Craniomaxillofacial Fibrous Dysplasia Improved Cosmetic and Occlusal Problem by Comprehensive Treatment: A Case Report and Review of Current Treatments
Abstract
:1. Introduction
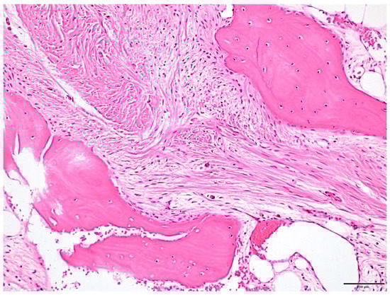
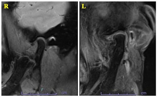
2. Case Presentation
3. Discussion
4. Conclusions
Author Contributions
Funding
Institutional Review Board Statement
Informed Consent Statement
Data Availability Statement
Conflicts of Interest
References
- Jundt, G. Fibrous Dysplasia—Pathology and Genetics of Head and Neck Tumours, 3rd ed.; WHO Classification of Tumours; WHO: Geneva, Switzerland, 2005; Volume 9, pp. 321–322. [Google Scholar]
- Schonder, A. Fibrous dysplasia of bone with proptosis. Am. J. Dis. Child 1977, 131, 678–679. [Google Scholar] [CrossRef] [PubMed]
- Lichtenstein, L. Polyostotic Fibrous Dysplasia. Arch. Surg. 1938, 36, 874–898. [Google Scholar] [CrossRef]
- Viljoen, D.L.; Versfeld, G.A.; Losken, W.; Beighton, P. Polyostotic Fibrous Dysplasia with Cranial Hyperostosis—New Entity or Most Severe Form of Polyostotic Fibrous Dysplasia. Am. J. Med. Genet. 1988, 29, 661–667. [Google Scholar] [CrossRef]
- Yavuzer, R.; Khilnani, R.; Jackson, I.T.; Audet, B. A case of atypical McCune-Albright syndrome requiring optic nerve decompression. Ann. Plast. Surg. 1999, 43, 430–435. [Google Scholar] [CrossRef]
- Gagnier, J.J.; Kienle, G.; Altman, D.G.; Moher, D.; Sox, H.; Riley, D. The CARE Guidelines: Consensus-based Clinical Case Reporting Guideline Development. Glob. Adv. Health Med. 2013, 2, 38–43. [Google Scholar] [CrossRef] [PubMed]
- Albrigt, F.; Butler, A.M.; Hampton, A.O.; Smith, P. Syndrome characterized by osteitis fibrosa disseminate, areas of pigmentation and endocrine dysfunction with precocious puberty in females; report of five cases. N. Engl. J. Med. 1937, 216, 727–746. [Google Scholar] [CrossRef]
- Lichtenstein, L.; Jaffe, H.L. Fibrous dysplasia of bone: A condition affecting one, several or many bones, the Graver cases of which may present abnormal pigmentation of skin, premature sexual development, hyperthyroidism or still other extra-skeletal abnormalities. Arch. Pathol. 1942, 33, 777–816. [Google Scholar]
- Thoma, K. Oral Pathology, 4th ed.; Mosby Co.: St. Louis, MO, USA, 1954; pp. 768–791. [Google Scholar]
- El-Naggar, A.; Chan, J.K.C.; Grandis, J.R.; Takata, T.; Slootweg, P.J. WHO Classification of Head & Neck Tumours, 4th ed.; WHO: Geneva, Switzerland, 2017; p. 253. [Google Scholar]
- Barrionuevo, C.E.; Marcallo, F.A.; Coelho, A.; Cruz, G.A.; Mocellin, M.; Patrocinio, J.A. Fibrous dysplasia and the temporal bone. Arch. Otolaryngol. 1980, 106, 298–301. [Google Scholar] [CrossRef]
- Schwartz, D.T.; Alpert, M. The Malignant Transformation of Fibrous Dysplasia. Am. J. Med. Sci. 1964, 247, 1–20. [Google Scholar] [CrossRef]
- Anthony, P.F. Pathologic quiz case: Recurrent fibrous dysplasia of left frontal bone. Arch. Otolaryngol. 1976, 102, 578–579. [Google Scholar]
- Leeds, N.; Seaman, W.B. Fibrous dysplasia of the skull and its differential diagnosis. A clinical and roentgenographic study of 46 cases. Radiology 1962, 78, 570–582. [Google Scholar] [CrossRef] [PubMed]
- Mohammadi-Araghi, H.; Haery, C. Fibro-osseous lesions of craniofacial bones. The role of imaging. Radiol. Clin. N. Am. 1993, 31, 121–134. [Google Scholar] [PubMed]
- Barnes, L. (Ed.) Disease of the bones and joints. In Surgical Pathology of Head and Neck; Mercel Dekker: New York, NY, USA; Basel, Switzerland, 1985; Volume 17, pp. 920–926. [Google Scholar]
- Lee, J.S.; FitzGibbon, E.J.; Chen, Y.R.; Kim, H.J.; Lustig, L.R.; Akintoye, S.O.; Collins, M.T.; Kaban, L.B. Clinical guidelines for the management of craniofacial fibrous dysplasia. Orphanet J. Rare Dis. 2012, 7, S2. [Google Scholar] [CrossRef]
- Yu, H.; Shen, S.G.; Wang, X.; Zhang, L.; Zhang, S. The indication and application of computer-assisted navigation in oral and maxillofacial surgery-Shanghai’s experience based on 104 cases. J. Craniomaxillofac. Surg. 2013, 41, 770–774. [Google Scholar] [CrossRef] [PubMed]
- Arai, Y.; Chiba, Y.; Umeda, S.; Ohara, Y.; Iwai, T.; Komatsu, M.; Yabuki, K.; Sano, D.; Oridate, N. Reduction surgery using a combination of a stereolithographic model and navigation system for ossifying fibroma with secondary central giant cell granuloma. Nihon Jibiinkoka Gakkai Kaiho 2016, 119, 1463. [Google Scholar] [CrossRef] [PubMed]
- Sukegawa, S.; Kanno, T.; Furuki, Y. Application of computer-assisted navigation systems in oral and maxillofacial surgery. Jpn. Dent. Sci. Rev. 2018, 54, 139–149. [Google Scholar] [CrossRef] [PubMed]
- Nowinski, D.; Messo, E.; Hedlund, A.; Hirsch, J.M. Computer-navigated contouring of craniofacial fibrous dysplasia involving the orbit. J. Craniofac. Surg. 2011, 22, 469–472. [Google Scholar] [CrossRef] [PubMed]
- Wang, X.; Lin, Y.; Yu, H.; Cheng, A.H.; Sun, H.; Wang, C.; Shen, G. Image-guided navigation in optimizing surgical management of craniomaxillofacial fibrous dysplasia. J. Craniofac. Surg. 2011, 22, 1552–1556. [Google Scholar] [CrossRef] [PubMed]
- Gui, H.; Zhang, S.; Shen, S.G.; Wang, X.; Bautista, J.S.; Voss, P.J. Real-time image-guided recontouring in the management of craniofacial fibrous dysplasia. Oral Surg. Oral Med. Oral Pathol. Oral Radiol. 2013, 116, 680–685. [Google Scholar] [CrossRef]
- Wang, Y.; Sun, G.; Lu, M.; Hu, Q. Surgical management of maxillofacial fibrous dysplasia under navigational guidance. Br. J. Oral Maxillofac. Surg. 2015, 53, 336–341. [Google Scholar] [CrossRef]
- Matsuo, A.; Kono, M.; Toyoda, J.; Nakai, T.; Tsuzuki, M.; Chiba, H. Navigation surgery for Le Fort 1 osteotomy in a fibrous dysplasia patient. Odontology 2010, 98, 181–184. [Google Scholar] [CrossRef] [PubMed]
- Denadai, R.; Raposo-Amaral, C.A.; Marques, F.F.; Ghizoni, E.; Buzzo, C.L.; Raposo-Amaral, C.E. Strategies for the Optimal Individualized Surgical Management of Craniofacial Fibrous Dysplasia. Ann. Plast. Surg. 2016, 77, 195–200. [Google Scholar] [CrossRef] [PubMed]
- Subramaniam, V.; Herle, A.T.V. Fibrous dysplasia of the maxillary sinus: Case report. Rev. Sul. Bras. Odontol. 2010, 7, 366–368. [Google Scholar]
- Menon, S.; Venkatswamy, S.; Ramu, V.; Banu, K.; Ehtaih, S.; Kashyap, V.M. Craniofacial fibrous dysplasia: Surgery and literature review. Ann. Maxillofac. Surg. 2013, 3, 66–71. [Google Scholar] [CrossRef] [PubMed]
- Bhargava, P.; Khan, S.; Sharma, R.; Agwani, K.; Gupta, S. A swelling of the maxilla: A case report and differential diagnosis. J. Korean Assoc. Oral Maxillofac. Surg. 2014, 40, 308–312. [Google Scholar] [CrossRef]
- Valentini, V.; Cassoni, A.; Terenzi, V.; Della Monaca, M.; Fadda, M.T.; Rajabtork Zadeh, O.; Raponi, I.; Anelli, A.; Iannetti, G. Our experience in the surgical management of craniofacial fibrous dysplasia: What has changed in the last 10 years? Acta Otorhinolaryngol. Ital. 2017, 37, 436–443. [Google Scholar] [CrossRef]
- Sweeney, K.; Kaban, L.B. Natural History and Progression of Craniofacial Fibrous Dysplasia: A Retrospective Evaluation of 114 Patients From Massachusetts General Hospital. J. Oral Maxillofac. Surg. 2020, 78, 1966–1980. [Google Scholar] [CrossRef]
- Ozsen, M.; Yalcinkaya, U.; Bilgen, M.S.; Yazici, Z. Fibrous Dysplasia: Clinicopathologic Presentation of 36 Cases. Turk Patoloji Derg. 2018, 34, 234–241. [Google Scholar] [CrossRef]
- Eachempati, P.; Aggarwal, H.; Shenoy, V.; Baliga, M. Multidisciplinary approach for management of a patient with fibrous dysplasia of maxilla. BMJ Case Rep. 2015, 2015, bcr2015210330. [Google Scholar] [CrossRef]







Publisher’s Note: MDPI stays neutral with regard to jurisdictional claims in published maps and institutional affiliations. |
© 2022 by the authors. Licensee MDPI, Basel, Switzerland. This article is an open access article distributed under the terms and conditions of the Creative Commons Attribution (CC BY) license (https://creativecommons.org/licenses/by/4.0/).
Share and Cite
Ono, K.; Yoshioka, N.; Kunisada, Y.; Nakamura, T.; Nakamura, Y.; Obata, K.; Ibaragi, S.; Minagi, S.; Sasaki, A. Craniomaxillofacial Fibrous Dysplasia Improved Cosmetic and Occlusal Problem by Comprehensive Treatment: A Case Report and Review of Current Treatments. Diagnostics 2022, 12, 2146. https://doi.org/10.3390/diagnostics12092146
Ono K, Yoshioka N, Kunisada Y, Nakamura T, Nakamura Y, Obata K, Ibaragi S, Minagi S, Sasaki A. Craniomaxillofacial Fibrous Dysplasia Improved Cosmetic and Occlusal Problem by Comprehensive Treatment: A Case Report and Review of Current Treatments. Diagnostics. 2022; 12(9):2146. https://doi.org/10.3390/diagnostics12092146
Chicago/Turabian StyleOno, Kisho, Norie Yoshioka, Yuki Kunisada, Tomoya Nakamura, Yuko Nakamura, Kyoichi Obata, Soichiro Ibaragi, Shogo Minagi, and Akira Sasaki. 2022. "Craniomaxillofacial Fibrous Dysplasia Improved Cosmetic and Occlusal Problem by Comprehensive Treatment: A Case Report and Review of Current Treatments" Diagnostics 12, no. 9: 2146. https://doi.org/10.3390/diagnostics12092146
APA StyleOno, K., Yoshioka, N., Kunisada, Y., Nakamura, T., Nakamura, Y., Obata, K., Ibaragi, S., Minagi, S., & Sasaki, A. (2022). Craniomaxillofacial Fibrous Dysplasia Improved Cosmetic and Occlusal Problem by Comprehensive Treatment: A Case Report and Review of Current Treatments. Diagnostics, 12(9), 2146. https://doi.org/10.3390/diagnostics12092146

