Ultrasonic Diagnosis of Intestinal Obstruction in Neonates-Original Article
Abstract
1. Introduction
2. Materials and Methods
3. Results
3.1. The Accuracy of Ultrasonography in Intestinal Obstruction of Neonates
3.1.1. The accuracy of Ultrasonography in Diagnosing of Intestinal Obstruction in Neonates
3.1.2. The Accuracy of Ultrasonography in Identifying the Cause of Intestinal Obstruction in Neonates
3.2. The Ultrasonic Manifestations
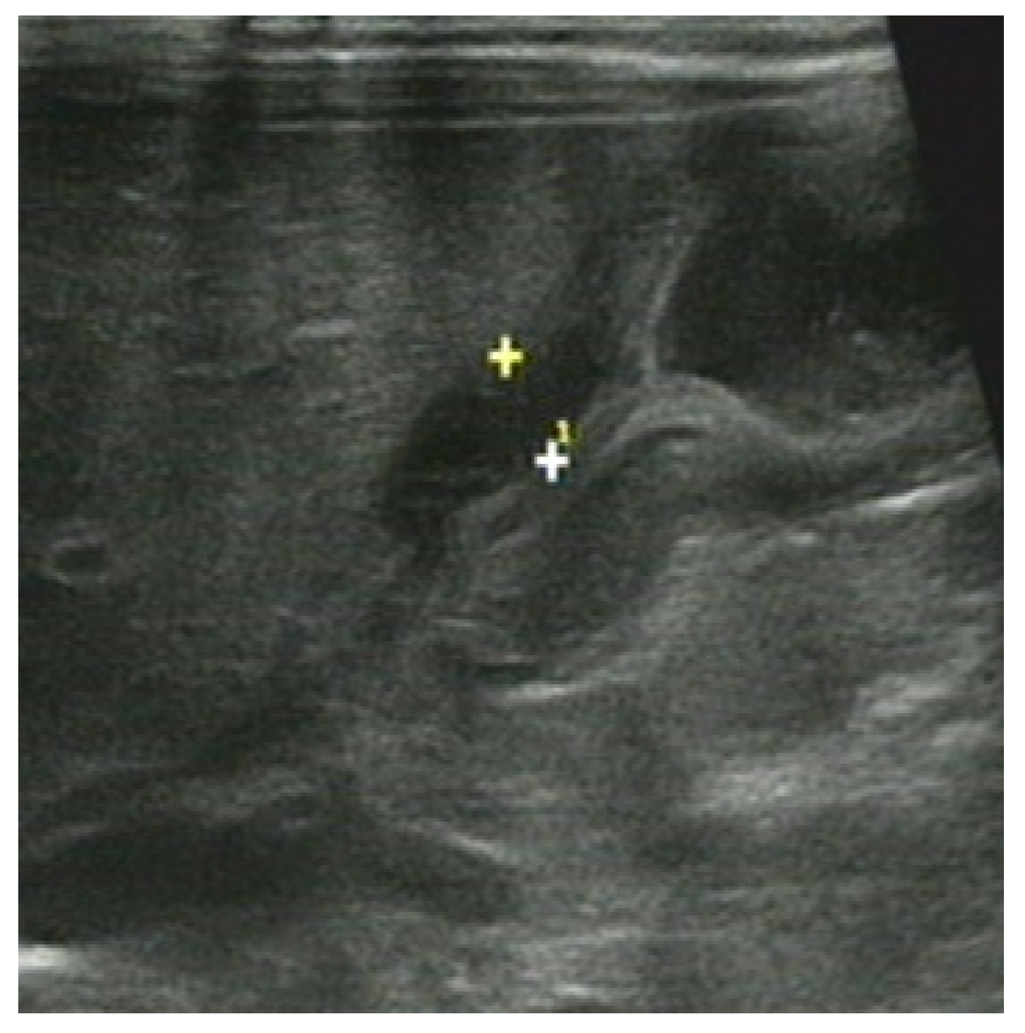
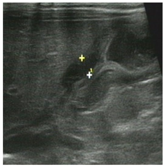
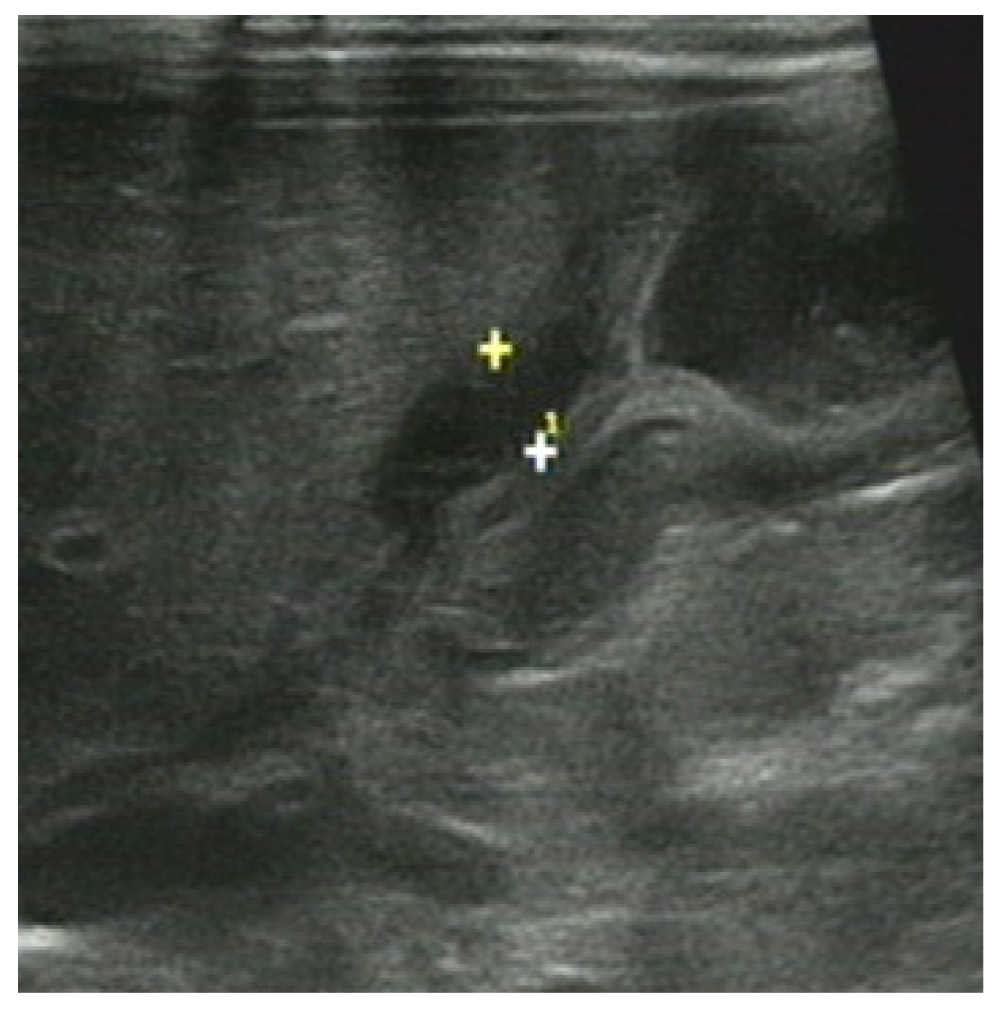
3.2.1. The Ultrasonic Signs of Intestinal Obstruction
3.2.2. The Corresponding Ultrasound Findings of Diseases Leading to Neonatal Ileus
4. Discussion
5. Conclusions
Author Contributions
Funding
Institutional Review Board Statement
Informed Consent Statement
Data Availability Statement
Conflicts of Interest
References
- Hyginus, E.O.; Jideoffor, U.; Victor, M.; Andrew N, O. Gastrointestinal perforation in neonates: Aetiology and risk factors. J. Neonatal. Surg. 2013, 2, 30. [Google Scholar]
- Huis, M.; Stulhofer, M.; Szerda, F.; Vukic, T.; Bubnjar, J. Obstruction icterus--our experience. Acta Med. Croatica. 2006, 60, 71–76. [Google Scholar] [PubMed]
- Bittencourt, D.G.; Barini, R.; Marba, S.; Sbragia, L. Congenital duodenal obstruction: Does prenatal diagnosis improve the outcome? Pediatr. Surg. Int. 2004, 20, 582–585. [Google Scholar] [CrossRef] [PubMed]
- Kilbride, H.; Castor, C.; Andrews, W. Congenital duodenal obstruction: Timing of diagnosis during the newborn period. J. Perinatol. 2010, 30, 197–200. [Google Scholar] [CrossRef] [PubMed]
- Mrindoko, P.; Mselle, M.; Meleki, E.; Kimambo, E.; McHaile, D.; Lodhia, J. Ileal Atresia in a 10-day-old male baby: A case report. SAGE Open Med. Case Rep. 2021, 9, 2050313X211042983. [Google Scholar] [CrossRef]
- van der Steeg, H.J.; Schmiedeke, E.; Bagolan, P.; Broens, P.; Demirogullari, B.; Garcia-Vazquez, A.; Grasshoff-Derr, S.; Lacher, M.; Leva, E.; Makedonsky, I.; et al. European consensus meeting of ARM-Net members concerning diagnosis and early management of newborns with anorectal malformations. Tech. Coloproctol. 2015, 19, 181–185. [Google Scholar] [CrossRef]
- Hosokawa, T.; Yamada, Y.; Hsokawa, M.; Kikuchi, S.; Ohira, K.; Tanami, Y.; Sato, Y.; Oguma, E. Ultrasound imaging of the anorectal malformation during the neonatal period: A comprehensive review. Jpn. J. Radiol. 2018, 36, 581–591. [Google Scholar] [CrossRef]
- Chavhan, G.B.; Masrani, S.; Thakkar, H.; Hanchate, V.; Lazar, J.; Wasnik, A.; Sunnapwar, A. Sonography in the diagnosis of pediatric gastrointestinal obstruction. J. Clin. Ultrasound 2004, 32, 190–199. [Google Scholar] [CrossRef]
- Singh, V.; Pathak, M. Congenital Neonatal Intestinal Obstruction: Retrospective Analysis at Tertiary Care Hospital. J. Neonatal Surg. 2016, 5, 49. [Google Scholar] [CrossRef]
- Goh MF, J.; Mak MH, W.; Low, Y.; Ong CC, P. Congenital or acquired? Obstructive jaundice in reoperated duodenal atresia. BMJ Case Rep. 2019, 12, e231021. [Google Scholar]
- Mohammed, M.; Amezene, T.; Tamirat, M. Intestinal Obstruction in Early Neonatal Period: A 3-Year Review Of Admitted Cases from a Tertiary Hospital in Ethiopia. Ethiop. J. Health Sci. 2017, 27, 393–400. [Google Scholar] [CrossRef] [PubMed]
- Das, P.C.; Rai, R.; Lobo, G.J. Jejunal atresia associated with idiopathic ileal perforation. J. Indian Assoc. Pediatr. Surg. 2008, 13, 88–89. [Google Scholar] [CrossRef] [PubMed]
- Lawrence, M.J.; Ford, W.D.; Furness, M.E.; Hayward, T.; Wilson, T. Congenital duodenal obstruction: Early antenatal ultrasound diagnosis. Pediatr. Surg. Int. 2000, 16, 342–345. [Google Scholar] [CrossRef] [PubMed]
- Orzech, N.; Navarro, O.M.; Langer, J.C. Is ultrasonography a good screening test for intestinal malrotation? J. Pediatr. Surg. 2006, 41, 1005–1009. [Google Scholar] [CrossRef]
- Yang, L.; Chen, H.; Lv, G.; Li, F.; Liao, J.; Ke, L. Evaluation of ultrasonography in fetal intestinal malrotation with midgut volvulus. Ginekol. Pol. 2022, 93, 296–301. [Google Scholar] [CrossRef]
- Wong, K.; Van Tassel, D.; Lee, J.; Buchmann, R.; Riemann, M.; Egan, C.; Youssfi, M. Making the diagnosis of midgut volvulus: Limited abdominal ultrasound has changed our clinical practice. J. Pediatr. Surg. 2020, 55, 2614–2617. [Google Scholar] [CrossRef]
- Butterworth, W.A.; Butterworth, J.W. An adult presentation of midgut volvulus secondary to intestinal malrotation: A case report and literature review. Int. J. Surg. Case Rep. 2018, 50, 46–49. [Google Scholar] [CrossRef]
- Shimanuki, Y.; Aihara, T.; Takano, H.; Moritani, T.; Oguma, E.; Kuroki, H.; Shibata, A.; Nozawa, K.; Ohkawara, K.; Hirata, A.; et al. Clockwise whirlpool sign at color Doppler US: An objective and definite sign of midgut volvulus. Radiology 1996, 199, 261–264. [Google Scholar] [CrossRef]
- Lin, L.H. A Rare Case of Malrotation and Midgut Volvulus with Whirlpool Sign. J. Med. Ultrasound 2022, 30, 62–64. [Google Scholar] [CrossRef]
- Hamidi, H.; Obaidy, Y. Maroof S Intestinal malrotation and midgut volvulus. Radiol. Case Rep. 2016, 11, 271–274. [Google Scholar] [CrossRef]
- Corsini, I.; Parri, N.; Coviello, C.; Leonardi, V.; Dani, C. Lung ultrasound findings in congenital diaphragmatic hernia. Eur. J. Pediatr. 2019, 178, 491–495. [Google Scholar] [CrossRef]
- Hattori, K.; Takamizawa, S.; Miyake, Y.; Hatata, T.; Yoshizawa, K.; Furukawa, T.; Kondo, Y. Preoperative sonographic evaluation of the defect size and the diaphragm rim in congenital diaphragmatic hernia—Preliminary experience. Pediatr. Radiol. 2018, 48, 1550–1555. [Google Scholar] [CrossRef]
- Hosokawa, T.; Takahashi, H.; Tanami, Y.; Sato, Y.; Hosokawa, M.; Kato, R.; Kawashima, H.; Oguma, E. Usefulness of Ultrasound in Evaluating the Diaphragm in Neonates and Infants With Congenital Diaphragmatic Hernias. J. Ultrasound Med. 2019, 38, 1109–1113. [Google Scholar] [CrossRef]
- Hosokawa, T.; Yamada, Y.; Takahashi, H.; Tanami, Y.; Sato, Y.; Ishimaru, T.; Tanaka, Y.; Kawashima, H.; Hosokawa, M.; Oguma, E. Postnatal Ultrasound to Determine the Surgical Strategy for Congenital Diaphragmatic Hernia. J. Ultrasound Med. 2019, 38, 2347–2358. [Google Scholar] [CrossRef]
- Schlund, D.; Jochum, S.B.; Favuzza, J.; Hayden, D.M.; Pillai, S.B.; Saclarides, T.J.; Bhama, A.R. A national analysis of operative treatment of adult patients with Hirschsprung’s disease. Int. J. Colorectal Dis. 2020, 35, 169–172. [Google Scholar] [CrossRef]
- Coran, A.G. Teitelbaum D H Recent advances in the management of Hirschsprung’s disease. Am. J. Surg. 2000, 180, 382–387. [Google Scholar] [CrossRef] [PubMed]
- Banasiuk, M.; Banaszkiewicz, A.; Piotrowski, D.; Albrecht, P.; Kaminski, A.; Radzikowski, A. 3D high-definition manometry in evaluation of children after surgery for Hirschsprung’s disease: A pilot study. Adv. Med. Sci. 2016, 61, 18–22. [Google Scholar] [CrossRef]
- Ma, S.; Yu, Y.; Pan, A.; Gong, H.; Lou, Z.; Liu, L.; Hao, L.; Meng, R.; Sui, J.; Zhang, W. The Classification and Surgical Treatments in Adult Hirschsprung’s Disease: A Retrospective Study. Front. Med. 2022, 9, 870342. [Google Scholar] [CrossRef] [PubMed]
- Kido, M.; Kuwahara, T.; Yasui, Y.; Okajima, H.; Kohno, M. Hypertrophic pyloric stenosis at birth: A case report. Pediatr. Int. 2021, 63, 231–233. [Google Scholar] [CrossRef] [PubMed]
- Vinycomb, T.; Vanhaltren, K.; Pacilli, M.; Ditchfield, M.; Nataraja, R.M. Evaluating the validity of ultrasound in diagnosing hypertrophic pyloric stenosis: A cross-sectional diagnostic accuracy study. ANZ J. Surg. 2021, 91, 2507–2513. [Google Scholar] [CrossRef] [PubMed]






| Types of Malformations | N1 | N2 | N3 |
|---|---|---|---|
| Jejunal atresia | 15 | 15 | 15 |
| Ileal atresia | 14 | 14 | 13 |
| Duodenal atresia | 12 | 12 | 12 |
| Anal atresia | 8 | 7 | 6 |
| Intestinal malrotation with midgut volvulus | 12 | 12 | 12 |
| Duodenal stricture | 10 | 9 | 6 |
| Annular pancreas | 5 | 3 | 1 |
| Intestinal atresia with malrotation | 1 | 1 | 1 |
| Intestinal atresia with intestinal volvulus | 1 | 1 | 1 |
| Diaphragmatic hernia | 4 | 4 | 4 |
| Congenital hypertrophy pyloric stricture | 1 | 1 | 1 |
| Congenital megacolon | 3 | 0 | 0 |
Disclaimer/Publisher’s Note: The statements, opinions and data contained in all publications are solely those of the individual author(s) and contributor(s) and not of MDPI and/or the editor(s). MDPI and/or the editor(s) disclaim responsibility for any injury to people or property resulting from any ideas, methods, instructions or products referred to in the content. |
© 2023 by the authors. Licensee MDPI, Basel, Switzerland. This article is an open access article distributed under the terms and conditions of the Creative Commons Attribution (CC BY) license (https://creativecommons.org/licenses/by/4.0/).
Share and Cite
Guo, B.; Pang, L.; Liu, C.; Chen, X.; Qiao, Q.; Zhang, C. Ultrasonic Diagnosis of Intestinal Obstruction in Neonates-Original Article. Diagnostics 2023, 13, 995. https://doi.org/10.3390/diagnostics13050995
Guo B, Pang L, Liu C, Chen X, Qiao Q, Zhang C. Ultrasonic Diagnosis of Intestinal Obstruction in Neonates-Original Article. Diagnostics. 2023; 13(5):995. https://doi.org/10.3390/diagnostics13050995
Chicago/Turabian StyleGuo, Binbin, Lin Pang, Chang Liu, Xiaoya Chen, Qiang Qiao, and Cong Zhang. 2023. "Ultrasonic Diagnosis of Intestinal Obstruction in Neonates-Original Article" Diagnostics 13, no. 5: 995. https://doi.org/10.3390/diagnostics13050995
APA StyleGuo, B., Pang, L., Liu, C., Chen, X., Qiao, Q., & Zhang, C. (2023). Ultrasonic Diagnosis of Intestinal Obstruction in Neonates-Original Article. Diagnostics, 13(5), 995. https://doi.org/10.3390/diagnostics13050995
