Intracardiac Thrombi in Preterm Infants—A Case Study and Review of the Literature
Abstract
1. Introduction
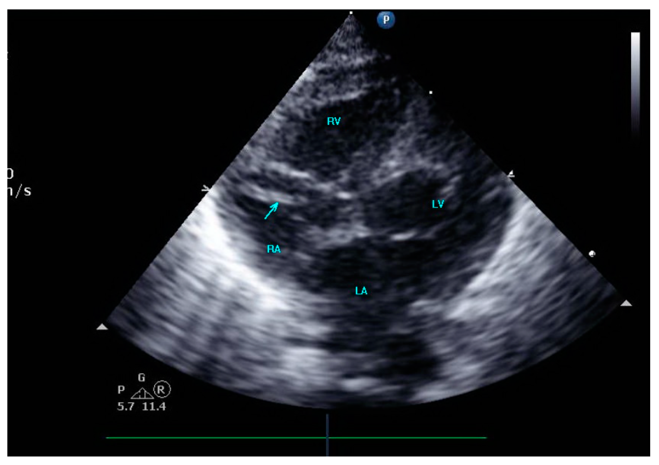
2. Case Presentation
3. Discussion
3.1. Thrombus Formation in Preterm Infants
3.2. Epidemiology of Intracardiac Thrombi in Preterm Infants
3.3. Pathophysiology and Risk Factors for Intracardiac Thrombi
3.4. Clinical Signs of Intracardiac Thrombi
3.5. Echocardiographic Diagnostic Features of Intracardiac Thrombi
3.6. Treatment Options for Intracardiac Thrombi in Preterm Infants
3.7. Outcome and Follow up
3.8. Prevention
4. Conclusions
Supplementary Materials
Author Contributions
Funding
Informed Consent Statement
Data Availability Statement
Conflicts of Interest
References
- Rimensberger, P.C.; Humbert, J.R.; Beghetti, M. Management of preterm infants with intracardiac thrombi: Use of thrombolytic agents. Paediatr. Drugs 2001, 3, 883–898. [Google Scholar] [CrossRef]
- Saracco, P.; Parodi, E.; Fabris, C.; Cecinati, V.; Molinari, A.C.; Giordano, P. Management and investigation of neonatal thromboembolic events: Genetic and acquired risk factors. Thromb. Res. 2009, 123, 805–809. [Google Scholar] [CrossRef] [PubMed]
- Narang, S.; Roy, J.; Stevens, T.P.; Butler-O’Hara, M.; Mullen, C.A.; D’Angio, C.T. Risk factors for umbilical venous catheter-associated thrombosis in very low birth weight infants. Pediatr. Blood Cancer 2009, 52, 75–79. [Google Scholar] [CrossRef] [PubMed]
- Makatsariya, A.; Bitsadze, V.; Khizroeva, J.; Vorobev, A.; Makatsariya, N.; Egorova, E.; Mischenko, A.; Mashkova, T.; Antonova, A. Neonatal thrombosis. J. Matern.-Fetal Neonatal Med. 2022, 35, 1169–1177. [Google Scholar] [CrossRef]
- Bhat, R.; Monagle, P. The preterm infant with thrombosis. Arch. Dis. Child. Fetal Neonatal Ed. 2012, 97, F423–F428. [Google Scholar] [CrossRef] [PubMed]
- Greenway, A.; Massicotte, M.P.; Monagle, P. Neonatal thrombosis and its treatment. Blood Rev. 2004, 18, 75–84. [Google Scholar] [CrossRef]
- Park, C.K.; Paes, B.A.; Nagel, K.; Chan, A.K.; Murthy, P.; Thrombosis and Hemostasis in Newborns (THiN) Group. Neonatal central venous catheter thrombosis: Diagnosis, management and outcome. Blood Coagul. Fibrinolysis Int. J. Haemost. Thromb. 2014, 25, 97–106. [Google Scholar] [CrossRef]
- Rajagopal, R.; Cheah, F.C.; Monagle, P. Thromboembolism and anticoagulation management in the preterm infant. Semin. Fetal Neonatal Med. 2016, 21, 50–56. [Google Scholar] [CrossRef]
- Ferrari, F.; Vagnarelli, F.; Gargano, G.; Roversi, M.F.; Biagioni, O.; Ranzi, A.; Cavazzuti, G.B. Early intracardiac thrombosis in preterm infants and thrombolysis with recombinant tissue type plasminogen activator. Arch. Dis. Child.. Fetal Neonatal Ed. 2001, 85, F66–F69. [Google Scholar] [CrossRef] [PubMed]
- Berman, W., Jr.; Fripp, R.R.; Yabek, S.M.; Wernly, J.; Corlew, S. Great vein and right atrial thrombosis in critically ill infants and children with central venous lines. Chest 1991, 99, 963–967. [Google Scholar] [CrossRef] [PubMed]
- Yang, J.Y.; Williams, S.; Brandao, L.R.; Chan, A.K. Neonatal and childhood right atrial thrombosis: Recognition and a risk-stratified treatment approach. Blood Coagul. Fibrinolysis Int. J. Haemost. Thromb. 2010, 21, 301–307. [Google Scholar] [CrossRef] [PubMed]
- Kolacek, S.; Puntis, J.W.L.; Hojsak, I.; The ESPGHAN/ESPEN/ESPR/CSPEN Working Group on Pediatric Parenteral Nutrition. ESPGHAN/ESPEN/ESPR/CSPEN guidelines on pediatric parenteral nutrition: Venous access. Clin. Nutr. 2018, 37, 2379–2391. [Google Scholar] [CrossRef] [PubMed]
- Koletzko, B.; Goulet, O.; Hunt, J.; Krohn, K.; Shamir, R.; Parenteral Nutrition Guidelines Working Group; European Society for Clinical Nutrition and Metabolism; European Society of Paediatric Gastroenterology, Hepatology and Nutrition (ESPGHAN); European Society of Paediatric Research (ESPR). 1. Guidelines on Paediatric Parenteral Nutrition of the European Society of Paediatric Gastroenterology, Hepatology and Nutrition (ESPGHAN) and the European Society for Clinical Nutrition and Metabolism (ESPEN), Supported by the European Society of Paediatric Research (ESPR). J. Pediatr. Gastroenterol. Nutr. 2005, 41 (Suppl 2), S1–S87. [Google Scholar] [CrossRef]
- Kenet, G.; Barg, A.A.; Nowak-Gottl, U. Hemostasis in the Very Young. Semin. Thromb. Hemost. 2018, 44, 617–623. [Google Scholar] [CrossRef] [PubMed]
- Toulon, P. Developmental hemostasis: Laboratory and clinical implications. Int. J. Lab. Hematol. 2016, 38 (Suppl 1), 66–77. [Google Scholar] [CrossRef]
- Neary, E.; McCallion, N.; Kevane, B.; Cotter, M.; Egan, K.; Regan, I.; Kirkham, C.; Mooney, C.; Coulter-Smith, S.; Ni Ainle, F. Coagulation indices in very preterm infants from cord blood and postnatal samples. J. Thromb. Haemost. JTH 2015, 13, 2021–2030. [Google Scholar] [CrossRef]
- Mautone, A.; Giordano, P.; Montagna, O.; Quercia, M.; Altomare, M.; De Mattia, D. Coagulation and fibrinolytic systems in the ill preterm newborn. Acta Paediatr. 1997, 86, 1100–1104. [Google Scholar] [CrossRef]
- Baykan, A.; Ozyurt, A.; Korkmaz, L.; Pamukcu, O.; Argun, M.; Ozturk, A.; Kurtoglu, S.; Narin, N. Giant right atrial thrombus in premature newborn. J. Thromb. Thrombolysis 2014, 37, 353–355. [Google Scholar] [CrossRef]
- Giuffre, B.; Compagnoni, G.; Farina, C.; Mosca, F. Successful use of tissue plasminogen activator (t-PA) in catheter-related intracardiac thrombi of two premature infants. Acta Paediatr. 1998, 87, 695–698. [Google Scholar] [CrossRef]
- Sheen, A.; De Oliveira, E.R.; Kim, R.W.; Parham, D.; Lakshmanan, A. Atrial Thrombus in a Neonate: A Diagnostic Challenge. AJP Rep. 2015, 5, e18–e21. [Google Scholar] [CrossRef]
- Thom, K.; Male, C.; Mannhalter, C.; Quehenberger, P.; Mlczoch, E.; Luckner, D.; Marx, M.; Hanslik, A. No impact of endogenous prothrombotic conditions on the risk of central venous line-related thrombotic events in children: Results of the KIDCAT study (KIDs with Catheter Associated Thrombosis). J. Thromb. Haemost. JTH 2014, 12, 1610–1615. [Google Scholar] [CrossRef] [PubMed]
- Marsh, D.; Wilkerson, S.A.; Cook, L.N.; Pietsch, J.B. Right atrial thrombus formation screening using two-dimensional echocardiograms in neonates with central venous catheters. Pediatrics 1988, 81, 284–286. [Google Scholar] [CrossRef]
- Butler-O’Hara, M.; Buzzard, C.J.; Reubens, L.; McDermott, M.P.; DiGrazio, W.; D’Angio, C.T. A randomized trial comparing long-term and short-term use of umbilical venous catheters in premature infants with birth weights of less than 1251 grams. Pediatrics 2006, 118, e25–e35. [Google Scholar] [CrossRef]
- Dubbink-Verheij, G.H.; Visser, R.; Roest, A.A.; van Ommen, C.H.; Te Pas, A.B.; Lopriore, E. Thrombosis after umbilical venous catheterisation: Prospective study with serial ultrasound. Arch. Dis. Child. Fetal Neonatal Ed. 2020, 105, 299–303. [Google Scholar] [CrossRef] [PubMed]
- Alkindi, F.; Hamada, A.H.; Hajar, R. Cardiac thrombi in different clinical scenarios. Heart Views Off. J. Gulf Heart Assoc. 2013, 14, 101–105. [Google Scholar] [CrossRef] [PubMed]
- Waller, B.F.; Rohr, T.M.; McLaughlin, T.; Grider, L.; Taliercio, C.P.; Fetters, J. Intracardiac thrombi: Frequency, location, etiology, and complications: A morphologic review—Part II. Clin. Cardiol. 1995, 18, 530–534. [Google Scholar] [CrossRef] [PubMed]
- Aswani, R.; Werthammer, J.; Shrestha, P.; Heydarian, M. Left atrial appendage thrombus in a preterm neonate in sinus rhythm with septic shock. Pediatr. Cardiol. 2010, 31, 1116–1117. [Google Scholar] [CrossRef]
- Russo, G.; Trappan, A.; Benettoni, A. Unusual left atrial appendage thrombus in a neonate with normal heart after sustained supraventricular tachycardia. Int. J. Cardiol. 2008, 131, e17–e19. [Google Scholar] [CrossRef]
- Alkalay, A.L.; Mazkereth, R.; Santulli, T., Jr.; Pomerance, J.J. Central venous line thrombosis in premature infants: A case management and literature review. Am. J. Perinatol. 1993, 10, 323–326. [Google Scholar] [CrossRef]
- El-Segaier, M.; Khan, M.A.; Khan, Z.U.; Momenah, T.; Galal, M.O. Recombinant Tissue Plasminogen Activator in the Treatment of Neonates with Intracardiac and Great Vessels Thrombosis. Pediatr. Cardiol. 2015, 36, 1582–1587. [Google Scholar] [CrossRef]
- Mahony, L.; Snider, A.R.; Silverman, N.H. Echocardiographic diagnosis of intracardiac thrombi complicating total parenteral nutrition. J. Pediatr. 1981, 98, 469–471. [Google Scholar] [CrossRef] [PubMed]
- Bose, J.; Clarke, P. Use of tissue plasminogen activator to treat intracardiac thrombosis in extremely low-birth-weight infants. Pediatr. Crit. Care Med. A J. Soc. Crit. Care Med. World Fed. Pediatr. Intensive Crit. Care Soc. 2011, 12, e407–e409. [Google Scholar] [CrossRef] [PubMed]
- Kara, M.; Guler, M.; Keskin Yildirim, Z.; Tekgunduz, K.; Laloglu, F.; Ceviz, N. Clinical features and treatment results in preterm infants with intracardiac thrombus. J. Matern. -Fetal Neonatal Med. Off. J. Eur. Assoc. Perinat. Med. Fed. Asia Ocean. Perinat. Soc. Int. Soc. Perinat. Obs. 2021, 34, 1763–1767. [Google Scholar] [CrossRef] [PubMed]
- Aspesberro, F.; Beghetti, M.; Oberhansli, I.; Ozsahin, H.; Humbert, J.; Rimensberger, P.C. Local low-dose urokinase treatment of acquired intracardiac thrombi in preterm infants. Eur. J. Pediatr. 1999, 158, 698–701. [Google Scholar] [CrossRef] [PubMed]
- Mondi, V.; Di Paolo, A.; Fabiano, A.; Cicchese, M.; De Merulis, G.; Giannini, C.; Del Principe, D. Combined thrombolytic therapy for atrial thrombus in a preterm infant. Minerva Pediatr. 2011, 63, 115–118. [Google Scholar]
- Grizante-Lopes, P.; Garanito, M.P.; Celeste, D.M.; Krebs, V.L.J.; Carneiro, J.D.A. Thrombolytic therapy in preterm infants: Fifteen-year experience. Pediatr. Blood Cancer 2020, 67, e28544. [Google Scholar] [CrossRef] [PubMed]
- Van Overmeire, B.; Van Reempts, P.J.; Van Acker, K.J. Intracardiac thrombus formation with rapidly progressive heart failure in the neonate: Treatment with tissue type plasminogen activator. Arch. Dis. Child. 1992, 67, 443–445. [Google Scholar] [CrossRef]
- Johnson, D.E.; Base, J.L.; Thompson, T.R.; Foker, J.E.; Speert, D.P.; Kaplan, E.L. Candida septicemia and right atrial mass secondary to umbilical vein catheterization. Am. J. Dis. Child. 1981, 135, 275–277. [Google Scholar] [CrossRef]
- Pongiglione, G.; Marasini, M.; Ribaldone, D.; Silvestri, G.; Tuo, P.; Garello-Cantoni, L. Right atrial thrombosis in two premature infants: Successful treatment with urokinase and heparin. Eur. Heart J. 1986, 7, 1086–1089. [Google Scholar] [CrossRef]
- Mendoza, G.J.; Soto, A.; Brown, E.G.; Dolgin, S.E.; Steinfeld, L.; Sweet, A.Y. Intracardiac thrombi complicating central total parenteral nutrition: Resolution without surgery or thrombolysis. J. Pediatr. 1986, 108, 610–613. [Google Scholar] [CrossRef]
- Tardin, F.A.; Avanza, A.C., Jr.; Andiao, M.R.; Rabello, S.M.; Cristello Ede, M.; Baltan, E.C.; Pegurin, E.B.; Oliveira, N.S. Combined rTPA and aspirin therapy for intracardiac thrombosis in neonates. Arq. Bras. De Cardiol. 2007, 88, e121–e123. [Google Scholar] [CrossRef]
- Pliam, M.B.; McGough, E.C.; Nixon, G.W.; Ruttenberg, H.D. Right atrial ball-valve thrombus: A complication of central venous alimentation in an infant. Diagnosis and successful surgical management of a case. J. Thorac. Cardiovasc. Surg. 1979, 78, 579–582. [Google Scholar] [CrossRef]
- Ali, S.R.; Ahmed, S.; Aslam, N.; Lohana, H. Atrial Thrombus in a Premature Newborn Following Cardio-Pulmonary Resuscitation. J. Coll. Physicians Surg. Pak. JCPSP 2016, 26, S48–S49. [Google Scholar] [PubMed]
- The European Cooperative Study on the clinical significance of right heart thrombi. European Working Group on Echocardiography. Eur. Heart J. 1989, 10, 1046–1059. [Google Scholar] [CrossRef]
- Ciarcia, M.; Corsini, I.; Miselli, F.; Luzzati, M.; Coviello, C.; Leonardi, V.; Pratesi, S.; Dani, C. Is recombinant tissue plasminogen activator treatment a safe choice in very and extremely preterm infants with intracardiac thrombosis? Arch. Dis. Child. 2022, 107, 772–775. [Google Scholar] [CrossRef] [PubMed]
- Sadiq, H.F.; Devaskar, S.; Keenan, W.J.; Weber, T.R. Broviac catheterization in low birth weight infants: Incidence and treatment of associated complications. Crit. Care Med. 1987, 15, 47–50. [Google Scholar] [CrossRef]
- Gamillscheg, A.; Nurnberg, J.H.; Alexi-Meskishvili, V.; Werner, H.; Abdul-Kaliq, H.; Uhlemann, F.; Hetzer, R.; Lange, P.E. Surgical emergency embolectomy for the treatment of fulminant pulmonary embolism in a preterm infant. J. Pediatr. Surg. 1997, 32, 1516–1518. [Google Scholar] [CrossRef]
- Kalaniti, K.; Lo Rito, M.; Hickey, E.J.; Sivarajan, V.B. Successful pulmonary embolectomy of a saddle pulmonary thromboembolism in a preterm neonate. Pediatrics 2015, 135, e1317–e1320. [Google Scholar] [CrossRef]
- Monagle, P.; Chan, A.K.C.; Goldenberg, N.A.; Ichord, R.N.; Journeycake, J.M.; Nowak-Gottl, U.; Vesely, S.K. Antithrombotic therapy in neonates and children: Antithrombotic Therapy and Prevention of Thrombosis, 9th ed: American College of Chest Physicians Evidence-Based Clinical Practice Guidelines. Chest 2012, 141, e737S–e801S. [Google Scholar] [CrossRef]
- Kenet, G.; Maayan-Metzger, A.; Rosenberg, N.; Sela, B.A.; Mazkereth, R.; Ifrah, A.; Kuint, J. Thrombophilia does not increase risk for neonatal complications in preterm infants. Thromb. Haemost. 2003, 90, 823–828. [Google Scholar] [CrossRef]
- Hentschel, R.; Wiescholek, U.; von Lengerke, J.; Harms, E.; Jorch, G. Coagulation-associated complications of indwelling arterial and central venous catheters during heparin prophylaxis—A prospective study. Eur. J. Pediatr. 1999, 158 (Suppl 3), S126–S129. [Google Scholar] [CrossRef] [PubMed]
- Unal, S.; Ekici, F.; Cetin, I.I.; Bilgin, L. Heparin infusion to prevent umbilical venous catheter related thrombosis in neonates. Thromb. Res. 2012, 130, 725–728. [Google Scholar] [CrossRef] [PubMed]
- Barrington, K.J. Umbilical artery catheters in the newborn: Effects of heparin. Cochrane Database Syst. Rev. 2000, 1999, CD000507. [Google Scholar] [CrossRef]
- Shah, P.S.; Shah, V.S. Continuous heparin infusion to prevent thrombosis and catheter occlusion in neonates with peripherally placed percutaneous central venous catheters. Cochrane Database Syst. Rev. 2008, CD002772. [Google Scholar] [CrossRef]
- Shah, P.S.; Kalyn, A.; Satodia, P.; Dunn, M.S.; Parvez, B.; Daneman, A.; Salem, S.; Glanc, P.; Ohlsson, A.; Shah, V. A randomized, controlled trial of heparin versus placebo infusion to prolong the usability of peripherally placed percutaneous central venous catheters (PCVCs) in neonates: The HIP (Heparin Infusion for PCVC) study. Pediatrics 2007, 119, e284–e291. [Google Scholar] [CrossRef]
- Kamala, F.; Boo, N.Y.; Cheah, F.C.; Birinder, K. Randomized controlled trial of heparin for prevention of blockage of peripherally inserted central catheters in neonates. Acta Paediatr. 2002, 91, 1350–1356. [Google Scholar] [CrossRef]
- Shah, P.S.; Shah, N. Heparin-bonded catheters for prolonging the patency of central venous catheters in children. Cochrane Database Syst. Rev. 2014, CD005983. [Google Scholar] [CrossRef]
- de Boode, W.P.; Singh, Y.; Molnar, Z.; Schubert, U.; Savoia, M.; Sehgal, A.; Levy, P.T.; McNamara, P.J.; El-Khuffash, A.; European Special Interest Group ‘Neonatologist Performed Echocardiography’. Application of Neonatologist Performed Echocardiography in the assessment and management of persistent pulmonary hypertension of the newborn. Pediatr. Res. 2018, 84, 68–77. [Google Scholar] [CrossRef]
- de Boode, W.P.; van der Lee, R.; Horsberg Eriksen, B.; Nestaas, E.; Dempsey, E.; Singh, Y.; Austin, T.; El-Khuffash, A. The role of Neonatologist Performed Echocardiography in the assessment and management of neonatal shock. Pediatr. Res. 2018, 84, 57–67. [Google Scholar] [CrossRef]
- Levy, P.T.; Tissot, C.; Horsberg Eriksen, B.; Nestaas, E.; Rogerson, S.; McNamara, P.J.; El-Khuffash, A.; de Boode, W.P. Application of Neonatologist Performed Echocardiography in the Assessment and Management of Neonatal Heart Failure unrelated to Congenital Heart Disease. Pediatr. Res. 2018, 84, 78–88. [Google Scholar] [CrossRef]
- van Laere, D.; van Overmeire, B.; Gupta, S.; El-Khuffash, A.; Savoia, M.; McNamara, P.J.; Schwarz, C.E.; de Boode, W.P. Application of NPE in the assessment of a patent ductus arteriosus. Pediatr. Res. 2018, 84, 46–56. [Google Scholar] [CrossRef] [PubMed]
- Smith, A.; Breatnach, C.R.; James, A.T.; Franklin, O.; El-Khuffash, A. Incidental Findings on Routine Targeted Neonatal Echocardiography Performed in Preterm Neonates Younger Than 29 Weeks’ Gestation. J. Ultrasound Med. Off. J. Am. Inst. Ultrasound Med. 2018, 37, 843–849. [Google Scholar] [CrossRef] [PubMed]



Disclaimer/Publisher’s Note: The statements, opinions and data contained in all publications are solely those of the individual author(s) and contributor(s) and not of MDPI and/or the editor(s). MDPI and/or the editor(s) disclaim responsibility for any injury to people or property resulting from any ideas, methods, instructions or products referred to in the content. |
© 2023 by the authors. Licensee MDPI, Basel, Switzerland. This article is an open access article distributed under the terms and conditions of the Creative Commons Attribution (CC BY) license (https://creativecommons.org/licenses/by/4.0/).
Share and Cite
Gover, A.; Sharif, D.; Yaniv, L.; Riskin, A. Intracardiac Thrombi in Preterm Infants—A Case Study and Review of the Literature. Diagnostics 2023, 13, 764. https://doi.org/10.3390/diagnostics13040764
Gover A, Sharif D, Yaniv L, Riskin A. Intracardiac Thrombi in Preterm Infants—A Case Study and Review of the Literature. Diagnostics. 2023; 13(4):764. https://doi.org/10.3390/diagnostics13040764
Chicago/Turabian StyleGover, Ayala, Dawod Sharif, Liat Yaniv, and Arieh Riskin. 2023. "Intracardiac Thrombi in Preterm Infants—A Case Study and Review of the Literature" Diagnostics 13, no. 4: 764. https://doi.org/10.3390/diagnostics13040764
APA StyleGover, A., Sharif, D., Yaniv, L., & Riskin, A. (2023). Intracardiac Thrombi in Preterm Infants—A Case Study and Review of the Literature. Diagnostics, 13(4), 764. https://doi.org/10.3390/diagnostics13040764

