Ultrasound Assessment of Larynx and Trachea in the Neonatal Period, Examination Standard with Predictive Values—Study Protocol
Abstract
1. Introduction
2. Experimental Design
3. Materials and Equipment
- Gestational age ≥32 weeks.
- Gestational age <32 weeks;
- Presence of significant congenital anomalies;
- Intubated neonate;
- Unstable neonate.
4. Details of the Procedure
4.1. Test Methods
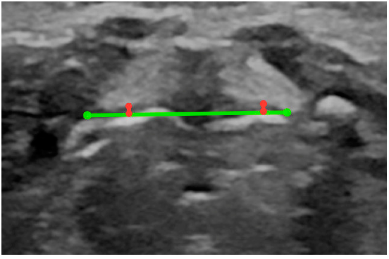
- Width of the larynx at the level of the glottis (measurement taken in the transverse plane from the external margins of the thyroid cartilage) (Figure A2);
- Depth of the larynx at the level of the glottis (measurement taken in the transverse view from the external margin of the thyroid cartilage to the external border of the annular cartilage) (Figure A2);
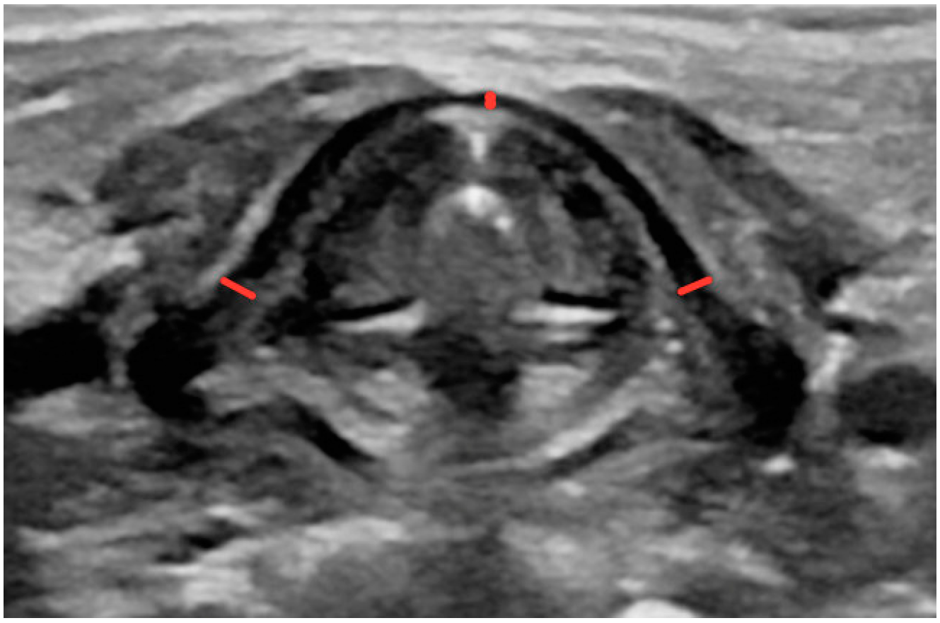
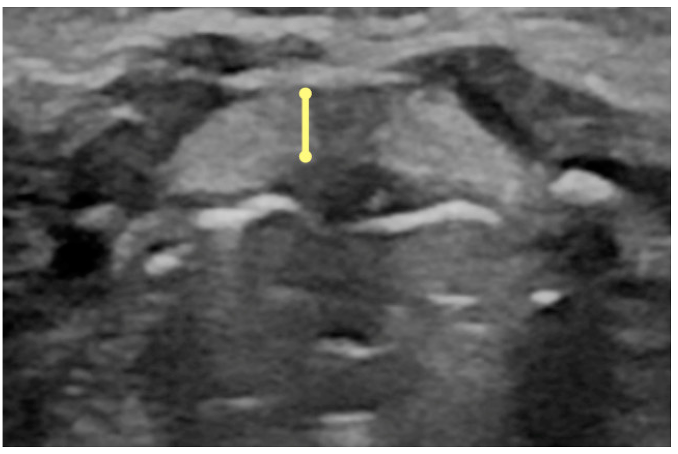
- Thickness of the thyroid cartilage in the midline and on both sides transversely at the level of the glottis (in the transverse plane measurement from external margins of thyroid cartilage and vertical measurement of thyroid cartilage above the anterior commissure at the level of well-visualized arytenoid cartilages in the transverse plane) (Figure A3);
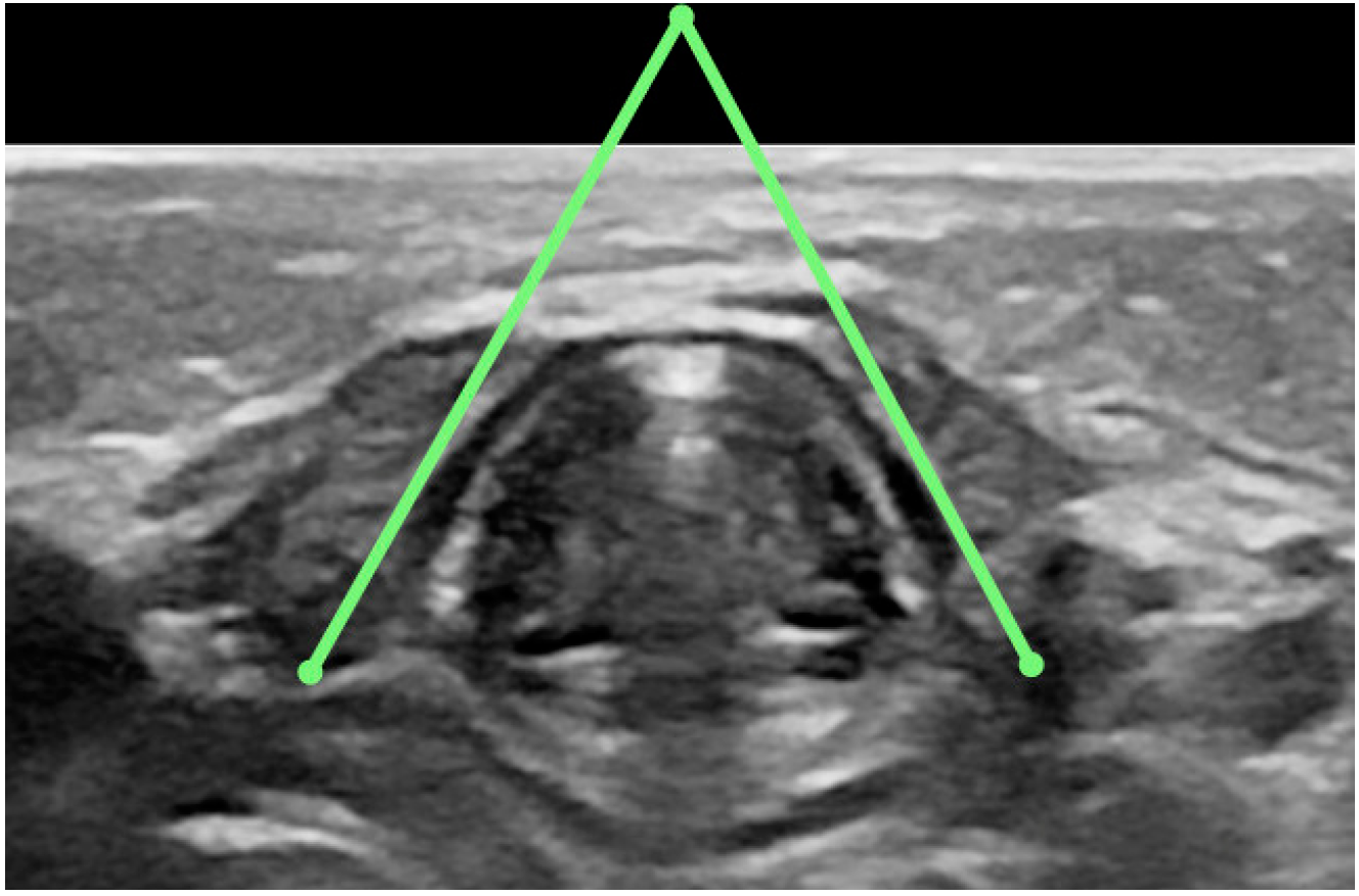
- Angle formed by the lamina of the thyroid cartilage (measurement taken in the transverse plane with two lines drawn tangentially to the thyroid laminae) (Figure A4);
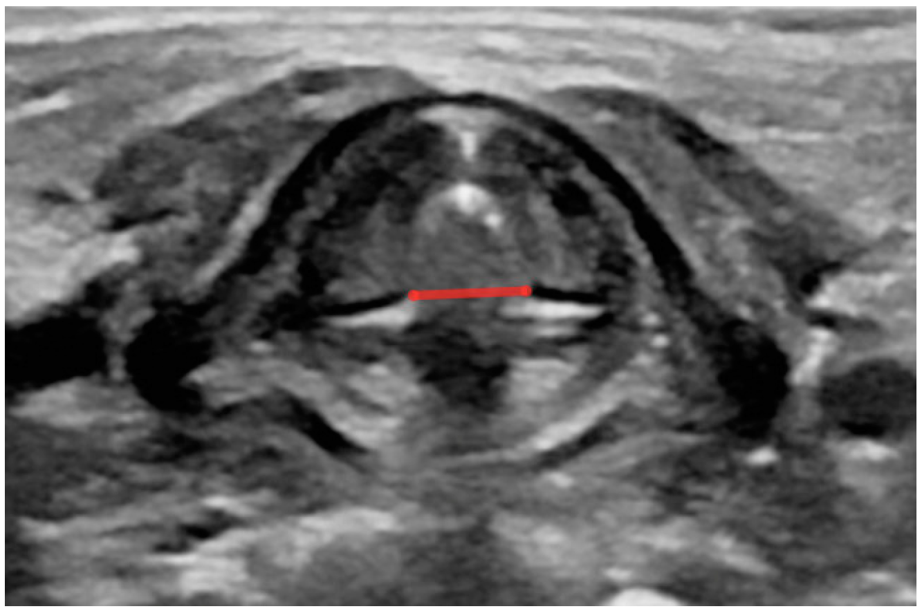
- Width of the glottis during calm breathing (measured in the transverse plane with lines drawn between two medial margins of arytenoid glands when they are farthest apart during breathing) (Figure A5);
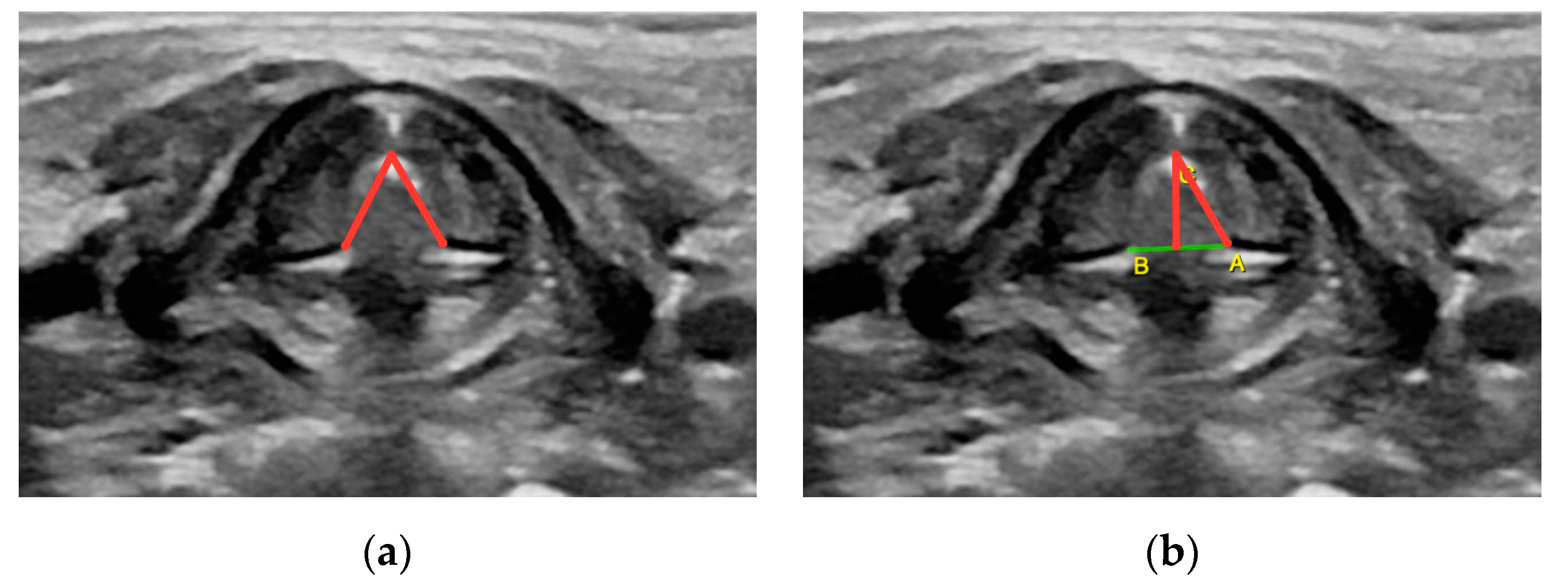
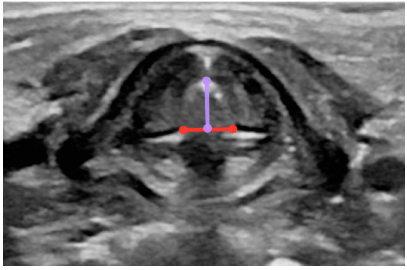
- Angle formed by the vocal cords during calm breathing, considering the opening angle of individual chords (measurement taken in the transverse plane with a line drawn from posterior part of the anterior commissure to the medial margins of the arytenoid gland) (Figure A6);
- Surface area of the glottis during calm exhalation (in order to avoid distorting the result of measuring the glottal area using the outline of its visible borders, this measurement will be taken by calculating the area of a triangle, the basis of which will be the width of the glottis, and the height will be the depth of the glottis measured from the posterior part of the anterior commissure to the line drawn to measure glottis width, measurement taken in the transverse plane) (Figure A7);
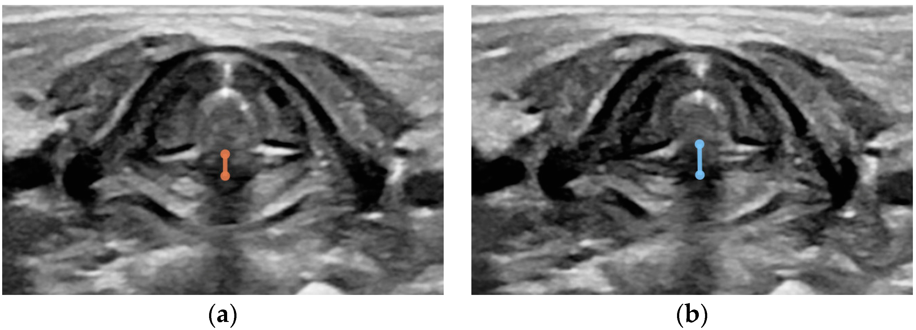
- Thickness of the arytenoid muscle during inhalation and exhalation (measurement taken in the transverse plane in the midline from the outer surfaces of this muscle) (Figure A8);
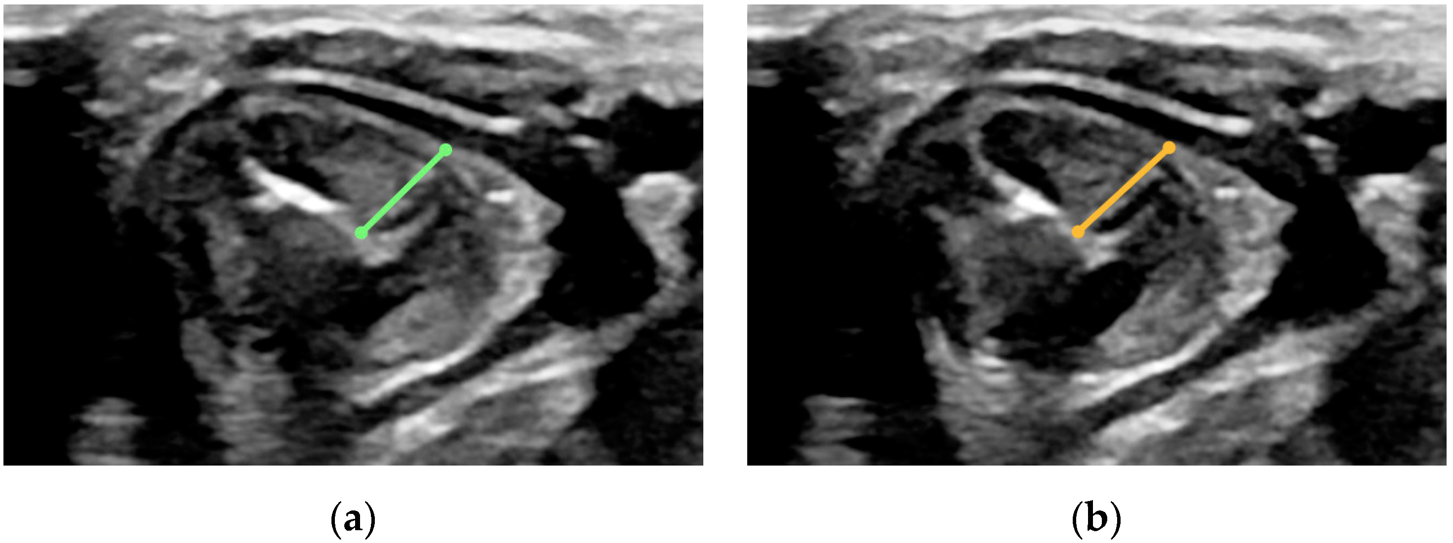
- Thickness of the vocal cords in transverse projections, tangentially to the midline (measure in the transverse, lateral plane, ventral and tangentially to the arytenoid cartilages) (Figure A9);
- Amplitude and duration of vocal cord movement during breathing at rest (measurement taken in the transverse, lateral plane, using M-mode as the distance between two lines drawn by the movement of the outer surface of the vocal cord—lighter than the surrounding lines);
- Width and depth of the trachea (measurement taken in the transverse plane of the longest transverse dimension of the trachea from the external edges of the tracheal cartilages and measurement of the longest depth of the trachea from the external margin of the tracheal cartilage to the outer part of the membranous wall) (Figure A10);
- Width and depth of the tracheal lumen (measurement made in the transverse plane of the longest transverse dimension and longest depth of the hypoechoic area limited by the inner edges of the tracheal cartilages and membranous wall of the trachea) (Figure A11);
- Thickness and width of the supraglottis (measurement taken in the transverse plane of the thickest and the widest visible part of the supraglottis) (Figure A12);
- Thickness of the preepiglottic space (measurement taken in the transverse plane of the thickest part) (Figure A13);
- Thickness of the infrahyoid muscles at the level of the thyroid cartilage and hyoid bone (measurement taken in the transverse view of the thickest dimension between the outer edges of thyrohyoid and sternohyoid muscles as a group of infrahyoid muscles in the transverse plane, at the level of well-visible hyoid bone and glottis) (Figure A14).
4.2. Analysis
5. Expected Results
6. Discussion
Author Contributions
Funding
Institutional Review Board Statement
Informed Consent Statement
Data Availability Statement
Acknowledgments
Conflicts of Interest
Appendix A














References
- Raghavendra, B.N.; Horii, S.C.; Reede, D.L.; Rumancik, W.M.; Persky, M.; Bergeron, T. Sonographic anatomy of the larynx, with particular reference to the vocal cords. J. Ultrasound Med. 1987, 6, 225–230. [Google Scholar] [CrossRef] [PubMed]
- Garel, C.; Hassan, M.; Legrand, I.; Elmaleh, M.; Narcy, P. Laryngeal ultrasonography in infants and children: Pathological findings. Pediatr. Radiol. 1991, 21, 164–167. [Google Scholar] [CrossRef] [PubMed]
- Hamilton, C.E.; Su, E.; Tawfik, D.; Fernandez, E.; Veten, A.; Conlon, T.; Ginsburg, S.; Mariano, K.; Sidell, D.; Haileselassie, B. Pediatric Research Collaborative on Critical Ultrasound (PeRCCUS). Assessment of Vocal Cord Motion Using Laryngeal Ultrasound in Children: A Systematic Review and Meta-Analysis. Pediatr. Crit. Care Med. 2021, 22, e532–e539. [Google Scholar] [CrossRef] [PubMed]
- Shibasaki, M.; Nakajima, Y.; Ishii, S.; Shimizu, F.; Shime, N.; Sessler, D.I. Prediction of Pediatric Endotracheal Tube Size by Ultrasonography. Anesthesiology 2010, 113, 819–824. [Google Scholar] [CrossRef] [PubMed]
- Huang, H.; Xia, C.; Hu, M.; Ma, T.; Zhu, Q.; Zhao, H. The Role of Laryngeal Ultrasound in Diagnosis of Infant Laryngomalacia. Int. J. Pediatr. Otorhinolaryngol. 2019, 124, 111–115. [Google Scholar] [CrossRef] [PubMed]
- Samprathi, M.; Baranwal, A.K.; Gupta, P.K.; Jayashree, M. Pre-extubation ultrasonographic measurement of intracricoid peritubal free space: A pilot study to predict post-extubation airway obstruction in children. Int. J. Pediatr. Otorhinolaryngol. 2020, 138, 110348. [Google Scholar] [CrossRef] [PubMed]
- Ongkasuwan, J.; Ocampo, E.; Tran, B. Laryngeal ultrasound and vocal fold movement in the pediatric cardiovascular intensive care unit. Laryngoscope 2016, 127, 167–172. [Google Scholar] [CrossRef] [PubMed]
- Gathwal, C.K.; Gathwal, M.B.; Singh, K.; Singh, S.; Bhincher, S. Evaluation of ultrasonic anatomy of epiglottis and pre-epiglottic space in pre pubertal children: A tertiary hospital based prospective study. Int. J. Contemp. Med. Surg. Radiol. 2018, 3, 102–106. [Google Scholar]
- Sever, F.; Özmert, S. Evaluation of the Relationship Between Airway Measurements with Ultrasonography and Laryngoscopy in Newborns and Infants. Pediatr. Anesth. 2020, 30, 1233–1239. [Google Scholar] [CrossRef] [PubMed]
- Jadcherla, S.R.; Gupta, A.; Stoner, E.; Coley, B.D.; Wiet, G.J.; Shaker, R. Correlation of Glottal Closure Using Concurrent Ultrasonography and Nasolaryngoscopy in Children: A Novel Approach to Evaluate Glottal Status. Dysphagia 2006, 21, 75–81. [Google Scholar] [CrossRef] [PubMed]
- Shita, L.; Rypens, F.; Hassid, S.; Vermeylen, D.; Struyven, J. Sonographic demonstration of a congenital laryngeal cyst. J. Ultrasound Med. 1999, 18, 665–667. [Google Scholar] [CrossRef] [PubMed]
- Wang, L.M.; Zhu, Q.; Ma, T.; Li, J.P.; Hu, R.; Rong, X.Y.; Xu, W.; Wang, Z.C. Value of ultrasonography in diagnosis of pediatric vocal fold paralysis. Int. J. Pediatr. Otorhinolaryngol. 2011, 75, 1186–1190. [Google Scholar] [CrossRef] [PubMed]
- Beale, T.; Twigg, V.M.; Horta, M.; Morley, S. High-Resolution Laryngeal US: Imaging Technique, Normal Anatomy, and Spectrum of Disease. RadioGraphics 2020, 40, 775–790. [Google Scholar] [CrossRef] [PubMed]
- World Health Organization. WHO Expert Committee on Physical Status: The Use and Interpretation of Anthropometry (1993, Geneva, Switzerland) & World Health Organization. Physical Status: The Use of and Interpretation of Anthropometry, Report of a WHO Expert Committee. 1995. Available online: https://apps.who.int/iris/handle/10665/37003 (accessed on 1 March 2023).

Disclaimer/Publisher’s Note: The statements, opinions and data contained in all publications are solely those of the individual author(s) and contributor(s) and not of MDPI and/or the editor(s). MDPI and/or the editor(s) disclaim responsibility for any injury to people or property resulting from any ideas, methods, instructions or products referred to in the content. |
© 2023 by the authors. Licensee MDPI, Basel, Switzerland. This article is an open access article distributed under the terms and conditions of the Creative Commons Attribution (CC BY) license (https://creativecommons.org/licenses/by/4.0/).
Share and Cite
Paprocki, Ł.; Migda, B.; Bokiniec, R. Ultrasound Assessment of Larynx and Trachea in the Neonatal Period, Examination Standard with Predictive Values—Study Protocol. Diagnostics 2023, 13, 1578. https://doi.org/10.3390/diagnostics13091578
Paprocki Ł, Migda B, Bokiniec R. Ultrasound Assessment of Larynx and Trachea in the Neonatal Period, Examination Standard with Predictive Values—Study Protocol. Diagnostics. 2023; 13(9):1578. https://doi.org/10.3390/diagnostics13091578
Chicago/Turabian StylePaprocki, Łukasz, Bartosz Migda, and Renata Bokiniec. 2023. "Ultrasound Assessment of Larynx and Trachea in the Neonatal Period, Examination Standard with Predictive Values—Study Protocol" Diagnostics 13, no. 9: 1578. https://doi.org/10.3390/diagnostics13091578
APA StylePaprocki, Ł., Migda, B., & Bokiniec, R. (2023). Ultrasound Assessment of Larynx and Trachea in the Neonatal Period, Examination Standard with Predictive Values—Study Protocol. Diagnostics, 13(9), 1578. https://doi.org/10.3390/diagnostics13091578

