Artefacts in Hysterectomies with a Special Focus on Vascular Pseudoinvasion
Abstract
1. Introduction
2. Materials and Methods
3. Results
4. Discussion
5. Conclusions
Author Contributions
Funding
Institutional Review Board Statement
Informed Consent Statement
Data Availability Statement
Conflicts of Interest
References
- Walker, J.L.; Piedmonte, M.R.; Spirtos, N.M.; Eisenkop, S.M.; Schlaerth, J.B.; Mannel, R.S.; Spiegel, G.; Barakat, R.; Pearl, M.L.; Sharma, S.K. Laparoscopy compared with laparotomy for comprehensive surgical staging of uterine cancer: Gynecologic Oncology Group Study LAP2. J. Clin. Oncol. 2009, 27, 5331–5336. [Google Scholar] [CrossRef]
- Walker, J.L.; Piedmonte, M.R.; Spirtos, N.M.; Eisenkop, S.M.; Schlaerth, J.B.; Mannel, R.S.; Barakat, R.; Pearl, M.L.; Sharma, S.K. Recurrence and survival after random assignment to laparoscopy versus laparotomy for comprehensive surgical staging of uterine cancer: Gynecologic Oncology Group LAP2 Study. J. Clin. Oncol. 2012, 30, 695–700. [Google Scholar] [CrossRef] [PubMed]
- Lim, S.; Kim, H.S.; Lee, K.B.; Yoo, C.W.; Park, S.Y.; Seo, S.S. Does the use of a uterine manipulator with an intrauterine balloon in total laparoscopic hysterectomy facilitate tumor cell spillage into the peritoneal cavity in patients with endometrial cancer? Int. J. Gynecol. Cancer 2008, 18, 1145–1149. [Google Scholar] [CrossRef] [PubMed]
- Sonoda, Y.; Zerbe, M.; Smith, A.; Lin, O.; Barakat, R.R.; Hoskins, W.J. High incidence of positive peritoneal cytology in low-risk endometrial cancer treated by laparoscopically assisted vaginal hysterectomy. Gynecol. Oncol. 2001, 80, 378–382. [Google Scholar] [CrossRef]
- Zhang, C.; Havrilesky, L.J.; Broadwater, G.; Di Santo, N.; Ehrisman, J.A.; Lee, P.S.; Berchuck, A.; Secord, A.A.; Bean, S.; Bentley, R.C.; et al. Relationship between minimally invasive hysterectomy, pelvic cytology, and lymph vascular space invasion: A single institution study of 458 patients. Gynecol. Oncol. 2014, 133, 211–215. [Google Scholar] [CrossRef]
- Logani, S.; Herdman, A.V.; Little, J.V.; Moller, K.A. Vascular ‘pseudo invasion’ in laparoscopic hysterectomy specimens: A diagnostic pitfall. Am. J. Surg. Pathol. 2008, 32, 560–565. [Google Scholar] [CrossRef]
- Krizova, A.; Clarke, B.A.; Bernardini, M.Q.; James, S.; Kalloger, S.E.; Boerner, S.L.; Mulligan, A.M. Histologic artifacts in abdominal, vaginal, laparoscopic, and robotic hysterectomy specimens: A blinded, retrospective review. Am. J. Surg. Pathol. 2011, 35, 115–126. [Google Scholar] [CrossRef] [PubMed]
- Kitahara, S.; Walsh, C.; Frumovitz, M.; Malpica, A.; Silva, E.G. Vascular pseudoinvasion in laparoscopic hysterectomy specimens for endometrial carcinoma: A grossing artifact? Am. J. Surg. Pathol. 2009, 33, 298–303. [Google Scholar] [CrossRef] [PubMed]
- Stålberg, K.; Bjurberg, M.; Borgfeldt, C.; Carlson, J.; Dahm-Kähler, P.; Flöter-Rådestad, A.; Hellman, K.; Hjerpe, E.; Holmberg, E.; Kjølhede, P.; et al. Lymphovascular space invasion as a predictive factor for lymph node metastases and survival in endometrioid endometrial cancer—A Swedish Gynecologic Cancer Group (SweGCG) study. Acta Oncol. 2019, 58, 1628–1633. [Google Scholar] [CrossRef]
- Peters, E.E.; Bartosch, C.; McCluggage, W.G.; Genestie, C.; Lax, S.F.; Nout, R.; Oosting, J.; Singh, N.; Smit, H.C.; Smit, V.T.; et al. Reproducibility of lymphovascular space invasion (LVSI) assessment in endometrial cancer. Histopathology 2019, 75, 128–136. [Google Scholar] [CrossRef]
- Peters, E.E.; León-Castillo, A.; Smit, V.T.; Boennelycke, M.; Hogdall, E.; Hogdall, C.; Creutzberg, C.; Jürgenliemk-Schulz, I.M.; Jobsen, J.J.; Mens, J.W.; et al. Defining Substantial Lymphovascular Space Invasion in Endometrial Cancer. Int. J. Gynecol. Pathol. 2022, 41, 220–226. [Google Scholar] [CrossRef] [PubMed]
- Folkins, A.K.; Nevadunsky, N.S.; Saleemuddin, A.; Jarboe, E.A.; Muto, M.G.; Feltmate, C.M.; Crum, C.P.; Hirsch, M.S. Evaluation of vascular space involvement in endometrial adenocarcinomas: Laparoscopic vs abdominal hysterectomies. Mod. Pathol. 2010, 23, 1073–1079. [Google Scholar] [CrossRef]
- McLachlin, C.M.; Devine, P.; Muto, M.; Genest, D.R. Pseudoinvasion of vascular spaces: Report of an artifact caused by cervical lidocaine injection prior to loop diathermy. Hum. Pathol. 1994, 25, 208–211. [Google Scholar] [CrossRef]
- Karpathiou, G.; Corsini, T.; Dagher, S.; Chauleur, C.; Peoc’h, M. Vascular Pseudoinvasion After Endometrial Ablation. Int. J. Gynecol. Pathol. 2020, 40, 597–601. [Google Scholar] [CrossRef] [PubMed]
- Karpathiou, G.; Sramek, V.; Dagher, S.; Mobarki, M.; Dridi, M.; Picot, T.; Chauleur, C.; Peoc’h, M. Peripheral node addressin, a ligand for L-selectin is found in tumor cells and in high endothelial venules in endometrial cancer. Pathol. Res. Pract. 2022, 233, 153888. [Google Scholar] [CrossRef] [PubMed]
- Female Genital Tumours WHO Classification of Tumours, 5th ed.; WHO Classification of Tumours Editorial Board: Lyon, France, 2022; Volume 4.
- AJCC Cancer Staging Manual, 8th ed.; American Joint Committee on Cancer Executive Office: Chicago, IL, USA, 2018.
- Siegel, R.; Ma, J.; Zou, Z.; Jemal, A. Cancer statistics, 2014. CA Cancer J. Clin. 2014, 64, 9–29. [Google Scholar] [CrossRef] [PubMed]
- Colombo, N.; Creutzberg, C.; Amant, F.; Bosse, T.; González-Martín, A.; Ledermann, J.; Marth, C.; Nout, R.; Querleu, D.; Mirza, M.R.; et al. ESMO-ESGO-ESTRO Consensus Conference on Endometrial Cancer: Diagnosis, treatment and follow-up. Ann. Oncol. 2016, 27, 16–41. [Google Scholar] [CrossRef] [PubMed]
- Wright, J.D.; Barrena Medel, N.I.; Sehouli, J.; Fujiwara, K.; Herzog, T.J. Contemporary management of endometrial cancer. Lancet 2012, 379, 1352–1360. [Google Scholar] [CrossRef]
- Hachisuga, T.; Kaku, T.; Fukuda, K.; Eguchi, F.; Emoto, M.; Kamura, T.; Iwasaka, T.; Kawarabayashi, T.; Sugimori, H.; Mori, M. The grading of lymphovascular space invasion in endometrial carcinoma. Cancer 1999, 86, 2090–2097. [Google Scholar] [CrossRef]
- O’Brien, D.; Flannelly, G.; Mooney, E.; Foley MO’Brien, D.J.; Flannelly, G.; Mooney, E.E.; Foley, M. Lymphovascular space involvement in early stage well-differentiated endometrial cancer is associated with increased mortality. BJOG Int. J. Obstet. Gynaecol. 2009, 116, 991–994. [Google Scholar] [CrossRef]
- Watanabe, Y.; Satou, T.; Nakai, H.; Etoh, T.; Dote, K.; Fujinami, N.; Hoshiai, H. Evaluation of Parametrial Spread in Endometrial Carcinoma. Obstet. Gynecol. 2010, 116, 1027–1034. [Google Scholar] [CrossRef] [PubMed]
- Endometrial Cancer: ESMO Clinical Practice Guidelines. Available online: https://www.esmo.org/guidelines/guidelines-by-topic/gynaecological-cancers/endometrial-cancer (accessed on 14 July 2024).
- Bosse, T.; Peters, E.E.; Creutzberg, C.L.; Jürgenliemk-Schulz, I.M.; Jobsen, J.J.; Mens, J.W.; Lutgens, L.C.; van der Steen-Banasik, E.M.; Smit, V.T.; Nout, R.A. Substantial lymph-vascular space invasion (LVSI) is a significant risk factor for recurrence in endometrial cancer—A pooled analysis of PORTEC 1 and 2 trials. Eur. J. Cancer 2015, 51, 1742–1750. [Google Scholar] [CrossRef] [PubMed]
- Kong, A.; Johnson, N.; Kitchener, H.C.; Lawrie, T.A. Adjuvant radiotherapy for stage I endometrial cancer. Cochrane Database Syst. Rev. 2012, CD003916. [Google Scholar] [CrossRef]
- Koh, C.H. A new technique and system for simplifying total laparoscopic hysterectomy. J. Am. Assoc. Gynecol. Laparosc. 1998, 5, 187–192. [Google Scholar] [CrossRef] [PubMed]
- Gorostidi Pulgar, M.; de la Noval, B.D.; Gil-Ibanez, B.; Leal, V.L.; Marin, I.J.; Iserte, P.P. Lymphovascular Space Invasion for Endometrial Cancer: Undertreatment and Overtreatment Risks: A Survey of the Spanish Gynecologic Oncology Group. Int. J. Gynecol. Cancer 2017, 27, 1191–1199. [Google Scholar] [CrossRef]
- Momeni, M.; Kolev, V.; Cardenas-Goicoechea, J.; Getrajdman, J.; Fishman, D.; Chuang, L.; Kalir, T.; Rahaman, J.; Zakashansky, K. Does the type of surgery for early-stage endometrial cancer affect the rate of reported lymphovascular space invasion in final pathology specimens? Am. J. Obstet. Gynecol. 2013, 208, 71.e1–71.e6. [Google Scholar] [CrossRef]
- Ramirez, P.T.; Frumovitz, M.; Pareja, R.; Lopez, A.; Vieira, M.; Ribeiro, R.; Buda, A.; Yan, X.; Shuzhong, Y.; Chetty, N.; et al. Minimally Invasive versus Abdominal Radical Hysterectomy for Cervical Cancer. N. Engl. J. Med. 2018, 379, 1895–1904. [Google Scholar] [CrossRef]




| Variable | n (%) |
|---|---|
| Uterine pathology | |
| Endometrial adenocarcinoma | 33 (55) |
| Benign lesion | 27 (45) |
| MMR proteins’ status | |
| Deficient | 16 (48.5) |
| Proficient | 17 (51.5) |
| FIGO stage | |
| IA | 14 (42.4) |
| IB | 9 (27.3) |
| II | 2 (6.1) |
| IIIA | 2 (6.1) |
| IIIB | 5 (15.2) |
| IIIC | 1 (3.1) |
| pT | |
| pT1a | 15 (45.5) |
| pT1b | 9 (27.3) |
| pT2 | 2 (6.1) |
| pT3a | 4 (12.1) |
| pT3b | 3 (9.1) |
| pN | |
| pN0 | 31 (93.9) |
| pN1a | 1 (3.1) |
| pN2 | 0 |
| Not evaluable | 1 (3.1) |
| Parametria | |
| Not invaded | 28 (84.8) |
| Invaded | 5 (15.2) |
| Type of hysterectomy | |
| Laparoscopy | 34 (56.7) |
| Laparotomy | 12 (20) |
| Vaginal | 14 (23.3) |
| Intrauterine manipulator | |
| Used | 19 (31.7) |
| Not used | 41 (68.3) |
| Cells in the Fallopian tubes’ lumens | |
| Present | 6 (10) |
| Absent | 54 (90) |
| Cells in the lumen of the cervix | |
| Present | 16 (26.7) |
| Absent | 43 (71.7) |
| Not evaluable | 1 (1.7) |
| Myometrial clefts | |
| Present | 16 (26.7) |
| Absent | 44 (73.3) |
| True vascular emboli | |
| Present | 11 (18.3) |
| Absent | 49 (81.7) |
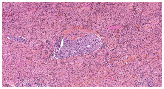
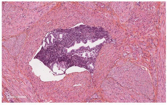
| Vascular pseudoinvasion | |
| Present | 14 (23.7) |
| Absent | 46 (76.6) |
| Tumor necrosis | |
| Present | 17 (28.3) |
| Absent | 43 (71.7) |
| Vascular Pseudoinvasion Present | Vascular Pseudoinvasion Absent | p | |
|---|---|---|---|
| Cells in the cervical lumen | |||
| Present | 7 | 7 | 0.013 |
| Absent | 7 | 38 | |
| Myometrial clefts | |||
| Present | 10 | 6 | <0.001 |
| Absent | 4 | 40 | |
| Uterine pathology | |||
| Malignant | 13 | 20 | <0.001 |
| Benign | 1 | 26 | |
Disclaimer/Publisher’s Note: The statements, opinions and data contained in all publications are solely those of the individual author(s) and contributor(s) and not of MDPI and/or the editor(s). MDPI and/or the editor(s) disclaim responsibility for any injury to people or property resulting from any ideas, methods, instructions or products referred to in the content. |
© 2024 by the authors. Licensee MDPI, Basel, Switzerland. This article is an open access article distributed under the terms and conditions of the Creative Commons Attribution (CC BY) license (https://creativecommons.org/licenses/by/4.0/).
Share and Cite
Dagher, S.; Mobarki, M.; Chauleur, C.; Papoudou-Bai, A.; Péoc’h, M.; Karpathiou, G. Artefacts in Hysterectomies with a Special Focus on Vascular Pseudoinvasion. Diagnostics 2024, 14, 1833. https://doi.org/10.3390/diagnostics14161833
Dagher S, Mobarki M, Chauleur C, Papoudou-Bai A, Péoc’h M, Karpathiou G. Artefacts in Hysterectomies with a Special Focus on Vascular Pseudoinvasion. Diagnostics. 2024; 14(16):1833. https://doi.org/10.3390/diagnostics14161833
Chicago/Turabian StyleDagher, Sami, Mousa Mobarki, Celine Chauleur, Alexandra Papoudou-Bai, Michel Péoc’h, and Georgia Karpathiou. 2024. "Artefacts in Hysterectomies with a Special Focus on Vascular Pseudoinvasion" Diagnostics 14, no. 16: 1833. https://doi.org/10.3390/diagnostics14161833
APA StyleDagher, S., Mobarki, M., Chauleur, C., Papoudou-Bai, A., Péoc’h, M., & Karpathiou, G. (2024). Artefacts in Hysterectomies with a Special Focus on Vascular Pseudoinvasion. Diagnostics, 14(16), 1833. https://doi.org/10.3390/diagnostics14161833

