Spinal Metastasis in a Patient with Supratentorial Glioblastoma with Primitive Neuronal Component: A Case Report with Clinical and Molecular Evaluation
Abstract
1. Introduction
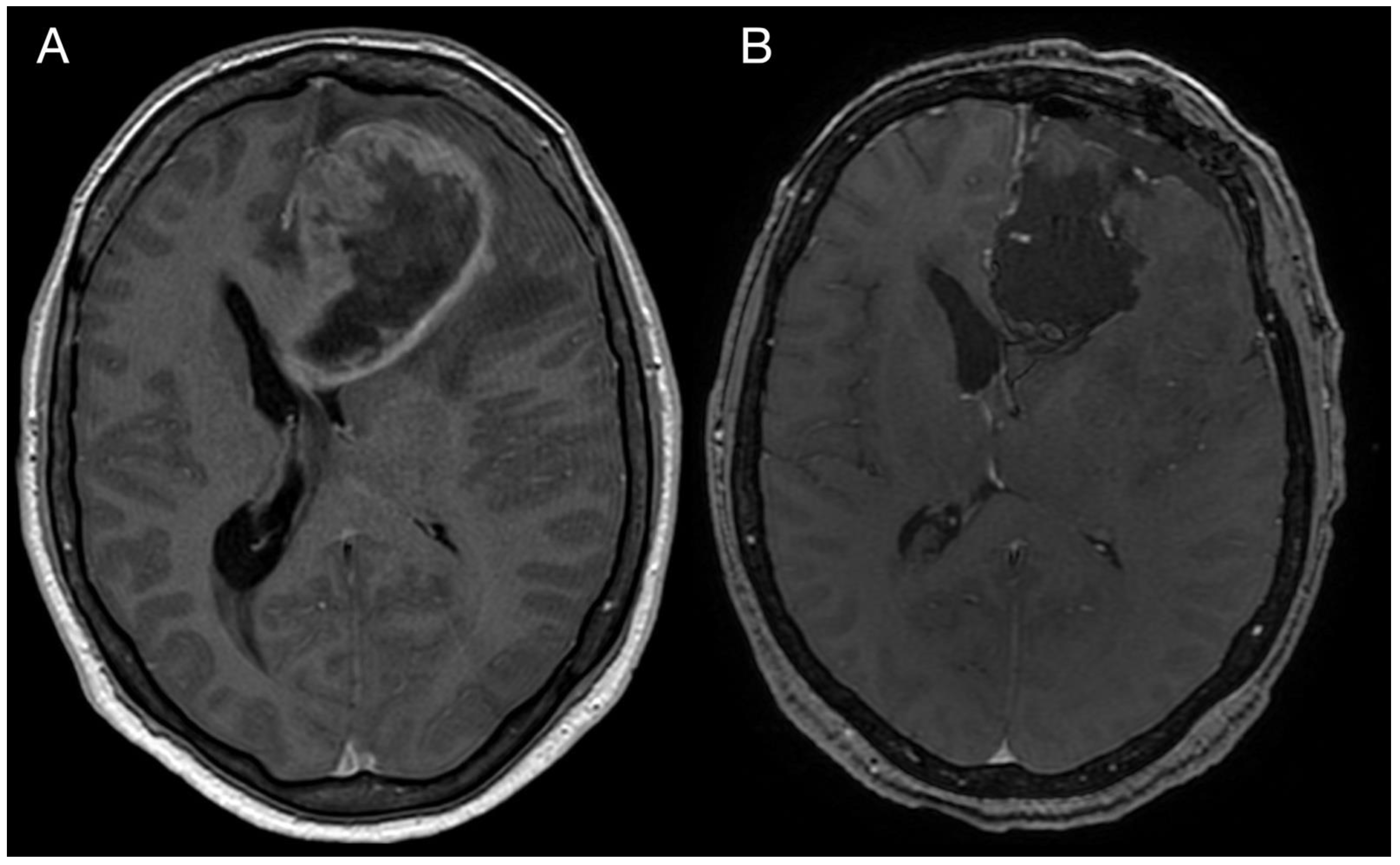
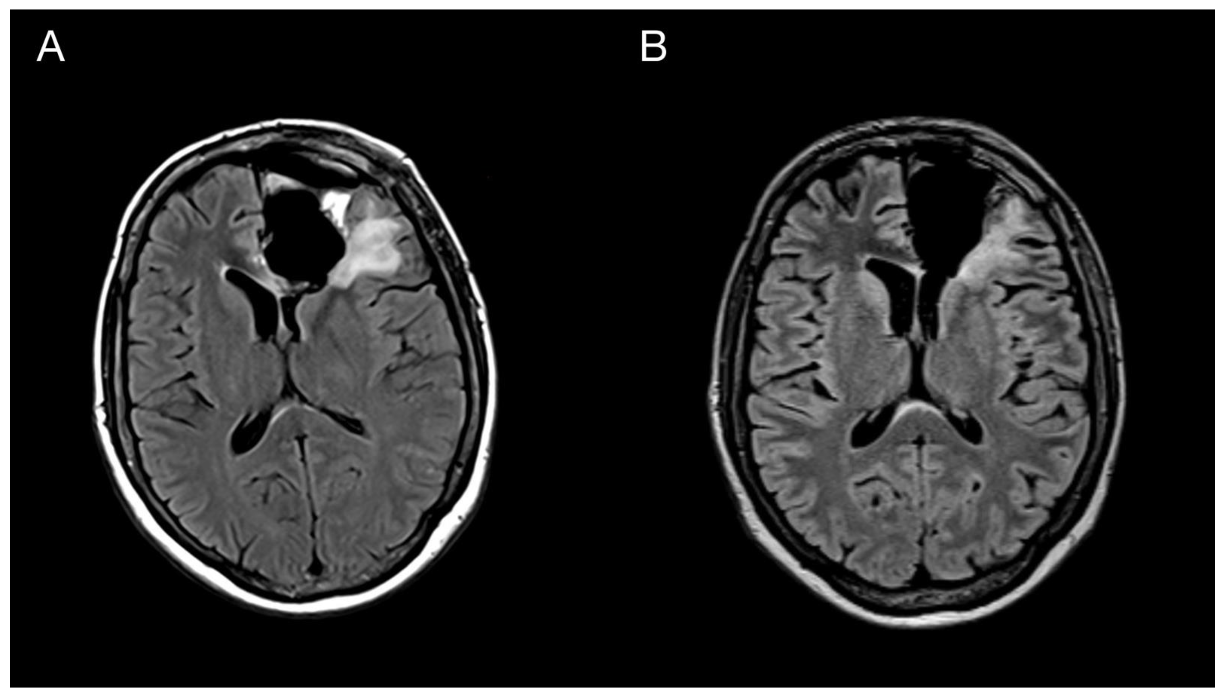
2. Case Report
3. Discussion
4. Conclusions
Author Contributions
Funding
Institutional Review Board Statement
Informed Consent Statement
Data Availability Statement
Conflicts of Interest
References
- Ostrom, Q.T.; Cioffi, G.; Waite, K.; Kruchko, C.; Barnholtz-Sloan, J.S. CBTRUS Statistical Report: Primary Brain and Other Central Nervous System Tumors Diagnosed in the United States in 2014-2018. Neuro-Oncology 2021, 23, iii1–iii105. [Google Scholar] [CrossRef] [PubMed]
- Lakomy, R.; Kazda, T.; Selingerova, I.; Poprach, A.; Pospisil, P.; Belanova, R.; Fadrus, P.; Smrcka, M.; Vybihal, V.; Jancalek, R.; et al. Pre-Radiotherapy Progression after Surgery of Newly Diagnosed Glioblastoma: Corroboration of New Prognostic Variable. Diagnostics 2020, 10, 676. [Google Scholar] [CrossRef] [PubMed]
- Drumm, M.R.; Dixit, K.S.; Grimm, S.; Kumthekar, P.; Lukas, R.V.; Raizer, J.J.; Stupp, R.; Chheda, M.G.; Kam, K.-L.; McCord, M.; et al. Extensive brainstem infiltration, not mass effect, is a common feature of end-stage cerebral glioblastomas. Neuro-Oncology 2019, 22, 470–479. [Google Scholar] [CrossRef] [PubMed]
- Lakomy, R.; Kazda, T.; Selingerova, I.; Poprach, A.; Pospisil, P.; Belanova, R.; Fadrus, P.; Vybihal, V.; Smrcka, M.; Jancalek, R.; et al. Real-World Evidence in Glioblastoma: Stupp’s Regimen After a Decade. Front. Oncol. 2020, 10, 840. [Google Scholar] [CrossRef]
- Stupp, R.; Mason, W.; van den Bent, M.; Weller, M.; Fisher, B.; Taphoorn, M.; Belanger, K.; Brandes, A.; Marosi, C.; Bogdahn, U.; et al. Radiotherapy plus concomitant and adjuvant temozolomide for glioblastoma. N. Engl. J. Med. 2005, 352, 987–996. [Google Scholar] [CrossRef]
- Amitendu, S.; Mak, S.K.D.; Ling, J.M.; Ng, W.H. A single institution experience of the incidence of extracranial metastasis in glioma. J. Clin. Neurosci. 2012, 19, 1511–1515. [Google Scholar] [CrossRef]
- Vertosick, F.T., Jr.; Selker, R.G. Brain stem and spinal metastases of supratentorial glioblastoma multiforme: A clinical series. Neurosurgery 1990, 27, 516–521. [Google Scholar] [CrossRef]
- Onda, K.; Tanaka, R.; Takahashi, H.; Takeda, N.; Ikuta, F. Cerebral glioblastoma with cerebrospinal fluid dissemination: A clinicopathological study of 14 cases examined by complete autopsy. Neurosurgery 1989, 25, 533–540. [Google Scholar] [CrossRef]
- Rosen, J.; Blau, T.; Grau, S.J.; Barbe, M.T.; Fink, G.R.; Galldiks, N. Extracranial Metastases of a Cerebral Glioblastoma: A Case Report and Review of the Literature. Case Rep. Oncol. 2018, 11, 591–600. [Google Scholar] [CrossRef]
- WHO Classification of Tumours Editorial Board. Central nervous system tumours. In WHO Classification of Tumours Series, 5th ed.; International Agency for Research on Cancer: Lyon, France, 2021; Volume 6, Available online: https://tumourclassification.iarc.who.int/chapters/45 (accessed on 26 March 2021).
- Suwala, A.; Stichel, D.; Schrimpf, D.; Maas, S.; Sill, M.; Dohmen, H.; Banan, R.; Reinhardt, A.; Sievers, P.; Hinz, F.; et al. Glioblastomas with primitive neuronal component harbor a distinct methylation and copy-number profile with inactivation of TP53, PTEN, and RB1. Acta Neuropathol. 2021, 142, 179–189. [Google Scholar] [CrossRef]
- Perry, A.; Miller, R.; Gujrati, M.; Scheithauer, B.; Zambrano, S.C.; Jost, S.; Raghavan, R.; Qian, J.; Cochran, E.; Huse, J.; et al. Malignant gliomas with primitive neuroectodermal tumor-like components: A clinicopathologic and genetic study of 53 cases. Brain Pathol. 2009, 19, 81–90. [Google Scholar] [CrossRef] [PubMed]
- Georgescu, M.M.; Olar, A. Genetic and histologic spatiotemporal evolution of recurrent, multifocal, multicentric and metastatic glioblastoma. Acta neuropathologica communications. Acta Neuropathol. Commun. 2020, 8, 10. [Google Scholar] [CrossRef] [PubMed]
- Franceschi, S.; Lessi, F.; Aretini, P.; Mazzanti, C.M.; Menicagli, M.; La Ferla, M.; De Gregorio, V.; Caramella, D.; Naccarato, A.G.; Bevilacqua, G.; et al. Molecular portrait of a rare case of metastatic glioblastoma: Somatic and germline mutations using whole-exome sequencing. Neuro-Oncology 2016, 18, 298–300. [Google Scholar] [CrossRef] [PubMed]
- Noch, E.K.; Sait, S.F.; Farooq, S.; Trippett, T.M.; Miller, A.M. A case series of extraneural metastatic glioblastoma at Memorial Sloan Kettering Cancer Center. Neuro Oncol. Pract. 2021, 8, 325–336. [Google Scholar] [CrossRef]
- Umphlett, M.; Shea, S.; Tome-Garcia, J.; Zhang, Y.; Hormigo, A.; Fowkes, M.; Tsankova, N.M.; Yong, R.L. Widely metastatic glioblastoma with BRCA1 and ARID1A mutations: A case report. BMC Cancer 2020, 20, 47. [Google Scholar] [CrossRef]
- Mohme, M.; Maire, C.L.; Schliffke, S.; Joosse, S.A.; Alawi, M.; Matschke, J.; Schüller, U.; Dierlamm, J.; Martens, T.; Pantel, K.; et al. Molecular profiling of an osseous metastasis in glioblastoma during checkpoint inhibition: Potential mechanisms of immune escape. Acta Neuropathol. Commun. 2020, 8, 1–13. [Google Scholar] [CrossRef]
- Boccaccio, C.; Comoglio, P.M. The MET oncogene in glioblastoma stem cells: Implications as a diagnostic marker and a therapeutic target. Cancer Res. 2013, 73, 3193–3199. [Google Scholar] [CrossRef]
- Wang, L.-B.; Karpova, A.; Gritsenko, M.A.; Kyle, J.E.; Cao, S.; Li, Y.; Rykunov, D.; Colaprico, A.; Rothstein, J.H.; Hong, R.; et al. Proteogenomic and metabolomic characterization of human glioblastoma. Cancer Cell 2021, 39, 509–528.e20. [Google Scholar] [CrossRef]
- Lombard, A.; Goffart, N.; Rogister, B. Glioblastoma circulating cells: Reality, trap or illusion? Stem Cells Int. 2015, 2015, 182985. [Google Scholar] [CrossRef]
- Sullivan, J.P.; Nahed, B.V.; Madden, M.W.; Oliveira, S.M.; Springer, S.; Bhere, D.; Chi, A.S.; Wakimoto, H.; Rothenberg, S.M.; Sequist, L.V.; et al. Brain Tumor Cells in Circulation Are Enriched for Mesenchymal Gene Expression. Cancer Discov. 2014, 4, 1299–1309. [Google Scholar] [CrossRef]
- Brennan, C.W.; Verhaak, R.G.W.; McKenna, A.; Campos, B.; Noushmehr, H.; Salama, S.R.; Zheng, S.; Chakravarty, D.; Sanborn, J.Z.; Berman, S.H.; et al. The Somatic Genomic Landscape of Glioblastoma. Cell 2013, 155, 462–477. [Google Scholar] [CrossRef]
- Vizcaíno, M.A.; Shah, S.; Eberhart, C.G.; Rodriguez, F.J. Clinicopathologic implications of NF1 gene alterations in diffuse gliomas. Hum. Pathol. 2015, 46, 1323–1330. [Google Scholar] [CrossRef] [PubMed]
- Ricker, C.A.; Pan, Y.; Gutmann, D.; Keller, C. Challenges in Drug Discovery for Neurofibromatosis Type 1-Associated Low-Grade Glioma. Front. Oncol. 2016, 6, 259. [Google Scholar] [CrossRef] [PubMed]
- Coelho, B.P.; Fernandes, C.F.D.L.; Boccacino, J.M.; Souza, M.C.D.S.; Melo-Escobar, M.I.; Alves, R.N.; Prado, M.B.; Iglesia, R.P.; Cangiano, G.; Mazzaro, G.L.R.; et al. Multifaceted WNT Signaling at the Crossroads Between Epithelial-Mesenchymal Transition and Autophagy in Glioblastoma. Front. Oncol. 2020, 10, 1–17. [Google Scholar] [CrossRef] [PubMed]
- Mahabir, R.; Tanino, M.; Elmansuri, A.; Wang, L.; Kimura, T.; Itoh, T.; Ohba, Y.; Nishihara, H.; Shirato, H.; Tsuda, M.; et al. Sustained elevation of Snail promotes glial-mesenchymal transition after irradiation in malignant glioma. Neuro-Oncology 2014, 16, 671–685. [Google Scholar] [CrossRef] [PubMed]
- Berthier, S.; Larrouquère, L.; Champelovier, P.; Col, E.; Lefebvre, C.; Cottet-Rouselle, C.; Arnaud, J.; Garrel, C.; Laporte, F.; Boutonnat, J.; et al. A New Patient-Derived Metastatic Glioblastoma Cell Line: Characterisation and Response to Sodium Selenite Anticancer Agent. Cancers 2019, 11, 12. [Google Scholar] [CrossRef]
- Xiu, M.; Wang, Y.; Li, B.; Wang, X.; Xiao, F.; Chen, S.; Zhang, L.; Zhou, B.; Hua, F. The Role of Notch3 Signaling in Cancer Stemness and Chemoresistance: Molecular Mechanisms and Targeting Strategies. Front. Mol. Biosci. 2021, 8, 1–17. [Google Scholar] [CrossRef]
- van Nes, J.; Chan, A.; van Groningen, T.; van Sluis, P.; Koster, J.; Versteeg, R. A NOTCH3 transcriptional module induces cell motility in neuroblastoma. Clin. Cancer Res. 2013, 19, 3485–3494. [Google Scholar] [CrossRef]
- Alqudah, M.A.Y.; Agarwal, S.; Al-Keilani, M.S.; Sibenaller, Z.A.; Ryken, T.C.; Assem, M. NOTCH3 Is a Prognostic Factor That Promotes Glioma Cell Proliferation, Migration and Invasion via Activation of CCND1 and EGFR. PLoS ONE 2013, 8, e77299. [Google Scholar] [CrossRef]
- Xu, S.; Tang, C. The Role of ARID1A in Tumors: Tumor Initiation or Tumor Suppression? Front. Oncol. 2021, 11, 1–18. [Google Scholar] [CrossRef]
- Shen, J.; Ju, Z.; Zhao, W.; Wang, L.; Peng, Y.; Ge, Z.; Nagel, Z.D.; Zou, J.; Wang, C.; Kapoor, P.; et al. ARID1A deficiency promotes mutability and potentiates therapeutic antitumor immunity unleashed by immune checkpoint blockade. Nat. Med. 2018, 24, 556–562. [Google Scholar] [CrossRef] [PubMed]









| Gene Symbol | VID | cDOT | pDOT | Consequence | ACMG Classification |
|---|---|---|---|---|---|
| TP53 | 17:7577548:T | c.733G>A | p.Gly245Ser | missense_variant | Pathogenic |
| PTEN | 10:89717672:T | c.697C>T | p.Arg233Ter | stop_gained | Pathogenic |
| RB1 | 13:48955573:A | c.1689G>A | p.Trp563Ter | stop_gained | Likely pathogenic |
| DHFR | 5:79950728:79950727:CAGCGCCCC | c.420_428dup | - | 5_prime_UTR_variant | Likely pathogenic |
| MET | 7:116435786:G | c.3930A>G | p.Ile1310Met | missense_variant | Uncertain significance, some pathogenic evidence |
| INPP4B | 4:143003277:A | c.2549C>T | p.Ser850Leu | missense_variant | Uncertain significance, likely pathogenic—minor evidence |
| CTNNB1 | 3:41266897:T | c.568C>T | p.Arg190Cys | missense_variant | Uncertain significance, likely pathogenic—minor evidence |
| CDK6 | 7:92247520:T | c.700G>A | p.Val234Met | missense_variant, splice_region_variant | Uncertain significance, likely pathogenic—minor evidence |
| BRAF | 7:140508723:A | c.577G>T | p.Glu193Ter | stop_gained | Pathogenic |
| DNMT3A | 2:25463224:C | c.2269A>G | p.Asn757Asp | missense_variant | Likely pathogenic |
| CSF1R | 5:149440455:T | c.1939G>A | p.Val647Ile | missense_variant | Likely pathogenic |
| CARD11 | 7:2987212:T | c.217G>A | p.Ala73Thr | missense_variant | Uncertain significance, likely pathogenic—minor evidence |
| EP300 | 22:41572399:T | c.4928C>T | p.Ser1643Leu | missense_variant | Uncertain significance, some pathogenic evidence |
| NF1 | 17:29654741:A | c.5493G>A | p.Trp1831Ter | stop_gained | Pathogenic |
| CARD11 | 7:2984016:A | c.514G>T | p.Glu172Ter | stop_gained | Pathogenic |
| CREBBP | 16:3779578:T | c.5470G>A | p.Ala1824Thr | missense_variant | Likely pathogenic |
| NOTCH3 | 19:15290914:T | c.3296G>A | p.Cys1099Tyr | missense_variant | Likely pathogenic |
| ARID1A | 1:27094430:T | c.3138G>T | p.Arg1046Ser | missense_variant | Uncertain significance, likely pathogenic—minor evidence |
| MTOR | 1:11259396:T | c.4172G>A | p.Arg1391Gln | missense_variant | Uncertain significance, likely pathogenic—minor evidence |
| EGFR | 7:55233118:G | c.1868A>G | p.Asn623Ser | missense_variant | Uncertain significance, likely pathogenic—minor evidence |
| EGFR | 7:55273060:T | c.3383C>T | p.Pro1128Leu | missense_variant | Uncertain significance, likely pathogenic—minor evidence |
| CHEK1 | 11:125507382:G | c.757A>G | p.Arg253Gly | missense_variant | Uncertain significance, likely pathogenic—minor evidence |
| CDK4 | 12:58144737:T | c.491T>A | p.Ile164Asn | missense_variant | Uncertain significance, likely pathogenic—minor evidence |
| SLX4 | 16:3651029:A | c.1114C>T | p.Arg372Trp | missense_variant | Uncertain significance, likely pathogenic—minor evidence |
| NF1 | 17:29557364:T | c.3077G>T | p.Arg1026Ile | missense_variant | Uncertain significance, likely pathogenic—minor evidence |
| RAD51C | 17:56772457:A | c.311G>A | p.Cys104Tyr | missense_variant | Uncertain significance, likely pathogenic—minor evidence |
| NOTCH3 | 19:15285102:T | c.4513C>A | p.Pro1505Thr | missense_variant | Uncertain significance, likely pathogenic—minor evidence |
Disclaimer/Publisher’s Note: The statements, opinions and data contained in all publications are solely those of the individual author(s) and contributor(s) and not of MDPI and/or the editor(s). MDPI and/or the editor(s) disclaim responsibility for any injury to people or property resulting from any ideas, methods, instructions or products referred to in the content. |
© 2023 by the authors. Licensee MDPI, Basel, Switzerland. This article is an open access article distributed under the terms and conditions of the Creative Commons Attribution (CC BY) license (https://creativecommons.org/licenses/by/4.0/).
Share and Cite
Hendrych, M.; Solar, P.; Hermanova, M.; Slaby, O.; Valekova, H.; Vecera, M.; Kopkova, A.; Mackerle, Z.; Kazda, T.; Pospisil, P.; et al. Spinal Metastasis in a Patient with Supratentorial Glioblastoma with Primitive Neuronal Component: A Case Report with Clinical and Molecular Evaluation. Diagnostics 2023, 13, 181. https://doi.org/10.3390/diagnostics13020181
Hendrych M, Solar P, Hermanova M, Slaby O, Valekova H, Vecera M, Kopkova A, Mackerle Z, Kazda T, Pospisil P, et al. Spinal Metastasis in a Patient with Supratentorial Glioblastoma with Primitive Neuronal Component: A Case Report with Clinical and Molecular Evaluation. Diagnostics. 2023; 13(2):181. https://doi.org/10.3390/diagnostics13020181
Chicago/Turabian StyleHendrych, Michal, Peter Solar, Marketa Hermanova, Ondrej Slaby, Hana Valekova, Marek Vecera, Alena Kopkova, Zdenek Mackerle, Tomas Kazda, Petr Pospisil, and et al. 2023. "Spinal Metastasis in a Patient with Supratentorial Glioblastoma with Primitive Neuronal Component: A Case Report with Clinical and Molecular Evaluation" Diagnostics 13, no. 2: 181. https://doi.org/10.3390/diagnostics13020181
APA StyleHendrych, M., Solar, P., Hermanova, M., Slaby, O., Valekova, H., Vecera, M., Kopkova, A., Mackerle, Z., Kazda, T., Pospisil, P., Lakomy, R., Chrastina, J., Sana, J., & Jancalek, R. (2023). Spinal Metastasis in a Patient with Supratentorial Glioblastoma with Primitive Neuronal Component: A Case Report with Clinical and Molecular Evaluation. Diagnostics, 13(2), 181. https://doi.org/10.3390/diagnostics13020181

