Improved Coronary Artery Visualization Using Virtual Monoenergetic Imaging from Dual-Layer Spectral Detector CT Angiography
Abstract
1. Introduction
2. Materials and Methods
2.1. Study Population
2.2. DECT Acquisition Protocol
2.3. Image Reconstruction
2.4. Objective Image Quality Analysis
2.5. Subjective Image Assessment
2.6. Coronary Stenosis Assessment
2.7. Statistical Analysis
3. Results
3.1. Study Population
3.2. Objective Image Quality Analysis
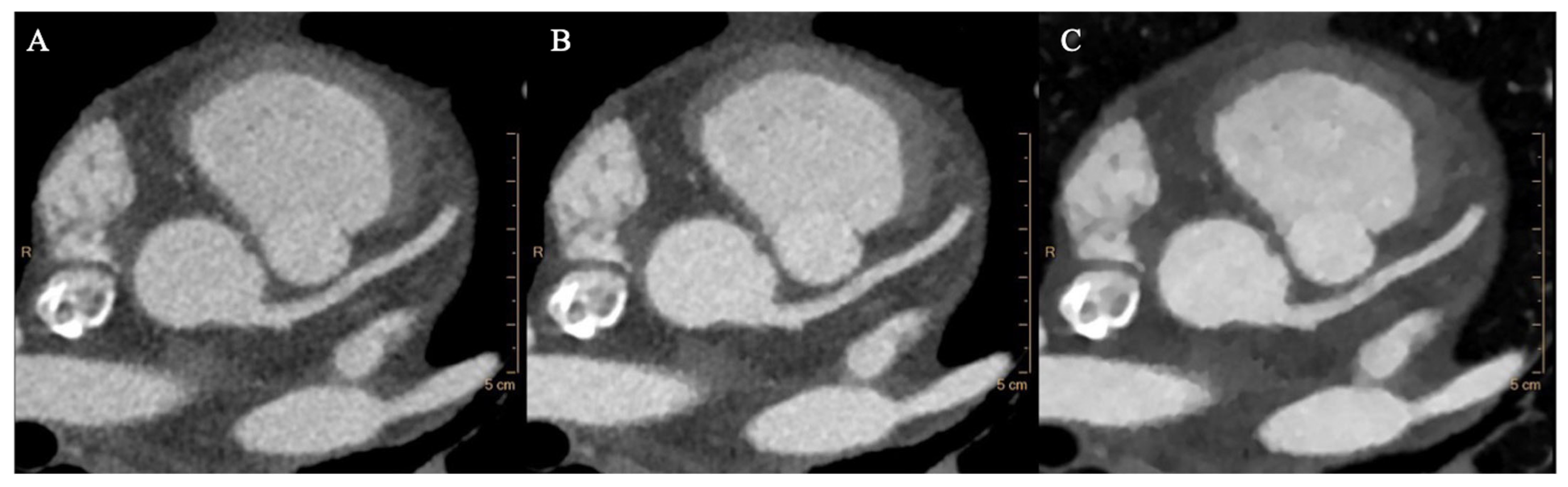
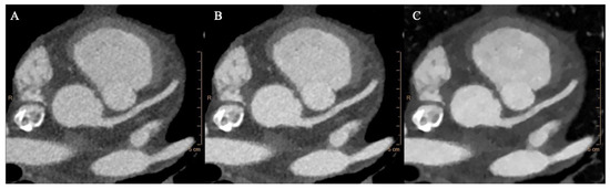
3.3. Subjective Image Assessment
3.4. Coronary Stenosis Assessment
4. Discussion
Author Contributions
Funding
Institutional Review Board Statement
Informed Consent Statement
Conflicts of Interest
References
- Danad, I.; Fayad, Z.A.; Willemink, M.J.; Min, J.K. New Applications of Cardiac Computed Tomography: Dual-Energy, Spectral, and Molecular CT Imaging. JACC Cardiovasc. Imaging 2015, 8, 710–723. [Google Scholar] [CrossRef] [PubMed]
- D’Angelo, T.; Martin, S.; Micari, A.; Booz, C.; Steyer, A.; Blandino, A.; Lanzafame, L.R.; Koch, V.; Ascenti, G.; Mazziotti, S. Coronary angiography using spectral detector dual-energy CT: Is it the time to assess myocardial first-pass perfusion? Eur. Radiol. Exp. 2022, 6, 60. [Google Scholar] [CrossRef] [PubMed]
- D’Angelo, T.; Albrecht, M.H.; Caudo, D.; Mazziotti, S.; Vogl, T.J.; Wichmann, J.L.; Martin, S.; Yel, I.; Ascenti, G.; Koch, V.; et al. Virtual non-calcium dual-energy CT: Clinical applications. Eur. Radiol. Exp. 2021, 5, 38. [Google Scholar] [CrossRef]
- Martin, S.S.; Trapp, F.; Wichmann, J.L.; Albrecht, M.H.; Lenga, L.; Durden, J.; Booz, C.; Vogl, T.J.; D’Angelo, T. Dual-energy CT in early acute pancreatitis: Improved detection using iodine quantification. Eur. Radiol. 2019, 29, 2226–2232. [Google Scholar] [CrossRef] [PubMed]
- D’Angelo, T.; Mazziotti, S.; Ascenti, G.; Wichmann, J.L. Miscellaneous and Emerging Applications of Dual-Energy Computed Tomography for the Evaluation of Pathologies in the Head and Neck. Neuroimaging Clin. N. Am. 2017, 27, 469–482. [Google Scholar] [CrossRef]
- D’Angelo, T.; Arico, F.M.; Broccio, L.; Ascenti, G.; Mazziotti, S.; Booz, C.; Martin, S.S.; Yel, I.; Lanzafame, L.R.M.; Blandino, A.; et al. Multi-Contrast Differentiation by Dual-Energy Spectral CT Angiography in a Patient with Pulmonary Barium Granulomas. Diagnostics 2023, 13, 832. [Google Scholar] [CrossRef]
- Secchi, F.; De Cecco, C.N.; Spearman, J.V.; Silverman, J.R.; Ebersberger, U.; Sardanelli, F.; Schoepf, U.J. Monoenergetic extrapolation of cardiac dual energy CT for artifact reduction. Acta Radiol. 2015, 56, 413–418. [Google Scholar] [CrossRef]
- Stehli, J.; Clerc, O.F.; Fuchs, T.A.; Possner, M.; Gräni, C.; Benz, D.C.; Buechel, R.R.; Kaufmann, P.A. Impact of monochromatic coronary computed tomography angiography from single-source dual-energy CT on coronary stenosis quantification. J. Cardiovasc. Comput. Tomogr. 2016, 10, 135–140. [Google Scholar] [CrossRef]
- Arendt, C.T.; Czwikla, R.; Lenga, L.; Wichmann, J.L.; Albrecht, M.H.; Booz, C.; Martin, S.S.; Leithner, D.; Tischendorf, P.; Blandino, A.; et al. Improved coronary artery contrast enhancement using noise-optimised virtual monoenergetic imaging from dual-source dual-energy computed tomography. Eur. J. Radiol. 2020, 122, 108666. [Google Scholar] [CrossRef]
- D’Angelo, T.; Cicero, G.; Mazziotti, S.; Ascenti, G.; Albrecht, M.H.; Martin, S.S.; Othman, A.E.; Vogl, T.J.; Wichmann, J.L. Dual energy computed tomography virtual monoenergetic imaging: Technique and clinical applications. Br. J. Radiol. 2019, 92, 20180546. [Google Scholar] [CrossRef]
- Cicero, G.; Ascenti, G.; Albrecht, M.H.; Blandino, A.; Cavallaro, M.; D’Angelo, T.; Carerj, M.L.; Vogl, T.J.; Mazziotti, S. Extra-abdominal dual-energy CT applications: A comprehensive overview. Radiol. Med. 2020, 125, 384–397. [Google Scholar] [CrossRef]
- Lenga, L.; Albrecht, M.H.; Othman, A.E.; Martin, S.S.; Leithner, D.; D’Angelo, T.; Arendt, C.; Scholtz, J.E.; De Cecco, C.N.; Schoepf, U.J.; et al. Monoenergetic Dual-energy Computed Tomographic Imaging: Cardiothoracic Applications. J. Thorac. Imaging 2017, 32, 151–158. [Google Scholar] [CrossRef]
- Lenga, L.; Czwikla, R.; Wichmann, J.L.; Leithner, D.; Albrecht, M.H.; Booz, C.; Arendt, C.T.; Yel, I.; D’Angelo, T.; Vogl, T.J.; et al. Dual-energy CT in patients with colorectal cancer: Improved assessment of hypoattenuating liver metastases using noise-optimized virtual monoenergetic imaging. Eur. J. Radiol. 2018, 106, 184–191. [Google Scholar] [CrossRef]
- Greffier, J.; Viry, A.; Barbotteau, Y.; Frandon, J.; Loisy, M.; de Oliveira, F.; Beregi, J.P.; Dabli, D. Phantom task-based image quality assessment of three generations of rapid kV-switching dual-energy CT systems on virtual monoenergetic images. Med. Phys. 2022, 49, 2233–2244. [Google Scholar] [CrossRef]
- Greffier, J.; Si-Mohamed, S.; Guiu, B.; Frandon, J.; Loisy, M.; de Oliveira, F.; Douek, P.; Beregi, J.P.; Dabli, D. Comparison of virtual monoenergetic imaging between a rapid kilovoltage switching dual-energy computed tomography with deep-learning and four dual-energy CTs with iterative reconstruction. Quant. Imaging Med. Surg. 2022, 12, 1149–1162. [Google Scholar] [CrossRef]
- Carrascosa, P.; Leipsic, J.A.; Capunay, C.; Deviggiano, A.; Vallejos, J.; Goldsmit, A.; Rodriguez-Granillo, G.A. Monochromatic image reconstruction by dual energy imaging allows half iodine load computed tomography coronary angiography. Eur. J. Radiol. 2015, 84, 1915–1920. [Google Scholar] [CrossRef]
- Leipsic, J.; Abbara, S.; Achenbach, S.; Cury, R.; Earls, J.P.; Mancini, G.J.; Nieman, K.; Pontone, G.; Raff, G.L. SCCT guidelines for the interpretation and reporting of coronary CT angiography: A report of the Society of Cardiovascular Computed Tomography Guidelines Committee. J. Cardiovasc. Comput. Tomogr. 2014, 8, 342–358. [Google Scholar] [CrossRef] [PubMed]
- Rassouli, N.; Chalian, H.; Rajiah, P.; Dhanantwari, A.; Landeras, L. Assessment of 70 keV virtual monoenergetic spectral images in abdominal CT imaging: A comparison study to conventional polychromatic 120-kVp images. Abdom. Radiol. 2017, 42, 2579–2586. [Google Scholar] [CrossRef] [PubMed]
- Sudarski, S.; Apfaltrer, P.; Nance, J.W.; Schneider, D.; Meyer, M.; Schoenberg, S.O.; Fink, C.; Henzler, T. Optimization of keV-settings in abdominal and lower extremity dual-source dual-energy CT angiography determined with virtual monoenergetic imaging. Eur. J. Radiol. 2013, 82, e574–e581. [Google Scholar] [CrossRef] [PubMed]
- Yi, Y.; Zhao, X.-M.; Wu, R.-Z.; Wang, Y.; Vembar, M.; Jin, Z.-Y.; Wang, Y.-N. Low Dose and Low Contrast Medium Coronary CT Angiography Using Dual-Layer Spectral Detector CT. Int. Heart. J. 2019, 60, 608–617. [Google Scholar] [CrossRef]
- Huang, X.; Gao, S.; Ma, Y.; Lu, X.; Jia, Z.; Hou, Y. The optimal monoenergetic spectral image level of coronary computed tomography (CT) angiography on a dual-layer spectral detector CT with half-dose contrast media. Quant. Imaging Med. Surg. 2020, 10, 592–603. [Google Scholar] [CrossRef] [PubMed]
- Leithner, D.; Mahmoudi, S.; Wichmann, J.L.; Martin, S.S.; Lenga, L.; Albrecht, M.H.; Booz, C.; Arendt, C.T.; Beeres, M.; D’Angelo, T.; et al. Evaluation of virtual monoenergetic imaging algorithms for dual-energy carotid and intracerebral CT angiography: Effects on image quality, artefacts and diagnostic performance for the detection of stenosis. Eur. J. Radiol. 2018, 99, 111–117. [Google Scholar] [CrossRef] [PubMed]
- Rassouli, N.; Etesami, M.; Dhanantwari, A.; Rajiah, P. Detector-based spectral CT with a novel dual-layer technology: Principles and applications. Insights Imaging 2017, 8, 589–598. [Google Scholar] [CrossRef]
- Martin, S.S.; Wichmann, J.L.; Scholtz, J.E.; Leithner, D.; D’Angelo, T.; Weyer, H.; Booz, C.; Lenga, L.; Vogl, T.J.; Albrecht, M.H. Noise-Optimized Virtual Monoenergetic Dual-Energy CT Improves Diagnostic Accuracy for the Detection of Active Arterial Bleeding of the Abdomen. J. Vasc. Interv. Radiol. 2017, 28, 1257–1266. [Google Scholar] [CrossRef] [PubMed]
- Martin, S.S.; Wichmann, J.L.; Pfeifer, S.; Leithner, D.; Lenga, L.; Reynolds, M.A.; D’Angelo, T.; Hammerstingl, R.; Gruber-Rouh, T.; Vogl, T.J.; et al. Impact of noise-optimized virtual monoenergetic dual-energy computed tomography on image quality in patients with renal cell carcinoma. Eur. J. Radiol. 2017, 97, 1–7. [Google Scholar] [CrossRef]
- Bucolo, G.M.; D’Angelo, T.; Yel, I.; Koch, V.; Gruenewald, L.D.; Othman, A.E.; Alizadeh, L.S.; Overhoff, D.P.; Waldeck, S.; Martin, S.S.; et al. Virtual Monoenergetic Imaging of Lower Extremities Using Dual-Energy CT Angiography in Patients with Diabetes Mellitus. Diagnostics 2023, 13, 1790. [Google Scholar] [CrossRef]





| Characteristics | Both Sexes | Men | Women |
|---|---|---|---|
| Number (%) | 50 (100%) | 30 (60.0%) | 20 (40.0%) |
| Age (years): Mean (SD) | 61.6 (12.3) | 62.2 (11.7) | 60.6 (13.5) |
BMI: Mean kg/m2 (SD)
| 25.7 (3.6) 25 (50%) 20 (40%) 5 (10%) | 26.3 (3.8) 12 (40.0%) 12 (40%) 4 (13.3%) | 24.9 (3.2) 11 (55%) 8 (40%) 1 (5%) |
| Calcium Score (Agatston): Mean (SD) | 256.2 (265.4) | 309.3 (290.4) | 180.6 (210.0) |
CAC-DRS:
| 2 (0–3) 1 (0–3) | 3 (0–3) 1.5 (0–3) | 1 (0–3) 0.5 (0–1.5) |
| Conventional | VMI 100 keV | VMI 90 keV | VMI 80 keV | VMI 70 keV | VMI 60 keV | VMI 50 keV | VMI 40 keV | |
|---|---|---|---|---|---|---|---|---|
Aorta
| 443.93 ± 59.05 40.49 ± 10.50 32.96 ± 9.21 | 241.3 ± 33.49 29.73 ± 5.72 22.94 ± 5.15 | 298.18 ± 44.21 36.84 ± 7.48 29.33 ± 6.67 | 381.51 ± 59.37 46.78 ± 9.37 38.23 ± 8.47 | 521.14 ± 83.51 60.94 ± 12.75 51.05 ± 11.68 | 717.33 ± 120.84 82.33 ± 16.86 70.27 ± 15.80 | 1064.17 ± 182.13 114.42 ± 25.48 99.74 ± 23.98 | 1673.69 ± 281.09 157.42 ± 40.46 138.84 ± 37.79 |
L.main
| 451.28 ± 62.68 40.68 ± 10.73 33.14 ± 9.51 | 251.47 ± 40.21 30.89 ± 5.84 24.10 ± 5.41 | 306.01 ± 48.62 37.73 ± 7.42 30.22 ± 6.66 | 387.60 ± 62.96 47.47 ± 9.27 38.92 ± 8.35 | 510.30 ± 81.94 60.89 ± 12.83 51.00 ± 11.63 | 717.67 ± 121.15 81.99 ± 18.03 69.93 ± 16.70 | 1044.98 ± 182.33 113.02 ± 27.99 98.34 ± 26.07 | 1605.15 ± 284.26 155.18 ± 44.57 136.59 ± 41.41 |
LAD
| 464.61 ± 76.37 42.42 ± 11.75 34.88 ± 10.57 | 254.02 ± 51.29 31.11 ± 6.70 24.33 ± 6.56 | 307.36 ± 58.85 37.76 ± 7.92 30.25 ± 7.48 | 387.17 ± 72.2 47.39 ± 9.84 38.84 ± 9.13 | 510.47 ± 93.91 60.79 ± 13.53 50.90 ± 12.43 | 704.19 ± 129.29 81.09 ± 18.69 69.03 ± 17.36 | 1031.51 ± 186.08 111.45 ± 27.91 96.67 ± 25.91 | 1578.37 ± 288.46 152.58 ± 44.26 133.99 ± 40.92 |
LCx
| 474.79 ± 77.09 43.08 ± 10.96 35.55 ± 9.85 | 269.73 ± 45.10 32.90 ± 5.04 26.11 ± 4.96 | 324.66 ± 53.73 39.81 ± 6.90 32.31 ± 6.32 | 404.49 ± 68.73 49.33 ± 8.90 40.78 ± 8.07 | 526.31 ± 92.64 62.55 ± 12.68 52.66 ± 11.48 | 720.30 ± 133.11 82.74 ± 17.96 70.68 ± 16.43 | 1044.94 ± 197.95 112.59 ± 27.56 97.90 ± 25.42 | 1591.35 ± 310.15 153.43 ± 44.73 134.84 ± 41.21 |
RCA
| 474.57 ± 83.68 42.90 ± 10.84 35.37 ± 9.87 | 251.12 ± 42.64 30.62 ± 4.89 23.83 ± 4.57 | 307.58 ± 52.30 37.74 ± 7.31 30.23 ± 6.52 | 388.67 ± 65.68 47.44 ± 9.26 38.89 ± 8.25 | 513.7 ± 86.51 61.11 ± 13.08 51.22 ± 11.74 | 714.62 ± 118.83 82.17 ± 18.16 70.11 ± 16.42 | 1049.19 ± 174.94 113.24 ± 27.56 98.55 ± 25.27 | 1613.62 ± 258.94 155.71 ± 42.23 137.11 ± 39.56 |
| Subcutaneous fat (SD) | 11.53 ± 2.84 | 8.32 ± 1.47 | 8.34 ± 1.59 | 8.39 ± 1.65 | 8.66 ± 1.84 | 8.97 ± 1.96 | 9.63 ± 2.24 | 10.96 ± 2.91 |
| Score and Interobserver agreement (k) | |||
|---|---|---|---|
| Conventional images | VMI 70 keV | VMI 40 keV | |
| Image sharpness | 3.5 (3–4) k = 0.67 [0.47–0.87] | 4 (3.5–4) k = 0.64 [0.44–0.84] | 4.25 (4–5) k = 0.70 [0.49–0.91] |
| Image noise | 3 (2.5–3) k = 0.64 [0.42–0.87] | 4 (3–4) k = 0.66 [0.46–0.86] | 4 (3.5–4) k = 0.64 [0.46–0.82] |
| Vascular contrast | 3.5 (3–4) k = 0.68 [0.47–0.88] | 4 (4–4) k = 0.67 [0.47–0.88] | 4.5 (4–5) k = 0.68 [0.49–0.89] |
| Stenosis demarcation | 3 (3–4) k = 0.81 [0.70–0.93] | 3.5 (3–4) k = 0.76 [0.61–0.91] | 4 (3.5–4) k = 0.73 [0.58–0.89] |
| Overall impression | 3 (3–4) k = 0.62 [0.41–0.84] | 4 (3.5–4) k = 0.61 [0.36–0.86] | 4.75 (4–5) k = 0.77 [0.57–0.97] |
| Statistical comparison | |||
| Conventional vs. VMI 70 keV | Conventional vs. VMI 40 keV | VMI 70 keV vs. VMI 40 keV | |
| Image sharpness | p < 0.001 | p < 0.001 | p < 0.001 |
| Image noise | p < 0.001 | p = 0.061 | p < 0.001 |
| Vascular contrast | p < 0.001 | p < 0.001 | p < 0.001 |
| Stenosis demarcation | p = 0.018 | p < 0.001 | p = 0.096 |
| Overall impression | p < 0.001 | p < 0.001 | p < 0.001 |
| Artery | Conv. | VMI 70 keV | VMI 40 keV |
|---|---|---|---|
L. Main
| 33 3 3 1 0 0 | 33 4 2 1 0 0 | 33 4 2 1 0 0 |
LAD
| 8 11 9 7 5 0 | 8 10 10 7 5 0 | 8 12 8 6 6 0 |
LCx
| 18 9 7 2 4 0 | 18 8 8 1 5 0 | 18 8 8 4 2 0 |
RCA
| 14 9 12 3 2 0 | 14 9 12 3 2 0 | 14 10 9 5 2 0 |
Disclaimer/Publisher’s Note: The statements, opinions and data contained in all publications are solely those of the individual author(s) and contributor(s) and not of MDPI and/or the editor(s). MDPI and/or the editor(s) disclaim responsibility for any injury to people or property resulting from any ideas, methods, instructions or products referred to in the content. |
© 2023 by the authors. Licensee MDPI, Basel, Switzerland. This article is an open access article distributed under the terms and conditions of the Creative Commons Attribution (CC BY) license (https://creativecommons.org/licenses/by/4.0/).
Share and Cite
D’Angelo, T.; Lanzafame, L.R.M.; Micari, A.; Blandino, A.; Yel, I.; Koch, V.; Gruenewald, L.D.; Vogl, T.J.; Booz, C.; Bucolo, G.M.; et al. Improved Coronary Artery Visualization Using Virtual Monoenergetic Imaging from Dual-Layer Spectral Detector CT Angiography. Diagnostics 2023, 13, 2675. https://doi.org/10.3390/diagnostics13162675
D’Angelo T, Lanzafame LRM, Micari A, Blandino A, Yel I, Koch V, Gruenewald LD, Vogl TJ, Booz C, Bucolo GM, et al. Improved Coronary Artery Visualization Using Virtual Monoenergetic Imaging from Dual-Layer Spectral Detector CT Angiography. Diagnostics. 2023; 13(16):2675. https://doi.org/10.3390/diagnostics13162675
Chicago/Turabian StyleD’Angelo, Tommaso, Ludovica R. M. Lanzafame, Antonino Micari, Alfredo Blandino, Ibrahim Yel, Vitali Koch, Leon D. Gruenewald, Thomas J. Vogl, Christian Booz, Giuseppe M. Bucolo, and et al. 2023. "Improved Coronary Artery Visualization Using Virtual Monoenergetic Imaging from Dual-Layer Spectral Detector CT Angiography" Diagnostics 13, no. 16: 2675. https://doi.org/10.3390/diagnostics13162675
APA StyleD’Angelo, T., Lanzafame, L. R. M., Micari, A., Blandino, A., Yel, I., Koch, V., Gruenewald, L. D., Vogl, T. J., Booz, C., Bucolo, G. M., Cannizzaro, M. T., Ascenti, G., & Mazziotti, S. (2023). Improved Coronary Artery Visualization Using Virtual Monoenergetic Imaging from Dual-Layer Spectral Detector CT Angiography. Diagnostics, 13(16), 2675. https://doi.org/10.3390/diagnostics13162675

