Clinical Consideration of Anatomical Variations in the Common Hepatic Arteries: An Analysis Using MDCT Angiography
Abstract
1. Introduction
2. Materials and Methods
2.1. Patient Selection
2.2. CT Scanning Protocols
2.3. Contrast Material Injection
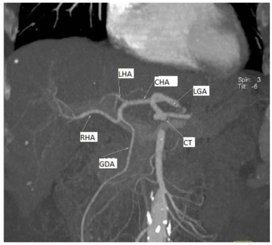
2.4. Qualitative Image Analysis
2.5. Statistical Analysis
3. Results
3.1. Age and Sex Parameters
3.2. Level of Origin
3.3. Aspects of the Morphological Variability of the Celiac Trunk and the Superior Mesenteric Artery Associated with Replaced Common Hepatic Arteries
- A gastro–splenic trunk associated with the independent origin of the RCHA from the AA in 68.42% of cases (52 cases);
- CT absent as a morphological entity, with an independent origin of the CHA, the LGA, and the SA from the AA in 26.31% of cases (20 cases);
- A gastro–splenic–mesenteric trunk with an independent origin of the CHA in the AA in 1.31% of cases (one case);
- A common trunk formed by left gastric artery–gastroduodenal artery–splenic artery (LGA–GDA–SA), associated with an independent origin of the RCHA from the AA in 1.31% of cases with a RCHA (one case);
- A gastro–phreno–splenic trunk associated with an independent origin of the SMA from which originated the RCHA, with the presence of a complete inversus site in 1.31% of cases (one case);
- A gastro–splenic trunk associated with the origin of the RCHA from the LGA in 1.31% of cases (one case) (Figure 2).
3.4. Relations of RCHAs with Pancreatic Parenchyma, Hepatic Portal Vein and Superior Mesenteric Vein
4. Discussion
5. Conclusions
Author Contributions
Funding
Institutional Review Board Statement
Informed Consent Statement
Data Availability Statement
Acknowledgments
Conflicts of Interest
Appendix A. Abbreviations
| AA | Abdominal aorta |
| CHA | Common hepatic artery |
| CT | Coeliac trunk |
| GDA | Gastroduodenal artery |
| GST | Gastro–splenic trunk |
| HPV | Hepatic portal vein |
| LGA | Left gastric artery |
| LHA | Left hepatic artery |
| MDCT | Multi detector computed tomography |
| MIP | Maximum intensity projection |
| MPR | Multiplanar reformation |
| RCHA | Replaced common hepatic artery |
| RHA | Right hepatic artery |
| SA | Splenic artery |
| SMA | Superior mesenteric artery |
| SMV | Superior mesenteric vein |
| SSD | Shading surface reconstruction |
| VRT | Volume-rendering techniques |
References
- Suzuki, T.; Nakayasu, A.; Kawabe, K.; Takeda, H.; Honjo, I. Surgical Significance of Anatomic Variations of the Hepatic Artery. Am. J. Surg. 1971, 122, 505–512. [Google Scholar] [CrossRef]
- Eungjae, K. Replaced Common Hepatic Artery Variations: Anatomical Considerations and Implications for Surgery: A Review and Case Report. J. Surg. 2022, 7, 1582. [Google Scholar]
- Prakash; Rajini, T.; Mokhasi, V.; Geethanjali, B.S.; Sivacharan, P.V.; Shashirekha, M. Coeliac Trunk and Its Branches: Anatomical Variations and Clinical Implications. Singap. Med. J. 2012, 53, 329–331. [Google Scholar]
- Panagouli, E.; Venieratos, D.; Lolis, E.; Skandalakis, P. Variations in the anatomy of the celiac trunk: A systematic review and clinical implications. Ann. Anat. 2013, 195, 501–511. [Google Scholar] [CrossRef]
- Durur-Karakaya, A.; Kantarci, M.; Yalcin, A.; Demir, B.; Yuce, İ. A Rare Variation of Hepatic Arteries (Michels Type IV): MDCT Angiographic Findings. Eurasian J. Med. 2009, 41, 142. [Google Scholar]
- Löschner, C.; Nagel, S.N.; Kausche, S.; Teichgräber, U. Hepatic arterial supply in 1297 CT-angiographies. Rofo 2015, 187, 276–282. [Google Scholar] [CrossRef]
- Ishigami, K.; Nishie, A.; Asayama, Y.; Ushijima, Y.; Takayama, Y.; Okamoto, D.; Fujita, N.; Yoshizumi, T.; Harimoto, N.; Ohtsuka, T.; et al. The Prevalence of Transpancreatic Common Hepatic Artery and Coexisting Variant Anatomy: Transpancreatic Common Hepatic Artery. Clin. Anat. 2018, 31, 598–604. [Google Scholar] [CrossRef]
- Lipshutz, B. A composite study of the celiac axis artery. Ann Surg. 1917, 65, 159–169. [Google Scholar] [CrossRef]
- Eaton, P.B. The Coeliac Axis. Anat. Rec. 1917, 13, 369–374. [Google Scholar] [CrossRef]
- Morita, M. Reports and conception of three anomalous cases on the area of the celiac and the superior mesenteric arteries. Igaku Kenkyu (Acta Med.) 1935, 9, 1993–2006. [Google Scholar]
- Michels, N.A. Blood Supply and Anatomy of the Upper Abdominal Organs, with a Descriptive Atlas; Lippincott: Philadelphia, PA, USA, 1955; pp. 139–143. [Google Scholar]
- Standring, S. Gray’s Anatomy: The Anatomical Basis of Clinical Practice, 41st ed.; Elsevier Limited: Amsterdam, The Netherlands, 2016. [Google Scholar]
- Ha, H.I.; Kim, M.-J.; Kim, J.; Park, S.-Y.; Lee, K.; Jeon, J.Y. Replaced Common Hepatic Artery from the Superior Mesenteric Artery: Multidetector Computed Tomography (MDCT) Classification Focused on Pancreatic Penetration and the Course of Travel. Surg. Radiol. Anat. 2016, 38, 655–662. [Google Scholar] [CrossRef]
- Megally, H.I.; Badran, Y.M.; Abdelal, S.M.; Koriem, E.M. Role of MDCT Angiography in Assessment of Vascular Variant in Potential Living Liver Donor Transplantation. Egypt. J. Radiol. Nucl. Med. 2013, 44, 713–718. [Google Scholar] [CrossRef]
- Iezzi, R.; Cotroneo, A.R.; Giancristofaro, D.; Santoro, M.; Storto, M.L. Multidetector-row CT angiographic imaging of the celiac trunk: Anatomy and normal variants. Surg. Radiol. Anat. 2008, 30, 303–310. [Google Scholar] [CrossRef]
- World Medical Association. World Medical Association Declaration of Helsinki ethical principles dor medical research involving human subjects. JAMA 2013, 310, 2191–2194. [Google Scholar] [CrossRef]
- Khan, R.N.; Nuzhat, H.; Madeeha, S.; Muhammad, A. Morphometric Analysis of Celiac Trunk in Male and Female Adults of Karachi by Using 3D Multidetector Computed Tomography Angiography (MDCTA). J. Bahria Univ. Med. Dent. Coll. 2021, 7, 231–236. [Google Scholar]
- Zimmitti, G.; Manzoni, A.; Codignola, C.; Postiglione, V.; Garatti, M.; Rosso, E. How to Deal with Replaced Common Hepatic Artery during Laparoscopic Pancreaticoduodenectomy. Dig. Med. Res. 2019, 2, 4. [Google Scholar] [CrossRef]
- Winston, C.B.; Lee, N.A.; Jarnagin, W.R.; Teitcher, J.; DeMatteo, R.P.; Fong, Y.; Blumgart, L.H. CT Angiography for Delineation of Celiac and Superior Mesenteric Artery Variants in Patients Undergoing Hepatobiliary and Pancreatic Surgery. Am. J. Roentgenol. 2007, 189, 13–19. [Google Scholar] [CrossRef]
- Song, S.-Y.; Chung, J.W.; Yin, Y.H.; Jae, H.J.; Kim, H.-C.; Jeon, U.B.; Cho, B.H.; So, Y.H.; Park, J.H. Celiac Axis and Common Hepatic Artery Variations in 5002 Patients: Systematic Analysis with Spiral CT and DSA. Radiology 2010, 255, 278–288. [Google Scholar] [CrossRef]
- Thangarajah, A.; Parthasarathy, R. Celiac Axis, Common Hepatic and Hepatic Artery Variants as Evidenced on MDCT Angiography in South Indian Population. J. Clin. Diagn. Res. 2016, 10, TC01. [Google Scholar] [CrossRef]
- Cankal, F.; Kaya, M.; Guner, M.A. Evaluation of Celiac Trunk, Hepatic Artery Variations, and Their Collateral Arteries by Multi-Slice Computed Tomography. Sisli Etfal Hastan. Tip. Bul. 2021, 55, 217–223. [Google Scholar] [CrossRef]
- Hiatt, J.R.; Gabbay, J.; Busuttil, R.W. Surgical Anatomy of the Hepatic Arteries in 1000 Cases. Ann. Surg. 1994, 220, 50–52. [Google Scholar] [CrossRef] [PubMed]
- Malviya, K.K.; Verma, A.; Nayak, A.K.; Mishra, A.; More, R.S. Unraveling Variations in Celiac Trunk and Hepatic Artery by CT Angiography to Aid in Surgeries of Upper Abdominal Region. Diagnostics 2021, 11, 2262. [Google Scholar] [CrossRef] [PubMed]
- Ugurel, M.S.; Battal, B.; Bozlar, U.; Nural, M.S.; Tasar, M.; Ors, F.; Saglam, M.; Karademir, I. Anatomical variations of hepatic arterial system, coeliac trunk and renal arteries: An analysis with multidetector CT angiography. Br. J. Radiol. 2010, 83, 661–667. [Google Scholar] [CrossRef]
- Jah, A.; Jamieson, N.; Huguet, E.; Praseedom, R. The Implications of the Presence of an Aberrant Right Hepatic Artery in Patients Undergoing a Pancreaticoduodenectomy. Surg. Today 2009, 39, 669–674. [Google Scholar] [CrossRef]
- Yang, S.H.; Yin, Y.H.; Jang, J.-Y.; Lee, S.E.; Chung, J.W.; Suh, K.-S.; Lee, K.U.; Kim, S.-W. Assessment of Hepatic Arterial Anatomy in Keeping with Preservation of the Vasculature While Performing Pancreatoduodenectomy: An Opinion. World J. Surg. 2007, 31, 2384–2391. [Google Scholar] [CrossRef]
- Noussios, G.; Dimitriou, I.; Chatzis, I.; Katsourakis, A. The Main Anatomic Variations of the Hepatic Artery and Their Importance in Surgical Practice: Review of the Literature. J. Clin. Med. Res. 2017, 9, 248–252. [Google Scholar] [CrossRef] [PubMed]
- Kumar, S.; Pattnaik, B.; Borle, D. Intra Pancreatic Replaced Common Hepatic Artery: A Rare Anomaly and Its Clinical Implications. GHOA Gastroenterol. Hepatol. Open Access 2018, 9, 175. [Google Scholar] [CrossRef]
- Cinelli, L.; Felli, E.; Muttillo, E.M.; Fiorentini, G.; Diana, M.; Pessaux, P.; Felli, E. Prepancreatic Common Hepatic Artery Arising from Superior Mesenteric Artery: An Exceptional but Important Finding during Pancreaticoduodenectomy. Surg. Radiol. Anat. 2021, 43, 1413–1420. [Google Scholar] [CrossRef]
- Whitley, A.; Oliverius, M.; Kocián, P.; Havlůj, L.; Gürlich, R.; Kachlík, D. Variations of the celiac trunk investigated by multidetector computed tomography: Systematic review and meta-analysis with clinical correlations. Clin. Anat. 2020, 33, 1249–1262. [Google Scholar] [CrossRef]
- Sukumaran, T.T.; Joseph, S.; Ramakrishnan, S.; Mathew, A.J. Anatomical Variations of the Hepatic Artery in It’s Extra Hepatic Journey: A Cadaveric Study with Its Clinical Implications. Anat. Cell Biol. 2022, 55, 269–276. [Google Scholar] [CrossRef]
- Ghosh, S.K. Variations in the Origin of Middle Hepatic Artery: A Cadaveric Study and Implications for Living Donor Liver Transplantation. Anat. Cell Biol. 2014, 47, 188. [Google Scholar] [CrossRef]




| Variable | Female | % | Male | % | Total | % |
|---|---|---|---|---|---|---|
| Age group | 22 | 28.94 | 54 | 72.05 | 76 | 100 |
| 11–20 | 1 | 1.31 | 1 | 1.31 | 2 | 2.63 |
| 21–40 | 4 | 5.26 | 7 | 9.21 | 11 | 14.47 |
| 41–60 | 8 | 10.52 | 16 | 21.05 | 24 | 31.57 |
| 61–80 | 8 | 10.52 | 26 | 34,21 | 34 | 44.73 |
| over 80 | 1 | 1.31 | 4 | 5.26 | 5 | 6.57 |
| Disease | ||||||
| cardiovascular | 18 | 23.68 | 42 | 55.26 | 60 | 78.94 |
| respiratory | - | 2 | 2.63 | 2 | 2.63 | |
| renal | 2 | 2.63 | 2 | 2.63 | 4 | 5.26 |
| other | 2 | 2.63 | 8 | 10.52 | 10 | 13.15 |
| TOTAL | GSM Trunk | Absent CT | Gastro–Splenic Trunk | LGA–GDA–SA Trunk | Situs Inversus | ||
|---|---|---|---|---|---|---|---|
| A. EXTRAPANCREATIC | |||||||
| I. Superior to pancreas | |||||||
| Ia | Superior to HPV | 1 | - | - | 1 | - | - |
| Ib | Postero-superior to HPV | 55 | - | 18 | 37 | - | - |
| II. Posterior to pancreas | |||||||
| IIa | Posterior to HPV | 16 | - | 2 | 14 | - | - |
| IIb | Posterior to HPV and SMV | 1 | - | - | - | 1 | - |
| III. Inferior semicircular | |||||||
| IIIa | Extrapancreatic | 1 | - | - | - | - | 1 |
| B. TRANSPANCREATIC | |||||||
| IV. Transpancreatic | |||||||
| IVa | Anterior to confluent HPV and SMV | 1 | - | - | 1 | - | - |
| IVb | Anterior to SMV | 1 | 1 | - | - | - | - |
| TOTAL | 76 | 1 | 20 | 53 | 1 | 1 | |
Disclaimer/Publisher’s Note: The statements, opinions and data contained in all publications are solely those of the individual author(s) and contributor(s) and not of MDPI and/or the editor(s). MDPI and/or the editor(s) disclaim responsibility for any injury to people or property resulting from any ideas, methods, instructions or products referred to in the content. |
© 2023 by the authors. Licensee MDPI, Basel, Switzerland. This article is an open access article distributed under the terms and conditions of the Creative Commons Attribution (CC BY) license (https://creativecommons.org/licenses/by/4.0/).
Share and Cite
Bolintineanu, L.A.; Bolintineanu, S.L.; Iacob, N.; Zăhoi, D.-E. Clinical Consideration of Anatomical Variations in the Common Hepatic Arteries: An Analysis Using MDCT Angiography. Diagnostics 2023, 13, 1636. https://doi.org/10.3390/diagnostics13091636
Bolintineanu LA, Bolintineanu SL, Iacob N, Zăhoi D-E. Clinical Consideration of Anatomical Variations in the Common Hepatic Arteries: An Analysis Using MDCT Angiography. Diagnostics. 2023; 13(9):1636. https://doi.org/10.3390/diagnostics13091636
Chicago/Turabian StyleBolintineanu (Ghenciu), Laura Andreea, Sorin Lucian Bolintineanu, Nicoleta Iacob, and Delia-Elena Zăhoi. 2023. "Clinical Consideration of Anatomical Variations in the Common Hepatic Arteries: An Analysis Using MDCT Angiography" Diagnostics 13, no. 9: 1636. https://doi.org/10.3390/diagnostics13091636
APA StyleBolintineanu, L. A., Bolintineanu, S. L., Iacob, N., & Zăhoi, D.-E. (2023). Clinical Consideration of Anatomical Variations in the Common Hepatic Arteries: An Analysis Using MDCT Angiography. Diagnostics, 13(9), 1636. https://doi.org/10.3390/diagnostics13091636

