AI-Assisted Detection and Localization of Spinal Metastatic Lesions
Abstract
1. Introduction
1.1. Machine Learning in Healthcare
- Radiology: Recognition of tuberculosis in chest X-ray images, differentiation of benign and malignant lung nodules based on CT data, detection of breast cancer lesions in mammography, and classification of other tumors.
- Pathology: Differentiation of melanocytic lesions, classification of gastric cancer types, prediction of gene mutations associated with cancer, and determination of kidney function from biopsy results.
- Ophthalmology: Diagnosis of retinal diseases, glaucoma, keratoconus, and grading of cataracts.
- Cardiology: Improvement in cardiovascular risk prediction and patient outcome prediction accuracy in pulmonary hypertension.
- Gastroenterology: Endoscopic detection of colorectal polyps, gastric and esophageal cancer, Barrett’s esophagus, squamous cell carcinoma, and other lesions.
1.2. Vertebral Metastases
2. Materials and Methods
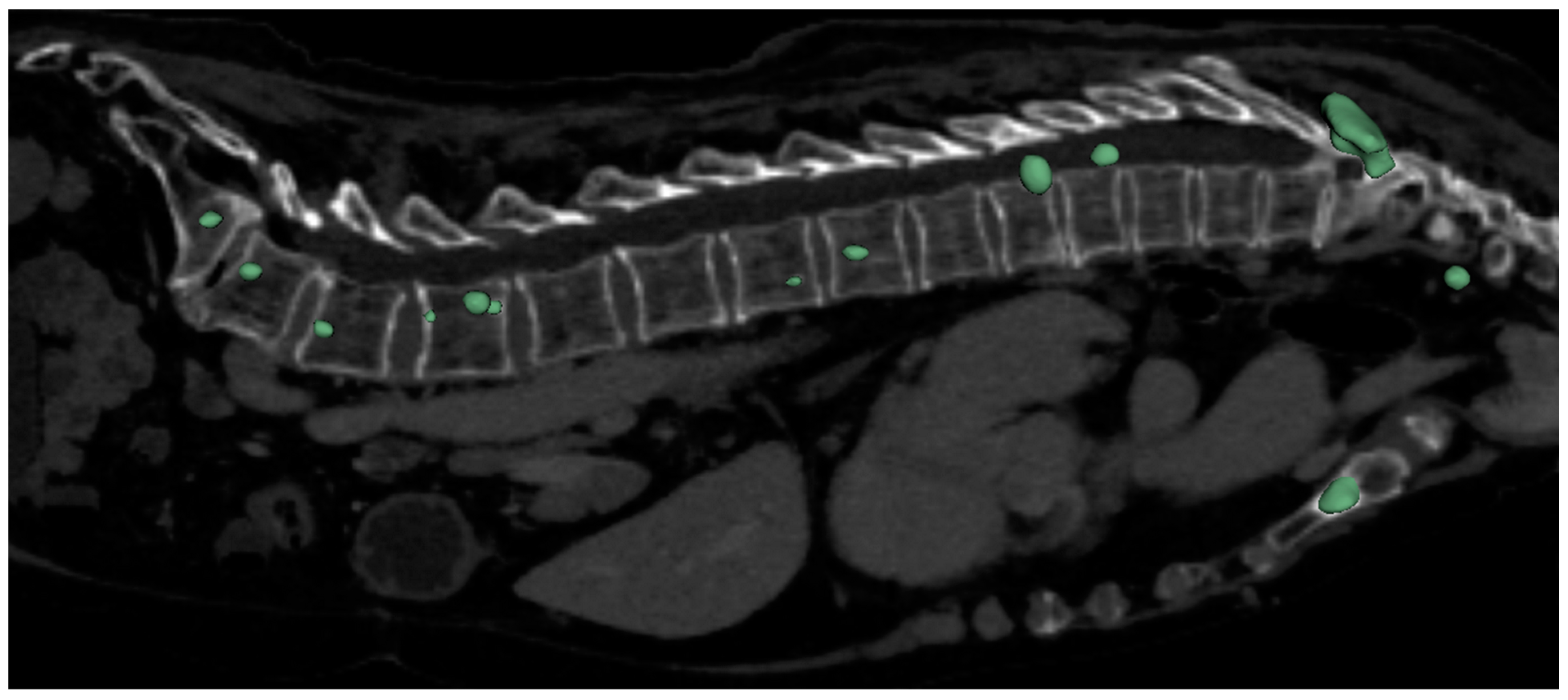
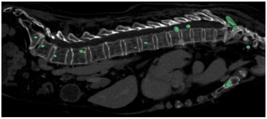
3. Results
4. Discussion
5. Conclusions
Author Contributions
Funding
Institutional Review Board Statement
Data Availability Statement
Acknowledgments
Conflicts of Interest
References
- Dong, X.; Chen, G.; Zhu, Y.; Ma, B.; Ban, X.; Wu, N.; Ming, Y. Artificial Intelligence in Skeletal Metastasis Imaging. Comput. Struct. Biotechnol. J. 2024, 23, 157–164. [Google Scholar] [CrossRef] [PubMed]
- Huang, E.P.; O’Connor, J.P.B.; McShane, L.M.; Giger, M.L.; Lambin, P.; Kinahan, P.E.; Siegel, E.L.; Shankar, L.K. Criteria for the Translation of Radiomics into Clinically Useful Tests. Nat. Rev. Clin. Oncol. 2023, 20, 69–82. [Google Scholar] [CrossRef] [PubMed]
- Liu, S.; Feng, M.; Qiao, T.; Cai, H.; Xu, K.; Yu, X.; Jiang, W.; Lv, Z.; Wang, Y.; Li, D. Deep Learning for the Automatic Diagnosis and Analysis of Bone Metastasis on Bone Scintigrams. Cancer Manag. Res. 2022, 14, 51–65. [Google Scholar] [CrossRef] [PubMed]
- Heindel, W.; Gübitz, R.; Vieth, V.; Weckesser, M.; Schober, O.; Schäfers, M. The Diagnostic Imaging of Bone Metastases. Dtsch. Ärzteblatt Int. 2014, 111, 741–747. [Google Scholar] [CrossRef] [PubMed]
- Woo, S.; Suh, C.H.; Kim, S.Y.; Cho, J.Y.; Kim, S.H. Diagnostic Performance of Magnetic Resonance Imaging for the Detection of Bone Metastasis in Prostate Cancer: A Systematic Review and Meta-Analysis. Eur. Urol. 2018, 73, 81–91. [Google Scholar] [CrossRef]
- Ellmann, S.; Beck, M.; Kuwert, T.; Uder, M.; Bäuerle, T. Multimodal Imaging of Bone Metastases: From Preclinical to Clinical Applications. J. Orthop. Transl. 2015, 3, 166–177. [Google Scholar] [CrossRef]
- Liu, F.; Dong, J.; Shen, Y.; Yun, C.; Wang, R.; Wang, G.; Tan, J.; Wang, T.; Yao, Q.; Wang, B.; et al. Comparison of PET/CT and MRI in the Diagnosis of Bone Metastasis in Prostate Cancer Patients: A Network Analysis of Diagnostic Studies. Front. Oncol. 2021, 11, 736654. [Google Scholar] [CrossRef]
- Orcajo-Rincon, J.; Muñoz-Langa, J.; Sepúlveda-Sánchez, J.M.; Fernández-Pérez, G.C.; Martínez, M.; Noriega-Álvarez, E.; Sanz-Viedma, S.; Vilanova, J.C.; Luna, A. Review of Imaging Techniques for Evaluating Morphological and Functional Responses to the Treatment of Bone Metastases in Prostate and Breast Cancer. Clin. Transl. Oncol. 2022, 24, 1290–1310. [Google Scholar] [CrossRef]
- Davenport, T.; Kalakota, R. The Potential for Artificial Intelligence in Healthcare. Future Healthc. J. 2019, 6, 94–98. [Google Scholar] [CrossRef]
- Milne-Ives, M.; De Cock, C.; Lim, E.; Shehadeh, M.H.; De Pennington, N.; Mole, G.; Normando, E.; Meinert, E. The Effectiveness of Artificial Intelligence Conversational Agents in Health Care: Systematic Review. J. Med. Internet Res. 2020, 22, e20346. [Google Scholar] [CrossRef]
- Ahuja, A.S. The Impact of Artificial Intelligence in Medicine on the Future Role of the Physician. PeerJ 2019, 7, e7702. [Google Scholar] [CrossRef] [PubMed]
- Rasuli, B.; Dawes, L. Vertebral Metastases. 2008. Available online: https://radiopaedia.org/ (accessed on 25 September 2024).
- Shah, L.M.; Salzman, K.L. Imaging of Spinal Metastatic Disease. Int. J. Surg. Oncol. 2011, 2011, 769753. [Google Scholar] [CrossRef] [PubMed]
- Macedo, F.; Ladeira, K.; Pinho, F.; Saraiva, N.; Bonito, N.; Pinto, L.; Gonçalves, F. Bone Metastases: An Overview. Oncol. Rev. 2017, 11, 321. [Google Scholar] [CrossRef]
- Mossa-Basha, M.; Gerszten, P.C.; Myrehaug, S.; Mayr, N.A.; Yuh, W.T.; Jabehdar Maralani, P.; Sahgal, A.; Lo, S.S. Spinal Metastasis: Diagnosis, Management and Follow-Up. Br. J. Radiol. 2019, 92, 20190211. [Google Scholar] [CrossRef] [PubMed]
- Wibmer, C.; Leithner, A.; Hofmann, G.; Clar, H.; Kapitan, M.; Berghold, A.; Windhager, R. Survival Analysis of 254 Patients After Manifestation of Spinal Metastases: Evaluation of Seven Preoperative Scoring Systems. Spine 2011, 36, 1977–1986. [Google Scholar] [CrossRef] [PubMed]
- Fox, S.; Spiess, M.; Hnenny, L.; Fourney, D.R. Spinal Instability Neoplastic Score (SINS): Reliability Among Spine Fellows and Resident Physicians in Orthopedic Surgery and Neurosurgery. Glob. Spine J. 2017, 7, 744–748. [Google Scholar] [CrossRef]
- Murtaza, H.; Sullivan, C.W. Classifications in Brief: The Spinal Instability Neoplastic Score. Clin. Orthop. Relat. Res. 2019, 477, 2798–2803. [Google Scholar] [CrossRef]
- Ronneberger, O.; Fischer, P.; Brox, T. U-Net: Convolutional Networks for Biomedical Image Segmentation. In Medical Image Computing and Computer-Assisted Intervention–MICCAI 2015, Proceedings of the MICCAI 2015, 18th International Conference, Munich, Germany, 5–9 October 2015; Springer: Cham, Switzerland, 2015. [Google Scholar] [CrossRef]
- Çiçek, Ö.; Abdulkadir, A.; Lienkamp, S.S.; Brox, T.; Ronneberger, O. 3D U-Net: Learning Dense Volumetric Segmentation from Sparse Annotation. In Medical Image Computing and Computer-Assisted Intervention–MICCAI 2016, Proceedings of the 19th International Conference, Athens, Greece, 17–21 October 2016; Springer: Cham, Switzerland, 2016. [Google Scholar]
- Gilberg, L.; Teodorescu, B.; Maerkisch, L.; Baumgart, A.; Ramaesh, R.; Gomes Ataide, E.J.; Koç, A.M. Deep Learning Enhances Radiologists’ Detection of Potential Spinal Malignancies in CT Scans. Appl. Sci. 2023, 13, 8140. [Google Scholar] [CrossRef]
- Ong, W.; Zhu, L.; Zhang, W.; Kuah, T.; Lim, D.S.W.; Low, X.Z.; Thian, Y.L.; Teo, E.C.; Tan, J.H.; Kumar, N.; et al. Application of Artificial Intelligence Methods for Imaging of Spinal Metastasis. Cancers 2022, 14, 4025. [Google Scholar] [CrossRef]
- Zhang, J.; Lin, H.; Wang, H.; Xue, M.; Fang, Y.; Liu, S.; Huo, T.; Zhou, H.; Yang, J.; Xie, Y.; et al. Deep Learning System Assisted Detection and Localization of Lumbar Spondylolisthesis. Front. Bioeng. Biotechnol. 2023, 11, 1194009. [Google Scholar] [CrossRef]
- Edelmers, E.; Kazoka, D.; Bolocko, K.; Sudars, K.; Pilmane, M. Automatization of CT Annotation: Combining AI Efficiency with Expert Precision. Diagnostics 2024, 14, 185. [Google Scholar] [CrossRef] [PubMed]
- Edelmers, E. CT Scans of Spine with Metastases (Lytic, Sclerotic). 2024. [Google Scholar] [CrossRef]
- Fedorov, A.; Beichel, R.; Kalpathy-Cramer, J.; Finet, J.; Fillion-Robin, J.-C.; Pujol, S.; Bauer, C.; Jennings, D.; Fennessy, F.; Sonka, M.; et al. 3D Slicer as an Image Computing Platform for the Quantitative Imaging Network. Magn. Reson. Imaging 2012, 30, 1323–1341. [Google Scholar] [CrossRef] [PubMed]
- Isensee, F.; Jaeger, P.F.; Kohl, S.A.A.; Petersen, J.; Maier-Hein, K.H. nnU-Net: A Self-Configuring Method for Deep Learning-Based Biomedical Image Segmentation. Nat. Methods 2021, 18, 203–211. [Google Scholar] [CrossRef] [PubMed]
- Hirose, N.; Sadeghian, A.; Xia, F.; Martin-Martin, R.; Savarese, S. VUNet: Dynamic Scene View Synthesis for Traversability Estimation Using an RGB Camera. IEEE Robot. Autom. Lett. 2019, 4, 2062–2069. [Google Scholar] [CrossRef]
- Badrinarayanan, V.; Kendall, A.; Cipolla, R. SegNet: A Deep Convolutional Encoder-Decoder Architecture for Image Segmentation. IEEE Trans. Pattern Anal. Mach. Intell. 2017, 39, 2481–2495. [Google Scholar] [CrossRef]
- Maier-Hein, L.; Reinke, A.; Godau, P.; Tizabi, M.D.; Buettner, F.; Christodoulou, E.; Glocker, B.; Isensee, F.; Kleesiek, J.; Kozubek, M.; et al. Metrics Reloaded: Recommendations for Image Analysis Validation. Nat. Methods 2024, 21, 195–212. [Google Scholar] [CrossRef]
- Foucart, A.; Debeir, O.; Decaestecker, C. Panoptic Quality Should Be Avoided as a Metric for Assessing Cell Nuclei Segmentation and Classification in Digital Pathology. Sci. Rep. 2023, 13, 8614. [Google Scholar] [CrossRef] [PubMed]
- Kim, D.H.; Seo, J.; Lee, J.H.; Jeon, E.-T.; Jeong, D.; Chae, H.D.; Lee, E.; Kang, J.H.; Choi, Y.-H.; Kim, H.J.; et al. Automated Detection and Segmentation of Bone Metastases on Spine MRI Using U-Net: A Multicenter Study. Korean J. Radiol. 2024, 25, 363. [Google Scholar] [CrossRef]
- Liu, P.; Lu, L.; Zhang, J.; Huo, T.; Liu, S.; Ye, Z. Application of Artificial Intelligence in Medicine: An Overview. Curr. Med. Sci. 2021, 41, 1105–1115. [Google Scholar] [CrossRef]
- Sekuboyina, A.; Husseini, M.E.; Bayat, A.; Löffler, M.; Liebl, H.; Li, H.; Tetteh, G.; Kukačka, J.; Payer, C.; Štern, D.; et al. VerSe: A Vertebrae Labelling and Segmentation Benchmark for Multi-Detector CT Images. Med. Image Anal. 2021, 73, 102166. [Google Scholar] [CrossRef]
- Papalia, G.F.; Brigato, P.; Sisca, L.; Maltese, G.; Faiella, E.; Santucci, D.; Pantano, F.; Vincenzi, B.; Tonini, G.; Papalia, R.; et al. Artificial Intelligence in Detection, Management, and Prognosis of Bone Metastasis: A Systematic Review. Cancers 2024, 16, 2700. [Google Scholar] [CrossRef] [PubMed]
- Koike, Y.; Yui, M.; Nakamura, S.; Yoshida, A.; Takegawa, H.; Anetai, Y.; Hirota, K.; Tanigawa, N. Artificial Intelligence-Aided Lytic Spinal Bone Metastasis Classification on CT Scans. Int. J. Comput. Assist. Radiol. Surg. 2023, 18, 1867–1874. [Google Scholar] [CrossRef] [PubMed]




| Sex | Age | Metastasis Type | Primary Metastatic Site |
|---|---|---|---|
| Female | 57 | Sclerotic | Melanoma |
| Female | 72 | Sclerotic | Lungs |
| Female | 72 | Sclerotic | Lungs |
| Female | 68 | Lytic | Ovary |
| Female | 39 | Sclerotic | Breast |
| Male | 74 | Lytic | Prostate |
| Female | 82 | Sclerotic | Breast |
| Female | 82 | Sclerotic | Breast |
| Female | 64 | Sclerotic | Breast |
| Female | 65 | Sclerotic | Breast |
| Female | 65 | Sclerotic | Breast |
| Female | 61 | Sclerotic | Breast |
| Female | 45 | Sclerotic | Breast |
| Female | 45 | Sclerotic | Breast |
| Female | 70 | Sclerotic | Breast |
| Male | 66 | Sclerotic | Lungs |
| Female | 52 | Sclerotic | Breast |
| Male | 53 | Lytic | Kidney |
| Female | 60 | Sclerotic | Breast |
| Male | 74 | Sclerotic | Blader |
| Female | 79 | Lytic | Kidney |
| Female | 48 | Lytic | Ovary |
| Male | 66 | Sclerotic | Large intestine |
| Female | 73 | Lytic | Multiple myeloma |
| Male | 66 | Lytic | Multiple myeloma |
| Female | 61 | Sclerotic | Breast |
| Female | 73 | Lytic | Breast |
| Female | 79 | Lytic | Kidney |
| Female | 48 | Lytic | Ovary |
| Male | 75 | Lytic | Stomach |
| Male | 75 | Lytic | Stomach |
| Male | 64 | Lytic | Kidney |
| Female | 39 | Lytic | Ovary |
| Male | 55 | Lytic | Multiple myeloma |
| Female | 60 | Lytic | Multiple myeloma |
| Female | 70 | Lytic | Breast |
| Female | 32 | Lytic | Multiple myeloma |
| Female | 61 | Lytic | Kidney |
| Vertebra | Dice Similarity Coefficient | F-Beta Score | Panoptic Quality |
|---|---|---|---|
| C1 | 0.94 | 0.94 | 0.75 |
| C2 | 0.95 | 0.95 | 0.82 |
| C3 | 0.93 | 0.93 | 0.75 |
| C4 | 0.93 | 0.93 | 0.75 |
| C5 | 0.93 | 0.94 | 0.75 |
| C6 | 0.93 | 0.93 | 0.75 |
| C7 | 0.94 | 0.93 | 0.79 |
| T1 | 0.94 | 0.94 | 0.81 |
| T2 | 0.95 | 0.95 | 0.83 |
| T3 | 0.95 | 0.95 | 0.82 |
| T4 | 0.95 | 0.95 | 0.83 |
| T5 | 0.94 | 0.94 | 0.82 |
| T6 | 0.88 | 0.87 | 0.69 |
| T7 | 0.87 | 0.88 | 0.70 |
| T8 | 0.91 | 0.92 | 0.75 |
| T9 | 0.93 | 0.93 | 0.77 |
| T10 | 0.94 | 0.94 | 0.81 |
| T11 | 0.95 | 0.95 | 0.85 |
| T12 | 0.95 | 0.94 | 0.84 |
| L1 | 0.95 | 0.94 | 0.83 |
| L2 | 0.94 | 0.94 | 0.83 |
| L3 | 0.93 | 0.92 | 0.81 |
| L4 | 0.94 | 0.89 | 0.84 |
| L5 | 0.95 | 0.94 | 0.86 |
| Sacrum | 0.96 | 0.96 | 0.89 |
| Metastasis Type | Dice Similarity Coefficient | F-Beta Score | Panoptic Quality |
|---|---|---|---|
| Lytic | 0.71 | 0.68 | 0.45 |
| Sclerotic | 0.61 | 0.57 | 0.30 |
Disclaimer/Publisher’s Note: The statements, opinions and data contained in all publications are solely those of the individual author(s) and contributor(s) and not of MDPI and/or the editor(s). MDPI and/or the editor(s) disclaim responsibility for any injury to people or property resulting from any ideas, methods, instructions or products referred to in the content. |
© 2024 by the authors. Licensee MDPI, Basel, Switzerland. This article is an open access article distributed under the terms and conditions of the Creative Commons Attribution (CC BY) license (https://creativecommons.org/licenses/by/4.0/).
Share and Cite
Edelmers, E.; Ņikuļins, A.; Sprūdža, K.L.; Stapulone, P.; Pūce, N.S.; Skrebele, E.; Siņicina, E.E.; Cīrule, V.; Kazuša, A.; Boločko, K. AI-Assisted Detection and Localization of Spinal Metastatic Lesions. Diagnostics 2024, 14, 2458. https://doi.org/10.3390/diagnostics14212458
Edelmers E, Ņikuļins A, Sprūdža KL, Stapulone P, Pūce NS, Skrebele E, Siņicina EE, Cīrule V, Kazuša A, Boločko K. AI-Assisted Detection and Localization of Spinal Metastatic Lesions. Diagnostics. 2024; 14(21):2458. https://doi.org/10.3390/diagnostics14212458
Chicago/Turabian StyleEdelmers, Edgars, Artūrs Ņikuļins, Klinta Luīze Sprūdža, Patrīcija Stapulone, Niks Saimons Pūce, Elizabete Skrebele, Everita Elīna Siņicina, Viktorija Cīrule, Ance Kazuša, and Katrina Boločko. 2024. "AI-Assisted Detection and Localization of Spinal Metastatic Lesions" Diagnostics 14, no. 21: 2458. https://doi.org/10.3390/diagnostics14212458
APA StyleEdelmers, E., Ņikuļins, A., Sprūdža, K. L., Stapulone, P., Pūce, N. S., Skrebele, E., Siņicina, E. E., Cīrule, V., Kazuša, A., & Boločko, K. (2024). AI-Assisted Detection and Localization of Spinal Metastatic Lesions. Diagnostics, 14(21), 2458. https://doi.org/10.3390/diagnostics14212458

