Imaging in Infective Endocarditis—Current Opinions and Trends in Cardiac Computed Tomography
Abstract
1. Introduction
2. Role of Cardiac CT in Imaging Algorithm of Infective Endocarditis
3. Technical Improvement of Cardiac Computed Tomography
4. Cardiac CT Protocol
4.1. Acquisition
4.2. Image Analysis
5. Infective Endocarditis Related Lesions
6. Cardiac CT Imaging of Valvular Lesions
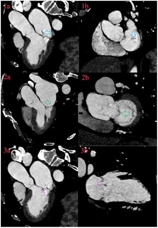
6.1. Vegetations
6.2. Aneurysms
6.3. Perforations
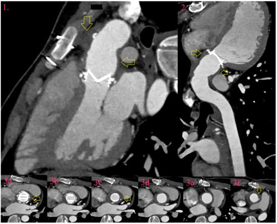
7. Cardiac CT Imaging of Paravalvular Lesions
7.1. Abscess
7.2. Pseudoaneurysms
7.3. Fistula
7.4. Leak
8. Cardiac Computed Tomography Angiography
9. Left-Sided Infective Endocarditis
9.1. Mitral Valve Infective Endocarditis
9.2. Aortic Valve Infective Endocarditis
10. Right-Sided Infective Endocarditis
10.1. Tricuspid Valve Infective Endocarditis
10.2. Pulmonary Valve Infective Endocarditis
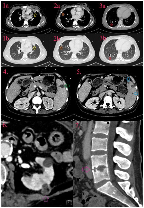
11. Systemic Embolism in Infective Endocarditis
11.1. Neurologic Complications
11.2. Thoracic Complications
11.3. Vascular Complications
11.4. Abdominal Complications
11.5. Musculoskeletal Complications
12. Limits of Cardiac Computed Tomography and Gaps in Evidence
- What is the threshold thickness and length of vegetation for visibility on CCT?
- What is the real diagnostic performance of CCT in the detection of aneurysms, as a late complication in relation to echocardiography and operative findings?
- What is the real diagnostic performance of CCT in the detection of perforation in comparison with echocardiography?
13. Future Directions of CCT in Infective Endocarditis
14. Conclusions
Author Contributions
Funding
Institutional Review Board Statement
Informed Consent Statement
Data Availability Statement
Conflicts of Interest
References
- Cahill, T.J.; Prendergast, B.D. Infective endocarditis. Lancet 2016, 387, 882–893. [Google Scholar] [CrossRef] [PubMed]
- Chambers, H.; Bayer, A.S. Native-Valve Infective Endocarditis. N. Engl. J. Med. 2020, 383, 567–576. [Google Scholar] [CrossRef] [PubMed]
- Hubers, S.A.; DeSimone, D.C.; Gersh, B.J.; Anavekar, N.S. Infective Endocarditis: A Contemporary Review. Mayo Clin. Proc. 2020, 95, 982–997. [Google Scholar] [CrossRef] [PubMed]
- Contrepois, A. Towards a History of Infective Endocarditis. Med. Hist. 1996, 40, 25–54. [Google Scholar] [CrossRef] [PubMed][Green Version]
- Tleyjeh, I.M.; Abdulhak, A.A.B. Definition and Epidemiology of Infective Endocarditis. In Infective Endocarditis Epidemiology, Diagnosis, Imaging, Therapy, and Prevention; Habib, G., Ed.; Springer International Publishing AG Switzerland: New York, NY, USA, 2016; pp. 3–13. [Google Scholar]
- Geller, S.A. Infective endocarditis: A history of the development of its understanding. Autops. Case Rep. 2013, 3, 5–12. [Google Scholar] [CrossRef] [PubMed]
- Wallage, A.G.; Young, W.G.; Osterhout, S. Treatment of Acute Bacterial Endocarditis by Valve Excision and Replacement. Circulation 1965, 31, 450–453. [Google Scholar] [CrossRef] [PubMed]
- Talha, K.M.; Baddour, L.M.; Thornhill, M.H.; Arshad, A.; Tariq, W.; Tleyjeh, I.M.; Scott, C.G.; Hyun, M.C.; Bailey, K.R.; Anavekar, N.S.; et al. Escalating incidence of infective endocarditis in Europe in the 21st century. Open Heart 2021, 8, e001846. [Google Scholar] [CrossRef] [PubMed]
- Abegaz, T.M.; Bhagavathula, A.S.; Gebreyohannes, E.A.; Mekonnen, A.B.; Abebe, T.B. Short- and long-term outcomes in infective endocarditis patients: A systematic review and meta-analysis. BMC Cardiovasc. Disord. 2017, 17, 291–303. [Google Scholar] [CrossRef] [PubMed]
- Momtazmanesh, S.; Moghaddam, S.S.; Rad, E.M.; Azadnajafabad, S.; Ebrahimi, N.; Mohammadi, E.; Rouhifard, M.; Rezaei, N.; Masinaei, M.; Rezaei, N.; et al. Global, regional, and national burden and quality of care index of endocarditis: The global burden of disease study 1990–2019. Eur. J. Prev. Cardiol. 2022, 29, 1287–1297. [Google Scholar] [CrossRef]
- Cahill, T.J.; Baddour, L.M.; Habib, G.; Hoen, B.; Salaun, E.; Pettersson, G.B.; Schäfers, H.J.; Prendergast, B.D. Challenges in Infective Endocarditis. J. Am. Coll. Cardiol. 2017, 69, 325–344. [Google Scholar] [CrossRef]
- Yew, H.S.; Murdoch, D.R. Global Trends in Infective Endocarditis Epidemiology. Curr Infect Dis Rep. 2012, 14, 367–372. [Google Scholar] [CrossRef] [PubMed]
- Abdulhak, A.A.B.; Baddoury, L.M.; Erwinz, P.J.; Hoenx, B.; Chujj, V.H.; Mensah, G.A.; Tleyjeh, I.M. Global and Regional Burden of Infective Endocarditis, 1990-2010 A Systematic Review of the Literature. Glob. Heart 2014, 9, 131–143. [Google Scholar] [CrossRef] [PubMed]
- Williams, M.L.; Doyle, M.D.; McNamara, N.; Tardo, D.; Mathew, M.; Robinson, B. Epidemiology of infective endocarditis before versus after change of international guidelines: A systematic review. Ther. Adv. Cardiovasc. Dis. 2021, 15, 17539447211002687. [Google Scholar] [CrossRef] [PubMed]
- Eleyan, L.; Khan, A.A.; Musollari, G.; Chandiramani, A.S.; Shaikh, S.; Salha, A.; Tarmahomed, A.; Harky, A. Infective endocarditis in paediatric population. Eur. J. Pediatr. 2021, 180, 3089–3100. [Google Scholar] [CrossRef]
- Cahill, T.J.; Jewell, P.D.; Denne, L.; Franklin, R.C.; Frigiola, A.; Orchard, E.; Prendergast, B.D. Contemporary epidemiology of infective endocarditis in patients with congenital heart disease: A UK prospective study. Am. Heart J. 2019, 215, 70–77. [Google Scholar] [CrossRef] [PubMed]
- Mutagaywa, R.K.; Vroon, J.C.; Fundikira, L.; Wind, A.M.; Kunambi, P.; Manyahi, J.; Kamuhabwa, A.; Chamuleau, S.A.J.; Cramer, M.J.; Chillo, P. Infective endocarditis in developing countries: An update. Front. Cardiovasc. Med. 2022, 9, 1007118. [Google Scholar] [CrossRef]
- Nappi, F.; Martuscelli, G.; Bellomo, F.; Singh, S.S.A.; Moon, M.R. Infective Endocarditis in High-Income Countries. Metabolites 2022, 12, 682. [Google Scholar] [CrossRef]
- Delgado, V.; Marsan, N.A.; Waha, S.; Bonaros, N.; Brida, M.; Burri, H.; Caselli, S.; Doenst, T.; Ederhy, S.; Erba, P.A.; et al. 2023 ESC Guidelines for the management of endocarditis: Developed by the task force on the management of endocarditis of the European Society of Cardiology (ESC) Endorsed by the European Association for Cardio-Thoracic Surgery (EACTS) and the European Association of Nuclear Medicine (EANM). Eur. Heart J. 2023, 44, 3948–4042. [Google Scholar] [PubMed]
- Alexis, S.L.; Malik, A.H.; George, I.; Hahn, R.T.; Khalique, O.K.; Seetharam, K.; Bhatt, D.L.; Tang, G.H.L. Infective Endocarditis After Surgical and Transcatheter Aortic Valve Replacement: A State of the Art Review. J. Am. Heart Assoc. 2020, 9, e017347. [Google Scholar] [CrossRef] [PubMed]
- Pericàs, J.M.; Llopis, J.; Jiménez-Exposito, M.J.; Kourany, W.M.; Almirante, B.; Carosi, G.; Durante-Mangoni, E.; Fortes, C.Q.; Giannitsioti, E.; Lerakis, S.; et al. Infective Endocarditis in Patients on Chronic Hemodialysis. JACC 2021, 77, 1629–1640. [Google Scholar] [CrossRef]
- Sanaihaa, Y.; Lyons, R.; Benharash, P. Infective endocarditis in intravenous drug users. Trends Cardiovasc. Med. 2020, 30, 491–497. [Google Scholar] [CrossRef] [PubMed]
- Habib, G.; Erba, P.A.; Iung, B.; Donal, E.; Cosyns, B.; Laroche, C.; Popescu, B.A.; Prendergast, B.; Tornos, P.; Sadeghpour, A.; et al. Clinical presentation, aetiology and outcome of infective endocarditis. Results of the ESC-EORP EURO-ENDO (European infective endocarditis) registry: A prospective cohort study. Eur. Heart J. 2019, 40, 3222–3233. [Google Scholar] [CrossRef]
- Talha, K.M.; DeSimone, D.C.; Rizwan, S.M.; Baddour, L.M. Pathogen influence on epidemiology, diagnostic evaluation and management of infective endocarditis. Heart 2020, 106, 1878–1882. [Google Scholar] [CrossRef]
- Durack, D.T.; Lukes, A.S.; Bright, D.K.; Duke Endocarditis Service. New Criteria for Diagnosis of Infective Endocarditis: Utilization of Specific Echocardiographic Findings. Am. J. Med. 1994, 96, 200–209. [Google Scholar] [CrossRef] [PubMed]
- Li, J.S.; Sexton, D.J.; Mick, N.; Nettles, R.; Fowler, V.G.; Ryan, T.; Bashore, T.; Corey, G.R. Proposed Modifications to the Duke Criteria for the Diagnosis of Infective Endocarditis. Clin. Infect. Dis. 2000, 30, 633–638. [Google Scholar] [CrossRef]
- Habib, G.; Lancellotti, P.; Antunes, M.J.; Bongiorni, M.G.; Casalta, J.P.; Del Zotti, F.; Dulgheru, R.; El Khoury, G.; Erba, P.A.; Iung, B.; et al. 2015 ESC Guidelines for the management of infective endocarditis. Eur. Heart J. 2015, 36, 3075–3123. [Google Scholar] [CrossRef]
- Fowler, V.G.; Durack, D.T.; Selton-Suty, C.; Athan, E.; Bayer, A.S.; Chamis, A.L.; Dahl, A.; DiBernardo, L.; Durante-Mangoni, E.; Duval, X.; et al. The 2023 Duke-International Society for Cardiovascular Infectious Diseases Criteria for Infective Endocarditis: Updating the Modified Duke Criteria. Clin. Infect. Dis. 2023, 77, 518–552. [Google Scholar] [CrossRef]
- Flohr, T.; Schmidt, B. Technical Basics and Clinical Benefits of Photon-Counting CT. Investig. Radiol. 2023, 58, 441–450. [Google Scholar] [CrossRef] [PubMed]
- Lell, M.; Kachelrieß, M. Computed Tomography 2.0: New Detector Technology, AI, and Other Developments. Investig. Radiol. 2023, 58, 587–601. [Google Scholar] [CrossRef]
- Petkovic, A.; Menkovic, N.; Petrovic, O.; Bilbija, I.; Radovanovic, N.N.; Stanisavljevic, D.; Stanisavljevic, D.; Putnik, S.; Maksimovic, R.; Ivanovic, B. The Role of Echocardiography and Cardiac Computed Tomography in Diagnosis of Infective Endocarditis. J. Clin. Med. 2023, 12, 5482. [Google Scholar] [CrossRef]
- Grob, A.; Thuny, F.; Villacampa, C.; Flavian, A.; Gaubert, J.Y.; Raoult, D.; Casalta, J.P.; Habib, G.; Moulin, G.; Jacquier, A. Cardiac multidetector computed tomography in infective endocarditis: A pictorial essay. Insights Imaging 2014, 5, 559–570. [Google Scholar] [CrossRef] [PubMed]
- Saremi, F.; Sánchez-Quintana, D.; Mori, S.; Muresian, H.; Spicer, D.E.; Hassani, C.; Anderson, R.H. Fibrous Skeleton of the Heart: Anatomic Overview and Evaluation of Pathologic Conditions with CT and MR Imaging. RadioGraphics 2017, 37, 1330–1351. [Google Scholar] [CrossRef] [PubMed]
- Murillo, H.; Restrepo, C.S.; Marmol-Velez, J.A.; Vargas, D.; Ocazionez, D.; Martinez-Jimenez, S.; Reddick, R.L.; Baxi, A.J. Infectious Diseases of the Heart: Pathophysiology, Clinical and Imaging Overview. RadioGraphics 2016, 36, 963–983. [Google Scholar] [CrossRef] [PubMed]
- Vaideeswar, P.; Singaravel, S.; Butany, J. Valvular heart disease. In Cardiovascular Pathology; Buja, M.L., Butany, J., Eds.; Elsevier Inc.: London, UK, 2022; pp. 663–705. [Google Scholar]
- Erba, P.A.; Pizzi, M.N.; Roque, A.; Salaun, E.; Lancellotti, P.; Tornos, P.; Habib, G. Multimodality imaging in Infective endocarditis An Imaging Team Within the Endocarditis Team. Circulation 2019, 140, 1753–1765. [Google Scholar] [CrossRef] [PubMed]
- Afonso, L.; Kottam, A.; Reddy, V.; Penumetcha, A. Echocardiography in Infective Endocarditis: State of the Art. Curr. Cardiol. Rep. 2017, 19, 127. [Google Scholar] [CrossRef] [PubMed]
- Otto, C.M. Endocarditis. In Textbook of Clinical Echocardiography, 6th ed.; Otto, C.M., Ed.; Elsevier: Philadelphia, PA, USA, 2018; pp. 400–421. [Google Scholar]
- Salaun, E.; Habib, G. Beyond standard echocardiography in Infective endocarditis Computed tomography, 3-dimensional imaging and multi-imaging. Circ. Cardiovasc. Imaging 2018, 11, e007626. [Google Scholar] [CrossRef] [PubMed]
- Pettersson, G.B.; Hussain, S.T.; Shrestha, N.K.; Gordon, S.; Fraser, T.G.; Ibrahim, K.S.; Blackstone, E.H. Infective endocarditis: An atlas of disease progression for describing, staging, coding, and understanding the pathology. J. Thorac. Cardiovasc. Surg. 2014, 147, 1142–1149. [Google Scholar] [CrossRef]
- Pettersson, G.B.; Hussain, S.T. Current AATS guidelines on surgical treatment of infective endocarditis. Ann. Cardiothorac. Surg. 2019, 8, 630–644. [Google Scholar] [CrossRef] [PubMed]
- Habets, J.; Tanis, W.; Reitsma, J.B.; van den Brink, R.B.A.; Mali, W.P.T.M.; Chamuleau, S.A.J.; Budde, R.P.J. Are novel non-invasive imaging techniques needed in patients with suspected prosthetic heart valve endocarditis? A systematic review and meta-analysis. Eur. Radiol. 2015, 25, 2125–2133. [Google Scholar] [CrossRef] [PubMed]
- Bai, A.D.; Steinberg, M.; Showler, A.; Burry, L.; Bhatia, S.; Tomlinson, G.A.; Bell, C.M.; Morris, A.M. Diagnostic Accuracy of Transthoracic Echocardiography for Infective Endocarditis Findings Using Transesophageal Echocardiography as the Reference Standard: A Meta-Analysis. J. Am. Soc. Echocardiogr. 2017, 30, 639–646. [Google Scholar] [CrossRef]
- Gomes, A.; Glaudemans, A.; Touw, D.J.; van Melle, J.P.; Willems, T.P.; Maass, A.H.; Natour, E.; Prakken, N.H.J.; Borra, R.J.H.; van Geel, P.P.; et al. Diagnostic value of imaging in infective endocarditis: A systematic review. Lancet Infect. Dis. 2017, 17, E1–E14. [Google Scholar] [CrossRef]
- Feuchtner, G.M.; Stolzmann, P.; Dichtl, W.; Schertler, T.; Bonatti, J.; Scheffel, H.; Mueller, S.; Plass, A.; Mueller, L.; Bartel, T.; et al. Multislice Computed Tomography in Infective Endocarditis Comparison with Transesophageal Echocardiography and Intraoperative Findings. JACC 2009, 53, 436–444. [Google Scholar] [CrossRef]
- Gahide, G.; Bommart, S.; Demaria, R.; Sportouch, C.; Dambia, H.; Albat, B.; Vernhet-Kovacsik, H. Preoperative Evaluation in Aortic Endocarditis: Findings on Cardiac CT. AJR 2010, 194, 574–578. [Google Scholar] [CrossRef] [PubMed]
- Habets, J.; Tanis, W.; Van Herwerden, L.A.; Van den Brink, R.; Mali, W.; De Mol, B.; Chamuleau, S.A.J.; Budde, R.P.J. Cardiac computed tomography angiography results in diagnostic and therapeutic change in prosthetic heart valve endocarditis. Int. J. Cardiovasc. Imaging 2014, 30, 377–387. [Google Scholar] [CrossRef]
- Koo, H.J.; Yang, D.H.; Kang, J.W.; Lee, J.Y.; Kim, D.H.; Song, J.M.; Kang, D.H.; Song, J.K.; Kim, J.B.; Jung, S.H.; et al. Demonstration of infective endocarditis by cardiac CT and transoesophageal echocardiography: Comparison with intra-operative findings. Eur. Heart J. Cardiovasc. Imaging 2018, 19, 199–207. [Google Scholar] [CrossRef] [PubMed]
- Ouchi, K.; Sakuma, T.; Ojiri, H. Cardiac computed tomography as a viable alternative to echocardiography to detect vegetations and perivalvular complications in patients with infective endocarditis. Jpn. J. Radiol. 2018, 36, 421–428. [Google Scholar] [CrossRef]
- Sims, J.R.; Anavekar, N.S.; Chandrasekaran, K.; Steckelberg, J.M.; Wilson, W.R.; Gersh, B.J.; Baddour, L.M.; DeSimone, D.C. Utility of cardiac computed tomography scanning in the diagnosis and pre-operative evaluation of patients with infective endocarditis. Int. J. Cardiovasc. Imaging 2018, 34, 1155–1163. [Google Scholar] [CrossRef] [PubMed]
- Koneru, S.; Huang, S.S.; Oldan, J.; Betancor, J.; Popovic, Z.B.; Rodriguez, L.L.; Shrestha, N.K.; Gordon, S.; Pettersson, G.; Bolen, M.A. Role of preoperative cardiac CT in the evaluation of infective endocarditis: Comparison with transesophageal echocardiography and surgical findings. Cardiovasc. Diagn. Ther. 2018, 8, 439–449. [Google Scholar] [CrossRef] [PubMed]
- Chaosuwannakit, N.; Makarawate, P. Value of cardiac computed tomography angiography in pre-operative assessment of infective endocarditis. J. Cardiothorac. Surg. 2019, 14, 56. [Google Scholar] [CrossRef]
- Hryniewiecki, T.; Zatorska, K.; Abramczuk, E.; Zakrzewski, D.; Szymański, P.; Kuśmierczyk, M.; Michałowska, I. The usefulness of cardiac CT in the diagnosis of perivalvular complications in patients with infective endocarditis. Eur. Radiol. 2019, 29, 4368–4376. [Google Scholar] [CrossRef]
- Sifaoui, I.; Oliver, L.; Tacher, V.; Fiore, A.; Lepeule, R.; Moussafeur, A.; Huguet, R.; Teiger, E.; Audureau, E.; Derbel, H.; et al. Diagnostic Performance of Transesophageal Echocardiography and Cardiac Computed Tomography in Infective Endocarditis. J. Am. Soc. Echocardiogr. 2020, 33, 1442–1453. [Google Scholar] [CrossRef] [PubMed]
- Ye, W.; Ren, G.; Zhong, X.; Jian, X.; Chen, O.; Ma, Q.; Lin, Q.; Wu, L.; Liu, H. ECG-gated CT in Aortic Perivalvular Abscess: Comparison with Transesophageal Echocardiography and Intraoperative Findings. Radiology 2020, 297, 334–341. [Google Scholar] [CrossRef] [PubMed]
- Oliveira, M.; Guittet, L.; Hamon, M.; Hamon, M. Comparative Value of Cardiac CT and Transesophageal Echocardiography in Infective Endocarditis: A Systematic Review and Meta-Analysis. Radiol. Cardiothorac. Imaging 2020, 2, e190189. [Google Scholar] [CrossRef] [PubMed]
- Jain, V.; Wang, T.K.M.; Bansal, A.; Farwati, M.; Gad, M. Diagnostic performance of cardiac computed tomography versus transesophageal echocardiography in infective endocarditis: A contemporary comparative meta-analysis. J. Cardiovasc. Comput. Tomogr. 2021, 15, 313–321. [Google Scholar] [CrossRef]
- Verma, M.; Pandey, N.N.; Kumar, S.; Ramakrishnan, S. Imaging Spectrum of Valvular and Paravalvular Complications of Prosthetic Heart Valve at CT Angiography. Radiol. Cardiothorac. Imaging 2021, 3, e210159. [Google Scholar] [CrossRef] [PubMed]
- Jilaihawi, H.; Asch, F.M.; Manasse, E.; Ruiz, C.E.; Jelnin, V.; Kashif, M.; Kawamori, H.; Maeno, Y.; Kazuno, Y.; Takahashi, N. Systematic CT methodology for the evaluation of subclinical leaflet thrombosis. JACC Cardiovasc. Imaging 2017, 10, 461–470. [Google Scholar] [CrossRef] [PubMed]
- Aggeli, C.; Dimitroglou, Y.; Raftopoulos, L.; Sarri, G.; Mavrogeni, S.; Wong, J.; Tsiamis, E.; Tsioufis, C. Cardiac Masses: The Role of Cardiovascular Imaging in the Differential Diagnosis. Diagnostics 2020, 10, 1088. [Google Scholar] [CrossRef] [PubMed]
- Osorio, B.; Hou, L.; Xu, J.; Pagan, E.; Piscopiello, M. Lambl’s excrescences and a review of therapeutic strategies. Case Rep. Intern. Med. 2018, 5, 13–17. [Google Scholar] [CrossRef]
- Liu, J.; Frishman, W.H. Nonbacterial Thrombotic Endocarditis. Cardiol. Rev. 2016, 24, 244–247. [Google Scholar] [CrossRef] [PubMed]
- Saeedan, M.B.; Wang, T.K.M.; Cremer, P.; Wahadat, A.R.; Budde, R.P.J.; Unai, S.; Pettersson, G.P.; Bolen, M.A. Role of Cardiac CT in Infective Endocarditis: Current Evidence, Opportunities, and Challenges. Radiol. Cardiothorac. Imaging 2021, 3, e200378. [Google Scholar] [CrossRef]
- Kim, I.C.; Chang, S.; Hong, G.R.; Lee, S.H.; Lee, S.; Ha, J.W.; Chang, B.C.; Kim, Y.J.; Shim, C.Y. Comparison of Cardiac Computed Tomography with Transesophageal Echocardiography for Identifying Vegetation and Intracardiac Complications in Patients with Infective Endocarditis in the Era of 3-Dimensional Images. Circ. Cardiovasc. Imaging 2018, 11, e006986. [Google Scholar] [CrossRef]
- Khalique, O.K.; Veillet-Chowdhury, M.; Choi, A.D.; Feuchtner, G.; Lopez-Mattei, J. Cardiac computed tomography in the contemporary evaluation of infective endocarditis. J. Cardiovasc. Comput. Tomogr. 2021, 15, 304–312. [Google Scholar] [CrossRef]
- Abdelrahman, K.M.; Chen, M.Y.; Dey, A.K.; Virmani, R.; Finn, A.V.; Khamis, R.Y.; Choi, A.D.; Min, J.K.; Williams, M.C.; Buckler, A.J.; et al. Coronary Computed Tomography Angiography from Clinical Uses to Emerging Technologies JACC State-of-the-Art Review. J. Am. Coll. Cardiol. 2020, 76, 1226–1243. [Google Scholar] [CrossRef]
- Edvardsen, T.; Asch, F.M.; Davidson, B.; Delgado, V.; DeMaria, A.; Dilsizian, V.; Gaemperli, O.; Garcia, M.J.; Kamp, O.; Lee, D.C.; et al. Non-invasive imaging in coronary syndromes: Recommendations of the European Association of Cardiovascular Imaging and the American Society of Echocardiography, in collaboration with the American Society of Nuclear Cardiology, Society of Cardiovascular Computed Tomography, and Society for Cardiovascular Magnetic Resonance. Eur. Heart J.-Cardiovasc. Imaging 2022, 23, e6–e33. [Google Scholar]
- Nappi, F.; Spadaccio, C.; Dreyfus, J.; Attias, D.; Acar, C.; Bando, K. Mitral endocarditis: A new management framework. J. Thorac. Cardiovasc. Surg. 2018, 156, 1486–1495. [Google Scholar] [CrossRef] [PubMed]
- Horgan, S.J.; Mediratta, A.; Gillam, L.D. Cardiovascular Imaging in Infective Endocarditis: A Multimodality Approach. Circ. Cardiovasc. Imaging 2020, 13, e008956. [Google Scholar] [CrossRef] [PubMed]
- Cahill, T.J.; Raby, J.; Jewell, P.D.; Brennan, P.F.; Banning, A.P.; Byrne, J.; Kharbanda, R.K.; MacCarthy, P.A.; Thornhill, M.H.; Sandoe, J.A.T.; et al. Risk of infective endocarditis after surgical and transcatheter aortic valve replacement. Heart 2022, 108, 639–647. [Google Scholar] [CrossRef]
- Shmueli, H.; Thomas, F.; Flint, N.; Setia, G.; Janjic, A.; Siegel, R.J. Right-Sided Infective Endocarditis 2020: Challenges and Updates in Diagnosis and Treatment. J. Am. Heart Assoc. 2020, 9, e017293. [Google Scholar] [CrossRef]
- Hussain, S.T.; Witten, J.; Shrestha, N.K.; Blackstone, E.H.; Pettersson, G.B. Tricuspid valve endocarditis. Ann. Cardiothorac. Surg. 2017, 6, 255–261. [Google Scholar] [CrossRef] [PubMed]
- Costantini, P.; Perone, F.; Siani, A.; Groenhoff, L.; Muscogiuri, G.; Sironi, S.; Marra, P.; Carriero, S.; Pavon, A.G.; Guglielmo, M. Multimodality Imaging of the Neglected Valve: Role of Echocardiography, Cardiac Magnetic Resonance and Cardiac Computed Tomography in Pulmonary Stenosis and Regurgitation. J. Imaging 2022, 8, 278. [Google Scholar] [CrossRef]
- Mery, C.M.; Guzman-Pruneda, F.A.; De Leon, L.E.; Zhang, W.; Terwelp, M.D.; Bocchini, C.E.; Adachi, I.; Heinle, J.S.; McKenzie, D.; Fraser, C.D. Risk factors for development of endocarditis and reintervention in patients undergoing right ventricle to pulmonary artery valved conduit placement. J. Thorac. Cardiovasc. Surg. 2016, 151, 432–441. [Google Scholar] [CrossRef]
- McElhinney, D.B.; Sondergaard, L.; Armstrong, A.K.; Bergersen, L.; Padera, R.F.; Balzer, D.T.; Lung, T.H.; Berger, F.; Zahn, E.M.; Gray, R.G.; et al. Endocarditis after transcatheter pulmonary valve replacement. J. Am. Coll. Cardiol. 2018, 72, 2717–2728. [Google Scholar] [CrossRef]
- Wojda, T.R.; Cornejo, K.; Lin, A.; Cipriano, A.; Nanda, S.; Amortegui, J.D.; Wojda, B.T.; Stawicki, S.P. Septic Embolism: A Potentially Devastating Complication of Infective Endocarditis. In Contemporary Challenges in Endocarditis; Firstenberg, M.S., Ed.; Internet; InTech: Houston, TX, USA, 2016; pp. 143–167. [Google Scholar]






| Imaging Modalities | Advantages | Limitations |
|---|---|---|
| Echocardiography | Good diagnostic ability in detection of valvular lesions High temporal resolution and detection of oscillatory movement of vegetation color Doppler options and detection of small perforation in NVE and dehiscence around PVE Valvular function assessment Useful in monitoring therapy response Useful for follow-up | Lower spatial resolution Limited diagnostic ability in detection of paravalvular lesion Limited in detection of anterior cardiac structures and RVOT in right-sided IE Unable to detect systemic embolism Periprocedural complications in transesophageal echocardiography |
| Cardiac CT | Good diagnostic ability in detection of valvular lesions Superior diagnostic ability in detection of paravalvular lesions Higher spatial resolution Coronary artery assessment Assessment of systemic embolism | Lower temporal resolution Limited detection of thin vegetations Radiation exposure Risk of nephrotoxicity |
| PET/CT | Superior diagnostic ability in PVE Provides combination of metabolic activity and morphology of IE lesion | Low diagnostic ability in NVE, especially in vegetation detection Low temporal and spatial resolution False positive results due to inflammation up to one year after surgery Patient preparation Radiation exposure Risk of nephrotoxicity |
| WBC SPECT/CT | High specificity for infection | Low diagnostic ability Low spatial resolution Lower acquisition time Radiation exposure |
| IE Lesion | Surgery/Autopsy | Echocardiography | Cardiac CT |
|---|---|---|---|
| Vegetation | Infected mass attached to an endocardial structure or on implanted intracardiac material | Oscillating or non-oscillating intracardiac mass on valve or other endocardial structure, or on implanted intracardiac material | Hypodense mass attached to the valve, endocardium or prosthesis |
| Aneurysm | Saccular outpouching of valvular tissue | Saccular outpouching of valvular tissue | Saccular outpouching of valvular tissue |
| Perforation | Interruption of endocardial tissue continuity | Interruption of endocardial tissue continuity traversed by color Doppler flow | Interruption of endocardial tissue continuity confirmed in two planes |
| Abscess | Perivalvular cavity with necrosis and purulent material not communicating with cardiovascular lumen | Thickened, non-homogenous perivalvular area with echodense or echoluscent appearance | Hypodense zone with a vascular rim. Soft tissue thickening around the valve and great blood vessels as a sign of early abscess |
| Pseudoaneurysm | Perivalvular cavity communicating with the cardiovascular lumen | Pulsatile perivalvular echo-free space with color Doppler flow detected | Perivalvular contrast-filled cavity |
| Fistula | Communication between two neighboring cavities trough a perforation | Color Doppler communication between two neighboring cavities trough a perforation | Contrast-filled communication between two neighboring cavities trough a perforation |
| Leak | Dehiscence of prosthesis | Paravalvular regurgitation identified with color Doppler with or without rocking motion of the prosthesis | Malalignment of the prosthesis and annulus with tissue defect. Rocking motion of more than 15° on cine CT images |
| Authors | Year | Study Type | No of Participants | No of Valves | Valves Types | Diagnostic Performance of TEE | Diagnostic Performance of CCT |
|---|---|---|---|---|---|---|---|
| Feuchtner et al. [45] | 2009 | Retrospective | 29 | 57 | NVE + PVE | Sn 97% Sp 95% | Sn 96% Sp 97% |
| Gahide et al. [46] | 2010 | Prospective | 19 | 19 | NVE + PVE | NR NR | Sn 71.4% Sp 100% |
| Habets et al. [47] | 2013 | Prospective | 28 | 28 | PVE | Sn 63% Sp NR *TTE + TEE | Sn 100% Sp NR *+CCT |
| Koo et al. [48] | 2017 | Retrospective | 49 | 47 | NVE + PVE | Sn 100% Sp NR | Sn 90.9% Sp NR |
| Ouichi et al. [49] | 2018 | Retrospective | 14 | 14 | NVE + PVE | Sn 100% Sp NR | Sn 92.3% Sp NR |
| Sims et al. [50] | 2018 | Retrospective | 255 | NR | NVE + PVE | Sn 95.6% Sp 93% | Sn 70% Sp 92.9% |
| Koneru et al. [51] | 2018 | Retrospective | 122 | 141 | NVE + PVE | Sn 85% Sp 69% | Sn 16% Sp 96% |
| Chaosuwannakit et al. [52] | 2019 | Retrospective | 24 | 24 | NVE + PVE | Sn 94.5% Sp 50% *TTE | Sn 94.1% Sp 66.67% |
| Hryniewiecki et al. [53] | 2019 | Prospective | 53 | 71 | NVE + PVE | Sn 57% Sp 42% | Sn 89% Sp 71% |
| Sifaoui et al. [54] | 2020 | Prospective | 68 | 68 | NVE + PVE | Sn 89.3% | Sn 80,4% |
| Ye et al. [55] | 2020 | Retrospective | 178 | NR | NVE + PVE | Sn 100% Sp 100% | Sn 96% Sp 28% |
| Oliveira et al. [56] | 2020 | Meta-analysis (8 studies) | 336 | NR | NVE + PVE | Sn 94% Sp 82% | Sn 86% Sp 81% |
| Jain et al. [57] | 2021 | Meta-analysis (10 studies) | 872 | NR | NVE + PVE | Sn 96.2% Sp 83.1% | Sn 85.1% Sp 83.8% |
| Petkovic et al. [31] | 2023 | Retrospective-prospective | 78 | 85 | NVE + PVE | Sn 78.7% Sp 25% | Sn 94% Sp 60% |
Disclaimer/Publisher’s Note: The statements, opinions and data contained in all publications are solely those of the individual author(s) and contributor(s) and not of MDPI and/or the editor(s). MDPI and/or the editor(s) disclaim responsibility for any injury to people or property resulting from any ideas, methods, instructions or products referred to in the content. |
© 2024 by the authors. Licensee MDPI, Basel, Switzerland. This article is an open access article distributed under the terms and conditions of the Creative Commons Attribution (CC BY) license (https://creativecommons.org/licenses/by/4.0/).
Share and Cite
Petkovic, A.; Menkovic, N.; Petrovic, O.; Bilbija, I.; Nisevic, M.; Radovanovic, N.N.; Stanisavljevic, D.; Putnik, S.; Maksimovic, R.; Ivanovic, B. Imaging in Infective Endocarditis—Current Opinions and Trends in Cardiac Computed Tomography. Diagnostics 2024, 14, 1355. https://doi.org/10.3390/diagnostics14131355
Petkovic A, Menkovic N, Petrovic O, Bilbija I, Nisevic M, Radovanovic NN, Stanisavljevic D, Putnik S, Maksimovic R, Ivanovic B. Imaging in Infective Endocarditis—Current Opinions and Trends in Cardiac Computed Tomography. Diagnostics. 2024; 14(13):1355. https://doi.org/10.3390/diagnostics14131355
Chicago/Turabian StylePetkovic, Ana, Nemanja Menkovic, Olga Petrovic, Ilija Bilbija, Miodrag Nisevic, Nikola N. Radovanovic, Dejana Stanisavljevic, Svetozar Putnik, Ruzica Maksimovic, and Branislava Ivanovic. 2024. "Imaging in Infective Endocarditis—Current Opinions and Trends in Cardiac Computed Tomography" Diagnostics 14, no. 13: 1355. https://doi.org/10.3390/diagnostics14131355
APA StylePetkovic, A., Menkovic, N., Petrovic, O., Bilbija, I., Nisevic, M., Radovanovic, N. N., Stanisavljevic, D., Putnik, S., Maksimovic, R., & Ivanovic, B. (2024). Imaging in Infective Endocarditis—Current Opinions and Trends in Cardiac Computed Tomography. Diagnostics, 14(13), 1355. https://doi.org/10.3390/diagnostics14131355

