Extranodal Biphenotypic Non-Hodgkin Lymphoma of the Popliteal Cavity: A Case Report and Review of Literature
Abstract
1. Introduction
2. Materials and Methods
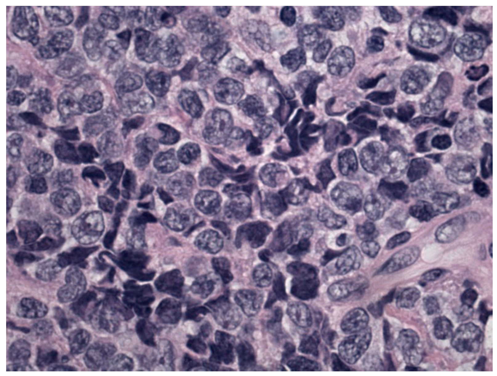
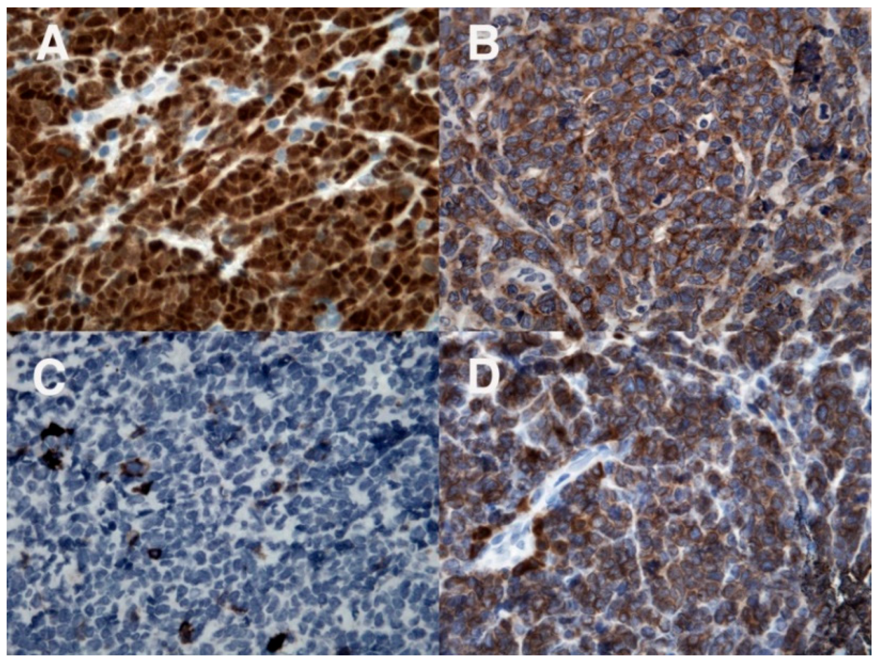
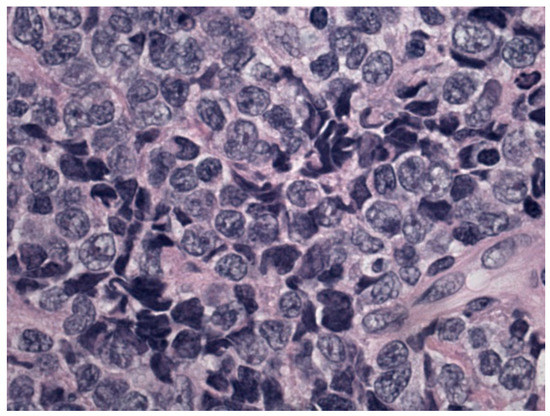
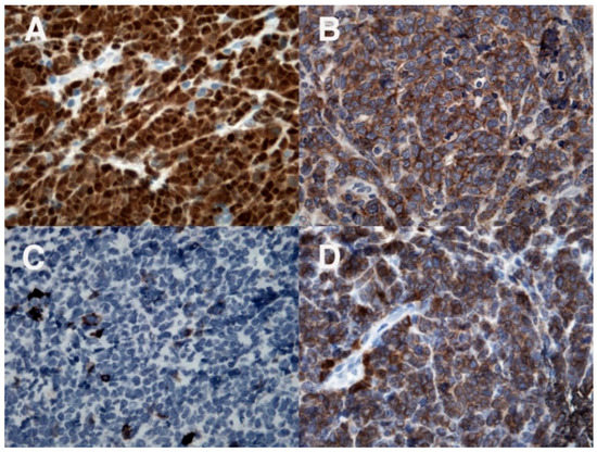
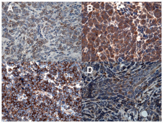
3. Case Presentation
4. Discussion
5. Conclusions
Author Contributions
Funding
Institutional Review Board Statement
Informed Consent Statement
Data Availability Statement
Acknowledgments
Conflicts of Interest
References
- Zucca, E.; Roggero, E.; Bertoni, F.; Cavalli, F. Primary extranodal non-Hodgkin’s lymphomas. Part 1: Gastrointestinal, cutaneous and genitourinary lymphomas. Ann. Oncol. 1997, 8, 727–737. [Google Scholar] [CrossRef]
- Zucca, E.; Roggero, E.; Bertoni, F.; Conconi, A.; Cavalli, F. Primary extranodal non-Hodgkin’s lymphomas. Part 2: Head and neck, central nervous system and other less common sites. Ann. Oncol. 1999, 10, 1023–1033. [Google Scholar] [CrossRef] [PubMed]
- Travis, W.D.; Banks, P.M.; Reiman, H.M. Primary extranodal soft tissue lymphoma of the extremities. Am. J. Surg. Pathol. 1987, 11, 359–366. [Google Scholar] [CrossRef] [PubMed]
- Salamao, D.R.; Nascimento, A.G.; Lloyd, R.V.; Chen, M.G.; Habermann, T.M.; Strickler, J.G. Lymphoma in soft tissue: A clinicopathologic study of 19 cases. Hum. Pathol. 1996, 27, 253–257. [Google Scholar] [CrossRef] [PubMed]
- Derenzini, E.; Casadei, B.; Pellegrini, C.; Argnani, L.; Pileri, S.; Zinzani, P.L. Non-hodgkin lymphomas presenting as soft tissue masses: A single center experience and meta-analysis of the published series. Clin. Lymphoma Myeloma Leuk. 2013, 13, 258–265. [Google Scholar] [CrossRef]
- Bisio, V.; Zampini, M.; Tregnago, C.; Manara, E.; Salsi, V.; Di Meglio, A.; Masetti, R.; Togni, M.; Di Giacomo, D.; Minuzzo, S.; et al. NUP98-fusion transcripts characterize different biological entities within acute myeloid leukemia: A report from the AIEOP-AML group. Leukemia 2017, 31, 974–977. [Google Scholar] [CrossRef] [PubMed]
- Pession, A.; Masetti, R.; Rizzari, C.; Putti, M.C.; Casale, F.; Fagioli, F.; Luciani, M.; Lo Nigro, L.; Menna, G.; Micalizzi, C.; et al. Results of the AIEOP AML 2002/01 multicenter prospective trial for the treatment of children with acute myeloid leukemia. Blood 2013, 122, 170–178. [Google Scholar] [CrossRef] [PubMed]
- Pigazzi, M.; Manara, E.; Bisio, V.; Aveic, S.; Masetti, R.; Menna, G.; Zecca, M.; Pession, A.; Locatelli, F.; Basso, G. Screening of novel genetic aberrations in pediatric acute myeloid leukemia: A report from the AIEOP AML-2002 study group. Blood 2012, 120, 3860–3862. [Google Scholar] [CrossRef] [PubMed][Green Version]
- Borowitz, M.J.; Bene, M.C.; Harris, N.L.; Porwit, A.; Matutes, E. Acute leukemias of ambiguous lineage. In WHO Classification of Tumours of Haematopoietic and Lymphoid Tissues; Swerdlow, S.H., Campo, E., Harris, N.L., Jaffe, E.S., Pileri, S.A., Stein, H., Thiele, J., Eds.; IARC Press: Lyon, France, 2017. [Google Scholar]
- Yang, J.; Zhang, F.; Fang, H.; Ye, Z.; Lin, S.; Han, A. Clinicopathologic features of primary lymphoma in soft tissue. Leuk. Lymphoma 2010, 51, 2039–2046. [Google Scholar] [CrossRef]
- Winter, S.S.; Duncan, M.H.; Foucar, E.; McConnell, T.S.; Cartwright, K.C. Childhood Ki-1 lymphoma: Presentation as a buttock mass. Am. J. Pediatr. Hematol. Oncol. 1991, 13, 334–337. [Google Scholar] [CrossRef]
- Evans, G.R.; King, J.C.; McGinnis, M.R.; Wilgis, E.F. Primary non-Hodgkin’s lymphoma presenting in the upper extremity: A case report. J. Hand Surg. Am. 1993, 18, 612–614. [Google Scholar] [CrossRef]
- Chew, F.S.; Schellingerhout, D.; Keel, S.B. Primary lymphoma of skeletal muscle. AJR Am. J. Roentgenol. 1999, 172, 1370. [Google Scholar] [CrossRef][Green Version]
- Ishii, E.; Honda, K.; Nakagawa, A.; Urago, K.; Oshima, K. Primary CD30/Ki-1 positive anaplastic large cell lymphoma of skeletal muscle with der(17)t(1;17)(q11;p11). Cancer Genet. Cytogenet. 2000, 122, 116–120. [Google Scholar] [CrossRef]
- Menon, B.S.; Maziah, W.; Samarendra, M.; Toha, A. Pathological case of the month. Ki-1-positive anaplastic large cell lymphoma involving muscle. Arch. Pediatr. Adolesc. Med. 2001, 155, 411–412. [Google Scholar] [CrossRef][Green Version]
- Driss, M.; Abbes, I.; Mrad, K.; Sassi, S.; Oubich, F.; Barsaoui, S.; Romdhane, K.B. Primary CD30/ALK-1 positive anaplastic large cell lymphoma of the skeletal muscle in a child. Pathologica 2009, 101, 97–100. [Google Scholar]
- Wu, L.; Wang, Y.; Fu, S.L.; Huang, L.; Tongji, F.C.; Qi, J.Y. Anaplastic large cell lymphoma with primary involvement of skeletal muscle: A rare case report and review of the literature. Pediatr. Hematol. Oncol. 2009, 26, 142–149. [Google Scholar] [CrossRef] [PubMed]
- Rekhi, B.; Sridhar, E.; Viswanathan, S.; Shet, T.M.; Jambhekar, N.A. ALK+ anaplastic large cell lymphoma with cohesive, perivascular arrangements on cytology, mimicking a soft tissue sarcoma: A report of 2 cases. Acta Cytol. 2010, 54, 75–78. [Google Scholar] [CrossRef]
- Gaiser, T.; Geissinger, E.; Schattenberg, T.; Scharf, H.P.; Dürken, M.; Dinter, D.; Rosenwald, A.; Marx, A. Case report: A unique pediatric case of a primary CD8 expressing ALK-1 positive anaplastic large cell lymphoma of skeletal muscle. Diagn. Pathol. 2012, 7, 38. [Google Scholar] [CrossRef]
- Kounami, S.; Shibuta, K.; Yoshiyama, M.; Mitani, Y.; Watanabe, T.; Takifuji, K.; Yoshikawa, N. Primary anaplastic large cell lymphoma of the psoas muscle: A case report and literature review. Acta Haematol. 2012, 127, 186–188. [Google Scholar] [CrossRef]
- Pasricha, S.; Gandhi, J.S.; Gupta, G.; Mehta, A. Small cell variant of anaplastic large cell lymphoma presenting as arm mass in a child: A rare entity with diagnostic challenge. J. Cancer Res. Ther. 2013, 9, 317–319. [Google Scholar] [CrossRef]
- Gupta, D.; Vishwajeet, V.; Ramzan, M.; Elhence, P.A. ALK-positive anaplastic large cell lymphoma of skeletal muscle masquerading as soft tissue sarcoma. BMJ Case Rep. 2022, 15, e245685. [Google Scholar] [CrossRef] [PubMed]
- Mussolin, L.; Le Deley, M.C.; Carraro, E.; Damm-Welk, C.; Attarbaschi, A.; Williams, D.; Burke, A.; Horibe, K.; Nakazawa, A.; Wrobel, G.; et al. Prognostic Factors in Childhood Anaplastic Large Cell Lymphoma: Long Term Results of the International ALCL99 Trial. Cancers 2020, 12, 2747. [Google Scholar] [CrossRef]
- McGahey, B.E.; Moriarty, A.T.; Nelson, W.A.; Hull, M.T. Fine-needle aspiration biopsy of small round blue cell tumors of childhood. Cancer 1992, 69, 1067–1073. [Google Scholar] [CrossRef] [PubMed]
- Ozdemirli, M.; Fanburg-Smith, J.C.; Hartmann, D.P.; Shad, A.T.; Lage, J.M.; Magrath, I.T.; Azumi, N.; Harris, N.L.; Cossman, J.; Jaffe, E.S. Precursor B-Lymphoblastic lymphoma presenting as a solitary bone tumor and mimicking Ewing’s sarcoma: A report of four cases and review of the literature. Am. J. Surg. Pathol. 1998, 22, 795–804. [Google Scholar] [CrossRef]
- Folpe, A.L.; Hill, C.E.; Parham, D.M.; O’Shea, P.A.; Weiss, S.W. Immunohistochemical detection of FLI-1 protein expression: A study of 132 round cell tumors with emphasis on CD99-positive mimics of Ewing’s sarcoma/primitive neuroectodermal tumor. Am. J. Surg. Pathol. 2000, 24, 1657–1662. [Google Scholar] [CrossRef]
- Magro, G.; Longo, F.R.; Angelico, G.; Spadola, S.; Amore, F.F.; Salvatorelli, L. Immunohistochemistry as potential diagnostic pitfall in the most common solid tumors of children and adolescents. Acta Histochem. 2015, 117, 397–414. [Google Scholar] [CrossRef]
- Ozdemirli, M.; Fanburg-Smith, J.C.; Hartmann, D.P.; Azumi, N.; Miettinen, M. Differentiating lymphoblastic lymphoma and Ewing’s sarcoma: Lymphocyte markers and gene rearrangement. Mod. Pathol. 2001, 14, 1175–1182. [Google Scholar] [CrossRef][Green Version]
- Lucas, D.R.; Bentley, G.; Dan, M.E.; Tabaczka, P.; Poulik, J.M.; Mott, M.P. Ewing sarcoma vs lymphoblastic lymphoma. A comparative immunohistochemical study. Am. J. Clin. Pathol. 2001, 115, 11–17. [Google Scholar] [CrossRef]
- Burkhardt, B.; Hermiston, M.L. Lymphoblastic lymphoma in children and adolescents: Review of current challenges and future opportunities. Br. J. Haematol. 2019, 185, 1158–1170. [Google Scholar] [CrossRef]
- Oschlies, I.; Burkhardt, B.; Chassagne-Clement, C.; d’Amore, E.S.; Hansson, U.; Hebeda, K.; Mc Carthy, K.; Kodet, R.; Maldyk, J.; Müllauer, L.; et al. Diagnosis and immunophenotype of 188 pediatric lymphoblastic lymphomas treated within a randomized prospective trial: Experiences and preliminary recommendations from the European childhood lymphoma pathology panel. Am. J. Surg. Pathol. 2011, 35, 836–844. [Google Scholar] [CrossRef]
- Al-Seraihy, A.S.; Owaidah, T.M.; Ayas, M.; El-Solh, H.; Al-Mahr, M.; Al-Ahmari, A.; Belgaumi, A.F. Clinical characteristics and outcome of children with biphenotypic acute leukemia. Haematologica 2009, 94, 1682–1690. [Google Scholar] [CrossRef] [PubMed]




| Drug | Dose |
|---|---|
| Phase IA-IDA days 1–30 | |
| Prednisone | 60 mg/m2 orally days 1–30 ° |
| Vincristine | 1.5 mg/m2 IV days 1, 8, 15, 22 |
| Idarubicin | 6 mg/m2 IV days 1, 8, 15, 22 |
| L-Asparaginase | 10,000 UI/m2 IM days 5, 8, 11, 14, 17, 20, 23, 26 |
| R2 block days 1–6 | |
| Dexamethasone | 20 mg/m2 orally days 1–5 |
| 6-Thioguanine | 100 mg/m2 orally days 1–5 |
| Vindesine | 3 mg/m2 IV day 1 |
| High-dose Methotrexate | 1 g/m2 IV (36 h) day 1 |
| Ifosfamide | 400 mg/m2 IV (1 h) days 1–5 |
| Daunorubicin | 35 mg/m2 IV (24 h) day 5 |
| L-Asparaginase | 10,000 UI/m2 IM day 6 |
| R1 block days 1–6 | |
| Dexamethasone | 20 mg/m2 orally days 1–5 |
| 6-Mercaptopurine | 100 mg/m2 orally days 1–5 |
| Vincristine | 1.5 mg/m2 IV days 1 and 6 |
| High-dose Methotrexate | 1 g/m2 IV (36 h) day 1 |
| High-dose Cytarabine | 2 g/m2 IV (3 h), two doses 12 h apart, day 5 |
| L-Asparaginase | 10,000 UI/m2 IM day 6 |
| Maintenance treatment * | |
| Methotrexate | 20 mg/m2/week orally |
| 6-Mercaptopurine | 50 mg/m2/day orally |
| Reference | Age/Sex | Primary Site | Histology | Therapy | Follow-Up |
|---|---|---|---|---|---|
| Winter et al. (1991) [11] | 8 y/M | Buttock | ALCL (ALK ND) | CT | CR |
| Evans et al. (1993) [12] | 10 y/F | Left wrist and forearm (flexor muscle) | ALCL (ALK ND) | Surg + CT | Relapse, 6 m |
| Chew et al. (1999) [13] | 16 y/F | Thigh (sartorius muscle) | ALCL (ALK ND) | NS | NS |
| Ishii et al. (2000) [14] | 11 y/F | Right arm | ALCL (ALK -) | CT + aHSCT | CR, 2 y |
| Menon et al. (2001) [15] | 10 y/F | Left thigh (rectus femoris muscle), left arm and chest wall | ALCL (ALK ND) | CT | CR |
| Driss et al. (2009) [16] | 8 y/M | Right buttock | ALCL (ALK +) | CT | CR |
| Wu et al. (2009) [17] | 14 y/M | Left sacrospinalis, lumbar and femoral muscles | ALCL (ALK +) | CT | Dead, 2 m |
| Rekhi et al. (2010) [18] | 9 y/F | Right pectoralis major muscle, right axilla and lateral chest wall | ALCL (ALK +) | CT | NS |
| Gaiser et al. (2012) [19] | 10 y/M | Left biceps femoris muscle | ALCL (ALK +) | CT | NS |
| Kounami et al. (2012) [20] | 14 y/F | Left major psoas and iliopsoas muscles | ALCL (ALK +) | CT | CR, 4 y |
| Pasricha et al. (2013) [21] | 14 y/F | Right biceps brachii and right gluteal muscles, left arm, right thigh, left chest wall | ALCL (ALK +) | CT | CR, 7 m |
| Gupta et al. (2022) [22] | 12 y/M | Left thigh and chest wall | ALCL (ALK +) | CT | NS |
| Our case | 11 y/M | Right popliteal fossa | BLLy | CT | CR, 11 y |
Publisher’s Note: MDPI stays neutral with regard to jurisdictional claims in published maps and institutional affiliations. |
© 2022 by the authors. Licensee MDPI, Basel, Switzerland. This article is an open access article distributed under the terms and conditions of the Creative Commons Attribution (CC BY) license (https://creativecommons.org/licenses/by/4.0/).
Share and Cite
Restivo, G.A.; Mussolin, L.; D’Angelo, P.; Zin, A.; Pigazzi, M.; Carraro, E.; D’Amore, E.S.G.; Pillon, M.; Farruggia, P. Extranodal Biphenotypic Non-Hodgkin Lymphoma of the Popliteal Cavity: A Case Report and Review of Literature. Diagnostics 2022, 12, 1649. https://doi.org/10.3390/diagnostics12071649
Restivo GA, Mussolin L, D’Angelo P, Zin A, Pigazzi M, Carraro E, D’Amore ESG, Pillon M, Farruggia P. Extranodal Biphenotypic Non-Hodgkin Lymphoma of the Popliteal Cavity: A Case Report and Review of Literature. Diagnostics. 2022; 12(7):1649. https://doi.org/10.3390/diagnostics12071649
Chicago/Turabian StyleRestivo, Giulia A., Lara Mussolin, Paolo D’Angelo, Angelica Zin, Martina Pigazzi, Elisa Carraro, Emanuele S. G. D’Amore, Marta Pillon, and Piero Farruggia. 2022. "Extranodal Biphenotypic Non-Hodgkin Lymphoma of the Popliteal Cavity: A Case Report and Review of Literature" Diagnostics 12, no. 7: 1649. https://doi.org/10.3390/diagnostics12071649
APA StyleRestivo, G. A., Mussolin, L., D’Angelo, P., Zin, A., Pigazzi, M., Carraro, E., D’Amore, E. S. G., Pillon, M., & Farruggia, P. (2022). Extranodal Biphenotypic Non-Hodgkin Lymphoma of the Popliteal Cavity: A Case Report and Review of Literature. Diagnostics, 12(7), 1649. https://doi.org/10.3390/diagnostics12071649

