Multimodal Study of PRPH2 Gene-Related Retinal Phenotypes
Abstract
1. Introduction
2. Materials and Methods
Genetic Testing
3. Results
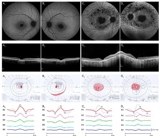
3.1. Clinical Findings
3.2. Genetic Findings
4. Discussion
4.1. Phenotype-Genotype Variability of PRPH2 Disease Related Spectrum
- (1)
- (2)
- in different unrelated families carrying the same mutation (inter-familiar phenotype variability), as reported in Figure 2.
4.2. Unreported Clinical Functional and Morphologic Characteristics of PRPH2-Related Disease
5. Conclusions
Supplementary Materials
Author Contributions
Funding
Institutional Review Board Statement
Informed Consent Statement
Data Availability Statement
Acknowledgments
Conflicts of Interest
References
- Pontikos, N.; Arno, G.; Jurkute, N.; Schiff, E.; Ba-Abbad, R.; Malka, S.; Gimenez, A.; Georgiou, M.; Wright, G.; Armengol, M.; et al. Genetic basis of inherited retinal disease in a molecularly characterized cohort of over 3000 families from the United Kingdom. Ophthalmology 2020, 127, 1384–1394. [Google Scholar] [CrossRef] [PubMed]
- Manes, G.; Guillaumie, T.; Vos, W.L.; Devos, A.; Audo, I.; Zeitz, C.; Marquette, V.; Zanlonghi, X.; Defoort-Dhellemmes, S.; Puech, B.; et al. High prevalence of PRPH2 in autosomal dominant retinitis pigmentosa in france and characterization of biochemical and clinical features. Am. J. Ophthalmol. 2015, 159, 302–314. [Google Scholar] [CrossRef] [PubMed]
- Arikawa, K.; Molday, L.L.; Molday, R.S.; Williams, D.S. Localization of peripherin/rds in the disk membranes of cone and rod photoreceptors: Relationship to disk membrane morphogenesis and retinal degeneration. J. Cell Biol. 1992, 116, 659–667. [Google Scholar] [CrossRef] [PubMed]
- Molday, R.S.; Hicks, D.; Molday, L. Peripherin. A rim-specific membrane protein of rod outer segment discs. Invest. Ophthalmol. Vis. Sci. 1987, 28, 50–61. [Google Scholar] [PubMed]
- Charrin, S.; Jouannet, S.; Boucheix, C.; Rubinstein, E. Tetraspanins at a glance. J. Cell Sci. 2014, 127 Pt 17, 3641–3648. [Google Scholar] [CrossRef]
- Zimmerman, B.; Kelly, B.; McMillan, B.J.; Seegar, T.; Dror, R.O.; Kruse, A.C.; Blacklow, S.C. Crystal Structure of a Full-Length Human Tetraspanin Reveals a Cholesterol-Binding Pocket. Cell 2016, 167, 1041–1051.e1011. [Google Scholar] [CrossRef]
- Boon, C.J.; den Hollander, A.I.; Hoyng, C.B.; Cremers, F.P.; Klevering, B.J.; Keunen, J.E. The spectrum of retinal dystrophies caused by mutations in the peripherin/RDS gene. Prog. Retin. Eye Res. 2008, 27, 213–235. [Google Scholar] [CrossRef]
- Poloschek, C.M.; Bach, M.; Lagrèze, W.A.; Glaus, E.; Lemke, J.R.; Berger, W.; Neidhardt, J. ABCA4 and ROM1: Implications for Modification of the PRPH2-Associated Macular Dystrophy Phenotype. Investig. Ophthalmol. Vis. Sci. 2010, 51, 4253–4265. [Google Scholar] [CrossRef]
- Reeves, M.J.; Goetz, K.E.; Guan, B.; Ullah, E.; Blain, D.; Zein, W.M.; Tumminia, S.J.; Hufnagel, R.B. Genotype-phenotype associations in a large PRPH2-related retinopathy cohort. Hum. Mutat. 2020, 41, 1528–1539. [Google Scholar] [CrossRef]
- Zulliger, R.; Conley, S.M.; Mwoyosvi, M.L.; Al-Ubaidi, M.R.; Naash, M.I. Oligomerization of Prph2 and Rom1 is essential for photoreceptor outer segment formation. Hum. Mol. Genet. 2018, 27, 3507–3518. [Google Scholar] [CrossRef]
- Coco-Martin, R.M.; Sanchez-Tocino, H.T.; Desco, C.; Usategui-Martín, R.; Tellería, J.J. PRPH2-Related Retinal Diseases: Broadening the Clinical Spectrum and Describing a New Mutation. Genes 2020, 11, 773. [Google Scholar] [CrossRef] [PubMed]
- Albertos-Arranz, H.; Sánchez-Sáez, X.; Martínez-Gil, N.; Pinilla, I.; Coco-Martin, R.M.; Delgado, J.; Cuenca, N. Phenotypic Differences in a PRPH2 Mutation in Members of the Same Family Assessed with OCT and OCTA. Diagnostics 2021, 11, 777. [Google Scholar] [CrossRef] [PubMed]
- Michaelides, M.; Holder, G.E.; Bradshaw, K.; Hunt, D.M.; Moore, A.T. Rod dystrophy, intrafamilial variability, and incomplete penetrance associated with the R172W mutation in the peripherin/RDS gene. Ophthalmology 2005, 112, 1592–1598. [Google Scholar] [CrossRef] [PubMed]
- Vaclavik, V.; Tran, H.V.; Gaillard, M.C.; Schorderet, D.F.; Munier, F.L. Pattern dystrophy with high intrafamilial variability associated with Y141C mutation in the peripherin/RDS gene and successful treatment of subfoveal CNV related to multifocal pattern type with anti-VEGF (ranibizumab) intravitreal injections. Retina 2012, 32, 1942–1949. [Google Scholar] [CrossRef]
- Leroy, B.P.; Kailasanathan, A.; De Laey, J.J.; Black, G.C.; Manson, F.D. Intrafamilial phenotypic variability in families with RDS mutations: Exclusion of ROM1 as a genetic modifier for those with retinitis pigmentosa. Br. J. Ophthalmol. 2006, 91, 89–93. [Google Scholar] [CrossRef] [PubMed]
- Palma, M.; Martin, D.; Salles, M.V.; Motta, F.; Abujamra, S.; Sallum, J. Retinal dystrophies and variants in PRPH2. Arq. Bras. Oftalmol. 2019, 82, 158–160. [Google Scholar] [CrossRef]
- Conley, S.M.; Naash, M.I. Gene therapy for PRPH2-associated ocular disease: Challenges and prospects. Cold Spring Harb. Perspect. Med. 2014, 4, a017376. [Google Scholar] [CrossRef] [PubMed][Green Version]
- Sullivan, L.S.; Bowne, S.J.; Birch, D.G.; Hughbanks-Wheaton, D.; Heckenlively, J.R.; Lewis, R.A.; Garcia, C.A.; Ruiz, R.S.; Blanton, S.H.; Northrup, H.; et al. Prevalence of disease-causing mutations in families with autosomal dominant retinitis pigmentosa: A screen of known genes in 200 families. Invest. Ophthalmol. Vis. Sci. 2006, 47, 3052–3064. [Google Scholar] [CrossRef]
- Falsini, B.; Placidi, G.; De Siena, E.; Chiurazzi, P.; Minnella, A.M.; Savastano, M.C.; Ziccardi, L.; Parisi, V.; Iarossi, G.; Percio, M.; et al. Genetic characteristics of 234 Italian patients with macular and cone/cone-rod dystrophy. Sci. Rep. 2022, 12, 3774. [Google Scholar] [CrossRef]
- Oishi, A.; Fujinami, K.; Mawatari, G.; Naoi, N.; Ikeda, Y.; Ueno, S.; Kuniyoshi, K.; Hayashi, T.; Kondo, H.; Mizota, A.; et al. Genetic and Phenotypic Landscape of PRPH2-Associated Retinal Dystrophy in Japan. Genes 2021, 12, 1817. [Google Scholar] [CrossRef]
- Coussa, R.G.; Chakarova, C.; Ajlan, R.; Taha, M.; Kavalec, C.; Gomolin, J.; Khan, A.; Lopez, I.; Ren, H.; Waseem, N.; et al. Genotype and Phenotype Studies in Autosomal Dominant Retinitis Pigmentosa (adRP) of the French-Canadian Founder Population. Invest. Ophthalmol. Vis. Sci. 2015, 56, 8297–8305, Erratum in Invest. Ophthalmol. Vis. Sci. 2017, 58, 4768. [Google Scholar] [CrossRef] [PubMed]
- Marmor, M.F.; Fulton, A.B.; Holder, G.E.; Miyake, Y.; Brigell, M.; Bach, M.; International Society for Clinical Electrophysiology of Vision. ISCEV Standard for full-field clinical electroretinography (2008 update). Doc. Ophthalmol. 2009, 118, 69–77. [Google Scholar] [CrossRef] [PubMed]
- McCulloch, D.L.; Marmor, M.F.; Brigell, M.G.; Hamilton, R.; Holder, G.E.; Tzekov, R.; Bach, M. ISCEV Standard for full-field clinical electroretinography (2015 update). Doc. Ophthalmol. 2015, 130, 1–12. [Google Scholar] [CrossRef] [PubMed]
- Hood, D.C.; Bach, M.; Brigell, M.; Keating, D.; Kondo, M.; Lyons, J.S.; Marmor, M.F.; McCulloch, D.L.; Palmowski-Wolfe, A.M.; International Society for Clinical Electrophysiology of Vision. ISCEV standard for clinical multifocal electroretinography (mfERG) (2011 edition). Documenta ophthalmologica. Adv. Ophthalmol. 2012, 124, 1–13. [Google Scholar]
- Ziccardi, L.; Cioffi, E.; Barbano, L.; Gioiosa, V.; Falsini, B.; Casali, C.; Parisi, V. Macular Morpho-Functional and Visual Pathways Functional Assessment in Patients with Spinocerebellar Type 1 Ataxia with or without Neurological Signs. J. Clin. Med. 2021, 10, 5271. [Google Scholar] [CrossRef] [PubMed]
- Ziccardi, L.; Parisi, V.; Picconi, F.; Di Renzo, A.; Lombardo, M.; Frontoni, S.; Parravano, M. Early and localized retinal dysfunction in patients with type 1 diabetes mellitus studied by multifocal electroretinogram. Acta Diabetol. 2018, 55, 1191–1200. [Google Scholar] [CrossRef]
- Parisi, V.; Ziccardi, L.; Costanzo, E.; Tedeschi, M.; Barbano, L.; Manca, D.; Di Renzo, A.; Giorno, P.; Varano, M.; Parravano, M. Macular Functional and Morphological Changes in Intermediate Age-Related Maculopathy. Invest. Ophthalmol. Vis. Sci. 2020, 61, 11. [Google Scholar] [CrossRef] [PubMed]
- Richards, S.; Aziz, N.; Bale, S.; Bick, D.; Das, S.; Gastier-Foster, J.; Grody, W.W.; Hegde, M.; Lyon, E.; Spector, E.; et al. Laboratory Quality Assurance Committee. Standards and guidelines for the interpretation of sequence variants: A joint consensus recommendation of the American College of Medical Genetics and Genomics and the Association for Molecular Pathology. Genet. Med. Off. J. Am. Coll. Med. Genet. 2015, 17, 405–424. [Google Scholar]
- Fakin, A.; Zupan, A.; Glavač, D.; Hawlina, M. Combination of retinitis pigmentosa and hearing loss caused by a novel mutation in PRPH2 and a known mutation in GJB2: Importance for differential diagnosis of Usher syndrome. Vis. Res. 2012, 75, 71–76. [Google Scholar] [CrossRef]
- Xu, J.; Li, K.; Zheng, B.; Dai, H. Treatment and longitudinal follow-up of CNV associated with pattern dystrophy with novel PRPH2 variant. Ophthalmic Genet. 2021, 42, 768–772. [Google Scholar] [CrossRef] [PubMed]
- Lee, C.S.; Leys, M. A Family Affected by Novel C213W Mutation in PRPH2: Long-Term Follow-Up of CNV Secondary to Pattern Dystrophy. Ophthalmic Surg. Lasers Imaging Retin. 2020, 51, 354–362. [Google Scholar] [CrossRef]
- Buccitelli, C.; Selbach, M. mRNAs, proteins and the emerging principles of gene expression control. Nat. Rev. Genet. 2020, 21, 630–644. [Google Scholar] [CrossRef] [PubMed]
- Campello, L.; Singh, N.; Advani, J.; Mondal, A.K.; Corso-Díaz, X.; Swaroop, A. Aging of the Retina: Molecular and Metabolic Turbulences and Potential Interventions. Annu. Rev. Vis. Sci. 2021, 7, 633–664. [Google Scholar] [CrossRef] [PubMed]
- Arnold, J.J.; Sarks, J.P.; Killingsworth, M.C.; Kettle, E.K.; Sarks, S.H. Adult vitelliform macular degeneration: A clinicopathological study. Eye 2003, 17, 717–726. [Google Scholar] [CrossRef] [PubMed]
- Campos, S.H.; Forjaz, V.; Kozak, L.R.; Silva, E.; Castelo-Branco, M. Quantitative phenotyping of chromatic dysfunction in best macular dystrophy. Arch. Ophthalmol. 2005, 123, 944–949. [Google Scholar] [CrossRef] [PubMed]
- Ba-Abbad, R.; Robson, A.G.; Yap, Y.C.; Moore, A.T.; Webster, A.R.; Holder, G.E. Prph2 mutations as a cause of electronegative ERG. Retina 2014, 34, 1235–1243. [Google Scholar] [CrossRef]
- Downes, S.M.; Fitzke, F.W.; Holder, G.E.; Payne, A.M.; Bessant, D.A.; Bhattacharya, S.S.; Bird, A.C. Clinical features of codon 172 RDS macular dystrophy: Similar phenotype in 12 families. Arch Ophthalmol. 1999, 117, 1373–1383. [Google Scholar] [CrossRef]
- Duncan, J.L.; Talcott, K.E.; Ratnam, K.; Sundquist, S.M.; Lucero, A.S.; Day, S.; Zhang, Y.; Roorda, A. Cone structure in retinal degeneration associated with mutations in the peripherin/RDS gene. Investig. Ophthalmol. Vis. Sci. 2011, 52, 1557–1566. [Google Scholar] [CrossRef]
- Schatz, P.; Abrahamson, M.; Eksandh, L.; Ponjavic, V.; Andréasson, S. Macular appearance by means of OCT and electrophysiology in members of two families with different mutations in RDS (the peripherin/RDS gene). Acta Ophthalmol. Scand. 2003, 81, 500–507. [Google Scholar] [CrossRef]
- Falfoul, Y.; Matri, K.E.; Habibi, I.; Halouani, S.; Chebil, A.; Schorderet, D.; El Matri, L. OCT-angiography assessing quiescent and active choroidal neovascularization in retinitis pigmentosa associated with PRPH2 pathogenic variant. Eur. J. Ophthalmol. 2021, 32, NP98–NP102. [Google Scholar] [CrossRef]
- Duncker, T.; Tsang, S.H.; Woods, R.L.; Lee, W.; Zernant, J.; Allikmets, R.; Delori, F.C.; Sparrow, J.R. Quantitative Fundus Autofluorescence and Optical Coherence Tomography in PRPH2/RDS- and ABCA4-Associated Disease Exhibiting Phenotypic Overlap. Investig. Ophthalmol. Vis. Sci. 2015, 56, 3159–3170. [Google Scholar] [CrossRef] [PubMed]



| Patient | Gender | Age at Examination | Age at Disease Onset | Symptoms at Onset | BCVA at Last Visit RE; LE | Chromatic Test (Ishihara Charts) in OU | Visual Field in OU | Scotopic ffERG a-b Wave Amplitude in OU | Flicker 30 Hz Amplitude in OU | mfERG RAD in OU |
|---|---|---|---|---|---|---|---|---|---|---|
| F1-III-8 | F | 45 | 29 | metamorphopsia | 20/20; 20/20 | normal | blind spot enlargement (I/4) | normal | reduced | normal in all rings |
| F1-II-4 | M | 74 | 66 | visual acuity reduction | Counting fingers; 20/32 | pathologic | central scotoma (III/4) | reduced | reduced | reduced in all rings |
| F1-II-3 | M | 68 | 60 | visual acuity reduction | 20/400; 20/40 | pathologic | central scotoma (V/4) | reduced | reduced | reduced in all rings |
| F1-III-5 | M | 44 | 45 | visual acuity reduction, metamorphopsia | 20/20; 20/20 | NA | normal | normal | normal | normal in all rings |
| F2-III-7 | M | 44 | 38 | photophobia, difficulty dark adaptation | 20/20; 20/20 | normal | ring scotoma (I/3) | reduced | reduced | normal in all rings |
| F2-III-5 | M | 39 | 36 | photophobia | 20/20; 20/20 | normal | peripheral restriction (I/4) | reduced | reduced | reduced in all rings |
| F2-II-4 | M | 79 | 35 | visual acuity reduction and photophobia | light perception; 20/25 | pathologic | peripheral restriction (V/4) | reduced | reduced | NA |
| F2-II-3 | M | 70 | 30 | photophobia | 20/20; 20/20 | normal | blind spot enlargement (I/4) | reduced | reduced | reduced in all rings |
| F2-IV-2 | F | 37 | 34 | difficulty dark adaptation | 20/20; 20/20 | normal | normal | reduced | normal | reduced R1 and R3 in OU |
| F2-IV-1 | F | 41 | 33 | metamorphopsia | 20/20; 20/20 | normal | peripheral restriction (I/2) | normal | normal | reduced in R1-R2 |
| F2-III-2 | F | 66 | 30 | metamorphopsia | 20/20; 20/20 | pathologic | ring scotoma (III/4) | reduced | reduced | reduced in all rings |
| F3-I-2 | F | 73 | 40 | photophobia | counting fingers; 20/50 | pathologic | NA | reduced | reduced | reduced in all rings |
| F3-II-1 | F | 50 | / | casual finding | 20/20; 20/20 | normal | normal | normal | normal | normal in all rings |
| F3-II-2 | M | 53 | 42 | visual acuity reduction | 20/20; 20/20 | normal | blind spot enlargement (I/2) | normal | normal | reduced in all rings |
| F4-III-1 | F | 57 | / | casual finding | 20/28; 20/20 | pathologic | NA | normal | normal | reduced R1-R3 |
| F4-III-3 | M | 52 | 43 | difficulty dark adaptation, visual acuity reduction | 20/200; 20/40 | pathologic | peripheral restriction (I/4) | reduced | reduced | reduced in all rings |
| F5-II-1 | M | 69 | 65 | casual finding | 20/20; 20/20 | normal | central scotoma (I/4) | reduced | reduced | reduced R2-R5 |
| F6-III-1 | M | 60 | 30 | casual finding | 20/28; 20/28 | normal | NA | reduced | reduced | reduced in all rings |
| F7-II-3 | F | 60 | / | casual finding | 20/20; 20/20 | normal | ring scotoma (I/4) | normal | normal | reduced R1-R2 |
| F8-II-1 | F | 56 | 40 | difficulty dark adaptation, | 20/50, 20/66 | normal | central scotoma (I/2) | normal | normal | reduced R1 |
| F9-II-1 | F | 70 | 20 | visual acuity reduction and photophobia | 20/32; 20/200 | normal | central scotoma and peripheral restriction (I/4) | reduced | reduced | reduced R1-R2 |
| F9-II-6 | F | 74 | 63 | visual acuity reduction | light perception; 20/40 | pathologic | central scotoma and peripheral restriction (III/4) | reduced | reduced | reduced in all rings |
| F9-II-7 | M | 62 | 55 | casual finding | 20/20; 20/20 | normal | normal | normal | normal | reduced in all rings |
| F9-II-5 | F | 63 | 40 | difficulty dark adaptation, | 20/200; 20/32 | pathologic | central scotoma (III/4) | normal | normal | reduced in all rings |
| F9-II-4 | M | 65 | 40 | difficulty dark adaptation, metamorphopsia | 20/63; 20/25 | normal | ring scotoma (I/4) | normal | normal | reduced in all rings |
| F9-II-2 | m | 68 | 50 | visual acuity reduction | 20/400; 20/400 | pathologic | peripheral restriction (V/4) | reduced | reduced | reduced in all rings |
| F10-III-2 | F | 37 | 16 | difficulty dark adaptation, | 20/20; 20/32 | normal | peripheral restriction (I/3) | reduced | reduced | reduced R3-R5 |
| F11-II-1 | F | 48 | 45 | visual acuity reduction | 20/20. 20/20 | normal | NA | normal | normal | reduced in all rings |
| Patient | Fundus Aspect | Phenotype | FAF | SD-OCT | Evidence of CNV |
|---|---|---|---|---|---|
| F1-III-8 | Simil-flecks lesions in mid-periphery along vascular arcades | PDSFF | Macular hypo-AF with speckled hyper-AF in the macular and mid-periphery associated with hypo-AF due to plaques atrophy in the mid-periphery | Hyper-reflective deposit above the RPE in the parafoveal region. EZ and ELM preservation in foveal and parafoveal region | No |
| F1-II-4 | Diffuse chorioretinal atrophy, small trophic area in fovea in LE | ECA | Hypo-AF at the atrophic area extended in macular region and mid-periphery, involving the optic disc, speckled hyper-AF in the mid-periphery | Vitreo-macular adhesion. Disruption of the EZ and ELM in the parafoveal area with sparing of foveal region | No |
| F1-II-3 | Chorioretinal atrophy with pigment dispersion along vascular arcades | ECA | Macular hypo-AF with speckled hyper-AF in the mid-periphery associated with hypo-AF due to plaques atrophy in the macula and mid-periphery | Vitreo-macular adhesion. Outer retinal atrophy of the macular region and choroidal hyper-reflectivity by window defect at the posterior pole and rarefaction of EZ and ELM and ORT in parafoveal region in RE. Disruption of the EZ and ELM in the parafoveal area with partial sparing of foveal region in LE | No |
| F1-III-5 | Slight rehash in macula | AVMD | Parafoveal hyper-AF in RE. Macular hypo-AF with speckled hyper-AF in the macula in LE | Hyper-reflective deposit above the RPE in the foveal and parafoveal region | No |
| F2-III-7 | Yellowish stippling in the periphery | AVMD | Macular hypo-AF with speckled hyper-AF in the mid-periphery | Hyper-reflective deposit above the RPE in the foveal and parafoveal region | No |
| F2-III-5 | Slightly rehash in macula in LE | RP | Normal-AF of macula and mid-periphery in RE. Speckled hyper-AF in peripapillary region in LE | Normal profile and reflectivity of the inner and outer retinal layers and of RPE-CC complex | No |
| F2-II-4 | Peripapillary chorioretinal atrophy with mid- and peripheral dystrophy | ECA | Macular hypo-AF with hyper-AF island in the parafoveal region Hypo-AF due to plaques atrophy in the mid-periphery | Foveal hyper-reflective lesion with ORT due to MNV scar n RE. Outer retinal atrophy of the macular region and choroidal hyper-reflectivity by window defect at the posterior pole in LE | CNV in RE |
| F2-II-3 | Lipofuscin deposits in macula | PDSFF | Macular hypo-AF with speckled hyper-AF in the mid-periphery and granular hypo-AF in one sector (inferior) of the peripheral region | SDD/reticular pseudodrusen with rarefaction of EZ and ELM in foveal and parafoveal region | No |
| F2-IV-2 | Many points of altered pigmentation at the posterior pole and outside vascular arcades | PDSFF | Macular hypo-AF with speckled hyper-AF and hyper-AF flecks at the posterior pole and mid-periphery | SDD/reticular pseudodrusen with rarefaction of EZ in foveal and parafoveal region | No |
| F2-IV-1 | Small lipofuscin deposit near the fovea | PD | Focal hyper-AF in the parafoveal region | SDD/reticular pseudodrusen with rarefaction of EZ in foveal and parafoveal region | No |
| F2-III-2 | Macular atrophy and altered pigmentation in the periphery | PDSFF | Macular hypo-AF with speckled hyper-AF and hyper-AF flecks at the posterior pole and mid-periphery in OU, hypo-AF due to plaques atrophy in the parafoveal regions in RE | Disruption of the EZ and ELM in the parafoveal area with sparing of foveal region in OU. In RE area of retinal atrophy in parafoveal region | No |
| F3-I-2 | Diffuse areas of chorioretinal atrophy at the posterior pole and in mid periphery | ECA | Hypo-AF due to plaques atrophy in the macula and mid-periphery (RE > LE), associated with macular hypo-AF with speckled hyper-AF in the mid-periphery | Outer retinal atrophy of the macular region and choroidal hyper-reflectivity by window defect at the posterior pole in RE. Hyper-reflective deposit above the RPE in the foveal region followed by outer retinal atrophy of the macular region in LE | CNV in LE |
| F3-II-1 | Lipofuscin deposits in LE | PD | Macular hypo-AF in macular region in BE with focal hyper-AF in the parafoveal region in LE | SDD/reticular pseudodrusen with rarefaction of EZ in parafoveal region | No |
| F3-II-2 | Lipofuscin deposits with RPE rehash in macula | AVMD | Macular hypo-AF with hyper-AF flecks at the posterior pole | SDD/reticular pseudodrusen with rarefaction of EZ in parafoveal region | No |
| F4-III-1 | SlightRPE rehash in macula | PD | Focal hyper-AF in the parafoveal region in RE | SDD/reticular pseudodrusen with rarefaction of EZ in foveal and parafoveal region | No |
| F4-III-3 | Stippling outside vascular arcades | PDSFF | Macular hypo-AF at the atrophic macular area with speckled hyper-AF and hyper-AF flecks at the posterior pole and mid-periphery | Outer retinal atrophy of the macular region with choroidal hyper-reflectivity by window defect. Disruption of the EZ and ELM in the parafoveal region | No |
| F5-II-1 | Stippling inside and outside vascular arcades | PDSFF | Macular hypo-AF with speckled hyper-AF and hyper-AF flecks at the posterior pole and mid-periphery | Disruption of the EZ and ELM in the parafoveal area with sparing of foveal region | No |
| F6-III-1 | Pigment dispersion in the periphery | RP | Macular hypo-AF in macular region and granular hypo-FA in the mid-periphery | ERM, Disruption of the EZ and ELM in the macular and extramacular region (out of the posterior pole) | No |
| F7-II-3 | Macular dystrophy | MD | Macular hypo-AF with speckled hyper- and hypo-AF at the posterior pole | Disruption of the EZ and ELM in the parafoveal area with sparing of foveal region SDD/reticular pseudodrusen with rarefaction of EZ in parafoveal region. | No |
| F8-II-1 | Chorioretinal atrophy in macula with peripheral rehash | CACD | Macular hypo-AF at the atrophic macular area with speckled hyper-AF and hyper-AF flecks at the posterior pole and mid-periphery | Disruption of the EZ and ELM limited to the foveal region with outer retinal atrophy of the macular region and choroidal hyper-reflectivity by window defect | No |
| F9-II-1 | RPE rehash in macula | RP | Normal-AF of macula and mid-periphery in RE. Speckled hyper-AF in peripapillary region in LE | Normal profile and reflectivity of the inner and outer retinal layers and of RPE-CC complex | No |
| F9-II-6 | Pigment dispersion in the periphery, fibrotic scar in RE | MD | Macular hypo-AF with speckled hyper-AF and hyper-AF flecks at the posterior pole and mid-periphery | Disruption of the EZ and ELM in the parafoveal area with sparing of foveal region. SDD/reticular pseudodrusen with rarefaction of EZ in parafoveal region | No |
| F9-II-7 | Pigment dispersion in the periphery | RP | Normal-AF of macula and mid-periphery in RE. Speckled hyper-AF in peripapillary region in LE | Normal profile and reflectivity of the inner and outer retinal layers and of RPE-CC complex | No |
| F9-II-5 | Rehash of RPE in macula | PD | Hypo-AF due to fibrotic plaque in RE, focal hyper-AF in the parafoveal region | SDD/reticular pseudodrusen with rarefaction of EZ in foveal and parafoveal region, foveal hyper-reflective lesion due to CNV scar in RE | CNV in RE |
| F9-II-4 | Rehash of RPE in macula | PD | Focal hyper-AF in the parafoveal region | SDD/reticular pseudodrusen with rarefaction of EZ in foveal and parafoveal region, lifting of RPE in LE | CNV in LE |
| F9-II-2 | Rehash of RPE in macula and MNV in RE | CACD | Macular hypo-AF with hyper-AF in the foveal region in RE. Hypo-AF due to plaques atrophy in LE | Foveal hyper-reflective lesion with ORT due to MNV scar n RE. Disruption of the EZ and ELM limited to the foveal region with outer retinal atrophy and choroidal hyper-reflectivity by window defect in LE | CNV in RE |
| F10-III-2 | Stippling of the posterior pole | RP | Hyper-AF ring that delineates the posterior pole with granular hypo-FA in the mid-periphery | Disruption of the EZ and ELM in the extramacular region (out of the posterior pole) | No |
| F11-II-1 | Rehash of RPE in macula | PD | Focal hyper-AF in the parafoveal region | SDD/reticular pseudodrusen with rarefaction of EZ in foveal and parafoveal region. | No |
| Family | PRPH2 Gene Mutation | Inheritance | Clinical Significance | Mutation Type | Accession Number | Global Allele Frequency | Genetic Modifiers | Phenotypes of Our Patients |
|---|---|---|---|---|---|---|---|---|
| Family 1 (4 patients) | NM_000322.4: c.499G > A; p.(Gly167Ser) | AD | Pathogenic * | Missense | rs527236098 | ƒ = 0.00000756 | None | F1-III-8 PDSFF F1-II-3,4 ECA F1-III-5 AVMD |
| Family 2 (8 patients) | c.290G > A; Trp97* | AD | Pathogenic ^ | Nonsense | / | / | None | F2-III-7 AVMD F2-II-4 ECA F2-II-3 PDSFF F2-IV-2 PDSFF F2-IV-1 PD F2-III-2 PDSFF F2-III-5 RP |
| Family 3 (3 patients) | NM_000322.4: c.499G > A; p.(Gly167Ser) | AD | Pathogenic * | Missense | rs527236098 | ƒ = 0.00000756 | None | F3-II-1 PD F3-II-2 AVMD F3-I-2 ECA |
| Family 4 (2 patients) | NM_000322.4: c.734dup; p. (Trp246Valfs*55) | AD | Pathogenic | Frameshift | / | / | ABCA4 c.5882G > A; Gly1961Glu | F4-III-1 PD F4-III-3 PDSFF |
| Family 5 (1 patient) | NM_000322.4: c.499G > A; p.(Gly167Ser) | / | Pathogenic * | Missense | rs527236098 | ƒ = 0.00000756 | None | F5-II-1 PDSFF |
| Family 6 (1 patient) | NM_000322: c.136C > T; p.(Arg46*) | / | Pathogenic § | Missense | rs139185976 | ƒ = 0.0000159 | None | F6-III-1 RP |
| Family 7 (1 patient) | NM_000322.5: c.623G > A; p.(Gly208Asp) | / | Pathogenic # | Missense | rs139185976 | ƒ = 0.0000477 | PROM1 Nonsense rs780697796c c.436C > T Arg146* | F7-II-3 MD |
| Family 8 (1 patient) | NM_000322.5; c.734dup; p. (Trp246Valfs*55) | / | Pathogenic | Frameshift | Unknown | / | ABCA4; c.514G > A; Gly172Ser: Missense rs61748532; AR | F8-II-1 CACD |
| Family 9 (7 patients) | NM_000322.4: c.499G > A; p.(Gly167Ser) | AD | Pathogenic * | Missense | rs527236098 | ƒ = 0.00000756 | ABCA4; c.5603A > T; Asn1868Ile; Missense; rs1801466; AR | F9-II-1,7 RP F9-II-6 MD F9-II-4,5 PD F9-II-2, CACD |
| Family 10 (1 patient) | NM_000322.5 c.903del; p. (Ser301ARGfs*23) | AD | Likely pathogenic | Frameshift | Unknown | / | ABCA4; c.6148G > C; Val2050Leu; Missense; rs41292677; AR | F10-III-2 RP |
| Family 11 (1 patient) | NM_000322: c.742C > A; p.(Arg248Ser) | / | Likely pathogenic | Missense | Unknown | / | None | F11-II-1 PD |
Publisher’s Note: MDPI stays neutral with regard to jurisdictional claims in published maps and institutional affiliations. |
© 2022 by the authors. Licensee MDPI, Basel, Switzerland. This article is an open access article distributed under the terms and conditions of the Creative Commons Attribution (CC BY) license (https://creativecommons.org/licenses/by/4.0/).
Share and Cite
Antonelli, G.; Parravano, M.; Barbano, L.; Costanzo, E.; Bertelli, M.; Medori, M.C.; Parisi, V.; Ziccardi, L. Multimodal Study of PRPH2 Gene-Related Retinal Phenotypes. Diagnostics 2022, 12, 1851. https://doi.org/10.3390/diagnostics12081851
Antonelli G, Parravano M, Barbano L, Costanzo E, Bertelli M, Medori MC, Parisi V, Ziccardi L. Multimodal Study of PRPH2 Gene-Related Retinal Phenotypes. Diagnostics. 2022; 12(8):1851. https://doi.org/10.3390/diagnostics12081851
Chicago/Turabian StyleAntonelli, Giulio, Mariacristina Parravano, Lucilla Barbano, Eliana Costanzo, Matteo Bertelli, Maria Chiara Medori, Vincenzo Parisi, and Lucia Ziccardi. 2022. "Multimodal Study of PRPH2 Gene-Related Retinal Phenotypes" Diagnostics 12, no. 8: 1851. https://doi.org/10.3390/diagnostics12081851
APA StyleAntonelli, G., Parravano, M., Barbano, L., Costanzo, E., Bertelli, M., Medori, M. C., Parisi, V., & Ziccardi, L. (2022). Multimodal Study of PRPH2 Gene-Related Retinal Phenotypes. Diagnostics, 12(8), 1851. https://doi.org/10.3390/diagnostics12081851

