Androgen-Induced, β-Catenin-Activated Hepatocellular Adenomatosis with Spontaneous External Rupture
Abstract
1. Introduction
2. Case Presentation
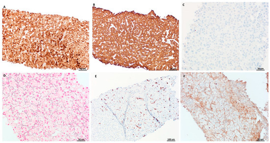
3. Pathologic Findings
4. Discussion
5. Conclusions
Author Contributions
Funding
Institutional Review Board Statement
Informed Consent Statement
Data Availability Statement
Conflicts of Interest
References
- Barthelmes, L.; Tait, I.S. Liver cell adenoma and liver cell adenomatosis. HPB 2005, 7, 186–196. [Google Scholar] [CrossRef] [PubMed]
- Shen, X.Y.; Hu, X.G.; Kim, Y.B.; Kim, M.N.; Hong, S.Y.; Kim, B.W.; Wang, H.J. Molecular classification of hepatocellular adenoma: A single-center experience. Ann. Hepatobiliary Pancreat. Surg. 2019, 23, 109–114. [Google Scholar] [CrossRef]
- Nagtegaal, I.D.; Odze, R.D.; Klimstra, D.; Paradis, V.; Rugge, M.; Schirmacher, P.; Washington, K.M.; Carneiro, F.; Cree, I.A.; The WHO Classification of Tumours Editorial Board. The 2019 WHO classification of tumours of the digestive system. Histopathology 2020, 76, 182–188. [Google Scholar] [CrossRef]
- Chopra, S.; Dhall, D. Pathologic Diagnosis of Well-differentiated Hepatocellular Lesions: A Practical Approach to Diagnosis with Particular Focus in Core Needle Biopsies and Utilization of Ancillary Techniques. Adv. Anat. Pathol. 2023, 30, 307–319. [Google Scholar] [CrossRef]
- Rowan, D.J.; Yasir, S.; Chen, Z.E.; Mounajjed, T.; Erdogan Damgard, S.; Cummins, L.; Zhang, L.; Whitcomb, E.; Falck, V.; Simon, S.M.; et al. Morphologic and Molecular Findings in Myxoid Hepatic Adenomas. Am. J. Surg. Pathol. 2021, 45, 1098–1107. [Google Scholar] [CrossRef] [PubMed]
- Ishak, K.G. Hepatic neoplasms associated with contraceptive and anabolic steroids. Recent Results Cancer Res. 1979, 66, 73–128. [Google Scholar] [CrossRef]
- Westaby, D.; Portmann, B.; Williams, R. Androgen related primary hepatic tumors in non-Fanconi patients. Cancer 1983, 51, 1947–1952. [Google Scholar] [CrossRef]
- Nault, J.C.; Couchy, G.; Balabaud, C.; Morcrette, G.; Caruso, S.; Blanc, J.F.; Bacq, Y.; Calderaro, J.; Paradis, V.; Ramos, J.; et al. Molecular Classification of Hepatocellular Adenoma Associates with Risk Factors, Bleeding, and Malignant Transformation. Gastroenterology 2017, 152, 880–894.e6. [Google Scholar] [CrossRef]
- Bioulac-Sage, P.; Sempoux, C.; Balabaud, C. Hepatocellular adenoma: Classification, variants and clinical relevance. Semin. Diagn. Pathol. 2017, 34, 112–125. [Google Scholar] [CrossRef]
- Yager, J.D.; Liehr, J.G. Molecular mechanisms of estrogen carcinogenesis. Annu. Rev. Pharmacol. Toxicol. 1996, 36, 203–232. [Google Scholar] [CrossRef]
- Yamamoto, T.; Matsuda, T.; Junicho, A.; Kishi, H.; Saatcioglu, F.; Muraguchi, A. Cross-talk between signal transducer and activator of transcription 3 and estrogen receptor signaling. FEBS Lett. 2000, 486, 143–148. [Google Scholar] [CrossRef]
- Jeannot, E.; Poussin, K.; Chiche, L.; Bacq, Y.; Sturm, N.; Scoazec, J.Y.; Buffet, C.; Van Nhieu, J.T.; Bellanne-Chantelot, C.; de Toma, C.; et al. Association of CYP1B1 germ line mutations with hepatocyte nuclear factor 1alpha-mutated hepatocellular adenoma. Cancer Res. 2007, 67, 2611–2616. [Google Scholar] [CrossRef]
- Julien, C.; Le-Bail, B.; Ouazzani Touhami, K.; Frulio, N.; Blanc, J.F.; Adam, J.P.; Laurent, C.; Balabaud, C.; Bioulac-Sage, P.; Chiche, L. Hepatocellular Adenoma Risk Factors of Hemorrhage: Size Is Not the Only Concern!: Single-center Retrospective Experience of 261 Patients. Ann. Surg. 2021, 274, 843–850. [Google Scholar] [CrossRef] [PubMed]
- Kent, D.R.; Nissen, E.D.; Nissen, S.E.; Chambers, C. Maternal death resulting from rupture of liver adenoma associated with oral contraceptives. Obstet. Gynecol. 1977, 50 (Suppl. S1), 5s–6s. [Google Scholar]
- Gryspeerdt, F.; Aerts, R. Laparoscopic liver resection for hemorrhagic hepatocellular adenoma in a pregnant patient. Acta Chir. Belg. 2018, 118, 322–325. [Google Scholar] [CrossRef]
- Gupta, S.; Naini, B.V.; Munoz, R.; Graham, R.P.; Kipp, B.R.; Torbenson, M.S.; Mounajjed, T. Hepatocellular Neoplasms Arising in Association with Androgen Use. Am. J. Surg. Pathol. 2016, 40, 454–461. [Google Scholar] [CrossRef]
- Fankhauser, C.D.; Wettstein, M.S.; Reinhardt, M.; Gessendorfer, A.; Mostafid, H.; Hermanns, T. Indications and Complications of Androgen Deprivation Therapy. Semin. Oncol. Nurs. 2020, 36, 151042. [Google Scholar] [CrossRef]
- Mulvihill, J.J.; Ridolfi, R.L.; Schultz, F.R.; Borzy, M.S.; Haughton, P.B. Hepatic adenoma in Fanconi anemia treated with oxymetholone. J. Pediatr. 1975, 87, 122–124. [Google Scholar] [CrossRef]
- Johnson, F.L.; Lerner, K.G.; Siegel, M.; Feagler, J.R.; Majerus, P.W.; Hartmann, J.R.; Thomas, E.D. Association of androgenic-anabolic steroid therapy with development of hepatocellular carcinoma. Lancet 1972, 300, 1273–1276. [Google Scholar] [CrossRef] [PubMed]
- Wang, L.; Wang, C.; Li, W.; Meng, F.; Li, Y.; Fan, H.; Zhou, Y.; Bharathi, G.; Gao, S.; Yang, Y. Multiple hepatocellular adenomas associated with long-term administration of androgenic steroids for aplastic anemia: A case report and literature review. Medicine 2020, 99, e20829. [Google Scholar] [CrossRef] [PubMed]
- Kato, K.; Abe, H.; Hanawa, N.; Fukuzawa, J.; Matsuo, R.; Yonezawa, T.; Itoh, S.; Sato, Y.; Ika, M.; Shimizu, S.; et al. Hepatocellular adenoma in a woman who was undergoing testosterone treatment for gender identity disorder. Clin. J. Gastroenterol. 2018, 11, 401–410. [Google Scholar] [CrossRef] [PubMed]
- Toso, C.; Rubbia-Brandt, L.; Negro, F.; Morel, P.; Mentha, G. Hepatocellular adenoma and polycystic ovary syndrome. Liver Int. 2003, 23, 35–37. [Google Scholar] [CrossRef] [PubMed]
- Solbach, P.; Potthoff, A.; Raatschen, H.J.; Soudah, B.; Lehmann, U.; Schneider, A.; Gebel, M.J.; Manns, M.P.; Vogel, A. Testosterone-receptor positive hepatocellular carcinoma in a 29-year old bodybuilder with a history of anabolic androgenic steroid abuse: A case report. BMC Gastroenterol. 2015, 15, 60. [Google Scholar] [CrossRef] [PubMed]
- Hardt, A.; Stippel, D.; Odenthal, M.; Holscher, A.H.; Dienes, H.P.; Drebber, U. Development of hepatocellular carcinoma associated with anabolic androgenic steroid abuse in a young bodybuilder: A case report. Case Rep. Pathol. 2012, 2012, 195607. [Google Scholar] [CrossRef]
- Socas, L.; Zumbado, M.; Perez-Luzardo, O.; Ramos, A.; Perez, C.; Hernandez, J.R.; Boada, L.D. Hepatocellular adenomas associated with anabolic androgenic steroid abuse in bodybuilders: A report of two cases and a review of the literature. Br. J. Sports Med. 2005, 39, e27. [Google Scholar] [CrossRef]
- Creagh, T.M.; Rubin, A.; Evans, D.J. Hepatic tumours induced by anabolic steroids in an athlete. J. Clin. Pathol. 1988, 41, 441–443. [Google Scholar] [CrossRef] [PubMed]
- Hernandez-Nieto, L.; Bruguera, M.; Bombi, J.; Camacho, L.; Rozman, C. Benign liver-cell adenoma associated with long-term administration of an androgenic-anabolic steroid (methandienone). Cancer 1977, 40, 1761–1764. [Google Scholar] [CrossRef]
- Martin, N.M.; Abu Dayyeh, B.K.; Chung, R.T. Anabolic steroid abuse causing recurrent hepatic adenomas and hemorrhage. World J. Gastroenterol. 2008, 14, 4573–4575. [Google Scholar] [CrossRef]
- Sempoux, C.; Gouw, A.S.H.; Dunet, V.; Paradis, V.; Balabaud, C.; Bioulac-Sage, P. Predictive Patterns of Glutamine Synthetase Immunohistochemical Staining in CTNNB1-mutated Hepatocellular Adenomas. Am. J. Surg. Pathol. 2021, 45, 477–487. [Google Scholar] [CrossRef]
- Abdel-Hamid, N.M.; Al-Quzweny, R.M. Prevalence of Hepatocellular Carcinoma in Men and the Contribution of Androgen and its Receptor in Pathogenesis and Therapy. Curr. Mol. Pharmacol. 2023, 16, 559–563. [Google Scholar] [CrossRef]
- Gonzalez, I.A.; Torbenson, M.; Sharifai, N.; Byrnes, K.; Chatterjee, D.; Kakar, S.; Yeh, M.M.; Wu, T.T.; Zhang, X.; Jain, D. Clinicopathologic characterization of hepatocellular adenomas in men: A multicenter experience. Hum. Pathol. 2023, 138, 24–33. [Google Scholar] [CrossRef]
- Toh, M.R.; Wong, E.Y.T.; Wong, S.H.; Ng, A.W.T.; Loo, L.H.; Chow, P.K.; Ngeow, J. Global Epidemiology and Genetics of Hepatocellular Carcinoma. Gastroenterology 2023, 164, 766–782. [Google Scholar] [CrossRef]
- Singal, A.G.; Kanwal, F.; Llovet, J.M. Global trends in hepatocellular carcinoma epidemiology: Implications for screening, prevention and therapy. Nat. Rev. Clin. Oncol. 2023, 20, 864–884. [Google Scholar] [CrossRef]
- Ma, W.L.; Hsu, C.L.; Wu, M.H.; Wu, C.T.; Wu, C.C.; Lai, J.J.; Jou, Y.S.; Chen, C.W.; Yeh, S.; Chang, C. Androgen receptor is a new potential therapeutic target for the treatment of hepatocellular carcinoma. Gastroenterology 2008, 135, 947–955.e5. [Google Scholar] [CrossRef] [PubMed]
- Wang, S.H.; Yeh, S.H.; Chen, P.J. The driving circuit of HBx and androgen receptor in HBV-related hepatocarcinogenesis. Gut 2014, 63, 1688–1689. [Google Scholar] [CrossRef]
- Li, C.L.; Li, C.Y.; Lin, Y.Y.; Ho, M.C.; Chen, D.S.; Chen, P.J.; Yeh, S.H. Androgen Receptor Enhances Hepatic Telomerase Reverse Transcriptase Gene Transcription after Hepatitis B Virus Integration or Point Mutation in Promoter Region. Hepatology 2019, 69, 498–512. [Google Scholar] [CrossRef]
- Nagasue, N.; Ito, A.; Yukaya, H.; Ogawa, Y. Androgen receptors in hepatocellular carcinoma and surrounding parenchyma. Gastroenterology 1985, 89, 643–647. [Google Scholar] [CrossRef]
- Nagasue, N.; Yu, L.; Yukaya, H.; Kohno, H.; Nakamura, T. Androgen and oestrogen receptors in hepatocellular carcinoma and surrounding liver parenchyma: Impact on intrahepatic recurrence after hepatic resection. Br. J. Surg. 1995, 82, 542–547. [Google Scholar] [CrossRef]
- Boix, L.; Castells, A.; Bruix, J.; Sole, M.; Bru, C.; Fuster, J.; Rivera, F.; Rodes, J. Androgen receptors in hepatocellular carcinoma and surrounding liver: Relationship with tumor size and recurrence rate after surgical resection. J. Hepatol. 1995, 22, 616–622. [Google Scholar] [CrossRef]
- Cohen, C.; Lawson, D.; DeRose, P.B. Sex and androgenic steroid receptor expression in hepatic adenomas. Hum. Pathol. 1998, 29, 1428–1432. [Google Scholar] [CrossRef]
- Svrcek, M.; Jeannot, E.; Arrive, L.; Poupon, R.; Fromont, G.; Flejou, J.F.; Zucman-Rossi, J.; Bouchard, P.; Wendum, D. Regressive liver adenomatosis following androgenic progestin therapy withdrawal: A case report with a 10-year follow-up and a molecular analysis. Eur. J. Endocrinol. 2007, 156, 617–621. [Google Scholar] [CrossRef]
- Buhler, H.; Pirovino, M.; Akobiantz, A.; Altorfer, J.; Weitzel, M.; Maranta, E.; Schmid, M. Regression of liver cell adenoma. A follow-up study of three consecutive patients after discontinuation of oral contraceptive use. Gastroenterology 1982, 82, 775–782. [Google Scholar] [PubMed]
- Chiche, L.; Dao, T.; Salame, E.; Galais, M.P.; Bouvard, N.; Schmutz, G.; Rousselot, P.; Bioulac-Sage, P.; Segol, P.; Gignoux, M. Liver adenomatosis: Reappraisal, diagnosis, and surgical management: Eight new cases and review of the literature. Ann. Surg. 2000, 231, 74–81. [Google Scholar] [CrossRef] [PubMed]
- Ma, W.L.; Hsu, C.L.; Yeh, C.C.; Wu, M.H.; Huang, C.K.; Jeng, L.B.; Hung, Y.C.; Lin, T.Y.; Yeh, S.; Chang, C. Hepatic androgen receptor suppresses hepatocellular carcinoma metastasis through modulation of cell migration and anoikis. Hepatology 2012, 56, 176–185. [Google Scholar] [CrossRef] [PubMed]
- Truica, C.I.; Byers, S.; Gelmann, E.P. Beta-catenin affects androgen receptor transcriptional activity and ligand specificity. Cancer Res. 2000, 60, 4709–4713. [Google Scholar]
- Yeh, S.; Lin, H.K.; Kang, H.Y.; Thin, T.H.; Lin, M.F.; Chang, C. From HER2/Neu signal cascade to androgen receptor and its coactivators: A novel pathway by induction of androgen target genes through MAP kinase in prostate cancer cells. Proc. Natl. Acad. Sci. USA 1999, 96, 5458–5463. [Google Scholar] [CrossRef]
- Cappellen, D.; Balabaud, C.; Bioulac-Sage, P. A difficult case of beta-catenin-mutated hepatocellular adenoma: A lesson for diagnosis. Histopathology 2019, 74, 355–357. [Google Scholar] [CrossRef]
- Rooks, J.B.; Ory, H.W.; Ishak, K.G.; Strauss, L.T.; Greenspan, J.R.; Hill, A.P.; Tyler, C.W., Jr. Epidemiology of hepatocellular adenoma. The role of oral contraceptive use. JAMA 1979, 242, 644–648. [Google Scholar] [CrossRef]
- Torbenson, M.; Lee, J.H.; Choti, M.; Gage, W.; Abraham, S.C.; Montgomery, E.; Boitnott, J.; Wu, T.T. Hepatic adenomas: Analysis of sex steroid receptor status and the Wnt signaling pathway. Mod. Pathol. 2002, 15, 189–196. [Google Scholar] [CrossRef]
- Torbenson, M. Hepatic Adenomas: Classification, Controversies, and Consensus. Surg. Pathol. Clin. 2018, 11, 351–366. [Google Scholar] [CrossRef]
- Feng, H.; Cheng, A.S.; Tsang, D.P.; Li, M.S.; Go, M.Y.; Cheung, Y.S.; Zhao, G.J.; Ng, S.S.; Lin, M.C.; Yu, J.; et al. Cell cycle-related kinase is a direct androgen receptor-regulated gene that drives beta-catenin/T cell factor-dependent hepatocarcinogenesis. J. Clin. Investig. 2011, 121, 3159–3175. [Google Scholar] [CrossRef]
- Song, H.; Yu, Z.; Sun, X.; Feng, J.; Yu, Q.; Khan, H.; Zhu, X.; Huang, L.; Li, M.; Mok, M.T.S.; et al. Androgen receptor drives hepatocellular carcinogenesis by activating enhancer of zeste homolog 2-mediated Wnt/beta-catenin signaling. EBioMedicine 2018, 35, 155–166. [Google Scholar] [CrossRef]
- Feng, H.; Yu, Z.; Tian, Y.; Lee, Y.Y.; Li, M.S.; Go, M.Y.; Cheung, Y.S.; Lai, P.B.; Chan, A.M.; To, K.F.; et al. A CCRK-EZH2 epigenetic circuitry drives hepatocarcinogenesis and associates with tumor recurrence and poor survival of patients. J. Hepatol. 2015, 62, 1100–1111. [Google Scholar] [CrossRef] [PubMed]
- Yu, Z.; Gao, Y.Q.; Feng, H.; Lee, Y.Y.; Li, M.S.; Tian, Y.; Go, M.Y.; Yu, D.Y.; Cheung, Y.S.; Lai, P.B.; et al. Cell cycle-related kinase mediates viral-host signalling to promote hepatitis B virus-associated hepatocarcinogenesis. Gut 2014, 63, 1793–1804. [Google Scholar] [CrossRef] [PubMed]
- Beatty, B.G.; Paxton, R.J.; Sheibani, K.; Duda, R.B.; Williams, L.E.; Shively, J.E.; Beatty, J.D. Testis imaging with 111In-labeled anticarcinoembryonic antigen monoclonal antibody: Identification of carcinoembryonic antigen in normal germ cells. Cancer Res. 1986, 46 Pt 1, 6503–6508. [Google Scholar] [PubMed]




Disclaimer/Publisher’s Note: The statements, opinions and data contained in all publications are solely those of the individual author(s) and contributor(s) and not of MDPI and/or the editor(s). MDPI and/or the editor(s) disclaim responsibility for any injury to people or property resulting from any ideas, methods, instructions or products referred to in the content. |
© 2024 by the authors. Licensee MDPI, Basel, Switzerland. This article is an open access article distributed under the terms and conditions of the Creative Commons Attribution (CC BY) license (https://creativecommons.org/licenses/by/4.0/).
Share and Cite
Huang, J.; Ali, T.; Feldman, D.M.; Theise, N.D. Androgen-Induced, β-Catenin-Activated Hepatocellular Adenomatosis with Spontaneous External Rupture. Diagnostics 2024, 14, 1473. https://doi.org/10.3390/diagnostics14141473
Huang J, Ali T, Feldman DM, Theise ND. Androgen-Induced, β-Catenin-Activated Hepatocellular Adenomatosis with Spontaneous External Rupture. Diagnostics. 2024; 14(14):1473. https://doi.org/10.3390/diagnostics14141473
Chicago/Turabian StyleHuang, Jialing, Towhid Ali, David M. Feldman, and Neil D. Theise. 2024. "Androgen-Induced, β-Catenin-Activated Hepatocellular Adenomatosis with Spontaneous External Rupture" Diagnostics 14, no. 14: 1473. https://doi.org/10.3390/diagnostics14141473
APA StyleHuang, J., Ali, T., Feldman, D. M., & Theise, N. D. (2024). Androgen-Induced, β-Catenin-Activated Hepatocellular Adenomatosis with Spontaneous External Rupture. Diagnostics, 14(14), 1473. https://doi.org/10.3390/diagnostics14141473
