A Primary Kidney Giant Cell Tumor of Soft Tissue Caused Peritoneal Dissemination, Considered to Be Malignant Transformation: A Case Report
Abstract
1. Introduction
2. Case Presentation
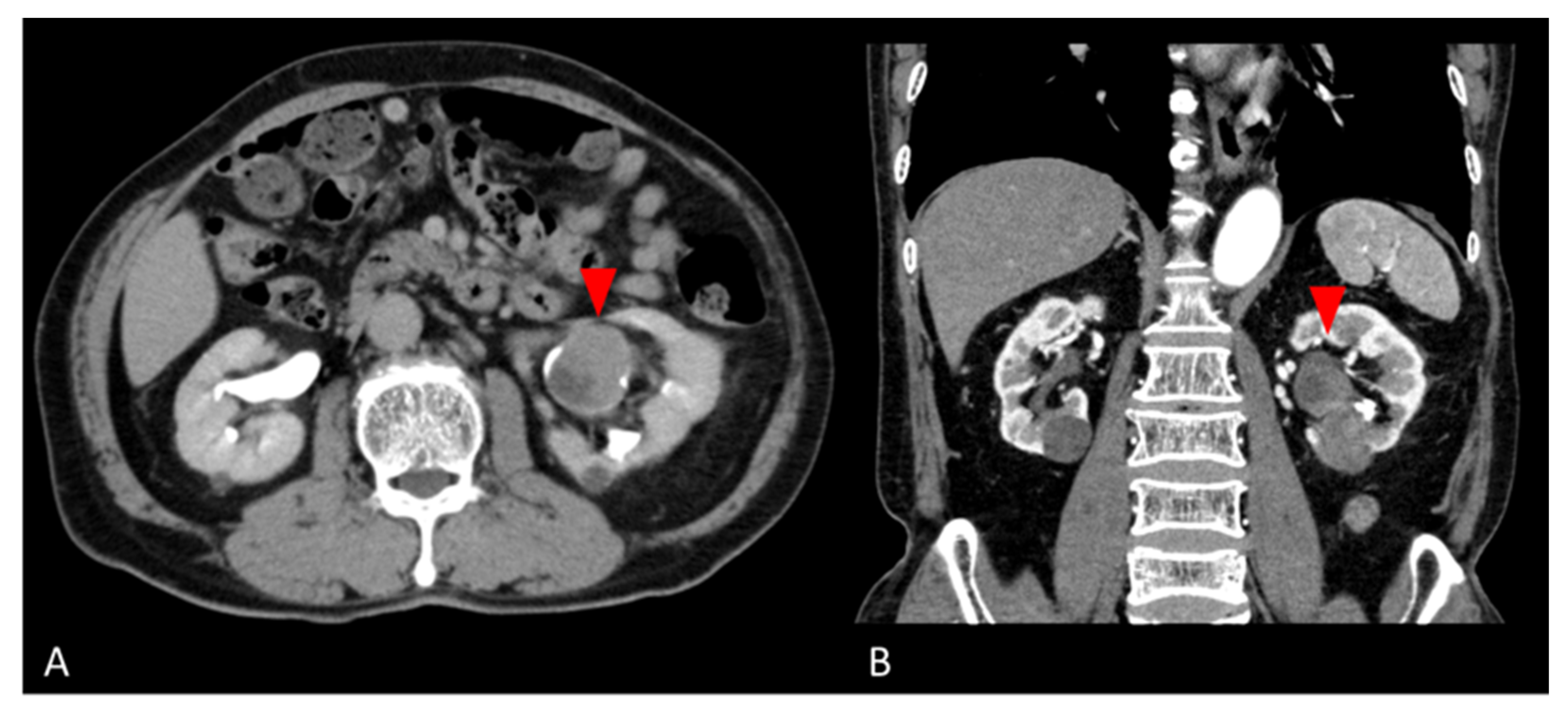
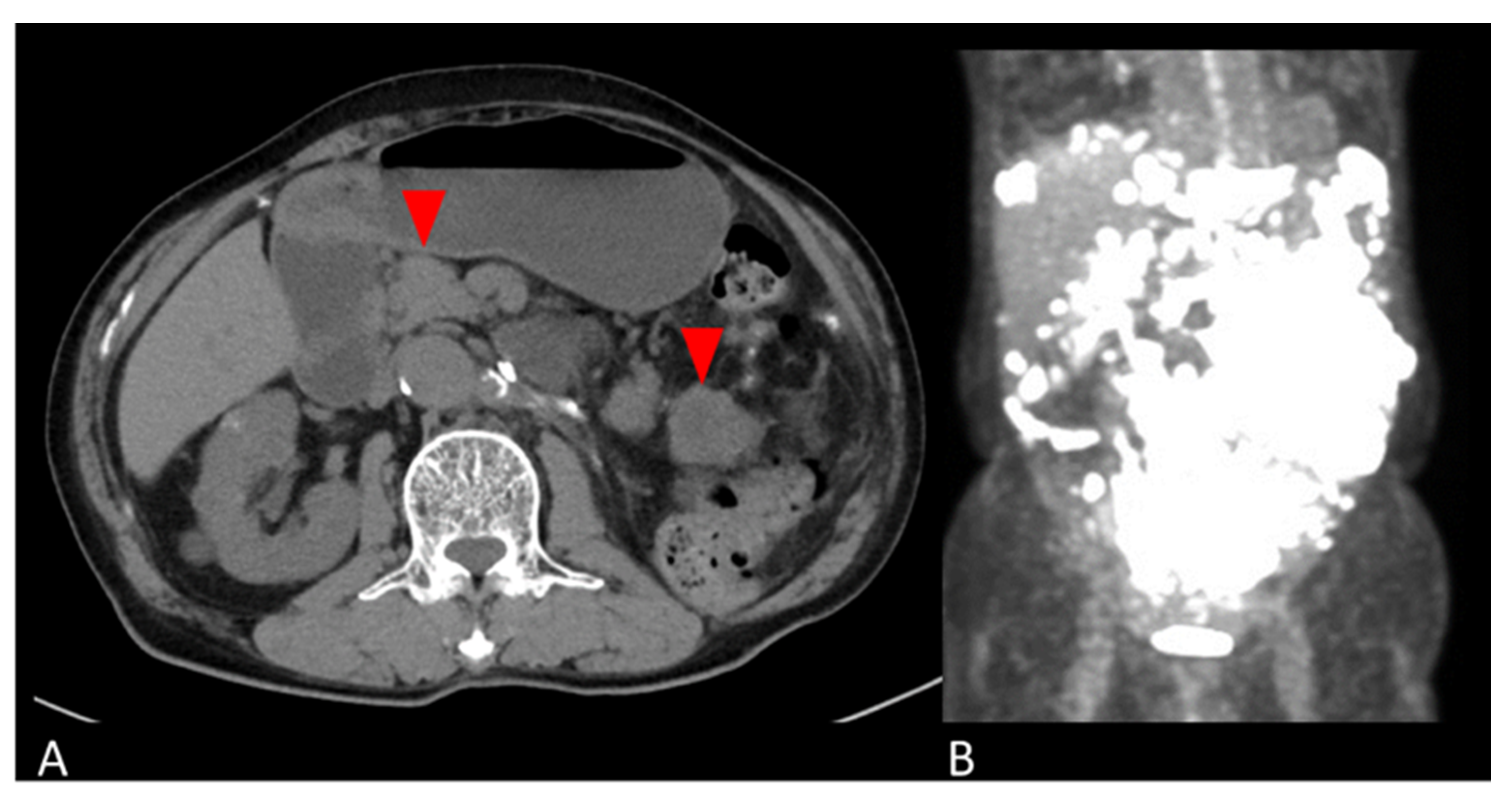
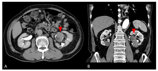
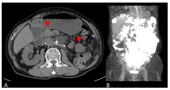
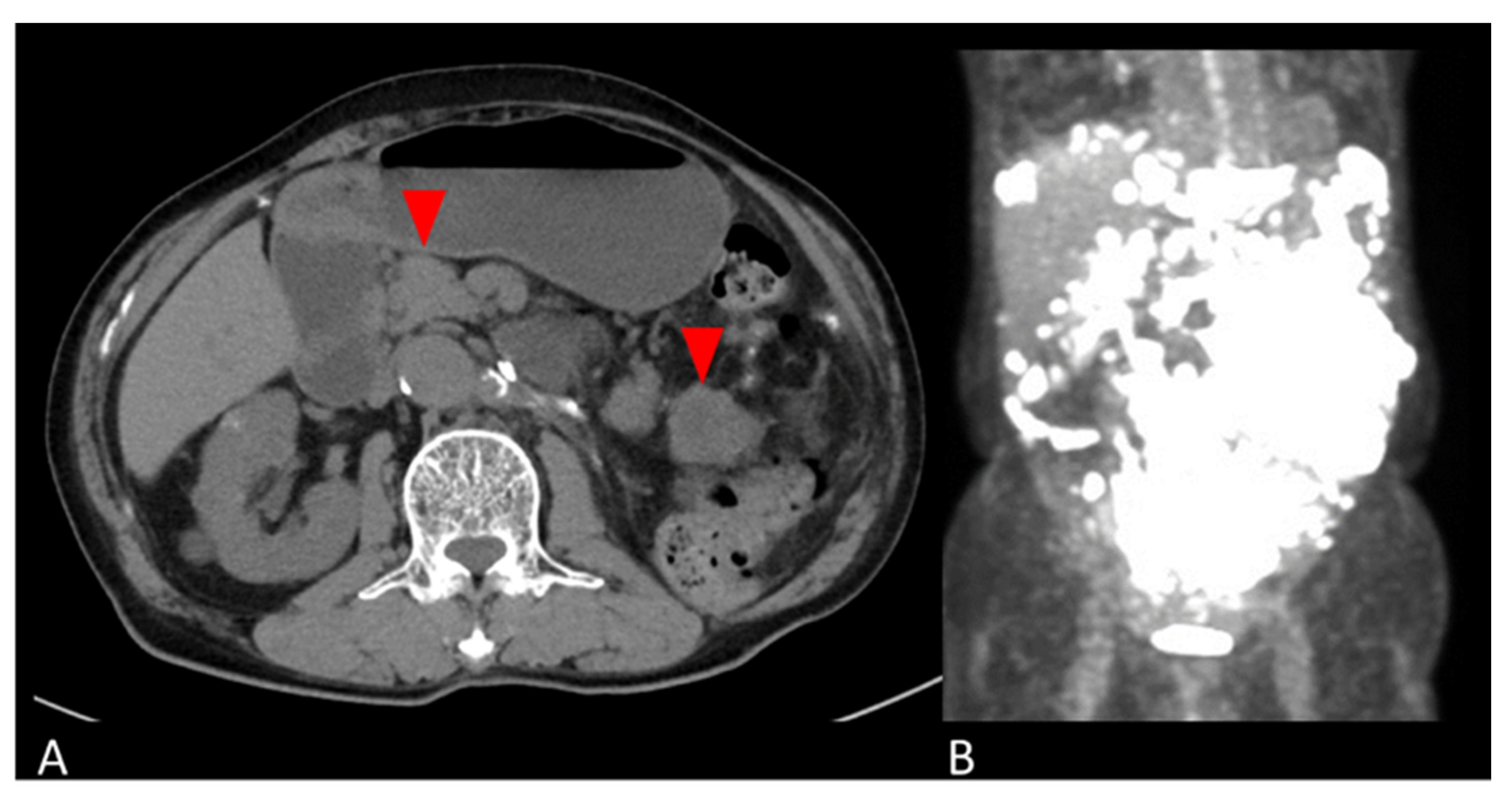
2.1. Clinical Summary
2.2. Pathological Findings
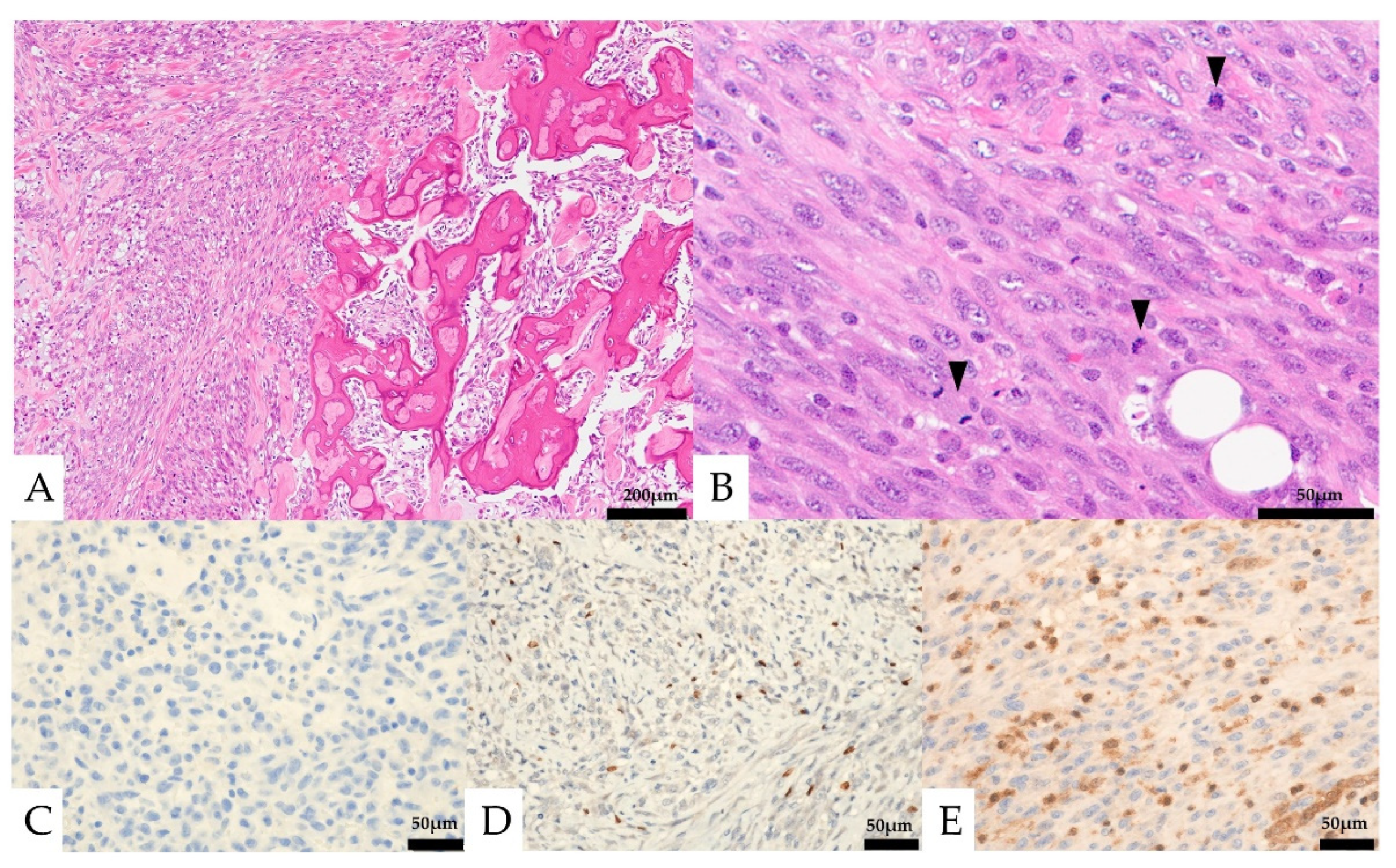
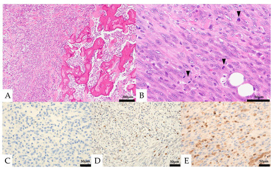
2.2.1. Initial Nephrectomy Specimen
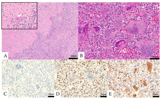
2.2.2. Retroperitoneal Tumor Specimen
2.3. Results of Cancer Genome Test
3. Discussion
Author Contributions
Funding
Institutional Review Board Statement
Informed Consent Statement
Data Availability Statement
Acknowledgments
Conflicts of Interest
References
- Dilani Lokuhetty, V.A.W.; Cree, I.A. WHO Classification of Soft Tissue and Bone Tumours, 5th ed.; International Agency for Research on Cancer: Lyon, France, 2020. [Google Scholar]
- Kanthan, R.; Torkian, B. Primary de novo malignant giant cell tumor of kidney: A case report. BMC Urol. 2004, 4, 7:1–7:6. [Google Scholar] [CrossRef] [PubMed]
- Baydar, D.; Amin, M.B.; Epstein, J.I. Osteoclast-rich undifferentiated carcinomas of the urinary tract. Mod. Pathol. 2006, 19, 161–171. [Google Scholar] [CrossRef] [PubMed]
- Williamson, S.R.; Kum, J.B.; Goheen, M.P.; Cheng, L.; Grignon, D.J.; Idrees, M.T. Clear cell renal cell carcinoma with a syncytial-type multinucleated giant tumor cell component: Implications for differential diagnosis. Hum. Pathol. 2014, 45, 735–744. [Google Scholar] [CrossRef] [PubMed]
- Priore, S.F.; Schwartz, L.E.; Epstein, J.I. An expanded immunohistochemical profile of osteoclast-rich undifferentiated carcinoma of the urinary tract. Mod. Pathol. 2018, 31, 984–988. [Google Scholar] [CrossRef] [PubMed]
- Behzatoğlu, K.; Durak, H.; Canberk, S.; Aydin, O.; Huq, G.E.; Oznur, M.; Ozyalvaçli, G.; Yildiz, P. Giant cell tumor-like lesion of the urinary bladder: A report of two cases and literature review; giant cell tumor or undifferentiated carcinoma? Diagn. Pathol. 2009, 4, 48:1–48:6. [Google Scholar] [CrossRef] [PubMed]
- Kawano, H.; Tanaka, S.; Ishii, A.; Cui, D.; Eguchi, S.; Hashimoto, O.; Ikeda, E. Osteoclast-rich undifferentiated carcinoma of the urinary bladder: An immunohistochemical study. Pathol. Res. Pract. 2011, 207, 722–727. [Google Scholar] [CrossRef] [PubMed]
- Huang, C.; Zhu, X.; Xiong, W.; Zhao, X.; Xu, R. A case report of primary osteosarcoma originating from kidney. Medicine 2019, 98, e14234:1–e14234:5. [Google Scholar] [CrossRef] [PubMed]
- Yoshida, K.I.; Nakano, Y.; Honda-Kitahara, M.; Wakai, S.; Motoi, T.; Ogura, K.; Sano, N.; Shibata, T.; Okuma, T.; Iwata, S.; et al. Absence of H3F3A mutation in a subset of malignant giant cell tumor of bone. Mod. Pathol. 2019, 32, 1751–1761. [Google Scholar] [CrossRef] [PubMed]
- Kimura, K.; Ohnishi, Y.; Morishita, H.; Amezaki, M.; Irikura, H. Giant cell tumor of the kidney. Virchows Arch. A Pathol. Anat. Histopathol. 1983, 398, 357–365. [Google Scholar] [CrossRef] [PubMed]
- Chetty, R.; Cvijan, D. Giant (bizarre) cell variant of renal carcinoma. Histopathology 1997, 30, 585–587. [Google Scholar] [CrossRef] [PubMed]
- Heller, K.N.; Manyak, M.J.; Tabbara, S.O.; Kerr, L.A. Malignant osteoclast-like giant cell tumor of the kidney. Urology 1998, 51, 495–498. [Google Scholar] [CrossRef] [PubMed]
- McCash, S.I.; Unger, P.; Dillon, R.; Xiao, G.Q. Undifferentiated carcinoma of the renal pelvis with osteoclast-like giant cells: A report of two cases. Apmis 2010, 118, 407–412. [Google Scholar] [CrossRef] [PubMed]
- Tiwana, M.S.; Kakkar, S.; Shirazi, N.; Upadhya, P.; Nautiyal, H. Role of adjuvant radiation therapy in unusually rare primary malignant osteoclast-like giant cell tumor of the kidney. Indian J. Cancer 2011, 48, 123–124. [Google Scholar] [CrossRef] [PubMed]
- Sevcenco, S.; Kuehhas, F.E.; Heinz-Peer, G.; Köstler, W.; Susani, M.; Haitel, A.; Klingler, H.C. Solitary osteoclast-like giant cell tumor of the kidney: A case report. Urology 2012, 80, e67–e68. [Google Scholar] [CrossRef] [PubMed]
- Akarken, I.; Bal, H.; Tarhan, H.; Dere, Y.; Alkan, A.; Deliktaş, H.; Sahin, H. Primer malignant giant cell tumour of kidney: A case report. Ann. R. Coll. Surg. Engl. 2021, 103, e288–e291. [Google Scholar] [CrossRef] [PubMed]
- ClinVar. Available online: https://www.ncbi.nlm.nih.gov/clinvar/variation/31944/?new_evidence%20=false#id_second%20acessed%20on%2011st%20 (accessed on 11 November 2022).





| Immunohistochemical Staining | Initial Nephrectomy Specimen | Retroperitoneal Tumor Specimen | |
|---|---|---|---|
| Mononuclear Cells | Multinucleated Giant Cells | Mononuclear Cells | |
| CK AE1/AE3, CAM5.2 | − | − | − |
| CD68 | + | + | + |
| H3.3G34W | − | − | − |
| CD10 | +; focal | − | − |
| PAX-8, GATA3 | − | − | − |
| MDM2, CDK4 | − | − | − |
| S-100, CD34, Desmin, HMB-45 | − | − | − |
| α-SMA | +; focal | − | +; focal |
| Melan-A | +; focal | − | − |
| p63 | +; focal | − | +; focal |
| SATB2 | + | − | +: focal |
| MTAP | − (Loss) | + | − (Loss) |
| Ki-67 labeling index | 13.6% | low | 48.8% |
| Biomarker Findings | |
|---|---|
| Microsatellite status | MS-Stable |
| Tumor mutational burden | 1 Muts/Mb |
| Genomic Findings | |
| PIK3CA | E545K |
| MTAP | loss |
| CDKN2A/B | CDKN2A loss, CDKN2B loss |
| KDM6A | loss exons 6–15 |
| TERT | promoter −124C > T |
| VUS | |
| FGFR4 | rearrangement |
| LTK | L579P |
| MSH6 | K1358fs2 |
| PRKCI | E583 and T215I |
| PTPRO | Y895F |
| TGFBR2 | S46R |
| Site | Age | Sex | Diagnosis | Immunohistochemical Findings | Recurrence | Prognosis | Follow-Up | Ref. | |
|---|---|---|---|---|---|---|---|---|---|
| Cytokeratin | CD68 | ||||||||
| renal pelvis | 60 | M | Giant cell tumor | NA | NA | − | NED | NR | [10] |
| renal parenchyma | 55 | F | Giant (bizarre) cell variant of renal carcinoma | + | + | − | NED | 3 months | [11] |
| renal parenchyma | 81 | M | Malignant osteoclast-like giant cell tumor | + | + | + | Dead | 2 months | [12] |
| renal parenchyma | 39 | F | Primary de novo malignant giant cell tumor | − | + | − | NED | NR | [2] |
| renal pelvis | 57 | F | Undifferentiated carcinoma with osteoclast-like giant cells | − | weakly + | − | NED | 42 months | [13] |
| renal parenchyma | 28 | F | Malignant osteoclast-like giant cell tumor | NA | NA | − | NED | 5 months | [14] |
| renal parenchyma | 89 | M | Solitary malignant osteoclast-like giant cell tumor | NA | + | + | Dead | 4 months | [15] |
| renal pelvis | 50 | M | Malignant giant cell tumor | − | + | + | Dead | 2 months | [16] |
Disclaimer/Publisher’s Note: The statements, opinions and data contained in all publications are solely those of the individual author(s) and contributor(s) and not of MDPI and/or the editor(s). MDPI and/or the editor(s) disclaim responsibility for any injury to people or property resulting from any ideas, methods, instructions or products referred to in the content. |
© 2023 by the authors. Licensee MDPI, Basel, Switzerland. This article is an open access article distributed under the terms and conditions of the Creative Commons Attribution (CC BY) license (https://creativecommons.org/licenses/by/4.0/).
Share and Cite
Hata, C.; Fukawa, Y.; Motoi, T.; Kinowaki, Y.; Akashi, T.; Ohashi, K.; Ishikawa, Y.; Waseda, Y.; Fujii, Y.; Kakuta, R.; et al. A Primary Kidney Giant Cell Tumor of Soft Tissue Caused Peritoneal Dissemination, Considered to Be Malignant Transformation: A Case Report. Diagnostics 2023, 13, 752. https://doi.org/10.3390/diagnostics13040752
Hata C, Fukawa Y, Motoi T, Kinowaki Y, Akashi T, Ohashi K, Ishikawa Y, Waseda Y, Fujii Y, Kakuta R, et al. A Primary Kidney Giant Cell Tumor of Soft Tissue Caused Peritoneal Dissemination, Considered to Be Malignant Transformation: A Case Report. Diagnostics. 2023; 13(4):752. https://doi.org/10.3390/diagnostics13040752
Chicago/Turabian StyleHata, Chiina, Yuki Fukawa, Toru Motoi, Yuko Kinowaki, Takumi Akashi, Kenichi Ohashi, Yudai Ishikawa, Yuma Waseda, Yasuhisa Fujii, Ryota Kakuta, and et al. 2023. "A Primary Kidney Giant Cell Tumor of Soft Tissue Caused Peritoneal Dissemination, Considered to Be Malignant Transformation: A Case Report" Diagnostics 13, no. 4: 752. https://doi.org/10.3390/diagnostics13040752
APA StyleHata, C., Fukawa, Y., Motoi, T., Kinowaki, Y., Akashi, T., Ohashi, K., Ishikawa, Y., Waseda, Y., Fujii, Y., Kakuta, R., Ikeda, S., & Onishi, I. (2023). A Primary Kidney Giant Cell Tumor of Soft Tissue Caused Peritoneal Dissemination, Considered to Be Malignant Transformation: A Case Report. Diagnostics, 13(4), 752. https://doi.org/10.3390/diagnostics13040752

