Hidden Coronary Atherosclerosis Assessment but Not Coronary Flow Reserve Helps to Explain the Slow Coronary Flow Phenomenon in Patients with Angiographically Normal Coronary Arteries
Abstract
:1. Introduction
2. Materials and Methods
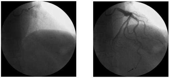
3. Results
4. Discussion
5. Conclusions
Author Contributions
Funding
Institutional Review Board Statement
Informed Consent Statement
Data Availability Statement
Acknowledgments
Conflicts of Interest
References
- Tambe, A.A.; Demany, M.A.; Zimmerman, H.A.; Mascarenhas, E. Angina pectoris and slow flow velocity of dye in coronary arteries–A new angiographic finding. Am. Heart J. 1972, 84, 66–71. [Google Scholar] [CrossRef]
- Wang, X.; Nie, S.P. The coronary slow flow phenomenon: Characteristics, mechanisms and implications. Cardiovasc. Diagn. Ther. 2011, 1, 37–43. [Google Scholar] [CrossRef] [PubMed]
- Fineschi, M.; Bravi, A.; Gori, T. The “slow coronary flow” phenomenon: Evidence of preserved coronary flow reserve despite increased resting microvascular resistances. Int. J. Cardiol. 2008, 127, 358–361. [Google Scholar] [CrossRef] [PubMed]
- Erdogan, D.; Caliskan, M.; Gullu, H.; Sezgin, A.T.; Yildirir, A.; Muderrisoglu, H. Coronary flow reserve is impaired in patients with slow coronary flow. Atherosclerosis 2007, 191, 168–174. [Google Scholar] [CrossRef] [PubMed]
- Rossen, J.D.; Quillen, J.E.; Lopez, A.G.; Stenberg, R.G.; Talman, C.L.; Winniford, M.D. Comparison of coronary vasodilation with intravenous dipyridamole and adenosine. J. Am. Coll. Cardiol. 1991, 18, 485–491. [Google Scholar] [CrossRef]
- Caiati, C.; Montaldo, C.; Zedda, N.; Bina, A.; Iliceto, S. New noninvasive method for coronary flow reserve assessment-Contrast-enhanced transthoracic second harmonic echo Doppler. Circulation 1999, 99, 771–778. [Google Scholar] [CrossRef] [PubMed]
- Caiati, C.; Montaldo, C.; Zedda, N.; Montisci, R.; Ruscazio, V.; Lai, G.; Cadeddu, J.; Meloni, L.; Iliceto, S. Validation of a new noninvasive, method (contrast-enhanced transthoracic second harmonic echo Doppler) for the evaluation of coronary flow reserve-Comparison with intracoronary Doppler flow wire. J. Am. Coll. Cardiol. 1999, 34, 1193–1200. [Google Scholar] [CrossRef]
- Caiati, C.; Zedda, N.; Montaldo, C.; Montisci, R.; Iliceto, S. Contrast-enhanced transthoracic second harmonic echo Doppler with adenosine: A noninvasive, rapid and effective method for coronary flow reserve assessment. J. Am. Coll. Cardiol. 1999, 34, 122–130. [Google Scholar] [CrossRef]
- Caiati, C.; Lepera, M.E.; Pollice, P.; Iacovelli, F.; Favale, S. A new noninvasive method for assessing mild coronary atherosclerosis: Transthoracic convergent color Doppler after heart rate reduction. Validation vs. intracoronary ultrasound. Coron. Artery Dis. 2020, 31, 500–511. [Google Scholar] [CrossRef]
- Gibson, C.M.; Cannon, C.P.; Daley, W.L.; Dodge, J.T., Jr.; Alexander, B., Jr.; Marble, S.J.; McCabe, C.H.; Raymond, L.; Fortin, T.; Poole, W.K.; et al. TIMI frame count: A quantitative method of assessing coronary artery flow. Circulation 1996, 93, 879–888. [Google Scholar] [CrossRef]
- MacAlpin, R.N.; Abbasi, A.S.; Grollman, J.H., Jr.; Eber, L. Human coronary artery size during life. A cinearteriographic study. Radiology 1973, 108, 567–576. [Google Scholar] [CrossRef] [PubMed]
- Mintz, G.S.; Nissen, S.E.; Anderson, W.D.; Bailey, S.R.; Erbel, R.; Fitzgerald, P.J.; Pinto, F.J.; Rosenfield, K.; Siegel, R.J.; Tuzcu, E.M.; et al. American College of Cardiology Clinical Expert Consensus Document on Standards for Acquisition, Measurement and Reporting of Intravascular Ultrasound Studies (IVUS). A report of the American College of Cardiology Task Force on Clinical Expert Consensus Documents. J. Am. Coll. Cardiol. 2001, 37, 1478–1492. [Google Scholar] [PubMed]
- Reis, S.E.; Holubkov, R.; Lee, J.S.; Sharaf, B.; Reichek, N.; Rogers, W.J.; Walsh, E.G.; Fuisz, A.R.; Kerensky, R.; Detre, K.M.; et al. Coronary flow velocity response to adenosine characterizes coronary microvascular function in women with chest pain and no obstructive coronary disease. Results from the pilot phase of the Women’s Ischemia Syndrome Evaluation (WISE) study. J. Am. Coll. Cardiol. 1999, 33, 1469–1475. [Google Scholar] [CrossRef]
- Munzel, T.; Daiber, A.; Ullrich, V.; Mulsch, A. Vascular consequences of endothelial nitric oxide synthase uncoupling for the activity and expression of the soluble guanylyl cyclase and the cGMP-dependent protein kinase. Arter. Thromb. Vasc. Biol. 2005, 25, 1551–1557. [Google Scholar] [CrossRef] [PubMed]
- Mohammed, S.F.; Hussain, S.; Mirzoyev, S.A.; Edwards, W.D.; Maleszewski, J.J.; Redfield, M.M. Coronary microvascular rarefaction and myocardial fibrosis in heart failure with preserved ejection fraction. Circulation 2015, 131, 550–559. [Google Scholar] [CrossRef]
- Schindler, T.H.; Schelbert, H.R.; Quercioli, A.; Dilsizian, V. Cardiac PET imaging for the detection and monitoring of coronary artery disease and microvascular health. JACC Cardiovasc. Imaging 2010, 3, 623–640. [Google Scholar] [CrossRef]
- Gould, K.L.; Ornish, D.; Scherwitz, L.; Brown, S.; Edens, R.P.; Hess, M.J.; Mullani, N.; Bolomey, L.; Dobbs, F.; Armstrong, W.T.; et al. Changes in myocardial perfusion abnormalities by positron emission tomography after long-term, intense risk factor modification. JAMA 1995, 274, 894–901. [Google Scholar] [CrossRef]
- Mangieri, E.; Macchiarelli, G.; Ciavolella, M.; Barilla, F.; Avella, A.; Martinotti, A.; Dell’Italia, L.J.; Scibilia, G.; Motta, P.; Campa, P.P. Slow coronary flow: Clinical and histopathological features in patients with otherwise normal epicardial coronary arteries. Cathet. Cardiovasc. Diagn. 1996, 37, 375–381. [Google Scholar] [CrossRef]
- Liao, J.C.; Kuo, L. Interaction between adenosine and flow-induced dilation in coronary microvascular network. Am. J. Physiol. 1997, 272, H1571–H1581. [Google Scholar] [CrossRef]
- Caiati, C. Contrast-Enhanced Ultrasound Reveals That Lipoprotein Apheresis Improves Myocardial But Not Skeletal Muscle Perfusion. JACC Cardiovasc. Imaging 2019, 12, 1441–1443. [Google Scholar] [CrossRef]
- Sellke, F.W.; Armstrong, M.L.; Harrison, D.G. Endothelium-dependent vascular relaxation is abnormal in the coronary microcirculation of atherosclerotic primates. Circulation 1990, 81, 1586–1593. [Google Scholar] [CrossRef] [PubMed]
- Tousoulis, D.; Kampoli, A.M.; Tentolouris, C.; Papageorgiou, N.; Stefanadis, C. The role of nitric oxide on endothelial function. Curr. Vasc. Pharmacol. 2012, 10, 4–18. [Google Scholar] [CrossRef] [PubMed]
- Osborne, J.A.; Siegman, M.J.; Sedar, A.W.; Mooers, S.U.; Lefer, A.M. Lack of endothelium-dependent relaxation in coronary resistance arteries of cholesterol-fed rabbits. Am. J. Physiol. 1989, 256, C591–C597. [Google Scholar] [CrossRef] [PubMed]
- Cin, V.G.; Pekdemir, H.; Camsar, A.; Ciçek, D.; Akkus, M.N.; Parmaksýz, T.; Katýrcýbaý, T.; Döven, O. Diffuse intimal thickening of coronary arteries in slow coronary flow. Jpn. Heart J. 2003, 44, 907–919. [Google Scholar] [CrossRef] [PubMed]
- Pekdemir, H.; Cin, V.G.; Ciçek, D.; Camsari, A.; Akkus, N.; Döven, O.; Parmaksiz, H.T. Slow coronary flow may be a sign of diffuse atherosclerosis. Contribution of FFR and IVUS. Acta Cardiol. 2004, 59, 127–133. [Google Scholar] [CrossRef] [PubMed]
- Gould, K.L.; Nguyen, T.; Johnson, N.P. Integrating Coronary Physiology, Longitudinal Pressure, and Perfusion Gradients in CAD: Measurements, Meaning, and Mortality. J. Am. Coll. Cardiol. 2019, 74, 1785–1788. [Google Scholar] [CrossRef]
- Gould, K.L.; Johnson, N.P. Coronary Physiology Beyond Coronary Flow Reserve in Microvascular Angina: JACC State-of-the-Art Review. J. Am. Coll. Cardiol. 2018, 72, 2642–2662. [Google Scholar] [CrossRef]
- Caiati, C.; Siena, P.; Iacovelli, F.; Piscitelli, L.; Pollice, P.; Favale, S.; Lepera Mario, E. Assessing Diffuse Coronary Atherosclerosis in Subjects with Impaired Coronary Flow Reserve but no Angiographic Critical Stenosis. A Transthoracic Enhanced Color Doppler Echocardiographyc Study. J. Am. Coll. Cardiol. Found. 2021, 77, 1429. [Google Scholar] [CrossRef]
- Alvarez, C.; Siu, H. Coronary Slow-Flow Phenomenon as an Underrecognized and Treatable Source of Chest Pain: Case Series and Literature Review. J. Investig. Med. High Impact Case Rep. 2018, 6, 2324709618789194. [Google Scholar] [CrossRef]
- Azzarelli, S.; Grasso, C.; Galassi, A.R.; Tamburino, C. Coronary slow flow phenomenon: Description of three cases evaluated with myocardial perfusion scintigraphy. Ital. Heart J. Off. J. Ital. Fed. Cardiol. 2005, 6, 341–344. [Google Scholar]
- Levin, D.C.; Phillips, D.A.; Lee-Son, S.; Maroko, P.R. Hemodynamic changes distal to selective arterial injections. Investig. Radiol. 1977, 12, 116–120. [Google Scholar] [CrossRef]
- Van Lierde, J.; Vrolix, M.; Sionis, D.; De Geest, H.; Piessens, J. Lack of evidence for small vessel disease in a patient with “slow dye progression” in the coronary arteries. Cathet. Cardiovasc. Diagn 1991, 23, 117–120. [Google Scholar] [CrossRef] [PubMed]
- Chaudhry, M.A.; Smith, M.; Hanna, E.B.; Lazzara, R. Diverse spectrum of presentation of coronary slow flow phenomenon: A concise review of the literature. Cardiol. Res. Pract. 2012, 2012, 383181. [Google Scholar] [CrossRef] [PubMed]
- Beltrame, J.F.; Limaye, S.B.; Horowitz, J.D. The coronary slow flow phenomenon–A new coronary microvascular disorder. Cardiology 2002, 97, 197–202. [Google Scholar] [CrossRef] [PubMed]
- Beltrame, J.F.; Limaye, S.B.; Wuttke, R.D.; Horowitz, J.D. Coronary hemodynamic and metabolic studies of the coronary slow flow phenomenon. Am. Heart J. 2003, 146, 84–90. [Google Scholar] [CrossRef]
- Knuuti, J.; Wijns, W.; Saraste, A.; Capodanno, D.; Barbato, E.; Funck-Brentano, C.; Prescott, E.; Storey, R.F.; Deaton, C.; Cuisset, T.; et al. 2019 ESC Guidelines for the diagnosis and management of chronic coronary syndromes. Eur. Heart J. 2019, 41, 407–477. [Google Scholar] [CrossRef] [PubMed]
- Crea, F.; Montone, R.A.; Rinaldi, R. Pathophysiology of Coronary Microvascular Dysfunction. Circ. J. 2021, 86, 1319–1328. [Google Scholar] [CrossRef]
- Zhu, X.; Shen, H.; Gao, F.; Wu, S.; Ma, Q.; Jia, S.; Zhao, Z.; Tong, S.; Zhang, Z.; Zhou, Y. Clinical Profile and Outcome in Patients with Coronary Slow Flow Phenomenon. Cardiol. Res. Pract. 2019, 2019, 9168153. [Google Scholar] [CrossRef]
- Lee, B.K.; Lim, H.S.; Fearon, W.F.; Yong, A.S.; Yamada, R.; Tanaka, S.; Lee, D.P.; Yeung, A.C.; Tremmel, J.A. Invasive evaluation of patients with angina in the absence of obstructive coronary artery disease. Circulation 2015, 131, 1054–1060. [Google Scholar] [CrossRef] [PubMed]
- Chandraratna, P.A.; Nimalasuriya, A.R.; Vlachonassios, K.D.; Mathews, S.J.; Kedes, W.; Marwah, O.S.; Saad, M. Usefulness of the response of flow velocity in the left anterior descending coronary artery to the cold pressor test for evaluating endothelium-dependent vascular relaxation in the coronary microvasculature by transesophageal echocardiography in subjects with angiographically normal coronary arteries. Am. J. Cardiol. 1999, 84, 1362–1365, A1368. [Google Scholar]
- Ganz, P.; Vita, J.A. Testing endothelial vasomotor function: Nitric oxide, a multipotent molecule. Circulation 2003, 108, 2049–2053. [Google Scholar] [CrossRef] [PubMed]




| Runoff Characteristics | p Value | ||
|---|---|---|---|
| normal | SCFph | ||
| Hemodynamics | |||
| Rest SBP (mmHg) | 127 ± 16 | 118 ± 13 | <0.05 |
| Rest DBP (mmHg) | 70 ± 9 | 67 ± 8 | ns |
| rest HR (b/m) | 64 ± 64 | 64 ± 8 | ns |
| Adenosine SBP (mmHg) | 128 ± 18 | 123 ± 17 | ns |
| Adenosine DBP (mmHg) | 70 ± 10 | 67 ± 10 | ns |
| Adenosine HR (b/m) | 75 ± 17 | 75 ± 13 | ns |
| Control velocity (cm/s) | |||
| MSV | 16 ± 4 | 15 ± 4 | ns |
| PSV | 20 ± 5 | 18 ± 5 | ns |
| MDV | 25 ± 7 | 23 ± 7 | ns |
| PDV | 33 ± 9 | 32 ± 13 | ns |
| Hyperemic velocity (cm/s) | |||
| MSV | 46 ± 23 | 36 ± 9 | ns |
| PSV | 56 ± 21 | 46 ± 13 | ns |
| MDV | 71 ± 23 | 62 ± 12 | ns |
| PDV | 93 ± 27 | 82 ± 17 | =0.07 |
| LAD CFR for PDV | 2.90 ± 0.8 | 2.79 ± 0.8 | ns |
| LAD CFR for MDV | 2.22 ± 0.6 | 2.12 ± 0.6 | ns |
| Variable | Runoff Characteristics | p Value | |
|---|---|---|---|
| Normal (n = 100) | Slow (n = 24) | ||
| Age (years) | 50.53 ± 12.35 | 47.70 ± 13.28 | =0.3 |
| Male-# pts (%) | 67 (67%) | 15 (62.5%) | =0.7 |
| BMI | 27.70 ± 5.20 | 27.79 ± 6.87 | =0.7 |
| Hypertension-# pts (%) | 71 (71%) | 17 (70.8%) | =1.0 |
| Diabetes mellitus-# pts (%) | 15 (15%) | 2 (8.3%) | =0.4 |
| Glycemia (mg/dL) | 104.89 ± 27.33 | 110.48 ± 48.55 | =0.4 |
| Total cholesterol (mg/dL) | 167.26 ± 43.49 | 182.96 ± 40.27 | =0.1 |
| HDL (mg/dL) | 50.24 ± 16.86 | 46.65 ± 9.31 | =0.3 |
| LDL (mg/dL) | 94.56 ± 35.35 | 113.28 ± 43.24 | =0.03 |
| Triglycerides (mg/dL) | 115.53 ± 62.81 | 133.57 ± 86.55 | =0.2 |
| Smoking-# pts (%) | 15 (15%) | 6 (25%) | =0.2 |
| Angina-# pts (%) | 32 (32%) | 12 (50%) | =0.4 |
| NYHA II-# pts (%) | 21 (65.6%) | 6 (85.7%) | - |
| NYHA III-# pts (%) | 10 (31.3%) | 1 (14.3%) | - |
| NYHA IV-# pts (%) | 1 (3.1%) | 0 (0%) | =0.1 |
| DCM-# pts (%) | 24 (24%) | 4 (16.7%) | =0.4 |
| ASCVD risk score (%) | 12.16 ± 9.52 | 10.28 ± 11.98 | =0.6 |
| LVEF (%) | 55 ± 13 | 59 ± 13 | =0.2 |
| Statins-# pts (%) | 70 (70%) | 14 (58%) | =0.3 |
| Betablockers-# pts (%) | 21(30%) | 4 (23%) | =0.6 |
| Antithrombotics-# pts (%) | 51 (52%) | 11 (45%) | =0.5 |
| ACEi-# pts (%) | 75 (75%) | 17 (71%) | =0.7 |
| Diuretics-# pts (%) | 14 (14%) | 1 (4%) | =0.2 |
Publisher’s Note: MDPI stays neutral with regard to jurisdictional claims in published maps and institutional affiliations. |
© 2022 by the authors. Licensee MDPI, Basel, Switzerland. This article is an open access article distributed under the terms and conditions of the Creative Commons Attribution (CC BY) license (https://creativecommons.org/licenses/by/4.0/).
Share and Cite
Caiati, C.; Iacovelli, F.; Mancini, G.; Lepera, M.E. Hidden Coronary Atherosclerosis Assessment but Not Coronary Flow Reserve Helps to Explain the Slow Coronary Flow Phenomenon in Patients with Angiographically Normal Coronary Arteries. Diagnostics 2022, 12, 2173. https://doi.org/10.3390/diagnostics12092173
Caiati C, Iacovelli F, Mancini G, Lepera ME. Hidden Coronary Atherosclerosis Assessment but Not Coronary Flow Reserve Helps to Explain the Slow Coronary Flow Phenomenon in Patients with Angiographically Normal Coronary Arteries. Diagnostics. 2022; 12(9):2173. https://doi.org/10.3390/diagnostics12092173
Chicago/Turabian StyleCaiati, Carlo, Fortunato Iacovelli, Giandomenico Mancini, and Mario Erminio Lepera. 2022. "Hidden Coronary Atherosclerosis Assessment but Not Coronary Flow Reserve Helps to Explain the Slow Coronary Flow Phenomenon in Patients with Angiographically Normal Coronary Arteries" Diagnostics 12, no. 9: 2173. https://doi.org/10.3390/diagnostics12092173
APA StyleCaiati, C., Iacovelli, F., Mancini, G., & Lepera, M. E. (2022). Hidden Coronary Atherosclerosis Assessment but Not Coronary Flow Reserve Helps to Explain the Slow Coronary Flow Phenomenon in Patients with Angiographically Normal Coronary Arteries. Diagnostics, 12(9), 2173. https://doi.org/10.3390/diagnostics12092173

