The MR Imaging of Primary Intrahepatic Lymphoepithelioma-like Cholangiocarcinoma: A Diagnostic Challenge
Abstract
:1. Introduction
2. Material and Methods
2.1. Patients
2.2. Imaging Acquisition
2.3. Imaging Analysis
- (i)
- Type A: Rim enhancement, characteristic of typical iCCA.
- (ii)
- Type B: Nonrim arterial phase hyperenhancement with wash-out in PVP or DP, which resembles the “rapid wash-in and wash-out” seen in typical HCC.
- (iii)
- Type C: Nonrim arterial phase hyperenhancement with either consistent enhancement or isointensity in PVP or DP, or “rapid wash-in without wash-out”
2.4. Statistical Analysis
3. Results
3.1. Clinical Findings
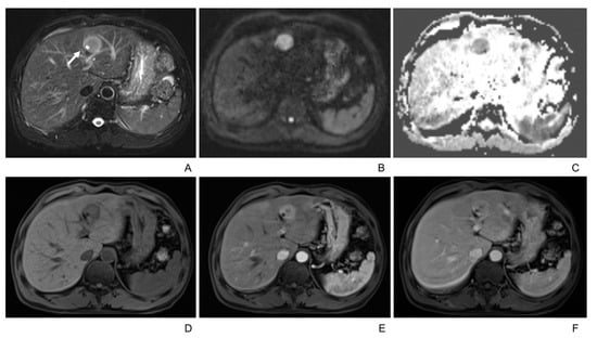
3.2. Imaging Manifestations
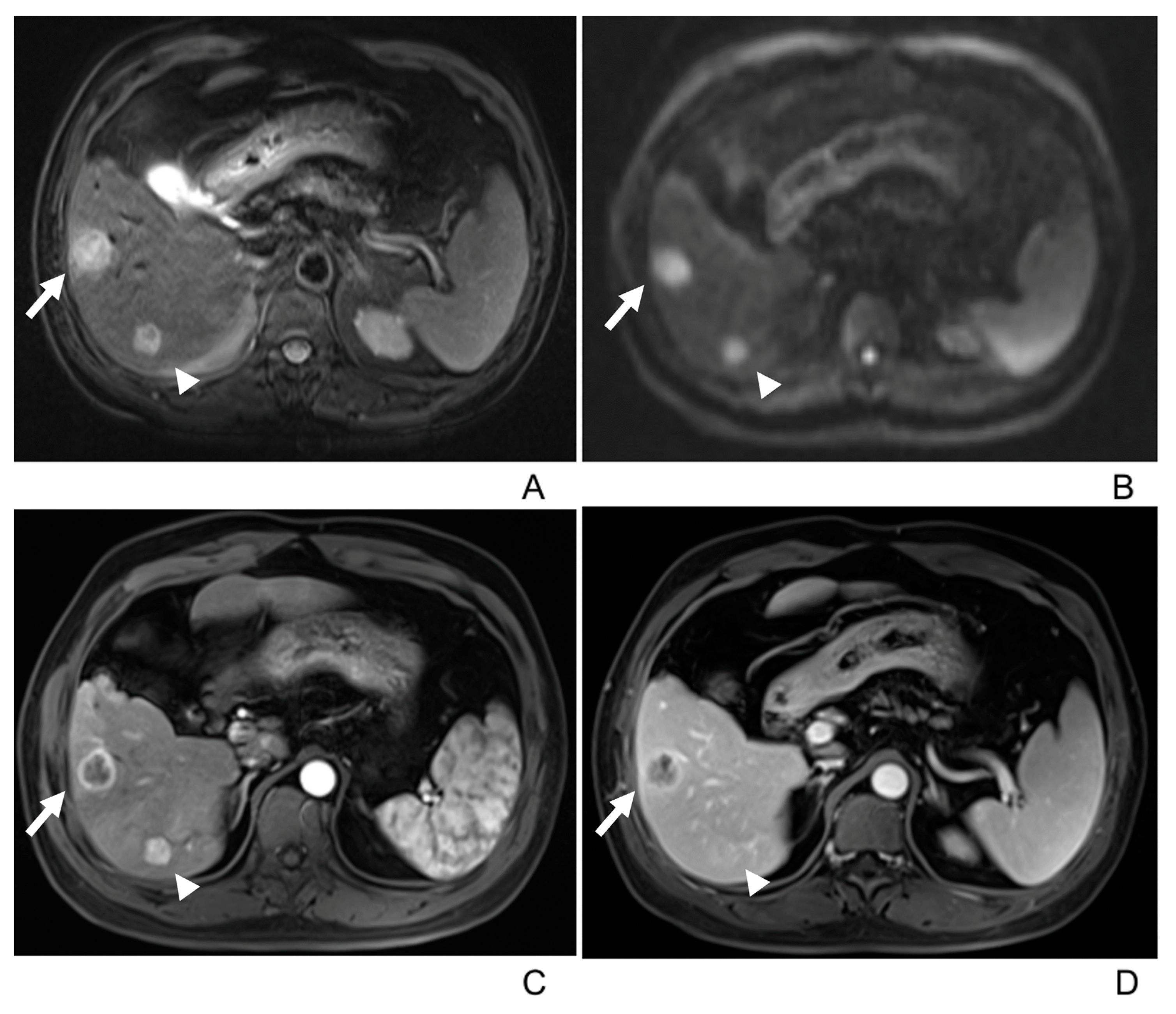
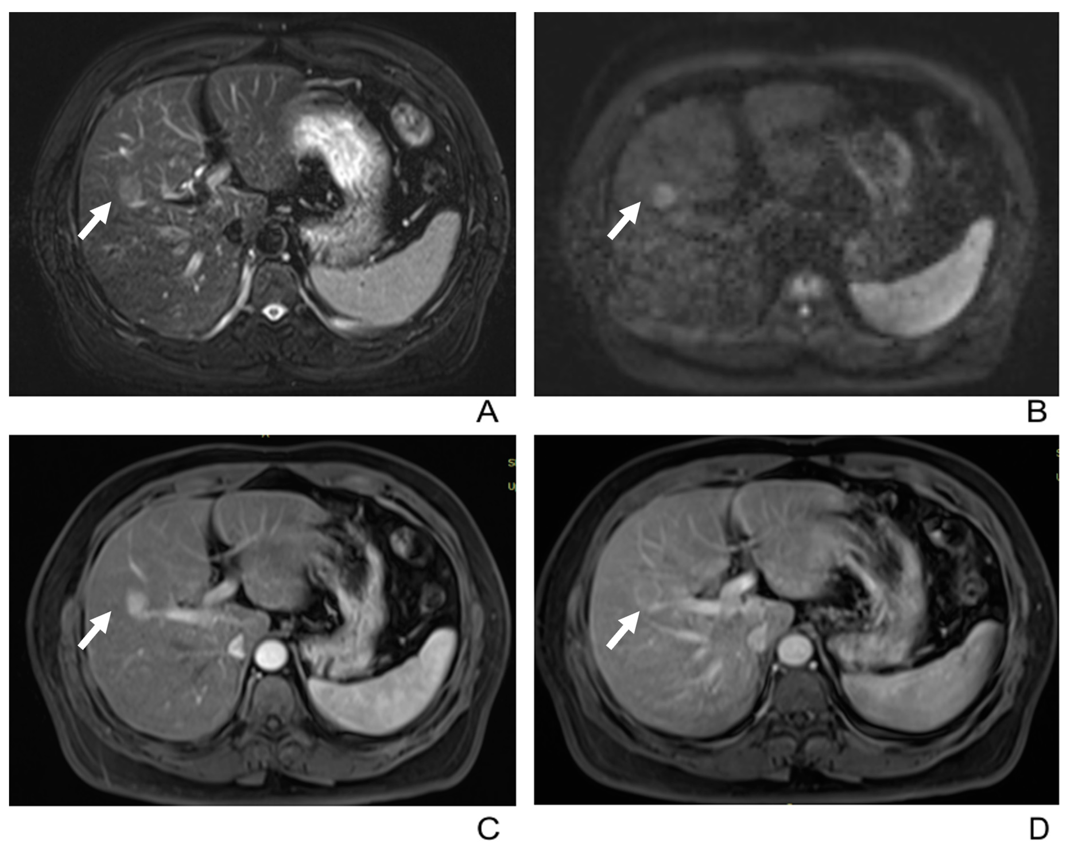
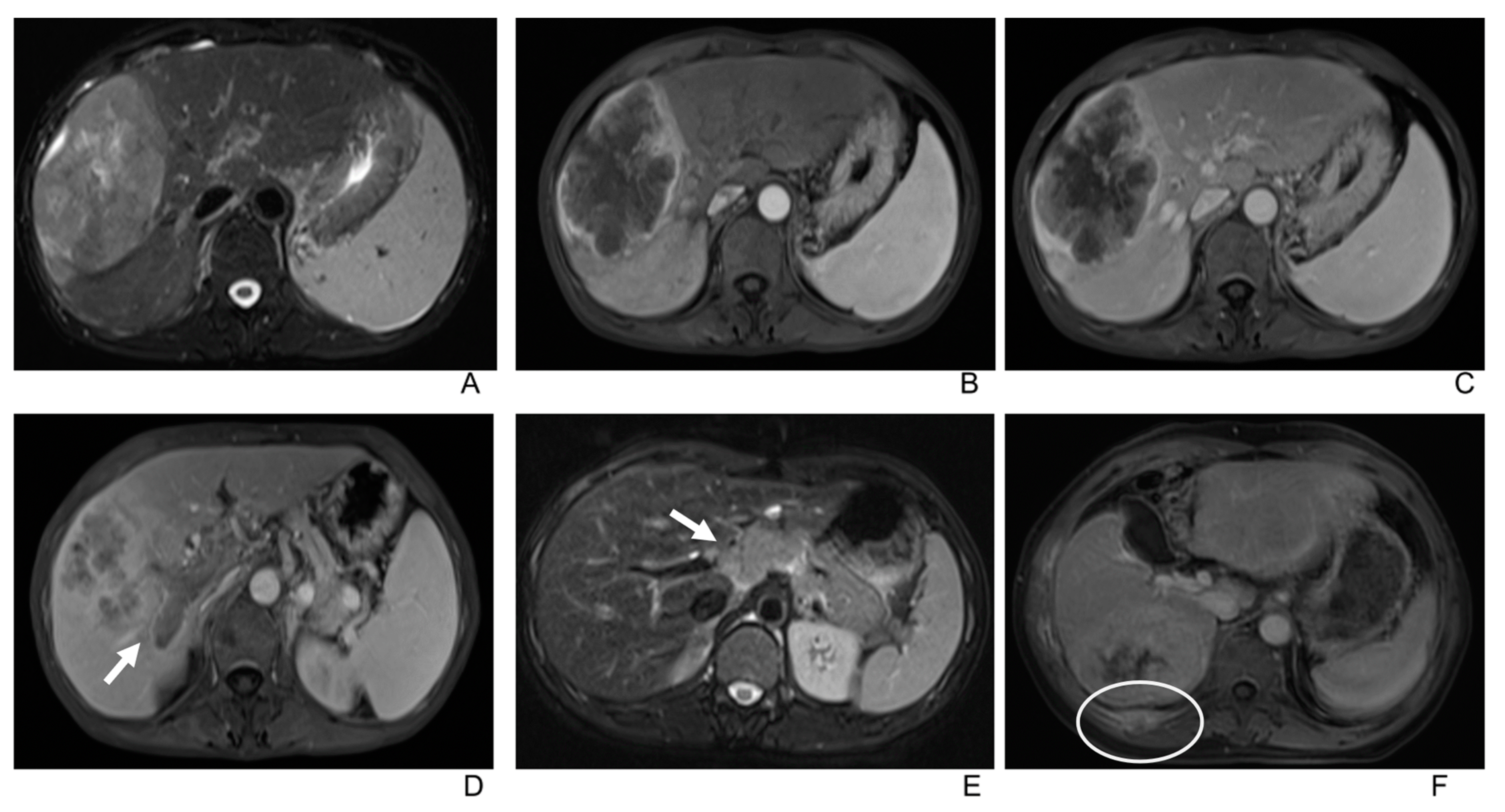
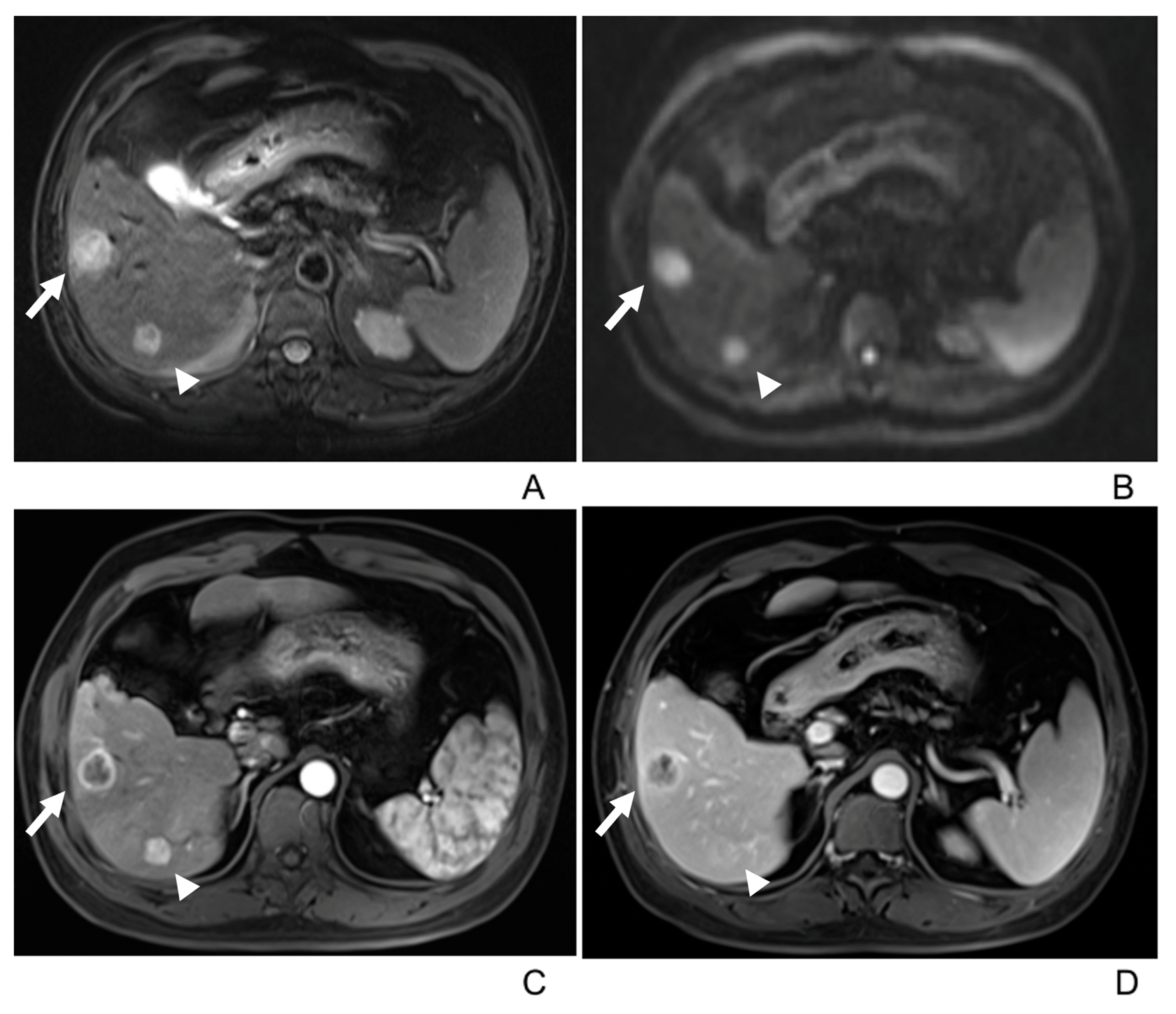
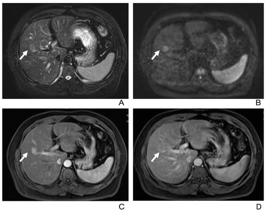
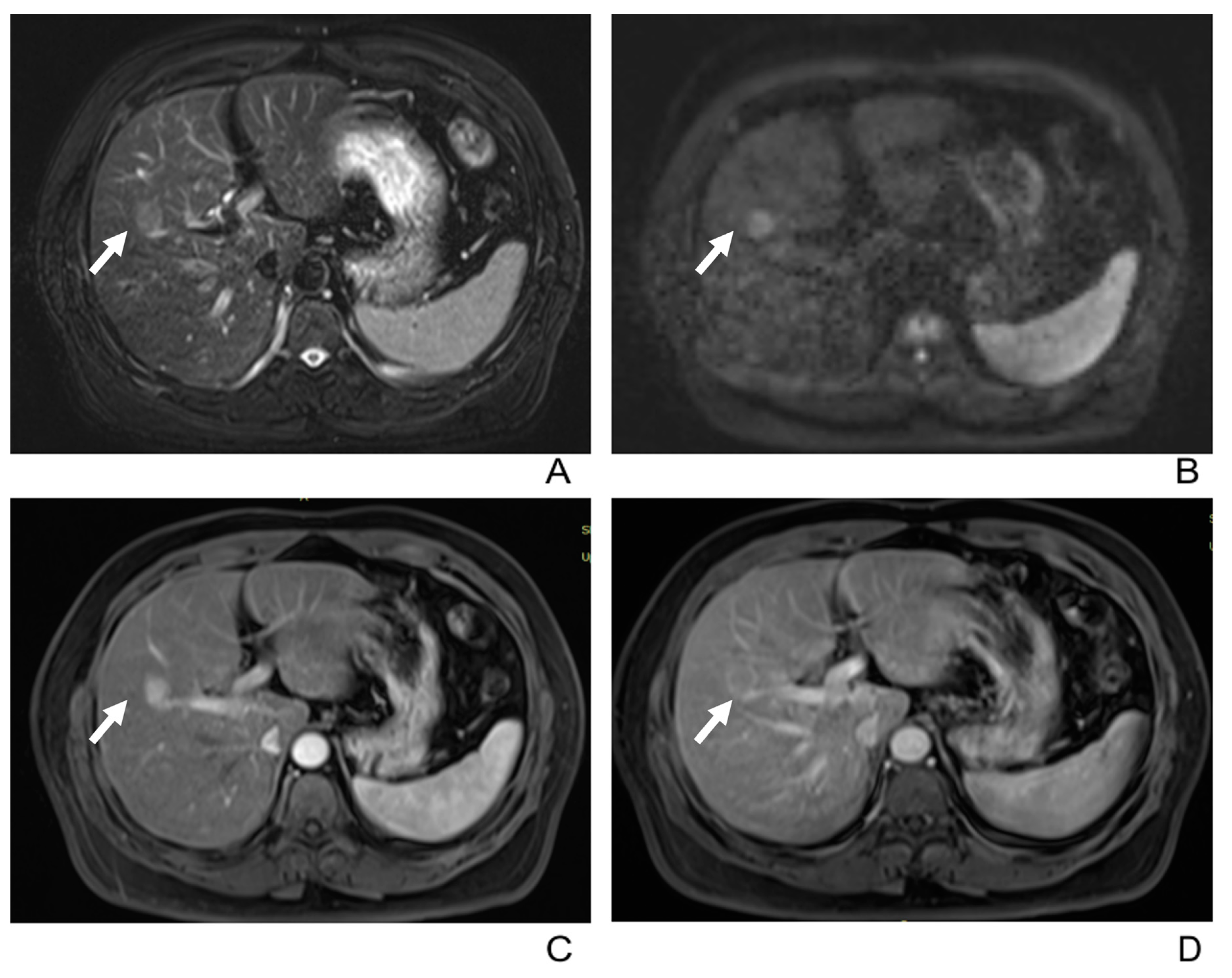
- Only two lesions showed a scar-like enhancement in the tumor in AP.
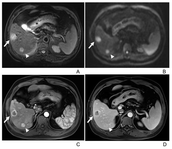
- Two tumors had associated satellite lesions.
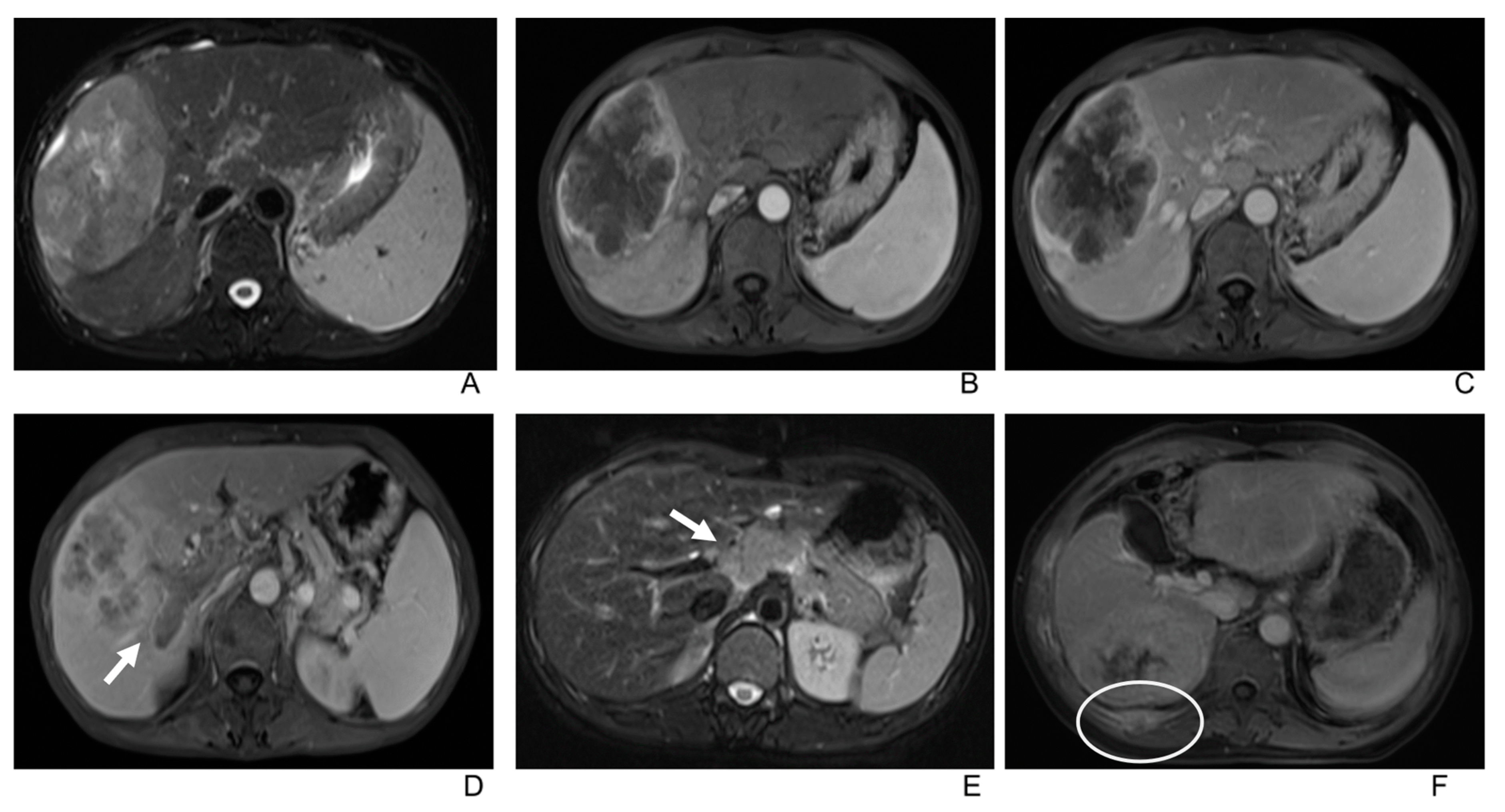
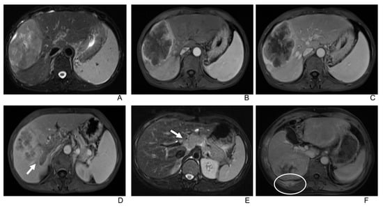
- Four patients had portal vein tumor thrombosis (Figure 3).
- Three patients exhibited intrahepatic biliary dilation, and one patient had distal metastasis on the 12th rib (Figure 3).
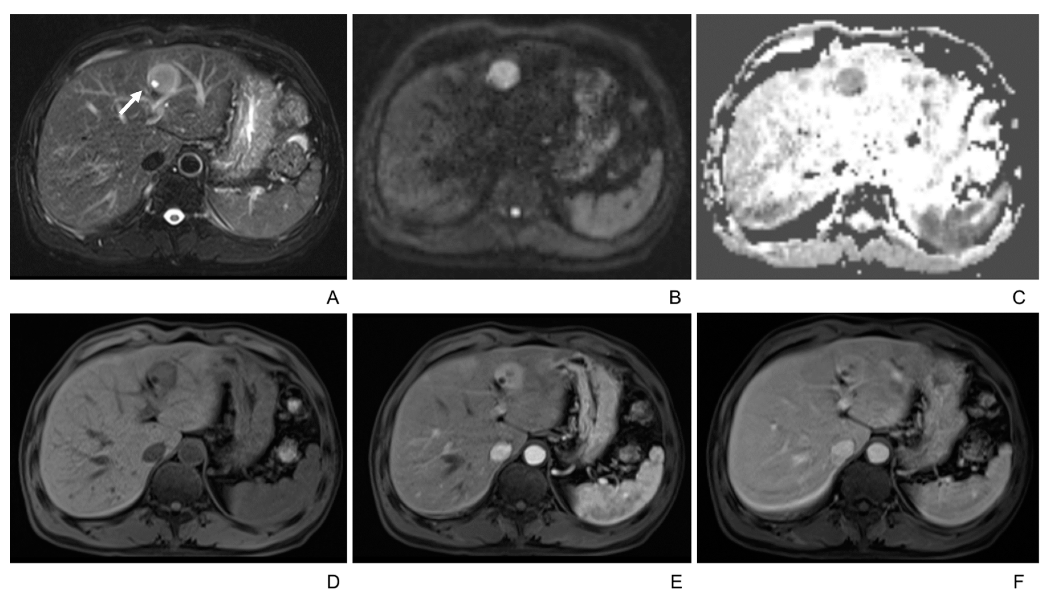
- Furthermore, lymph node enlargement was found in 9 patients, and metastases were discovered pathologically in 11 patients. The median short-axial diameter of the lymph node was 2.1 cm (range, 0.7 cm to 2.9 cm). Only two lymph nodes had necrosis inside, while the others all showed homogeneous hypervascular enhancement.
- Two patients underwent the gadoxetic acid-enhanced MRI, and both tumors showed hypointense in the hepatobiliary phase.
4. Discussion
5. Conclusions
Author Contributions
Funding
Institutional Review Board Statement
Informed Consent Statement
Data Availability Statement
Conflicts of Interest
References
- Chen, T.C.; Ng, K.F.; Kuo, T. Intrahepatic cholangiocarcinoma with lymphoepithelioma-like component. Mod. Pathol. 2001, 14, 527–532. [Google Scholar] [CrossRef]
- Lin, A.; Alpert, L.; Hart, J.; Chapman, C.; Pillai, A.A. Lymphoepithelioma-Like Carcinomas: A Rare Variant of Cholangiocarcinoma. Hepatology 2020, 72, 353–355. [Google Scholar] [CrossRef] [PubMed]
- Chung, Y.E.; Kim, M.J.; Park, Y.N.; Choi, J.Y.; Pyo, J.Y.; Kim, Y.C.; Cho, H.J.; Kim, K.A.; Choi, S.Y. Varying appearances of cholangiocarcinoma: Radiologic-pathologic correlation. Radiographics 2009, 29, 683–700. [Google Scholar] [CrossRef] [PubMed]
- Chen, C.J.; Jeng, L.B.; Huang, S.F. Lymphoepithelioma-like hepatocellular carcinoma. Chang Gung Med. J. 2007, 30, 172–177. [Google Scholar] [CrossRef] [PubMed]
- Chan, A.W.; Tong, J.H.; Sung, M.Y.; Lai, P.B.; To, K.F. Epstein-Barr virus-associated lymphoepithelioma-like cholangiocarcinoma: A rare variant of intrahepatic cholangiocarcinoma with favourable outcome. Histopathology 2014, 65, 674–683. [Google Scholar] [CrossRef] [PubMed]
- Huang, Y.H.; Zhang, C.Z.; Huang, Q.S.; Yeong, J.; Wang, F.; Yang, X.; He, Y.F.; Zhang, X.L.; Zhang, H.; Chen, S.L.; et al. Clinicopathologic features, tumor immune microenvironment and genomic landscape of Epstein-Barr virus-associated intrahepatic cholangiocarcinoma. J. Hepatol. 2021, 74, 838–849. [Google Scholar] [CrossRef] [PubMed]
- Labgaa, I.; Hiotis, S.; Ward, S.C. Lymphoepithelioma-like Cholangiocarcinoma: A Rare Finding with Good Outcomes. J. Clin. Gastroenterol. 2016, 50, 268. [Google Scholar] [CrossRef]
- Khandakar, B.; Liu, J.R.; Thung, S.; Li, Y.; Rhee, H.; Kagen, A.C.; Sun-Wing Tong, T.; Nyun Park, Y.; Theise, N.; Oi-Lin Ng, I. Lymphoepithelioma-like neoplasm of the biliary tract with ‘probable low malignant potential’. Histopathology 2022, 80, 720–728. [Google Scholar] [CrossRef] [PubMed]
- Liao, T.C.; Liu, C.A.; Chiu, N.C.; Yeh, Y.C.; Chiou, Y.Y. Lymphoepithelioma-like cholangiocarcinoma: A mimic of hepatocellular carcinoma on imaging features. World J. Gastroenterol. 2015, 21, 4089–4095. [Google Scholar] [CrossRef]
- Ding, Y.; Sun, Z.; You, W.; Zhang, S.; Chang, C.; Yan, S.; Wang, W. Lymphoepithelioma-like intrahepatic cholangiocarcinoma with Epstein-Barr virus infection: Report of a rare case. Ann. Transl. Med. 2019, 7, 497. [Google Scholar] [CrossRef]
- Hur, Y.H.; Kim, H.H.; Koh, Y.S.; Seoung, J.S.; Cho, C.K. Lymphoepithelioma-like cholangiocarcinoma not associated with Epstein-Barr virus. ANZ J. Surg. 2011, 81, 652–653. [Google Scholar] [CrossRef] [PubMed]
- Wei, J.; Liu, Q.; Wang, C.; Yu, S. Lymphoepithelioma-like hepatocellular carcinoma without Epstein-Barr virus infection: A case report and a review of the literature. Indian J. Pathol. Microbiol. 2015, 58, 550–553. [Google Scholar] [CrossRef]
- Nogami, A.; Saito, S.; Hasegawa, H.; Yoneda, M.; Harada, K.; Fujikawa, H. Lymphoepithelioma-like cholangiocarcinoma with Epstein-Barr virus infection treated by radiofrequency ablation. Clin. J. Gastroenterol. 2021, 14, 638–644. [Google Scholar] [CrossRef] [PubMed]
- Pan, Y.J.; Liu, W.; Qiu, Q.X.; Miao, S.L.; Zeng, M.S.; Shan, Y.; Lin, J.; Xu, P.J. Prognostic value of LI-RADS category on MRI in patients with primary hepatic lymphoepithelioma-like carcinoma. Eur. Radiol. 2023, 33, 5993–6000. [Google Scholar] [CrossRef] [PubMed]
- Yang, Q.; Cai, Q.; Wen, H.; Mao, Y.; Ban, X.; Rong, D.; Zhang, R. The CT and MRI Features of Primary Intrahepatic Lymphoepithelioma-Like Cholangiocarcinoma. AJR. Am. J. Roentgenol. 2021, 216, 393–402. [Google Scholar] [CrossRef]
- Sun, K.; Xu, S.; Wei, J.; Wang, B.; Owusu-Ansah, K.G.; Wang, W.; Wu, J.; Zheng, S. Clinicopathological features of 11 Epstein-Barr virus-associated intrahepatic cholangiocarcinoma at a single center in China. Medicine 2016, 95, e5069. [Google Scholar] [CrossRef]
- Lee, W. Intrahepatic lymphoepithelioma-like cholangiocarcinoma not associated with epstein-barr virus: A case report. Case Rep. Oncol. 2011, 4, 68–73. [Google Scholar] [CrossRef]
- Zhang, K.; Tao, C.; Tao, Z.; Wu, F.; An, S.; Wu, J.; Rong, W. Lymphoepithelioma-like carcinoma in liver not associated with Epstein-Barr virus: A report of 3 cases and literature review. Diagn. Pathol. 2020, 15, 115. [Google Scholar] [CrossRef]
- Aosasa, S.; Maejima, T.; Kimura, A.; Nishiyama, K.; Edo, H.; Shinmoto, H.; Kaji, T.; Ogata, S.; Hatsuse, K.; Hase, K.; et al. Intrahepatic Cholangiocarcinoma With Lymphoepithelioma-like Carcinoma Components Not Associated With Epstein-Barr Virus: Report of a Case. Int. Surg. 2015, 100, 689–695. [Google Scholar] [CrossRef]
- Kim, M.J.; Lee, S.; An, C. Problematic lesions in cirrhotic liver mimicking hepatocellular carcinoma. Eur. Radiol. 2019, 29, 5101–5110. [Google Scholar] [CrossRef]
- Lee, H.; Yoon, J.H.; Kim, H.; Yi, N.J.; Hong, S.K.; Yoon, K.C.; Kim, H.S.; Ahn, S.W.; Choi, J.Y.; Choi, Y.; et al. False Positive Diagnosis of Hepatocellular Carcinoma in Liver Resection Patients. J. Korean Med. Sci. 2017, 32, 315–320. [Google Scholar] [CrossRef]
- Hwang, J.; Kim, Y.K.; Min, J.H.; Choi, S.Y.; Jeong, W.K.; Hong, S.S.; Kim, H.J.; Ahn, S.; Ahn, H.S. Capsule, septum, and T2 hyperintense foci for differentiation between large hepatocellular carcinoma (>/=5 cm) and intrahepatic cholangiocarcinoma on gadoxetic acid MRI. Eur. Radiol. 2017, 27, 4581–4590. [Google Scholar] [CrossRef]
- Solinas, A.; Calvisi, D.F. Lessons from rare tumors: Hepatic lymphoepithelioma-like carcinomas. World J. Gastroenterol. 2015, 21, 3472–3479. [Google Scholar] [CrossRef] [PubMed]
- Junhao, L.; Hongxia, Z.; Jiajun, G.; Ahmad, I.; Shanshan, G.; Jianke, L.; Lingli, C.; Yuan, J.; Mengsu, Z.; Mingliang, W. Hepatic epithelioid angiomyolipoma: Magnetic resonance imaging characteristics. Abdom. Radiol. 2023, 48, 913–924. [Google Scholar] [CrossRef]
- Kadoya, M.; Matsui, O.; Takashima, T.; Nonomura, A. Hepatocellular carcinoma: Correlation of MR imaging and histopathologic findings. Radiology 1992, 183, 819–825. [Google Scholar] [CrossRef] [PubMed]
- Fujimoto, M.; Nakashima, O.; Komuta, M.; Miyaaki, T.; Kojiro, M.; Yano, H. Clinicopathological study of hepatocellular carcinoma with peliotic change. Oncol. Lett. 2010, 1, 17–21. [Google Scholar] [CrossRef] [PubMed]
- Wang, L.; Dong, H.; Ni, S.; Huang, D.; Tan, C.; Chang, B.; Sheng, W. Programmed death-ligand 1 is upregulated in intrahepatic lymphoepithelioma-like cholangiocarcinoma. Oncotarget 2016, 7, 69749–69759. [Google Scholar] [CrossRef] [PubMed]
- Jeng, Y.M.; Chen, C.L.; Hsu, H.C. Lymphoepithelioma-like cholangiocarcinoma: An Epstein-Barr virus-associated tumor. Am. J. Surg. Pathol. 2001, 25, 516–520. [Google Scholar] [CrossRef]
- Ling, W.; Lu, C.; Huang, H.; Qiu, T.; Lu, Q.; Huang, C.; Gong, P.; Luo, Y.; Chen, S. Ultrasonographic findings of intrahepatic lymphoepithelioma-like cholangiocarcinoma associated with Epstein-Barr virus: Two cases report. Medicine 2019, 98, e14206. [Google Scholar] [CrossRef]
- Gearty, S.V.; Al Jurdi, A.; Pittman, M.E.; Gupta, R. An EBV+ lymphoepithelioma-like cholangiocarcinoma in a young woman with chronic hepatitis B. BMJ Case Rep. 2019, 12, e229520. [Google Scholar] [CrossRef]
- Huang, Y.; Tsung, J.S.; Lin, C.W.; Cheng, T.Y. Intrahepatic cholangiocarcinoma with lymphoepithelioma-like carcinoma component. Ann. Clin. Lab. Sci. 2004, 34, 476–480. [Google Scholar] [PubMed]
- Pavicevic, S.; Reichelt, S.; Uluk, D.; Lurje, I.; Engelmann, C.; Modest, D.P.; Pelzer, U.; Krenzien, F.; Raschzok, N.; Benzing, C.; et al. Prognostic and Predictive Molecular Markers in Cholangiocarcinoma. Cancers 2022, 14, 1026. [Google Scholar] [CrossRef] [PubMed]




| Parameter | |
|---|---|
| Mean age (range) | 58 y (38 y, 82 y) |
| Sex (M:F) | 16:18 |
| EBER (+) | 25/34 (74%) |
| Chronic hepatitis or cirrhosis | 20/34 (58.8%) |
| Hepatitis B (+) | 15/34 (44%) |
| Cirrhosis | 9/34 (26.5%) |
| CA199 (+) | 10/32 * (31%), median 52.08 ku/L, range (45 ku/L, 695.5 ku/L) |
| AFP(>20 μg/L) | 1/34 (3%,), range (25.4 μg/L) |
| AFP variant | 2/34 (6%), range (21%, 26%) |
| PIVKA-II | 1/34 (3%), range (9552 mAU/mL) |
| Parameter | n (%) |
|---|---|
| Location | |
| Left lobe | 15 (40%) |
| Right lobe | 22 (58%) |
| Left and right lobe | 1 (3%) |
| Caudate lobe | 0 |
| In peripheral subcapsular region | 22 (58%) |
| Tumor shape (round, oval, or irregular) | (16/11/11) |
| Lesion contour | |
| Well defined | 25 (66%) |
| Obscure | 13 (34%) |
| Appearance of liver capsule | |
| Bulging | 7 (18%) |
| Retraction | 2 (5%) |
| Partial bulging and retraction | 5 (13%) |
| Neither bulging nor retraction | 21 (55%) |
| T1WI | |
| Hypointense | 6 (16%) |
| Intermediate hypointense | 30 (79%) |
| Isointense/not seen | 2 (5%) |
| T2WI | |
| Homogenously intermediate/hyperintense | 8 (21%) |
| Peripheral hyperintensity and central hypointensity | 18 (47%) |
| Heterogeneous | 12 (32%) |
| Isointense/not seen | 0 |
| T2 hyperintense foci | 10 (26%) |
| Lobulated | 17 (45%) |
| Cirrhosis on imaging | 3 (8%) |
| ADC value of lesions (mm2/s) | 1070 ± 255 |
| ADC value of liver (mm2/s) | 1335 ± 351 |
| p = 0.001 (<0.05) | |
| AJCC staging (34) | |
| T1 | 28 |
| T2 | 3 |
| T3 | 1 |
| T4 | 2 |
| N1 | 11 |
| M1 | 1 |
| LI-RADS v2018 (20) | |
| LR-4 | 4 |
| LR-5 | 8 |
| LR-M | 8 |
| Parameter | LELLC |
|---|---|
| Dynamic enhancement patterns | |
| Type A a | 21(55%) |
| Type B b | 10(26%) |
| Type C c | 7(18%) |
| Capsular enhancement | 22/38(58%) |
| Type A/Type B/Type C | 13/9/0/(62%/90%/0) |
| Satellite lesion | 2/38(6%) |
| Venous tumor thrombus | 4/38(11%) |
| Biliary dilatation | 3/38(8%) |
| Lymphadenopathy | 9/34(26%) |
| Distal metastasis on ribs | 1/34(3%) |
Disclaimer/Publisher’s Note: The statements, opinions and data contained in all publications are solely those of the individual author(s) and contributor(s) and not of MDPI and/or the editor(s). MDPI and/or the editor(s) disclaim responsibility for any injury to people or property resulting from any ideas, methods, instructions or products referred to in the content. |
© 2023 by the authors. Licensee MDPI, Basel, Switzerland. This article is an open access article distributed under the terms and conditions of the Creative Commons Attribution (CC BY) license (https://creativecommons.org/licenses/by/4.0/).
Share and Cite
Liu, Y.; Guo, D.; He, X.; Liu, X.; Chen, W.; Chen, L.; Ji, Y.; Zeng, M.; Wang, M. The MR Imaging of Primary Intrahepatic Lymphoepithelioma-like Cholangiocarcinoma: A Diagnostic Challenge. Diagnostics 2023, 13, 2998. https://doi.org/10.3390/diagnostics13182998
Liu Y, Guo D, He X, Liu X, Chen W, Chen L, Ji Y, Zeng M, Wang M. The MR Imaging of Primary Intrahepatic Lymphoepithelioma-like Cholangiocarcinoma: A Diagnostic Challenge. Diagnostics. 2023; 13(18):2998. https://doi.org/10.3390/diagnostics13182998
Chicago/Turabian StyleLiu, Yangyang, Dajing Guo, Xiaojing He, Xi Liu, Weijie Chen, Lingli Chen, Yuan Ji, Mengsu Zeng, and Mingliang Wang. 2023. "The MR Imaging of Primary Intrahepatic Lymphoepithelioma-like Cholangiocarcinoma: A Diagnostic Challenge" Diagnostics 13, no. 18: 2998. https://doi.org/10.3390/diagnostics13182998
APA StyleLiu, Y., Guo, D., He, X., Liu, X., Chen, W., Chen, L., Ji, Y., Zeng, M., & Wang, M. (2023). The MR Imaging of Primary Intrahepatic Lymphoepithelioma-like Cholangiocarcinoma: A Diagnostic Challenge. Diagnostics, 13(18), 2998. https://doi.org/10.3390/diagnostics13182998

