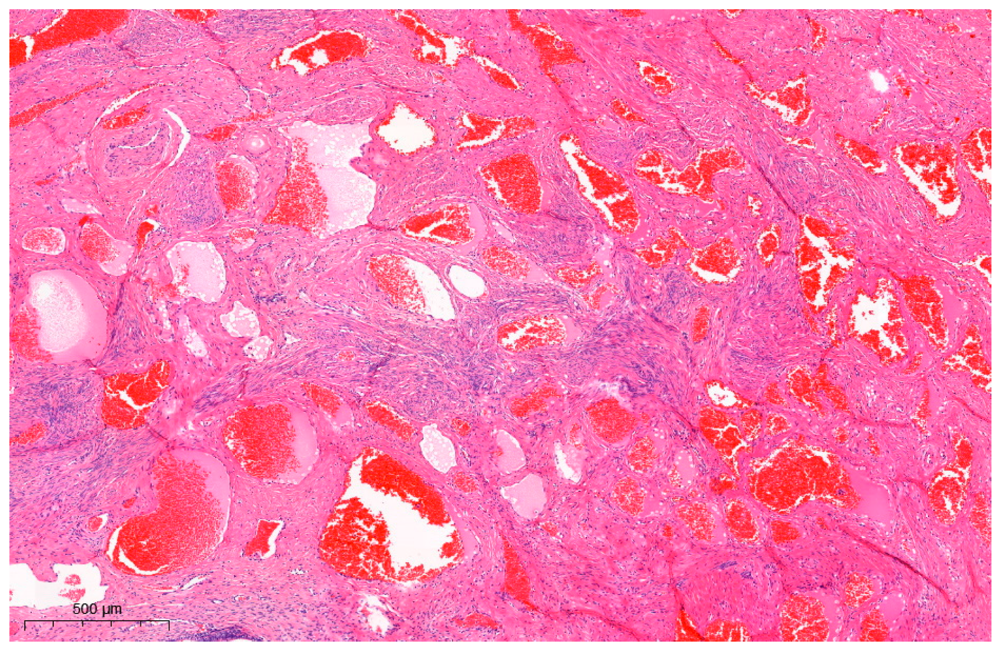
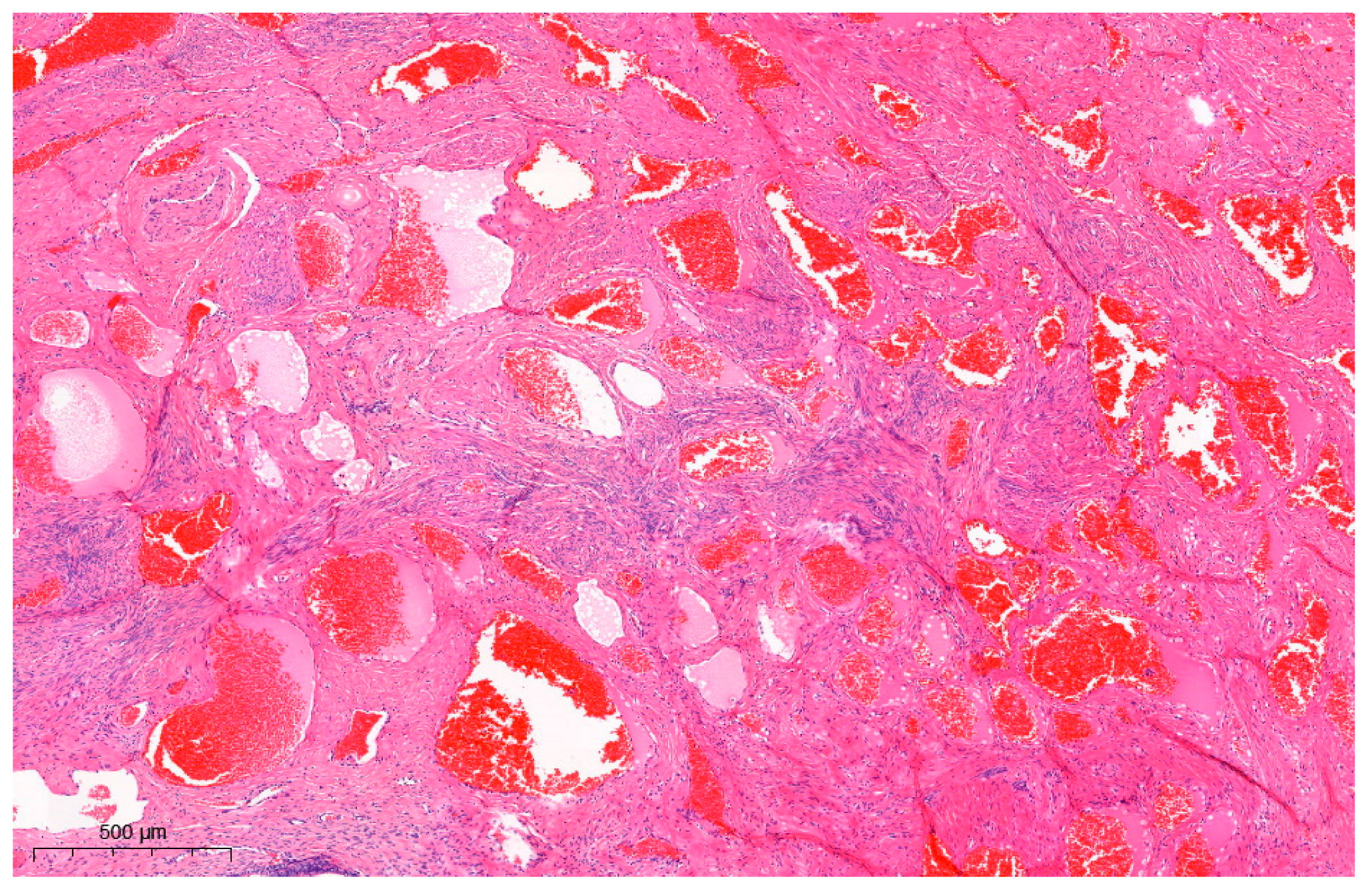
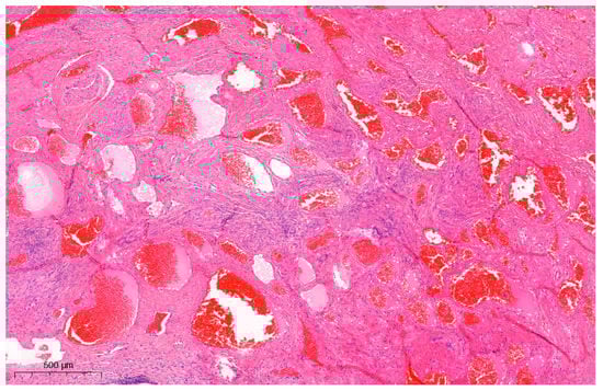
Uterine Cervical Angioleiomyoma Mimicking Squamous Cell Carcinoma
Abstract



Author Contributions
Funding
Institutional Review Board Statement
Informed Consent Statement
Data Availability Statement
Acknowledgments
Conflicts of Interest
References
- Saida, T.; Sakata, A.; Tanaka, Y.O.; Ochi, H.; Ishiguro, T.; Sakai, M.; Takahashi, H.; Satoh, T.; Minami, M. Clinical and MRI Characteristics of Uterine Cervical Adenocarcinoma: Its Variants and Mimics. Korean J. Radiol. 2019, 20, 364–377. [Google Scholar] [CrossRef] [PubMed]
- Devine, C.; Viswanathan, C.; Faria, S.; Marcal, L.; Sagebiel, T.L. Imaging and Staging of Cervical Cancer. In Seminars in Ultrasound, CT and MRI; WB Saunders: Philadelphia, PA, USA, 2019; Volume 40, pp. 280–286. [Google Scholar]
- Otero-García, M.M.; Mesa-Álvarez, A.; Nikolic, O.; Blanco-Lobato, P.; Basta-Nikolic, M.; de Llano-Ortega, R.M.; Paredes-Velázquez, L.; Nikolic, N.; Szewczyk-Bieda, M. Role of MRI in staging and follow-up of endometrial and cervical cancer: Pitfalls and mimickers. Insights Imaging 2019, 10, 19. [Google Scholar] [CrossRef]
- Garg, G.; Mohanty, S.K. Uterine angioleiomyoma: A rare variant of uterine leiomyoma. Arch. Pathol. Lab. Med. 2014, 138, 1115–1118. [Google Scholar] [CrossRef] [PubMed]
- Riley, D.S.; Barber, M.S.; Kienle, G.S.; Aronson, J.K.; von Schoen-Angerer, T.; Tugwell, P.; Kiene, H.; Helfand, M.; Altman, D.G.; Sox, H.; et al. CARE guidelines for case reports: Explanation and elaboration document. J. Clin. Epidemiol. 2017, 89, 218–235. [Google Scholar] [CrossRef] [PubMed]
- Gagnier, J.J.; Kienle, G.; Altman, D.G.; Moher, D.; Sox, H.; Riley, D. The CARE guidelines: Consensus-based clinical case reporting guideline development. BMJ Case Rep. 2013, 2013. [Google Scholar] [CrossRef]
- Sikora-Szczęśniak, D.L. Uterine angioleiomyoma—A rare variant of uterine leiomyoma: Review of literature and case reports. Prz. Menopauzalny 2016, 15, 165–169. [Google Scholar] [CrossRef] [PubMed]
- Koleskas, D.; Karagiannis, G.; Beukenholdt, R.W. A case of a cervical angioleiomyoma presenting with menorrhagia and pelvic pain: A common presentation of a rare tumour. J. Obstet. Gynaecol. 2009, 29, 161–163. [Google Scholar] [CrossRef]
- Al-Sannaa, G.A.; Al-Manea, M. Cervical angioleiomyoma. J. Obstet. Gynaecol. 2011, 31, 555. [Google Scholar] [CrossRef]
- Gupta, M.; Suryawanshi, M.; Kumar, R.; Peedicayil, A. Angioleiomyoma of Uterus: A Clinicopathologic Study of 6 Cases. Int. J. Surg. Pathol. 2018, 26, 18–23. [Google Scholar] [CrossRef]
- Seth, A.; Mathur, A. Angioleiomyoma of Uterus and Cervix: A Rare Report of Two Cases. J. Mid-Life Health 2021, 12, 179–184. [Google Scholar]
- Hwang, Y.C.; Park, S.Y. A Rare Angioleiomyoma of the Uterine Cervix: A Case Report with Peculiar MRI Findings. J. Korean Soc. Radiol. (Taehan Yŏngsang Ŭihakhoe Chi) 2022, 83, 693–698. [Google Scholar] [CrossRef]
- Mansoori, B.; Khatri, G.; Rivera-Colón, G.; Albuquerque, K.; Lea, J.; Pinho, D.F. Multimodality Imaging of Uterine Cervical Malignancies. Am. J. Roentgenol. 2020, 215, 292–304. [Google Scholar] [CrossRef]
- Gala, F.B.; Gala, K.B.; Gala, B.M. Magnetic Resonance Imaging of Uterine Cervix: A Pictorial Essay. Indian J. Radiol. Imaging 2021, 31, 454–467. [Google Scholar] [CrossRef]
- Mahajan, M.; Kuber, R.; Chaudhari, K.; Chaudhari, P.; Ghadage, P.; Naik, R. MR imaging of carcinoma cervix. Indian J. Radiol. Imaging 2013, 23, 247–252. [Google Scholar] [CrossRef]
- Odetto, D.; Perrotta, M.; Saadi, J.M.; Chacon, C.B.; Causa Andrieu, P.I.; Wernicke, A.; Saez Perrotta, M.C. Infection versus cancer: Management of actinomyces mimicking cervical cancer or ovarian cancer. Int. J. Gynecol. Cancer 2020, 30, 1638–1643. [Google Scholar] [CrossRef] [PubMed]
- Ukita, M.; Aoki, M.; Murakami, K.; Takaya, H.; Kotani, Y.; Shimaoka, M.; Tobiume, T.; Nakai, H.; Tsuji, I.; Suzuki, A.; et al. Nontuberculous Mycobacterial Infection in the Uterine Cervix Mimics Invasive Cervical Cancer in Immunocompetent Woman. Int. J. Gynecol. Pathol. 2016, 35, 127–133. [Google Scholar] [CrossRef] [PubMed]
- Kobayashi, E.; Iwamiya, T.; Masaki, H.; Yamagata, A.; Isobe, M.; Miyake, T.; Shiki, Y.; Nakashima, R.; Yamasaki, M. Postoperative abdominal aspergilloma mimicking cervical cancer recurrence and diagnostic imaging, including F-fluorodeoxyglucose positron emission tomography, with false-positive findings. J. Obstet. Gynaecol. Res. 2009, 35, 808–811. [Google Scholar] [CrossRef]
- Taneja, S.; Jena, A.; Tangri, R.; Sekhon, R. Case report. MR appearance of cervical donovanosis mimicking carcinoma of the cervix. Br. J. Radiol. 2008, 81, e170–e172. [Google Scholar] [CrossRef] [PubMed]
- Zhu, X.; Zhang, W.; Fei, J.; Zhou, J. Cervical syphilitic lesions mimicking cervical cancer: A rare case report. Int. J. Infect. Dis. 2015, 31, 1–3. [Google Scholar] [CrossRef]
- Dhomps, A.; Trecourt, A.; Tordo, J. Cervix Abscess Mimicking Cervical Cancer Explored With 18 F-FDG PET/CT and MRI. Clin. Nucl. Med. 2023, 48, e237–e238. [Google Scholar] [CrossRef]
- Oladipo, A.; Somaiya, P.; Kassab, A.; Liddicoat, A.; Mathew, J. A rare case of pelvic malakoplakia mimicking advanced cervical cancer infiltrating the bladder. J. Obstet. Gynaecol. 2007, 27, 749–751. [Google Scholar] [CrossRef] [PubMed]
- Sugiyama, K.; Takehara, Y. MR findings of pseudoneoplastic lesions in the uterine cervix mimicking adenoma malignum. Br. J. Radiol. 2007, 80, 878–883. [Google Scholar] [CrossRef] [PubMed]
- Bardsley, M.; Pather, S.; Neesham, D.; Dobrotwir, A.; Brown, B.; Quinn, M.; Grant, P. Benign endocervical cystic glandular change mimicking minimal deviation adenocarcinoma of the cervix on magnetic resonance imaging: A case report. Aust. N. Z. J. Obstet. Gynaecol. 2004, 44, 358–359. [Google Scholar] [CrossRef] [PubMed]
- Selo-Ojeme, D.O.; Sohaib, S.A.; Ind, T.I.; Oram, D.H.; Reznek, H. Endometriosis mimicking advanced cervical cancer on magnetic resonance imaging. Clin. Radiol. 2001, 56, 997–999. [Google Scholar] [CrossRef]
- Kazma, J.; Johnson, C.; Jain, N.; Gali, V.L.; Young, K.H.; Jazaeri, A.A. B-cell acute lymphoblastic leukemia/lymphoma in relapse presenting as a cervical mass: A case report and review of literature. Gynecol. Oncol. Rep. 2019, 29, 94–97. [Google Scholar] [CrossRef]
- Yoon, S.N. Endometrial Cancer with Cervical Extension Mimicking Dual Concordant Endometrial and Cervical Malignancy by F-18 FDG PET and MRI. Nucl. Med. Mol. Imaging 2012, 46, 230–231. [Google Scholar] [CrossRef]
- Jaidane, M.; Slama, A.; Bibi, M. A tumor of an ectopic ureter mimicking uterine cervix adenocarcinoma: Case report and brief review. Int. Urogynecol. J. Pelvic. Floor Dysfunct. 2009, 20, 1393–1395. [Google Scholar] [CrossRef]
- Agorastos, T.; Dinas, K.; Patsiaoura, K. Cystic degenerated angioleiomyoma mimicking ovarian pathology. Acta Obstet. Gynecol. Scand. 2001, 80, 863–865. [Google Scholar] [CrossRef]
- McAdams, C.R.; Athanasatos, G.; Jorizzo, J.R. Case Report of a Uterine Angioleiomyoma. Ultrasound Q. 2016, 32, 384–386. [Google Scholar] [CrossRef]
- Angelico, G.; Marletta, S.; Broggi, G.; Vigneri, P.; Vecchio, G.M.; Salvatorelli, L.; Magro, G. Practical Approach to the Diagnosis of the Vulvo-Vaginal Stromal Tumors: An Overview. Diagnostics 2022, 12, 357. [Google Scholar] [CrossRef]
- Shilpa, G.; Sharma, S.; Parthiban, S.R.R.; Khan, U. Angiomyofibroblastoma of the Vulva. Gynecol. Minim. Invasive Ther. 2022, 11, 185–187. [Google Scholar] [CrossRef] [PubMed]
- Al-Qaderi, A.; Mansour, A.T. Pseudomyogenic Hemangioendothelioma. Arch. Pathol. Lab. Med. 2019, 143, 763–767. [Google Scholar] [CrossRef] [PubMed]
- Rosenberg, A.; Agulnik, M. Epithelioid Hemangioendothelioma: Update on Diagnosis and Treatment. Curr. Treat. Options Oncol. 2018, 19, 19. [Google Scholar] [CrossRef] [PubMed]
Disclaimer/Publisher’s Note: The statements, opinions and data contained in all publications are solely those of the individual author(s) and contributor(s) and not of MDPI and/or the editor(s). MDPI and/or the editor(s) disclaim responsibility for any injury to people or property resulting from any ideas, methods, instructions or products referred to in the content. |
© 2023 by the authors. Licensee MDPI, Basel, Switzerland. This article is an open access article distributed under the terms and conditions of the Creative Commons Attribution (CC BY) license (https://creativecommons.org/licenses/by/4.0/).
Share and Cite
Lee, J.; Shin, S.; Kim, J.-H.; Lee, S.L.; Chong, Y.; Seo, K.J.; Yim, K. Uterine Cervical Angioleiomyoma Mimicking Squamous Cell Carcinoma. Diagnostics 2023, 13, 2370. https://doi.org/10.3390/diagnostics13142370
Lee J, Shin S, Kim J-H, Lee SL, Chong Y, Seo KJ, Yim K. Uterine Cervical Angioleiomyoma Mimicking Squamous Cell Carcinoma. Diagnostics. 2023; 13(14):2370. https://doi.org/10.3390/diagnostics13142370
Chicago/Turabian StyleLee, Jiwon, Seoyeon Shin, Jin-Hwi Kim, Su Lim Lee, Yosep Chong, Kyung Jin Seo, and Kwangil Yim. 2023. "Uterine Cervical Angioleiomyoma Mimicking Squamous Cell Carcinoma" Diagnostics 13, no. 14: 2370. https://doi.org/10.3390/diagnostics13142370
APA StyleLee, J., Shin, S., Kim, J.-H., Lee, S. L., Chong, Y., Seo, K. J., & Yim, K. (2023). Uterine Cervical Angioleiomyoma Mimicking Squamous Cell Carcinoma. Diagnostics, 13(14), 2370. https://doi.org/10.3390/diagnostics13142370

