Radiomic Features Are Predictive of Response in Rectal Cancer Undergoing Therapy
Abstract
1. Introduction
2. Methods
2.1. Study Population
2.2. Pathological Case Selection and Classification
2.3. Imaging Acquisition
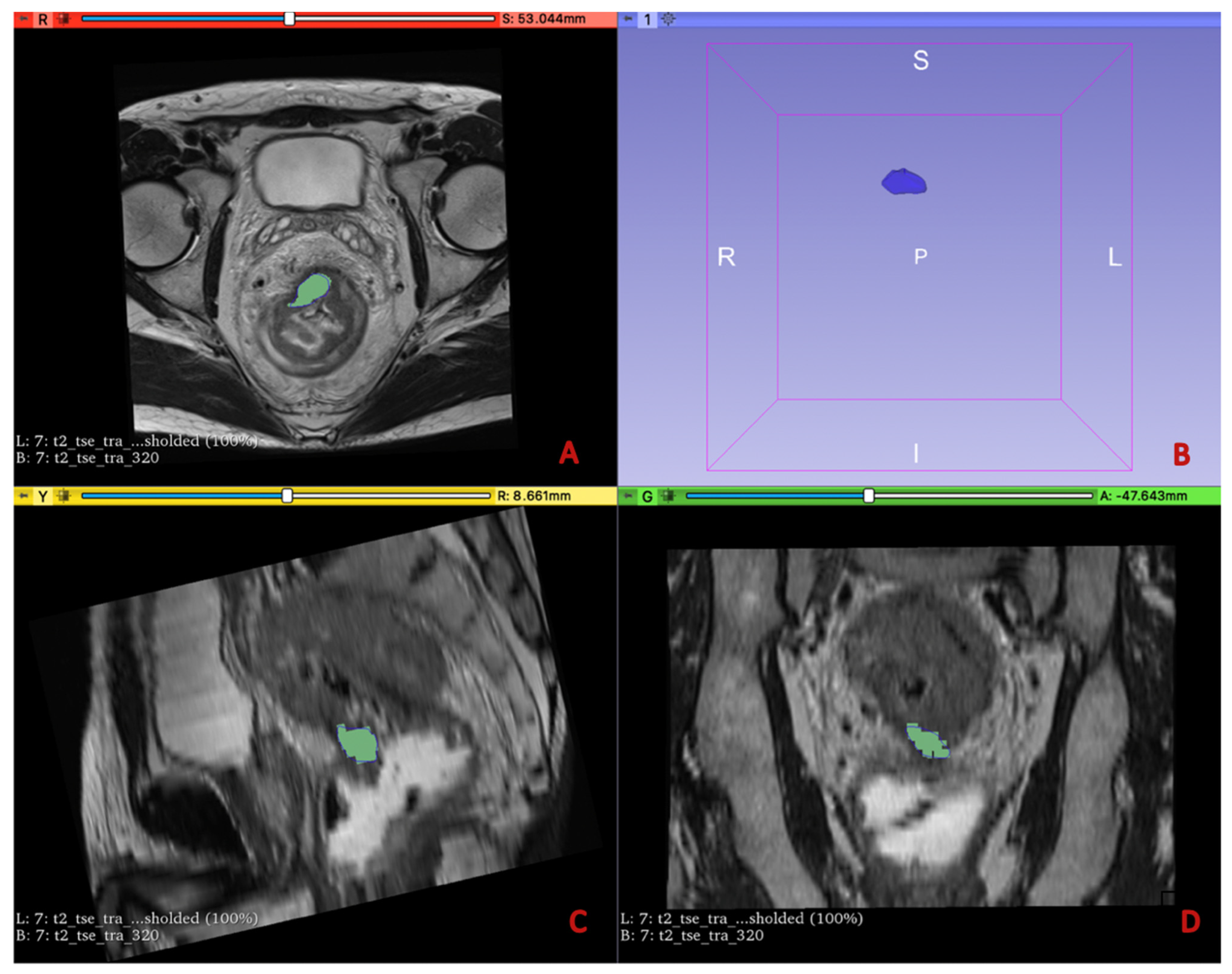
2.4. Imaging Analysis
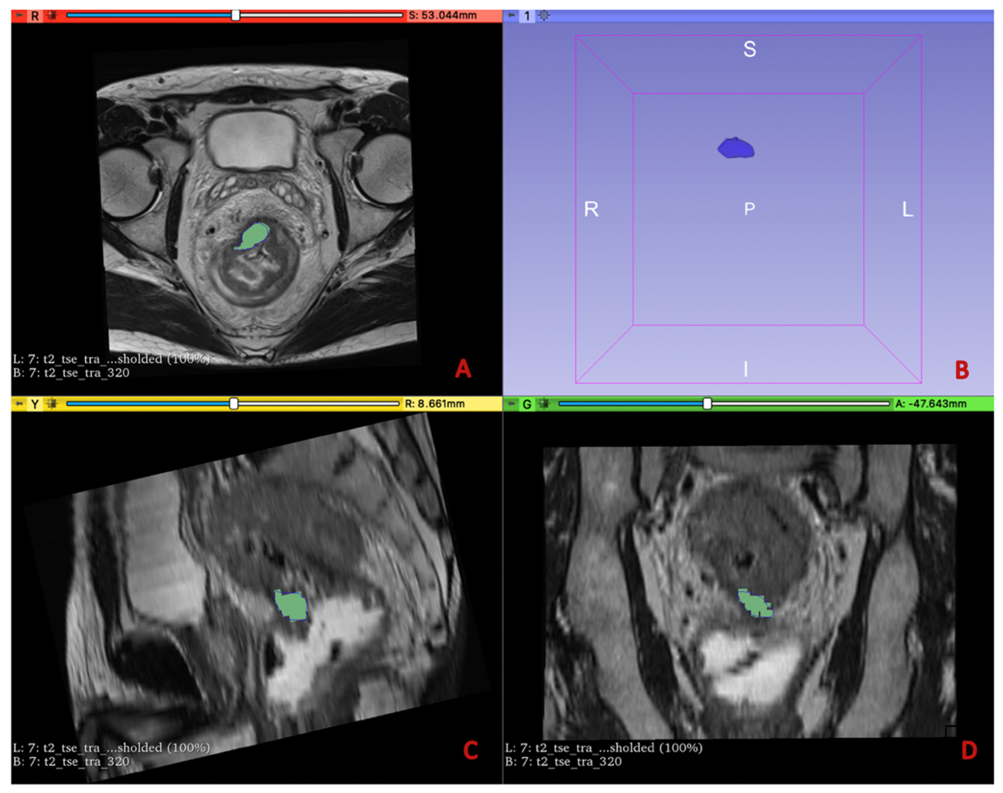
2.5. Radiomic Workflow
2.6. Statistical Analysis
2.7. Compliance with Ethical Standards
3. Results
4. Discussion
Supplementary Materials
Author Contributions
Funding
Institutional Review Board Statement
Informed Consent Statement
Data Availability Statement
Conflicts of Interest
References
- Van der Paardt, M.P.; Zagers, M.B.; Beets-Tan, R.G.; Stoker, J.; Bipat, S. Patients Who Undergo Preoperative chemoradiotherapy for locally advanced rectal cancer restaged by Using Diagnostic MR imaging: A Systematic Review and Meta-Analysis. Radiology 2013, 269, 101–112. [Google Scholar] [CrossRef] [PubMed]
- Bray, F.; Ferlay, J.; Soerjomataram, I.; Siegel, R.L.; Torre, L.A.; Jemal, A. Global cancer statistics 2018: GLOBOCAN estimates of incidence and mortality worldwide for 36 cancers in 185 countries. CA Cancer J. Clin. 2018, 68, 394–424. [Google Scholar] [CrossRef] [PubMed]
- Paschke, S.; Jafarov, S.; Staib, L.; Kreuser, E.D.; Maulbecker-Armstrong, C.; Roitman, M.; Holm, T.; Harris, C.C.; Link, K.H.; Kornmann, M. Are Colon and Rectal Cancer Two Different Tumor Entities? A Proposal to Abandon the Term Colorectal Cancer. Int. J. Mol. Sci. 2018, 19, 2577. [Google Scholar] [CrossRef]
- Watanabe, T.; Itabashi, M.; Shimada, Y.; Tanaka, S.; Ito, Y.; Ajioka, Y.; Hamaguchi, T.; Hyodo, I.; Igarashi, M.; Ishida, H.; et al. Japanese Society for Cancer of the Colon and Rectum (JSCCR) Guidelines 2014 for treatment of colorectal cancer. Int. J. Clin. Oncol. 2015, 20, 207–239. [Google Scholar] [CrossRef]
- Yeo, S.G.; Kim, D.Y.; Kim, T.H.; Chang, H.J.; Oh, J.H.; Park, W.; Choi, D.H.; Nam, H.; Kim, J.S.; Cho, M.J.; et al. Pathologic complete response of primary tumor following preoperative chemoradiotherapy for locally advanced rectal cancer: Long-term outcomes and prognostic significance of pathologic nodal status (KROG 09–01). Ann. Surg. 2010, 252, 998–1004. [Google Scholar] [CrossRef] [PubMed]
- Habr-Gama, A.; Perez, R.O.; Nadalin, W.; Sabbaga, J.; Ribeiro, U., Jr.; de Sousa, A.H.S., Jr.; Campos, F.G.; Kiss, D.R.; Gama-Rodrigues, J. Operative versus nonoperative treatment for stage 0 distal rectal cancer following chemoradiation therapy: Long-term results. Ann. Surg. 2004, 240, 711–718. [Google Scholar] [CrossRef] [PubMed]
- Evans, J.; Patel, U.; Brown, G. Rectal cancer: Primary staging and assessment after chemo- radiotherapy. Semin. Radiat. Oncol. 2011, 21, 169–177. [Google Scholar] [CrossRef]
- Lahaye, M.J.; Engelen, S.M.E.; Nelemans, P.J.; Beets, G.L.; Van de Velde, C.J.H.; Van Engelshoven, J.M.A.; Beets-Tan, R.G.H. Imaging for predicting the risk factors—The circumferential resection margin and nodal disease—Of local recurrence in rectal cancer: A meta-analysis. Semin. Ultrasound CT MR 2005, 26, 259–268. [Google Scholar] [CrossRef]
- Patel, U.B.; Taylor, F.; Blomqvist, L.; George, C.; Evans, H.; Tekkis, P.; Quirke, P.; Sebag-Montefiore, D.; Moran, B.; Heald, R.; et al. Magnetic resonance imaging-detected tumor response for locally advanced rectal cancer predicts survival outcomes: MERCURY experience. J. Clin. Oncol. 2011, 29, 3753–3760. [Google Scholar] [CrossRef]
- Amin, M.B.; Edge, S.B.; Greene, F.L.; Byrd, D.R.; Brookland, R.K.; Washington, M.K.; Gershenwald, J.E.; Compton, C.C.; Hess, K.R.; Sullivan, D.C.; et al. (Eds.) AJCC Cancer Staging Manual, 8th ed.; American College of Surgeons: Chicago, IL, USA; Springer: Chicago, IL, USA, 2017. [Google Scholar]
- Al-Sukhni, E.; Milot, L.; Fruitman, M.; Beyene, J.; Victor, J.C.; Schmocker, S.; Brown, G.; McLeod, R.; Kennedy, E. Diagnostic accuracy of MRI for assessment of T category, lymph node metastases, and circumferential resection margin involvement in patients with rectal cancer: A systematic review and meta-analysis. Ann. Surg. Oncol. 2012, 19, 2212–2223. [Google Scholar] [CrossRef]
- Riihimäki, M.; Hemminki, A.; Sundquist, J.; Hemminki, K. Patterns of metastasis in colon and rectal cancer. Sci. Rep. 2016, 6, 29765. [Google Scholar] [CrossRef]
- Kalisz, K.R.; Enzerra, M.D.; Paspulati, R.M. Evaluation of the Response of Rectal Cancer to Neoadjuvant Chemoradiation Therapy. Radiographics 2019, 39, 538–556. [Google Scholar] [CrossRef] [PubMed]
- Benson, A.B., 3rd; Venook, A.P.; Bekaii-Saab, T.; Chan, E.; Chen, Y.J.; Cooper, H.S.; Engstrom, P.F.; Enzinger, P.C.; Fenton, M.J.; Fuchs, C.S.; et al. Rectal cancer. In NCCN Guidelines Version 2.2016; National Comprehensive Cancer Network: Fort Washington, PA, USA, 2016. [Google Scholar]
- Dossa, F.; Chesney, T.R.; Acuna, S.A.; Baxter, N.N. A watch-and- wait approach for locally advanced rectal cancer after a clinical complete response following neoadjuvant chemoradiation: A systematic review and meta-analysis. Lancet Gastroenterol. Hepatol. 2017, 2, 501–513. [Google Scholar] [CrossRef] [PubMed]
- Shia, J.; Guillem, J.G.; Moore, H.G.; Tickoo, S.K.; Qin, J.; Ruo, L.; Suriawinata, A.; Paty, P.B.; Minsky, B.D.; Weiser, M.R.; et al. Patterns of morphologic alteration in residual rectal carcinoma following preoperative chemoradiation and their association with long-term outcome. Am. J. Surg. Pathol. 2004, 28, 215–223. [Google Scholar] [CrossRef]
- Lambin, P.; Rios-Velazquez, E.; Leijenaar, R.; Carvalho, S.; Van Stiphout, R.G.; Granton, P.; Zegers, C.M.; Gillies, R.; Boellard, R.; Dekker, A.; et al. Radiomics: Extracting more information from medical images using advanced feature analysis. Eur. J. Cancer 2012, 48, 441–446. [Google Scholar] [CrossRef]
- Nie, K.; Shi, L.; Chen, Q.; Hu, X.; Jabbour, S.K.; Yue, N.; Niu, T.; Sun, X. Rectal Cancer: Assessment of Neoadjuvant Chemo-Radiation Outcome Based on Radiomics of Multi-Parametric MRI. Clin. Cancer Res. 2016, 22, 5256–5264. [Google Scholar] [CrossRef] [PubMed]
- Santiago, I.; Rodrigues, B.; Barata, M.; Figueiredo, N.; Fernandez, L.; Galzerano, A.; Parés, O.; Matos, C. Re-staging and follow-up of rectal cancer patients with MR imaging when “Watch-and-Wait” is an option: Practical guide. Insights Imaging 2021, 12, 114. [Google Scholar] [CrossRef]
- Gollub, M.J.; Arya, S.; Beets-Tan, R.G.; Deprisco, G.; Gonen, M.; Jhaveri, K.; Kassam, Z.; Kaur, H.; Kim, D.; Knezevic, A.; et al. Use of magnetic resonance imaging in rectal cancer patients: Society of Abdominal Radiology (SAR) rectal cancer disease-focused panel (DFP) recommendations. 2017. Abdom. Radiol. 2018, 43, 2893–2902. [Google Scholar] [CrossRef]
- van Griethuysen, J.J.; Bus, E.M.; Hauptmann, M.; Lahaye, M.J.; Maas, M.; Ter Beek, L.C.; Beets, G.L.; Bakers, F.C.; Beets-Tan, R.G.; Lambregts, D.M. Gas-induced susceptibility artefacts on diffusion-weighted MRI of the rectum at 1.5 T—Effect of applying a micro-enema to improve image quality. Eur. J. Radiol. 2018, 99, 131–137. [Google Scholar] [CrossRef]
- Rullier, A.; Laurent, C.; Vendrely, V.; Le Bail, B.; Bioulac-Sage, P.; Rullier, E. Impact of colloid response on survival after preoperative radiotherapy in locally advanced rectal carcinoma. Am. J. Surg. Pathol. 2005, 29, 602–606. [Google Scholar] [CrossRef]
- Horvat, N.; Carlos Tavares Rocha, C.; Clemente Oliveira, B.; Petkovska, I.; Gollub, M.J. MRI of Rectal Cancer: Tumor Staging, Imaging Techniques, and Management. Radiographics 2019, 39, 367–387. [Google Scholar] [CrossRef] [PubMed]
- Gollub, M.J.; Lall, C.; Lalwani, N.; Rosenthal, M.H. Current controversy, confusion, and imprecision in the use and interpretation of rectal MRI. Abdom. Radiol. 2019, 44, 3549–3558. [Google Scholar] [CrossRef] [PubMed]
- Patel, U.B.; Blomqvist, L.K.; Taylor, F.; George, C.; Guthrie, A.; Bees, N.; Brown, G. MRI after Treatment of Locally Advanced Rectal Cancer: How to Report Tumor Response—The MERCURY Experience. Am. J. Roentgenol. 2012, 199, W486–W495. [Google Scholar] [CrossRef]
- Li, Y.; Liu, W.; Pei, Q.; Zhao, L.; Güngör, C.; Zhu, H.; Song, X.; Li, C.; Zhou, Z.; Xu, Y.; et al. Predicting pathological complete response by comparing MRI-based radiomics pre- and postneoadjuvant radiotherapy for locally advanced rectal cancer. Cancer Med. 2019, 8, 7244–7252. [Google Scholar] [CrossRef] [PubMed]
- Horvat, N.; Veeraraghavan, H.; Khan, M.; Blazic, I.; Zheng, J.; Capanu, M.; Sala, E.; Garcia-Aguilar, J.; Gollub, M.J.; Petkovska, I. MR imaging of rectal cancer: Radiomics Analysis to Assess Treatment Response after Neoadjuvant Therapy. Radiology 2018, 287, 833–843. [Google Scholar] [CrossRef]
- Yardimci, A.H.; Kocak, B.; Sel, I.; Bulut, H.; Bektas, C.T.; Cin, M.; Dursun, N.; Bektas, H.; Mermut, O.; Yardimci, V.H.; et al. Radiomics of locally advanced rectal cancer: Machine learning-based prediction of response to neoadjuvant chemoradiotherapy using pre-treatment sagittal T2-weighted MRI. Jpn. J. Radiol. 2023, 41, 71–82. [Google Scholar] [CrossRef]
- Cheng, Y.; Luo, Y.; Hu, Y.; Zhang, Z.; Wang, X.; Yu, Q.; Liu, G.; Cui, E.; Yu, T.; Jiang, X. Multiparametric MRI-based Radiomics approaches on predicting response to neoadjuvant chemoradiotherapy (nCRT) in patients with rectal cancer. Abdom. Radiol. 2021, 46, 5072–5085. [Google Scholar] [CrossRef]




| N = 38 | |
|---|---|
| Males | 26 |
| Females | 12 |
| Median age at diagnosis (IQR) | 66.9 |
| T2 * | 2 |
| T3 * | 27 |
| T4 * | 9 |
| CRM positive | 20 |
| EMVI positive | 9 |
| Mucinous tumor | 6 |
| Median follow-up [weeks (IQR)] |
| N = 38 | |
|---|---|
| Good responders (group 1) | 13 |
| 1 |
| 0 |
| 2 |
| 10 |
| 1 |
| Poor responders (group 2) | 25 |
| 6 |
| 0 |
| 18 |
| 7 |
| MRI Phases | Selected Features | Level/Order |
|---|---|---|
| T2 baseline | Dependence Non Uniformity Normalized | Second-order |
| Size Zone Non Uniformity Normalized | Second-order | |
| Busyness | Second-Order | |
| Sphericity | Shape | |
| Large Dependence Emphasis | Second-order | |
| T2 follow-up | Flatness | Shape |
| Strenght | Shape | |
| Size Zone Non Uniformity Normalized | Second-order | |
| LongRunHighGrayLevelEmphasis | Second-order | |
| ADC baseline | Difference Variance | Second-order |
| Id | Second-order | |
| Sphericity | Shape | |
| Elongation | Shape | |
| Surface volume Ratio | Shape | |
| Flatness | Shape | |
| Cluster Shade | Second-order | |
| Joint Energy | Second-order | |
| Minimun | First-order | |
| Kurtosis | First-order | |
| Size Zone Non Uniformity Normalized | Second-order | |
| ADC follow up | Sphericity | Shape |
| Elongation | Shape | |
| Low Gray Level Run Emphasis | Second-order | |
| Busyness | Second-order |
Disclaimer/Publisher’s Note: The statements, opinions and data contained in all publications are solely those of the individual author(s) and contributor(s) and not of MDPI and/or the editor(s). MDPI and/or the editor(s) disclaim responsibility for any injury to people or property resulting from any ideas, methods, instructions or products referred to in the content. |
© 2023 by the authors. Licensee MDPI, Basel, Switzerland. This article is an open access article distributed under the terms and conditions of the Creative Commons Attribution (CC BY) license (https://creativecommons.org/licenses/by/4.0/).
Share and Cite
Santini, D.; Danti, G.; Bicci, E.; Galluzzo, A.; Bettarini, S.; Busoni, S.; Innocenti, T.; Galli, A.; Miele, V. Radiomic Features Are Predictive of Response in Rectal Cancer Undergoing Therapy. Diagnostics 2023, 13, 2573. https://doi.org/10.3390/diagnostics13152573
Santini D, Danti G, Bicci E, Galluzzo A, Bettarini S, Busoni S, Innocenti T, Galli A, Miele V. Radiomic Features Are Predictive of Response in Rectal Cancer Undergoing Therapy. Diagnostics. 2023; 13(15):2573. https://doi.org/10.3390/diagnostics13152573
Chicago/Turabian StyleSantini, Diletta, Ginevra Danti, Eleonora Bicci, Antonio Galluzzo, Silvia Bettarini, Simone Busoni, Tommaso Innocenti, Andrea Galli, and Vittorio Miele. 2023. "Radiomic Features Are Predictive of Response in Rectal Cancer Undergoing Therapy" Diagnostics 13, no. 15: 2573. https://doi.org/10.3390/diagnostics13152573
APA StyleSantini, D., Danti, G., Bicci, E., Galluzzo, A., Bettarini, S., Busoni, S., Innocenti, T., Galli, A., & Miele, V. (2023). Radiomic Features Are Predictive of Response in Rectal Cancer Undergoing Therapy. Diagnostics, 13(15), 2573. https://doi.org/10.3390/diagnostics13152573

