, O.; Battogtokh, G.; Akala, E.O. Triple Negative Breast Cancer Treatment Options and Limitations: Future Outlook. Pharmaceutics 2023, 15, 1796. [Google Scholar] [CrossRef] [PubMed]
- Thakur, M.; Chakrabarthi, S.; Haria, P.; Hari, S.; Popat, P.; Katdare, A.; Gala, K.; Chouhan, S.; Nair, N.; Bajpai, J.; et al. Imaging Recommendations for Diagnosis, Staging, and Management of Breast Cancer. Indian J. Med. Paediatr. Oncol. 2023, 44, 207–228. [Google Scholar] [CrossRef]
- Allison, K.H.; Salgado, R.; RAkha, E.A.; Ellis, I.; Penault-Llorka, F.; Vincent-Salomon, A.; Masuda, S.; Tsuda, H.; Horii, R. Invasive breast carcinoma: General overview. In WHO Classification of Tumours Editorial Board. Breast tumours [Internet], 5th ed.; WHO Classification of Tumours Series; International Agency for Research on Cancer: Lyon, France, 2019; Volume 2. Available online: https://tumourclassification.iarc.who.int/chapters/32 (accessed on 15 November 2024).
- Salgado, R.; Denkert, C.; Demaria, S.; Sirtaine, N.; Klauschen, F.; Pruneri, G.; Wienert, S.; Van den Eynden, G.; Baehner, F.L.; Penault-Llorca, F.; et al. The Evaluation of Tumor-Infiltrating Lymphocytes (TILs) in Breast Cancer: Recommendations by an International TILs Working Group 2014. Ann. Oncol. 2015, 26, 259–271. [Google Scholar] [CrossRef]
- Bossuyt, V.; Provenzano, E.; Symmans, W.F.; Webster, F.; Allison, K.H.; Dang, C.; Gobbi, H.; Kulka, J.; Lakhani, S.R.; Moriya, T.; et al. A Dedicated Structured Data Set for Reporting of Invasive Carcinoma of the Breast in the Setting of Neoadjuvant Therapy: Recommendations from the International Collaboration on Cancer Reporting (ICCR). Histopathology 2024, 84, 1111–1129. [Google Scholar] [CrossRef]
- Wolff, A.C.; Somerfield, M.R.; Dowsett, M.; Hammond, M.E.H.; Hayes, D.F.; McShane, L.M.; Saphner, T.J.; Spears, P.A.; Allison, K.H. Human Epidermal Growth Factor Receptor 2 Testing in Breast Cancer: American Society of Clinical Oncology–College of American Pathologists Guideline Update. Arch. Pathol. Lab. Med. 2023, 147, 991–992. [Google Scholar] [CrossRef]
- PD-L1 IHC 22C3 PharmDx Interpretation Manual—Triple-Negative Breast Cancer (TNBC) FDA-Approved for In Vitro Diagnostic Use Rx Only. Available online: https://www.agilent.com/cs/library/usermanuals/public/29389_22c3_pharmdx_tnbc_interpretation_manual_kn355.pdf (accessed on 16 October 2024).
- Debien, V.; De Caluwé, A.; Wang, X.; Piccart-Gebhart, M.; Tuohy, V.K.; Romano, E.; Buisseret, L. Immunotherapy in Breast Cancer: An Overview of Current Strategies and Perspectives. npj Breast Cancer 2023, 9, 7. [Google Scholar] [CrossRef]
- Schmid, P.; Cortes, J.; Pusztai, L.; McArthur, H.; Kümmel, S.; Bergh, J.; Denkert, C.; Park, Y.H.; Hui, R.; Harbeck, N.; et al. Pembrolizumab for Early Triple-Negative Breast Cancer. N. Engl. J. Med. 2020, 382, 810–821. [Google Scholar] [CrossRef]
- Mittendorf, E.A.; Zhang, H.; Barrios, C.H.; Saji, S.; Jung, K.H.; Hegg, R.; Koehler, A.; Sohn, J.; Iwata, H.; Telli, M.L.; et al. Neoadjuvant Atezolizumab in Combination with Sequential Nab-Paclitaxel and Anthracycline-Based Chemotherapy versus Placebo and Chemotherapy in Patients with Early-Stage Triple-Negative Breast Cancer (IMpassion031): A Randomised, Double-Blind, Phase 3 Trial. Lancet 2020, 396, 1090–1100. [Google Scholar] [CrossRef]
- Patel, S.P.; Kurzrock, R. PD-L1 Expression as a Predictive Biomarker in Cancer Immunotherapy. Mol. Cancer Ther. 2015, 14, 847–856. [Google Scholar] [CrossRef]
- Younis, A.; Gribben, J. Immune Checkpoint Inhibitors: Fundamental Mechanisms, Current Status and Future Directions. Immuno 2024, 4, 186–210. [Google Scholar] [CrossRef]
- Erber, R.; Hartmann, A. Understanding PD-L1 Testing in Breast Cancer: A Practical Approach. Breast Care 2020, 15, 481–490. [Google Scholar] [CrossRef] [PubMed]
- Sigurjonsdottir, G.; Marchi, T.D.; Ehinger, A.; Hartman, J.; Bosch, A.; Staaf, J.; Killander, F.; Niméus, E. Comparison of SP142 and 22C3 PD-L1 Assays in a Population-Based Cohort of Triple-Negative Breast Cancer Patients in the Context of Their Clinically Established Scoring Algorithms. Breast Cancer Res. 2023, 25, 123. [Google Scholar] [CrossRef] [PubMed]
- Ivanova, M.; Frascarelli, C.; Cerbelli, B.; Pignataro, M.G.; Pernazza, A.; Venetis, K.; Elham, S.; Criscitiello, C.; Curigliano, G.; Guerini-Rocco, E.; et al. PD-L1 Testing in Metastatic Triple-Negative Breast Cancer: Interobserver and Interplatform Reproducibility of CE-IVD Assays for CPS and IC Scores. Hum. Pathol. 2024, 144, 22–27. [Google Scholar] [CrossRef] [PubMed]
- Lawson, N.L.; Scorer, P.W.; Williams, G.H.; Vandenberghe, M.E.; Ratcliffe, M.J.; Barker, C. Impact of Decalcification, Cold Ischemia, and Deglycosylation on Performance of Programmed Cell Death Ligand-1 Antibodies with Different Binding Epitopes: Comparison of 7 Clones. Mod. Pathol. 2023, 36, 100220. [Google Scholar] [CrossRef]
- Dobritoiu, F.; Baltan, A.; Chefani, A.; Billingham, K.; Chenard, M.-P.; Vaziri, R.; Lacroix-Triki, M.; Waydelich, A.; Erb, G.; Andersson, E.; et al. Tissue Selection for PD-L1 Testing in Triple Negative Breast Cancer (TNBC). Appl. Immunohistochem. Mol. Morphol. 2022, 30, 549–556. [Google Scholar] [CrossRef]
- Zdrenka, M.; Kowalewski, A.; Borowczak, J.; Łysik-Miśkurka, J.; Andrusewicz, H.; Nowikiewicz, T.; Szylberg, Ł. Diagnostic Biopsy Does Not Accurately Reflect the PD-L1 Expression in Triple-Negative Breast Cancer. Clin. Exp. Med. 2023, 23, 5121–5127. [Google Scholar] [CrossRef]
- Danziger, N.; Sokol, E.S.; Graf, R.P.; Hiemenz, M.C.; Maule, J.; Parimi, V.; Palmieri, C.; Pusztai, L.; Ross, J.S.; Huang, R.S.P. Variable Landscape of PD-L1 Expression in Breast Carcinoma as Detected by the DAKO 22C3 Immunohistochemistry Assay. Oncologist 2023, 28, 319–326. [Google Scholar] [CrossRef]
- Boman, C.; Zerdes, I.; Mårtensson, K.; Bergh, J.; Foukakis, T.; Valachis, A.; Matikas, A. Discordance of PD-L1 Status between Primary and Metastatic Breast Cancer: A Systematic Review and Meta-Analysis. Cancer Treat. Rev. 2021, 99, 102257. [Google Scholar] [CrossRef]
- Pelekanou, V.; Carvajal-Hausdorf, D.E.; Altan, M.; Wasserman, B.; Carvajal-Hausdorf, C.; Wimberly, H.; Brown, J.; Lannin, D.; Pusztai, L.; Rimm, D.L. Effect of Neoadjuvant Chemotherapy on Tumor-Infiltrating Lymphocytes and PD-L1 Expression in Breast Cancer and Its Clinical Significance. Breast Cancer Res. 2017, 19, 109. [Google Scholar] [CrossRef]
- Woo, J.W.; Han, E.K.; Suh, K.J.; Kim, S.H.; Kim, J.H.; Park, S.Y. Alteration of PD-L1 (SP142) Status after Neoadjuvant Chemotherapy and Its Clinical Significance in Triple-Negative Breast Cancer. Breast Cancer Res. Treat. 2024, 207, 301–311. [Google Scholar] [CrossRef] [PubMed]
- Grandal, B.; Mangiardi-Veltin, M.; Laas, E.; Laé, M.; Meseure, D.; Bataillon, G.; El-Alam, E.; Darrigues, L.; Dumas, E.; Daoud, E.; et al. PD-L1 Expression after Neoadjuvant Chemotherapy in Triple-Negative Breast Cancers Is Associated with Aggressive Residual Disease, Suggesting a Potential for Immunotherapy. Cancers 2021, 13, 746. [Google Scholar] [CrossRef] [PubMed]
- Noske, A.; Steiger, K.; Ballke, S.; Kiechle, M.; Oettler, D.; Roth, W.; Weichert, W. Comparison of Assessment of Programmed Death-Ligand 1 (PD-L1) Status in Triple-Negative Breast Cancer Biopsies and Surgical Specimens. J. Clin. Pathol. 2023, 77, 239–245. [Google Scholar] [CrossRef] [PubMed]
- Fukuoka, E.; Yamashita, K.; Tanaka, T.; Sawada, R.; Sugita, Y.; Arimoto, A.; Fujita, M.; Takiguchi, G.; Matsuda, T.; Oshikiri, T.; et al. Neoadjuvant Chemotherapy Increases PD-L1 Expression and CD8+ Tumor-Infiltrating Lymphocytes in Esophageal Squamous Cell Carcinoma. Anticancer Res. 2019, 39, 4539–4548. [Google Scholar] [CrossRef] [PubMed]
- Liang, Y.; Yu, M.; Zhou, C.; Zhu, X. Variation of PD-L1 Expression in Locally Advanced Cervical Cancer Following Neoadjuvant Chemotherapy. Diagn. Pathol. 2020, 15, 67. [Google Scholar] [CrossRef]
- Zens, P.; Bello, C.; Scherz, A.; von Gunten, M.; Ochsenbein, A.; Schmid, R.A.; Berezowska, S. The Effect of Neoadjuvant Therapy on PD-L1 Expression and CD8+Lymphocyte Density in Non-Small Cell Lung Cancer. Mod. Pathol. 2022, 35, 1848–1859. [Google Scholar] [CrossRef]
- König, D.; Prince, S.S.; Hayoz, S.; Zens, P.; Berezowska, S.; Jochum, W.; Stauffer, E.; Braunersreuther, V.; Trachsel, B.; Thierstein, S.; et al. Neoadjuvant Treatment Does Not Influence PD-L1 Expression in Stage III Non-Small-Cell Lung Cancer: A Retrospective Analysis of Tumor Samples from the Trials SAKK 16/96, 16/00, 16/01, and 16/14. ESMO Open 2023, 8, 101595. [Google Scholar] [CrossRef]
- Mezzadra, R.; Sun, C.; Jae, L.T.; Gomez-Eerland, R.; de Vries, E.; Wu, W.; Logtenberg, M.E.W.; Slagter, M.; Rozeman, E.A.; Hofland, I.; et al. Identification of CMTM6 and CMTM4 as PD-L1 Protein Regulators. Nature 2017, 549, 106–110. [Google Scholar] [CrossRef]
- Zhang, J.; Bu, X.; Wang, H.; Zhu, Y.; Geng, Y.; Nihira, N.T.; Tan, Y.; Ci, Y.; Wu, F.; Dai, X.; et al. Cyclin D-CDK4 Kinase Destabilizes PD-L1 via Cul3SPOP to Control Cancer Immune Surveillance. Nature 2018, 553, 91–95. [Google Scholar] [CrossRef]
- Deng, L.; Qian, G.; Zhang, S.; Zheng, H.; Fan, S.; Lesinski, G.B.; Owonikoko, T.K.; Ramalingam, S.S.; Sun, S.-Y. Inhibition of MTOR Complex 1/P70 S6 Kinase Signaling Elevates PD-L1 Levels in Human Cancer Cells through Enhancing Protein Stabilization Accompanied with Enhanced β-TrCP Degradation. Oncogene 2019, 38, 6270–6282. [Google Scholar] [CrossRef]
- Wang, H.; Yao, H.; Li, C.; Shi, H.; Lan, J.; Li, Z.; Zhang, Y.; Liang, L.; Fang, J.-Y.; Xu, J. HIP1R Targets PD-L1 to Lysosomal Degradation to Alter T Cell–Mediated Cytotoxicity. Nat. Chem. Biol. 2018, 15, 42–50. [Google Scholar] [CrossRef] [PubMed]
- Cui, J.-W.; Li, Y.; Yang, Y.; Yang, H.-K.; Dong, J.-M.; Xiao, Z.-H.; He, X.; Guo, J.-H.; Wang, R.-Q.; Dai, B.; et al. Tumor Immunotherapy Resistance: Revealing the Mechanism of PD-1/PD-L1-Mediated Tumor Immune Escape. Biomed. Pharmacother. 2024, 171, 116203. [Google Scholar] [CrossRef] [PubMed]
- Fernandez, A.I.; Gaule, P.; Rimm, D.L. Tissue Age Affects Antigenicity and Scoring for the 22C3 Immunohistochemistry Companion Diagnostic Test. Mod. Pathol. 2023, 36, 100159. [Google Scholar] [CrossRef] [PubMed]
- Davey, M.G.; Ryan, É.J.; Davey, M.S.; Lowery, A.J.; Miller, N.; Kerin, M.J. Clinicopathological and Prognostic Significance of Programmed Cell Death Ligand 1 Expression in Patients Diagnosed with Breast Cancer: Meta-Analysis. Br. J. Surg. 2021, 108, 622–631. [Google Scholar] [CrossRef] [PubMed]
- Cirqueira, M.B.; Mendonça, C.R.; Noll, M.; Soares, L.R.; de Paula Carneiro Cysneiros, M.A.; Paulinelli, R.R.; Moreira, M.A.R.; Freitas-Junior, R. Prognostic Role of PD-L1 Expression in Invasive Breast Cancer: A Systematic Review and Meta-Analysis. Cancers 2021, 13, 6090. [Google Scholar] [CrossRef]
- Baptista, M.Z.; Sarian, L.O.; Derchain, S.F.M.; Pinto, G.A.; Vassallo, J. Prognostic Significance of PD-L1 and PD-L2 in Breast Cancer. Hum. Pathol. 2016, 47, 78–84. [Google Scholar] [CrossRef]
- Chu, J.; Yeo, M.-K.; Lee, S.H.; Lee, M.Y.; Chae, S.W.; Kim, H.-S.; Do, S.-I. Clinicopathological and Prognostic Significance of Programmed Death Ligand-1 SP142 Expression in 132 Patients with Triple-Negative Breast Cancer. In Vivo 2022, 36, 2890–2898. [Google Scholar] [CrossRef]
- Stanowska, O.; Kuczkiewicz-Siemion, O.; Dębowska, M.; Olszewski, W.P.; Jagiełło-Gruszfeld, A.; Tysarowski, A.; Prochorec-Sobieszek, M. PD-L1-Positive High-Grade Triple-Negative Breast Cancer Patients Respond Better to Standard Neoadjuvant Treatment—A Retrospective Study of PD-L1 Expression in Relation to Different Clinicopathological Parameters. J. Clin. Med. 2022, 11, 5524. [Google Scholar] [CrossRef]
- Izadi, A.; Naimi, A.; Amjadi, E.; Beheshtiparvar, D.; Soltan, M. The Prevalence of PD-L1 Expression in Triple-Negative Breast Cancer Patients and Its Correlation with Survival Rates and Other Prognostic Factors: A Survival Analysis. Adv. Biomed. Res. 2024, 13, 86. [Google Scholar] [CrossRef]
- Medić-Milijić, N.; Jovanić, I.; Nedeljković, M.; Marković, I.; Spurnić, I.; Milovanović, Z.; Ademović, N.; Tomić, T.; Tanić, N.; Tanić, N. Prognostic and Clinical Significance of PD-L1, EGFR and Androgen Receptor (AR) Expression in Triple-Negative Breast Cancer (TNBC) Patients. Life 2024, 14, 682. [Google Scholar] [CrossRef]
- Kitano, A.; Ono, M.; Yoshida, M.; Noguchi, E.; Shimomura, A.; Shimoi, T.; Kodaira, M.; Yunokawa, M.; Yonemori, K.; Shimizu, C.; et al. Tumour-Infiltrating Lymphocytes Are Correlated with Higher Expression Levels of PD-1 and PD-L1 in Early Breast Cancer. ESMO Open 2017, 2, e000150. [Google Scholar] [CrossRef] [PubMed]
- Mosele, F.; Deluche, E.; Lusque, A.; Le Bescond, L.; Filleron, T.; Pradat, Y.; Ducoulombier, A.; Pistilli, B.; Bachelot, T.; Viret, F.; et al. Trastuzumab Deruxtecan in Metastatic Breast Cancer with Variable HER2 Expression: The Phase 2 DAISY Trial. Nat. Med. 2023, 29, 2110–2120. [Google Scholar] [CrossRef] [PubMed]
- Denkert, C.; von Minckwitz, G.; Darb-Esfahani, S.; Lederer, B.; Heppner, B.I.; Weber, K.E.; Budczies, J.; Huober, J.; Klauschen, F.; Furlanetto, J.; et al. Tumour-Infiltrating Lymphocytes and Prognosis in Different Subtypes of Breast Cancer: A Pooled Analysis of 3771 Patients Treated with Neoadjuvant Therapy. Lancet Oncol. 2018, 19, 40–50. [Google Scholar] [CrossRef] [PubMed]
- de Jong, V.M.T.; Wang, Y.; ter Hoeve, N.D.; Opdam, M.; Stathonikos, N.; Jóźwiak, K.; Hauptmann, M.; Cornelissen, S.; Vreuls, W.; Rosenberg, E.H.; et al. Prognostic Value of Stromal Tumor-Infiltrating Lymphocytes in Young, Node-Negative, Triple-Negative Breast Cancer Patients Who Did Not Receive (Neo)Adjuvant Systemic Therapy. J. Clin. Oncol. 2022, 40, 2361–2374. [Google Scholar] [CrossRef] [PubMed]
- Hendry, S.; Salgado, R.; Gevaert, T.; Russell, P.A.; John, T.; Thapa, B.; Christie, M.; van de Vijver, K.; Estrada, M.V.; Gonzalez-Ericsson, P.I.; et al. Assessing Tumor-Infiltrating Lymphocytes in Solid Tumors. Adv. Anat. Pathol. 2017, 24, 235–251. [Google Scholar] [CrossRef]
- van den Ende, N.S.; Nguyen, A.H.; Jager, A.; Kok, M.; Debets, R.; van Deurzen, C.H.M. Triple-Negative Breast Cancer and Predictive Markers of Response to Neoadjuvant Chemotherapy: A Systematic Review. Int. J. Mol. Sci. 2023, 24, 2969. [Google Scholar] [CrossRef]
- Shirman, Y.; Lubovsky, S.; Shai, A. HER2-Low Breast Cancer: Current Landscape and Future Prospects. Breast Cancer 2023, 15, 605–616. [Google Scholar] [CrossRef]
- Bhattarai, S.; Saini, G.; Li, H.; Duanmu, H.; Seth, G.; Fisher, T.B.; Janssen, E.A.M.; Kiraz, U.; Kong, J.; Aneja, R. Predicting Neoadjuvant Treatment Response in Triple-Negative Breast Cancer Using Machine Learning. Diagnostics 2023, 14, 74. [Google Scholar] [CrossRef]
- Sharma, P.; Stecklein, S.R.; Yoder, R.; Staley, J.M.; Schwensen, K.; O’Dea, A.; Nye, L.; Satelli, D.; Crane, G.; Madan, R.; et al. Clinical and Biomarker Findings of Neoadjuvant Pembrolizumab and Carboplatin plus Docetaxel in Triple-Negative Breast Cancer. JAMA Oncol. 2024, 10, 227. [Google Scholar] [CrossRef]
- Gluz, O.; Nitz, U.; Kolberg-Liedtke, C.; Prat, A.; Christgen, M.; Kuemmel, S.; Mohammadian, M.P.; Gebauer, D.; Kates, R.; Paré, L.; et al. De-Escalated Neoadjuvant Chemotherapy in Early Triple-Negative Breast Cancer (TNBC): Impact of Molecular Markers and Final Survival Analysis of the WSG-ADAPT-TN Trial. Clin. Cancer Res. 2022, 28, 4995–5003. [Google Scholar] [CrossRef]
- Zhou, Y.; Tian, Q.; Wang, B.-Y.; Yang, J.; Zhao, S.-D. The Prognostic Significance of TILs as a Biomarker in Triple-Negative Breast Cancer: What Is the Role of TILs in TME of TNBC? Eur. Rev. Med. Pharmacol. Sci. 2021, 25, 2885–2897. [Google Scholar] [CrossRef] [PubMed]
- Seo, A.; Lee, H.; Kim, E.; Kim, H.-C.; Jang, M.K.; Lee, H.; Kim, Y.; Kim, J.-H.; Park, S.K. Tumour-Infiltrating CD8+ Lymphocytes as an Independent Predictive Factor for Pathological Complete Response to Primary Systemic Therapy in Breast Cancer. Br. J. Cancer 2013, 109, 2705–2713. [Google Scholar] [CrossRef] [PubMed]
- Blackley, E.F.; Loi, S. Targeting Immune Pathways in Breast Cancer: Review of the Prognostic Utility of TILs in Early Stage Triple Negative Breast Cancer (TNBC). Breast 2019, 48, S44–S48. [Google Scholar] [CrossRef] [PubMed]
- Masuda, H.; Masuda, N.; Kodama, Y.; Ogawa, M.; Karita, M.; Yamamura, J.; Tsukuda, K.; Doihara, H.; Miyoshi, S.; Mano, M.; et al. Predictive Factors for the Effectiveness of Neoadjuvant Chemotherapy and Prognosis in Triple-Negative Breast Cancer Patients. Cancer Chemother. Pharmacol. 2010, 67, 911–917. [Google Scholar] [CrossRef] [PubMed]
- Miyashita, M.; Sasano, H.; Tamaki, K.; Chan, M.; Hirakawa, H.; Suzuki, A.; Tada, H.; Watanabe, G.; Nemoto, N.; Nakagawa, S.; et al. Tumor-Infiltrating CD8+ and FOXP3+ Lymphocytes in Triple-Negative Breast Cancer: Its Correlation with Pathological Complete Response to Neoadjuvant Chemotherapy. Breast Cancer Res. Treat. 2014, 148, 525–534. [Google Scholar] [CrossRef]
- Guestini, F.; Ono, K.; Miyashita, M.; Ishida, T.; Ohuchi, N.; Nakagawa, S.; Hirakawa, H.; Tamaki, K.; Ohi, Y.; Rai, Y.; et al. Impact of Topoisomerase IIα, PTEN, ABCC1/MRP1, and KI67 on Triple-Negative Breast Cancer Patients Treated with Neoadjuvant Chemotherapy. Breast Cancer Res. Treat. 2019, 173, 275–288. [Google Scholar] [CrossRef]
- Sakuma, K.; Kurosumi, M.; Oba, H.; Kobayashi, Y.; Takei, H.; Inoue, K.; Tabei, T.; Oyama, T. Pathological Tumor Response to Neoadjuvant Chemotherapy Using Anthracycline and Taxanes in Patients with Triple-Negative Breast Cancer. Exp. Ther. Med. 2011, 2, 257–264. [Google Scholar] [CrossRef]
- Kraus, J.A.; Beriwal, S.; Dabbs, D.J.; Ahrendt, G.M.; McGuire, K.P.; Johnson, R.R.; Badve, P.; Puhalla, S.L.; Bhargava, R. Predictors of Pathologic Complete Response after Standard Neoadjuvant Chemotherapy in Triple-Negative Breast Carcinoma. Appl. Immunohistochem. Mol. Morphol. 2012, 20, 334–339. [Google Scholar] [CrossRef]
- Kawate, T.; Iwaya, K.; Kikuchi, R.; Kaise, H.; Oda, M.; Sato, E.; Hiroi, S.; Matsubara, O.; Kohno, N. DJ-1 Protein Expression as a Predictor of Pathological Complete Remission after Neoadjuvant Chemotherapy in Breast Cancer Patients. Breast Cancer Res. Treat. 2013, 139, 51–59. [Google Scholar] [CrossRef]
- Samstein, R.M.; Lee, C.-H.; Shoushtari, A.N.; Hellmann, M.D.; Shen, R.; Janjigian, Y.Y.; Barron, D.A.; Zehir, A.; Jordan, E.J.; Omuro, A.; et al. Tumor Mutational Load Predicts Survival after Immunotherapy across Multiple Cancer Types. Nat. Genet. 2019, 51, 202–206. [Google Scholar] [CrossRef]
- Shen, H.; Yang, E.S.-H.; Conry, M.; Fiveash, J.; Contreras, C.; Bonner, J.A.; Shi, L.Z. Predictive Biomarkers for Immune Checkpoint Blockade and Opportunities for Combination Therapies. Genes Dis. 2019, 6, 232–246. [Google Scholar] [CrossRef] [PubMed]
- Nakamura, Y. Biomarkers for Immune Checkpoint Inhibitor-Mediated Tumor Response and Adverse Events. Front. Med. 2019, 6, 119. [Google Scholar] [CrossRef] [PubMed]
- Liu, C.; Qian, X.; Yu, C.; Xia, X.; Li, J.; Li, Y.; Xie, Y.; Gao, G.; Song, Y.; Zhang, M.; et al. Inhibition of ATM Promotes PD-L1 Expression by Activating JNK/C-Jun/TNF-α Signaling Axis in Triple-Negative Breast Cancer. Cancer Lett. 2024, 586, 216642. [Google Scholar] [CrossRef]
- Halder, R.; Bhamidipati, N.; Kiss, A.; Aldhahri, W.; Ehsani, S.; Segar, J.M.; Foster, N.; Chalasani, P. Change in Tumor Microenvironment and PD-L1 Expression with Rucaparib Treatment in Triple-Negative Breast Cancer. J. Clin. Oncol. 2024, 42, e12569. [Google Scholar] [CrossRef]
- Polho, G.B.; Testa, L.; Barroso-Sousa, R.; Bonadio, R.C. Predictive Biomarkers for Pathological Complete Response in Early-Stage Triple Negative Breast Cancer Following Neoadjuvant Chemotherapy. J. Clin. Oncol. 2024, 42, 598. [Google Scholar] [CrossRef]
- Domergue, C.; Martin, E.; Lemarié, C.; Jézéquel, P.; Frenel, J.-S.; Augereau, P.; Campone, M.; Patsouris, A. Impact of HER2 Status on Pathological Response after Neoadjuvant Chemotherapy in Early Triple-Negative Breast Cancer. Cancers 2022, 14, 2509. [Google Scholar] [CrossRef]



| PD-L1 Expressions on Residual Tumors | |||
|---|---|---|---|
| CPS < 10 | CPS ≥ 10 | ||
| PD-L1 Expression on Primary Tumors | CPS < 10 | 14 (93.3%) | 1 (6.7%) | 
| CPS ≥ 10 | 9 (52.9%) | 8 (47.1%) | |
| Overall (N = 88) | PD-L1+ (N = 39) | PD-L1− (N = 49) | p-Value | 
|---|---|---|---|
| Age | 57.81 (32–88) | 63.84 (37–88) | 0.104 | 
| Stage | 0.134 | ||
| T1 | 7 (18.4%) | 17 (34.7%) | |
| T2 | 21 (55.3%) | 23 (46.9%) | |
| T3 | 2 (5.3%) | 5 (10.2%) | |
| T4 | 8 (21.1%) | 4 (8.2%) | |
| Positive lymph nodes | 24 (61.5%) | 18 (36.7%) | 0.081 | 
| Grade | 0.134 | ||
| G2 | 6 (15.4%) | 14 (28.6%) | |
| G3 | 33 (84.6%) | 35 (71.4%) | |
| Mitotic count | 11.33 (2–41) | 9.51 (2–27) | 0.161 | 
| TILs% | 41.79 (10–70) | 27.55 (5–80) | 0.001 | 
| HER2-low | 15 (38.5%) | 19 (38.8%) | 1.0 | 
| Ki-67% | 64.49 (15–80) | 52.86 (10–90) | 0.015 | 
| Ki-67 ≥ 50 | 36 (92.3%) | 33 (67.3%) | 0.008 | 
| Disclaimer/Publisher’s Note: The statements, opinions and data contained in all publications are solely those of the individual author(s) and contributor(s) and not of MDPI and/or the editor(s). MDPI and/or the editor(s) disclaim responsibility for any injury to people or property resulting from any ideas, methods, instructions or products referred to in the content. | 
© 2024 by the authors. Licensee MDPI, Basel, Switzerland. This article is an open access article distributed under the terms and conditions of the Creative Commons Attribution (CC BY) license (https://creativecommons.org/licenses/by/4.0/).
Share and Cite
Ilieva, N.; Pencheva, M.; Hadzhiev, H.; Tashkova, D.; Daskalova, E.; Georgiev, P.; Genova, S. Impact of Neoadjuvant Therapy on PD-L1 Expression in Triple-Negative Breast Cancer and Correlation with Clinicopathological Factors. Diagnostics 2024, 14, 2672. https://doi.org/10.3390/diagnostics14232672
Ilieva N, Pencheva M, Hadzhiev H, Tashkova D, Daskalova E, Georgiev P, Genova S. Impact of Neoadjuvant Therapy on PD-L1 Expression in Triple-Negative Breast Cancer and Correlation with Clinicopathological Factors. Diagnostics. 2024; 14(23):2672. https://doi.org/10.3390/diagnostics14232672
Chicago/Turabian StyleIlieva, Nevena, Mina Pencheva, Hristo Hadzhiev, Desislava Tashkova, Elena Daskalova, Petar Georgiev, and Sylvia Genova. 2024. "Impact of Neoadjuvant Therapy on PD-L1 Expression in Triple-Negative Breast Cancer and Correlation with Clinicopathological Factors" Diagnostics 14, no. 23: 2672. https://doi.org/10.3390/diagnostics14232672
APA StyleIlieva, N., Pencheva, M., Hadzhiev, H., Tashkova, D., Daskalova, E., Georgiev, P., & Genova, S. (2024). Impact of Neoadjuvant Therapy on PD-L1 Expression in Triple-Negative Breast Cancer and Correlation with Clinicopathological Factors. Diagnostics, 14(23), 2672. https://doi.org/10.3390/diagnostics14232672
 
        


 
       