Diagnosis, Mechanisms, and Differentiation of Inflammatory Diseases of the Outer Retina: Photoreceptoritis versus Choriocapillaritis; A Multimodal Imaging Perspective †
Abstract
1. Introduction
2. Patients and Methods
3. Results
3.1. Demographics and Functional Data at Presentation
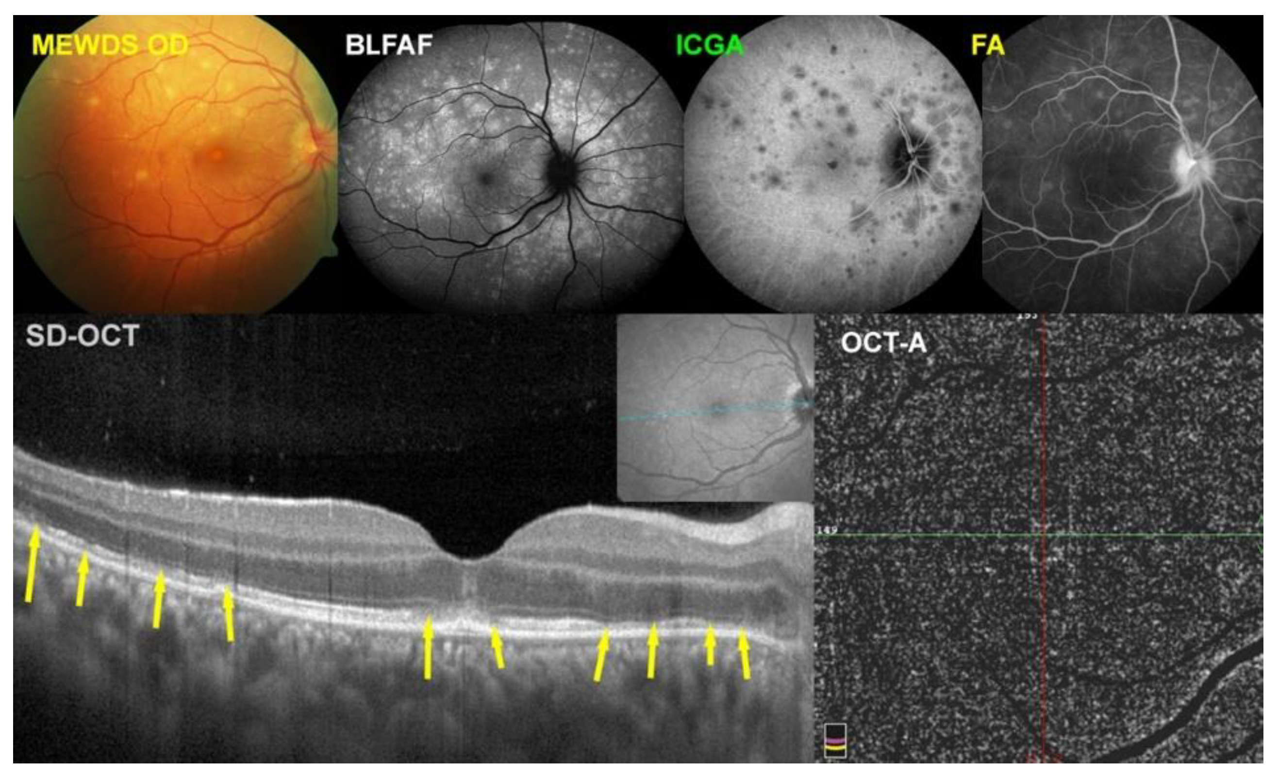
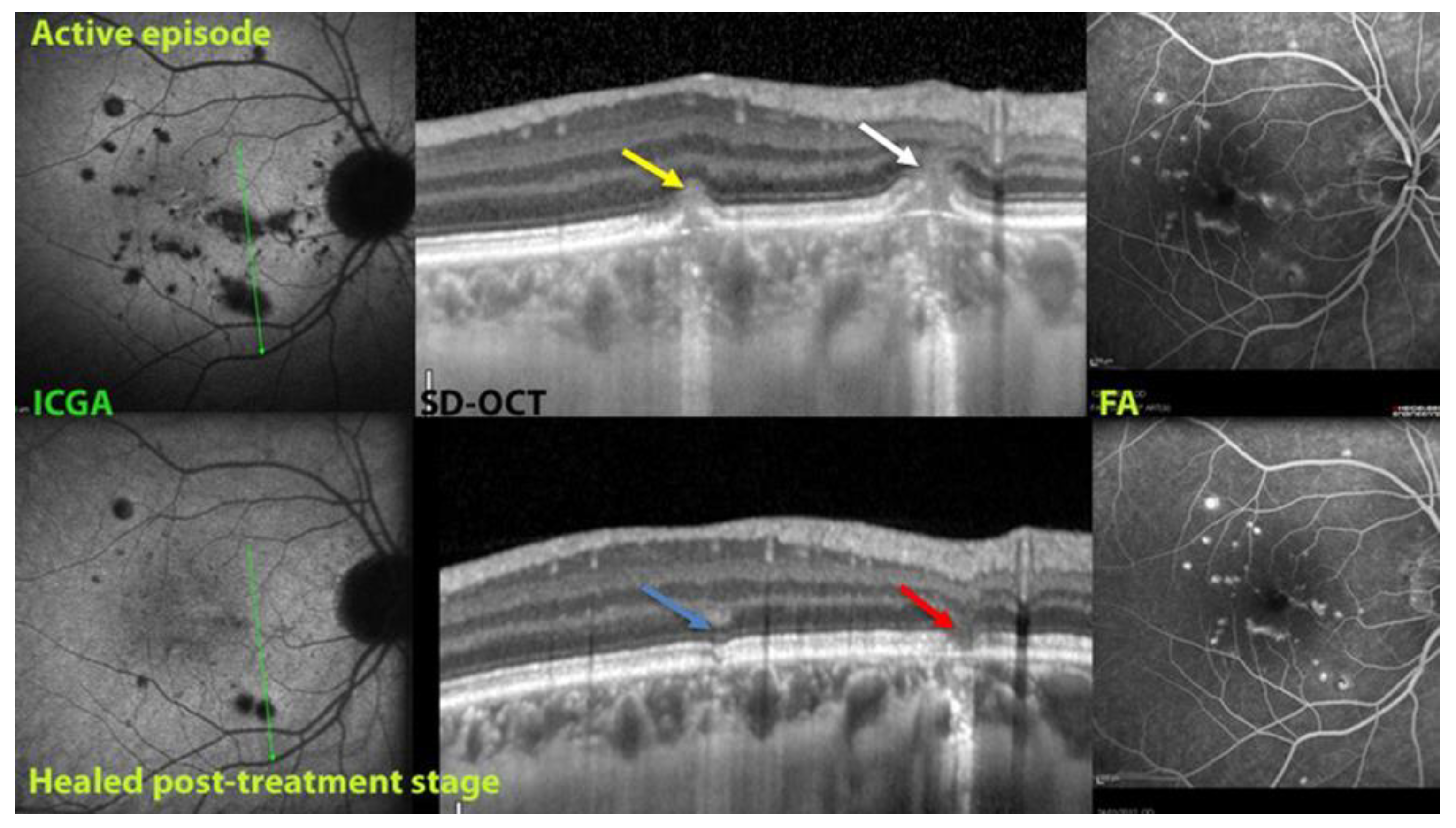
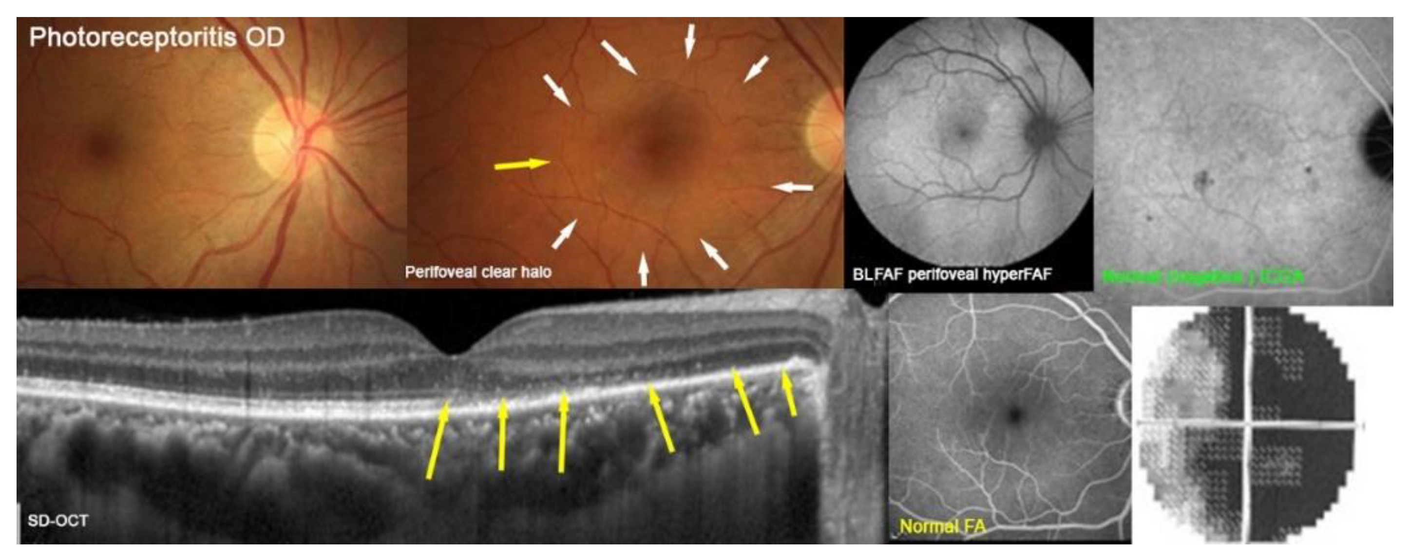
3.2. Multimodal Imaging of Cases at Presentation
4. Summary of MMI Findings in Choriocapillaritis and Primary Photoreceptoritis
5. Discussion
Author Contributions
Funding
Institutional Review Board Statement
Informed consent statement
Data Availability Statement
Conflicts of Interest
References
- Kurihara, T.; Westenskow, P.D.; Gantner, M.L.; Usui, Y.; Schultz, A.; Bravo, S.; Aguilar, E.; Wittgrove, C.; Friedlander, M.S.H.; Paris, L.P.; et al. Hypoxia-induced metabolic stress in retinal pigment epithelial cells is sufficient to induce photoreceptor degeneration. Elife 2016, 5, e14319. [Google Scholar] [CrossRef] [PubMed]
- Du, J.; Yanagida, A.; Knight, K.; Engel, A.L.; Vo, A.H.; Jankowski, C.; Sadilek, M.; Tran, V.T.B.; Manson, M.A.; Ramakrishnan, A.; et al. Reductive carboxylation is a major metabolic pathway in the retinal pigment epithelium. Proc. Natl. Acad. Sci. USA 2016, 113, 14710–14715. [Google Scholar] [CrossRef] [PubMed]
- Papasavvas, I.; Tugal-Tutkun, I.; Herbort, C.P., Jr. Mechanisms, pathophysiology and current immunomodulatory/immunosuppressive therapy of non-infectious and/or immune-mediated choroiditis. Pharmaceuticals 2022, 15, 398. [Google Scholar] [CrossRef] [PubMed]
- Papasavvas, I.; Herbort, C.P., Jr. Diagnosis and treatment of primary inflammatory choriocapillaropathies (PICCPs): A comprehensive overview. Medicina 2022, 58, 165. [Google Scholar] [CrossRef]
- Gass, J.D.; Agarwal, A.; Scott, I.U. Acute zonal occult outer retinopathy: A long-term follow-up study. Am. J. Ophthalmol. 2002, 134, 329–339. [Google Scholar] [CrossRef]
- Chen, S.N.; Yang, C.H.; Yang, C.M. Systemic corticosteroids therapy in the management of acute zonal occult outer retinopathy. J. Ophthalmol. 2015, 2015, 793026. [Google Scholar] [CrossRef]
- Hashimoto, Y.; Saito, W.; Kanaizumi, S.; Saito, M.; Noda, K.; Kanda, A.; Ishida, S. Comparison of clinical characteristics in patients with acute zonal occult outer retinopathy according to anti-retinal antibody status. Graefes Arch. Clin. Exp. Ophthalmol. 2021, 259, 2967–2976. [Google Scholar] [CrossRef]
- Gass, J.D. Are acute zonal occult outer retinopathy and the white spot syndromes (AZOOR complex) specific autoimmune diseases? Am. J. Ophthalmol. 2003, 135, 380–381. [Google Scholar] [CrossRef]
- Helbig, H.; Sutter, F.; Thölen, A. Akute zonale okkulte äussere retinopathie (AZOOR) [acute zonal occult outer retinopathy (AZOOR)]. Ophthalmologe 2001, 98, 574–578. [Google Scholar] [CrossRef]
- Fine, H.F.; Spaide, R.F.; Ryan, E.H., Jr.; Matsumoto, Y.; Yannuzzi, L.A. Acute zonal occult outer retinopathy in patients with multiple evanescent white dot syndrome. Arch. Ophthalmol. 2009, 127, 66–70. [Google Scholar] [CrossRef]
- Tsang, S.H.; Sharma, T. Acute zonal occult outer retinopathy (AZOOR) and related diseases. Adv. Exp. Med. Biol. 2018, 1085, 233–237. [Google Scholar] [CrossRef]
- Duncker, T.; Lee, W.; Jiang, F.; Ramachandran, R.; Hood, D.C.; Tsang, S.H.; Sparrow, J.R.; Greenstein, V.C. Acute zonal occult outer retinopathy: Structural and functional analysis across the transition zone between healthy and diseased retina. Retina 2018, 38, 118–127. [Google Scholar] [CrossRef]
- Shifera, A.S.; Pennesi, M.E.; Yang, P.; Lin, P. Ultra-wide-field fundus autofluorescence findings in patients with acute zonal occult outer retinopathy. Retina 2017, 37, 1104–1119. [Google Scholar] [CrossRef]
- Papasavvas, I.; Neri, P.; Mantovani, A.; Herbort, C.P., Jr. Idiopathic multifocal choroiditis (MFC): Aggressive and prolonged therapy with multiple immunosuppressive agents is needed to halt the progression of active disease. An offbeat review and a case series. J. Ophthalmic Inflamm. Infect. 2022, 12, 2. [Google Scholar] [CrossRef]
- Pichi, F.; Srivastava, S.K.; Chexal, S.; Lembo, A.; Lima, L.H.; Neri, P.; Chhablani, J.; Albini, T.A.; Nucci, P.; Freund, K.B.; et al. En face optical coherence tomography and optical tomography angiography of multiple evanescent white dot syndrome: New insights into pathogenesis. Retina 2016, 36, S178–S188. [Google Scholar] [CrossRef]
- Lages, V.; Mantovani, A.; Papadia, M.; Herbort, C.P. MEWDS is a true primary choriocapillaritis and basic mechanisms do not seem to differ from other choriocapillaritis entities. J. Curr. Ophthalmol. 2018, 30, 281–286. [Google Scholar] [CrossRef]
- Mantovani, A.; Invernizzi, A.; Staurenghi, G.; Herbort, C.P., Jr. Multiple evanescent white dot syndrome: A multimodal imaging study of foveal granularity. Ocul. Immunol. Inflamm. 2019, 27, 141–147. [Google Scholar] [CrossRef]
- Papasavvas, I.; Mantovani, A.; Tugal-Tutkun, I.; Herbort, C.P., Jr. Multiple evanescent white dot syndrome (MEWDS): Update on practical appraisal, diagnosis and clinicopathology. A review and an alternative comprehensive perspective. J. Ophthalmic Inflamm. Infect. 2021, 11, 45. [Google Scholar] [CrossRef]
- Khochtali, S.; Dridi, T.; Abroug, N.; Ksiaa, I.; Lupidi, M.; Khairallah, M. Swept-source optical coherence tomography angiography shows choriocapillaris flow reduction in multiple evanescent white dot syndrome. J. Curr. Ophthalmol. 2020, 32, 211–215. [Google Scholar] [CrossRef] [PubMed]
- Kuznetcova, T.; Jeannin, B.; Herbort, C.P. A case of overlapping choriocapillaritis syndromes: Multimodal imaging appraisal. J. Ophthalmic Vis. Res. 2012, 7, 67–75. [Google Scholar]
- Daniele, L.L.; Han, J.Y.S.; Samuels, I.S.; Komirisetty, R.; Mehta, N.; McCord, J.L.; Yu, M.; Wang, Y.; Boesze-Battaglia, K.; Bell, B.A.; et al. Glucose uptake by GLUT1 in photoreceptors is essential for outer segment renewal and rod photoreceptor survival. FASEB J. 2022, 36, e22428. [Google Scholar] [CrossRef] [PubMed]
- Saito, S.; Saito, W.; Saito, M.; Hashimoto, Y.; Mori, S.; Noda, K.; Namba, K.; Ishida, S. Acute zonal occult outer retinopathy in Japanese patients: Clinical features, visual function, and factors affecting visual function. PLoS ONE 2015, 10, e0125133. [Google Scholar] [CrossRef] [PubMed]
- Neri, P.; Ricci, F.; Giovannini, A.; Arapi, I.; Felici, C.D.; Cusumano, A.; Mariotti, C. Successful treatment of an overlapping choriocapillaritis between multifocal choroiditis and acute zonal occult outer retinopathy (AZOOR) with adalimumab (Humira™). Int. Ophthalmol. 2014, 34, 359–364. [Google Scholar] [CrossRef] [PubMed]
- Barnes, A.C.; Lowder, C.Y.; Bessette, A.P.; Baynes, K.; Srivastava, S.K. Treatment of acute zonal occult outer retinopathy with intravitreal steroids. Ophthalmic Surg. Lasers Imaging Retin. 2018, 49, 504–509. [Google Scholar] [CrossRef]
- Herbort, C.P., Jr.; Arapi, I.; Papasavvas, I.; Mantovani, A.; Jeannin, B. Acute zonal occult outer retinopathy (AZOOR) results from a clinicopathological mechanism different from choriocapillaritis diseases: A multimodal imaging analysis. Diagnostics 2021, 11, 1184. [Google Scholar] [CrossRef]
- Ramakrishnan, M.S.; Patel, A.P.; Melles, R.; Vora, R.A. Multiple evanescent white dot syndrome: Findings from a large northern california cohort. Ophthalmol. Retin. 2021, 5, 850–854. [Google Scholar] [CrossRef]
- Pereira, F.; Lima, L.H.; de Azevedo, A.G.B.; Zett, C.; Farah, M.E.; Belfort, R., Jr. Swept-source OCT in patients with multiple evanescent white dot syndrome. J. Ophthalmic Inflamm. Infect. 2018, 8, 16. [Google Scholar] [CrossRef]
- Yannuzzi, N.A.; Swaminathan, S.S.; Zheng, F.; Miller, A.; Gregori, G.; Davis, J.L.; Rosenfeld, P.J. Swept-source OCT angiography shows sparing of the choriocapillaris in multiple evanescent white dot syndrome. Ophthalmic Surg. Lasers Imaging Retin. 2017, 48, 69–74. [Google Scholar] [CrossRef]
- Pradas, M.; Rodriguez-Merchante, M.P.; Estébanez, N.; Sarraf, D.; Freund, K.B.; Fawzi, A.; Pichi, F.; Carreño, E. Navigating the white dot syndromes with optical coherence tomography (OCT) and OCT angiography (OCT-A). Ocul. Immunol. Inflamm. 2022, 12, 1–11. [Google Scholar] [CrossRef]
- Holz, F.G.; Kim, R.Y.; Schwartz, S.D.; Harper, C.A.; Wroblewski, J.; Arden, G.B.; Bird, A.C. Acute zonal occult outer retinopathy (AZOOR) associated with multifocal choroidopathy. Eye 1994, 8, 77–83. [Google Scholar] [CrossRef]
- Fletcher, W.A.; Imes, R.K. Acute idiopathic blind spot enlargement and acute zonal occult outer retinopathy: Potential mimics of neuro-ophthalmic disease. J. Neuroophthalmol. 2020, 40 (Suppl. 1), S43–S50. [Google Scholar] [CrossRef]
- Taira, K.; Nakazawa, M.; Takano, Y.; Ota, T. Acute zonal occult outer retinopathy in the fellow eye 5 years after presentation of punctate inner choroidopathy. Graefes Arch. Clin. Exp. Ophthalmol. 2006, 244, 880–882. [Google Scholar] [CrossRef]
- Spaide, R.F. Collateral damage in acute zonal occult outer retinopathy. Am. J. Ophthalmol. 2004, 138, 887–889. [Google Scholar] [CrossRef]
- Guijarro, A.; Muñoz, N.; Alejandre, N.; Recuero, S.; Sanchez-Pernaute, O.; Carreño, E. Long term follow-up and effect of immunosuppression in acute zonal occult outer retinopathy. Eur. J. Ophthalmol. 2020, 21, 1120672120981874. [Google Scholar] [CrossRef]
- Kure, K.; Obata, R.; Inoue, Y.; Iriyama, A.; Yanagi, Y. Acute progression of electrophysiologically affected fellow eye in unilaterally symptomatic acute zonal occult outer retinopathy. Clin. Ophthalmol. 2011, 5, 1167–1170. [Google Scholar] [CrossRef][Green Version]















| Fundus | BL-FAF | ICGA | SD-OCT | FA | OCT-A | |
|---|---|---|---|---|---|---|
| MEWDS (n = 5) | Foveal granularity 4/5 | Positive-hyperauto-FAF 5/5 | Positive-hypofluo 5/5 | Damage/loss of IS/OS 5/5 | no/faint hyperfluor 1/5 | negative 2/2 |
| White dots 1/5 | moderate hyperfluor 4/5 | |||||
| MFC (n = 3) | Punched-out small scars | Positive-hyperauto-FAF 3/3 | Positive-hypofluo 3/3 | Damage/loss of IS/OS 3/3 | no/faint hyperfluor 3/3 | negative 3/3 |
| Photoreceptoritis (n = 5) | Pale halo around fovea 4/5 | Positive-hyperauto-FAF 3/3 | Negative-no-hypofluo 5/5 | Damage/loss of IS/OS 5/5 | no hyperfluor 3/3 | negative 3/3 |
| No non-perfusion | moderate hyperfluor 2/2 |
Publisher’s Note: MDPI stays neutral with regard to jurisdictional claims in published maps and institutional affiliations. |
© 2022 by the authors. Licensee MDPI, Basel, Switzerland. This article is an open access article distributed under the terms and conditions of the Creative Commons Attribution (CC BY) license (https://creativecommons.org/licenses/by/4.0/).
Share and Cite
Papasavvas, I.; Mantovani, A.; Herbort, C.P., Jr. Diagnosis, Mechanisms, and Differentiation of Inflammatory Diseases of the Outer Retina: Photoreceptoritis versus Choriocapillaritis; A Multimodal Imaging Perspective. Diagnostics 2022, 12, 2179. https://doi.org/10.3390/diagnostics12092179
Papasavvas I, Mantovani A, Herbort CP Jr. Diagnosis, Mechanisms, and Differentiation of Inflammatory Diseases of the Outer Retina: Photoreceptoritis versus Choriocapillaritis; A Multimodal Imaging Perspective. Diagnostics. 2022; 12(9):2179. https://doi.org/10.3390/diagnostics12092179
Chicago/Turabian StylePapasavvas, Ioannis, Alessandro Mantovani, and Carl P. Herbort, Jr. 2022. "Diagnosis, Mechanisms, and Differentiation of Inflammatory Diseases of the Outer Retina: Photoreceptoritis versus Choriocapillaritis; A Multimodal Imaging Perspective" Diagnostics 12, no. 9: 2179. https://doi.org/10.3390/diagnostics12092179
APA StylePapasavvas, I., Mantovani, A., & Herbort, C. P., Jr. (2022). Diagnosis, Mechanisms, and Differentiation of Inflammatory Diseases of the Outer Retina: Photoreceptoritis versus Choriocapillaritis; A Multimodal Imaging Perspective. Diagnostics, 12(9), 2179. https://doi.org/10.3390/diagnostics12092179

