Beyond Visual Interpretation: Quantitative Analysis and Artificial Intelligence in Interstitial Lung Disease Diagnosis “Expanding Horizons in Radiology”
Abstract
1. Introduction
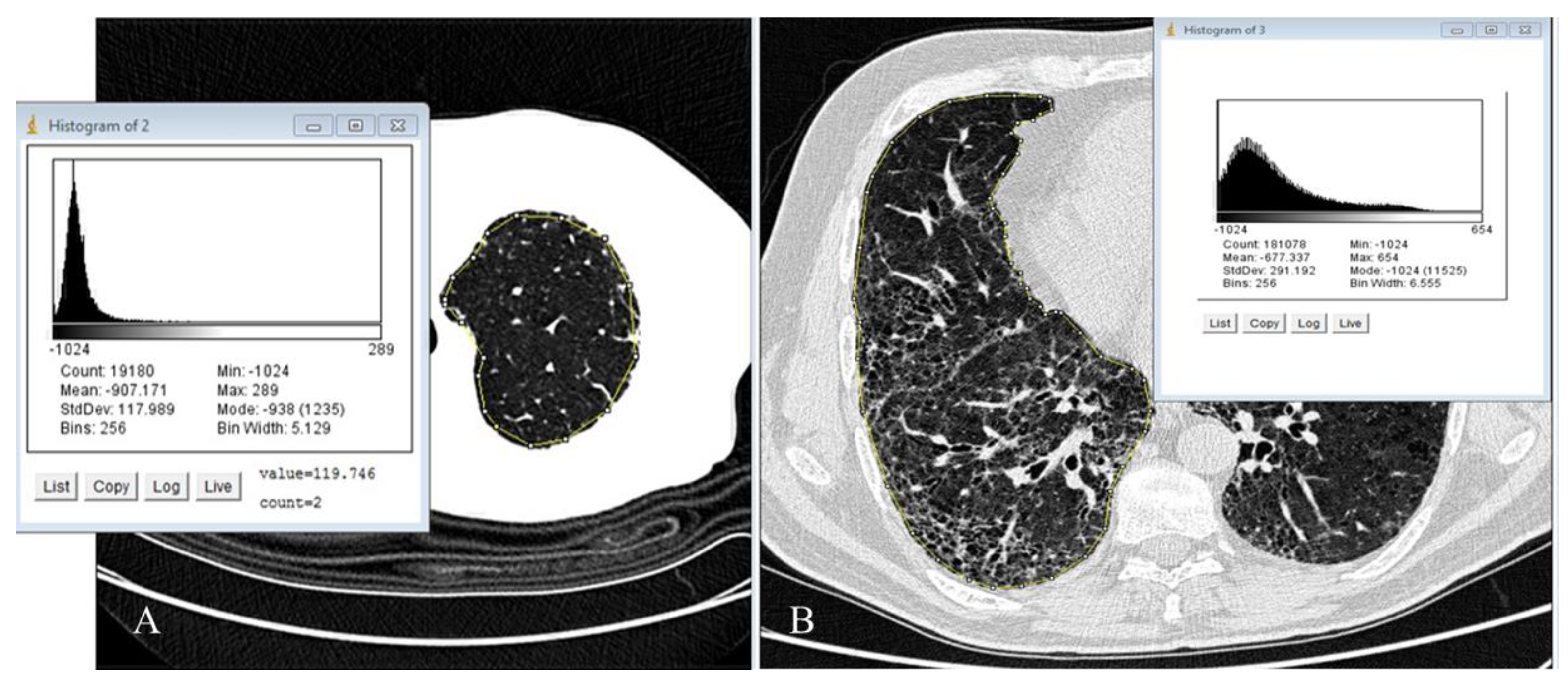
2. From the Realm of Semi-Quantitative Visual Analysis to the Realm of Pulmonary Quantification: A Groundbreaking Technological Metamorphosis
3. Unlocking the Potential: Artificial Intelligence Revolutionizes Interstitial Lung Disease Diagnosis with Quantitative Imaging and Advanced Data Analysis
4. Unleashing the Potential of AI: Unraveling ILDs Mysteries through Deep Learning, CNN, Radiomics, and Lung Shrinkage
4.1. Deep Learning
4.2. Convolutional Neural Network, Radiomics, and Lung Shrinkage
5. Conclusions
Author Contributions
Funding
Institutional Review Board Statement
Informed Consent Statement
Data Availability Statement
Conflicts of Interest
References
- Raghu, G.; Remy-Jardin, M.; Myers, J.L.; Richeldi, L.; Ryerson, C.J.; Lederer, D.J.; Behr, J.; Cottin, V.; Danoff, S.K.; Morell, F.; et al. Diagnosis of idiopathic pulmonary fibrosis. An official ATS/ERS/JRS/ALAT clinical practice guideline. Am. J. Respir. Crit. Care Med. 2018, 198, e44–e68. [Google Scholar] [CrossRef] [PubMed]
- Mueller-Mang, C.; Grosse, C.; Schmid, K.; Stiebellehner, L.; Bankier, A.A. What every radiologist should know about idiopathic interstitial pneumonias. Radiographics 2007, 27, 595–615. [Google Scholar] [CrossRef] [PubMed]
- Flaherty, K.R.; Andrei, A.-C.; King, T.E., Jr.; Raghu, G.; Colby, T.V.; Wells, A.; Bassily, N.; Brown, K.; Bois, R.D.; Flint, A.; et al. Idiopathic interstitial pneumonia: Do community and academic physicians agree on diagnosis? Am. J. Respir. Crit. Care Med. 2007, 175, 1054–1060. [Google Scholar] [CrossRef] [PubMed]
- Lynch, D.A.; Sverzellati, N.; Travis, W.D.; Brown, K.K.; Colby, T.V.; Galvin, J.R. Diagnostic criteria for idiopathic pulmonary fibrosis a Fleischner Society White Paper. Lancet Respir. Med. 2018, 6, 138–153. [Google Scholar] [CrossRef] [PubMed]
- Walsh, S.L.F.; Lederer, D.J.; Ryerson, C.J.; Kolb, M.; Maher, T.M.; Nusser, R. Diagnostic Likelihood Thresholds That Define a Working Diagnosis of Idiopathic Pulmonary Fibrosis. Am. J. Respir. Crit. Care Med. 2019, 200, 1146–1153. [Google Scholar] [CrossRef]
- Rea, G.; Bocchino, M. The challenge of diagnosing interstitial lung disease by HRCT: State of the art and future perspectives. J. Bras. De Pneumol. 2021, 47, e20210199. [Google Scholar] [CrossRef]
- Smith, M.L.; Hariri, L.P.; Mino-Kenudson, M.; Dacic, S.; Attanoos, R.; Borczuk, A.; Colby, T.V.; Cooper, W.; Jones, K.D.; Leslie, K.O.; et al. Histopathologic Assessment of Suspected Idiopathic Pulmonary Fibrosis: Where We Are and Where We Need to Go. Arch. Pathol. Lab. Med. 2020, 144, 1477–1489. [Google Scholar] [CrossRef]
- Walsh, S.L.F.; Wells, A.U.; Desai, S.R.; Poletti, V.; Piciucchi, S.; Dubini, A. Multicentre evaluation of multidisciplinary team meeting agreement on diagnosis in diffuse parenchymal lung disease a case-cohort study. Lancet Respir. Med. 2016, 4, 557–565. [Google Scholar] [CrossRef]
- Raghu, G.; Remy-Jardin, M.; Richeldi, L.; Thomson, C.C.; Inoue, Y.; Johkoh, T.; Kreuter, M.; Lynch, D.A.; Maher, T.M.; Martinez, F.J.; et al. Idiopathic Pulmonary Fibrosis (an Update) and Progressive Pulmonary Fibrosis in Adults: An Official ATS/ERS/JRS/ALAT Clinical Practice Guideline. Am. J. Respir. Crit. Care Med. 2022, 205, e18–e47. [Google Scholar] [CrossRef]
- Chen, A.; Karwoski, R.A.; Gierada, D.S.; Bartholmai, B.J.; Koo, C.W.; Quantitative, C.T. Quantitative CT analysis of diffuse lung disease. Radiographics 2020, 40, 28–43. [Google Scholar] [CrossRef]
- Gao, M.; Bagci, U.; Lu, L.; Wu, A.; Buty, M.; Shin, H.-C.; Roth, H.; Papadakis, G.Z.; Depeursinge, A.; Summers, R.M.; et al. Holistic classification of CT attenuation patterns for interstitial lung diseases via deep convolutional neural networks. Comput. Methods Biomech. Biomed. Eng. Imaging Vis. 2018, 6, 1–6. [Google Scholar] [CrossRef] [PubMed]
- Walsh, S.L.F.; Calandriello, L.; Silva, M.; Sverzellati, N. Deep learning for classifying fibrotic lung disease on high-resolution computed tomography: A case-cohort study. Lancet Respir. Med. 2018, 6, 837–845. [Google Scholar] [CrossRef] [PubMed]
- Agarwala, S.; Kale, M.; Kumar, D.; Swaroop, R.; Kumar, A.; Dhara, A.K.; Thakur, S.B.; Sadhu, A.; Nandi, D. Deep learning for screening of interstitial lung disease patterns in high-resolution CT images. Clin. Radiol. 2020, 75, E1–E8. [Google Scholar] [CrossRef]
- Choe, J.; Hwang, H.J.; Seo, J.B.; Lee, S.M.; Yun, J.; Kim, M.-J.; Jeong, J.; Lee, Y.; Jin, K.; Park, R.; et al. Content-based image retrieval by using deep learning for interstitial lung disease diagnosis with chest CT. Radiology 2022, 302, 187–197. [Google Scholar] [CrossRef] [PubMed]
- Chassagnon, G.; Vakalopoulou, M.; Régent, A.; Sahasrabudhe, M.; Marini, R.; Hoang-Thi, T.-N.; Dinh-Xuan, A.-T.; Dunogué, B.; Mouthon, L.; Paragios, N.; et al. Elastic registration-driven deep learning for longitudinal assessment of systemic sclerosis interstitial lung disease at CT. Radiology 2021, 298, 189–198. [Google Scholar] [CrossRef]
- Aliboni, L.; Dias, O.M.; Baldi, B.G.; Sawamura, M.V.Y.; Chate, R.C.; Carvalho, C.R.R.; de Albuquerque, A.L.P.; Aliverti, A.; Pennati, F. A convolutional neural network approach to quantify lung disease progression in patients with fibrotic hypersensitivity pneumonitis (HP). Acad. Radiol. 2022, 29, e149–e156. [Google Scholar] [CrossRef]
- Prayer, F.; Röhrich, S.; Pan, J.; Hofmanninger, J.; Langs, G.; Prosch, H. Artificial intelligence in lung imaging. Radiologe 2020, 60, 42–47. [Google Scholar] [CrossRef]
- Pallante, P.; Malapelle, U.; Nacchio, M.; Sgariglia, R.; Galati, D.; Capitelli, L.; Zanotta, S.; Galgani, M.; Piemonte, E.; Rea, A.S.G.; et al. Liquid Biopsy Is a Promising Tool for Genetic Testing in Idiopathic Pulmonary Fibrosis. Diagnostics 2021, 11, 1202. [Google Scholar] [CrossRef]
- Chassagnon, G.; Vakalopoulou, M.; Paragios, N.; Revel, M.P. Artificial intelligence applications for thoracic imaging. Eur. J. Radiol. 2020, 123, 108774. [Google Scholar] [CrossRef]
- Soffer, S.; Ben-Cohen, A.; Shimon, O.; Amitai, M.M.; Greenspan, H.; Klang, E. Convolutional Neural Networks for Radiologic Images: A Radiologist’s Guide. Radiology 2019, 290, 590–606. [Google Scholar] [CrossRef]
- Jacob, J.; Bartholmai, B.J.; Rajagopalan, S.; Kokosi, M.; Egashira, R.; Brun, A.L.; Nair, A.; Walsh, S.L.F.; Karwoski, R. Serial automated quantitative CT analysis in idiopathic pulmonary fibrosis: Functional correlations and comparison with changes in visual CT scores. Eur. Radiol. 2018, 28, 1318–1327. [Google Scholar] [CrossRef] [PubMed]
- Wu, X.; Kim, G.H.; Salisbury, M.L.; Barber, D.; Bartholmai, B.J.; Brown, K.K.; Conoscenti, C.S.; De Backer, J.; Flaherty, K.R.; Gruden, J.F.; et al. Computed Tomographic Biomarkers in Idiopathic Pulmonary Fibrosis. The Future of Quantitative Analysis. Am. J. Respir. Crit. Care Med. 2019, 199, 12–21. [Google Scholar] [CrossRef]
- Jacob, J.; Bartholmai, B.J.; Rajagopalan, S.; van Moorsel, C.H.M.; van Es, H.W.; van Beek, F.T.; Struik, M.H.L.; Kokosi, M.; Egashira, R.; Brun, A.L.; et al. Predicting Outcomes in Idiopathic Pulmonary Fibrosis Using Automated Computed Tomographic Analysis. Am. J. Respir. Crit. Care Med. 2018, 198, 767–776. [Google Scholar] [CrossRef] [PubMed]
- Joseph, J.; Brian, J.B.; Srinivasan, R.; Maria, K.; Arjun, N.; Ronald, K.; Sushravya, M.R.; Simon, L.W.; Athol, U.W.; David, M.H. Automated Quantitative Computed Tomography Versus Visual Computed Tomography Scoring in Idiopathic Pulmonary Fibrosis: Validation Against Pulmonary Function. J. Thorac. Imaging 2016, 31, 304–311. [Google Scholar]
- Kazerooni, A.; Martinez, F.J.; Flint, A.; Jamadar, D.A.; Gross, B.H.; Spizarny, D.L.; Cascade, P.N.; Whyte, R.I.; Lynch, J.P.; Toews, G. Thin-section obtained at 10-mm increments versus limited three-level thin-section CT for idiopathic pulmonary fibrosis: Correlation with pathologic scoring. AJR Am. J. Roentgenol. 1997, 169, 977–983. [Google Scholar] [CrossRef]
- Goh, N.S.L.; Desai, S.R.; Veeraraghavan, S.; Hansell, D.M.; Copley, S.J.; Maher, T.M.; Corte, T.J.; Sander, C.R.; Ratoff, J.; Devaraj, A.; et al. Interstitial lung disease in systemic sclerosis: A simple staging system. Am. J. Respir. Crit. Care Med. 2008, 177, 1248–1254. [Google Scholar] [CrossRef] [PubMed]
- Best, A.C.; Lynch, A.M.; Bozic, C.M.; Miller, D.; Grunwald, G.K.; Lynch, D.A. Quantitative CT indexes in idiopathic pulmonary fibrosis: Relationship with physiologic impairment. Radiology 2003, 228, 407–414. [Google Scholar] [CrossRef]
- Rea, G.; De Martino, M.; Capaccio, A.; Dolce, P.; Valente, T.; Castaldo, S. Comparative analysis of density histograms and visual scores in incremental and volumetric high-resolution computed tomography of the chest in idiopathic pulmonary fibrosis patients. Radiol. Med. 2021, 126, 599–607. [Google Scholar] [CrossRef]
- Bocchino, M.; Bruzzese, D.; D′Alto, M.; Argiento, P.; Borgia, A.; Capaccio, A.; Romeo, E.; Russo, B.; Sanduzzi, A.; Valente, T.; et al. Performance of a new quantitative computed tomography index for interstitial lung disease assessment in systemic sclerosis. Sci. Rep. 2019, 9, 9468. [Google Scholar] [CrossRef]
- Camiciottoli, G.; Orlandi, I.; Bartolucci, M.; Meoni, E.; Nacci, F.; Diciotti, S.; Barcaroli, C.; Conforti, M.L.; Pistolesi, M.; Matucci-Cerinic, M.; et al. Lung CT densitometry in systemic sclerosis: Correlation with lung function, exercise testing, and quality of life. Chest 2007, 131, 672–681. [Google Scholar] [CrossRef]
- Ariani, A.; Carotti, M.; Gutierrez, M.; Bichisecchi, E.; Grassi, W.; Giuseppetti, G.M.; Salaffi, F. Utility of an open-source DICOM viewer software (OsiriX) to assess pulmonary fibrosis in systemic sclerosis: Preliminary results. Rheumatol. Int. 2014, 34, 511–516. [Google Scholar] [CrossRef] [PubMed]
- Sverzellati, N.; Zompatori, M.; De Luca, G.; Chetta, A.; Bnà, C.; Ormitti, F.; Cobelli, R. Evaluation of quantitative CT indexes in idiopathic interstitial pneumonitis using a low-dose technique. Eur. J. Radiol. 2005, 56, 370–375. [Google Scholar] [CrossRef] [PubMed]
- Kloth, C.; Blum, A.C.; Thaiss, W.M.; Preibsch, H.; Ditt, H.; Grimmer, R.; Fritz, J.; Nikolaou, K.; Bösmüller, H.; Horger, M. Differences in Texture Analysis Parameters Between Active Alveolitis and Lung Fibrosis in Chest CT of Patients with Systemic Sclerosis: A Feasibility Study. Acad. Radiol. 2017, 24, 1596–1603. [Google Scholar] [CrossRef] [PubMed]
- Sverzellati, N.; Calabrò, E.; Chetta, A.; Concari, G.; Larici, A.R.; Mereu, M.; Cobelli, R.; De Filippo, M.; Zompatori, M. Visual score and quantitative CT indices in pulmonary fibrosis: Relationship with physiologic impairment. Radiol. Med. 2007, 112, 1160–1172. [Google Scholar] [CrossRef]
- Ash, S.Y.; Harmouche, R.; Vallejo, D.L.; Villalba, J.A.; Ostridge, K.; Gunville, R.; Come, C.E.; Onieva Onieva, J.; Ross, J.C.; Hunninghake, G.M.; et al. Densitometric and local histogram-based analysis of computed tomography images in patients with idiopathic pulmonary fibrosis. Respir. Res. 2017, 18, 45. [Google Scholar] [CrossRef]
- Fedorov, A.; Beichel, R.; Kalpathy-Cramer, J.; Finet, J.; Fillion-Robin, J.-C.; Pujol, S.; Bauer, C.; Jennings, D.; Fennessy, F.M.; Sonka, M.; et al. 3D Slicer as an Image Computing Platform for the Quantitative Imaging Network. Magn. Reson. Imaging 2012, 30, 1323–1341. [Google Scholar] [CrossRef]
- Maldonado, F.; Moua, T.; Rajagopalan, S.; Karwoski, R.A.; Raghunath, S.; Decker, P.A.; Hartman, T.E.; Bartholmai, B.; Robb, R.A.; Ryu, J. Automated quantification of radiological patterns predicts survival in idiopathic pulmonary fibrosis. Eur. Respir. J. 2014, 43, 204–212. [Google Scholar] [CrossRef]
- Romei, C.; Tavanti, L.M.; Taliani, A.; De Liperi, A.; Karwoski, R.; Celi, A.; Palla, A.; Bartholmai, B.J.; Falaschi, F. Automated Computed Tomography analysis in the assessment of Idiopathic Pulmonary Fibrosis severity and progression. Eur. J. Radiol. 2020, 124, 108852. [Google Scholar] [CrossRef]
- Romei, C.; Falaschi, Z.; Danna, P.S.C.; Airoldi, C.; Tonerini, M.; Rocchi, E.; Fanni, S.C.; D′Amelio, C.; Barbieri, G.; Tiseo, G.; et al. Lung vessel volume evaluated with CALIPER software is an independent predictor of mortality in COVID-19 patients: A multicentric retrospective analysis. Eur. Radiol. 2022, 32, 4314–4323. [Google Scholar] [CrossRef]
- Silva, M.; Milanese, G.; Ledda, R.E.; Maddalo, M.; Sverzellati, N. Artificial Intelligence-Based Evaluation of Patients with Interstitial Lung Disease. In Artificial Intelligence in Cardiothoracic Imaging. Contemporary Medical Imaging; De Cecco, C.N., van Assen, M., Leiner, T., Eds.; Humana: Cham, Switzerland, 2022. [Google Scholar] [CrossRef]
- Hoang-Thi, T.N.; Chassagnon, G.; Tran, H.D.; Le-Dong, N.N.; Dinh-Xuan, A.T.; Revel, M.P. How Artificial Intelligence in Imaging Can Better Serve Patients with Bronchial and Parenchymal Lung Diseases? J. Pers. Med. 2022, 12, 1429. [Google Scholar] [CrossRef]
- Chang, Y.; Lim, J.; Kim, N.; Seo, J.B.; Lynch, D.A. A support vector machine classifier reduces interscanner variation in the HRCT classification of regional disease pattern in diffuse lung disease: Comparison to a Bayesian classifier. Med. Phys. 2013, 40, 051912. [Google Scholar] [CrossRef] [PubMed]
- Shaish, H.; Ahmed, F.S.; Lederer, D.; D’Souza, B.; Armenta, P.; Salvatore, M.; Saqi, A.; Huang, S.; Jambawalikar, S.; Mutasa, S. Deep learning of computed tomography virtual wedge resection for prediction of histologic usual interstitial pneumonitis. Ann. Am. Thorac. Soc. 2021, 18, 51–59. [Google Scholar] [CrossRef] [PubMed]
- Bratt, A.; Williams, J.M.; Liu, G.; Panda, A.; Patel, P.P.; Walkoff, L.; Sykes, A.-M.G.; Tandon, Y.K.; Francois, C.J.; Blezek, D.J.; et al. Predicting usual interstitial pneumonia histopathology from chest CT with deep learning. Chest 2022, 162, 815–823. [Google Scholar] [CrossRef] [PubMed]
- Suman, G.; Koo, C.W. Recent Advancements in Computed Tomography Assessment of Fibrotic Interstitial Lung Diseases. J. Thorac. Imaging, 2023; ahead of print. [Google Scholar] [CrossRef]
- Kim, G.B.; Jung, K.H.; Lee, Y.; Kim, H.J.; Kim, N.; Jun, S.; Seo, J.B.; Lynch, D.A. Comparison of Shallow and Deep Learning Methods on Classifying the Regional Pattern of Diffuse Lung Disease. J. Digit. Imaging 2018, 31, 415–424. [Google Scholar] [CrossRef]
- Lacedonia, D.; De Pace, C.C.; Rea, G.; Capitelli, L.; Gallo, C.; Scioscia, G.; Tondo, P.; Bocchino, M. Machine Learning and BMI Improve the Prognostic Value of GAP Index in Treated IPF Patients. Bioengineering 2023, 10, 251. [Google Scholar] [CrossRef]
- Barnes, H.; Humphries, S.M.; George, P.M.; Assayag, D.; Glaspole, I.; Mackintosh, J.A.; Corte, T.J.; Glassberg, M.; Johannson, K.A.; Calandriello, L.; et al. Machine learning in radiology: The new frontier in interstitial lung diseases. Lancet Digit. Health 2023, 5, e41–e50. [Google Scholar] [CrossRef]
- Chen, X.; Wang, X.; Zhang, K.; Fung, K.M.; Thai, T.C.; Moore, K.; Mannel, R.S.; Liu, H.; Zheng, B.; Qiu, Y. Recent advances and clinical applications of deep learning in medical image analysis. Med. Image Anal. 2022, 79, 102444. [Google Scholar] [CrossRef]
- Schniering, J.; Maciukiewicz, M.; Gabrys, H.S.; Brunner, M.; Blüthgen, C.; Meier, C.; Braga-Lagache, S.; Uldry, A.C.; Heller, M.; Guckenberger, M.; et al. Computed tomography-based radiomics decodes prognostic and molecular differences in interstitial lung disease related to systemic sclerosis. Eur. Respir. J. 2022, 59, 2004503. [Google Scholar] [CrossRef]
- Bermejo-Peláez, D.; Ash, S.Y.; Washko, G.R.; San José Estépar, R.; Ledesma-Carbayo, M.J. Classification of Interstitial Lung Abnormality Patterns with an Ensemble of Deep Convolutional Neural Networks. Sci. Rep. 2020, 10, 338. [Google Scholar] [CrossRef]
- Budzikowski, J.D.; Foy, J.J.; Rashid, A.A.; Chung, J.H.; Noth, I.; Armato, S.G., 3rd. Radiomics-based assessment of idiopathic pulmonary fibrosis is associated with genetic mutations and patient survival. J. Med. Imaging 2021, 8, 031903. [Google Scholar] [CrossRef] [PubMed]
- Stefano, A.; Gioè, M.; Russo, G.; Palmucci, S.; Torrisi, S.E.; Bignardi, S.; Basile, A.; Comelli, A.; Benfante, V.; Sambataro, G.; et al. Performance of Radiomics Features in the Quantification of Idiopathic Pulmonary Fibrosis from HRCT. Diagnostics 2020, 10, 306. [Google Scholar] [CrossRef] [PubMed]
- Martini, K.; Baessler, B.; Bogowicz, M.; Blüthgen, C.; Mannil, M.; Tanadini-Lang, S.; Schniering, J.; Maurer, B.; Frauenfelder, T. Applicability of radiomics in interstitial lung disease associated with systemic sclerosis: Proof of concept. Eur. Radiol. 2021, 31, 1987–1998. [Google Scholar] [CrossRef]
- Frix, A.N.; Cousin, F.; Refaee, T.; Bottari, F.; Vaidyanathan, A.; Desir, C.; Vos, W.; Walsh, S.; Occhipinti, M.; Lovinfosse, P.; et al. Radiomics in Lung Diseases Imaging: State-of-the-Art for Clinicians. J. Pers. Med. 2021, 11, 602. [Google Scholar] [CrossRef] [PubMed]
- Anan, N.; Zainon, R.; Tamal, M. A review on advances in 18F-FDG PET/CT radiomics standardization and application in lung disease management. Insights. Imaging 2022, 13, 22. [Google Scholar] [CrossRef]
- Dack, E.; Christe, A.; Fontanellaz, M.; Brigato, L.; Heverhagen, J.T.; Peters, A.A.; Huber, A.T.; Hoppe, H.; Mougiakakou, S.; Ebner, L. Artificial Intelligence and Interstitial Lung Disease: Diagnosis and Prognosis. Investig. Radiol. 2023, 58, 602–609. [Google Scholar] [CrossRef]



| Disclaimer/Publisher’s Note: The statements, opinions and data contained in all publications are solely those of the individual author(s) and contributor(s) and not of MDPI and/or the editor(s). MDPI and/or the editor(s) disclaim responsibility for any injury to people or property resulting from any ideas, methods, instructions or products referred to in the content. | 
© 2023 by the authors. Licensee MDPI, Basel, Switzerland. This article is an open access article distributed under the terms and conditions of the Creative Commons Attribution (CC BY) license (https://creativecommons.org/licenses/by/4.0/).
Share and Cite
Rea, G.; Sverzellati, N.; Bocchino, M.; Lieto, R.; Milanese, G.; D’Alto, M.; Bocchini, G.; Maniscalco, M.; Valente, T.; Sica, G. Beyond Visual Interpretation: Quantitative Analysis and Artificial Intelligence in Interstitial Lung Disease Diagnosis “Expanding Horizons in Radiology”. Diagnostics 2023, 13, 2333. https://doi.org/10.3390/diagnostics13142333
Rea G, Sverzellati N, Bocchino M, Lieto R, Milanese G, D’Alto M, Bocchini G, Maniscalco M, Valente T, Sica G. Beyond Visual Interpretation: Quantitative Analysis and Artificial Intelligence in Interstitial Lung Disease Diagnosis “Expanding Horizons in Radiology”. Diagnostics. 2023; 13(14):2333. https://doi.org/10.3390/diagnostics13142333
Chicago/Turabian StyleRea, Gaetano, Nicola Sverzellati, Marialuisa Bocchino, Roberta Lieto, Gianluca Milanese, Michele D’Alto, Giorgio Bocchini, Mauro Maniscalco, Tullio Valente, and Giacomo Sica. 2023. "Beyond Visual Interpretation: Quantitative Analysis and Artificial Intelligence in Interstitial Lung Disease Diagnosis “Expanding Horizons in Radiology”" Diagnostics 13, no. 14: 2333. https://doi.org/10.3390/diagnostics13142333
APA StyleRea, G., Sverzellati, N., Bocchino, M., Lieto, R., Milanese, G., D’Alto, M., Bocchini, G., Maniscalco, M., Valente, T., & Sica, G. (2023). Beyond Visual Interpretation: Quantitative Analysis and Artificial Intelligence in Interstitial Lung Disease Diagnosis “Expanding Horizons in Radiology”. Diagnostics, 13(14), 2333. https://doi.org/10.3390/diagnostics13142333
 
        




