The Management of a Giant Convexity en Plaque Anaplastic Meningioma with Gerstmann Syndrome: A Case Report of Surgical Outcomes in a 76-Year-Old Male
Abstract
1. Introduction
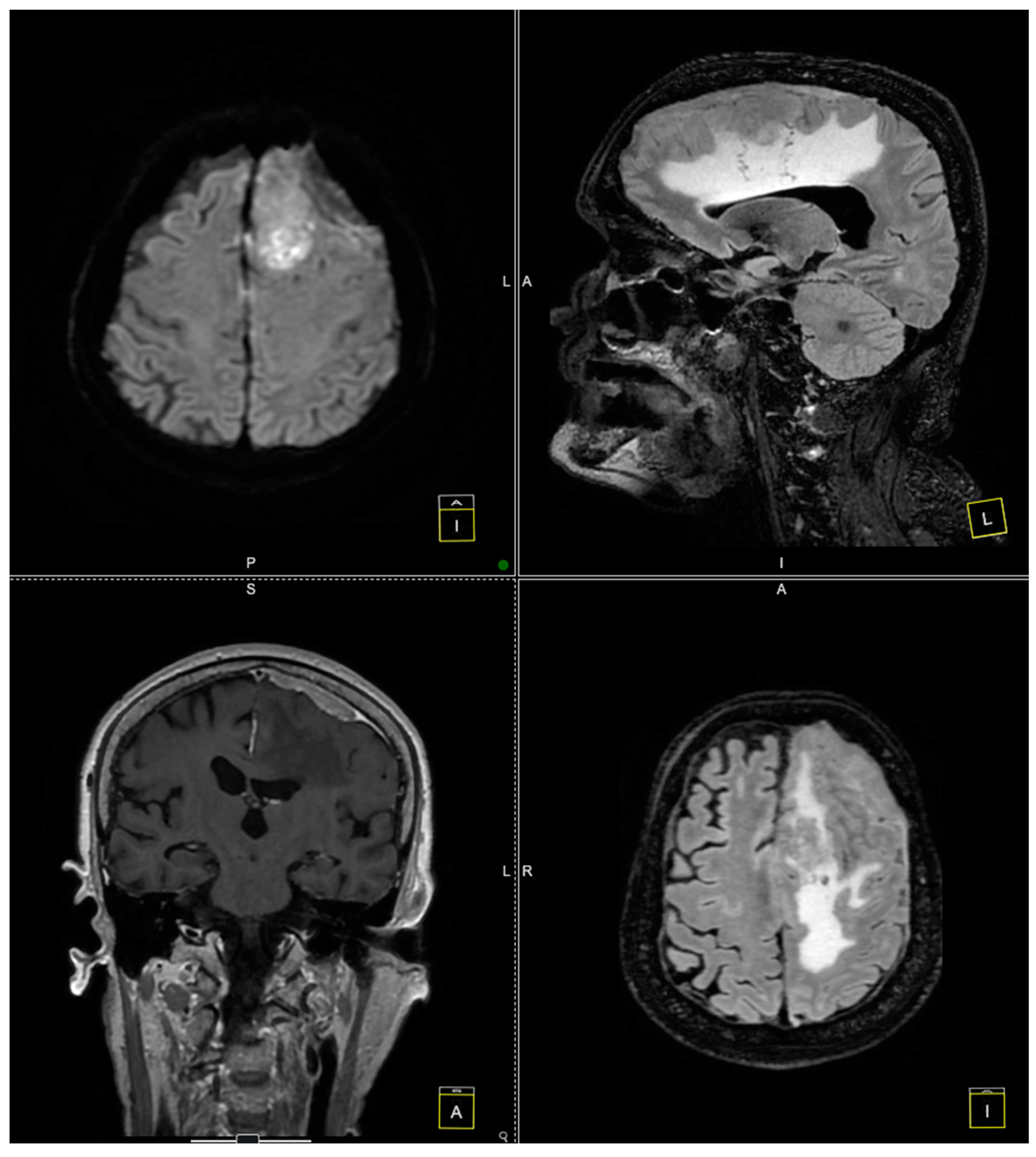
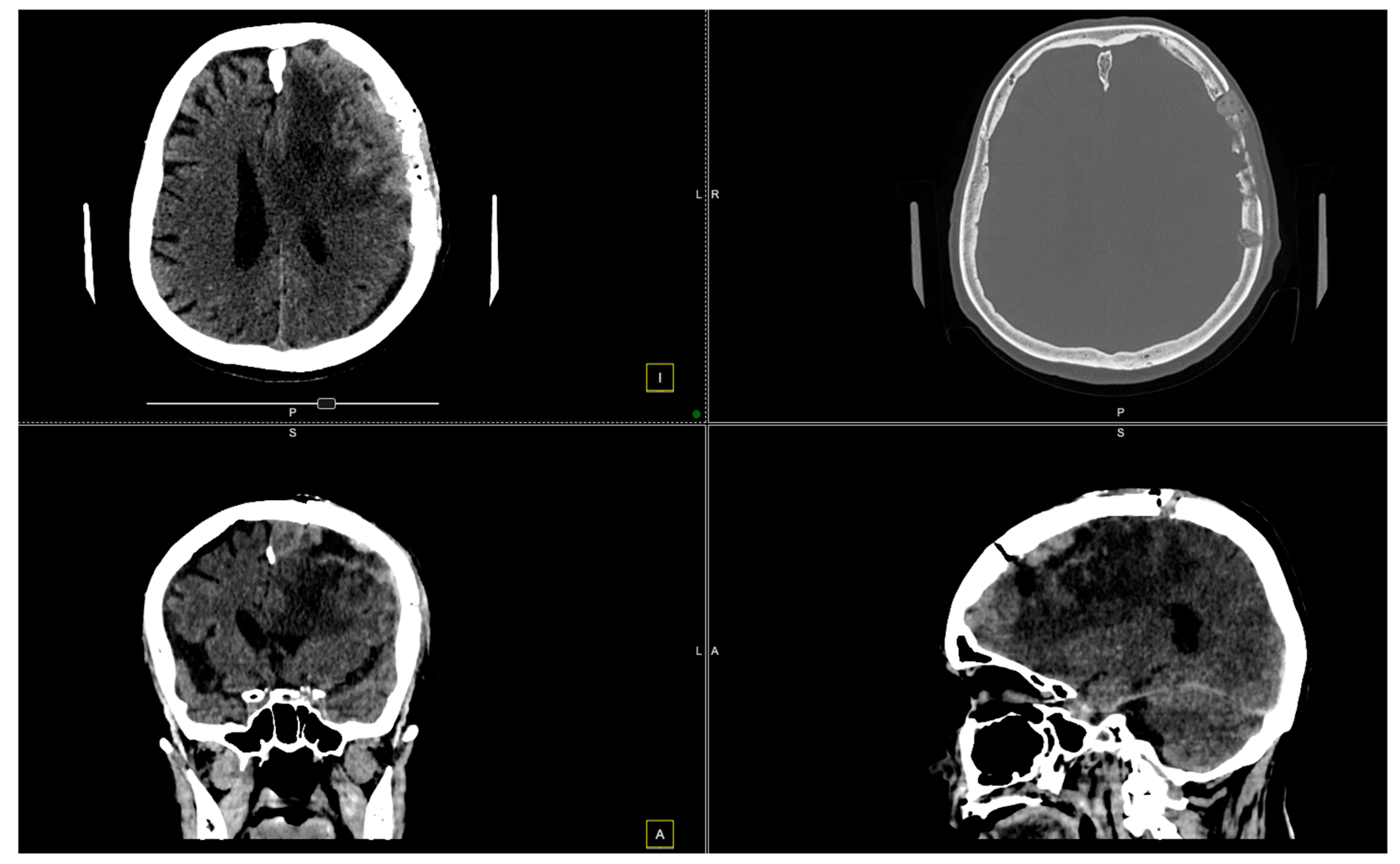
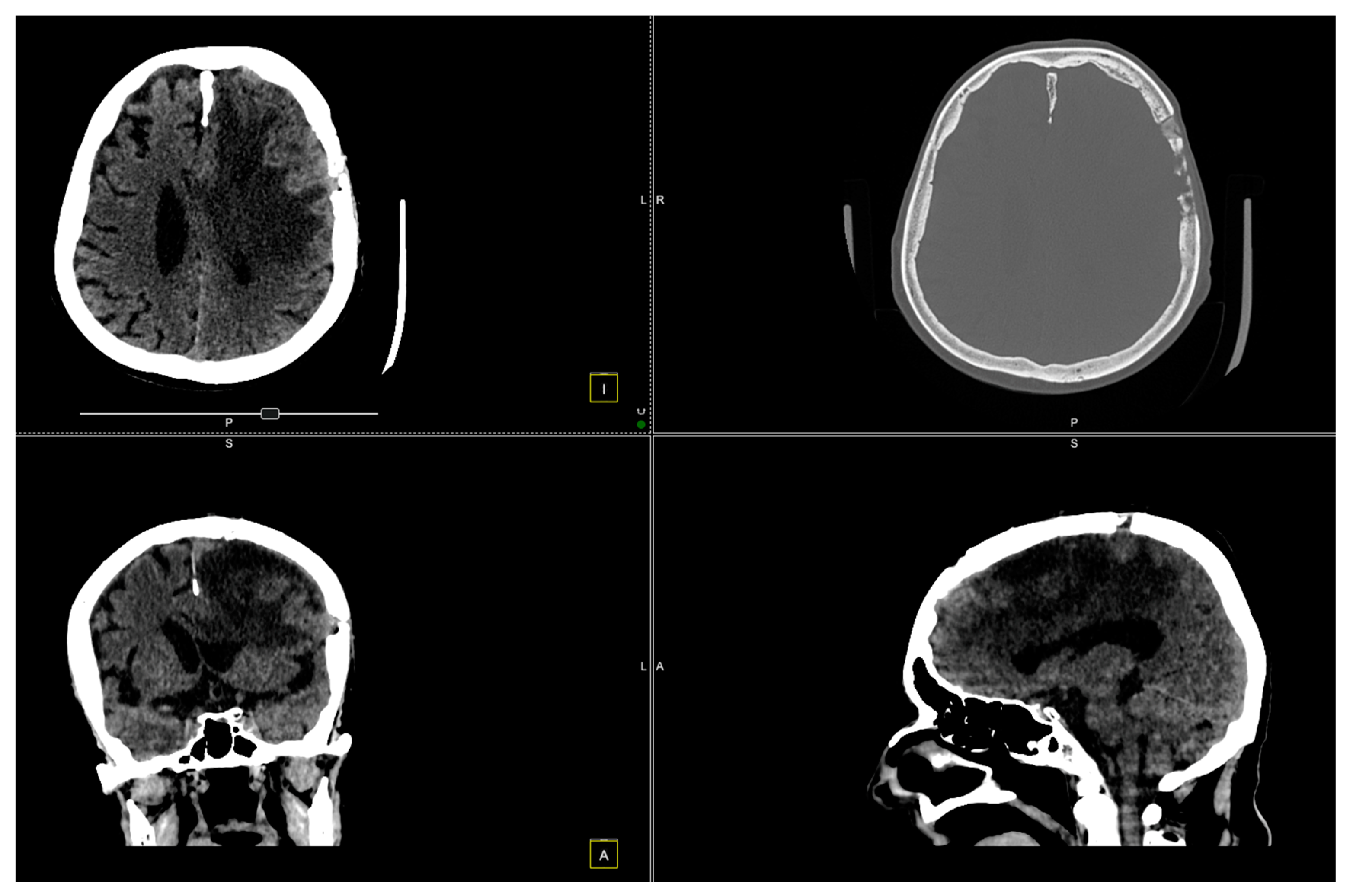
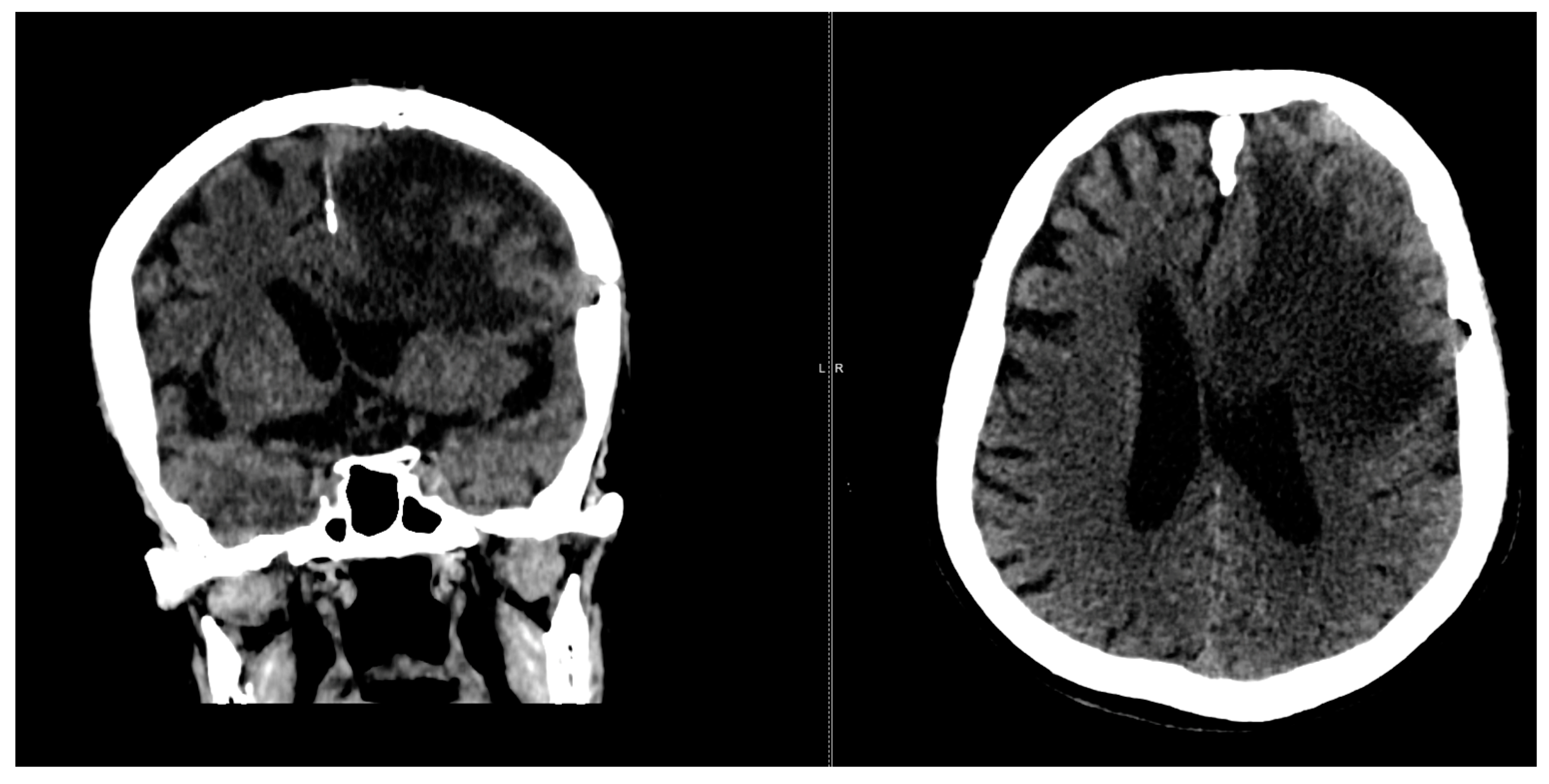
2. Case Presentation
3. Discussion
4. Conclusions
Author Contributions
Funding
Institutional Review Board Statement
Informed Consent Statement
Data Availability Statement
Conflicts of Interest
References
- Louis, D.N.; Perry, A.; Wesseling, P.; Brat, D.J.; Cree, I.A.; Figarella-Branger, D.; Hawkins, C.; Ng, H.K.; Pfister, S.M.; Reifenberger, G.; et al. The 2021 WHO Classification of Tumors of the Central Nervous System: A summary. Neuro-Oncology 2021, 23, 1231–1251. [Google Scholar] [CrossRef]
- Ostrom, Q.T.; Patil, N.; Cioffi, G.; Waite, K.; Kruchko, C.; Barnholtz-Sloan, J.S. CBTRUS Statistical Report: Primary Brain and Other Central Nervous System Tumors Diagnosed in the United States in 2013–2017. Neuro-Oncology 2020, 22 (Suppl. S1), iv1–iv96. [Google Scholar] [CrossRef]
- Ogasawara, C.; Philbrick, B.D.; Adamson, D.C. Meningioma: A Review of Epidemiology, Pathology, Diagnosis, Treatment, and Future Directions. Biomedicines 2021, 9, 319. [Google Scholar] [CrossRef]
- Elder, T.A.; Yokoi, H.; Chugh, A.J.; Lagman, C.; Wu, O.; Wright, C.H.; Ray, A.; Bambakidis, N. En Plaque Meningiomas: A Narrative Review. J. Neurol. Surg. Part B Skull Base 2019, 82, e33–e44. [Google Scholar] [CrossRef] [PubMed]
- Yang, M.J.; Nail, T.J.; Winer, J. Left Parietal Tumors Presenting with Smartphone Icon Visual Agnosia: Two Cases of a Modern Presentation of Gerstmann Syndrome. World Neurosurg. 2020, 142, 233–238. [Google Scholar] [CrossRef] [PubMed]
- Wu, A.; Garcia, M.A.; Magill, S.T.; Chen, W.; Vasudevan, H.N.; Perry, A.; Theodosopoulos, P.V.; McDermott, M.W.; Braunstein, S.E.; Raleigh, D.R. Presenting Symptoms and Prognostic Factors for Symptomatic Outcomes Following Resection of Meningioma. World Neurosurg. 2018, 111, e149–e159. [Google Scholar] [CrossRef] [PubMed]
- Chotai, S.; Schwartz, T.H. The Simpson Grading: Is It Still Valid? Cancers 2022, 14, 2007. [Google Scholar] [CrossRef]
- Narayan, V.; Bir, S.C.; Mohammed, N.; Savardekar, A.R.; Patra, D.P.; Nanda, A. Surgical Management of Giant Intracranial Meningioma: Operative Nuances, Challenges, and Outcome. World Neurosurg. 2018, 110, e32–e41. [Google Scholar] [CrossRef]
- Feller, C.; Kelly, N. A-62 Case of Gerstmann’s Syndrome Due to Brain Tumor of Unknown Etiology. Arch. Clin. Neuropsychol. 2021, 36, 1104. [Google Scholar] [CrossRef]
- Gnanapavan, S.; Jaunmuktane, Z.; Baruteau, K.P.; Gnanasambandam, S.; Schmierer, K. A rare presentation of atypical demyelination: Tumefactive multiple sclerosis causing Gerstmann’s syndrome. BMC Neurol. 2014, 14, 68. [Google Scholar] [CrossRef]
- Rusconi, E.; Kleinschmidt, A. Gerstmann‘s syndrome: Where does it come from and what does that tell us? Futur. Neurol. 2011, 6, 23–32. [Google Scholar] [CrossRef]
- Bendszus, M.; Rao, G.; Burger, R.; Schaller, C.; Scheinemann, K.; Warmuth-Metz, M.; Hofmann, E.; Schramm, J.; Roosen, K.; Solymosi, L. Is There a Benefit of Preoperative Meningioma Embolization? Neurosurgery 2000, 47, 1306–1312, discussion 1311–1312. [Google Scholar] [CrossRef] [PubMed]
- Kuratsu, J.-I.; Kochi, M.; Ushio, Y. Incidence and clinical features of asymptomatic meningiomas. J. Neurosurg. 2000, 92, 766–770. [Google Scholar] [CrossRef] [PubMed]
- Park, H.K.; Koh, Y.C.; Kang, H.S.; Lim, S.D. Meningioma en plaque of parasagittal region presented with recurrent venous infarction. J Korean Neurosurg. 2006, 40, 463–466. [Google Scholar]
- Bouguila, J.; Khonsari, R.; Ayashi, K.; Neji, N.; Yacoub, K.; Besbes, G. Méningiome en plaque frontal: Forme rare d’une tumeur commune! Rev. Stomatol. Chir. Maxillo-Faciale 2009, 110, 309–311. [Google Scholar] [CrossRef]
- Simas, N.; Farias, J. Sphenoid wing en plaque meningiomas: Surgical results and recurrence rates. Surg. Neurol. Int. 2013, 4, 86. [Google Scholar] [CrossRef]
- Attia, M.; Umansky, F.; Paldor, I.; Dotan, S.; Shoshan, Y.; Spektor, S. Giant anterior clinoidal meningiomas: Surgical technique and outcomes. J. Neurosurg. 2012, 117, 654–665. [Google Scholar] [CrossRef] [PubMed]
- Simon, M.; Gousias, K. Grading meningioma resections: The Simpson classification and beyond. Acta Neurochir. 2024, 166, 28. [Google Scholar] [CrossRef]
- Ardila, A. Gerstmann Syndrome. Curr. Neurol. Neurosci. Rep. 2020, 20, 48. [Google Scholar] [CrossRef]
- Natteru, P.; Nair, L.R.; Luzardo, G.; Shaikh, N. Meningeal Hemangiopericytoma Presenting as Pure Gerstmann Syndrome: A Double Rarity. Cureus 2021, 13, e15863. [Google Scholar] [CrossRef]
- Kleinschmidt, A.; Rusconi, E. Gerstmann Meets Geschwind: A crossing (or kissing) variant of a subcortical disconnection syndrome? Neurosci. 2011, 17, 633–644. [Google Scholar] [CrossRef] [PubMed]
- Aleo, D.; Elshaer, Z.; Pfnür, A.; Schuler, P.J.; Fontanella, M.M.; Wirtz, C.R.; Pala, A.; Coburger, J. Evaluation of a Navigated 3D Ultrasound Integration for Brain Tumor Surgery: First Results of an Ongoing Prospective Study. Curr. Oncol. 2022, 29, 6594–6609. [Google Scholar] [CrossRef] [PubMed]
- Ebel, F.; Greuter, L.; Licci, M.; Guzman, R.; Soleman, J. Endoscopic and Endoscopically-Assisted Resection of Intraventricular Lesions Using a Neuroendoscopic Ultrasonic Aspirator. J. Clin. Med. 2021, 10, 3889. [Google Scholar] [CrossRef] [PubMed]
- Thellung, S.; Corsaro, A.; Bosio, A.G.; Zambito, M.; Barbieri, F.; Mazzanti, M.; Florio, T. Emerging Role of Cellular Prion Protein in the Maintenance and Expansion of Glioma Stem Cells. Cells 2019, 8, 1458. [Google Scholar] [CrossRef]
- Romano, A.; Palizzi, S.; Romano, A.; Moltoni, G.; Di Napoli, A.; Maccioni, F.; Bozzao, A. Diffusion Weighted Imaging in Neuro-Oncology: Diagnosis, Post-Treatment Changes, and Advanced Sequences—An Updated Review. Cancers 2023, 15, 618. [Google Scholar] [CrossRef]
- Zhao, Y.; Xu, J.; Chen, B.; Cao, L.; Chen, C. Efficient Prediction of Ki-67 Proliferation Index in Meningiomas on MRI: From Traditional Radiological Findings to a Machine Learning Approach. Cancers 2022, 14, 3637. [Google Scholar] [CrossRef]
- Ravnik, J.; Rowbottom, H. The Impact of Molecular and Genetic Analysis on the Treatment of Patients with Atypical Meningiomas. Diagnostics 2024, 14, 1782. [Google Scholar] [CrossRef]








| Author(s) (Year) | Number of Patients | Age | Sex | Tumor Size | Location | Peritumoral Edema | Tumor Shape | Simpson Grade | Subtype of Pathology | Dichotomized Ki-67 Index |
|---|---|---|---|---|---|---|---|---|---|---|
| Ostrom QT et al. (2020) [2] | >100,000 (Statistical report) | N/A | Both | Various | CNS | N/A | N/A | N/A | Mixed tumor types | N/A |
| Louis DN et al. (2021) [1] | N/A | N/A | N/A | N/A | CNS | N/A | N/A | N/A | Anaplastic meningiomas (Grade III) | N/A |
| Ardila A (2020) [19] | 2 | 65, 72 | Male | Not measured | Left parietal | No | N/A | N/A | N/A | N/A |
| Elder TA et al. (2021) [4] | 20 | 55–75 | Both | 2–6 cm | Skull base | Present | Carpet-like | I–III | Meningioma, en plaque | High (>10%) |
| Yang MJ et al. (2020) [5] | 2 | 58, 62 | Male | 4–5 cm | Left parietal | Present | Irregular | II | Meningioma, glioblastoma | High (>10%) |
| Wu A et al. (2018) [6] | 154 | 45–85 | Both | 2–8 cm | Convexity, skull base | Present | Lobulated | I–III | Meningioma | Mixed |
| Chotai S et al. (2022) [7] | N/A | N/A | N/A | N/A | CNS | N/A | N/A | I–IV | Mixed tumor types | N/A |
| Narayan V et al. (2018) [8] | 36 | 50–75 | Both | 4–9 cm | Convexity | Present | Globular | II–IV | Anaplastic meningioma | High (>10%) |
| Rusconi E et al. (2010) [11] | 3 | 60–70 | Both | Not measured | Left parietal | No | N/A | N/A | N/A | N/A |
| Bendszus M et al. (2000) [12] | 44 | 50–78 | Both | 3–9 cm | Convexity | Present | Lobulated | I–III | Anaplastic meningioma | High (>10%) |
Disclaimer/Publisher’s Note: The statements, opinions and data contained in all publications are solely those of the individual author(s) and contributor(s) and not of MDPI and/or the editor(s). MDPI and/or the editor(s) disclaim responsibility for any injury to people or property resulting from any ideas, methods, instructions or products referred to in the content. |
© 2024 by the authors. Licensee MDPI, Basel, Switzerland. This article is an open access article distributed under the terms and conditions of the Creative Commons Attribution (CC BY) license (https://creativecommons.org/licenses/by/4.0/).
Share and Cite
Toader, C.; Brehar, F.M.; Radoi, M.P.; Serban, M.; Covache-Busuioc, R.-A.; Aljboor, G.S.; Gorgan, R.M. The Management of a Giant Convexity en Plaque Anaplastic Meningioma with Gerstmann Syndrome: A Case Report of Surgical Outcomes in a 76-Year-Old Male. Diagnostics 2024, 14, 2566. https://doi.org/10.3390/diagnostics14222566
Toader C, Brehar FM, Radoi MP, Serban M, Covache-Busuioc R-A, Aljboor GS, Gorgan RM. The Management of a Giant Convexity en Plaque Anaplastic Meningioma with Gerstmann Syndrome: A Case Report of Surgical Outcomes in a 76-Year-Old Male. Diagnostics. 2024; 14(22):2566. https://doi.org/10.3390/diagnostics14222566
Chicago/Turabian StyleToader, Corneliu, Felix Mircea Brehar, Mugurel Petrinel Radoi, Matei Serban, Razvan-Adrian Covache-Busuioc, Ghaith S. Aljboor, and Radu M. Gorgan. 2024. "The Management of a Giant Convexity en Plaque Anaplastic Meningioma with Gerstmann Syndrome: A Case Report of Surgical Outcomes in a 76-Year-Old Male" Diagnostics 14, no. 22: 2566. https://doi.org/10.3390/diagnostics14222566
APA StyleToader, C., Brehar, F. M., Radoi, M. P., Serban, M., Covache-Busuioc, R.-A., Aljboor, G. S., & Gorgan, R. M. (2024). The Management of a Giant Convexity en Plaque Anaplastic Meningioma with Gerstmann Syndrome: A Case Report of Surgical Outcomes in a 76-Year-Old Male. Diagnostics, 14(22), 2566. https://doi.org/10.3390/diagnostics14222566

