Ultrasonography for Injecting (Around) the Lateral Epicondyle: EURO-MUSCULUS/USPRM Perspective
Abstract
1. Introduction
2. Materials and Methods
3. Results and Discussion
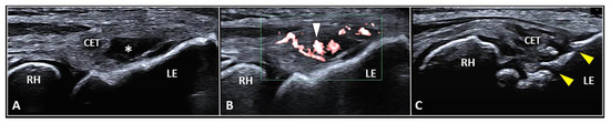
3.1. Peritendinous Injection
3.2. Intratendinous Injection
3.3. Enthesis Injection
4. Conclusions
Supplementary Materials
Author Contributions
Funding
Institutional Review Board Statement
Informed Consent Statement
Data Availability Statement
Conflicts of Interest
Abbreviation
| EURO-MUSCULUS/USPRM | European Musculoskeletal Ultrasound Study Group/Ultrasound Study Group of the International Society of Physical and Rehabilitation Medicine |
References
- Ricci, V.; Cocco, G.; Mezian, K.; Chang, K.V.; Naňka, O.; Tamborrini, G.; Kara, M.; Özçakar, L. Anatomy and sonographic examination for lateral epicondylitis: EURO-MUSCULUS/USPRM* approach. Am. J. Phys. Med. Rehabil. 2022. [Google Scholar] [CrossRef]
- Binder, A.I.; Hazleman, B.L. Lateral humeral epicondylitis–a study of natural history and the effect of conservative therapy. Br. J. Rheumatol. 1983, 22, 73–76. [Google Scholar] [CrossRef] [PubMed]
- Nirschl, R.P.; Ashman, E.S. Elbow tendinopathy: Tennis elbow. Clin. Sports Med. 2003, 22, 813–836. [Google Scholar] [CrossRef]
- Zeisig, E.; Ohberg, L.; Alfredson, H. Extensor origin vascularity related to pain in patients with Tennis elbow. Knee Surg. Sports Traumatol. Arthrosc. 2006, 14, 659–663. [Google Scholar] [CrossRef] [PubMed]
- Potter, H.G.; Hannafin, J.A.; Morwessel, R.M.; DiCarlo, E.F.; O’Brien, S.J.; Altchek, D.W. Lateral epicondylitis: Correlation of MR imaging, surgical, and histopathologic findings. Radiology 1995, 196, 43–46. [Google Scholar] [CrossRef] [PubMed]
- Descatha, A.; Albo, F.; Leclerc, A.; Carton, M.; Godeau, D.; Roquelaure, Y.; Petit, A.; Aublet-Cuvelier, A. Lateral epicondylitis and physical exposure at work? A review of prospective studies and meta-analysis. Arthritis Care Res. 2016, 68, 1681–1687. [Google Scholar] [CrossRef]
- Hall, M.M.; Allen, G.M.; Allison, S.; Craig, J.; DeAngelis, J.P.; Delzell, P.B.; Finnoff, J.T.; Frank, R.M.; Gupta, A.; Hoffman, D.; et al. Recommended musculoskeletal and sports ultrasound terminology: A delphi-based consensus statement. Br. J. Sports Med. 2022, 56, 310–319. [Google Scholar] [CrossRef]
- Ricci, V.; Ricci, C.; Cocco, G.; Donati, D.; Farì, G.; Mezian, K.; Naňka, O.; Özçakar, L. From histology to sonography in skin and superficial tissue disorders: EURO-MUSCULUS/USPRM* approach. Pathol. Res. Pract. 2022, 237, 154003. [Google Scholar] [CrossRef] [PubMed]
- Ricci, V.; Ricci, C.; Gervasoni, F.; Andreoli, A.; Özçakar, L. From histo-anatomy to sonography in lymphedema: EURO-MUSCULUS/USPRM approach. Eur. J. Phys. Rehabil. Med. 2022, 58, 108–117. [Google Scholar] [CrossRef]
- Schneeberger, A.G.; Masquelet, A.C. Arterial vascularization of the proximal extensor carpi radialis brevis tendon. Clin. Orthop. Relat. Res. 2002, 398, 239–244. [Google Scholar] [CrossRef] [PubMed]
- Spang, C.; Alfredson, H. Richly innervated soft tissues covering the superficial aspect of the extensor origin in patients with chronic painful tennis elbow—Implication for treatment? J. Musculoskelet. Neuronal Interact. 2017, 17, 97–103. [Google Scholar] [PubMed]
- Ricci, V.; Ricci, C.; Tamborrini, G.; Chang, K.V.; Mezian, K.; Zunica, F.; Naňka, O.; Kara, M.; Özçakar, L. From histology to sonography in synovitis: EURO-MUSCULUS/USPRM approach. Pathol. Res. Pract. 2023, 241, 154273. [Google Scholar] [CrossRef]
- Omoumi, P.; Gondim Teixeira, P.A.; Ward, S.R.; Trudell, D.; Resnick, D. Practical ultrasonographic technique to precisely identify and differentiate tendons and ligaments of the elbow at the level of the humeral epicondyles: Anatomical study. Skelet. Radiol. 2021, 50, 1369–1377. [Google Scholar] [CrossRef] [PubMed]
- Ricci, V.; Abdulsalam, A.J.; Özçakar, L. Ultrasound Imaging for Dummies: Getting oriented among the planes. J. Rehabil. Med. 2019, 51, 624–625. [Google Scholar] [CrossRef] [PubMed]
- Ricci, V.; Özçakar, L. From “ultrasound imaging” to “ultrasound examination”: A needful upgrade in musculoskeletal medicine. Pain Med. 2020, 21, 1304–1306. [Google Scholar] [CrossRef] [PubMed]
- Pellegrino, R.; Paolucci, T.; Brindisino, F.; Mondardini, P.; Di Iorio, A.; Moretti, A.; Iolascon, G. Effectiveness of high-intensity laser therapy plus ultrasound-guided peritendinous hyaluronic acid compared to therapeutic exercise for patients with lateral elbow tendinopathy. J. Clin. Med. 2022, 11, 5492. [Google Scholar] [CrossRef] [PubMed]
- Fogli, M.; Giordan, N.; Mazzoni, G. Efficacy and safety of hyaluronic acid (500–730 kDa) ultrasound-guided injections on painful tendinopathies: A prospective, open label, clinical study. Muscles Ligaments Tendons J. 2017, 7, 388–395. [Google Scholar] [CrossRef] [PubMed]
- Clarke, A.W.; Ahmad, M.; Curtis, M.; Connell, D.A. Lateral elbow tendinopathy: Correlation of ultrasound findings with pain and functional disability. Am. J. Sports Med. 2010, 38, 1209–1214. [Google Scholar] [CrossRef] [PubMed]
- Greenbaum, B.; Itamura, J.; Vangsness, C.T.; Tibone, J.; Atkinson, R. Extensor carpi radialis brevis. An anatomical analysis of its origin. J. Bone Jt. Surg. Br. 1999, 81, 926–929. [Google Scholar] [CrossRef]
- Zeisig, E.; Ohberg, L.; Alfredson, H. Sclerosing polidocanol injections in chronic painful tennis elbow-promising results in a pilot study. Knee Surg. Sports Traumatol. Arthrosc. 2006, 14, 1218–1224. [Google Scholar] [CrossRef]
- Ljung, B.O.; Forsgren, S.; Fridén, J. Substance P and calcitonin gene-related peptide expression at the extensor carpi radialis brevis muscle origin: Implications for the etiology of tennis elbow. J. Orthop. Res. 1999, 17, 554–559. [Google Scholar] [CrossRef] [PubMed]
- Krogh, T.P.; Fredberg, U.; Ammitzbøll, C.; Ellingsen, T. Clinical value of ultrasonographic assessment in lateral epicondylitis versus asymptomatic healthy controls. Am. J. Sports Med. 2020, 48, 1873–1883. [Google Scholar] [CrossRef] [PubMed]
- du Toit, C.; Stieler, M.; Saunders, R.; Bisset, L.; Vicenzino, B. Diagnostic accuracy of power doppler ultrasound in patients with chronic tennis elbow. Br. J. Sports Med. 2008, 42, 872–876. [Google Scholar] [CrossRef]
- Ricci, V.; Güvener, O.; Chang, K.V.; Wu, W.T.; Mezian, K.; Kara, M.; Leblebicioğlu, G.; Pirri, C.; Ata, A.M.; Dughbaj, M.; et al. EURO-MUSCULUS/USPRM dynamic ultrasound protocols for elbow. Am. J. Phys. Med. Rehabil. 2022, 101, e83–e92. [Google Scholar] [CrossRef] [PubMed]
- Sussman, W.I.; Williams, C.J.; Mautner, K. Ultrasound-guided elbow procedures. Phys. Med. Rehabil. Clin. N. Am. 2016, 27, 573–587. [Google Scholar] [CrossRef]
- Ricci, V.; Schroeder, A.; Özçakar, L. Ultrasound imaging for lateral elbow pain: Pinpointing the epicondylosis. Am. J. Phys. Med. Rehabil. 2020, 99, 560–561. [Google Scholar] [CrossRef]
- De Maeseneer, M.; Brigido, M.K.; Antic, M.; Lenchik, L.; Milants, A.; Vereecke, E.; Jager, T.; Shahabpour, M. Ultrasound of the elbow with emphasis on detailed assessment of ligaments, tendons, and nerves. Eur. J. Radiol. 2015, 84, 671–681. [Google Scholar] [CrossRef]
- Park, G.Y.; Kwon, D.R.; Cho, H.K.; Park, J.; Park, J.H. Distribution of platelet-rich plasma after ultrasound-guided injection for chronic elbow tendinopathies. J. Sports Sci. Med. 2017, 16, 1–5. [Google Scholar]
- Stenhouse, G.; Sookur, P.; Watson, M. Do blood growth factors offer additional benefit in refractory lateral epicondylitis? A prospective, randomized pilot trial of dry needling as a stand-alone procedure versus dry needling and autologous conditioned plasma. Skelet. Radiol. 2013, 42, 1515–1520. [Google Scholar] [CrossRef]
- McShane, J.M.; Shah, V.N.; Nazarian, L.N. Sonographically guided percutaneous needle tenotomy for treatment of common extensor tendinosis in the elbow: Is a corticosteroid necessary? J. Ultrasound Med. 2008, 27, 1137–1144. [Google Scholar] [CrossRef]
- Hammerman, M.; Aspenberg, P.; Eliasson, P. Microtrauma stimulates rat achilles tendon healing via an early gene expression pattern similar to mechanical loading. J. Appl. Physiol. (1985) 2014, 116, 54–60. [Google Scholar] [CrossRef] [PubMed]
- Darrieutort-Laffite, C.; Soslowsky, L.J.; Le Goff, B. Molecular and structural effects of percutaneous interventions in chronic achilles tendinopathy. Int. J. Mol. Sci. 2020, 21, 7000. [Google Scholar] [CrossRef]
- Calderón-Díez, L.; Sánchez-Sánchez, J.L.; Herrero-Turrión, J.; Cleland, J.; Arias-Buría, J.L.; Fernández-de-Las-Peñas, C. Dry needling of a healthy rat achilles tendon increases its gene expressions: A pilot study. Pain Med. 2021, 22, 112–117. [Google Scholar] [CrossRef] [PubMed]
- Stoychev, V.; Finestone, A.S.; Kalichman, L. Dry needling as a treatment modality for tendinopathy: A narrative review. Curr. Rev. Musculoskelet. Med. 2020, 13, 133–140. [Google Scholar] [CrossRef] [PubMed]
- Pringels, L.; Cook, J.L.; Witvrouw, E.; Burssens, A.; Vanden Bossche, L.; Wezenbeek, E. Exploring the role of intratendinous pressure in the pathogenesis of tendon pathology: A narrative review and conceptual framework. Br. J. Sports Med. 2022. [Google Scholar] [CrossRef]
- Milz, S.; Tischer, T.; Buettner, A.; Schieker, M.; Maier, M.; Redman, S.; Emery, P.; McGonagle, D.; Benjamin, M. Molecular composition and pathology of entheses on the medial and lateral epicondyles of the humerus: A structural basis for epicondylitis. Ann. Rheum. Dis. 2004, 63, 1015–1021. [Google Scholar] [CrossRef] [PubMed]
- Kehl, A.S.; Corr, M.; Weisman, M.H. Review: Enthesitis: New insights into pathogenesis, diagnostic modalities, and treatment. Arthritis Rheumatol. 2016, 68, 312–322. [Google Scholar] [CrossRef]
- Tamborrini, G.; Bruyn, G.A. CME-Sonografie 93: Ultraschall der Enthese—Nicht jede «Enthesitis» bedeutet eine Spondyloarthritis [CME Sonography 93: Ultrasound of the Enthesis—Not Every “Enthesitis” Signals a Spondyloarthritis]. Praxis 2020, 109, 888–896. [Google Scholar] [CrossRef]
- Gandjbakhch, F.; Terslev, L.; Joshua, F.; Wakefield, R.J.; Naredo, E.; D’Agostino, M.A.; OMERACT Ultrasound Task Force. Ultrasound in the evaluation of enthesitis: Status and perspectives. Arthritis Res. Ther. 2011, 13, R188. [Google Scholar] [CrossRef]
- McShane, J.M.; Nazarian, L.N.; Harwood, M.I. Sonographically guided percutaneous needle tenotomy for treatment of common extensor tendinosis in the elbow. J. Ultrasound Med. 2006, 25, 1281–1289. [Google Scholar] [CrossRef]
- Yoo, S.H.; Cha, J.G.; Lee, B.R. Ultrasound-guided percutaneous bone drilling for the treatment of lateral epicondylitis. Eur. Radiol. 2018, 28, 390–397. [Google Scholar] [CrossRef] [PubMed]
- Ahmad, Z.; Siddiqui, N.; Malik, S.S.; Abdus-Samee, M.; Tytherleigh-Strong, G.; Rushton, N. Lateral epicondylitis: A review of pathology and management. Bone Jt. J. 2013, 95, 1158–1164. [Google Scholar] [CrossRef] [PubMed]
- Ricci, V.; Becciolini, M.; Özçakar, L. Ultrasound imaging for recalcitrant lateral elbow pain: Radio-humeral synovial plica is also at play. Pain Med. 2020, 21, 875–878. [Google Scholar] [CrossRef] [PubMed]
- Ricci, V.; Özçakar, L. Ultrasound-guided intra-articular injection of the elbow: Targeting deep to anconeus muscle. Pain Med. 2020, 21, 3242–3243. [Google Scholar] [CrossRef]
- Tortora, S.; Messina, C.; Albano, D.; Serpi, F.; Corazza, A.; Carrafiello, G.; Sconfienza, L.M.; Gitto, S. Ultrasound-guided musculoskeletal interventional procedures around the elbow, hand and wrist excluding carpal tunnel procedures. J. Ultrason. 2021, 21, e169–e176. [Google Scholar] [CrossRef] [PubMed]
- Chen, J.L.; Cheng, W.J.; Chen, K.Y.; Chen, C.P.C. Ultrasound-guided injection approach of treating tennis elbow and elbow joint synovitis simultaneously under one needle insertion point. Am. J. Phys. Med. Rehabil. 2022, 101, e115–e116. [Google Scholar] [CrossRef]
- Kalichman, L.; Bannuru, R.R.; Severin, M.; Harvey, W. Injection of botulinum toxin for treatment of chronic lateral epicondylitis: Systematic review and meta-analysis. Semin. Arthritis Rheum. 2011, 40, 532–538. [Google Scholar] [CrossRef]
- Galván Ruiz, A.; Vergara Díaz, G.; Rendón Fernández, B.; Echevarría Ruiz De Vargas, C. Effects of ultrasound-guided administration of botulinum toxin (incobotulinumtoxin A) in patients with lateral epicondylitis. Toxins 2019, 11, 46. [Google Scholar] [CrossRef]
- Ricci, V.; Özçakar, L. Life after ultrasound: Are we speaking the same (or a new) language in physical and rehabilitation medicine? J. Rehabil. Med. 2019, 51, 234–235. [Google Scholar] [CrossRef]






| Procedure | Target | Technical Note |
|---|---|---|
| Peritendinous | Interface between the CET and the forearm fascia | High-volume hydrodissection detaching the fascia from the underlying CET * |
| Intratendinous | Inside a specific portion of the CET | Intralesional injection and/or fenestration of the degenerated area |
| Enthesis | Tendon-bone interface | Intralesional injection and/or fibrocartilage plate abrasion |
Disclaimer/Publisher’s Note: The statements, opinions and data contained in all publications are solely those of the individual author(s) and contributor(s) and not of MDPI and/or the editor(s). MDPI and/or the editor(s) disclaim responsibility for any injury to people or property resulting from any ideas, methods, instructions or products referred to in the content. |
© 2023 by the authors. Licensee MDPI, Basel, Switzerland. This article is an open access article distributed under the terms and conditions of the Creative Commons Attribution (CC BY) license (https://creativecommons.org/licenses/by/4.0/).
Share and Cite
Ricci, V.; Mezian, K.; Cocco, G.; Tamborrini, G.; Fari, G.; Zunica, F.; Chang, K.-V.; Kara, M.; Özçakar, L. Ultrasonography for Injecting (Around) the Lateral Epicondyle: EURO-MUSCULUS/USPRM Perspective. Diagnostics 2023, 13, 717. https://doi.org/10.3390/diagnostics13040717
Ricci V, Mezian K, Cocco G, Tamborrini G, Fari G, Zunica F, Chang K-V, Kara M, Özçakar L. Ultrasonography for Injecting (Around) the Lateral Epicondyle: EURO-MUSCULUS/USPRM Perspective. Diagnostics. 2023; 13(4):717. https://doi.org/10.3390/diagnostics13040717
Chicago/Turabian StyleRicci, Vincenzo, Kamal Mezian, Giulio Cocco, Giorgio Tamborrini, Giacomo Fari, Fiammetta Zunica, Ke-Vin Chang, Murat Kara, and Levent Özçakar. 2023. "Ultrasonography for Injecting (Around) the Lateral Epicondyle: EURO-MUSCULUS/USPRM Perspective" Diagnostics 13, no. 4: 717. https://doi.org/10.3390/diagnostics13040717
APA StyleRicci, V., Mezian, K., Cocco, G., Tamborrini, G., Fari, G., Zunica, F., Chang, K.-V., Kara, M., & Özçakar, L. (2023). Ultrasonography for Injecting (Around) the Lateral Epicondyle: EURO-MUSCULUS/USPRM Perspective. Diagnostics, 13(4), 717. https://doi.org/10.3390/diagnostics13040717

