Rectal Cancer and Lateral Lymph Node Staging: Interobserver Agreement and Success in Predicting Locoregional Recurrence
Abstract
1. Introduction
2. Materials and Methods
2.1. Patient Selection and Study Design
2.1.1. Training
2.1.2. Post-Training Evaluation
2.2. Chemoradiotherapy and Surgical Protocols
2.3. Imaging Technique
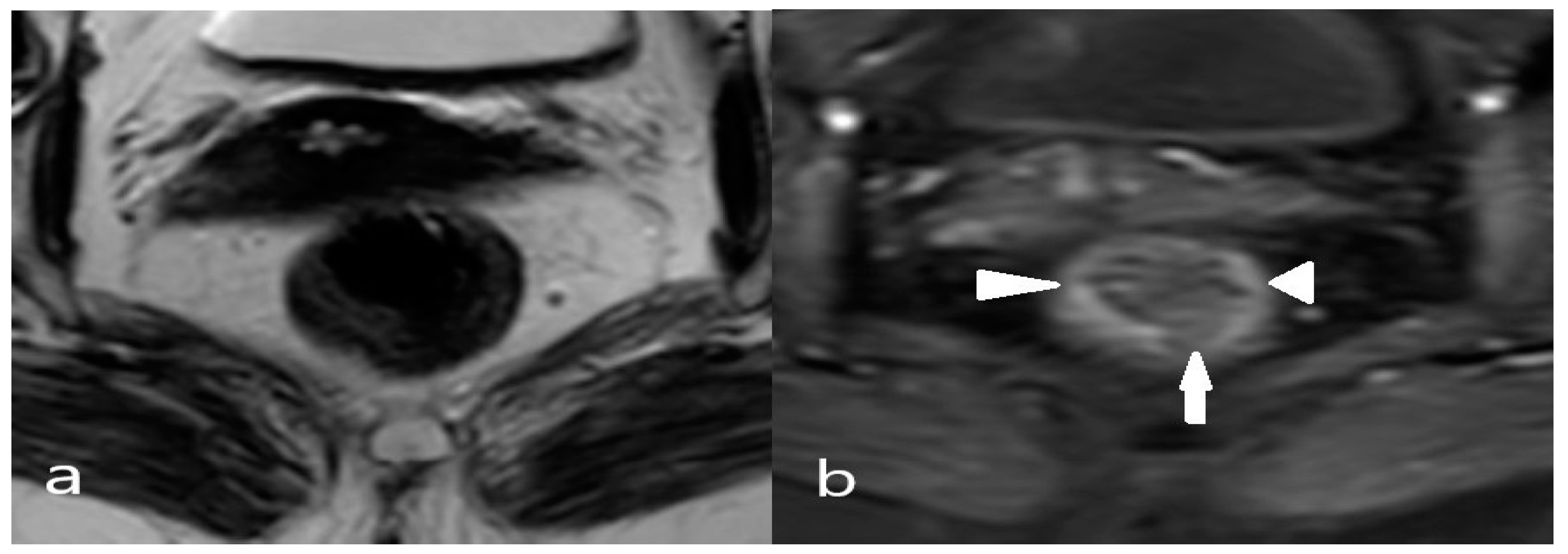
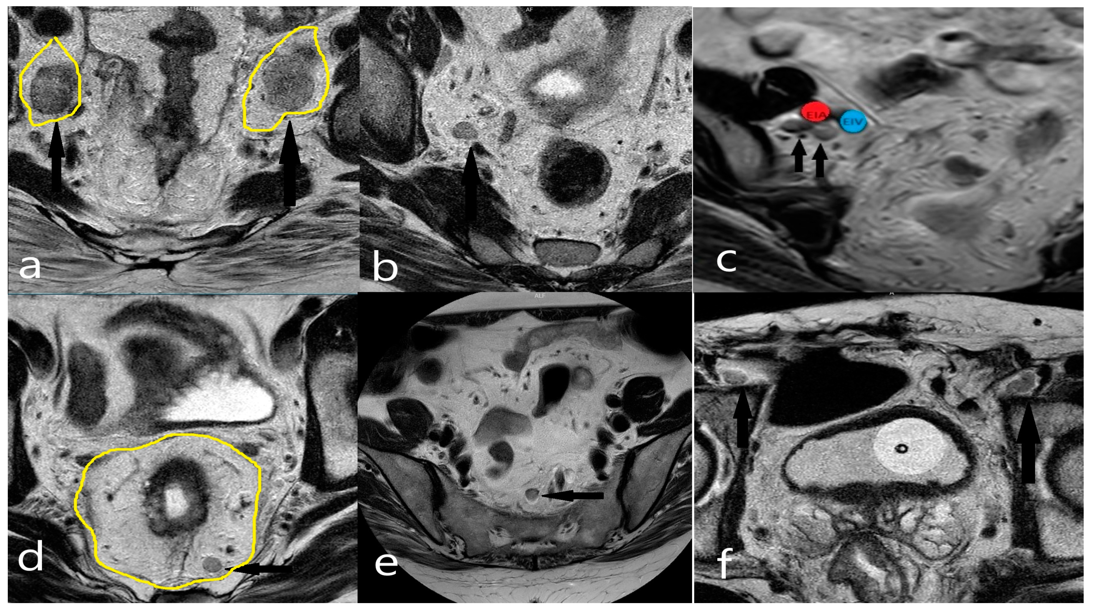
2.4. MRI Evaluation
2.5. Anatomical Classification of Lateral Lymph Nodes and Classification of Pathological Lymph Nodes Based on Size
2.6. Statistical Analysis
3. Results
4. Discussion
5. Conclusions
Supplementary Materials
Author Contributions
Funding
Institutional Review Board Statement
Informed Consent Statement
Data Availability Statement
Conflicts of Interest
References
- Sluckin, T.C.; Hazen, S.J.A.; Horsthuis, K.; Lambregts, D.M.J.; Beets-Tan, R.G.H.; Tanis, P.J.; Kusters, M. Dutch Lateral Node Imaging group. Significant improvement after training in the assessment of lateral compartments and short-axis measurements of lateral lymph nodes in rectal cancer. Eur. Radiol. 2023, 33, 483–492. [Google Scholar] [CrossRef] [PubMed]
- Lee, S.; Kassam, Z.; Baheti, A.D.; Hope, T.A.; Chang, K.J.; Korngold, E.K.; Taggart, M.W.; Horvat, N. Rectal cancer lexicon 2023 revised and updated consensus statement from the Society of Abdominal Radiology Colorectal and Anal Cancer Disease-Focused Panel. Abdom. Radiol. 2023, 48, 2792–2806. [Google Scholar] [CrossRef] [PubMed]
- Steup, W.H.; Moriya, Y.; van de Velde, C.J. Patterns of lymphatic spread in rectal cancer. A topographical analysis on lymph node metastases. Eur. J. Cancer 2002, 38, 911–918. [Google Scholar] [CrossRef] [PubMed]
- Kim, J.H.; Beets, G.L.; Kim, M.J.; Kessels, A.G.; Beets-Tan, R.G. Highresolution MR imaging for nodal staging in rectal cancer: Are there any criteria in addition to the size? Eur. J. Radiol. 2004, 52, 78–83. [Google Scholar] [CrossRef]
- Ryan, R.; Gibbons, D.; Hyland, J.M.P.; Treanor, D.; White, A.; Mulcahy, H.E.; O’Donoghue, D.P.; Moriarty, M.; Fennelly, D.; Sheahan, K. Pathological response following long-course neoadjuvant chemoradiotherapy for locally advanced rectal cancer. Histopathology 2005, 47, 141–146. [Google Scholar] [CrossRef]
- Ma, B.; Gao, P.; Wang, H.; Xu, Q.; Song, Y.; Huang, X.; Sun, J.; Zhao, J.; Luo, J.; Sun, Y.; et al. What has preoperative radio (chemo) therapy brought to localized rectal cancer patients in terms of perioperative and long-term outcomes over the past decades? A systematic review and meta-analysis based on 41,121 patients. Int. J. Cancer 2017, 141, 1052–1065. [Google Scholar] [CrossRef]
- Kidron, D.; Lahav, L.; Berkovich, L.; Mishaeli, M.; Haj, N.; Shmuel, Y. Lack of Pathological Response of Rectal Cancer to Neoadjuvant Chemoradiotherapy is Associated with Poorer Long-Term Oncological Outcomes. Clin. Oncol. Res. 2019, 2, 1–6. [Google Scholar]
- Conroy, T.; Bosset, J.F.; Etienne, P.L.; Rio, E.; François, É.; Mesgouez-Nebout, N.; Marquis, I. Neoadjuvant chemotherapy with FOLFIRINOX and preoperative chemoradiotherapy for patients with locally advanced rectal cancer (UNICANCER-PRODIGE 23): A multicentre, randomised, open-label, phase 3 trial. Lancet Oncol. 2021, 22, 702–715. [Google Scholar] [CrossRef]
- Bahadoer, R.R.; Dijkstra, E.A.; van Etten, B.; Marijnen, C.A.; Putter, H.; Kranenbarg, E.M.K.; Roodvoets, A.G.; Nagtegaal, I.D.; Beets-Tan, R.G.; Blomqvist, L.K.; et al. Short-course radiotherapy followed by chemotherapy before total mesorectal excision (TME) versus preoperative chemoradiotherapy, TME, and optional adjuvant chemotherapy in locally advanced rectal cancer (RAPIDO): A randomised, open-label, phase 3 trial. Lancet Oncol. 2021, 22, 29–42. [Google Scholar] [CrossRef]
- Hazen, S.J.A.; Sluckin, T.C.; Konishi, T.; Kusters, M. Lateral lymph node dissection in rectal cancer: State of the art review. Eur. J. Surg. Oncol. 2022, 48, 2315–2322. [Google Scholar] [CrossRef]
- Gollub, M.J.; Lall, C.; Lalwani, N.; Rosenthal, M.H. Current controversy, confusion, and imprecision in the use and interpretation of rectal MRI. Abdom. Radiol. 2019, 44, 3549–3558. [Google Scholar] [CrossRef] [PubMed]
- Kassam, Z.; Lang, R.; Arya, S.; Bates, D.D.; Chang, K.J.; Fraum, T.J.; Friedman, K.A.; Golia Pernicka, J.S.; Gollub, M.J.; Harisinghani, M.; et al. Update to the structured MRI report for primary staging of rectal cancer: Perspective from the SAR Disease Focused Panel on Rectal and Anal Cancer. Abdom. Radiol. 2022, 47, 3364–3374. [Google Scholar] [CrossRef] [PubMed]
- Ebbehoj, A.L.; Jorgensen, L.N.; Krarup, P.M.; Smith, H.G. Histopathological risk factors for lymph node metastases in T1 colorectal cancer: Meta-analysis. Br. J. Surg. 2021, 108, 769–776. [Google Scholar] [CrossRef] [PubMed]
- Beets-Tan, R.G.H.; Lambregts, D.M.J.; Maas, M.; Bipat, S.; Barbaro, B.; Curvo-Semedo, L.; Fenlon, H.M.; Gollub, M.J.; Gourtsoyianni, S.; Halligan, S.; et al. Magnetic resonance imaging for clinical management of rectal cancer: Updated recommendations from the 2016 European Society of Gastrointestinal and Abdominal Radiology (ESGAR) consensus meeting. Eur. Radiol. 2018, 28, 1465–1475. [Google Scholar] [CrossRef] [PubMed]
- Wan, L.J.; Liu, Y.; Peng, W.J.; Zou, S.M.; Ye, F.; Ouyang, H.; Zhao, X.M.; Zhou, C.W.; Zhang, H.M. Submucosal Enhancing Stripe as a Contrast Material-enhanced MRI based Imaging Feature for the Diferentiation of Stage T0–T1 from Early T2 Rectal Cancers. Radiology 2021, 298, 93–101. [Google Scholar] [CrossRef]
- Landis, J.R.; Koch, G.G. The measurement of observer agreement for categorical data. Biometrics 1977, 33, 159–174. [Google Scholar] [CrossRef]
- Stelzner, S.; Ruppert, R.; Kube, R.; Strassburg, J.; Lewin, A.; Baral, J.; Maurer, C.A.; Sauer, J.; Lauscher, J.; Winde, G.; et al. Selection of patients with rectal cancer for neoadjuvant therapy using pre-therapeutic MRI—Results from OCUM trial. Eur. J. Radiol. 2022, 147, 110113. [Google Scholar] [CrossRef]
- Siegel, R.L.; Miller, K.D.; Jemal, A. Cancer statistics, 2018. CA Cancer J. Clin. 2018, 68, 7–30. [Google Scholar] [CrossRef]
- Kennedy, E.D.; Simunovic, M.; Jhaveri, K.; Kirsch, R.; Brierley, J.; Drolet, S.; Brown, C.; Vos, P.M.; Xiong, W.; MacLean, T.; et al. Safety and Feasibility of Using Magnetic Resonance Imaging Criteria to Identify Patients With “Good Prognosis” Rectal Cancer Eligible for Primary Surgery: The Phase 2 Nonrandomized QuickSilver Clinical Trial. JAMA Oncol. 2019, 5, 961–966. [Google Scholar] [CrossRef]
- Lambregts, D.M.J.; Bogveradze, N.; Blomqvist, L.K.; Fokas, E.; Garcia-Aguilar, J.; Glimelius, B.; Gollub, M.J.; Konishi, T.; Marijnen, C.A.M.; Nagtegaal, I.D.; et al. Current controversies in TNM for the radiological staging of rectal cancer and how to deal with them: Results of a global online survey and multidisciplinary expert consensus. Eur. Radiol. 2022, 32, 4991–5003. [Google Scholar] [CrossRef]
- Wnorowski, A.M.; Menias, C.O.; Pickhardt, P.J.; Kim, D.H.; Hara, A.K.; Lubner, M.G. Mucin-Containing Rectal Carcinomas: Overview of Unique Clinical and Imaging Features. AJR Am. J. Roentgenol. 2019, 213, 26–34. [Google Scholar] [CrossRef] [PubMed]
- Benson, A.B.; Venook, A.P.; Al-Hawary, M.M.; Azad, N.; Chen, Y.J.; Ciombor, K.K.; Cohen, S.; Cooper, H.S.; Deming, D.; Garrido-Laguna, I.; et al. Rectal Cancer, Version 2.2022, NCCN Clinical Practice Guidelines in Oncology. J. Natl. Compr. Cancer Netw. 2022, 20, 1139–1167. [Google Scholar] [CrossRef] [PubMed]
- Pernicka, J.S.G.; Bates, D.D.; Fuqua, J.L., III; Knezevic, A.; Yoon, J.; Nardo, L.; Petkovska, I.; Paroder, V.; Nash, G.M.; Markowitz, A.J.; et al. Meaningful words in rectal MRI synoptic reports: How “polypoid” may be prognostic. Clin. Imaging 2021, 80, 371–376. [Google Scholar] [CrossRef] [PubMed]
- Suthar, M.; Baheti, A.D.; Ankathi, S.K.; Choudhari, A.; Haria, P.D.; Engineer, R.; Ostwal, V.; Ramadwar, M.S.; Desouza, A.; Saklani, A. MRI features of signet ring rectal cancer. Abdom. Radiol. 2021, 46, 5536–5549. [Google Scholar] [CrossRef] [PubMed]
- Lord, A.C.; D’souza, N.; Shaw, A.; Rokan, Z.; Moran, B.; Abulafi, M.; Rasheed, S.; Chandramohan, A.; Corr, A.; Chau, I.; et al. MRI-Diagnosed Tumor Deposits and EMVI Status Have Superior Prognostic Accuracy to Current Clinical TNM Staging in Rectal Cancer. Ann. Surg. 2022, 276, 334–344. [Google Scholar] [CrossRef]
- Ogura, A.; Konishi, T.; Beets, G.L.; Cunningham, C.; Garcia-Aguilar, J.; Iversen, H.; Toda, S.; Lee, I.K.; Lee, H.X.; Uehara, K.; et al. Lateral Nodal Features on Restaging Magnetic Resonance Imaging Associated with Lateral Local Recurrence in Low Rectal Cancer After Neoadjuvant Chemoradiotherapy or Radiotherapy. JAMA Surg. 2019, 154, e192172. [Google Scholar] [CrossRef]
- Takao, M.; Kawai, K.; Nakano, D.; Dejima, A.; Nakamori, S.; Natsume, S.; Ise, I.; Kato, H.; Yamaguchi, T. Recurrence of rectal cancer on the pelvic sidewall after lateral lymph node dissection. Int. J. Colorectal Dis. 2024, 39, 80. [Google Scholar] [CrossRef]
- Gollub, M.J.; Arya, S.; Beets-Tan, R.G.; Deprisco, G.; Gonen, M.; Jhaveri, K.; Kassam, Z.; Kaur, H.; Kim, D.; Knezevic, A.; et al. Use of magnetic resonance imaging in rectal cancer patients: Society of Abdominal Radiology (SAR) rectal cancer disease-focused panel (DFP) recommendations 2017. Abdom. Radiol. 2018, 43, 2893–2902. [Google Scholar] [CrossRef]
- Fernandez, L.M.; São Julião, G.P.; Figueiredo, N.L.; Beets, G.L.; van der Valk, M.J.; Bahadoer, R.R.; Hilling, D.E.; Kranenbarg, E.M.K.; Roodvoets, A.G.; Renehan, A.G.; et al. Conditional recurrence-free survival of clinical complete responders managed by watch and wait after neoadjuvant chemoradiotherapy for rectal cancer in the International Watch & Wait Database: A retrospective, international, multicentre registry study. Lancet Oncol. 2021, 22, 43–50. [Google Scholar]
- Fokas, E.; Schlenska-Lange, A.; Polat, B.; Klautke, G.; Grabenbauer, G.G.; Fietkau, R.; Kuhnt, T.; Staib, L.; Brunner, T.; Grosu, A.L.; et al. Chemoradiotherapy Plus Induction or Consolidation Chemotherapy as Total Neoadjuvant Therapy for Patients With Locally Advanced Rectal Cancer: Long-term Results of the CAO/ARO/AIO-12 Randomized Clinical Trial. JAMA Oncol. 2022, 8, e215445. [Google Scholar] [CrossRef]
- Schaap, D.P.; Boogerd, L.S.F.; Konishi, T.; Cunningham, C.; Ogura, A.; Garcia-Aguilar, J.; Beets, G.L.; Suzuki, C.; Toda, S.; Lee, I.K.; et al. Rectal cancer lateral lymph nodes: Multicentre study of the impact of obturator and internal iliac nodes on oncological outcomes. Br. J. Surg. 2021, 108, 205–213. [Google Scholar] [CrossRef] [PubMed]
- Garcia-Aguilar, J.; Patil, S.; Gollub, M.J.; Kim, J.K.; Yuval, J.B.; Thompson, H.M.; Verheij, F.S.; Omer, D.M.; Lee, M.; Dunne, R.F.; et al. Organ Preservation in Patients with Rectal Adenocarcinoma Treated With Total Neoadjuvant Therapy. J. Clin. Oncol. 2022, 40, 2546–2556. [Google Scholar] [CrossRef] [PubMed]
- Bates, D.D.B.; Homsi, M.E.; Chang, K.J.; Lalwani, N.; Horvat, N.; Sheedy, S.P. MRI for Rectal Cancer: Staging, mrCRM, EMVI, Lymph Node Staging and Post-Treatment Response. Clin. Colorectal Cancer 2022, 21, 10–18. [Google Scholar] [CrossRef] [PubMed]
- Chandramohan, A.; Mittal, R.; Dsouza, R.; Yezzaji, H.; Eapen, A.; Simon, B.; John, R.; Singh, A.; Ram, T.S.; Jesudason, M.R.; et al. Prognostic significance of MR identified EMVI, tumour deposits, mesorectal nodes and pelvic side wall disease in locally advanced rectal cancer. Colorectal Dis. 2022, 24, 428–438. [Google Scholar] [CrossRef]






| Number (n) | Percentage (%) | |
|---|---|---|
| Sex | ||
| Female | 96 | 40.2 |
| Male | 143 | 59.8 |
| Local Recurrence | ||
| Absent | 175 | 73.2 |
| Present | 64 | 26.8 |
| Localization of primary tumor | ||
| Upper rectum | 52 | 21.8 |
| Middle rectum | 118 | 49.4 |
| Lower rectum | 55 | 23 |
| Extending to the dentate line/anal | 14 | 5.9 |
| Distant organ metastasis during follow-up | ||
| Liver | 12 | 5 |
| Lung | 7 | 2.93 |
| Bone | 3 | 1.26 |
| Brain | 2 | 0.83 |
| Response to treatment of primary tumor | ||
| No response-minimal response | 56 | 23.5 |
| Partial response | 84 | 35.1 |
| Near-complete response | 72 | 30.1 |
| Complete response | 27 | 11.3 |
| Grade * | ||
| 1 | 64 | 26.8 |
| 2 | 148 | 61.9 |
| 3 | 23 | 9.6 |
| 4 | 4 | 1.7 |
| Pathological evaluation in the specimen after the primary surgery (n/%) | MRI evaluation at diagnosis (n/%) | |
| T stage | ||
| T1 | 31 (12.9) | 5 (2.1) |
| T2 | 92 (38.4) | 102 (42.7) |
| T3A | 64 (26.9) | 69 (26.8) |
| T3B | 11 (4.6) | 15 (10) |
| T3C | 9 (3.8) | 18 (3.8) |
| T3D | 6 (2.5) | 8 (3.3) |
| T4A | 16 (6.7) | 10 (7.1) |
| T4B | 10 (4.2) | 12 (4.2) |
| Lymph node localization | ||
| No lymph node involvement | 88 (36.8) | 73 (30.5) |
| Total mesorectal excision (mesorectal, superior rectal) | 63 (26.4) | 67 (28.1) |
| Internal iliac | 57 (23.8) | 63 (26.4) |
| Obturator | 23 (9.6) | 22 (9.1) |
| M1 (inguinal, external, or common iliac, retroperitoneal) | 8 (3.3) | 14 (5.9) |
| MRF invasion | ||
| Present | 76 (31.8) | 68 (28.5) |
| Absent | 163 (68.2) | 171 (71.5) |
| EMVI | ||
| Present | 23 (9.6) | 29 (12.1) |
| Absent | 216 (90.4) | 210 (87.9) |
| External sphincter invasion | ||
| Absent | 223 (93.3) | 206 (86.2) |
| Present | 16 (6.7) | 33 (13.8) |
| Mucin content of the mass | ||
| No mucin | 219 (91,7) | 218 (91.2) |
| Some mucin | 7 (2.9) | 12 (5) |
| Mostly mucin | 13 (5.4) | 9 (3.8) |
| Mucin content of the lymph node | ||
| No mucin | 207 (86.7) | 224 (93.7) |
| Some mucin | 19 (7.9) | 6 (2.5) |
| Mostly mucin | 13 (5.4) | 9 (3.8) |
| Mean ± SD | Median (Min–Max) | |
| Age (years) | 64.1 ± 11.4 | 65 (27–91) |
| Survival (months) | 45.6 ± 1.5 | 46 (27–52) |
| Locoregional recurrence (months) | 18.2 ± 2.3 | 19 (14–38) |
| Reader 1 (κ) | Reader 2 (κ) | Reference Standard (k) | |
|---|---|---|---|
| Localization of tumor involvement | * | ||
| Reader 1 | 0.981 | ||
| Reader 2 | 0.981 | 1.000 | |
| Reader 3 | 0.981 | 1.000 | 1.000 |
| Tumor coverage pattern | * | ||
| Reader 1 | 0.974 | ||
| Reader 2 | 0.955 | 0.981 | |
| Reader 3 | 0.911 | 0.898 | 0.917 |
| External sphincter involvement | * | ||
| Reader 1 | 0.924 | ||
| Reader 2 | 0.941 | 0.956 | |
| Reader 3 | 0.874 | 0.883 | 0.911 |
| Mucin content of the mass | * | ||
| Reader 1 | 0.961 | ||
| Reader 2 | 0.933 | 0.913 | |
| Reader 3 | 0.938 | 0.891 | 0.904 |
| Mucin content of the lymph node | * | ||
| Reader 1 | 0.901 | ||
| Reader 2 | 0.932 | 0.832 | |
| Reader 3 | 0.915 | 0.858 | 0.803 |
| Changes in the peritoneum in cases classified as T4 | * | ||
| Reader 1 | 1.000 | ||
| Reader 2 | 1.000 | 1.000 | |
| Reader 3 | 0.967 | 0.961 | 0.975 |
| MRI T stage | * | ||
| Reader 1 | 0.826 | ||
| Reader 2 | 0.707 | 0.858 | |
| Reader 3 | 0.757 | 0.760 | 0.898 |
| Distance between tumor and MRF (<1 mm, 1–2 mm, or >2 mm) | * | ||
| Reader 1 | 0.751 | ||
| Reader 2 | 0.657 | 0.680 | |
| Reader 3 | 0.661 | 0.697 | 0.677 |
| Distance between tumor and MRF (<1 mm or ≥1 mm) | * | ||
| Reader 1 | 0.964 | ||
| Reader 2 | 0.925 | 0.971 | |
| Reader 3 | 0.931 | 0.911 | 0.925 |
| Presence of submucosal sign if T2 | * | ||
| Reader 1 | 0.951 | ||
| Reader 2 | 0.886 | 0.936 | |
| Reader 3 | 0.870 | 0.886 | 0.904 |
| Classification of locoregional lymph node localization before treatment | * | ||
| Reader 1 | 0.973 | ||
| Reader 2 | 0.887 | 0.803 | |
| Reader 3 | 0.892 | 0.946 | 0.801 |
| Positive LLN localization before treatment | * | ||
| Reader 1 | 0.963 | ||
| Reader 2 | 0.931 | 0.968 | |
| Reader 3 | 0.916 | 0.915 | 0.947 |
| Lymph node restaging after treatment | ** | ||
| Reader 1 | 0.972 | ||
| Reader 2 | 0.811 | 0.967 | |
| Reader 3 | 0.827 | 0.945 | 0.839 |
| EMVI | * | ||
| Reader 1 | 0.942 | ||
| Reader 2 | 0.878 | 0.886 | |
| Reader 3 | 0.884 | 0.912 | 0.921 |
| Univariate Analysis | Multivariate Analysis | |||||||
|---|---|---|---|---|---|---|---|---|
| Odd Ratio | 95% CI | p | Odd Ratio | 95% CI | p | |||
| Lower | Upper | Lower | Upper | |||||
| Positive LLN staging before neoadjuvant therapy | 2.479 | 0.762 | 8.068 | 0.131 | ||||
| LLN restaging after treatment | 2.142 | 0.336 | 4.873 | 0.004 ** | 1.623 | 0.322 | 1.824 | 0.032 |
| Locoregional lymph node staging before treatment | 0.77 | 0.422 | 1.403 | 0.394 | ||||
| Tumor pathology grade at diagnosis | 1.173 | 0.486 | 2.830 | 0.23 | ||||
| MRI T stage | 0.441 | 0.248 | 0.786 | 0.005 ** | 0.607 | 0.324 | 1.136 | 0.118 |
| EMVI | 1.561 | 0.534 | 2.711 | 0.008 ** | 1.245 | 0.879 | 2.342 | 0.041 |
| Neoadjuvant treatment response (surgical material pathology) | 1.318 | 0.633 | 2.746 | 0.036 * | 0.594 | 0.276 | 1.277 | 0.182 |
| Distance between tumor and MRF | 2.103 | 1.122 | 3.943 | 0.023 * | 1.278 | 0.475 | 3.436 | 0.427 |
| Tumor coverage pattern | ||||||||
| Classification of annular/circumferential, | 0.766 | |||||||
| partly annular/semicircumferential and | 1.016 | 0.527 | 1.957 | 0.962 | ||||
| polypoid lesions | 1.219 | 0.649 | 2.291 | 0.538 | ||||
| Mucin content of the mass | 0.919 | 0.539 | 1.567 | 0.756 | ||||
| Localization of tumor involvement | 0.818 | 0.449 | 1.492 | 0.513 | ||||
| Positive Lateral Lymph Node Before Neoadjuvant Therapy (n/%) | p | ||
|---|---|---|---|
| Localization of Primary Tumor | Present | Absent | |
| Mild-low rectum (n = 187) | 147 (78.6%) | 40 (21.4%) | 0.032 |
| Upper rectum (n = 52) | 33 (63.4%) | 19 (36.6%) | |
| Lateral Recurrence (n/%) | |||
|---|---|---|---|
| Lateral Lymph Node at Diagnosis | Absent | Present | |
| Absent | 49 (20.5) | 3 (1.3) | 52 (21.8) |
| Present | 127 (53.1) | 60 (25.1) | 187 (78.2) |
| Restaging after neoadjuvant therapy | |||
| Absent | 81 (33.9) | 7 (2.9) | 88 (36.8) |
| Present | 95 (39.8) | 56 (23.4) | 151 (63.2) |
| OR | 95% CI | p | |
|---|---|---|---|
| Positive lateral lymph node staging before neoadjuvant therapy | 7.71 | 2.31–25.76 | <0.001 |
| Lateral lymph node restaging after treatment | 4.12 | 2.14–7.92 | <0.001 |
| Pathologic lateral lymph node in postoperative material | 6.82 | 2.94–15.79 | <0.001 |
Disclaimer/Publisher’s Note: The statements, opinions and data contained in all publications are solely those of the individual author(s) and contributor(s) and not of MDPI and/or the editor(s). MDPI and/or the editor(s) disclaim responsibility for any injury to people or property resulting from any ideas, methods, instructions or products referred to in the content. |
© 2024 by the authors. Licensee MDPI, Basel, Switzerland. This article is an open access article distributed under the terms and conditions of the Creative Commons Attribution (CC BY) license (https://creativecommons.org/licenses/by/4.0/).
Share and Cite
Akkaya, H.; Dilek, O.; Özdemir, S.; Öztürkçü, T.; Gürbüz, M.; Tas, Z.A.; Çetinkünar, S.; Gülek, B. Rectal Cancer and Lateral Lymph Node Staging: Interobserver Agreement and Success in Predicting Locoregional Recurrence. Diagnostics 2024, 14, 2570. https://doi.org/10.3390/diagnostics14222570
Akkaya H, Dilek O, Özdemir S, Öztürkçü T, Gürbüz M, Tas ZA, Çetinkünar S, Gülek B. Rectal Cancer and Lateral Lymph Node Staging: Interobserver Agreement and Success in Predicting Locoregional Recurrence. Diagnostics. 2024; 14(22):2570. https://doi.org/10.3390/diagnostics14222570
Chicago/Turabian StyleAkkaya, Hüseyin, Okan Dilek, Selim Özdemir, Turgay Öztürkçü, Mustafa Gürbüz, Zeynel Abidin Tas, Süleyman Çetinkünar, and Bozkurt Gülek. 2024. "Rectal Cancer and Lateral Lymph Node Staging: Interobserver Agreement and Success in Predicting Locoregional Recurrence" Diagnostics 14, no. 22: 2570. https://doi.org/10.3390/diagnostics14222570
APA StyleAkkaya, H., Dilek, O., Özdemir, S., Öztürkçü, T., Gürbüz, M., Tas, Z. A., Çetinkünar, S., & Gülek, B. (2024). Rectal Cancer and Lateral Lymph Node Staging: Interobserver Agreement and Success in Predicting Locoregional Recurrence. Diagnostics, 14(22), 2570. https://doi.org/10.3390/diagnostics14222570

