Pitfalls of Diffusion-Weighted Imaging: Clinical Utility of T2 Shine-through and T2 Black-out for Musculoskeletal Diseases
Abstract
1. Introduction
2. Principles of DWI
2.1. Water Movement in Tissues
2.2. Diffusion Sensitizing Gradients
3. Values in Obtaining DWI
3.1. b-Value Selection
3.2. ADC Value Generation
3.3. DWI Protocols
4. DWI Interpretation with ADC Map
4.1. Qualitative Analysis
4.2. Quantitative Analysis
5. Pitfalls of DWI and ADC Map
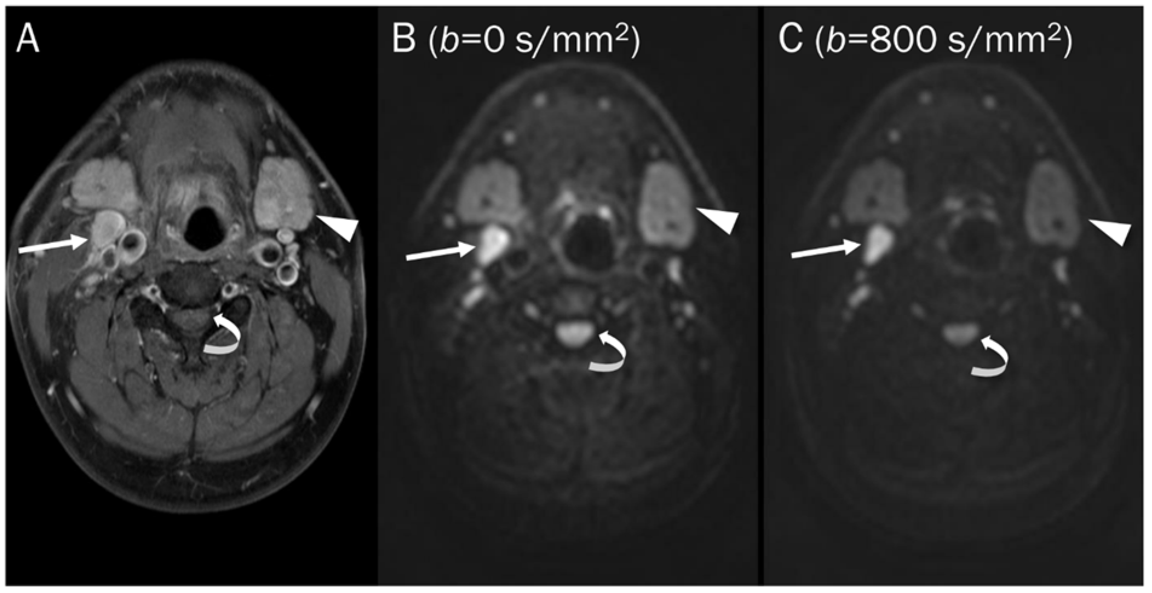
5.1. T2 Shine-through Effect
5.2. T2 Black-out Effect
6. Image Interpretation Guidelines for DWI with ADC Map
7. Clinical Applications of DWI Pitfalls
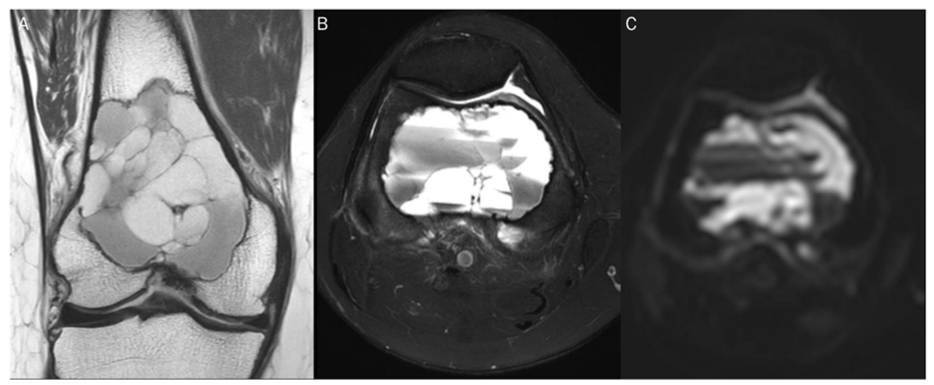
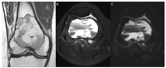
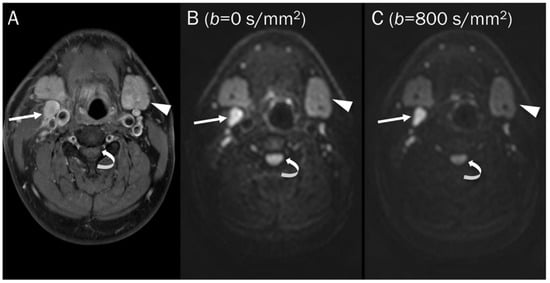
7.1. Cyst
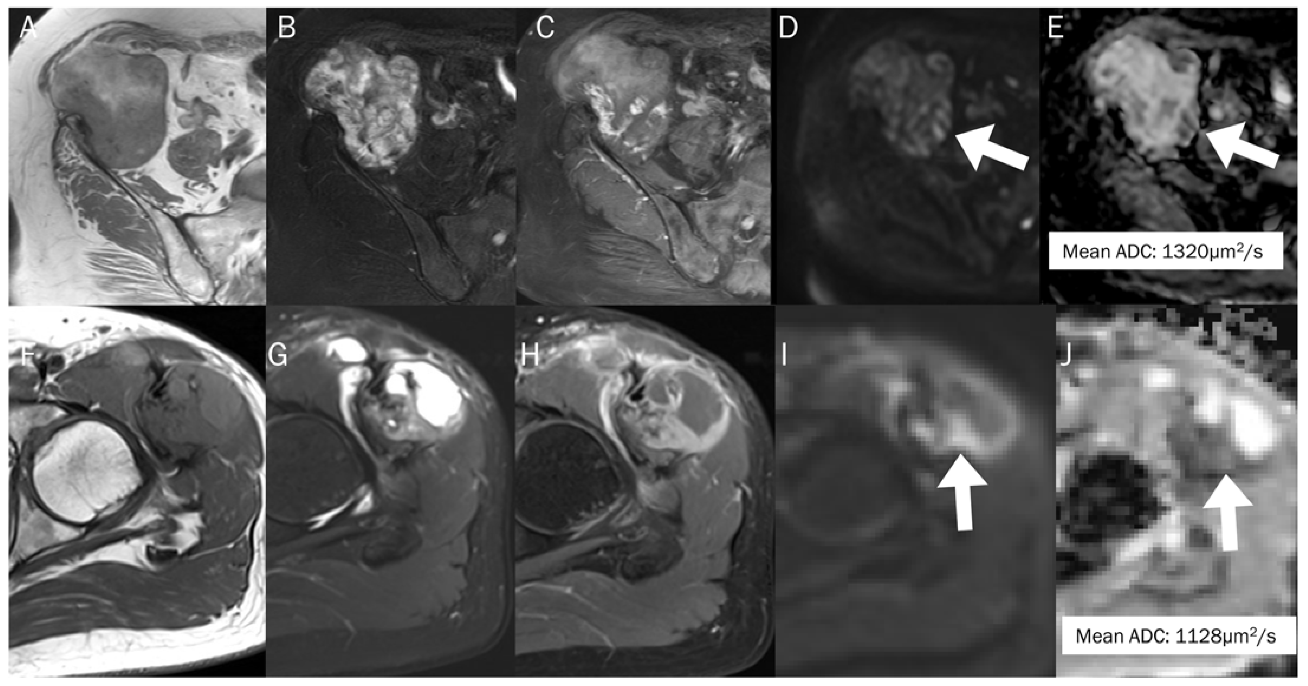
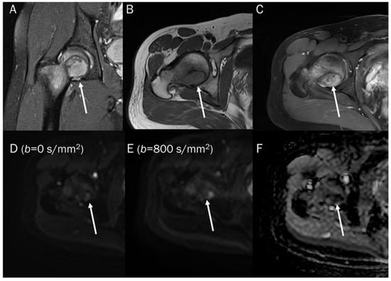
7.2. Hematoma
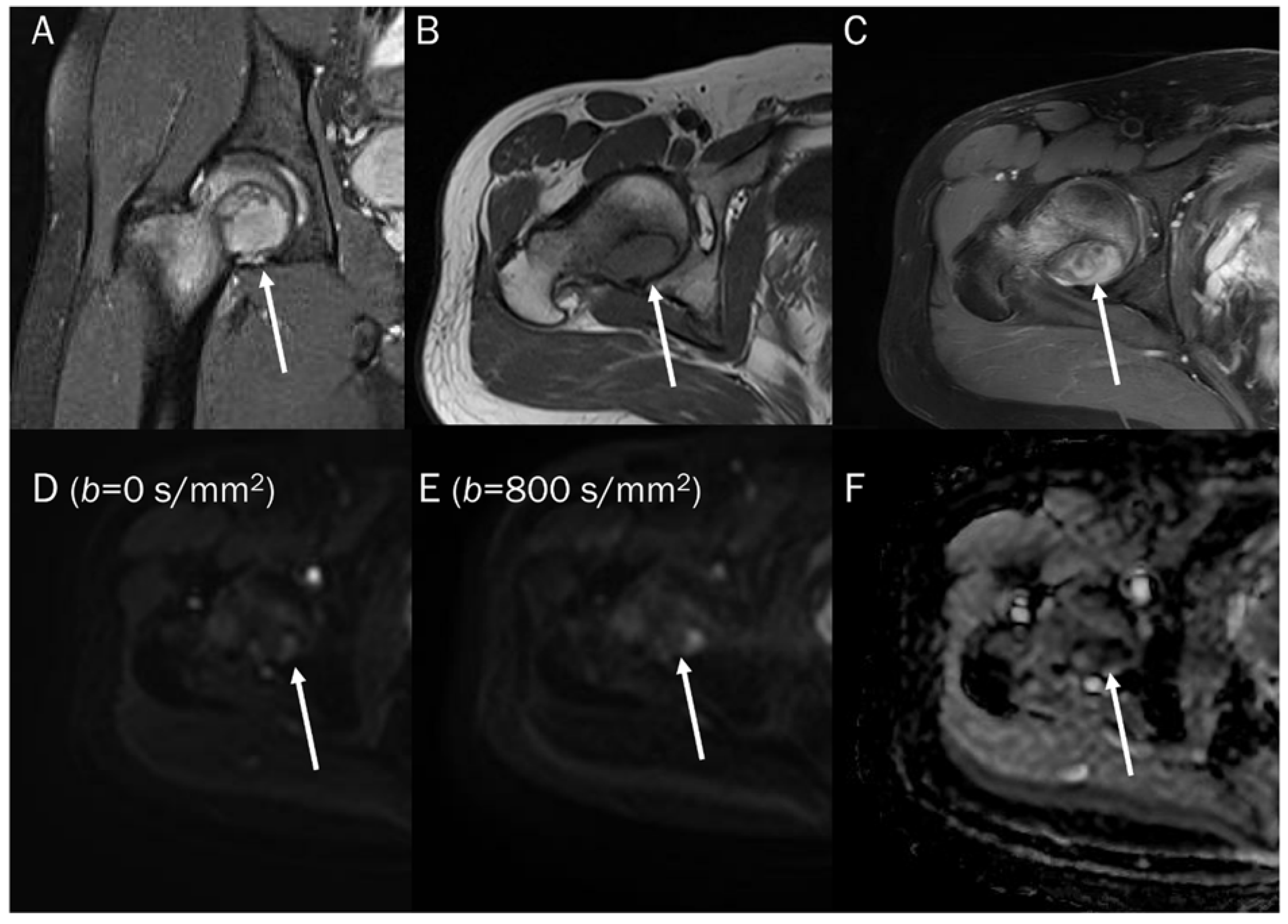
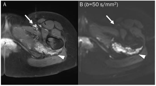
7.3. Benign Bone and Soft Tissue Tumors
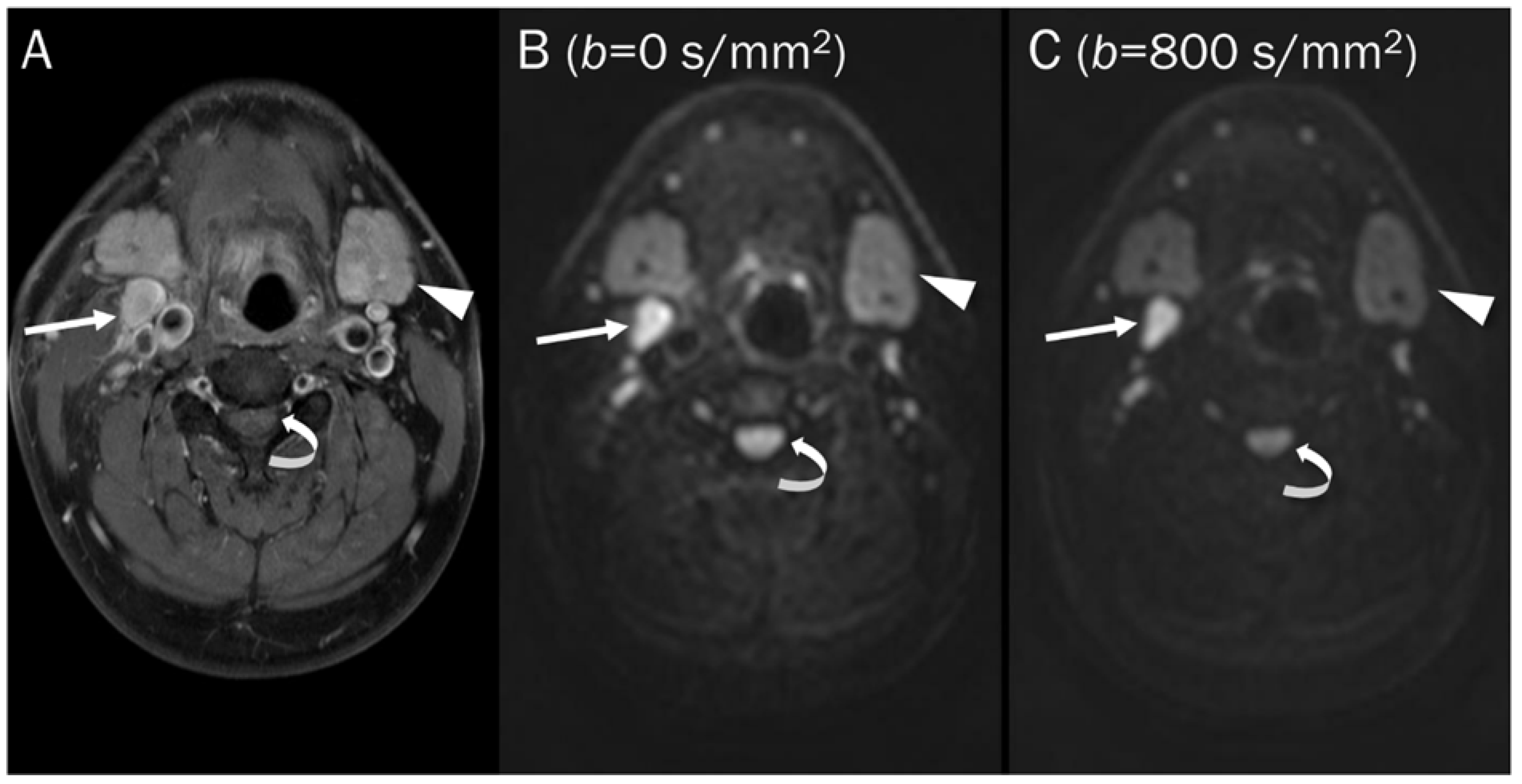
7.4. Vertebral Endplate Changes
8. Conclusions
Author Contributions
Funding
Institutional Review Board Statement
Informed Consent Statement
Data Availability Statement
Conflicts of Interest
References
- Baur, A.; Reiser, M.F. Diffusion-weighted imaging of the musculoskeletal system in humans. Skelet. Radiol. 2000, 29, 555–562. [Google Scholar] [CrossRef] [PubMed]
- Khoo, M.M.; Tyler, P.A.; Saifuddin, A.; Padhani, A.R. Diffusion-weighted imaging (DWI) in musculoskeletal MRI: A critical review. Skelet. Radiol. 2011, 40, 665–681. [Google Scholar] [CrossRef]
- Lim, H.K.; Jee, W.H.; Jung, J.Y.; Paek, M.Y.; Kim, I.; Jung, C.K.; Chung, Y.G. Intravoxel incoherent motion diffusion-weighted MR imaging for differentiation of benign and malignant musculoskeletal tumours at 3 T. Br. J. Radiol. 2018, 91, 20170636. [Google Scholar] [CrossRef] [PubMed]
- Choi, Y.J.; Lee, I.S.; Song, Y.S.; Kim, J.I.; Choi, K.U.; Song, J.W. Diagnostic performance of diffusion-weighted (DWI) and dynamic contrast-enhanced (DCE) MRI for the differentiation of benign from malignant soft-tissue tumors. J. Magn. Reson. Imaging 2019, 50, 798–809. [Google Scholar] [CrossRef] [PubMed]
- Lee, S.K.; Jee, W.H.; Jung, C.K.; Chung, Y.G. Multiparametric quantitative analysis of tumor perfusion and diffusion with 3T MRI: Differentiation between benign and malignant soft tissue tumors. Br. J. Radiol. 2020, 93, 20191035. [Google Scholar] [CrossRef] [PubMed]
- Zhang, J.; Chen, Y.; Zhang, E.; Li, N.; Yuan, H.; Lang, N. Use of monoexponential diffusion-weighted imaging and diffusion kurtosis imaging and dynamic contrast-enhanced-MRI for the differentiation of spinal tumors. Eur. Spine J. Off. Publ. Eur. Spine Soc. Eur. Spinal Deform. Soc. Eur. Sect. Cerv. Spine Res. Soc. 2020, 29, 1112–1120. [Google Scholar] [CrossRef]
- Dodin, G.; Salleron, J.; Jendoubi, S.; Abou Arab, W.; Sirveaux, F.; Blum, A.; Gondim Teixeira, P.A. Added-value of advanced magnetic resonance imaging to conventional morphologic analysis for the differentiation between benign and malignant non-fatty soft-tissue tumors. Eur. Radiol. 2021, 31, 1536–1547. [Google Scholar] [CrossRef]
- Hwang, H.; Lee, S.K.; Kim, J.Y. Comparison of conventional magnetic resonance imaging and diffusion-weighted imaging in the differentiation of bone plasmacytoma from bone metastasis in the extremities. Diagn. Interv. Imaging 2021, 102, 611–618. [Google Scholar] [CrossRef]
- Wang, Q.; Xiao, X.; Liang, Y.; Wen, H.; Wen, X.; Gu, M.; Ren, C.; Li, K.; Yu, L.; Lu, L. Diagnostic Performance of Diffusion MRI for differentiating Benign and Malignant Nonfatty Musculoskeletal Soft Tissue Tumors: A Systematic Review and Meta-analysis. J. Cancer 2021, 12, 7399–7412. [Google Scholar] [CrossRef]
- Arslan, S.; Ergen, F.B.; Aydın, G.B.; Ayvaz, M.; Karakaya, J.; Kösemehmetoğlu, K.; Yıldız, A.E.; Aydıngöz, Ü. Different Attenuation Models of Diffusion-Weighted MR Imaging for the Differentiation of Benign and Malignant Musculoskeletal Tumors. J. Magn. Reson. Imaging 2022, 55, 594–607. [Google Scholar] [CrossRef]
- Li, X.; Hu, Y.; Xie, Y.; Lu, R.; Li, Q.; Tao, H.; Chen, S. Whole-tumor histogram analysis of diffusion-weighted imaging and dynamic contrast-enhanced MRI for soft tissue sarcoma: Correlation with HIF-1alpha expression. Eur. Radiol. 2022; in press. [Google Scholar] [CrossRef]
- Ota, Y.; Liao, E.; Capizzano, A.A.; Baba, A.; Kurokawa, R.; Kurokawa, M.; Srinivasan, A. Neurofibromatosis type 2 versus sporadic vestibular schwannoma: The utility of MR diffusion and dynamic contrast-enhanced imaging. J. Neuroimaging Off. J. Am. Soc. Neuroimaging 2022, 32, 554–560. [Google Scholar] [CrossRef] [PubMed]
- Sharma, G.; Saran, S.; Saxena, S.; Goyal, T. Multiparametric evaluation of bone tumors utilising diffusion weighted imaging and dynamic contrast enhanced magnetic resonance imaging. J. Clin. Orthop. Trauma 2022, 30, 101899. [Google Scholar] [CrossRef] [PubMed]
- Gowda, P.; Bajaj, G.; Silva, F.D.; Ashikyan, O.; Xi, Y.; Chhabra, A. Does the apparent diffusion coefficient from diffusion-weighted MRI imaging aid in the characterization of malignant soft tissue tumors and sarcomas. Skelet. Radiol. 2023; in press. [Google Scholar] [CrossRef] [PubMed]
- Mansour, T.M.M.; El-Barody, M.M.; Tammam, H.; Okasha, A. Role of diffusion-weighted MRI in differentiating between benign and malignant bone lesions: A prospective study. Clin. Radiol. 2021, 76, 576–584. [Google Scholar] [CrossRef] [PubMed]
- Parlak, Ş.; Ergen, F.B.; Yüksel, G.Y.; Karakaya, J.; Aydın, G.B.; Kösemehmetoğlu, K.; Aydıngöz, Ü. Diffusion-weighted imaging for the differentiation of Ewing sarcoma from osteosarcoma. Skelet. Radiol. 2021, 50, 2023–2030. [Google Scholar] [CrossRef]
- Orsatti, G.; Zucchetta, P.; Varotto, A.; Crimì, F.; Weber, M.; Cecchin, D.; Bisogno, G.; Spimpolo, A.; Giraudo, C.; Stramare, R. Volumetric histograms-based analysis of apparent diffusion coefficients and standard uptake values for the assessment of pediatric sarcoma at staging: Preliminary results of a PET/MRI study. La Radiol. Med. 2021, 126, 878–885. [Google Scholar] [CrossRef]
- Xing, X.; Zhang, J.; Chen, Y.; Zhao, Q.; Lang, N.; Yuan, H. Application of monoexponential, biexponential, and stretched-exponential models of diffusion-weighted magnetic resonance imaging in the differential diagnosis of metastases and myeloma in the spine-Univariate and multivariate analysis of related parameters. Br. J. Radiol. 2020, 93, 20190891. [Google Scholar] [CrossRef]
- Chen, Y.; Yu, Q.; La Tegola, L.; Mei, Y.; Chen, J.; Huang, W.; Zhang, X.; Guglielmi, G. Intravoxel incoherent motion MR imaging for differentiating malignant lesions in spine: A pilot study. Eur. J. Radiol. 2019, 120, 108672. [Google Scholar] [CrossRef]
- Alsharief, A.N.; Martinez-Rios, C.; Hopyan, S.; Amirabadi, A.; Doria, A.S.; Greer, M.C. Usefulness of diffusion-weighted MRI in the initial assessment of osseous sarcomas in children and adolescents. Pediatr. Radiol. 2019, 49, 1201–1208. [Google Scholar] [CrossRef]
- Zeitoun, R.; Shokry, A.M.; Ahmed Khaleel, S.; Mogahed, S.M. Osteosarcoma subtypes: Magnetic resonance and quantitative diffusion weighted imaging criteria. J. Egypt. Natl. Cancer Inst. 2018, 30, 39–44. [Google Scholar] [CrossRef]
- Winfield, J.M.; Poillucci, G.; Blackledge, M.D.; Collins, D.J.; Shah, V.; Tunariu, N.; Kaiser, M.F.; Messiou, C. Apparent diffusion coefficient of vertebral haemangiomas allows differentiation from malignant focal deposits in whole-body diffusion-weighted MRI. Eur. Radiol. 2018, 28, 1687–1691. [Google Scholar] [CrossRef] [PubMed]
- Pozzi, G.; Albano, D.; Messina, C.; Angileri, S.A.; Al-Mnayyis, A.; Galbusera, F.; Luzzati, A.; Perrucchini, G.; Scotto, G.; Parafioriti, A.; et al. Solid bone tumors of the spine: Diagnostic performance of apparent diffusion coefficient measured using diffusion-weighted MRI using histology as a reference standard. J. Magn. Reson. Imaging 2018, 47, 1034–1042. [Google Scholar] [CrossRef]
- Lee, S.K.; Jee, W.H.; Jung, C.K.; Im, S.A.; Chung, N.G.; Chung, Y.G. Prediction of Poor Responders to Neoadjuvant Chemotherapy in Patients with Osteosarcoma: Additive Value of Diffusion-Weighted MRI including Volumetric Analysis to Standard MRI at 3T. PLoS ONE 2020, 15, e0229983. [Google Scholar] [CrossRef]
- Saleh, M.M.; Abdelrahman, T.M.; Madney, Y.; Mohamed, G.; Shokry, A.M.; Moustafa, A.F. Multiparametric MRI with diffusion-weighted imaging in predicting response to chemotherapy in cases of osteosarcoma and Ewing’s sarcoma. Br. J. Radiol. 2020, 93, 20200257. [Google Scholar] [CrossRef] [PubMed]
- Kershaw, L.; Forker, L.; Roberts, D.; Sanderson, B.; Shenjere, P.; Wylie, J.; Coyle, C.; Kochhar, R.; Manoharan, P.; Choudhury, A. Feasibility of a multiparametric MRI protocol for imaging biomarkers associated with neoadjuvant radiotherapy for soft tissue sarcoma. BJR Open 2021, 3, 20200061. [Google Scholar] [CrossRef] [PubMed]
- Xia, X.; Wen, L.; Zhou, F.; Li, J.; Lu, Q.; Liu, J.; Yu, X. Predictive value of DCE-MRI and IVIM-DWI in osteosarcoma patients with neoadjuvant chemotherapy. Front. Oncol. 2022, 12, 967450. [Google Scholar] [CrossRef]
- Teo, K.Y.; Daescu, O.; Cederberg, K.; Sengupta, A.; Leavey, P.J. Correlation of histopathology and multi-modal magnetic resonance imaging in childhood osteosarcoma: Predicting tumor response to chemotherapy. PLoS ONE 2022, 17, e0259564. [Google Scholar] [CrossRef]
- Lee, J.H.; Yoo, G.S.; Yoon, Y.C.; Park, H.C.; Kim, H.S. Diffusion-weighted and dynamic contrast-enhanced magnetic resonance imaging after radiation therapy for bone metastases in patients with hepatocellular carcinoma. Sci. Rep. 2021, 11, 10459. [Google Scholar] [CrossRef]
- Habre, C.; Dabadie, A.; Loundou, A.D.; Banos, J.B.; Desvignes, C.; Pico, H.; Aschero, A.; Colavolpe, N.; Seiler, C.; Bouvier, C.; et al. Diffusion-weighted imaging in differentiating mid-course responders to chemotherapy for long-bone osteosarcoma compared to the histologic response: An update. Pediatr. Radiol. 2021, 51, 1714–1723. [Google Scholar] [CrossRef]
- Gong, X.Q.; Tao, Y.Y.; Wang, R.; Liu, N.; Huang, X.H.; Zheng, J.; Yang, C.; Yang, L.; Zhang, X.M. Application of Diffusion Weighted Imaging in Prostate Cancer Bone Metastasis: Detection and Therapy Evaluation. Anti-Cancer Agents Med. Chem. 2021, 21, 1950–1956. [Google Scholar] [CrossRef]
- Yuan, W.; Yu, Q.; Wang, Z.; Huang, J.; Wang, J.; Long, L. Efficacy of Diffusion-Weighted Imaging in Neoadjuvant Chemotherapy for Osteosarcoma: A Systematic Review and Meta-Analysis. Acad. Radiol. 2022, 29, 326–334. [Google Scholar] [CrossRef] [PubMed]
- Hao, Y.; An, R.; Xue, Y.; Li, F.; Wang, H.; Zheng, J.; Fan, L.; Liu, J.; Fan, H.; Yin, H. Prognostic value of tumoral and peritumoral magnetic resonance parameters in osteosarcoma patients for monitoring chemotherapy response. Eur. Radiol. 2021, 31, 3518–3529. [Google Scholar] [CrossRef] [PubMed]
- Asmar, K.; Saade, C.; Salman, R.; Saab, R.; Khoury, N.J.; Abboud, M.; Tamim, H.; Makki, M.; Naffaa, L. The value of diffusion weighted imaging and apparent diffusion coefficient in primary Osteogenic and Ewing sarcomas for the monitoring of response to treatment: Initial experience. Eur. J. Radiol. 2020, 124, 108855. [Google Scholar] [CrossRef]
- Baidya Kayal, E.; Kandasamy, D.; Khare, K.; Bakhshi, S.; Sharma, R.; Mehndiratta, A. Intravoxel incoherent motion (IVIM) for response assessment in patients with osteosarcoma undergoing neoadjuvant chemotherapy. Eur. J. Radiol. 2019, 119, 108635. [Google Scholar] [CrossRef]
- Musio, D.; De Francesco, I.; Galdieri, A.; Marsecano, C.; Piciocchi, A.; Napoli, A.; De Felice, F.; Tombolini, V. Diffusion-weighted magnetic resonance imaging in painful bone metastases: Using quantitative apparent diffusion coefficient as an indicator of effectiveness of single fraction versus multiple fraction radiotherapy. Eur. J. Radiol. 2018, 98, 1–6. [Google Scholar] [CrossRef] [PubMed]
- Degnan, A.J.; Chung, C.Y.; Shah, A.J. Quantitative diffusion-weighted magnetic resonance imaging assessment of chemotherapy treatment response of pediatric osteosarcoma and Ewing sarcoma malignant bone tumors. Clin. Imaging 2018, 47, 9–13. [Google Scholar] [CrossRef] [PubMed]
- Moustafa, A.F.I.; Eldaly, M.M.; Zeitoun, R.; Shokry, A. Is MRI diffusion-weighted imaging a reliable tool for the diagnosis and post-therapeutic follow-up of extremity soft tissue neoplasms? Indian J. Radiol. Imaging 2019, 29, 378–385. [Google Scholar] [CrossRef]
- Erber, B.M.; Reidler, P.; Goller, S.S.; Ricke, J.; Dürr, H.R.; Klein, A.; Lindner, L.; Di Gioia, D.; Geith, T.; Baur-Melnyk, A.; et al. Impact of Dynamic Contrast Enhanced and Diffusion-Weighted MR Imaging on Detection of Early Local Recurrence of Soft Tissue Sarcoma. J. Magn. Reson. Imaging 2023, 57, 622–630. [Google Scholar] [CrossRef]
- Habre, C.; Botti, P.; Laurent, M.; Ceroni, D.; Toso, S.; Hanquinet, S. Benefits of diffusion-weighted imaging in pediatric acute osteoarticular infections. Pediatr. Radiol. 2022, 52, 1086–1094. [Google Scholar] [CrossRef]
- Kruk, K.A.; Dietrich, T.J.; Wildermuth, S.; Leschka, S.; Toepfer, A.; Waelti, S.; Kim, C.O.; Güsewell, S.; Fischer, T. Diffusion-Weighted Imaging Distinguishes Between Osteomyelitis, Bone Marrow Edema, and Healthy Bone on Forefoot Magnetic Resonance Imaging. J. Magn. Reson. Imaging 2022, 56, 1571–1579. [Google Scholar] [CrossRef]
- Diez, A.I.G.; Fuster, D.; Morata, L.; Torres, F.; Garcia, R.; Poggio, D.; Sotes, S.; Del Amo, M.; Isern-Kebschull, J.; Pomes, J.; et al. Comparison of the diagnostic accuracy of diffusion-weighted and dynamic contrast-enhanced MRI with (18)F-FDG PET/CT to differentiate osteomyelitis from Charcot neuro-osteoarthropathy in diabetic foot. Eur. J. Radiol. 2020, 132, 109299. [Google Scholar] [CrossRef] [PubMed]
- Eren, M.A.; Karakaş, E.; Torun, A.N.; Sabuncu, T. The Clinical Value of Diffusion-Weighted Magnetic Resonance Imaging in Diabetic Foot Infection. J. Am. Podiatr. Med. Assoc. 2019, 109, 277–281. [Google Scholar] [CrossRef] [PubMed]
- Dumont, R.A.; Keen, N.N.; Bloomer, C.W.; Schwartz, B.S.; Talbott, J.; Clark, A.J.; Wilson, D.M.; Chin, C.T. Clinical Utility of Diffusion-Weighted Imaging in Spinal Infections. Clin. Neuroradiol. 2019, 29, 515–522. [Google Scholar] [CrossRef]
- Unal, O.; Koparan, H.I.; Avcu, S.; Kalender, A.M.; Kisli, E. The diagnostic value of diffusion-weighted magnetic resonance imaging in soft tissue abscesses. Eur. J. Radiol. 2011, 77, 490–494. [Google Scholar] [CrossRef]
- Harish, S.; Chiavaras, M.M.; Kotnis, N.; Rebello, R. MR imaging of skeletal soft tissue infection: Utility of diffusion-weighted imaging in detecting abscess formation. Skelet. Radiol. 2011, 40, 285–294. [Google Scholar] [CrossRef]
- Chun, C.W.; Jung, J.Y.; Baik, J.S.; Jee, W.H.; Kim, S.K.; Shin, S.H. Detection of soft-tissue abscess: Comparison of diffusion-weighted imaging to contrast-enhanced MRI. J. Magn. Reson. Imaging 2018, 47, 60–68. [Google Scholar] [CrossRef] [PubMed]
- Guo, C.; Zheng, K.; Xie, Z.; Lu, X.; Wu, S.; Ye, Q.; He, Y.; Zhou, Q.; Sun, E.; Zhao, Y. Intravoxel incoherent motion diffusion-weighted imaging as a quantitative tool for evaluating disease activity in patients with axial spondyloarthritis. Clin. Radiol. 2022, 77, e434–e441. [Google Scholar] [CrossRef] [PubMed]
- Liu, L.; Zhou, Z.; Hua, S.; Xue, L.; Zhu, J.; Liu, R.; Li, Y. Detection of the disease activity with ankylosing spondylitis through intravoxel incoherent motion diffusion-weighted MR imaging of sacroiliac joint. Br. J. Radiol. 2022, 95, 20211074. [Google Scholar] [CrossRef] [PubMed]
- Chung, H.Y.; Chan, S.C.W.; Lee, K.H.; Tsang, H.H.L.; Ng, L.L.; Lau, C.S. Both ASDAS and ADC are associated with spinal mobility in active axial spondyloarthritis: A comparison between early and later disease. Int. J. Rheum. Dis. 2022, 25, 317–326. [Google Scholar] [CrossRef]
- Giraudo, C.; Kainberger, F.; Boesen, M.; Trattnig, S. Quantitative Imaging in Inflammatory Arthritis: Between Tradition and Innovation. Semin. Musculoskelet. Radiol. 2020, 24, 337–354. [Google Scholar] [CrossRef] [PubMed]
- Zhang, H.; Huang, H.; Zhang, Y.; Tu, Z.; Xiao, Z.; Chen, J.; Cao, D. Diffusion-Weighted MRI to Assess Sacroiliitis: Improved Image Quality and Diagnostic Performance of Readout-Segmented Echo-Planar Imaging (EPI) Over Conventional Single-Shot EPI. AJR Am. J. Roentgenol. 2021, 217, 450–459. [Google Scholar] [CrossRef] [PubMed]
- Wang, D.; Yin, H.; Liu, W.; Li, Z.; Ren, J.; Wang, K.; Han, D. Comparative analysis of the diagnostic values of T2 mapping and diffusion-weighted imaging for sacroiliitis in ankylosing spondylitis. Skelet. Radiol. 2020, 49, 1597–1606. [Google Scholar] [CrossRef] [PubMed]
- Barendregt, A.M.; Mazzoli, V.; van Gulik, E.C.; Schonenberg-Meinema, D.; Nassar-Sheikh Al Rashid, A.; Nusman, C.M.; Dolman, K.M.; van den Berg, J.M.; Kuijpers, T.W.; Nederveen, A.J.; et al. Juvenile Idiopathic Arthritis: Diffusion-weighted MRI in the Assessment of Arthritis in the Knee. Radiology 2020, 295, 373–380. [Google Scholar] [CrossRef] [PubMed]
- Tanaka, Y.; Fujimori, M.; Murakami, K.; Sugimori, H.; Oki, N.; Aoki, T.; Kamishima, T. Computed diffusion-weighted imaging for differentiating synovial proliferation from joint effusion in hand arthritis. Rheumatol. Int. 2019, 39, 2111–2118. [Google Scholar] [CrossRef]
- Shi, Z.; Han, J.; Qin, J.; Zhang, Y. Clinical application of diffusion-weighted imaging and dynamic contrast-enhanced MRI in assessing the clinical curative effect of early ankylosing spondylitis. Medicine 2019, 98, e15227. [Google Scholar] [CrossRef]
- Li, M.; Sauer, A.; Holl-Wieden, A.; Pabst, T.; Neubauer, H. Diagnostic value of diffusion-weighted MRI for imaging synovitis in pediatric patients with inflammatory conditions of the knee joint. World J. Pediatr. 2020, 16, 60–67. [Google Scholar] [CrossRef]
- Lee, K.H.; Chung, H.Y.; Xu, X.; Lau, V.W.H.; Lau, C.S. Apparent Diffusion Coefficient as an Imaging Biomarker for Spinal Disease Activity in Axial Spondyloarthritis. Radiology 2019, 291, 121–128. [Google Scholar] [CrossRef]
- Fujimori, M.; Murakami, K.; Sugimori, H.; Lu, Y.; Sutherland, K.; Oki, N.; Aoki, T.; Kamishima, T. Intravoxel incoherent motion MRI for discrimination of synovial proliferation in the hand arthritis: A prospective proof-of-concept study. J. Magn. Reson. Imaging 2019, 50, 1199–1206. [Google Scholar] [CrossRef]
- Faruch, M.; Garcia, A.I.; Del Amo, M.; Pomes, J.; Isern, J.; González, S.P.; Grau, J.M.; Milisenda, J.C.; Tomas, X. Diffusion-weighted magnetic resonance imaging is useful for assessing inflammatory myopathies. Muscle Nerve 2019, 59, 555–560. [Google Scholar] [CrossRef]
- Chan, C.W.S.; Tsang, H.H.L.; Li, P.H.; Lee, K.H.; Lau, C.S.; Wong, P.Y.S.; Chung, H.Y. Diffusion-weighted imaging versus short tau inversion recovery sequence: Usefulness in detection of active sacroiliitis and early diagnosis of axial spondyloarthritis. PLoS ONE 2018, 13, e0201040. [Google Scholar] [CrossRef] [PubMed]
- Bradbury, L.A.; Hollis, K.A.; Gautier, B.; Shankaranarayana, S.; Robinson, P.C.; Saad, N.; KA, L.C.; Brown, M.A. Diffusion-weighted Imaging Is a Sensitive and Specific Magnetic Resonance Sequence in the Diagnosis of Ankylosing Spondylitis. J. Rheumatol. 2018, 45, 771–778. [Google Scholar] [CrossRef] [PubMed]
- Subhawong, T.K.; Jacobs, M.A.; Fayad, L.M. Diffusion-weighted MR imaging for characterizing musculoskeletal lesions. Radiogr. A Rev. Publ. Radiol. Soc. N. Am. Inc 2014, 34, 1163–1177. [Google Scholar] [CrossRef] [PubMed]
- Lin, W.C.; Chen, J.H. Pitfalls and Limitations of Diffusion-Weighted Magnetic Resonance Imaging in the Diagnosis of Urinary Bladder Cancer. Transl. Oncol. 2015, 8, 217–230. [Google Scholar] [CrossRef]
- Ashikyan, O.; Chalian, M.; Moore, D.; Xi, Y.; Pezeshk, P.; Chhabra, A. Evaluation of giant cell tumors by diffusion weighted imaging-fractional ADC analysis. Skelet. Radiol. 2019, 48, 1765–1773. [Google Scholar] [CrossRef]
- Spierenburg, G.; Suevos Ballesteros, C.; Stoel, B.C.; Navas Cañete, A.; Gelderblom, H.; van de Sande, M.A.J.; van Langevelde, K. MRI of diffuse-type tenosynovial giant cell tumour in the knee: A guide for diagnosis and treatment response assessment. Insights Imaging 2023, 14, 22. [Google Scholar] [CrossRef]
- Messina, C.; Bignone, R.; Bruno, A.; Bruno, A.; Bruno, F.; Calandri, M.; Caruso, D.; Coppolino, P.; Robertis, R.; Gentili, F.; et al. Diffusion-Weighted Imaging in Oncology: An Update. Cancers 2020, 12, 1493. [Google Scholar] [CrossRef] [PubMed]
- Chaturvedi, A. Pediatric skeletal diffusion-weighted magnetic resonance imaging: Part 1—technical considerations and optimization strategies. Pediatr. Radiol. 2021, 51, 1562–1574. [Google Scholar] [CrossRef]
- Dallaudière, B.; Lecouvet, F.; Vande Berg, B.; Omoumi, P.; Perlepe, V.; Cerny, M.; Malghem, J.; Larbi, A. Diffusion-weighted MR imaging in musculoskeletal diseases: Current concepts. Diagn. Interv. Imaging 2015, 96, 327–340. [Google Scholar] [CrossRef]
- Yao, K.; Troupis, J.M. Diffusion-weighted imaging and the skeletal system: A literature review. Clin. Radiol. 2016, 71, 1071–1082. [Google Scholar] [CrossRef]
- Bhojwani, N.; Szpakowski, P.; Partovi, S.; Maurer, M.H.; Grosse, U.; von Tengg-Kobligk, H.; Zipp-Partovi, L.; Fergus, N.; Kosmas, C.; Nikolaou, K.; et al. Diffusion-weighted imaging in musculoskeletal radiology-clinical applications and future directions. Quant. Imaging Med. Surg. 2015, 5, 740–753. [Google Scholar] [CrossRef] [PubMed]
- Fukuda, T.; Wengler, K.; de Carvalho, R.; Boonsri, P.; Schweitzer, M.E. MRI biomarkers in osseous tumors. J. Magn. Reson. Imaging 2019, 50, 702–718. [Google Scholar] [CrossRef] [PubMed]
- Howe, B.M.; Broski, S.M.; Littrell, L.A.; Pepin, K.M.; Wenger, D.E. Quantitative Musculoskeletal Tumor Imaging. Semin. Musculoskelet. Radiol. 2020, 24, 428–440. [Google Scholar] [CrossRef]
- Gulati, V.; Chhabra, A. Qualitative and Quantitative MRI Techniques for the Evaluation of Musculoskeletal Neoplasms. Semin. Roentgenol. 2022, 57, 291–305. [Google Scholar] [CrossRef]
- Latour, L.L.; Svoboda, K.; Mitra, P.P.; Sotak, C.H. Time-dependent diffusion of water in a biological model system. Proc. Natl. Acad. Sci. USA 1994, 91, 1229–1233. [Google Scholar] [CrossRef] [PubMed]
- Dietrich, O.; Biffar, A.; Reiser, M.F.; Baur-Melnyk, A. Diffusion-weighted imaging of bone marrow. Semin. Musculoskelet. Radiol. 2009, 13, 134–144. [Google Scholar] [CrossRef] [PubMed]
- Ahlawat, S.; Fayad, L.M. Diffusion weighted imaging demystified: The technique and potential clinical applications for soft tissue imaging. Skelet. Radiol. 2018, 47, 313–328. [Google Scholar] [CrossRef]
- Fayad, L.M.; Jacobs, M.A.; Wang, X.; Carrino, J.A.; Bluemke, D.A. Musculoskeletal tumors: How to use anatomic, functional, and metabolic MR techniques. Radiology 2012, 265, 340–356. [Google Scholar] [CrossRef]
- Le Bihan, D.; Breton, E.; Lallemand, D.; Aubin, M.L.; Vignaud, J.; Laval-Jeantet, M. Separation of diffusion and perfusion in intravoxel incoherent motion MR imaging. Radiology 1988, 168, 497–505. [Google Scholar] [CrossRef]
- Baur, A.; Huber, A.; Arbogast, S.; Dürr, H.R.; Zysk, S.; Wendtner, C.; Deimling, M.; Reiser, M. Diffusion-weighted imaging of tumor recurrencies and posttherapeutical soft-tissue changes in humans. Eur. Radiol. 2001, 11, 828–833. [Google Scholar] [CrossRef]
- Bley, T.A.; Wieben, O.; Uhl, M. Diffusion-weighted MR imaging in musculoskeletal radiology: Applications in trauma, tumors, and inflammation. Magn. Reson. Imaging Clin. N. Am. 2009, 17, 263–275. [Google Scholar] [CrossRef] [PubMed]
- Ahlawat, S.; Fayad, L.M. De Novo Assessment of Pediatric Musculoskeletal Soft Tissue Tumors: Beyond Anatomic Imaging. Pediatrics 2015, 136, e194–e202. [Google Scholar] [CrossRef] [PubMed]
- Le Bihan, D.; Breton, E.; Lallemand, D.; Grenier, P.; Cabanis, E.; Laval-Jeantet, M. MR imaging of intravoxel incoherent motions: Application to diffusion and perfusion in neurologic disorders. Radiology 1986, 161, 401–407. [Google Scholar] [CrossRef] [PubMed]
- Uhl, M.; Saueressig, U.; Koehler, G.; Kontny, U.; Niemeyer, C.; Reichardt, W.; Ilyasof, K.; Bley, T.; Langer, M. Evaluation of tumour necrosis during chemotherapy with diffusion-weighted MR imaging: Preliminary results in osteosarcomas. Pediatr. Radiol. 2006, 36, 1306–1311. [Google Scholar] [CrossRef]
- Reichardt, W.; Juettner, E.; Uhl, M.; Elverfeldt, D.V.; Kontny, U. Diffusion-weighted imaging as predictor of therapy response in an animal model of Ewing sarcoma. Investig. Radiol. 2009, 44, 298–303. [Google Scholar] [CrossRef]
- Gaspersic, N.; Sersa, I.; Jevtic, V.; Tomsic, M.; Praprotnik, S. Monitoring ankylosing spondylitis therapy by dynamic contrast-enhanced and diffusion-weighted magnetic resonance imaging. Skelet. Radiol. 2008, 37, 123–131. [Google Scholar] [CrossRef]
- Subhawong, T.K.; Jacobs, M.A.; Fayad, L.M. Insights into quantitative diffusion-weighted MRI for musculoskeletal tumor imaging. AJR Am. J. Roentgenol. 2014, 203, 560–572. [Google Scholar] [CrossRef]
- Subhawong, T.K.; Durand, D.J.; Thawait, G.K.; Jacobs, M.A.; Fayad, L.M. Characterization of soft tissue masses: Can quantitative diffusion weighted imaging reliably distinguish cysts from solid masses? Skelet. Radiol. 2013, 42, 1583–1592. [Google Scholar] [CrossRef]
- Atlas, S.W.; DuBois, P.; Singer, M.B.; Lu, D. Diffusion measurements in intracranial hematomas: Implications for MR imaging of acute stroke. AJNR Am. J. Neuroradiol. 2000, 21, 1190–1194. [Google Scholar]
- Kang, B.K.; Na, D.G.; Ryoo, J.W.; Byun, H.S.; Roh, H.G.; Pyeun, Y.S. Diffusion-weighted MR imaging of intracerebral hemorrhage. Korean J. Radiol. 2001, 2, 183–191. [Google Scholar] [CrossRef]
- Silvera, S.; Oppenheim, C.; Touzé, E.; Ducreux, D.; Page, P.; Domigo, V.; Mas, J.L.; Roux, F.X.; Frédy, D.; Meder, J.F. Spontaneous intracerebral hematoma on diffusion-weighted images: Influence of T2-shine-through and T2-blackout effects. AJNR Am. J. Neuroradiol. 2005, 26, 236–241. [Google Scholar]
- Schaefer, P.W.; Grant, P.E.; Gonzalez, R.G. Diffusion-weighted MR imaging of the brain. Radiology 2000, 217, 331–345. [Google Scholar] [CrossRef] [PubMed]
- Oka, K.; Yakushiji, T.; Sato, H.; Yorimitsu, S.; Hayashida, Y.; Yamashita, Y.; Mizuta, H. Ability of diffusion-weighted imaging for the differential diagnosis between chronic expanding hematomas and malignant soft tissue tumors. J. Magn. Reson. Imaging 2008, 28, 1195–1200. [Google Scholar] [CrossRef] [PubMed]
- Chhabra, A.; Ashikyan, O.; Slepicka, C.; Dettori, N.; Hwang, H.; Callan, A.; Sharma, R.R.; Xi, Y. Conventional MR and diffusion-weighted imaging of musculoskeletal soft tissue malignancy: Correlation with histologic grading. Eur. Radiol. 2019, 29, 4485–4494. [Google Scholar] [CrossRef] [PubMed]
- Jeong, H.S.; Lee, S.K.; Kim, J.Y.; Yoo, C.; Joo, M.W.; Kim, J.H. Tenosynovial giant cell tumors of digits: MRI differentiation between localized types and diffuse types with pathology correlation. Skelet. Radiol. 2023, 52, 593–603. [Google Scholar] [CrossRef] [PubMed]
- Kim, J.H.; Lee, S.K.; Kim, J.Y. MRI Prediction Model for Tenosynovial Giant Cell Tumor with Risk of Diffuse-type. Acad. Radiol. 2023; in press. [Google Scholar] [CrossRef]
- Modic, M.T.; Steinberg, P.M.; Ross, J.S.; Masaryk, T.J.; Carter, J.R. Degenerative disk disease: Assessment of changes in vertebral body marrow with MR imaging. Radiology 1988, 166, 193–199. [Google Scholar] [CrossRef]
- Braithwaite, I.; White, J.; Saifuddin, A.; Renton, P.; Taylor, B.A. Vertebral end-plate (Modic) changes on lumbar spine MRI: Correlation with pain reproduction at lumbar discography. Eur. Spine J. Off. Publ. Eur. Spine Soc. Eur. Spinal Deform. Soc. Eur. Sect. Cerv. Spine Res. Soc. 1998, 7, 363–368. [Google Scholar] [CrossRef]
- Oztekin, O.; Calli, C.; Kitis, O.; Adibelli, Z.H.; Eren, C.S.; Apaydin, M.; Zileli, M.; Yurtseven, T. Reliability of diffusion weighted MR imaging in differentiating degenerative and infectious end plate changes. Radiol. Oncol. 2010, 44, 97–102. [Google Scholar] [CrossRef]
- Patel, K.B.; Poplawski, M.M.; Pawha, P.S.; Naidich, T.P.; Tanenbaum, L.N. Diffusion-weighted MRI “claw sign” improves differentiation of infectious from degenerative modic type 1 signal changes of the spine. AJNR Am. J. Neuroradiol. 2014, 35, 1647–1652. [Google Scholar] [CrossRef]
- Nonomura, Y.; Yasumoto, M.; Yoshimura, R.; Haraguchi, K.; Ito, S.; Akashi, T.; Ohashi, I. Relationship between bone marrow cellularity and apparent diffusion coefficient. J. Magn. Reson. Imaging 2001, 13, 757–760. [Google Scholar] [CrossRef] [PubMed]















| Stage | Component | Age | T1WI | T2WI | DWI | ADC Map |
|---|---|---|---|---|---|---|
| Hyperacute | Intracellular oxyhemoglobin | <6 h | Iso | Hyper | Hyper | Hypo |
| Acute | Intracellular deoxyhemoglobin | 6–72 h | Iso | Hypo | Hypo | Hypo |
| Early subacute | Intracellular methemoglobin | 3–7 d | Hyper | Hypo | Hypo | Hypo |
| Late subacute | Extracellular methemoglobin | 1–4 w | Hyper | Hyper | Hyper | Hypo-to-iso |
| Chronic | Hemosiderin | >1 m | Hypo | Hypo | Hypo | Hypo |
| Lesions | Pitfalls | Content |
|---|---|---|
| Benign cyst | T2 shine-through | Free water |
| Hematoma | ||
| Acute stage | T2 black-out | Deoxyhemoglobin |
| Early subacute stage | T2 black-out | Intracellular methemoglobin |
| Chronic stage | T2 black-out | Hemosiderin |
| Benign tumors | ||
| Non-ossifying fibroma | T2 black-out | Collagen fibers |
| Giant-cell tumor | T2 black-out | Hemosiderin |
| Gouty tophi | T2 black-out | Monosodium urate crystal |
| Modic type 1 vertebral endplate change | T2 black-out | Lipid laden cells |
Disclaimer/Publisher’s Note: The statements, opinions and data contained in all publications are solely those of the individual author(s) and contributor(s) and not of MDPI and/or the editor(s). MDPI and/or the editor(s) disclaim responsibility for any injury to people or property resulting from any ideas, methods, instructions or products referred to in the content. |
© 2023 by the authors. Licensee MDPI, Basel, Switzerland. This article is an open access article distributed under the terms and conditions of the Creative Commons Attribution (CC BY) license (https://creativecommons.org/licenses/by/4.0/).
Share and Cite
Kim, Y.; Lee, S.K.; Kim, J.-Y.; Kim, J.-H. Pitfalls of Diffusion-Weighted Imaging: Clinical Utility of T2 Shine-through and T2 Black-out for Musculoskeletal Diseases. Diagnostics 2023, 13, 1647. https://doi.org/10.3390/diagnostics13091647
Kim Y, Lee SK, Kim J-Y, Kim J-H. Pitfalls of Diffusion-Weighted Imaging: Clinical Utility of T2 Shine-through and T2 Black-out for Musculoskeletal Diseases. Diagnostics. 2023; 13(9):1647. https://doi.org/10.3390/diagnostics13091647
Chicago/Turabian StyleKim, Yuri, Seul Ki Lee, Jee-Young Kim, and Jun-Ho Kim. 2023. "Pitfalls of Diffusion-Weighted Imaging: Clinical Utility of T2 Shine-through and T2 Black-out for Musculoskeletal Diseases" Diagnostics 13, no. 9: 1647. https://doi.org/10.3390/diagnostics13091647
APA StyleKim, Y., Lee, S. K., Kim, J.-Y., & Kim, J.-H. (2023). Pitfalls of Diffusion-Weighted Imaging: Clinical Utility of T2 Shine-through and T2 Black-out for Musculoskeletal Diseases. Diagnostics, 13(9), 1647. https://doi.org/10.3390/diagnostics13091647

