Aging of Superficial Musculoaponeurotic System of the Face—Novel Biomarkers and Micro-CT Relevance of Facial Anti-Gravity Support
Abstract
1. Introduction
- restoring a young, attractive appearance;
- an appearance that does not betray the surgical intervention;
- minimal complications;
- correction of all parts of the face;
- quick recovery;
- lasting results;
- and if possible, in accordance with current trends, the production of minimal and well-hidden scars.
2. Materials and Methods
2.1. Anatomical and Surgical Study
- choosing the place of preservation of the samples to be analyzed and the collection method;
- the sampling of vascular fragments, in all cases, should be performed using the same technique;
- the tissue fragments should be fixed immediately, while avoiding their manual manipulation, as delays in the fixation process may affect the quantifications performed;
- the harvested fragments should be fixed in the same substance in order to obtain reproducible results and with a low rate of variation;
- a single laboratory technician, familiar with the requirements and processing techniques of the tissues, ensured the standardized processing of the parts;
- using the same computer program for the analysis of µCT images;
- the microscopic and radiological explorations were performed by the same persons in order to avoid subjective variations between several observers.
2.2. Hystological and Imunohystological Experiment
2.3. Quantitative and Statistical Evaluation of the Obtained Data
- Categorical independent variables (Collagen III, ICAM-2 and MyoH2);
- Numerical independent variables, (TSMAS (µ), TAT (µ), BVD (µ), N (µ) and L (µ));
- Dependent variable, anatomical region (pretracheal, periorbital, and preauricular).
3. Results
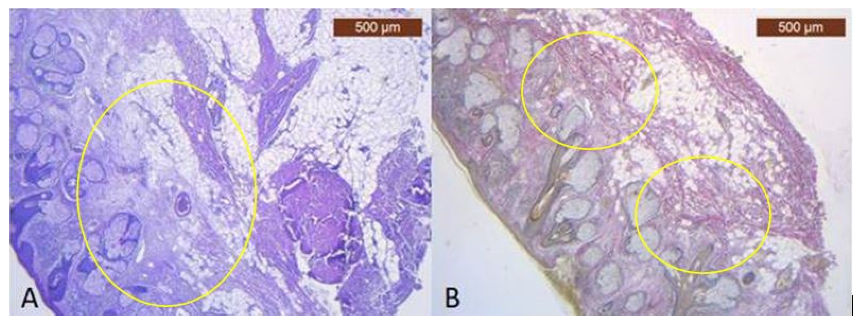
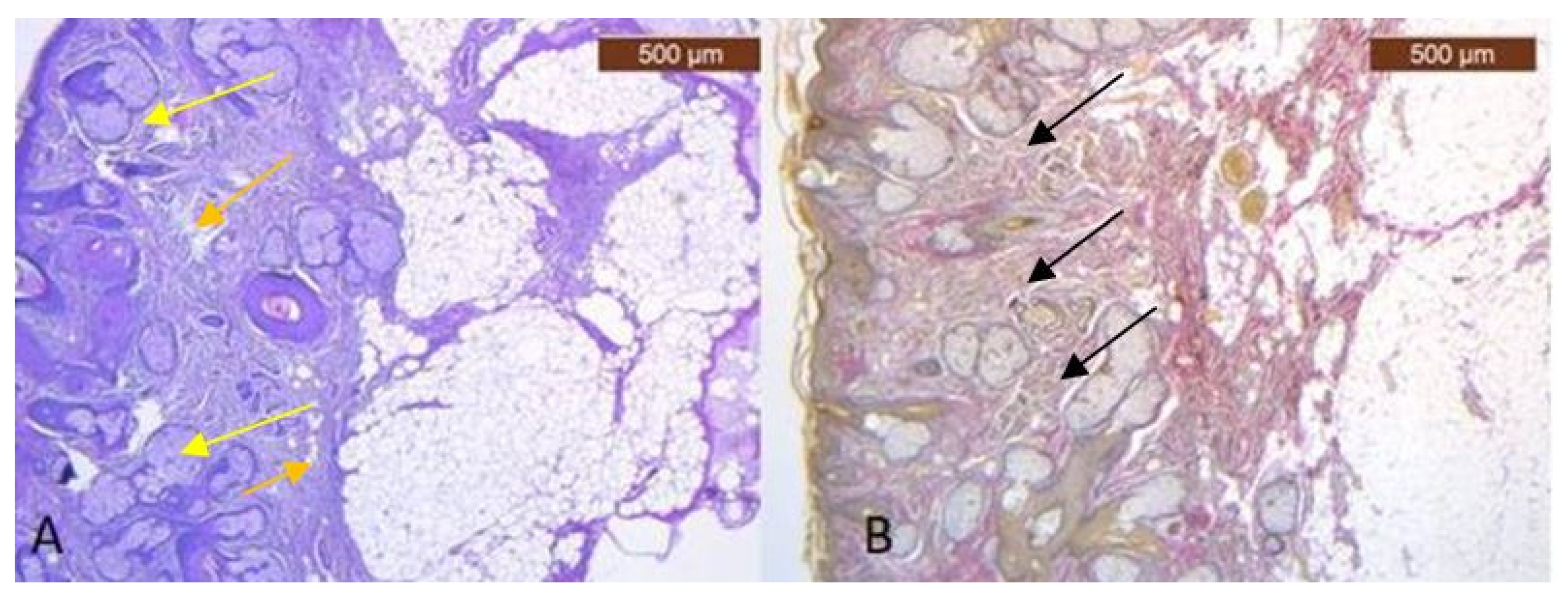
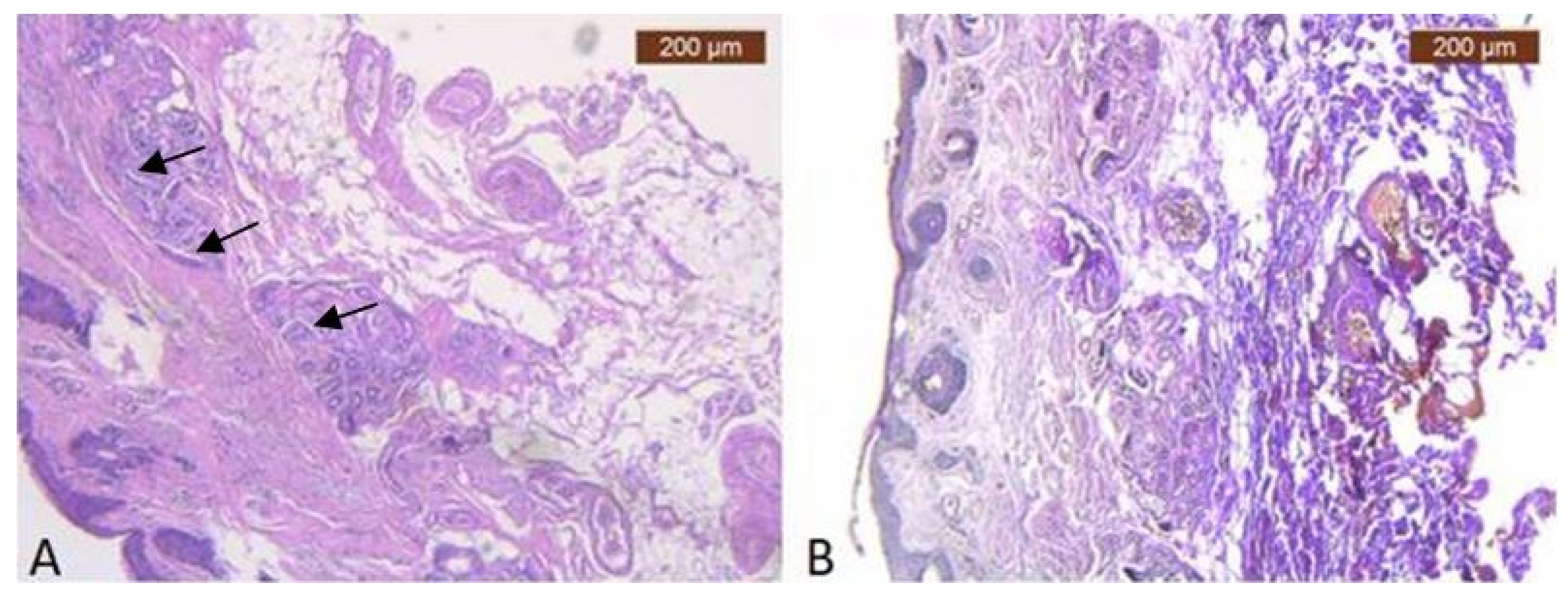
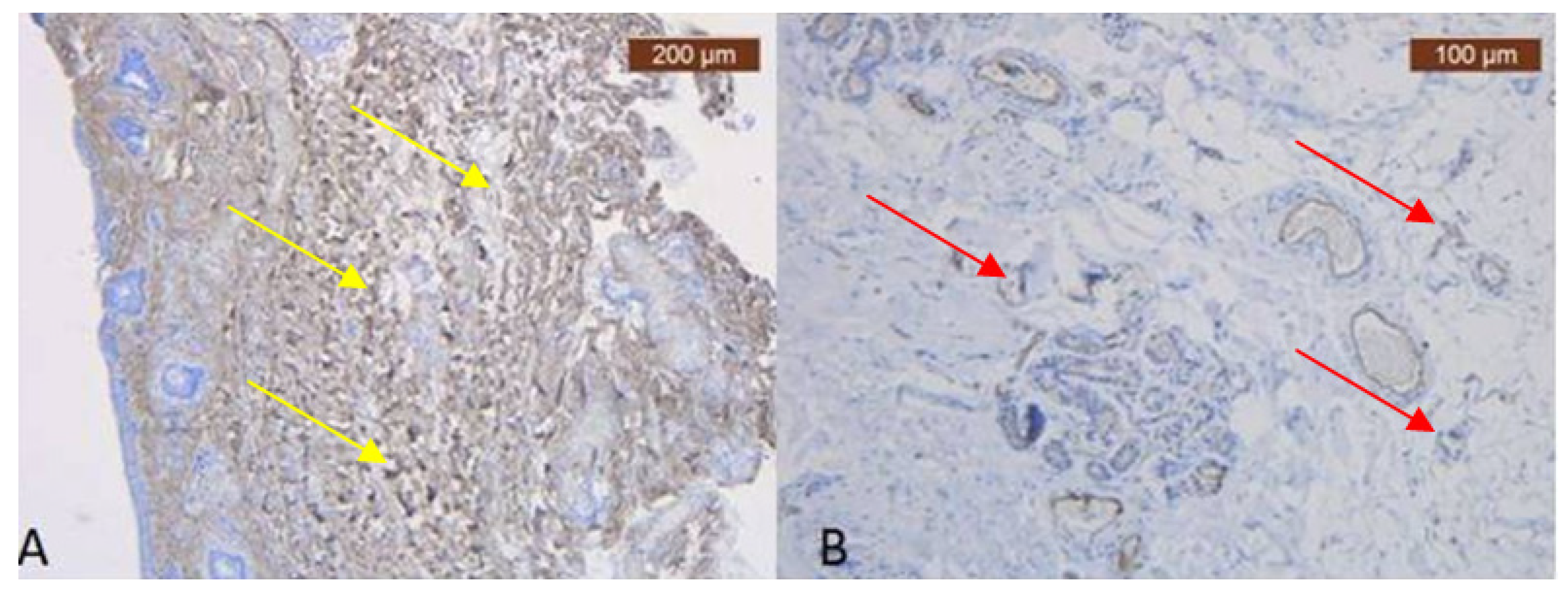
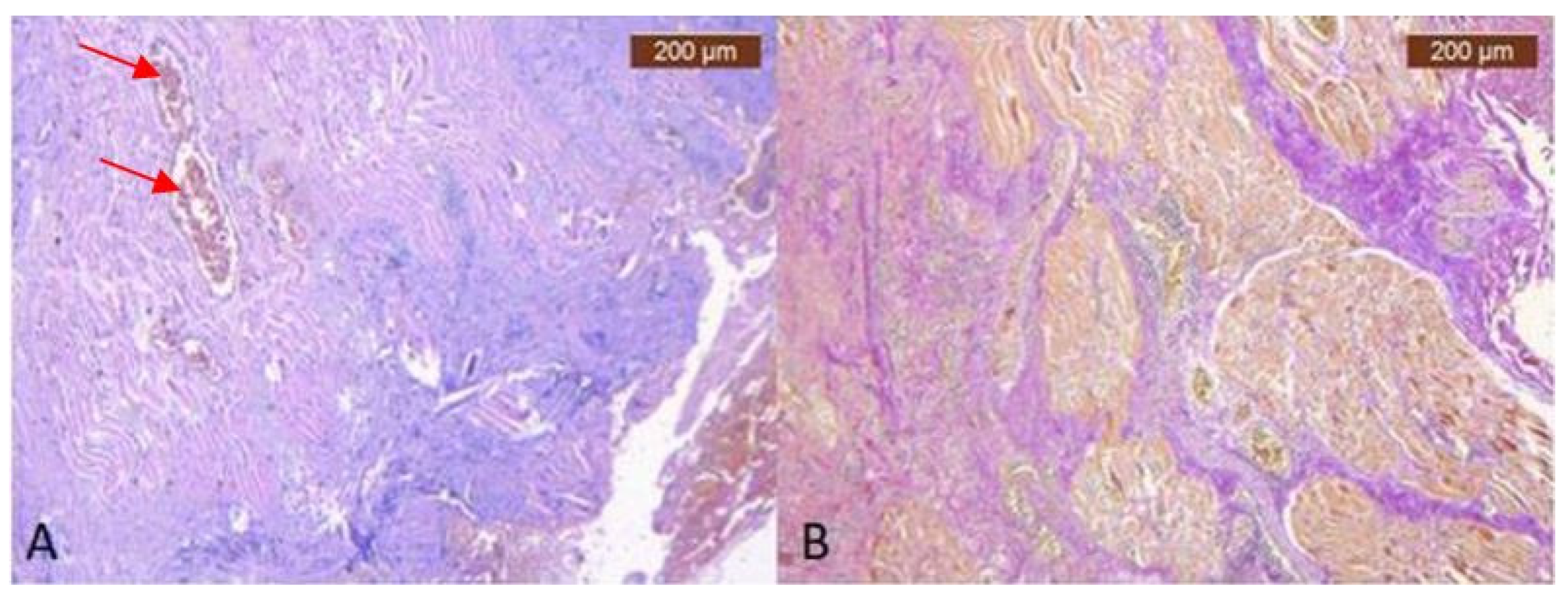
3.1. Hystological and IHC Studies
3.2. Micro-CT Study
3.3. Quantitative and Statistical Evaluation of the Obtained Data
4. Discussion
5. Conclusions
Author Contributions
Funding
Institutional Review Board Statement
Informed Consent Statement
Data Availability Statement
Acknowledgments
Conflicts of Interest
References
- Yadav, S.; Maurya, P.K. Correlation Between Telomere Length and Biomarkers of Oxidative Stress in Human Aging. Rejuvenation Res. 2022, 25, 25–29. [Google Scholar] [CrossRef] [PubMed]
- Gu, Y.; Han, J.; Jiang, C.; Zhang, Y. Biomarkers, oxidative stress and autophagy in skin aging. Ageing Res. Rev. 2020, 59, 101036. [Google Scholar] [CrossRef] [PubMed]
- Sahin, O.S.; Hanalioglu, S.; Metin Sanli, A.; Bakir, A.; Comert, A.; Baskaya, M.K. Angiographic measurement of the superficial temporal artery for potential use in cerebral bypass surgery: A combined radiological and cadaveric study. Surg. Radiol. Anat. 2024, 46, 605–614. [Google Scholar] [CrossRef] [PubMed]
- Sarigul Guduk, S.; Cevik Cenkeri, H.; Derin Cicek, E.; Kus, S. Evaluation of aging changes of the superficial fat compartments of the midface over time: A computed tomography study. J. Cosmet. Dermatol. 2022, 21, 1430–1435. [Google Scholar] [CrossRef] [PubMed]
- Mao, R.; Wang, Y.; Wang, F.; Zhou, L.; Yan, S.; Lu, S.; Shi, W.; Zhang, Y. Identification of Four Biomarkers of Human Skin Aging by Comprehensive Single Cell Transcriptome, Transcriptome, and Proteomics. Front. Genet. 2022, 13, 881051. [Google Scholar] [CrossRef] [PubMed]
- He, X.; Gao, X.; Xie, W. Research Progress in Skin Aging, Metabolism, and Related Products. Int. J. Mol. Sci. 2023, 24, 15930. [Google Scholar] [CrossRef] [PubMed]
- Luu, N.N.; Friedman, O. Facelift Surgery: History, Anatomy, and Recent Innovations. Facial Plast. Surg. 2021, 37, 556–563. [Google Scholar] [CrossRef] [PubMed]
- Rohrich, R.J.; Mohan, R. Role of Ancillary Procedures in Facial Rejuvenation. Plast. Reconstr. Surg. Glob. Open 2019, 7, e2075. [Google Scholar] [CrossRef]
- Ayoub, A.; Garrahy, A.; Hood, C.; White, J.; Bock, M.; Siebert, J.P.; Spencer, R.; Ray, A. Validation of a vision-based, three-dimensional facial imaging system. Cleft Palate Craniofac. J. 2003, 40, 523–529. [Google Scholar] [CrossRef]
- Aldridge, K.; Boyadjiev, S.A.; Capone, G.T.; DeLeon, V.B.; Richtsmeier, J.T. Precision and error of three-dimensional phenotypic measures acquired from 3dMD photogrammetric images. Am. J. Med. Genet. A 2005, 138a, 247–253. [Google Scholar] [CrossRef]
- Baek, S.H.; Cho, I.S.; Chang, Y.I.; Kim, M.J. Skeletodental factors affecting chin point deviation in female patients with class III malocclusion and facial asymmetry: A three-dimensional analysis using computed tomography. Oral. Surg. Oral. Med. Oral. Pathol. Oral. Radiol. Endod. 2007, 104, 628–639. [Google Scholar] [CrossRef]
- Baik, H.S.; Jeon, J.M.; Lee, H.J. Facial soft-tissue analysis of Korean adults with normal occlusion using a 3-dimensional laser scanner. Am. J. Orthod. Dentofac. Orthop. 2007, 131, 759–766. [Google Scholar] [CrossRef] [PubMed]
- Gotkin, R.H.; Alfertshofer, M.G.; Frank, K.; Cotofana, S. The retaining ligaments of the face and their importance in facelift surgery. J. Für Ästhetische Chir. 2022, 15, 22–27. [Google Scholar] [CrossRef]
- Baker, D.C. Minimal incision rhytidectomy (short scar face lift) with lateral SMASectomy: Evolution and application. Aesthet. Surg. J. 2001, 21, 14–26. [Google Scholar] [CrossRef] [PubMed]
- Bulbiankova, D.; Díaz-Puertas, R.; Álvarez-Martínez, F.J.; Herranz-López, M.; Barrajón-Catalán, E.; Micol, V. Hallmarks and Biomarkers of Skin Senescence: An Updated Review of Skin Senotherapeutics. Antioxidants 2023, 12, 444. [Google Scholar] [CrossRef] [PubMed]
- Babuci, A.; Palarie, V.; Catereniuc, I.; Zorina, Z.; Visnevschi, S.; Heimes, D.; Lehtman, S.; Kämmerer, P.W. Variability of the Cervical Branch Depending on the Facial Nerve Branching Pattern and Anthropometric Type of the Head. Neurol. Int. 2024, 16, 113–125. [Google Scholar] [CrossRef]
- Park, H.J.; Park, J.S.; Iwanaga, J.; Tubbs, R.S.; Hur, M.S. Positional relationships of the origin and course of zygomaticus major with the nasal ala, tragus, philtrum, and lateral canthus for aesthetic treatments and surgeries. Surg. Radiol. Anat. 2024, 46, 27–32. [Google Scholar] [CrossRef]
- Bascom, D.A.; Schaitkin, B.M.; May, M.; Klein, S. Facial nerve repair: A retrospective review. Facial Plast. Surg. 2000, 16, 309–313. [Google Scholar] [CrossRef]
- Zhang, N.; Liu, X.; Wu, J.; Li, X.; Wang, Q.; Chen, G.; Ma, L.; Wu, S.; Zhou, F. Serum proteomics screening intercellular adhesion molecule-2 improves intermediate-risk stratification in acute myeloid leukemia. Ther. Adv. Hematol. 2022, 13, 20406207221132346. [Google Scholar] [CrossRef]
- Becker, F.F.; Bassichis, B.A. Deep-plane face-lift vs superficial musculoaponeurotic system plication face-lift: A comparative study. Arch. Facial Plast. Surg. 2004, 6, 8–13. [Google Scholar] [CrossRef]
- Dowling, P.; Gargan, S.; Swandulla, D.; Ohlendieck, K. Fiber-Type Shifting in Sarcopenia of Old Age: Proteomic Profiling of the Contractile Apparatus of Skeletal Muscles. Int. J. Mol. Sci. 2023, 24, 2415. [Google Scholar] [CrossRef]
- Hînganu, M.V.; Cucu, R.P.; Hînganu, D. Personalized Research on the Aging Face—A Narrative History. J. Pers. Med. 2024, 14, 343. [Google Scholar] [CrossRef]
- Bega, G.; Wapner, R.; Lev-Toaff, A.; Kuhlman, K. Diagnosis of conjoined twins at 10 weeks using three-dimensional ultrasound: A case report. Ultrasound Obs. Gynecol. 2000, 16, 388–390. [Google Scholar] [CrossRef] [PubMed]
- Benedetto, A.V.; Lahti, J.G. Measurement of the anatomic position of the corrugator supercilii. Dermatol. Surg. 2005, 31, 923–927. [Google Scholar] [CrossRef] [PubMed]
- Berkovitz, B.K.B.; Holland, G.R.; Moxham, B.J. Oral Anatomy, Histology and Embryology; Mosby/Elsevier: Amsterdam, The Netherlands, 2009. [Google Scholar]
- Gao, J.; Guo, Z.; Zhang, Y.; Liu, Y.; Xing, F.; Wang, J.; Luo, X.; Kong, Y.; Zhang, G. Age-related changes in the ratio of Type I/III collagen and fibril diameter in mouse skin. Regen. Biomater. 2023, 10, rbac110. [Google Scholar] [CrossRef]
- Abramov, Y.; Golden, B.; Sullivan, M.; Botros, S.M.; Miller, J.J.; Alshahrour, A.; Goldberg, R.P.; Sand, P.K. Histologic characterization of vaginal vs. abdominal surgical wound healing in a rabbit model. Wound Repair Regen. 2007, 15, 80–86. [Google Scholar] [CrossRef]
- Shapiro, S.S.; Wilk, M.B.; Chen, H.J. A Comparative Study of Various Tests for Normality. J. Am. Stat. Assoc. 1968, 63, 1343–1372. [Google Scholar] [CrossRef]
- Justel, A.; Peña, D.; Zamar, R. A multivariate Kolmogorov-Smirnov test of goodness of fit. Stat. Probab. Lett. 1997, 35, 251–259. [Google Scholar] [CrossRef]
- Araghi, F.; Dadkhahfar, S.; Pourani, M.R.; Gheisari, M. The Importance of Facial Retaining Ligaments’ Preservation During the Subcision. Aesthet. Surg. J. 2022, 42, Np87–Np88. [Google Scholar] [CrossRef]
- Chaudhary, M.; Khan, A.; Gupta, M. Skin Ageing: Pathophysiology and Current Market Treatment Approaches. Curr. Aging Sci. 2020, 13, 22–30. [Google Scholar] [CrossRef]
- Houseman, N.D.; Taylor, G.I.; Pan, W.R. The angiosomes of the head and neck: Anatomic study and clinical applications. Plast. Reconstr. Surg. 2000, 105, 2287–2313. [Google Scholar] [CrossRef] [PubMed]
- Pearl, R.M.; Johnson, D. The vascular supply to the skin: An anatomical and physiological reappraisal—Part II. Ann. Plast. Surg. 1983, 11, 196–205. [Google Scholar] [CrossRef] [PubMed]
- Whetzel, T.P.; Mathes, S.J. Arterial anatomy of the face: An analysis of vascular territories and perforating cutaneous vessels. Plast. Reconstr. Surg. 1992, 89, 591–603; discussion 604-595. [Google Scholar] [CrossRef] [PubMed]
- Meegalla, N.; Sood, G.; Nessel, T.A.; Downs, B.W. Anatomy, Head and Neck: Facial Arteries. In StatPearls; StatPearls Publishing LLC: St. Petersburg, FL, USA, 2024. [Google Scholar]
- Johnson, K.E.; Wilgus, T.A. Vascular Endothelial Growth Factor and Angiogenesis in the Regulation of Cutaneous Wound Repair. Adv. Wound Care 2014, 3, 647–661. [Google Scholar] [CrossRef]
- Kim, T.E.; Lee, Y.E.; Han, Y.M.; Baek, J.H.; Ko, M.J.; Ahn, H.J.; Shin, M.K. Analysis of facial vascular pattern characteristics in the Korean population. Ski. Res. Technol. 2023, 29, e13344. [Google Scholar] [CrossRef] [PubMed]
- Lifting cervico-facial fonctionnel. Rappel anatomique et étiopathogénie du vieillissement cervico-facial. In Chirurgie Esthétique et Fonctionnelle de la Face; Gola, R., Ed.; Springer: Paris, France, 2005; pp. 45–56. [Google Scholar]
- Jacono, A.; Bryant, L.M. Extended Deep Plane Facelift: Incorporating Facial Retaining Ligament Release and Composite Flap Shifts to Maximize Midface, Jawline and Neck Rejuvenation. Clin. Plast. Surg. 2018, 45, 527–554. [Google Scholar] [CrossRef] [PubMed]
- Schaverien, M.V.; Pessa, J.E.; Saint-Cyr, M.; Rohrich, R.J. The arterial and venous anatomies of the lateral face lift flap and the SMAS. Plast. Reconstr. Surg. 2009, 123, 1581–1587. [Google Scholar] [CrossRef] [PubMed]
- Touzet-Roumazeille, S.; Nicol, P.; Fontaine, C.; Vacher, C. Anatomic study of the arterial territories of the face depending on the external carotid artery branches. Morphologie 2020, 104, 38–43. [Google Scholar] [CrossRef]
- Kucukguven, A.; Galandarova, A.; Bitik, O. A Systematic Review and Meta-Analysis of Early Relapse after Facelift. Aesthetic Plast. Surg. 2023, 47, 144–155. [Google Scholar] [CrossRef]
- Rohrich, R.J.; Pessa, J.E. The fat compartments of the face: Anatomy and clinical implications for cosmetic surgery. Plast. Reconstr. Surg. 2007, 119, 2219–2227. [Google Scholar] [CrossRef]
- Stuzin, J.M.; Rohrich, R.J.; Dayan, E. The Facial Fat Compartments Revisited: Clinical Relevance to Subcutaneous Dissection and Facial Deflation in Face Lifting. Plast. Reconstr. Surg. 2019, 144, 1070–1078. [Google Scholar] [CrossRef] [PubMed]
- Martin, G.M.; LaMarco, K.; Strauss, E.; Kelner, L.K. Research on aging: The end of the beginning. Science 2003, 299, 1339–1341. [Google Scholar] [CrossRef]
- Wichitchan, S.; Yao, W.; Yu, C. A new class of multivariate goodness of fit tests for multivariate normal mixtures. Commun. Stat. Simul. Comput. 2022, 51, 6635–6648. [Google Scholar] [CrossRef]
- Ebner, B.; Henze, N. Tests for multivariate normality—A critical review with emphasis on weighted L2-statistics. TEST 2020, 29, 845–892. [Google Scholar] [CrossRef]
- Cucu, R.P.; Hînganu, M.V.; Costan, V.V.; Lozneanu, L.; Boişteanu, O.; Tamaş, C.; Negru, D.; Hînganu, D. Morphofunctional and histological patterns of blood vessels in the superficial cervicofacial musculoaponeurotic system in midlateral face regions. Ann. Anat. 2024, 253, 152221. [Google Scholar] [CrossRef] [PubMed]
- Haller, N.; Behringer, M.; Reichel, T.; Wahl, P.; Simon, P.; Krüger, K.; Zimmer, P.; Stöggl, T. Blood-Based Biomarkers for Managing Workload in Athletes: Considerations and Recommendations for Evidence-Based Use of Established Biomarkers. Sports Med. 2023, 53, 1315–1333. [Google Scholar] [CrossRef] [PubMed]
- Wang, N.; Lv, L.; Yan, F.; Ma, Y.; Miao, L.; Foon Chung, L.Y.; Han, L. Biomarkers for the early detection of pressure injury: A systematic review and meta-analysis. J. Tissue Viability 2022, 31, 259–267. [Google Scholar] [CrossRef]
- Naimo, M.A.; Varanoske, A.N.; Hughes, J.M.; Pasiakos, S.M. Skeletal Muscle Quality: A Biomarker for Assessing Physical Performance Capabilities in Young Populations. Front. Physiol. 2021, 12, 706699. [Google Scholar] [CrossRef]





















| Variable | Descriptive Statistics | Statistics | Std. Error | |
|---|---|---|---|---|
| Collagen III | Mean | 2.51 | 0.100 | |
| 95% Confidence Interval for Mean | Lower Bound | 2.31 | ||
| Upper Bound | 2.72 | |||
| 5% Trimmed Mean | 2.57 | |||
| Median | 3.00 | |||
| Variance | 0.368 | |||
| Std. Deviation | 0.607 | |||
| Minimum | 1 | |||
| Maximum | 3 | |||
| Range | 2 | |||
| Interquartile Range | 1 | |||
| Skewness | −0.844 | 0.388 | ||
| Kurtosis | −0.201 | 0.759 | ||
| ICAM-2 | Mean | 2.46 | 0.107 | |
| 95% Confidence Interval for Mean | Lower Bound | 2.24 | ||
| Upper Bound | 2.68 | |||
| 5% Trimmed Mean | 2.51 | |||
| Median | 3.00 | |||
| Variance | 0.422 | |||
| Std. Deviation | 0.650 | |||
| Minimum | 1 | |||
| Maximum | 3 | |||
| Range | 2 | |||
| Interquartile Range | 1 | |||
| Skewness | −0.844 | 0.388 | ||
| Kurtosis | −0.201 | 0.759 | ||
| MyoH2 | Mean | 1.68 | 0.103 | |
| 95% Confidence Interval for Mean | Lower Bound | 1.47 | ||
| Upper Bound | 1.88 | |||
| 5% Trimmed Mean | 1.64 | |||
| Median | 2.00 | |||
| Variance | 0.392 | |||
| Std. Deviation | 0.626 | |||
| Minimum | 1 | |||
| Maximum | 3 | |||
| Range | 2 | |||
| Interquartile Range | 1 | |||
| Skewness | 0.358 | 0.388 | ||
| Kurtosis | −0.582 | 0.759 | ||
| TSMAS (µ) | Mean | 40,683.43 | 2130.788 | |
| 95% Confidence Interval for Mean | Lower Bound | 36,361.99 | ||
| Upper Bound | 45,004.87 | |||
| 5% Trimmed Mean | 40,387.92 | |||
| Median | 31,569.00 | |||
| Variance | 167,989,503.5 | |||
| Std. Deviation | 12,961.076 | |||
| Minimum | 29,578 | |||
| Maximum | 57,108 | |||
| Range | 27,530 | |||
| Interquartile Range | 27,274 | |||
| Skewness | 0.512 | 0.388 | ||
| Kurtosis | −1.824 | 0.759 | ||
| TAT (µ) | Mean | 26,048.65 | 235.742 | |
| 95% Confidence Interval for Mean | Lower Bound | 25,570.54 | ||
| Upper Bound | 26,526.76 | |||
| 5% Trimmed Mean | 26,015.51 | |||
| Median | 25,068.00 | |||
| Variance | 2,056,247.290 | |||
| Std. Deviation | 1433.962 | |||
| Minimum | 24,791 | |||
| Maximum | 27,900 | |||
| Range | 3109 | |||
| Interquartile Range | 2961 | |||
| Skewness | 0.512 | 0.388 | ||
| Kurtosis | −1.822 | 0.759 | ||
| BVD (µ) | Mean | 2834.00 | 158.484 | |
| 95% Confidence Interval for Mean | Lower Bound | 2512.58 | ||
| Upper Bound | 3155.42 | |||
| 5% Trimmed Mean | 2844.86 | |||
| Median | 2661.00 | |||
| Variance | 929,336.167 | |||
| Std. Deviation | 964.021 | |||
| Minimum | 1516 | |||
| Maximum | 3962 | |||
| Range | 2446 | |||
| Interquartile Range | 2337 | |||
| Skewness | −0.106 | 0.388 | ||
| Kurtosis | −1.491 | 0.759 | ||
| N (µ) | Mean | 3.24 | 0.390 | |
| 95% Confidence Interval for Mean | Lower Bound | 2.45 | ||
| Upper Bound | 4.03 | |||
| 5% Trimmed Mean | 3.10 | |||
| Median | 2.00 | |||
| Variance | 5.634 | |||
| Std. Deviation | 2.374 | |||
| Minimum | 1 | |||
| Maximum | 8 | |||
| Range | 7 | |||
| Interquartile Range | 5 | |||
| Skewness | 0.919 | 0.388 | ||
| Kurtosis | −0.734 | 0.759 | ||
| L (µ) | Mean | 39,493.89 | 1385.884 | |
| 95% Confidence Interval for Mean | Lower Bound | 36,683.19 | ||
| Upper Bound | 42,304.59 | |||
| 5% Trimmed Mean | 39,565.91 | |||
| Median | 40,289.00 | |||
| Variance | 71,064,927.16 | |||
| Std. Deviation | 8430.002 | |||
| Minimum | 28,979 | |||
| Maximum | 48,700 | |||
| Range | 19,721 | |||
| Interquartile Range | 19,438 | |||
| Skewness | −0.196 | 0.388 | ||
| Kurtosis | −1.670 | 0.759 | ||
| Variables | Kolmogorov–Smirnov | Shapiro–Wilk | ||||
|---|---|---|---|---|---|---|
| Statistic | df | Sig. | Statistic | df | Sig. | |
| Collagen III | 0.356 | 37 | 0.000 | 0.711 | 37 | 0.000 |
| ICAM-2 | 0.338 | 37 | 0.000 | 0.732 | 37 | 0.000 |
| MyoH2 | 0.292 | 37 | 0.000 | 0.762 | 37 | 0.000 |
| TSMAS (µ) | 0.380 | 37 | 0.000 | 0.655 | 37 | 0.000 |
| TAT (µ) | 0.366 | 37 | 0.000 | 0.667 | 37 | 0.000 |
| BVD (µ) | 0.242 | 37 | 0.000 | 0.811 | 37 | 0.000 |
| N (µ) | 0.271 | 37 | 0.000 | 0.791 | 37 | 0.000 |
| L (µ) | 0.236 | 37 | 0.000 | 0.777 | 37 | 0.000 |
| Variable | Anatomical Region | N | Mean Rank |
|---|---|---|---|
| Collagen III | pretragal | 10 | 12.20 |
| periorbital | 14 | 20.18 | |
| preauricular | 13 | 22.96 | |
| Total | 37 | ||
| ICAM-2 | pretragal | 10 | 15.60 |
| periorbital | 14 | 19.61 | |
| preauricular | 13 | 20.96 | |
| Total | 37 | ||
| MyoH2 | pretragal | 10 | 16.50 |
| periorbital | 14 | 18.50 | |
| preauricular | 13 | 21.46 | |
| Total | 37 | ||
| TSMAS (µ) | pretragal | 10 | 5.50 |
| periorbital | 14 | 30.50 | |
| preauricular | 13 | 17.00 | |
| Total | 37 | ||
| TAT (µ) | pretragal | 10 | 5.60 |
| periorbital | 14 | 30.50 | |
| preauricular | 13 | 16.92 | |
| Total | 37 | ||
| BVD (µ) | pretragal | 10 | 5.50 |
| periorbital | 14 | 30.50 | |
| preauricular | 13 | 17.00 | |
| Total | 37 | ||
| N (µ) | pretragal | 10 | 32.50 |
| periorbital | 14 | 8.75 | |
| preauricular | 13 | 19.65 | |
| Total | 37 | ||
| L (µ) | pretragal | 10 | 18.50 |
| periorbital | 14 | 30.50 | |
| preauricular | 13 | 7.00 | |
| Total | 37 |
| Collagen III | ICAM-2 | MyoH2 | TSMAS (µ) | TAT (µ) | BVD (µ) | N (µ) | L (µ) | |
|---|---|---|---|---|---|---|---|---|
| Chi-Square | 7.668 | 1.850 | 1.548 | 31.801 | 31.614 | 31.805 | 29.802 | 31.808 |
| df | 2 | 2 | 2 | 2 | 2 | 2 | 2 | 2 |
| Asymp. Sig. | 0.022 | 0.397 | 0.461 | 0.000 | 0.000 | 0.000 | 0.000 | 0.000 |
| Variable | Mean | Std. Deviation | Skewness (Eroare Standard) | Kurtosis (Eroare Standard) | ||
|---|---|---|---|---|---|---|
| Collagen III | 2.51 | 0.607 | −0.844 (0.388) | −0.201 (0.759) | 2.18 | 0.515 |
| ICAM-2 | 2.46 | 0.650 | −0.844 (0.388) | −0.201 (0.759) | 2.08 | 0.657 |
| MyoH2 | 1.68 | 0.626 | 0.358 (0.388) | −0.582 (0.759) | 1.03 | 0.876 |
| TSMAS(µ) | 40,683.4 | 12,961.08 | 0.512 (0.388) | −1.824 (0.759) | 1.32 | 2.40 |
| TAT (µ) | 26,048.7 | 1433.962 | 0.512 (0.388) | −1.822 (0.759) | 1.32 | 2.40 |
| BVD (µ) | 2834.0 | 964.021 | −0.106 (0.388) | −1.491 (0.759) | 0.27 | 1.96 |
| N (µ) | 3.24 | 2.374 | 0.919 (0.388) | −0.734 (0.759) | 2.37 | 0.97 |
| L (µ) | 39,493.9 | 8430.002 | 0.196 (0.388) | −1.670 (0.759) | 0.51 | 2.20 |
Disclaimer/Publisher’s Note: The statements, opinions and data contained in all publications are solely those of the individual author(s) and contributor(s) and not of MDPI and/or the editor(s). MDPI and/or the editor(s) disclaim responsibility for any injury to people or property resulting from any ideas, methods, instructions or products referred to in the content. |
© 2024 by the authors. Licensee MDPI, Basel, Switzerland. This article is an open access article distributed under the terms and conditions of the Creative Commons Attribution (CC BY) license (https://creativecommons.org/licenses/by/4.0/).
Share and Cite
Hînganu, M.V.; Cucu, R.P.; Costan, V.-V.; Lozneanu, L.; Tamaș, C.; Calistru, A.E.; Hristian, L.; Hînganu, D. Aging of Superficial Musculoaponeurotic System of the Face—Novel Biomarkers and Micro-CT Relevance of Facial Anti-Gravity Support. Diagnostics 2024, 14, 1126. https://doi.org/10.3390/diagnostics14111126
Hînganu MV, Cucu RP, Costan V-V, Lozneanu L, Tamaș C, Calistru AE, Hristian L, Hînganu D. Aging of Superficial Musculoaponeurotic System of the Face—Novel Biomarkers and Micro-CT Relevance of Facial Anti-Gravity Support. Diagnostics. 2024; 14(11):1126. https://doi.org/10.3390/diagnostics14111126
Chicago/Turabian StyleHînganu, Marius Valeriu, Ramona Paula Cucu, Victor-Vlad Costan, Ludmila Lozneanu, Camelia Tamaș, Anca Elena Calistru, Liliana Hristian, and Delia Hînganu. 2024. "Aging of Superficial Musculoaponeurotic System of the Face—Novel Biomarkers and Micro-CT Relevance of Facial Anti-Gravity Support" Diagnostics 14, no. 11: 1126. https://doi.org/10.3390/diagnostics14111126
APA StyleHînganu, M. V., Cucu, R. P., Costan, V.-V., Lozneanu, L., Tamaș, C., Calistru, A. E., Hristian, L., & Hînganu, D. (2024). Aging of Superficial Musculoaponeurotic System of the Face—Novel Biomarkers and Micro-CT Relevance of Facial Anti-Gravity Support. Diagnostics, 14(11), 1126. https://doi.org/10.3390/diagnostics14111126

