Vertebrobasilar and Basilar Dolichoectasia Causing Audio-Vestibular Manifestations: A Case Series with a Brief Literature Review
Abstract
1. Introduction
2. Materials and Methods
2.1. Audiological Tests
2.2. Neuroradiological Evaluation
2.3. Literature Review
3. Results
3.1. Case Series (Table 1)
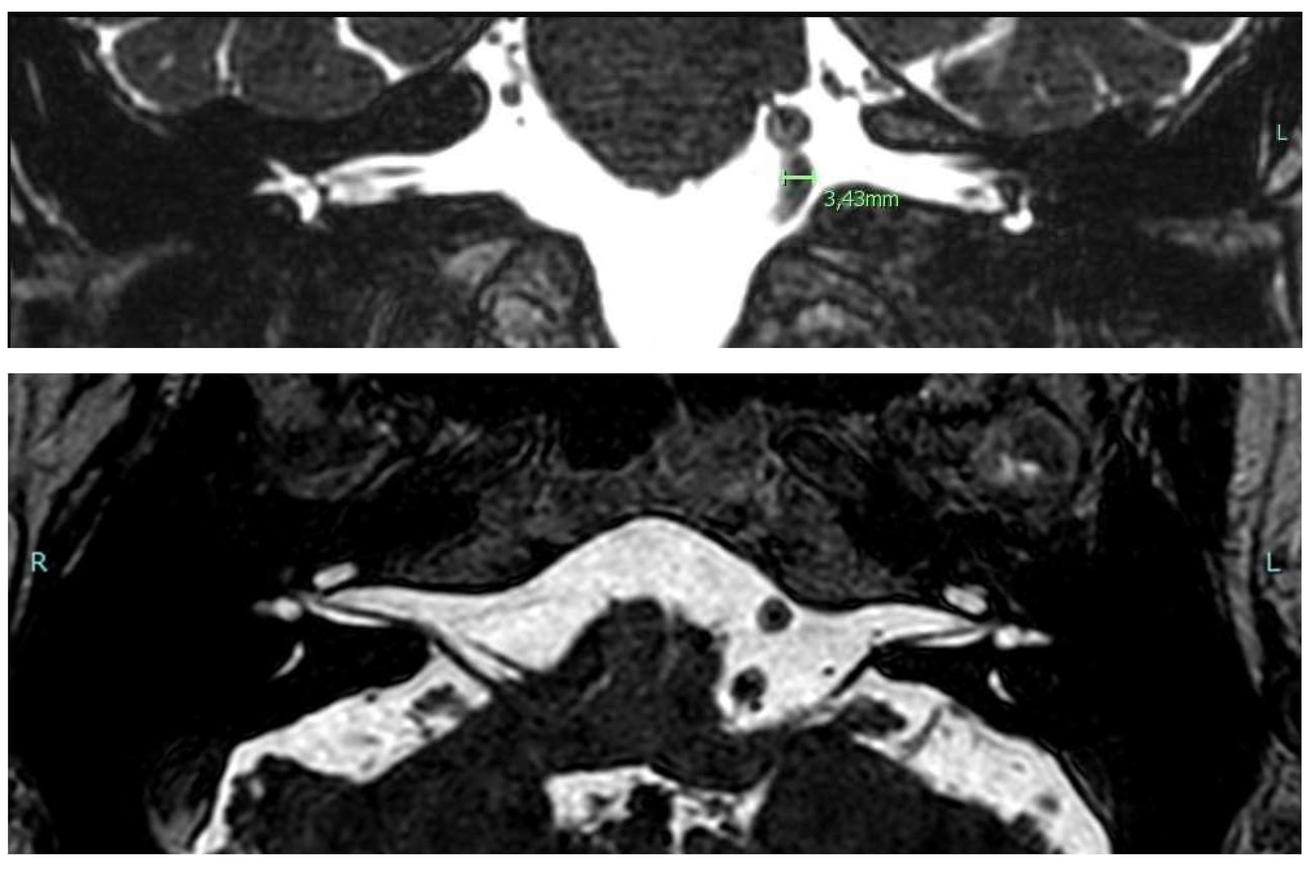
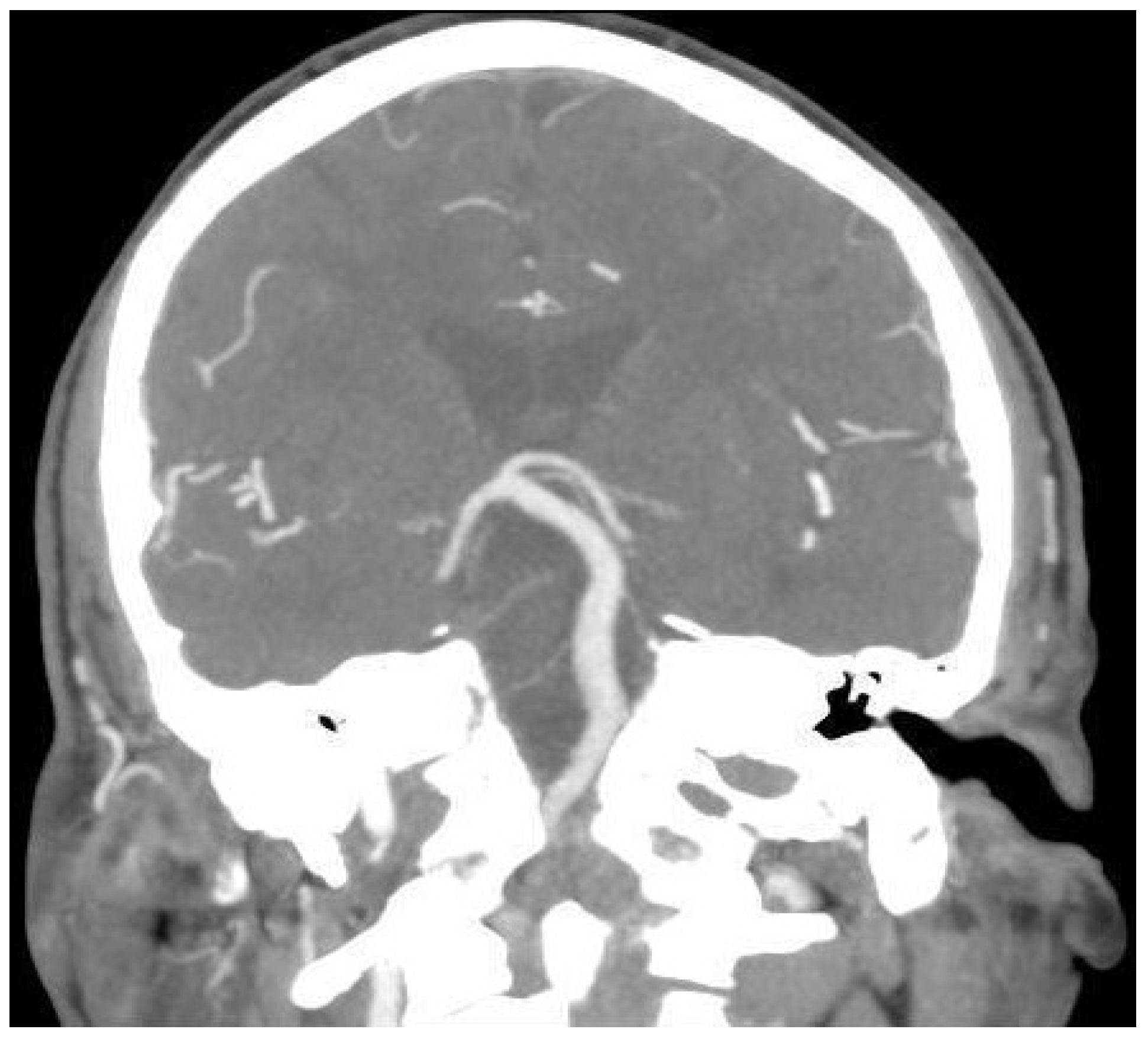
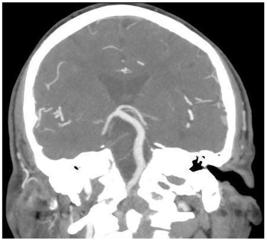
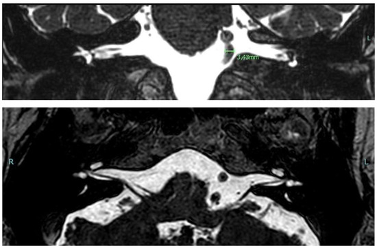
3.1.1. Case 1
3.1.2. Case 2
3.1.3. Case 3
| Patient | Age (Years) and Sex | Main Comorbidities | Symptoms | DPOAE | ABR | PTA | SRT | Vestibular Tests | Smoker’s Classification | Treatment | Follow-Up | Audiological Prognosis |
|---|---|---|---|---|---|---|---|---|---|---|---|---|
| 1 | 66 M | HBP | Tinnitus, dizziness, SNHL (LS) | Altered | Altered | Altered | Altered | Altered | 7/7 | CROS HA | 2 years | Progression to deafness |
| 2 | 68 M | HBP | Tinnitus, SNHL (LS), PPV | Altered | Normal | Altered | Altered | Altered | 5/7 | Bilateral HA | 3 years | No progression |
| 3 | 80 M | HBP | SNHL symmetrical, dizziness | Altered | Normal | Altered | Normal | Normal | 2/7 | None | 3 years | No progression |
3.2. Literature Review
4. Discussion
5. Conclusions
Author Contributions
Funding
Informed Consent Statement
Data Availability Statement
Conflicts of Interest
References
- Gutierrez, J.; Sacco, R.L.; Wright, C.B. Dolichoectasia-an evolving arterial disease. Nat. Rev. Neurol. 2011, 7, 41–50. [Google Scholar] [CrossRef] [PubMed]
- Flemming, K.D.; Wiebers, D.O.; Brown, R.D.; Link, M.J.; Huston, J.; McClelland, R.L.; Christianson, T.J. The natural history of radiographically defined vertebrobasilar nonsaccular intracranial aneurysms. Cerebrovasc. Dis. 2005, 20, 270–279. [Google Scholar] [CrossRef] [PubMed]
- Nuti, D.; Passero, S.; Di Girolamo, S. Bilateral vestibular loss in vertebrobasilar dolichoectasia. J. Vestib. Res. 1996, 6, 85–91. [Google Scholar] [CrossRef]
- Huh, G.; Bae, Y.J.; Woo, H.J.; Park, J.H.; Koo, J.W.; Song, J.J. Vestibulocochlear Symptoms Caused by Vertebrobasilar Dolichoectasia. Clin. Exp. Otorhinolaryngol. 2020, 13, 123–132. [Google Scholar] [CrossRef]
- Passero, S.G.; Rossi, S. Natural history of vertebrobasilar dolichoectasia. Neurology 2008, 70, 66–72. [Google Scholar] [CrossRef] [PubMed]
- Frosolini, A.; Franz, L.; Daloiso, A.; Lovato, A.; de Filippis, C.; Marioni, G. Digging into the Role of Inflammatory Biomarkers in Sudden Sensorineural Hearing Loss Diagnosis and Prognosis: A Systematic Review and Meta-Analysis. Medicina 2022, 58, 963. [Google Scholar] [CrossRef] [PubMed]
- Kang, D.W.; Kim, S.; Sunwoo, W. Correlation of Neutrophil-to-Lymphocyte Ratio and the Dilation of BA with the Potential Role of Vascular Compromise in the Pathophysiology of Idiopathic Sudden Sensorineural Hearing Loss. J. Clin. Med. 2022, 11, 5943. [Google Scholar] [CrossRef]
- Wolters, F.J.; Rinkel, G.J.; Vergouwen, M.D. Clinical course and treatment of vertebrobasilar dolichoectasia: A systematic review of the literature. Neurol. Res. 2013, 35, 131–137. [Google Scholar] [CrossRef]
- Gilbow, R.C.; Ruhl, D.S.; Hashisaki, G.T. Unilateral Sensorineural Hearing Loss Associated With Vertebrobasilar Dolichoectasia. Otol. Neurotol. 2018, 39, 56–57. [Google Scholar] [CrossRef]
- Smoker, W.; Corbett, J.; Gentry, L.; Keyes, W.; Price, M.; McKusker, S. High-Resolution Computed Tomography of the Basilar Artery: 2. Vertebrobasilar Dolichoectasia: Clinical-Pathologic Correlation and Review. AJNR Am. J. Neuroradiol. 1986, 7, 61–72. [Google Scholar]
- Frosolini, A.; Badin, G.; Sorrentino, F.; Brotto, D.; Pessot, N.; Fantin, F.; Ceschin, F.; Lovato, A.; Coppola, N.; Mancuso, A.; et al. Application of Patient Reported Outcome Measures in Cochlear Implant Patients: Implications for the Design of Specific Rehabilitation Programs. Sensors 2022, 22, 8770. [Google Scholar] [CrossRef]
- Turrini, M.; Cutugno, F.; Maturi, P.; Prosser, S.; Leoni, F.A.; Arslan, E. Bisyllabic words for speech audiometry: A new italian material. Acta Otorhinolaryngol. Ital. 1993, 13, 63–77. [Google Scholar] [PubMed]
- Pegge, S.A.H.; Steens, S.C.A.; Kunst, H.P.M.; Meijer, F.J.A. Pulsatile Tinnitus: Differential Diagnosis and Radiological Work-Up. Curr. Radiol. Rep. 2017, 5, 5. [Google Scholar] [CrossRef]
- von Brevern, M.; Bertholon, P.; Brandt, T.; Fife, T.; Imai, T.; Nuti, D.; Newman-Toker, D. Benign paroxysmal positional vertigo: Diagnostic criteria. J. Vestib. Res. 2015, 25, 105–117. [Google Scholar] [CrossRef] [PubMed]
- Lovato, A.; Marioni, G.; Monzani, D.; Rossettini, G.; Genovese, E.; de Filippis, C. Physical Therapy for Benign Positional Vertigo of Posterior Canal: The Role of Alternated Epley and Semont Maneuvers. Ear Nose Throat J. 2023, 102, NP60–NP64. [Google Scholar] [CrossRef] [PubMed]
- Anízar Rodríguez, C.B.; Mendoza Ugalde, D.M.; García-Tecpa, R.A. Case Report: Mixed-Cause Vertigo and Sudden Sensorineural Hearing Loss as Presentations of Vertebrobasilar Dolichoectasia. Cureus 2022, 14, 28–36. [Google Scholar] [CrossRef]
- Han, J.; Wang, T.; Xie, Y.; Cao, D.; Kang, Z.; Song, X. Successive occurrence of vertebrobasilar dolichectasia induced trigeminal neuralgia, vestibular paroxysmia and hemifacial spasm: A case report. Medicine 2018, 97, 25–31. [Google Scholar] [CrossRef]
- Peng, Y.F.; Zhang, H.L.; Zhang, D.P.; Zhao, M.; Zhang, S.L.; Yin, S. Perfusion by delayed time to peak in vertebrobasilar dolichoectasia patients with vertigo. Ann. Clin. Transl. Neurol. 2018, 5, 1562–1573. [Google Scholar] [CrossRef]
- Titlic, M.; Tonkic, A.; Jukic, I.; Buca, A.; Kolic, K.; Batinic, T. Tinnitus caused by vertebrobasilar dolichoectasia. Bratisl. Lek. Listy 2007, 108, 455–457. [Google Scholar]
- Lopez-Navarro, E.R.; Park, S.; Willey, J.Z.; Gutierrez, J. Dolichoectasia: A brain arterial disease with an elusive treatment. Neurol. Sci. 2022, 43, 4901–4908. [Google Scholar] [CrossRef]
- Gutierrez, J.; Bagci, A.; Gardener, H.; Rundek, T.; Ekind, M.S.; Alperin, N.; Sacco, R.L.; Wright, C.B. Dolichoectasia diagnostic methods in a multi-ethnic, stroke-free cohort: Results from the northern Manhattan study. J. Neuroimaging 2014, 24, 226–231. [Google Scholar] [CrossRef] [PubMed]
- Manara, R.; Carlier, R.Y.; Righetto, S.; Citton, V.; Locatelli, G.; Colas, F.; Ermani, M.; Germain, D.P.; Burlina, A. Basilar Artery Changes in Fabry Disease. AJNR Am. J. Neuroradiol. 2017, 38, 531–536. [Google Scholar] [CrossRef]
- Sorrentino, F.; Tealdo, G.; Cazzador, D.; Favaretto, N.; Brotto, D.; Montino, S.; Caserta, E.; Bovo, R.; Denaro, L.; Baro, V.; et al. Cochlear implant in vestibular schwannomas: Long-term outcomes and critical analysis of indications. Eur. Arch. Otorhinolaryngol. 2022, 279, 4709–4718. [Google Scholar] [CrossRef]
- Hosoya, M.; Wakabayashi, T.; Wasano, K.; Nishiyama, T.; Tsuzuki, N.; Oishi, N. Understanding the Molecular Mechanism of Vestibular Schwannoma for Hearing Preservation Surgery: Otologists’ Perspective from Bedside to Bench. Diagnostics 2022, 12, 1044. [Google Scholar] [CrossRef] [PubMed]
- Kim, C.; Sohn, J.H.; Jang, M.U.; Hong, S.K.; Lee, J.S.; Kim, H.J.; Choi, H.C.; Lee, J.H. Ischemia as a potential etiologic factor in idiopathic unilateral sudden sensorineural hearing loss: Analysis of posterior circulation arteries. Hear. Res. 2016, 331, 144–151. [Google Scholar] [CrossRef] [PubMed]
- Pico, F.; Labreuche, J.; Amarenco, P. Pathophysiology, presentation, prognosis, and management of intracranial arterial dolichoectasia. Lancet Neurol. 2015, 14, 833–845. [Google Scholar] [CrossRef] [PubMed]
- Arrese, I.; Sarabia, R. Microvascular decompression for trigeminal neuralgia secondary to vertebrobasilar dolichoectasia. Case report, literature review, and pooled case analysis. Neurocirugia 2016, 27, 304–309. [Google Scholar] [CrossRef]
- Sindou, M.; Mercier, P. Microvascular decompression for hemifacial spasm: Surgical techniques and intraoperative monitoring. Neurochirurgie 2018, 64, 133–143. [Google Scholar] [CrossRef] [PubMed]
- Passero, S.; Rossi, S.; Giannini, F.; Nuti, D. Brain-stem compression in vertebrobasilar dolichoectasia. A multimodal electrophysiological study. Clin. Neurophysiol. 2001, 112, 1531–1539. [Google Scholar] [CrossRef]
- Zhang, D.; Zhang, S.; Zhang, H.; Xu, Y.; Fu, S.; Yu, M.; Ji, P. Evaluation of vertebrobasilar artery changes in patients with benign paroxysmal positional vertigo. Neuroreport 2013, 24, 741–745. [Google Scholar] [CrossRef]
- Frosolini, A.; Cinquemani, P.; de Filippis, C.; Lovato, A. Age at Fitting Affected Unilateral Versus Bilateral Hearing Aids Choice in Asymmetric Hearing Loss. J. Int. Adv. Otol. 2023, 19, 116–120. [Google Scholar] [CrossRef] [PubMed]
- Gates, G.A. Central presbycusis: An emerging view. Otolaryngol. Head. Neck Surg. 2012, 147, 1–2. [Google Scholar] [CrossRef] [PubMed]
- Esposito, G.; Messina, R.; Carai, A.; Colafati, G.S.; Savioli, A.; Randi, F.; De Benedictis, A.; Cossu, S.; Fontanella, M.M.; Marras, C.E. Cochleovestibular Nerve Compression Syndrome Caused by Intrameatal Anterior Inferior Cerebellar Artery Loop: Synthesis of Best Evidence for Clinical Decisions. World Neurosurg. 2016, 96, 556–561. [Google Scholar] [CrossRef] [PubMed]
- Iannacone, F.P.; Visconti, F.; Zanoletti, E. How Cochlear Implant Rehabilitation Impacts the Therapeutic Strategy for Vestibular Schwannoma. Audiol. Res. 2023, 13, 116–129. [Google Scholar] [CrossRef]






| First Author, Year | N of Patients, Age, Gender | Comorbidities | Symptoms | ABR | PTA | SRT | Vestibular Test | Radiological Findings (MRI) | Treatment | Follow-Up Time |
|---|---|---|---|---|---|---|---|---|---|---|
| Kang, 2022 [6] | 5 cases (3M, 2F) 52.1 (27–81 y) | HBP, CVD | HL, vertigo | - | - | - | - | Bad > 4.5 mm | - | - |
| Rodríguez, 2022 [16] | 1 case M 74 y | HBP | HL, vertigo, syncopal events | - | RS: moderate (borderline severe) SNHL | Speech discrimination in the RS of 100% at 100 dB | HIT, skew test, pursuit, VNG, Dix–Hallpike, hyperextension, roll test | VBD (RS) | Oral steroids | - |
| Huh, 2020 [4] | 4 cases (2M, 2F) 61.5 (37–71 y) | - | HL, tinnitus, vertigo, hemifacial spasm | LS: > I–V (ID: 0.4 ms) | Case 1 LS: mild HL Case 3 RS: moderate HL Case 4: LS: down-sloping HL | - | VNG, HST, HIT, caloric test | VBD (BA bifurcation grade 2 * BA lateral position grade 1–3 *) | MVD, Ginkgo biloba, Tianeptine, Oxcarbazepine | 28 m |
| Gilbow, 2018 [9] | 1 case F 63 y | - | HL, tinnitus, vertigo | - | LS: down-sloping mild-to-severe SNHL | LS: <discrimination, rollover | Head thrust test | VBD (LS), IAC herniation, VII and VIII CN displacement | - | - |
| Han, 2018 [17] | 1 case F 66 y | HBP | Vertigo, tinnitus, facial pain and spasm | - | - | - | Dix–Hallpike test | VBD (RS), V and VIII CN compression | B1 vitamin, Methylcobalamin, Carbamazepine | 6 m |
| Peng, 2018 [18] | 77 cases (51M, 26F) 63 y | HBP, CVD | Vertigo | - | - | - | Caloric test, Dix–Hallpike test, roll test | VBD | - | - |
| Titlic, 2007 [19] | 1 case M 73 y | HBP | Tinnitus, vertigo | LS: >I–III wave, <amplitude | - | - | - | VBD (LS) | Betahistine, Ticlopidine | - |
Disclaimer/Publisher’s Note: The statements, opinions and data contained in all publications are solely those of the individual author(s) and contributor(s) and not of MDPI and/or the editor(s). MDPI and/or the editor(s) disclaim responsibility for any injury to people or property resulting from any ideas, methods, instructions or products referred to in the content. |
© 2023 by the authors. Licensee MDPI, Basel, Switzerland. This article is an open access article distributed under the terms and conditions of the Creative Commons Attribution (CC BY) license (https://creativecommons.org/licenses/by/4.0/).
Share and Cite
Frosolini, A.; Fantin, F.; Caragli, V.; Franz, L.; Fermo, S.; Inches, I.; Lovato, A.; Genovese, E.; Marioni, G.; de Filippis, C. Vertebrobasilar and Basilar Dolichoectasia Causing Audio-Vestibular Manifestations: A Case Series with a Brief Literature Review. Diagnostics 2023, 13, 1750. https://doi.org/10.3390/diagnostics13101750
Frosolini A, Fantin F, Caragli V, Franz L, Fermo S, Inches I, Lovato A, Genovese E, Marioni G, de Filippis C. Vertebrobasilar and Basilar Dolichoectasia Causing Audio-Vestibular Manifestations: A Case Series with a Brief Literature Review. Diagnostics. 2023; 13(10):1750. https://doi.org/10.3390/diagnostics13101750
Chicago/Turabian StyleFrosolini, Andrea, Francesco Fantin, Valeria Caragli, Leonardo Franz, Salvatore Fermo, Ingrid Inches, Andrea Lovato, Elisabetta Genovese, Gino Marioni, and Cosimo de Filippis. 2023. "Vertebrobasilar and Basilar Dolichoectasia Causing Audio-Vestibular Manifestations: A Case Series with a Brief Literature Review" Diagnostics 13, no. 10: 1750. https://doi.org/10.3390/diagnostics13101750
APA StyleFrosolini, A., Fantin, F., Caragli, V., Franz, L., Fermo, S., Inches, I., Lovato, A., Genovese, E., Marioni, G., & de Filippis, C. (2023). Vertebrobasilar and Basilar Dolichoectasia Causing Audio-Vestibular Manifestations: A Case Series with a Brief Literature Review. Diagnostics, 13(10), 1750. https://doi.org/10.3390/diagnostics13101750

