Diagnosis and Pattern Identification of Intrathoracic Malignant Melanoma Metastasis: A Retrospective Single Center Analysis
Abstract
1. Introduction
2. Materials and Methods
2.1. Patients
2.2. Diagnostic Techniques
2.3. Statistical Analysis
3. Results
3.1. Case 1
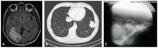
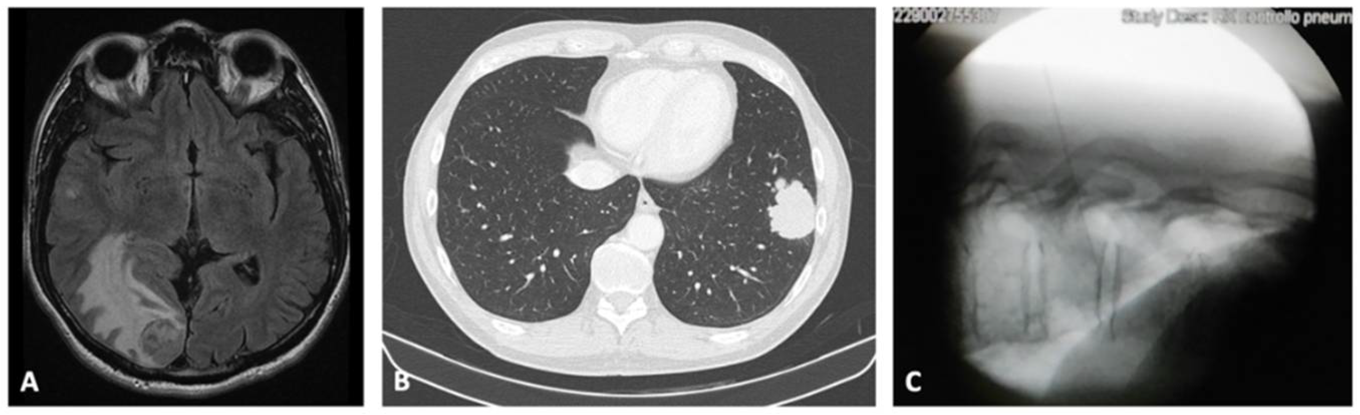
3.2. Case 2
3.3. Case 3
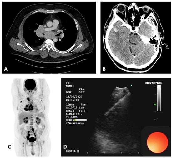
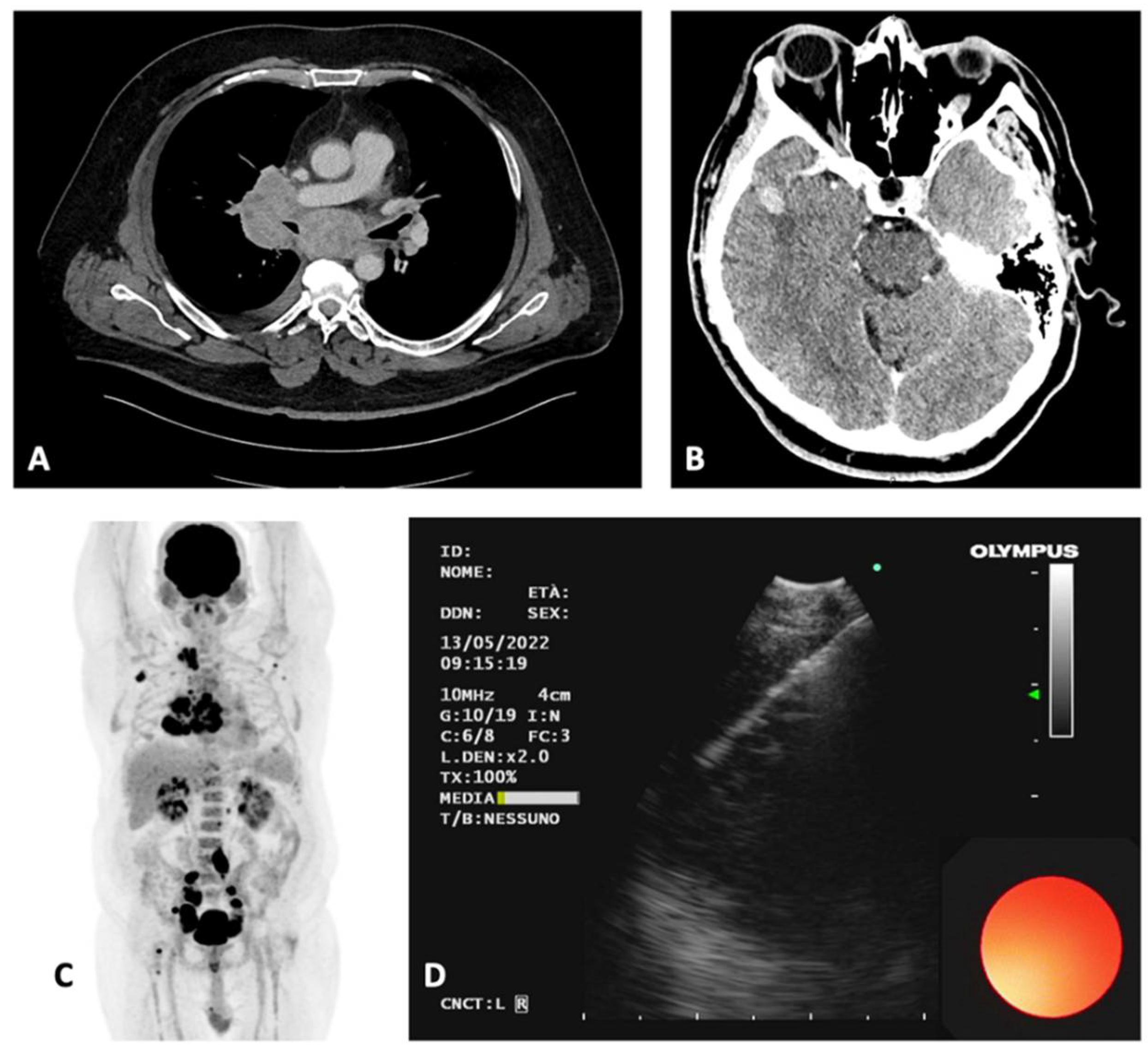
3.4. Case 4
4. Discussion
5. Conclusions
Author Contributions
Funding
Institutional Review Board Statement
Informed Consent Statement
Data Availability Statement
Conflicts of Interest
References
- Riihimäki, M.; Thomsen, H.; Sundquist, K.; Sundquist, J.; Hemminki, K. Clinical landscape of cancer metastases. Cancer Med. 2018, 7, 5534–5542. [Google Scholar] [CrossRef]
- Ripley, R.T.; Rusch, V.W. Lung Metastases. In Abeloff’s Clinical Oncology, 5th ed.; Elsevier: Philadelphia, PA, USA; pp. 764–777.
- Chen, H.; Stoltzfus, K.C.; Lehrer, E.J.; Horn, S.R.; Siva, S.; Trifiletti, D.M.; Meng MBin Verma, V.; Louie, A.V.; Zaorsky, N.G. The Epidemiology of Lung Metastases. Front. Med. (Lausanne) 2021, 8, 723396. [Google Scholar] [CrossRef]
- Saginala, K.; Barsouk, A.; Aluru, J.S.; Rawla, P. Epidemiology of Melanoma. Med. Sci. 2021, 9, 63. [Google Scholar] [CrossRef]
- Tas, F. Metastatic behavior in melanoma: Timing, pattern, survival, and influencing factors. J Oncol. 2012, 2012, 647684. [Google Scholar] [CrossRef] [PubMed]
- Mansour, D.; Kejariwal, D. It is never too late: Ultra-late recurrence of melanoma with distant metastases. BMJ Case Rep. 2012, 2012, bcr0120125474. [Google Scholar] [CrossRef]
- Pandiani, C.; Béranger, G.E.; Leclerc, J.; Ballotti, R.; Bertolotto, C. Focus on cutaneous and uveal melanoma specificities. Genes Dev. 2017, 31, 724–743. Available online: http://www.ncbi.nlm.nih.gov/pubmed/28512236 (accessed on 31 July 2022). [CrossRef]
- van der Kooij, M.K.; Speetjens, F.M.; van der Burg, S.H.; Kapiteijn, E. Uveal Versus Cutaneous Melanoma; Same Origin, Very Distinct Tumor Types. Cancers 2019, 11, 845. [Google Scholar] [CrossRef]
- Foti, P.V.; Inì, C.; Broggi, G.; Farina, R.; Palmucci, S.; Spatola, C.; Liardo, R.L.E.; Milazzotto, R.; Raffaele, L.; Salamone, V.; et al. Histopathologic and MR Imaging Appearance of Spontaneous and Radiation-Induced Necrosis in Uveal Melanomas: Initial Results. Cancers 2022, 14, 215. [Google Scholar] [CrossRef]
- Mytinger, A.K.; Lim, K.G.; Kern, R.M.; Mullon, J.J.; Edell, E.S.; Saeed, A.I. Pleural metastasis from cutaneous malignant melanoma. J. Bronchol. Interv. Pulmonol. 2018, 25, 54–56. [Google Scholar] [CrossRef]
- D’Ambrosio, A.E.; Albonico, G.; Enide, I.; Mordà, O.; Maisano, M.; Mondello, B. Pleural Melanoma Metastasis. Ann. Thorac. Surg. 2021, 112, e103–e105. [Google Scholar] [CrossRef]
- Ryan, D.J.; McPhillips, D.; Bruzzi, J.; Breen, D. A clue in a colour? EBUS-TBNA in the analysis of isolated mediastinal lymphadenopathy. BMJ Case Rep. 2014, 2014, bcr2013202255. [Google Scholar] [CrossRef]
- Marchioni, A.; Lasagni, A.; Busca, A.; Cavazza, A.; Agostini, L.; Migaldi, M.; Corradini, P.; Rossi, G. Endobronchial metastasis: An epidemiologic and clinicopathologic study of 174 consecutive cases. Lung Cancer 2014, 84, 222–228. [Google Scholar] [CrossRef]
- Karpathiou, G.; Froudarakis, M.; Da Cruz, V.; Forest, F.; Sauvage, M.; Vergnon, J.M.; Peoc’h, M. Endobronchial melanoma metastasis 40 years after the excision of the primary cutaneous tumor. Medicine 2017, 96, e7931. [Google Scholar] [CrossRef]
- Packham, S.; Jaiswal, P.; Kuo, K.; Goldsack, N. Black bronchoscopy. Respiration 2003, 70, 206. [Google Scholar] [CrossRef] [PubMed]
- Webb, W.R.; Gamsu, G. Thoracic metastasis in malignant melanoma: A radiographic survey of 65 patients. Chest 1977, 71, 176–181. [Google Scholar] [CrossRef]
- Chen, J.T.T.; Dahmash, N.S.; Ravin, C.E.; Heaston, D.K.; Putman, C.E.; Seigler, H.F.; Reed, J.C. Metastatic melanoma to the thorax: Report of 130 patients. Am. J. Roentgenol. 1981, 137, 293–298. [Google Scholar] [CrossRef]
- Kalsi, H.S.; Thakrar, R.; Gosling, A.F.; Shaefi, S.; Navani, N. Interventional Pulmonology: A Brave New World. Thorac. Surg. Clin. 2020, 30, 321–338. [Google Scholar] [CrossRef]
- Poncelet, A.J.; Lurquin, A.; Weynand, B.; Humblet, Y.; Noirhomme, P. Prognostic factors for long-term survival in patients with thoracic metastatic disease: A 10-year experience. Eur. J. Cardio-Thorac. Surg. 2007, 31, 173–180. [Google Scholar] [CrossRef]
- Medford, A.R. Endobronchial ultrasound-guided versus conventional transbronchial needle aspiration: Time to re-evaluate the relationship? J. Thorac. Dis. 2014, 6, 411–415. [Google Scholar]
- Navani, N.; Nankivell, M.; Woolhouse, I.; Harrison, R.N.; Munavvar, M.; Oltmanns, U.; Falzon, M.; Kocjan, G.; Rintoul, R.C.; Janes, S.M. Endobronchial ultrasound-guided transbronchial needle aspiration for the diagnosis of intrathoracic lymphadenopathy in patients with extrathoracic malignancy: A multicenter study. J. Thorac. Oncol. 2011, 6, 1505–1509. [Google Scholar] [CrossRef]
- Dietrich, C.F.; Annema, J.T.; Clementsen, P.; Cui, X.W.; Borst, M.M.; Jenssen, C. Ultrasound techniques in the evaluation of the mediastinum, part I: Endoscopic ultrasound (EUS), endobronchial ultrasound (EBUS) and transcutaneous mediastinal ultrasound (TMUS), introduction into ultrasound techniques. J. Thorac. Dis. 2015, 7, E311–E325. [Google Scholar]
- Baglioni, S.; Cicchitto, G.; Mezzasalma, F.; Scoscia, E.; Dottorini, M. Diagnostic yield of fluoroscopy-guided transbronchial biopsy in peripheral lung lesion: Adequacy of transbronchial sample for tumor genotyping. Eur. Respir. J. 2016, 48, PA4681. [Google Scholar]
- Lee, S.C.; Kim, E.Y.; Chang, J.; Lee, S.H.; Han, C.H. Diagnostic value of the combined use of radial probe endobronchial ultrasound and transbronchial biopsy in lung cancer. Thorac Cancer 2020, 11, 1533–1540. [Google Scholar] [CrossRef]
- Levine, M.Z.; Goodman, S.; Lentz, R.J.; Maldonado, F.; Rickman, O.B.; Katsis, J. Advanced bronchoscopic technologies for biopsy of the pulmonary nodule: A 2021 review. Diagnostics 2021, 11, 2304. [Google Scholar] [CrossRef]
- Valsecchi, A.; Arondi, S.; Marchetti, G. Medical thoracoscopy: Analysis on diagnostic yield through 30 years of experience. Ann. Thorac. Med. 2016, 11, 177–182. [Google Scholar]
- Murthy, V.; Bessich, J.L. Medical thoracoscopy and its evolving role in the diagnosis and treatment of pleural disease. J. Thorac. Dis. 2017, 9, S1011–S1021. [Google Scholar] [CrossRef]
- Chockalingam, A.; Hong, K. Transthoracic needle aspiration: The past, present and future. J. Thorac. Dis. 2015, 7, S292–S299. [Google Scholar]
- Cheung, J.Y.; Kim, Y.; Shim, S.S.; Lim, S.M. Combined fluoroscopy- and CT-guided transthoracic needle biopsy using a C-arm cone-beam ct system: Comparison with fluoroscopy-guided biopsy. Korean J. Radiol. 2011, 12, 89–96. [Google Scholar] [CrossRef]
- Chakrabarti, B.; Ryland, I.; Sheard, J.; Warburton, C.J.; Earis, J.E. The role of Abrams percutaneous pleural biopsy in the investigation of exudative pleural effusions. Chest 2006, 129, 1549–1555. [Google Scholar] [CrossRef]
- Tunsupon, P.; Panchabhai, T.S.; Khemasuwan, D.; Mehta, A.C. Black bronchoscopy. Chest 2013, 144, 1696–1706. [Google Scholar] [CrossRef] [PubMed]
- Harpole, D.H.; Johnson, C.M.; Wolfe, W.G.; George, S.L.; Seigler, H.F. Analysis of 945 cases of pulmonary metastatic melanoma. J. Thorac. Cardiovasc. Surg. 1992, 103, 743–750. [Google Scholar] [CrossRef]
- Zhang, K.S.; Pelleg, T.; Campbell, S.; Rubio, C.; Loschner, A.L.; Ie, S. Pulmonary metastatic melanoma: Current state of diagnostic imaging and treatments. Melanoma Manag. 2021, 8, MMT58. [Google Scholar] [CrossRef] [PubMed]
- Switzer, B.; Puzanov, I.; Skitzki, J.J.; Hamad, L.; Ernstoff, M.S. Managing Metastatic Melanoma in 2022: A Clinical Review. JCO Oncol. Pract. 2022, 18, 335–351. [Google Scholar] [CrossRef]
- Damsky, W.E.; Rosenbaum, L.E.; Bosenberg, M. Decoding melanoma metastasis. Cancers 2011, 3, 126–163. [Google Scholar] [CrossRef] [PubMed]
- Gerull, W.D.; Puri, V.; Kozower, B.D. The epidemiology and biology of pulmonary metastases. J. Thorac. Dis. 2021, 13, 2585–2589. [Google Scholar] [CrossRef]





| Diagnostic Technique | Instruments and Specifics |
|---|---|
| X-ray | Optimus 80 X-ray system, Philips Healthcare |
| Contrast-enhanced CT-scan | Somatom Definition Edge, Siemens Healthineers, 128-slice scanner |
| Contrast-enhanced MRI | Philips Ingenia, Philips Healthcare, 1.5 T MR scanner |
| FDG-PET | Discovery STE, GE Healthcare, PET/CT system with 3.30 min emission scan/bed and CT-attenuation correction |
| Videobronchoscope | Olympus BFH-190 |
| EBUS | Olympus UC 180F |
| C-arm | Philips BV Endura9 DO-618 |
| TBNA needle | Olympus Smoothshot NA 401D-1521, 21 G |
| Biopsy forceps | Olympus Endojaw FB-231D |
| EBUS needle | Olympus Vizishot NA-2015K-4022, 22 G |
| TTNA needle | HS Hospital Service Chiba needles EC 2115, 21 G |
| Thoracoscopy (optics and forceps) | Richard Wolf PANOVIEW telescopes, 4 mm, 0°–30°, and rigid optic biopsy forceps, 7 mm |
| Patient 1 | Patient 2 | Patient 3 | Patient 4 | |
|---|---|---|---|---|
| Age at first diagnosis (years) | 47 | 48 | 41 | 82 |
| Site of primary tumor | left leg | back | scalp | unknown |
| Breslow | 2.4 mm | 7 mm | 1.5 mm | NA |
| Age at thoracic metastasis (years) | 53 | 60 | 52 | 82 |
| Site of metastasis | Lymph nodes | Lung (mass) | Diffuse parenchymal | Pleura |
| Diagnostic procedure | EBUS-TBNA | Fluoroscopy-guided transthoracic needle aspiration | Transbronchial biopsy, BAL | Medical thoracoscopy |
| Years between first diagnosis and thoracic metastasis | 6 | 12 | 11 | 0 |
| Respiratory symptoms | yes | no | yes | yes |
| Molecular profile | BRAF V600E | BRAF V600E | BRAF V600E | WT |
| Survival after thoracic metastasis (months) | NA | 9 | 4 | 36 |
| Other sites of concomitant metastasis | Abdomen, brain | Brain | Lymph nodes, liver, spleen, bones, kidneys | No |
| Overall Population | Lymph-Nodes Invasion | Lung Mass(es) | Diffuse Parenchymal Infiltration | Pleural Infiltration | p-Value | |
|---|---|---|---|---|---|---|
| Cases (%) | 17 (100) | 6 (35) | 7 (41) | 2 (12) | 2 (12) | NA |
| Sex (M), n (%) | 11 (65) | 5 (86) | 6 (86) | 0 (0) | 1 (50) | 0.15 |
| Age at first diagnosis (years), mean±SD | 57.6 ± 18.7 | 53.3 ± 15.2 | 59.6 ± 20.1 | 39.5 ± 2.1 | 82 ± 0 | 0.08 |
| Age at thoracic metastasis (years), mean±SD | 64.6 ± 14.2 | 58 ± 14.2 | 66.1 ± 13.7 | 61 ± 12.7 | 82.5 ± 0.7 | 0.12 |
| Years between first diagnosis and thoracic metastasis, mean±SD | 6.4 ± 8 | 4 ± 3 | 9.3 ± 14.1 | 20.5 ± 13.4 | 0 ± 0 | 0.06 |
| Other sites of metastasis (n), mean±SD | 1.4 ± 1.3 | 1.5 ± 1 | 1.3 ± 0.9 | 2.5 ± 3.5 | 0.5 ± 0.7 | 0.81 |
| Median survival after first diagnosis (months) | 76 | 130 | 76 | 262 | 31.5 | 0.06 |
| Median survival after thoracic metastasis diagnosis (months) | 11 | 54 | 8 | 9 | 26 | 0.08 |
| Breslow (mm), mean±SD | 3.5 ± 2 | 2.6 ± 1.9 | 4.1 ± 1.5 | 1.5 ± 0 | 7 ± 0 | 0.07 |
| BRAF (%) | 7 (41) | 3 (50) | 3 (43) | 1 (50) | 0 (0) | 0.64 |
| Interventional pulmonology diagnosis/patients (diagnostic yield) | 14/16 (87.5) | 6/6 (100%) | 4/6 (66%) | 2/2 (100%) | 2/2 (100%) | 0.28 |
| Lung Involvement | Nodal/Pleural Involvement | p-Value | |
|---|---|---|---|
| Cases (%) | 9 (53) | 8 (47) | NA |
| Sex (M), n (%) | 6 (67) | 5 (63) | >0.9 |
| Age at first diagnosis (years), mean± SD | 55.1 ± 19.6 | 60.5 ± 18.5 | 0.57 |
| Age at thoracic metastasis (years), mean± SD | 65 ± 12.9 | 64.1 ± 16.5 | 0.9 |
| Years between first diagnosis and thoracic metastasis, mean± SD | 11.8 ± 14 | 3 ± 3.2 | 0.1 |
| Other sites of metastasis (n), mean± SD | 1.6 ± 1.6 | 1.2 ± 1 | 0.64 |
| Median survival afthe ter first diagnosis (months) | 91 | 51 | 0.19 |
| Median survival after thoracic metastasis diagnosis (months) | 8 | 39 | 0.01 |
| Breslow (mm), mean± SD | 3.7 ± 1.7 | 3.3 ± 1.4 | 0.49 |
| BRAF (%) | 4 (44) | 3 (38) | >0.9 |
| Interventional pulmonology diagnosis/patients (diagnostic yield) | 6/8 (75) | 8/8 (100) | 0.47 |
Publisher’s Note: MDPI stays neutral with regard to jurisdictional claims in published maps and institutional affiliations. |
© 2022 by the authors. Licensee MDPI, Basel, Switzerland. This article is an open access article distributed under the terms and conditions of the Creative Commons Attribution (CC BY) license (https://creativecommons.org/licenses/by/4.0/).
Share and Cite
Fontana, M.; Rossi, L.; Ghinassi, F.; Piro, R.; Scelfo, C.; Taddei, S.; Casalini, E.; Ruggiero, P.; Pollorsi, C.; Beghe’, B.; et al. Diagnosis and Pattern Identification of Intrathoracic Malignant Melanoma Metastasis: A Retrospective Single Center Analysis. Diagnostics 2022, 12, 2254. https://doi.org/10.3390/diagnostics12092254
Fontana M, Rossi L, Ghinassi F, Piro R, Scelfo C, Taddei S, Casalini E, Ruggiero P, Pollorsi C, Beghe’ B, et al. Diagnosis and Pattern Identification of Intrathoracic Malignant Melanoma Metastasis: A Retrospective Single Center Analysis. Diagnostics. 2022; 12(9):2254. https://doi.org/10.3390/diagnostics12092254
Chicago/Turabian StyleFontana, Matteo, Laura Rossi, Federica Ghinassi, Roberto Piro, Chiara Scelfo, Sofia Taddei, Eleonora Casalini, Patrizia Ruggiero, Chiara Pollorsi, Bianca Beghe’, and et al. 2022. "Diagnosis and Pattern Identification of Intrathoracic Malignant Melanoma Metastasis: A Retrospective Single Center Analysis" Diagnostics 12, no. 9: 2254. https://doi.org/10.3390/diagnostics12092254
APA StyleFontana, M., Rossi, L., Ghinassi, F., Piro, R., Scelfo, C., Taddei, S., Casalini, E., Ruggiero, P., Pollorsi, C., Beghe’, B., Longo, C., & Facciolongo, N. (2022). Diagnosis and Pattern Identification of Intrathoracic Malignant Melanoma Metastasis: A Retrospective Single Center Analysis. Diagnostics, 12(9), 2254. https://doi.org/10.3390/diagnostics12092254

