The Diagnosis and Management of Pediatric Blunt Abdominal Trauma—A Comprehensive Review
Abstract
1. Introduction
2. Prehospital Trauma Care
Primary Survey
3. Approach to a Child with Abdominal Trauma
3.1. Laboratory Evaluation
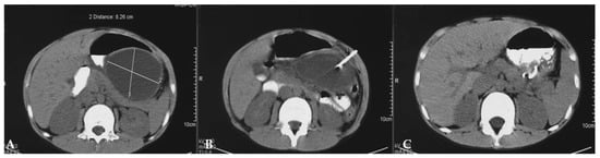
3.2. Imaging
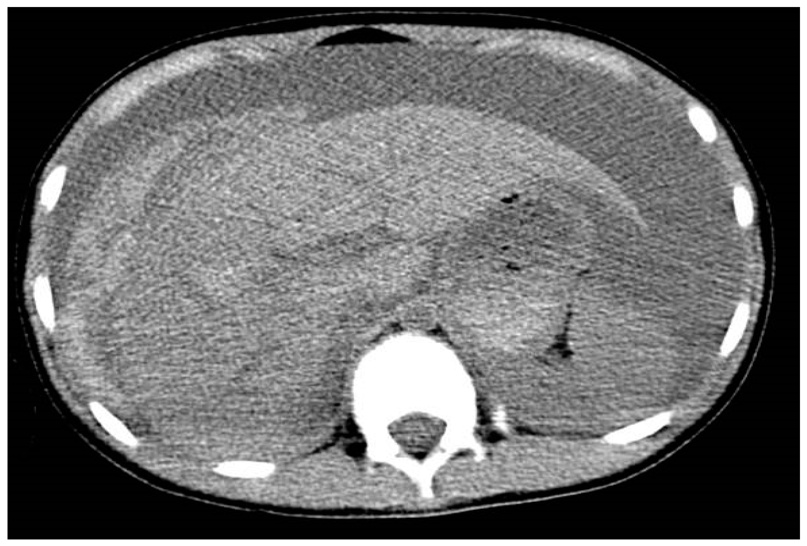
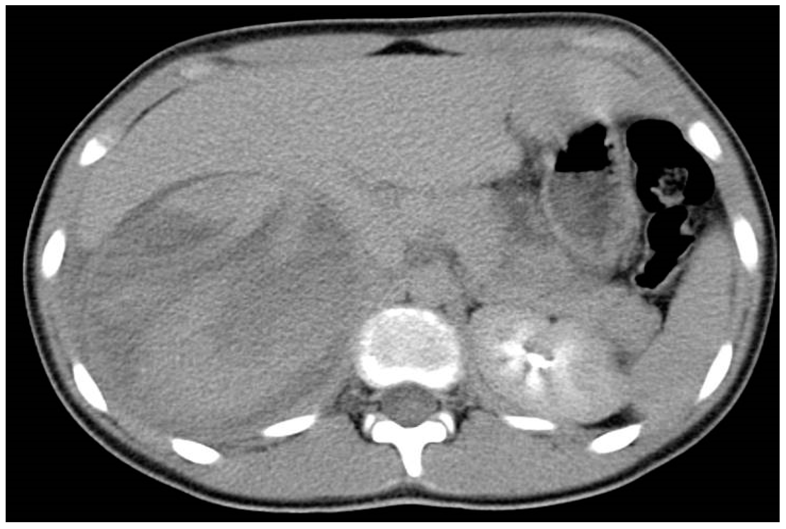
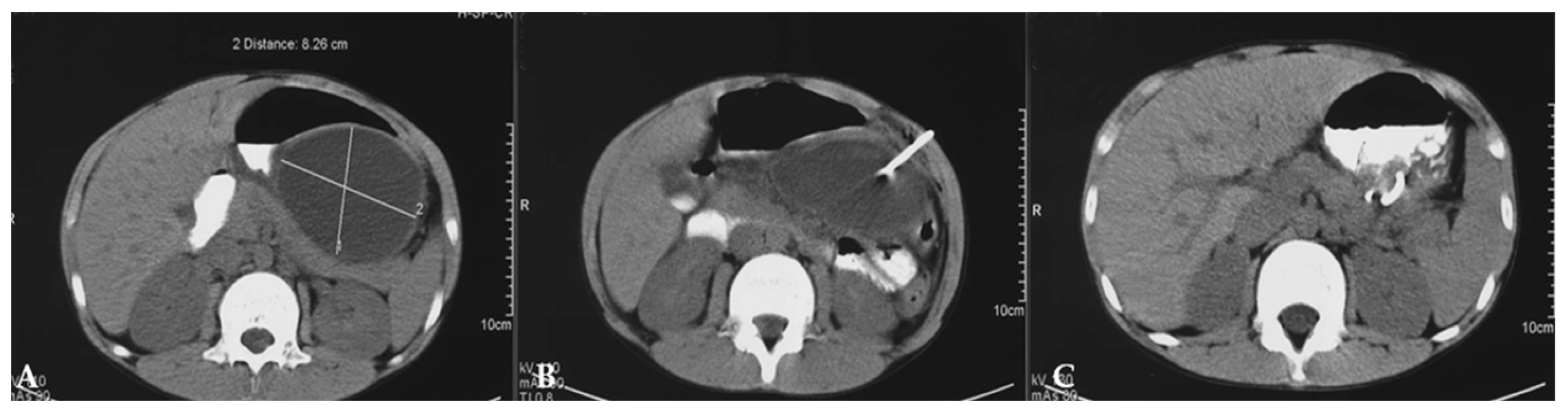
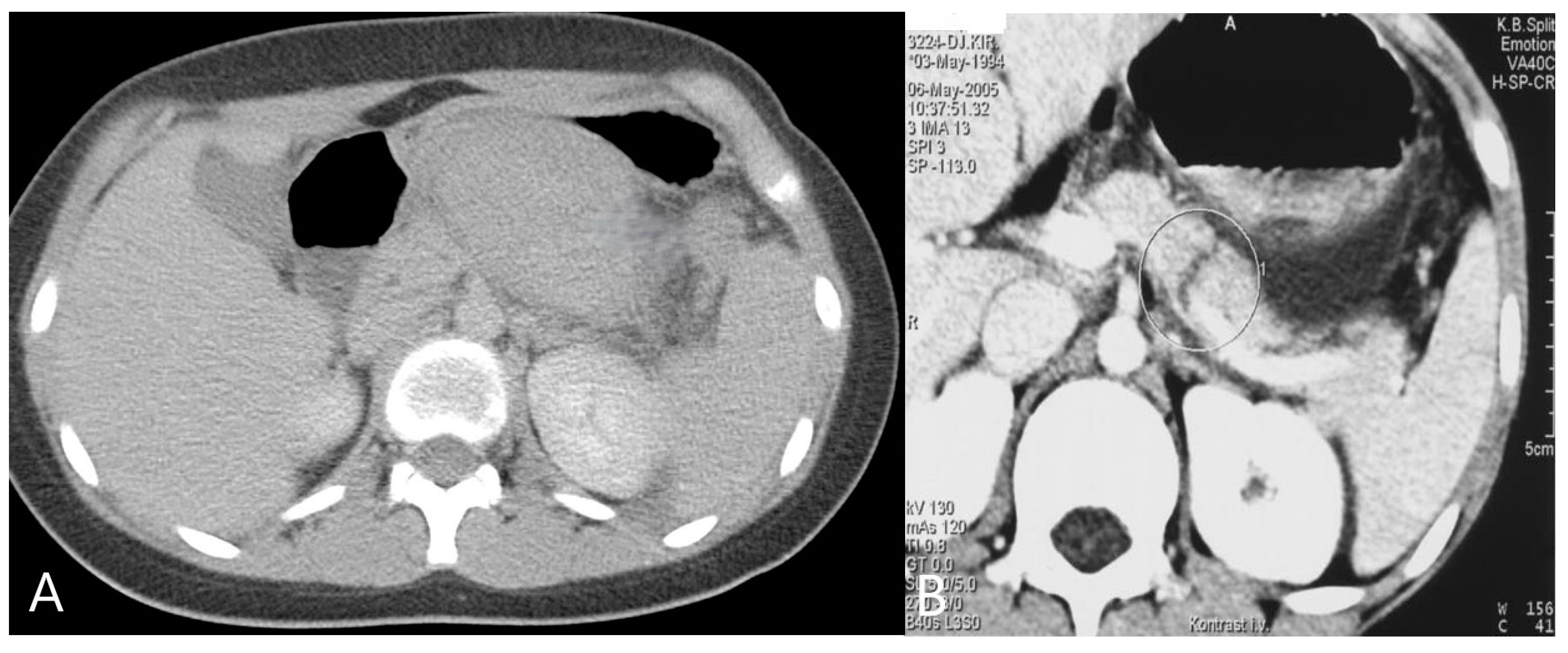
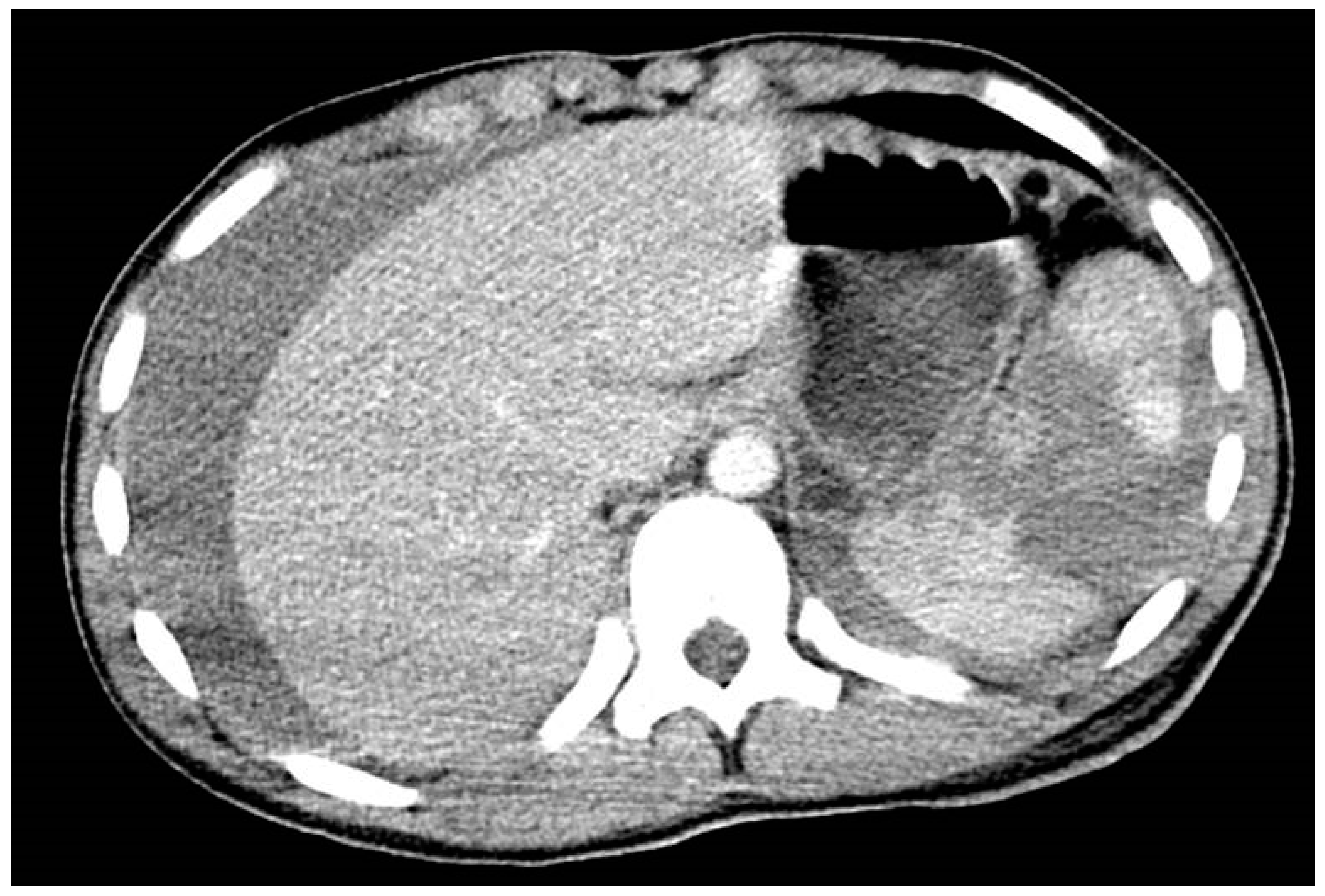
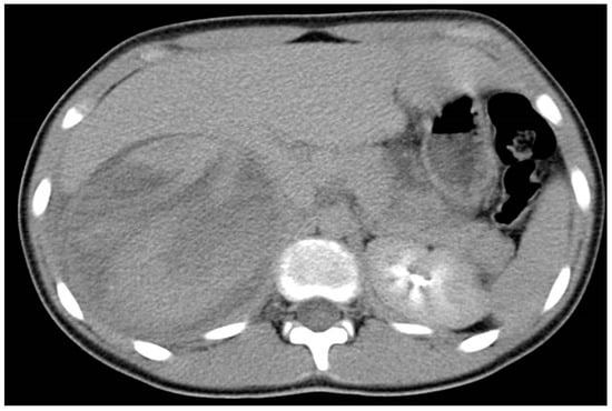
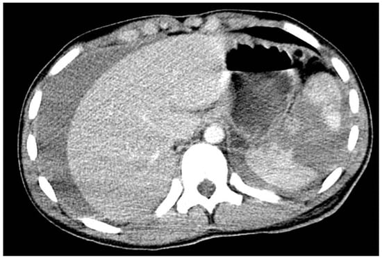
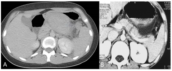
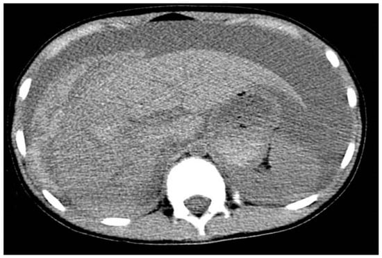
4. Spleen Injury
5. Liver Injury
6. Pancreatic Injury
7. Hollow Viscus Injuries
7.1. Small Intestine Injury
7.2. Duodenum Injury
7.3. Colon and Rectum Injury
7.4. Stomach Injury
8. Urinary Tract Injuries
8.1. Kidney Injury
8.2. Ureter Injury
8.3. Bladder Injury
9. Hospital Discharge and Post-Discharge Care
10. Artificial Intelligence
11. Conclusions
Author Contributions
Funding
Institutional Review Board Statement
Informed Consent Statement
Data Availability Statement
Acknowledgments
Conflicts of Interest
References
- Cintean, R.; Eickhoff, A.; Zieger, J.; Gebhard, F.; Schütze, K. Epidemiology, patterns, and mechanisms of pediatric trauma: A review of 12,508 patients. Eur. J. Trauma Emerg. Surg. 2023, 49, 451–459. [Google Scholar] [CrossRef]
- Jullien, S. Prevention of unintentional injuries in children under five years. BMC Pediatr. 2021, 21 (Suppl. S1), 311. [Google Scholar] [CrossRef] [PubMed]
- Upadhyaya, P.; Simpson, J.S. Splenic trauma in children. Surg. Gynecol. Obstet. 1968, 126, 781–790. [Google Scholar] [PubMed]
- Grandić, L.; Olić, I.; Pogorelić, Z.; Mrklić, I.; Perko, Z. The Value of Injury Severity Score and Abbreviated Injury Scale in the Management of Traumatic Injuries of Parenchymal Abdominal Organs. Acta Clin. Croat. 2017, 56, 453–459. [Google Scholar] [CrossRef] [PubMed]
- Wesson, D.E. Pediatric trauma centers: Coming of age. Tex. Heart. Inst. J. 2012, 39, 871–873. [Google Scholar] [PubMed]
- Peden, M.; Oyegbite, K.; Ozanne-Smith, J.; Hyder, A.A.; Branche, C.; Rahman, A.K.M.F.; Rivara, F.; Bartolomeos, K. World Report on Child Injury Prevention; World Health Organization: Geneva, Switzerland, 2008. [Google Scholar]
- Li, C.; Jiao, J.; Hua, G.; Yundendorj, G.; Liu, S.; Yu, H.; Zhang, L.; Yang, X.; Liu, L. Global burden of all cause-specific injuries among children and adolescents from 1990 to 2019: A prospective cohort study. Int. J. Surg. 2024, 110, 2092–2103. [Google Scholar] [CrossRef]
- Molcho, M.; Walsh, S.; Donnelly, P.; Matos, M.G.; Pickett, W. Trend in injury-related mortality and morbidity among adolescents across 30 countries from 2002 to 2010. Eur. J. Public Health 2015, 25 (Suppl. S2), 33–36. [Google Scholar] [CrossRef]
- Popa, Ș.; Sârbu, I.; Ciongradi, C.I.; Popa, I.P.; Bulgaru-Iliescu, D. Current Epidemiological Trends of Pediatric Traffic Accidents at a Romanian Clinical Hospital. Children 2023, 10, 1525. [Google Scholar] [CrossRef]
- Ameh, E.A.; Mshelbwala, P.M. Challenges of managing paediatric abdominal trauma in a Nigerian setting. Niger. J. Clin. Pract. 2009, 12, 192–195. [Google Scholar]
- Kundal, V.K.; Debnath, P.R.; Sen, A. Epidemiology of Pediatric Trauma and its Pattern in Urban India: A Tertiary Care Hospital-Based Experience. J. Indian Assoc. Pediatr. Surg. 2017, 22, 33–37. [Google Scholar] [CrossRef]
- Santschi, M.; Echavé, V.; Laflamme, S.; McFadden, N.; Cyr, C. Seat-belt injuries in children involved in motor vehicle crashes. Can. J. Surg. 2005, 48, 373–376. [Google Scholar] [PubMed]
- Clarnette, T.D.; Beasley, S.W. Handlebar injuries in children: Patterns and prevention. Aust. N. Z. J. Surg. 1997, 67, 338–339. [Google Scholar] [CrossRef] [PubMed]
- Adesunkanmi, A.R.; Oginni, L.M.; Oyelami, A.O.; Badru, O.S. Epidemiology of childhood injury. J. Trauma 1998, 44, 506–512. [Google Scholar] [CrossRef] [PubMed]
- Dischinger, P.C.; Cushing, B.M.; Kerns, T.J. Injury patterns associated with direction of impact: Drivers admitted to trauma centers. J. Trauma. 1993, 35, 454–458. [Google Scholar] [CrossRef] [PubMed]
- Hasselberg, M.; Laflamme, L.; Weitoft, G.R. Socioeconomic differences in road traffic injuries during childhood and youth: A closer look at different kinds of road user. J. Epidemiol. Community Health 2001, 55, 858–862. [Google Scholar] [CrossRef]
- Meddings, D.R. WHO launches TEACH-VIP E-Learning. Inj. Prev. 2010, 16, 143. [Google Scholar] [CrossRef]
- Lett, R.; Kobusingye, O.; Sethi, D. A unified framework for injury control: The public health approach and Haddon’s Matrix combined. Inj. Control Saf. Promot. 2002, 9, 199–205. [Google Scholar] [CrossRef]
- Border, J.R.; Lewis, F.R.; Aprahamian, C.; Haller, J.A.; Jacobs, L.M.; Luterman, A. Panel: Prehospital trauma care--stabilize or take and run. J. Trauma 1983, 23, 708–711. [Google Scholar] [CrossRef]
- Ramenofsky, M.L.; Luterman, A.; Curreri, P.W.; Talley, M.A. Pediatric EMS: Optimal treatment or unnecessary delay? J. Pediatr. Surg. 1983, 18, 498–504. [Google Scholar] [CrossRef]
- Simpson, A.J.; Rivara, F.P.; Pham, T.N. Quality care in pediatric trauma. Int. J. Crit. Illn. Inj. Sci. 2012, 2, 149–155. [Google Scholar]
- Samuels, M.; Wieteska, S. Advanced Paediatric Life Support: A Practical Approach to Emergencies, 6th ed.; Wiley-Blackwell: Hoboken, NJ, USA, 2016. [Google Scholar]
- Trunkey, D.D. Trauma. Accidental and intentional injuries account for more years of life lost in the U.S. than cancer and heart disease. Among the prescribed remedies are improved preventive efforts, speedier surgery and further research. Sci. Am. 1983, 249, 28–35. [Google Scholar] [CrossRef] [PubMed]
- Beno, S.; Ackery, A.D.; Callum, J.; Rizoli, S. Tranexamic acid in pediatric trauma: Why not? Crit. Care 2014, 18, 313. [Google Scholar] [CrossRef] [PubMed]
- Principi, T.; Schonfeld, D.; Weingarten, L.; Schneeweiss, S.; Rosenfield, D.; Ernst, G.; Schuh, S.; Scolnik, D. Update in Pediatric Emergency Medicine: Pediatric Resuscitation, Pediatric Sepsis, Interfacility Transport of the Pediatric Patient, Pain and sedation in the Emergency Department, Pediatric Trauma. Update Pediatr. 2018, 223–249. [Google Scholar]
- Lavoie, M.; Nance, M.L. Approach to the injured child. In Fleisher and Ludwig’s Textbook of Pediatric Emergency Medicine, 7th ed.; Shaw, K.N., Bachur, R.G., Eds.; Lippincott Williams & Wilkins: Philadelphia, PA, USA, 2016. [Google Scholar]
- Kleinman, M.E.; de Caen, A.R.; Chameides, L.; Atkins, D.L.; Berg, R.A.; Berg, M.D.; Bhanji, F.; Biarent, D.; Bingham, R.; Coovadia, A.H.; et al. Pediatric Basic and Advanced Life Support Chapter Collaborators. Pediatric basic and advanced life support: 2010 International Consensus on Cardiopulmonary Resuscitation and Emergency Cardiovascular Care Science with Treatment Recommendations. Pediatrics 2010, 126, e1261-318. [Google Scholar] [CrossRef] [PubMed]
- Kim, D.K.; Jhang, W.K.; Ahn, J.Y.; Lee, J.S.; Kim, Y.H.; Lee, B.; Kim, G.B.; Kim, J.T.; Huh, J.; Park, J.D.; et al. Part 6. Pediatric advanced life support: 2015 Korean Guidelines for Cardiopulmonary Resuscitation. Clin. Exp. Emerg. Med. 2016, 3 (Suppl), S48–S61. [Google Scholar] [CrossRef]
- Borgialli, D.A.; Mahajan, P.; Hoyle, J.D., Jr.; Powell, E.C.; Nadel, F.M.; Tunik, M.G.; Foerster, A.; Dong, L.; Miskin, M.; Dayan, P.S.; et al. Pediatric Emergency Care Applied Research Network (PECARN). Performance of the Pediatric Glasgow Coma Scale Score in the Evaluation of Children with Blunt Head Trauma. Acad. Emerg. Med. 2016, 23, 878–884. [Google Scholar] [CrossRef]
- McCoy, C.E.; Chakravarthy, B.; Lotfipour, S. Guidelines for Field Triage of Injured Patients: In conjunction with the Morbidity and Mortality Weekly Report published by the Center for Disease Control and Prevention. West. J. Emerg. Med. 2013, 14, 69–76. [Google Scholar] [CrossRef]
- Holmes, J.F.; Sokolove, P.E.; Brant, W.E.; Palchak, M.J.; Vance, C.W.; Owings, J.T.; Kuppermann, N. Identification of children with intra-abdominal injuries after blunt trauma. Ann. Emerg. Med. 2002, 39, 500–509. [Google Scholar] [CrossRef]
- Cooper, A.; Barlow, B.; DiScala, C.; String, D. Mortality and truncal injury: The pediatric perspective. J. Pediatr. Surg. 1994, 29, 33–38. [Google Scholar] [CrossRef]
- Božić, A.; Bašković, M.; Tripalo Batoš, A.; Župančić, B. Radiološke metode u dijagnostici tupe traume abdomena dječje dobi. Acta Med. Croat. 2018, 72, 333–343. [Google Scholar]
- Kepertis, C.; Zavitsanakis, A.; Filippopoulos, A.; Kallergis, K. Liver trauma in children: Our experience. J. Indian Assoc. Pediatr. Surg. 2008, 13, 61–63. [Google Scholar] [CrossRef] [PubMed]
- Jurić, I.; Smoje, P.; Pogorelić, Z.; Todorić, D.; Jukić, M.; Furlan, D. Čimbenici ishoda liječenja traume parenhimskih organa trbuha u djece liječene u Zavodu za dječju kirurgiju od 2000. - 2015. godine. Paediatr. Croat. 2016, 60, 127–131. [Google Scholar]
- Shlamovitz, G.Z.; Mower, W.R.; Bergman, J.; Crisp, J.; DeVore, H.K.; Hardy, D.; Sargent, M.; Shroff, S.D.; Snyder, E.; Morgan, M.T. Lack of evidence to support routine digital rectal examination in pediatric trauma patients. Pediatr. Emerg. Care. 2007, 23, 537–543. [Google Scholar] [CrossRef] [PubMed]
- Jerby, B.L.; Attorri, R.J.; Morton, D., Jr. Blunt intestinal injury in children: The role of the physical examination. J. Pediatr. Surg. 1997, 32, 580–584. [Google Scholar] [CrossRef] [PubMed]
- Holmes, J.F.; Lillis, K.; Monroe, D.; Borgialli, D.; Kerrey, B.T.; Mahajan, P.; Adelgais, K.; Ellison, A.M.; Yen, K.; Atabaki, S.; et al. Identifying children at very low risk of clinically important blunt abdominal injuries. Ann. Emerg. Med. 2013, 62, 107–116. [Google Scholar] [CrossRef]
- Taylor, G.A.; O’Donnell, R.; Sivit, C.J.; Eichelberger, M.R. Abdominal injury score: A clinical score for the assignment of risk in children after blunt trauma. Radiology. 1994, 190, 689–694. [Google Scholar] [CrossRef]
- Lewis, S.R.; Pritchard, M.W.; Evans, D.J.; Butler, A.R.; Alderson, P.; Smith, A.F.; Roberts, I. Colloids versus crystalloids for fluid resuscitation in critically ill people. Cochrane Database Syst. Rev. 2018, 8, CD000567. [Google Scholar] [CrossRef]
- Gupta, S.; Sankar, J. Advances in Shock Management and Fluid Resuscitation in Children. Indian J. Pediatr. 2023, 90, 280–288. [Google Scholar] [CrossRef]
- Saladino, R.A.; Gaines, B.A. Abdominal Trauma. In Textbook of Pediatric Emergency Medicine, 8; Fleisher, G., Ludwig, S., Eds.; Lippincott, Williams & Wilkins: Philadelphia, PA, USA, 2021. [Google Scholar]
- Weber, B.; Lackner, I.; Braun, C.K.; Kalbitz, M.; Huber-Lang, M.; Pressmar, J. Laboratory Markers in the Management of Pediatric Polytrauma: Current Role and Areas of Future Research. Front. Pediatr. 2021, 9, 622753. [Google Scholar] [CrossRef]
- Keller, M.S.; Coln, C.E.; Trimble, J.A.; Green, M.C.; Weber, T.R. The utility of routine trauma laboratories in pediatric trauma resuscitations. Am. J. Surg. 2004, 188, 671–678. [Google Scholar] [CrossRef]
- Isaacman, D.J.; Scarfone, R.J.; Kost, S.I.; Gochman, R.F.; Davis, H.W.; Bernardo, L.M.; Nakayama, D.K. Utility of routine laboratory testing for detecting intra-abdominal injury in the pediatric trauma patient. Pediatrics 1993, 92, 691–694. [Google Scholar] [CrossRef] [PubMed]
- Chu, F.Y.; Lin, H.J.; Guo, H.R.; Liu, T.H.; Foo, N.P.; Chen, K.T. A Reliable Screening Test to Predict Liver Injury in Pediatric Blunt Torso Trauma. Eur. J. Trauma Emerg. Surg. 2010, 36, 44–48. [Google Scholar] [CrossRef] [PubMed]
- Mehl, S.C.; Cunningham, M.E.; Streck, C.J.; Pettit, R.; Huang, E.Y.; Santore, M.T.; Tsao, K.; Falcone, R.A.; Dassinger, M.S.; Haynes, J.H.; et al. Characteristics and predictors of intensive care unit admission in pediatric blunt abdominal trauma. Pediatr. Surg Int. 2022, 38, 589–597. [Google Scholar] [CrossRef] [PubMed]
- Leeper, C.M.; Yazer, M.H.; Cladis, F.P.; Saladino, R.; Triulzi, D.J.; Gaines, B.A. Use of Uncrossmatched Cold-Stored Whole Blood in Injured Children with Hemorrhagic Shock. JAMA Pediatr. 2018, 172, 491–492. [Google Scholar] [CrossRef] [PubMed]
- Santucci, R.A.; Langenburg, S.E.; Zachareas, M.J. Traumatic hematuria in children can be evaluated as in adults. J. Urol. 2004, 171, 822–825. [Google Scholar] [CrossRef]
- Hennes, H.M.; Smith, D.S.; Schneider, K.; Hegenbarth, M.A.; Duma, M.A.; Jona, J.Z. Elevated liver transaminase levels in children with blunt abdominal trauma: A predictor of liver injury. Pediatrics 1990, 86, 87–90. [Google Scholar] [CrossRef]
- Mure, A.J.; Josloff, R.; Rothberg, J.; O’Malley, K.F.; Ross, S.E. Serum amylase determination and blunt abdominal trauma. Am. Surg. 1991, 57, 210–213. [Google Scholar]
- Buechter, K.J.; Arnold, M.; Steele, B.; Martin, L.; Byers, P.; Gomez, G.; Zeppa, R.; Augenstein, J. The use of serum amylase and lipase in evaluating and managing blunt abdominal trauma. Am. Surg. 1990, 56, 204–208. [Google Scholar]
- Rothrock, S.G.; Green, S.M.; Morgan, R. Abdominal trauma in infants and children: Prompt identification and early management of serious and life-threatening injuries. Part I: Injury patterns and initial assessment. Pediatr. Emerg. Care 2000, 16, 106–115. [Google Scholar] [CrossRef]
- Akl, M.; Anand, T.; Reina, R.; El-Qawaqzeh, K.; Ditillo, M.; Hosseinpour, H.; Nelson, A.; Obaid, O.; Friese, R.; Joseph, B. Balanced hemostatic resuscitation for bleeding pediatric trauma patients: A nationwide quantitative analysis of outcomes. J. Pediatr. Surg. 2022, 57, 986–993. [Google Scholar] [CrossRef]
- Richards, J.R.; Knopf, N.A.; Wang, L.; McGahan, J.P. Blunt abdominal trauma in children: Evaluation with emergency US. Radiology 2002, 222, 749–754. [Google Scholar] [CrossRef] [PubMed]
- The Royal College of Radiologists. Paediatric Trauma Protocols. Available online: https://www.rcr.ac.uk/media/k0blz5k3/rcr-publications_paediatric-tauma-protocols_august-2014.pdf (accessed on 10 September 2024).
- Mansoori, B.; Herrmann, K.A. Mesentery, Omentum, Peritoneum: Fluid Collections (Ascites, Abscess, Hemorrhage); Hamm, B., Ros, P.R., Eds.; Abdominal Imaging; Springer: Berlin/Heidelberg, Germany, 2013. [Google Scholar]
- Valentino, M.; De Luca, C.; Galloni, S.S.; Branchini, M.; Modolon, C.; Pavlica, P.; Barozzi, L. Contrast-enhanced US evaluation in patients with blunt abdominal trauma. J. Ultrasound 2010, 13, 22–27. [Google Scholar] [CrossRef] [PubMed]
- Krupnick, A.S.; Teitelbaum, D.H.; Geiger, J.D.; Strouse, P.J.; Cox, C.S.; Blane, C.E.; Polley, T.Z. Use of abdominal ultrasonography to assess pediatric splenic trauma. Potential pitfalls in the diagnosis. Ann. Surg. 1997, 225, 408–414. [Google Scholar] [CrossRef] [PubMed]
- Liang, T.; Roseman, E.; Gao, M.; Sinert, R. The Utility of the Focused Assessment with Sonography in Trauma Examination in Pediatric Blunt Abdominal Trauma: A Systematic Review and Meta-Analysis. Pediatr. Emerg. Care 2021, 37, 108–118. [Google Scholar] [CrossRef]
- Chiu, W.C.; Cushing, B.M.; Rodriguez, A.; Ho, S.M.; Mirvis, S.E.; Shanmuganathan, K.; Stein, M. Abdominal injuries without hemoperitoneum: A potential limitation of focused abdominal sonography for trauma (FAST). J. Trauma 1997, 42, 617–623. [Google Scholar] [CrossRef]
- Menichini, G.; Sessa, B.; Trinci, M.; Galluzzo, M.; Miele, V. Accuracy of contrast-enhanced ultrasound (CEUS) in the identification and characterization of traumatic solid organ lesions in children: A retrospective comparison with baseline US and CE-MDCT. Radiol. Med. 2015, 120, 989–1001. [Google Scholar] [CrossRef]
- Pegoraro, F.; Giusti, G.; Giacalone, M.; Parri, N. Contrast-enhanced ultrasound in pediatric blunt abdominal trauma: A systematic review. J. Ultrasound 2022, 25, 419–427. [Google Scholar] [CrossRef]
- Deftereos, S.P.; Foutzitzi, S.; Skarentzos, K.; Aggelidou, M.; Oikonomou, P.; Kambouri, K. Role of Contrast Enhanced Ultrasound (CEUS) in the Paediatric Population with Blunt Abdominal Trauma: A Prospective Study from a Single Center Experience for Paediatric Blunt Abdominal Trauma. Maedica 2022, 17, 44–51. [Google Scholar] [CrossRef]
- Zhang, Z.; Hong, Y.; Liu, N.; Chen, Y. Diagnostic accuracy of contrast enhanced ultrasound in patients with blunt abdominal trauma presenting to the emergency department: A systematic review and meta-analysis. Sci. Rep. 2017, 7, 4446. [Google Scholar] [CrossRef]
- Paltiel, H.J.; Barth, R.A.; Bruno, C.; Chen, A.E.; Deganello, A.; Harkanyi, Z.; Henry, M.K.; Ključevšek, D.; Back, S.J. Contrast-enhanced ultrasound of blunt abdominal trauma in children. Pediatr. Radiol. 2021, 51, 2253–2269. [Google Scholar] [CrossRef]
- Nievelstein, R.A.; van Dam, I.M.; van der Molen, A.J. Multidetector CT in children: Current concepts and dose reduction strategies. Pediatr. Radiol. 2010, 40, 1324–1344. [Google Scholar] [CrossRef] [PubMed]
- Streck, C.J.; Vogel, A.M.; Zhang, J.; Huang, E.Y.; Santore, M.T.; Tsao, K.; Falcone, R.A.; Dassinger, M.S.; Russell, R.T.; Blakely, M.L.; et al. Identifying Children at Very Low Risk for Blunt Intra-Abdominal Injury in Whom CT of the Abdomen Can Be Avoided Safely. J. Am. Coll. Surg. 2017, 224, 449–458. [Google Scholar] [CrossRef] [PubMed]
- Arbra, C.A.; Vogel, A.M.; Plumblee, L.; Zhang, J.; Mauldin, P.D.; Dassinger, M.S.; Russell, R.T.; Blakely, M.L.; Streck, C.J. External validation of a five-variable clinical prediction rule for identifying children at very low risk for intra-abdominal injury after blunt abdominal trauma. J. Trauma Acute Care Surg. 2018, 85, 71–77. [Google Scholar] [CrossRef] [PubMed]
- McCollough, C.H.; Primak, A.N.; Braun, N.; Kofler, J.; Yu, L.; Christner, J. Strategies for reducing radiation dose in CT. Radiol. Clin. North. Am. 2009, 47, 27–40. [Google Scholar] [CrossRef] [PubMed]
- Miele, V.; Piccolo, C.L.; Trinci, M.; Galluzzo, M.; Ianniello, S.; Brunese, L. Diagnostic imaging of blunt abdominal trauma in pediatric patients. Radiol. Med. 2016, 121, 409–430. [Google Scholar] [CrossRef]
- Zakaria, O.M.; Daoud, M.Y.I.; Zakaria, H.M.; Al Naim, A.; Al Bshr, F.A.; Al Arfaj, H.; Al Abdulqader, A.A.; Al Mulhim, K.N.; Buhalim, M.A.; Al Moslem, A.R.; et al. Management of pediatric blunt abdominal trauma with split liver or spleen injuries: A retrospective study. Pediatr. Surg. Int. 2023, 39, 106. [Google Scholar] [CrossRef]
- Davies, D.A.; Fecteau, A.; Himidan, S.; Mikrogianakis, A.; Wales, P.W. What’s the incidence of delayed splenic bleeding in children after blunt trauma? An institutional experience and review of the literature. J. Trauma 2009, 67, 573–577. [Google Scholar] [CrossRef]
- Ardley, R.; Carone, L.; Smith, S.; Spreadborough, S.; Davies, P.; Brooks, A. Blunt splenic injury in children: Haemodynamic status key to guiding management, a 5-year review of practice in a UK major trauma centre. Eur. J. Trauma Emerg. Surg. 2019, 45, 791–799. [Google Scholar] [CrossRef]
- Dobremez, E.; Lefevre, Y.; Harper, L.; Rebouissoux, L.; Lavrand, F.; Bondonny, J.M.; Vergnes, P. Complications occurring during conservative management of splenic trauma in children. Eur. J. Pediatr. Surg. 2006, 16, 166–170. [Google Scholar] [CrossRef]
- Lynn, K.N.; Werder, G.M.; Callaghan, R.M.; Sullivan, A.N.; Jafri, Z.H.; Bloom, D.A. Pediatric blunt splenic trauma: A comprehensive review. Pediatr. Radiol. 2009, 39, 904–916. [Google Scholar] [CrossRef]
- Coccolini, F.; Montori, G.; Catena, F.; Kluger, Y.; Biffl, W.; Moore, E.E.; Reva, V.; Bing, C.; Bala, M.; Fugazzola, P.; et al. Splenic trauma: WSES classification and guidelines for adult and pediatric patients. World J. Emerg. Surg. 2017, 12, 40. [Google Scholar] [CrossRef] [PubMed]
- Kim, H.; Jeon, C.H.; Park, C.Y. Clinical outcomes of splenic arterial embolization for blunt splenic injury in pediatric and adolescent patients. Ulus Travma Acil Cerrahi Derg. 2023, 29, 669–676. [Google Scholar] [CrossRef] [PubMed]
- Shinn, K.; Gilyard, S.; Chahine, A.; Fan, S.; Risk, B.; Hanna, T.; Johnson, J.O.; Hawkins, C.M.; Xing, M.; Duszak, R., Jr.; et al. Contemporary Management of Pediatric Blunt Splenic Trauma: A National Trauma Databank Analysis. J. Vasc. Interv. Radiol. 2021, 32, 692–702. [Google Scholar] [CrossRef] [PubMed]
- Newland, A.; Provan, D.; Myint, S. Preventing severe infection after splenectomy. BMJ 2005, 331, 417–418. [Google Scholar] [CrossRef]
- Di Sabatino, A.; Carsetti, R.; Corazza, G.R. Post-splenectomy and hyposplenic states. Lancet 2011, 378, 86–97. [Google Scholar] [CrossRef]
- Lee, G.M. Preventing infections in children and adults with asplenia. Hematol. Am. Soc. Hematol. Educ. Program 2020, 2020, 328–335. [Google Scholar] [CrossRef]
- van As, A.B.; Millar, A.J. Management of paediatric liver trauma. Pediatr. Surg. Int. 2017, 33, 445–453. [Google Scholar] [CrossRef]
- Zeeshan, M.; Hamidi, M.; O’Keeffe, T.; Hanna, K.; Kulvatunyou, N.; Tang, A.; Joseph, B. Pediatric Liver Injury: Physical Examination, Fast and Serum Transaminases Can Serve as a Guide. J. Surg. Res. 2019, 242, 151–156. [Google Scholar] [CrossRef]
- Sola, J.E.; Cheung, M.C.; Yang, R.; Koslow, S.; Lanuti, E.; Seaver, C.; Neville, H.L.; Schulman, C.I. Pediatric FAST and elevated liver transaminases: An effective screening tool in blunt abdominal trauma. J. Surg. Res. 2009, 157, 103–107. [Google Scholar] [CrossRef]
- Landau, A.; van As, A.B.; Numanoglu, A.; Millar, A.J.; Rode, H. Liver injuries in children: The role of selective non-operative management. Injury 2006, 37, 66–71. [Google Scholar] [CrossRef]
- St Peter, S.D.; Keckler, S.J.; Spilde, T.L.; Holcomb, G.W., 3rd; Ostlie, D.J. Justification for an abbreviated protocol in the management of blunt spleen and liver injury in children. J. Pediatr. Surg. 2008, 43, 191–193. [Google Scholar] [CrossRef] [PubMed]
- Feliciano, D.V. Surgery for liver trauma. Surg. Clin. North Am. 1989, 69, 273–284. [Google Scholar] [CrossRef] [PubMed]
- Saviano, A.; Ojetti, V.; Zanza, C.; Franceschi, F.; Longhitano, Y.; Martuscelli, E.; Maiese, A.; Volonnino, G.; Bertozzi, G.; Ferrara, M.; et al. Liver Trauma: Management in the Emergency Setting and Medico-Legal Implications. Diagnostics 2022, 12, 1456. [Google Scholar] [CrossRef] [PubMed]
- Naiditch, J.A.; Notrica, D.M.; Sayrs, L.W.; Linnaus, M.; Stottlemyre, R.; Garcia, N.M.; Lawson, K.A.; Cohen, A.S.; Letton, R.W.; Johnson, J.; et al. The use and timing of angioembolization in pediatric blunt liver and spleen injury. J. Trauma Acute Care Surg. 2024, 96, 915–920. [Google Scholar] [CrossRef] [PubMed]
- Soma, J.; Ishii, D.; Miyagi, H.; Ishii, S.; Motoki, K.; Kawabata, H.; Ishitoya, S.; Hagiwara, M.; Kokita, N.; Hirasawa, M. Damage control surgery for grade IV blunt hepatic injury with multiple organ damage in a child: A case report. Surg. Case Rep. 2021, 7, 269. [Google Scholar] [CrossRef] [PubMed]
- Stylianos, S. Liver injury and damage control. Semin. Pediatr. Surg. 2001, 10, 23–25. [Google Scholar] [CrossRef]
- David Richardson, J.; Franklin, G.A.; Lukan, J.K.; Carrillo, E.H.; Spain, D.A.; Miller, F.B.; Wilson, M.A.; Polk, H.C., Jr.; Flint, L.M. Evolution in the management of hepatic trauma: A 25-year perspective. Ann. Surg. 2000, 232, 324–330. [Google Scholar] [CrossRef]
- Stylianos, S. Abdominal packing for severe hemorrhage. J. Pediatr. Surg. 1998, 33, 339–342. [Google Scholar] [CrossRef]
- Kang, B.H.; Jung, K.; Choi, D.; Kwon, J. Early re-laparotomy for patients with high-grade liver injury after damage-control surgery and perihepatic packing. Surg. Today 2021, 51, 891–896. [Google Scholar] [CrossRef]
- Markley, M.A.; Mantor, P.C.; Letton, R.W.; Tuggle, D.W. Pediatric vacuum packing wound closure for damage-control laparotomy. J. Pediatr. Surg. 2002, 37, 512–514. [Google Scholar] [CrossRef]
- Peitzman, A.B.; Marsh, J.W. Advanced operative techniques in the management of complex liver injury. J. Trauma Acute Care. Surg. 2012, 73, 765–770. [Google Scholar] [CrossRef] [PubMed]
- Steiner, Z.; Brown, R.A.; Jamieson, D.H.; Millar, A.J.; Cywes, S. Management of hemobilia and persistent biliary fistula after blunt liver trauma. J. Pediatr. Surg. 1994, 29, 1575–1577. [Google Scholar] [CrossRef] [PubMed]
- Hong Duc, P.; Xuan Dung, P.; Quang Huy, H. Post-Blunt Traumatic Hemobilia from Pseudoaneurysm Successfully Treated With Embolization. Cureus 2020, 12, e7961. [Google Scholar] [CrossRef] [PubMed]
- Duron, V.; Stylianos, S. Strategies in liver Trauma. Semin. Pediatr. Surg. 2020, 29, 150949. [Google Scholar] [CrossRef] [PubMed]
- Mattix, K.D.; Tataria, M.; Holmes, J.; Kristoffersen, K.; Brown, R.; Groner, J.; Scaife, E.; Mooney, D.; Nance, M.; Scherer, L. Pediatric pancreatic trauma: Predictors of nonoperative management failure and associated outcomes. J. Pediatr. Surg. 2007, 42, 340–344. [Google Scholar] [CrossRef]
- Houben, C.H.; Ade-Ajayi, N.; Patel, S.; Kane, P.; Karani, J.; Devlin, J.; Harrison, P.; Davenport, M. Traumatic pancreatic duct injury in children: Minimally invasive approach to management. J. Pediatr. Surg. 2007, 42, 629–635. [Google Scholar] [CrossRef]
- Ibrahim, A.; Wales, P.W.; Aquino, M.R.; Chavhan, G.B. CT and MRI findings in pancreatic trauma in children and correlation with outcome. Pediatr. Radiol. 2020, 50, 943–952. [Google Scholar] [CrossRef]
- Song, Q.; Tang, J.; Lv, F.Q.; Zhang, Y.; Jiao, Z.Y.; Liu, Q.; Luo, Y.K. Evaluation of blunt pancreatic injury with contrast-enhanced ultrasonography in comparison with contrast-enhanced computed tomography. Exp. Ther. Med. 2013, 5, 1461–1465. [Google Scholar] [CrossRef]
- Miele, V.; Piccolo, C.L.; Sessa, B.; Trinci, M.; Galluzzo, M. Comparison between MRI and CEUS in the follow-up of patients with blunt abdominal trauma managed conservatively. Radiol. Med. 2016, 121, 27–37. [Google Scholar] [CrossRef]
- Jurić, I.; Pogorelić, Z.; Biocić, M.; Todorić, D.; Furlan, D.; Susnjar, T. Management of blunt pancreatic trauma in children. Surg. Today. 2009, 39, 115–119. [Google Scholar] [CrossRef]
- Wood, J.H.; Partrick, D.A.; Bruny, J.L.; Sauaia, A.; Moulton, S.L. Operative vs nonoperative management of blunt pancreatic trauma in children. J. Pediatr. Surg. 2010, 45, 401–406. [Google Scholar] [CrossRef] [PubMed]
- Iqbal, C.W.; St Peter, S.D.; Tsao, K.; Cullinane, D.C.; Gourlay, D.M.; Ponsky, T.A.; Wulkan, M.L.; Adibe, O.O.; Pancreatic Trauma in Children (PATCH) Study Group. Operative vs nonoperative management for blunt pancreatic transection in children: Multi-institutional outcomes. J. Am. Coll. Surg. 2014, 218, 157–162. [Google Scholar] [CrossRef] [PubMed]
- Wales, P.W.; Shuckett, B.; Kim, P.C. Long-term outcome after nonoperative management of complete traumatic pancreatic transection in children. J. Pediatr. Surg. 2001, 36, 823–827. [Google Scholar] [CrossRef] [PubMed]
- Naik-Mathuria, B. Practice variability exists in the management of high-grade pediatric pancreatic trauma. Pediatr. Surg. Int. 2016, 32, 789–794. [Google Scholar] [CrossRef]
- Naik-Mathuria, B.J.; Rosenfeld, E.H.; Gosain, A.; Burd, R.; Falcone, R.A., Jr.; Thakkar, R.; Gaines, B.; Mooney, D.; Escobar, M.; Jafri, M.; et al. Proposed clinical pathway for nonoperative management of high-grade pediatric pancreatic injuries based on a multicenter analysis: A pediatric trauma society collaborative. J. Trauma Acute Care Surg. 2017, 83, 589–596. [Google Scholar] [CrossRef]
- Rosenfeld, E.H.; Vogel, A.M.; Jafri, M.; Burd, R.; Russell, R.; Beaudin, M.; Sandler, A.; Thakkar, R.; Falcone, R.A., Jr.; Wills, H.; et al. Management and outcomes of peripancreatic fluid collections and pseudocysts following non-operative management of pancreatic injuries in children. Pediatr. Surg. Int. 2019, 35, 861–867. [Google Scholar] [CrossRef]
- Akshintala, V.S.; Saxena, P.; Zaheer, A.; Rana, U.; Hutfless, S.M.; Lennon, A.M.; Canto, M.I.; Kalloo, A.N.; Khashab, M.A.; Singh, V.K. A comparative evaluation of outcomes of endoscopic versus percutaneous drainage for symptomatic pancreatic pseudocysts. Gastrointest. Endosc. 2014, 79, 921–928. [Google Scholar] [CrossRef]
- Patel, P.A.; Gibson, C.; Minhas, K.S.; Stuart, S.; De Coppi, P.; Roebuck, D.J. Pancreatic pseudocyst drainage in children by image-guided cystogastrostomy and stent insertion. Pediatr. Radiol. 2019, 49, 1816–1822. [Google Scholar] [CrossRef]
- Giakoustidis, A.; Antoniadis, N.; Giorgakis, I.; Tsoulfas, G.; Dimitriadis, E.; Giakoustidis, D. Pancreatic pseudocyst in a child due to blunt andominal trauma during a football game. Hippokratia. 2012, 16, 71–73. [Google Scholar]
- Pan, G.; Wan, M.H.; Xie, K.L.; Li, W.; Hu, W.M.; Liu, X.B.; Tang, W.F.; Wu, H. Classification and Management of Pancreatic Pseudocysts. Medicine 2015, 94, e960. [Google Scholar] [CrossRef]
- Arslan, S.; Okur, M.H.; Arslan, M.S.; Aydogdu, B.; Zeytun, H.; Basuguy, E.; Icer, M.; Goya, C. Management of gastrointestinal perforation from blunt and penetrating abdominal trauma in children: Analysis of 96 patients. Pediatr. Surg. Int. 2016, 32, 1067–1073. [Google Scholar] [CrossRef] [PubMed]
- Coleman, J.J.; Zarzaur, B.L. Surgical Management of Abdominal Trauma: Hollow Viscus Injury. Surg. Clin. North Am. 2017, 97, 1107–1117. [Google Scholar] [CrossRef] [PubMed]
- Hom, J. The risk of intra-abdominal injuries in pediatric patients with stable blunt abdominal trauma and negative abdominal computed tomography. Acad. Emerg. Med. 2010, 17, 469–475. [Google Scholar] [CrossRef] [PubMed]
- Shi, Y.B.; Hao, J.M.; Hu, C.N.; Dou, L.N. Diagnosis of bowel and mesenteric blunt trauma with multidetector CT. Eur. Rev. Med. Pharmacol. Sci. 2015, 19, 1589–1594. [Google Scholar] [PubMed]
- Bhagvan, S.; Turai, M.; Holden, A.; Ng, A.; Civil, I. Predicting hollow viscus injury in blunt abdominal trauma with computed tomography. World. J. Surg. 2013, 37, 123–126. [Google Scholar] [CrossRef]
- Ellison, A.M.; Quayle, K.S.; Bonsu, B.; Garcia, M.; Blumberg, S.; Rogers, A.; Wootton-Gorges, S.L.; Kerrey, B.T.; Cook, L.J.; Cooper, A.; et al. Use of Oral Contrast for Abdominal Computed Tomography in Children with Blunt Torso Trauma. Ann. Emerg. Med. 2015, 66, 107–114. [Google Scholar] [CrossRef]
- Evans, P.T.; Phelps, H.M.; Zhao, S.; Van Arendonk, K.J.; Greeno, A.L.; Collins, K.F.; Lovvorn, H.N., 3rd. Therapeutic laparoscopy for pediatric abdominal trauma. J. Pediatr. Surg. 2020, 55, 1211–1218. [Google Scholar] [CrossRef]
- Butler, E.K.; Mills, B.M.; Arbabi, S.; Groner, J.I.; Vavilala, M.S.; Rivara, F.P. Laparoscopy Compared with Laparotomy for the Management of Pediatric Blunt Abdominal Trauma. J. Surg. Res. 2020, 251, 303–310. [Google Scholar] [CrossRef]
- Butler, E.K.; Groner, J.I.; Vavilala, M.S.; Bulger, E.M.; Rivara, F.P. Surgeon choice in management of pediatric abdominal trauma. J. Pediatr. Surg. 2021, 56, 146–152. [Google Scholar] [CrossRef]
- Coccolini, F.; Sartelli, M.; Sawyer, R.; Rasa, K.; Ceresoli, M.; Viaggi, B.; Catena, F.; Damaskos, D.; Cicuttin, E.; Cremonini, C.; et al. Antibiotic prophylaxis in trauma: Global Alliance for Infection in Surgery, Surgical Infection Society Europe, World Surgical Infection Society, American Association for the Surgery of Trauma, and World Society of Emergency Surgery guidelines. J. Trauma Acute Care Surg. 2024, 96, 674–682. [Google Scholar] [CrossRef]
- Abbas, S.M.; Upadhyay, V. Hollow viscus injury in children: Starship Hospital experience. World J. Emerg. Surg. 2007, 2, 14. [Google Scholar] [CrossRef]
- Staab, V.; Naganathan, S.; McGuire, M.; Pinto, J.M.; Pall, H. Gastrointestinal Perforation with Blunt Abdominal Trauma in Children. Children 2024, 11, 612. [Google Scholar] [CrossRef] [PubMed]
- Ciftci, A.O.; Tanyel, F.C.; Salman, A.B.; Büyükpamukcu, N.; Hiçsönmez, A. Gastrointestinal tract perforation due to blunt abdominal trauma. Pediatr. Surg. Int. 1998, 13, 259–264. [Google Scholar] [CrossRef]
- Choron, R.; Efron, D. Isolated and Combined Duodenal and Pancreatic Injuries: A Review and Update. Trauma Surgery. Curr. Surg. Rep. 2018, 6, 20. [Google Scholar] [CrossRef]
- Peterson, M.L.; Abbas, P.I.; Fallon, S.C.; Naik-Mathuria, B.J.; Rodriguez, J.R. Management of traumatic duodenal hematomas in children. J. Surg. Res. 2015, 199, 126–129. [Google Scholar] [CrossRef]
- Ferrada, P.; Wolfe, L.; Duchesne, J.; Fraga, G.P.; Benjamin, E.; Alvarez, A.; Campbell, A.; Wybourn, C.; Garcia, A.; Morales, C.; et al. Management of duodenal trauma: A retrospective review from the Panamerican Trauma Society. J. Trauma Acute Care Surg. 2019, 86, 392–396. [Google Scholar] [CrossRef]
- Keshri, R.; Chaubey, D.; Yadav, R.; Kumar, V.; Thakur, V.K.; Ranjana, R.; Rahul, S.K. Complicated duodenal perforation in children: Role of T-tube. Afr. J. Paediatr. Surg. 2022, 19, 217–222. [Google Scholar] [CrossRef]
- Malhotra, A.; Biffl, W.L.; Moore, E.E.; Schreiber, M.; Albrecht, R.A.; Cohen, M.; Croce, M.; Karmy-Jones, R.; Namias, N.; Rowell, S.; et al. Western Trauma Association Critical Decisions in Trauma: Diagnosis and management of duodenal injuries. J. Trauma Acute Care Surg. 2015, 79, 1096–1101. [Google Scholar] [CrossRef]
- Choi, P.M.; Wallendorf, M.; Keller, M.S.; Vogel, A.M. Traumatic colorectal injuries in children: The National Trauma Database experience. J. Pediatr. Surg. 2017, 52, 1625–1627. [Google Scholar] [CrossRef]
- Schimpl, G.; Schmidt, B.; Sauer, H. Isolated bowel injury in blunt abdominal trauma in childhood. Eur. J. Pediatr. Surg. 1992, 2, 341–344. [Google Scholar] [CrossRef]
- Dokucu, A.; Oztürk, H.; Yağmur, Y.; Otçu, S.; Onen, A.; Azal, O.F.; Gürkan, F.; Yücesan, S. Colon injuries in children. J. Pediatr. Surg. 2000, 35, 1799–1804. [Google Scholar] [CrossRef]
- Samuk, I.; Steiner, Z.; Feigin, E.; Baazov, A.; Dlugy, E.; Freud, E. Anorectal injuries in children: A 20-year experience in two centers. Pediatr. Surg. Int. 2015, 31, 815–819. [Google Scholar] [CrossRef]
- Clemens, M.S.; Peace, K.M.; Yi, F. Rectal Trauma: Evidence-Based Practices. Clin. Colon Rectal Surg. 2018, 31, 17–23. [Google Scholar] [CrossRef]
- Bonnard, A.; Zamakhshary, M.; Wales, P.W. Outcomes and management of rectal injuries in children. Pediatr. Surg. Int. 2007, 23, 1071–1076. [Google Scholar] [CrossRef]
- Schellenberg, M.; Koller, S.; de Moya, M.; Moore, L.J.; Brown, C.V.R.; Hartwell, J.L.; Inaba, K.; Ley, E.J.; Keric, N.; Peck, K.A.; et al. Diagnosis and management of traumatic rectal injury: A Western Trauma Association critical decisions algorithm. J. Trauma Acute Care Surg. 2023, 95, 731–736. [Google Scholar] [CrossRef]
- Hota, P.K.; Babu, M.; Satyam, G.; Praveen, C. Traumatic gastric rupture following blunt trauma abdomen: A case series. Bali Med. J. 2014, 3, 49–52. [Google Scholar] [CrossRef]
- Begossi, G.; Danielson, P.D.; Hirsh, M.P. Transection of the stomach after blunt injury in the pediatric population. J. Pediatr. Surg. 2007, 42, 1604–1607. [Google Scholar] [CrossRef]
- Pafitanis, G.; Koulas, S.; Bikos, S.; Tsimoyiannis, E. Paediatric case of a large gastric rupture after a blunt abdominal trauma: Report of a case in a District General Hospital. Int. J. Surg. Case Rep. 2013, 4, 235–237. [Google Scholar] [CrossRef][Green Version]
- Aboobakar, M.R.; Singh, J.P.; Maharaj, K.; Mewa Kinoo, S.; Singh, B. Gastric perforation following blunt abdominal trauma. Trauma Case Rep. 2017, 10, 12–15. [Google Scholar] [CrossRef]
- Brown, S.L.; Elder, J.S.; Spirnak, J.P. Are pediatric patients more susceptible to major renal injury from blunt trauma? A comparative study. J. Urol. 1998, 160, 138–140. [Google Scholar] [CrossRef]
- Brown, S.L.; Haas, C.; Dinchman, K.H.; Elder, J.S.; Spirnak, J.P. Radiologic evaluation of pediatric blunt renal trauma in patients with microscopic hematuria. World J. Surg. 2001, 25, 1557–1560. [Google Scholar] [CrossRef] [PubMed]
- Morey, A.F.; Brandes, S.; Dugi, D.D., 3rd; Armstrong, J.H.; Breyer, B.N.; Broghammer, J.A.; Erickson, B.A.; Holzbeierlein, J.; Hudak, S.J.; Pruitt, J.H.; et al. Urotrauma: AUA guideline. J. Urol. 2014, 192, 327–335. [Google Scholar] [CrossRef] [PubMed]
- Trinci, M.; Piccolo, C.L.; Ferrari, R.; Galluzzo, M.; Ianniello, S.; Miele, V. Contrast-enhanced ultrasound (CEUS) in pediatric blunt abdominal trauma. J. Ultrasound. 2019, 22, 27–40. [Google Scholar] [CrossRef] [PubMed]
- Schmidt, J.; Loftus, C.J.; Skokan, A.; Hagedorn, J.C. Routine repeat imaging may be avoidable for asymptomatic pediatric patients with renal trauma. J. Pediatr. Urol. 2022, 18, 76.e1–76.e8. [Google Scholar] [CrossRef] [PubMed]
- Hagedorn, J.C.; Fox, N.; Ellison, J.S.; Russell, R.; Witt, C.E.; Zeller, K.; Ferrada, P.; Draus, J.M., Jr. Pediatric blunt renal trauma practice management guidelines: Collaboration between the Eastern Association for the Surgery of Trauma and the Pediatric Trauma Society. J. Trauma Acute Care Surg. 2019, 86, 916–925. [Google Scholar] [CrossRef]
- Ghani, M.O.A.; Snyder, E.; Xu, M.C.; McKay, K.G.; Foster, J.; Tong, C.; Clayton, D.B.; Greeno, A.; Azam, B.; Zhao, S.; et al. Urine leaks in children sustaining blunt renal trauma. J. Trauma Acute Care Surg. 2022, 93, 376–384. [Google Scholar] [CrossRef]
- Radmayr, C.; Oswald, J.; Müller, E.; Höltl, L.; Bartsch, G. Blunt renal trauma in children: 26 years clinical experience in an alpine region. Eur. Urol. 2002, 42, 297–300. [Google Scholar] [CrossRef]
- Eassa, W.; El-Ghar, M.A.; Jednak, R.; El-Sherbiny, M. Nonoperative management of grade 5 renal injury in children: Does it have a place? Eur. Urol. 2010, 57, 154–161. [Google Scholar] [CrossRef]
- Lyttle, B.D.; Williams, R.F.; Stylianos, S. Management of Pediatric Solid Organ Injuries. Children 2024, 11, 667. [Google Scholar] [CrossRef]
- Yamaçake, K.G.; Lucon, M.; Lucon, A.M.; Mesquita, J.L.; Srougi, M. Renal artery pseudoaneurysm after blunt renal trauma: Report on three cases and review of the literature. Sao Paulo Med. J. 2013, 131, 356–362. [Google Scholar] [CrossRef]
- Singer, G.; Arneitz, C.; Tschauner, S.; Castellani, C.; Till, H. Trauma in pediatric urology. Semin. Pediatr. Surg. 2021, 30, 151085. [Google Scholar] [CrossRef] [PubMed]
- Presti, J.C., Jr.; Carroll, P.R.; McAninch, J.W. Ureteral and renal pelvic injuries from external trauma: Diagnosis and management. J. Trauma 1989, 29, 370–374. [Google Scholar] [CrossRef] [PubMed]
- Coccolini, F.; Moore, E.E.; Kluger, Y.; Biffl, W.; Leppaniemi, A.; Matsumura, Y.; Kim, F.; Peitzman, A.B.; Fraga, G.P.; Sartelli, M.; et al. Kidney and uro-trauma: WSES-AAST guidelines. World J. Emerg. Surg. 2019, 14, 54. [Google Scholar] [CrossRef]
- al-Ali, M.; Haddad, L.F. The late treatment of 63 overlooked or complicated ureteral missile injuries: The promise of nephrostomy and role of autotransplantation. J. Urol. 1996, 156, 1918–1921. [Google Scholar] [CrossRef] [PubMed]
- Fernandez Fernandez, A.; Soria Ruiz, S.; Gomez Martinez, I.; Gil Fabra, J.; Martinez Castellaños, F.; Otero Mauricio, G. Blunt traumatic rupture of the high right ureter, repaired with appendix interposition. Urol. Int. 1994, 53, 97–98. [Google Scholar] [CrossRef] [PubMed]
- Hirsch, K.; Heinz, M.; Wullich, B. Diagnosis and Therapeutic Management in Kidney, Ureter and Bladder Trauma. Aktuelle Urol. 2017, 48, 64–71. [Google Scholar]
- Brandes, S.; Borrelli, J., Jr. Pelvic fracture and associated urologic injuries. World J. Surg. 2001, 25, 1578–1587. [Google Scholar] [CrossRef]
- Quagliano, P.V.; Delair, S.M.; Malhotra, A.K. Diagnosis of blunt bladder injury: A prospective comparative study of computed tomography cystography and conventional retrograde cystography. J. Trauma 2006, 61, 410–421. [Google Scholar] [CrossRef]
- Lal, M.; Kumar, A.; Singh, S. Intraperitoneal urinary bladder rupture diagnosed with ultrasound: An uncommon image. Indian J. Urol. 2019, 35, 307–308. [Google Scholar]
- Volpe, M.A.; Pachter, E.M.; Scalea, T.M.; Macchia, R.J.; Mydlo, J.H. Is there a difference in outcome when treating traumatic intraperitoneal bladder rupture with or without a suprapubic tube? J. Urol. 1999, 161, 1103–1105. [Google Scholar] [CrossRef]
- Richardson, J.R., Jr.; Leadbetter, G.W., Jr. Non-operative treatment of the ruptured bladder. J. Urol. 1975, 114, 213–216. [Google Scholar] [CrossRef]
- McAleer, I.M.; Kaplan, G.W.; Scherz, H.C.; Packer, M.G.; Lynch, F.P. Genitourinary trauma in the pediatric patient. Urology 1993, 42, 563–567. [Google Scholar] [CrossRef] [PubMed]
- Margenthaler, J.A.; Weber, T.R.; Keller, M.S. Blunt renal trauma in children: Experience with conservative management at a pediatric trauma center. J. Trauma 2002, 52, 928–932. [Google Scholar] [CrossRef] [PubMed]
- Stylianos, S. Evidence-based guidelines for resource utilization in children with isolated spleen or liver injury. The APSA Trauma Committee. J. Pediatr. Surg. 2000, 35, 164–167. [Google Scholar] [CrossRef] [PubMed]
- Williams, R.F.; Grewal, H.; Jamshidi, R.; Naik-Mathuria, B.; Price, M.; Russell, R.T.; Vogel, A.; Notrica, D.M.; Stylianos, S.; Petty, J. Updated APSA Guidelines for the Management of Blunt Liver and Spleen Injuries. J. Pediatr. Surg. 2023, 58, 1411–1418. [Google Scholar] [CrossRef]
- Notrica, D.M.; Eubanks, J.W., 3rd; Tuggle, D.W.; Maxson, R.T.; Letton, R.W.; Garcia, N.M.; Alder, A.C.; Lawson, K.A.; St Peter, S.D.; Megison, S.; et al. Nonoperative management of blunt liver and spleen injury in children: Evaluation of the ATOMAC guideline using GRADE. J. Trauma Acute Care Surg. 2015, 79, 683–693. [Google Scholar] [CrossRef] [PubMed]
- Stewart, S.; Fraser, J.A.; Rentea, R.M.; Aguayo, P.; Juang, D.; Fraser, J.D.; Snyder, C.L.; Hendrickson, R.J.; St Peter, S.D.; Oyetunji, T.A. Institutional outcomes of blunt liver and splenic injury in the Arizona-Texas-Oklahoma-Memphis-Arkansas Consortium era. J. Trauma Acute Care Surg. 2023, 95, 295–299. [Google Scholar] [CrossRef]
- Stokes, S.C.; Brown, E.G.; Jackson, J.E.; Leshikar, D.E.; Stephenson, J.T. Implementation of an evidence-based accelerated pathway: Can hospital length of stay for children with blunt solid organ injury be safely decreased? Pediatr. Surg. Int. 2021, 37, 695–704. [Google Scholar] [CrossRef]
- Mizzi, A.; Shabani, A.; Watt, A. The role of follow-up imaging in paediatric blunt abdominal trauma. Clin. Radiol. 2002, 57, 908–912. [Google Scholar] [CrossRef]
- Podda, M.; De Simone, B.; Ceresoli, M.; Virdis, F.; Favi, F.; Wiik Larsen, J.; Coccolini, F.; Sartelli, M.; Pararas, N.; Beka, S.G.; et al. Follow-up strategies for patients with splenic trauma managed non-operatively: The 2022 World Society of Emergency Surgery consensus document. World J. Emerg. Surg. 2022, 17, 52. [Google Scholar] [CrossRef]
- Canon, S.; Recicar, J.; Head, B.; Linam, L.; Swearingen, C.; Maxson, T. The utility of initial and follow-up ultrasound reevaluation for blunt renal trauma in children and adolescents. J. Pediatr. Urol. 2014, 10, 815–818. [Google Scholar] [CrossRef] [PubMed]
- Navarro, O.; Babyn, P.S.; Pearl, R.H. The value of routine follow-up imaging in pediatric blunt liver trauma. Pediatr. Radiol. 2000, 30, 546–550. [Google Scholar] [CrossRef] [PubMed]
- Shen, X.; Zhou, Y.; Shi, X.; Zhang, S.; Ding, S.; Ni, L.; Dou, X.; Chen, L. The application of deep learning in abdominal trauma diagnosis by CT imaging. World J. Emerg. Surg. 2024, 19, 17. [Google Scholar] [CrossRef] [PubMed]
- Jiang, X.; Luo, Y.; He, X.; Wang, K.; Song, W.; Ye, Q.; Feng, L.; Wang, W.; Hu, X.; Li, H. Development and validation of the diagnostic accuracy of artificial intelligence-assisted ultrasound in the classification of splenic trauma. Ann. Transl. Med. 2022, 10, 1060. [Google Scholar] [CrossRef]
- Yao, J.; Chu, L.C.; Patlas, M. Applications of Artificial Intelligence in Acute Abdominal Imaging. Can. Assoc. Radiol. J. 2024, 75, 761–770. [Google Scholar] [CrossRef]
- Cheng, C.T.; Lin, H.H.; Hsu, C.P.; Chen, H.W.; Huang, J.F.; Hsieh, C.H.; Fu, C.Y.; Chung, I.F.; Liao, C.H. Deep Learning for Automated Detection and Localization of Traumatic Abdominal Solid Organ Injuries on CT Scans. J. Imaging Inform. Med. 2024, 37, 1113–1123. [Google Scholar] [CrossRef]
- Danna, G.; Garg, R.; Buchheit, J.; Patel, R.; Zhan, T.; Ellyn, A.; Maqbool, F.; Yala, L.; Moklyak, Y.; Frydman, J.; et al. Prediction of intra-abdominal injury using natural language processing of electronic medical record data. Surgery 2024, 176, 577–585. [Google Scholar] [CrossRef]
- Peng, H.T.; Siddiqui, M.M.; Rhind, S.G.; Zhang, J.; Teodoro da Luz, L.; Beckett, A. Artificial intelligence and machine learning for hemorrhagic trauma care. Mil. Med. Res. 2023, 10, 6. [Google Scholar] [CrossRef]
- Pennell, C.; Polet, C.; Arthur, L.G.; Grewal, H.; Aronoff, S. Risk assessment for intra-abdominal injury following blunt trauma in children: Derivation and validation of a machine learning model. J. Trauma Acute Care Surg. 2020, 89, 153–159. [Google Scholar] [CrossRef]
- Dillman, J.R.; Somasundaram, E.; Brady, S.L.; He, L. Current and emerging artificial intelligence applications for pediatric abdominal imaging. Pediatr. Radiol. 2022, 52, 2139–2148. [Google Scholar] [CrossRef]





| Grade | Description |
|---|---|
| I | Subcapsular hematoma < 10% surface area Parenchymal laceration < 1 cm depth |
| II | Subcapsular hematoma 10–50% surface area; intraparenchymal hematoma < 5 cm Parenchymal laceration 1–3 cm |
| III | Subcapsular hematoma >50% surface area; ruptured subcapsular or intraparenchymal hematoma ≥ 5 cm Parenchymal laceration > 3 cm depth |
| IV | Any injury in the presence of a splenic vascular injury or active bleeding confined within the splenic capsule Parenchymal laceration involving segmental or hilar vessels producing > 25% devascularization |
| V | Any injury in the presence of a splenic vascular injury with active bleeding extended beyond the spleen into the peritoneum Shattered spleen |
| Grade | Description |
|---|---|
| I | Subcapsular hematoma < 10% surface area Parenchymal laceration < 1 cm depth |
| II | Subcapsular hematoma 10–50% surface area; intraparenchymal hematoma < 10 cm Laceration 1–3 cm in depth and ≤ 10 cm length |
| III | Subcapsular hematoma > 50% surface area; ruptured subcapsular or parenchymal hematoma; intraparenchymal hematoma > 10 cm Laceration > 3 cm depth Any injury in the presence of a liver vascular injury or active bleeding contained within liver parenchyma |
| IV | Parenchymal disruption involving 25–75% of a hepatic lobe Active bleeding extending beyond the liver parenchyma into the peritoneum |
| V | Parenchymal disruption > 75% of hepatic lobe Juxtahepatic venous injury to include retrohepatic vena cava and central major hepatic veins |
| VI | Hepatic avulsion |
| Grade | Description |
|---|---|
| I | Minor contusion without duct injury Superficial laceration without duct injury |
| II | Major contusion without duct injury or tissue loss Major laceration without duct injury or tissue loss |
| III | Distal transection or parenchymal injury with duct injury |
| IV | Proximal transection or parenchymal injury involving ampulla |
| V | Massive disruption of pancreatic head |
| Grade | Description |
|---|---|
| I | Contusion or hematoma without devascularization Partial thickness, no perforation |
| II | Laceration < 50% of circumference |
| III | Laceration > 50% of circumference without transection |
| IV | Transection of the small bowel |
| V | Transection of the small bowel with segmental tissue loss Devascularized segment |
| Grade | Description |
|---|---|
| I | Involving single portion of duodenum Partial thickness, no perforation |
| II | Involving more than one portion Disruption < 50% of circumference |
| III | Disruption 50–75% of circumference of D2 Disruption 50–100% of circumference of D1, D3, D4 |
| IV | Disruption > 75% of circumference of D2 Involving ampulla or distal common bile duct |
| V | Massive disruption of duodenopancreatic complex Devascularization of duodenum |
| Grade | Description |
|---|---|
| I | Contusion or hematoma without devascularization Partial thickness, no perforation |
| II | Laceration < 50% of circumference |
| III | Laceration > 50% of circumference without transection |
| IV | Transection of the colon |
| V | Transection of the colon with segmental tissue loss Devascularized segment |
| Grade | Description |
|---|---|
| I | Contusion or hematoma without devascularization Partial thickness laceration |
| II | Laceration < 50% of circumference |
| III | Laceration > 50% of circumference |
| IV | Full-thickness laceration with extension into the perineum |
| V | Devascularized segment |
| Grade | Description |
|---|---|
| I | Contusion/hematoma Partial thickness laceration |
| II | Laceration < 2 cm in GE junction or pylorus <5 cm in proximal 1/3 stomach <10 cm in distal 2/3 stomach |
| III | Laceration >2cm in GE junction or pylorus >5 cm in proximal 1/3 stomach >10 cm in distal 2/3 stomach |
| IV | Tissue loss or devascularization <2/3 stomach |
| V | Tissue loss or devascularization >2/3 stomach |
| Grade | Description |
|---|---|
| I | Subcapsular hematoma and/or parenchymal contusion without laceration |
| II | Perirenal hematoma confined to Gerota’s fascia Renal parenchymal laceration ≤ 1 cm depth without urinary extravasation |
| III | Renal parenchymal laceration > 1 cm depth without collecting system rupture or urinary extravasation Any injury in the presence of a kidney vascular injury or active bleeding contained within Gerota’s fascia |
| IV | Parenchymal laceration extending into urinary collecting system with urinary extravasation Renal pelvis laceration and/or complete ureteropelvic disruption Segmental renal vein or artery injury Active bleeding beyond Gerota’s fascia into the retroperitoneum or peritoneum Segmental or complete kidney infarction(s) due to vessel thrombosis without active bleeding |
| V | Main renal artery or vein laceration or avulsion of hilum Devascularized kidney with active bleeding Shattered kidney with loss of identifiable parenchymal renal anatomy |
| Grade | Description |
|---|---|
| I | Contusion or hematoma without devascularization |
| II | <50% transection |
| III | >50% transection |
| IV | Complete transection with <2 cm devascularization |
| V | Avulsion with >2 cm devascularization |
| Grade | Description |
|---|---|
| I | Contusion, intramural hematoma Partial thickness laceration |
| II | Extraperitoneal bladder wall laceration < 2 cm |
| III | Extraperitoneal (>2 cm) or intraperitoneal (<2 cm) bladder wall laceration |
| IV | Intraperitoneal bladder wall laceration > 2 cm |
| V | Intraperitoneal or extraperitoneal bladder wall laceration extending into the bladder neck or ureteral orifice (trigone) |
Disclaimer/Publisher’s Note: The statements, opinions and data contained in all publications are solely those of the individual author(s) and contributor(s) and not of MDPI and/or the editor(s). MDPI and/or the editor(s) disclaim responsibility for any injury to people or property resulting from any ideas, methods, instructions or products referred to in the content. |
© 2024 by the authors. Licensee MDPI, Basel, Switzerland. This article is an open access article distributed under the terms and conditions of the Creative Commons Attribution (CC BY) license (https://creativecommons.org/licenses/by/4.0/).
Share and Cite
Bašković, M.; Keretić, D.; Lacković, M.; Borić Krakar, M.; Pogorelić, Z. The Diagnosis and Management of Pediatric Blunt Abdominal Trauma—A Comprehensive Review. Diagnostics 2024, 14, 2257. https://doi.org/10.3390/diagnostics14202257
Bašković M, Keretić D, Lacković M, Borić Krakar M, Pogorelić Z. The Diagnosis and Management of Pediatric Blunt Abdominal Trauma—A Comprehensive Review. Diagnostics. 2024; 14(20):2257. https://doi.org/10.3390/diagnostics14202257
Chicago/Turabian StyleBašković, Marko, Dorotea Keretić, Matej Lacković, Marta Borić Krakar, and Zenon Pogorelić. 2024. "The Diagnosis and Management of Pediatric Blunt Abdominal Trauma—A Comprehensive Review" Diagnostics 14, no. 20: 2257. https://doi.org/10.3390/diagnostics14202257
APA StyleBašković, M., Keretić, D., Lacković, M., Borić Krakar, M., & Pogorelić, Z. (2024). The Diagnosis and Management of Pediatric Blunt Abdominal Trauma—A Comprehensive Review. Diagnostics, 14(20), 2257. https://doi.org/10.3390/diagnostics14202257

