Lung Sonography in Critical Care Medicine
Abstract
1. Introduction
2. Point-of-Care Ultrasound
3. Technique
4. Lung Sonography Signs, Patterns, and Clinical Interpretation
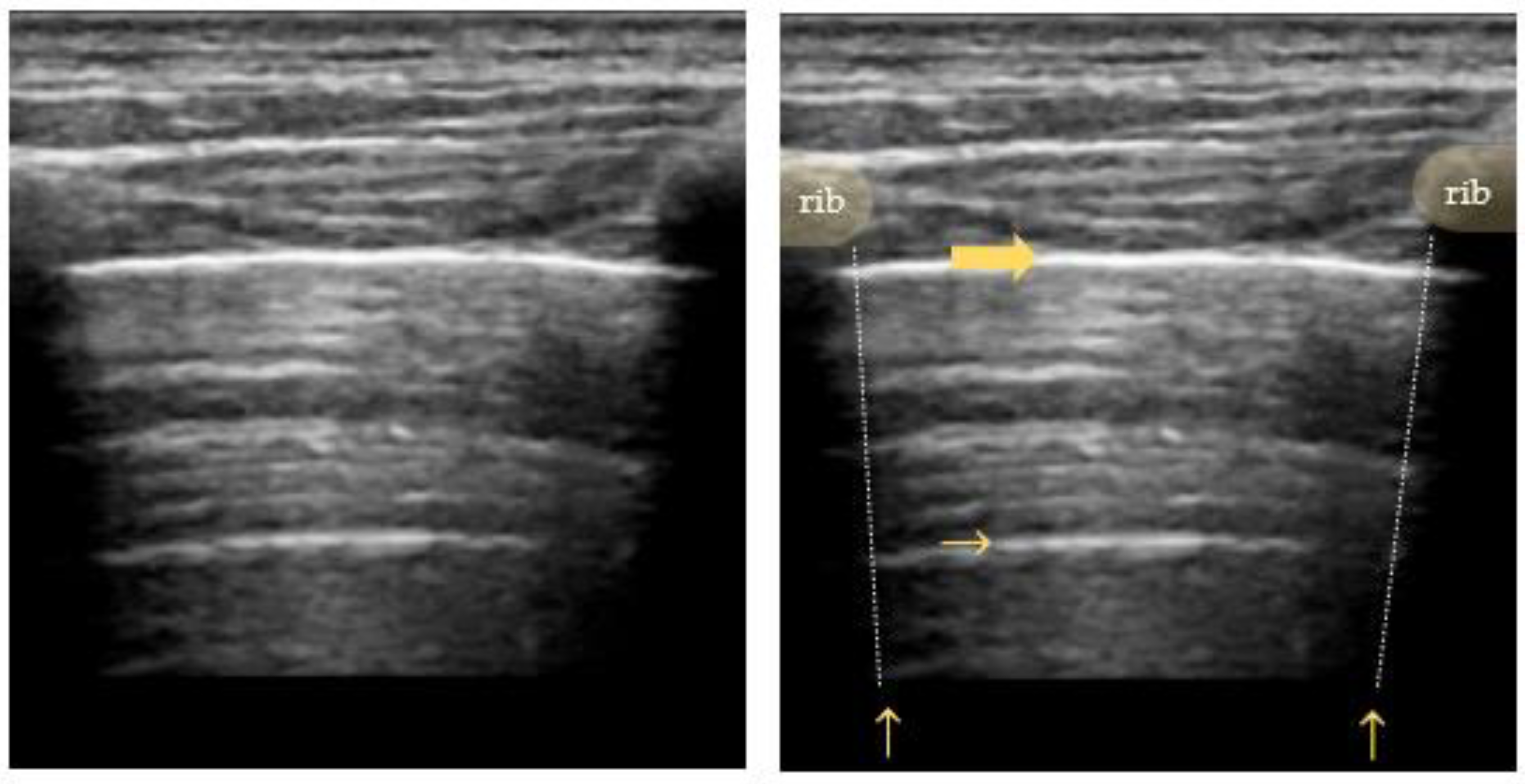
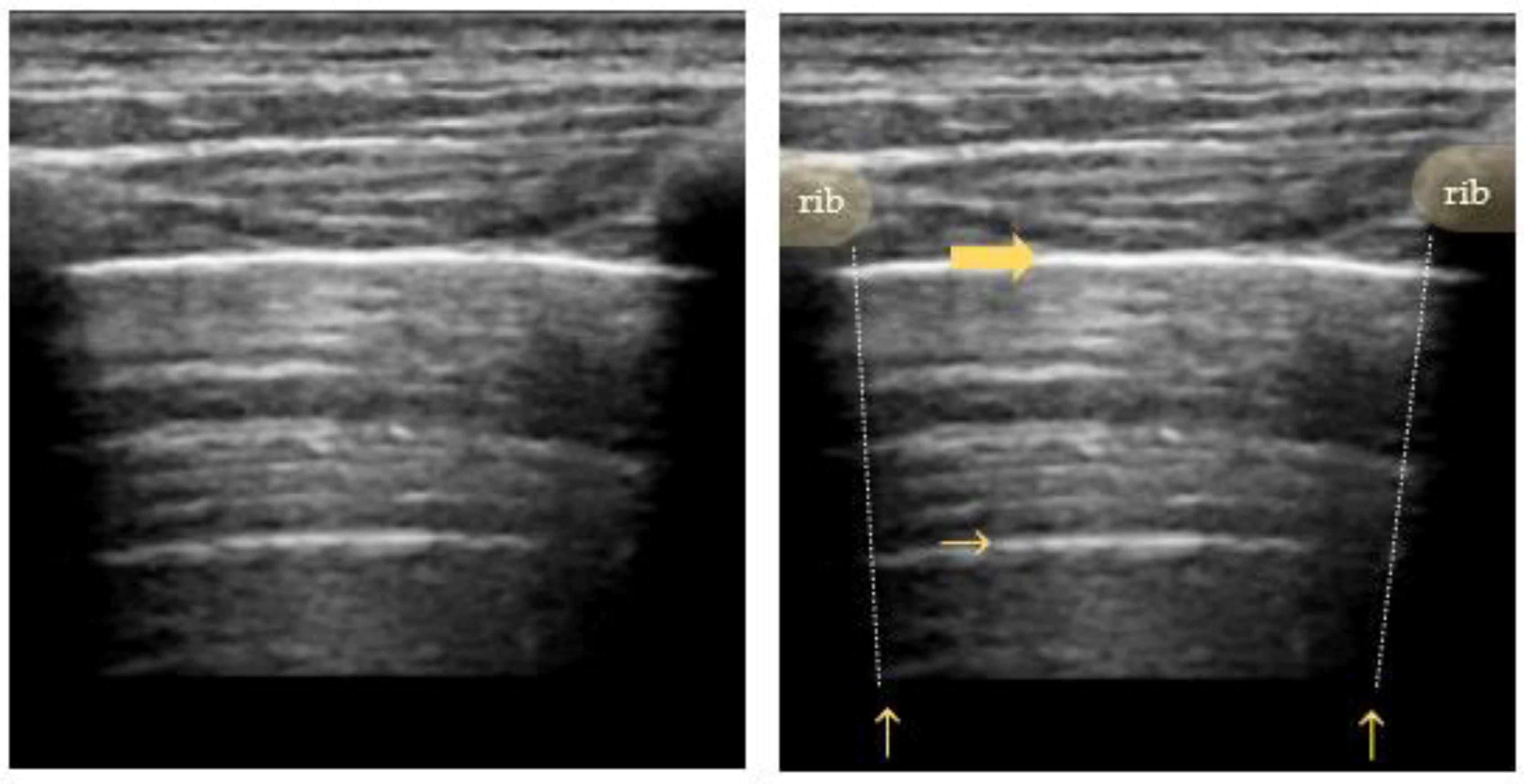
4.1. Pneumothorax
- Absence of lung sliding;
- Absence of B-lines;
- Absence of lung pulse;
- Presence of lung point(s) [42].
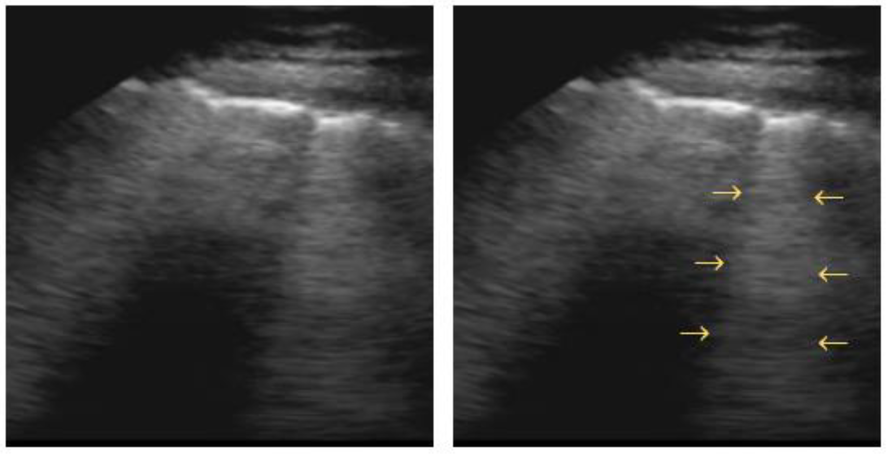
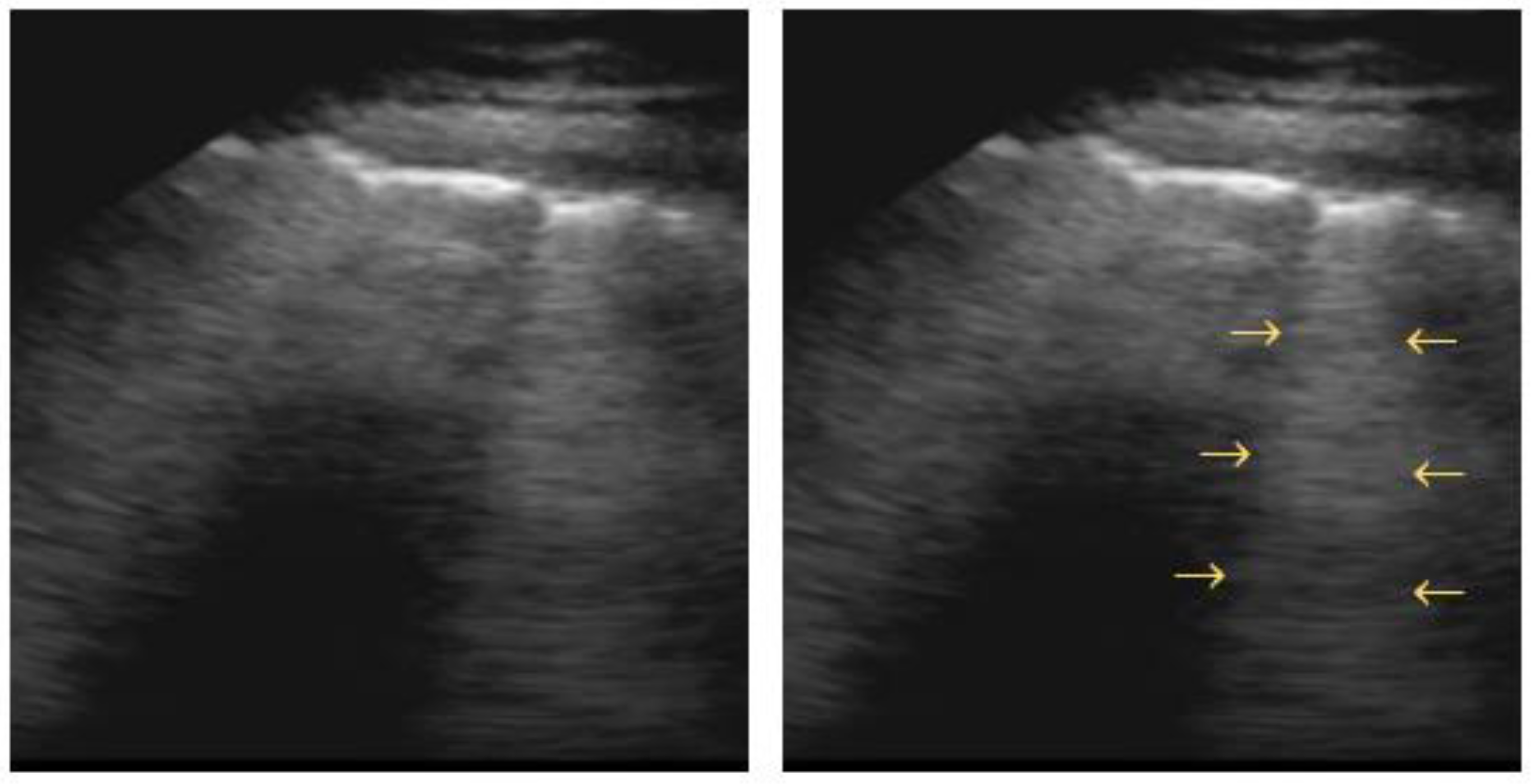
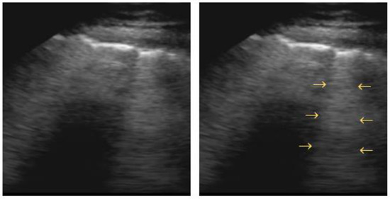
4.2. Interstitial Syndrome
- Pulmonary fibrosis, with B-lines in a diffuse, more or less homogeneous distribution, with an irregular pleural line and often, subpleural abnormalities [63];
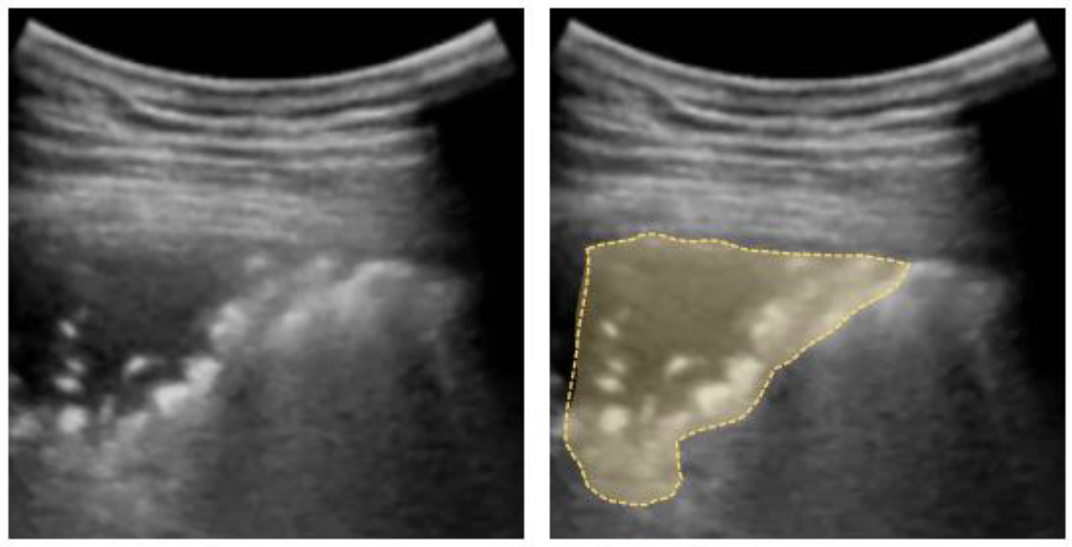
4.3. Lung Consolidation
4.4. Pleural Effusion
4.5. Diaphragmatic Dysfunction
5. Periprocedural Monitoring
6. The Coronavirus Disease 2019 (COVID-19)
7. Training, Competence, and Credentialing
8. Limitations of Lung Sonography
9. Future Perspectives
10. Conclusions
Author Contributions
Funding
Institutional Review Board Statement
Informed Consent Statement
Data Availability Statement
Conflicts of Interest
References
- Zieleskiewicz, L.; Muller, L.; Lakhal, K.; Meresse, Z.; Arbelot, C.; Bertrand, P.M.; Bouhemad, B.; Cholley, B.; Demory, D.; Duperret, S.; et al. Point-of-Care Ultrasound in Intensive Care Units: Assessment of 1073 Procedures in a Multicentric, Prospective, Observational Study. Intensive Care Med. 2015, 41, 1638–1647. [Google Scholar] [CrossRef]
- Ross, A.M.; Genton, E.; Holmes, J.H. Ultrasonic Examination of the Lung. J. Lab. Clin. Med. 1968, 72, 556–564. [Google Scholar]
- Alzahrani, S.A.; Al-Salamah, M.A.; Al-Madani, W.H.; Elbarbary, M.A. Systematic Review and Meta-Analysis for the Use of Ultrasound versus Radiology in Diagnosing of Pneumonia. Crit. Ultrasound J. 2017, 9, 6. [Google Scholar] [CrossRef]
- Laursen, C.B.; Sloth, E.; Lassen, A.T.; Christensen, R.D.; Lambrechtsen, J.; Madsen, P.H.; Henriksen, D.P.; Davidsen, J.R.; Rasmussen, F. Point-of-Care Ultrasonography in Patients Admitted with Respiratory Symptoms: A Single-Blind, Randomised Controlled Trial. Lancet Respir. Med. 2014, 2, 638–646. [Google Scholar] [CrossRef]
- Pivetta, E.; Goffi, A.; Lupia, E.; Tizzani, M.; Porrino, G.; Ferreri, E.; Volpicelli, G.; Balzaretti, P.; Banderali, A.; Iacobucci, A.; et al. Lung Ultrasound-Implemented Diagnosis of Acute Decompensated Heart Failure in the ED: A SIMEU Multicenter Study. Chest 2015, 148, 202–210. [Google Scholar] [CrossRef]
- Long, L.; Zhao, H.T.; Zhang, Z.Y.; Wang, G.Y.; Zhao, H.L. Lung Ultrasound for the Diagnosis of Pneumonia in Adults: A Meta-Analysis. Medicine 2017, 96, e5713. [Google Scholar] [CrossRef]
- Alrajab, S.; Youssef, A.M.; Akkus, N.I.; Caldito, G. Pleural Ultrasonography versus Chest Radiography for the Diagnosis of Pneumothorax: Review of the Literature and Meta-Analysis. Crit. Care 2013, 17, R208. [Google Scholar] [CrossRef]
- Grimberg, A.; Shigueoka, D.C.; Atallah, Á.N.; Ajzen, S.; Iared, W. Diagnostic Accuracy of Sonography for Pleural Effusion: Systematic Review. Sao Paulo Med. J. 2010, 128, 90–95. [Google Scholar] [CrossRef]
- Winkler, M.H.; Touw, H.R.; van de Ven, P.M.; Twisk, J.; Tuinman, P.R. Diagnostic Accuracy of Chest Radiograph, and When Concomitantly Studied Lung Ultrasound, in Critically Ill Patients With Respiratory Symptoms: A Systematic Review and Meta-Analysis. Crit. Care Med. 2018, 46, e707–e714. [Google Scholar] [CrossRef]
- Soummer, A.; Perbet, S.; Brisson, H.; Arbelot, C.; Constantin, J.M.; Lu, Q.; Rouby, J.J. Ultrasound Assessment of Lung Aeration Loss during a Successful Weaning Trial Predicts Postextubation Distress. Crit. Care Med. 2012, 40, 2064–2072. [Google Scholar] [CrossRef]
- Li, L.; Yang, Q.; Li, L.; Guan, J.; Liu, Z.; Han, J.; Chao, Y.; Wang, Z.; Yu, X. The Value of Lung Ultrasound Score on Evaluating Clinical Severity and Prognosis in Patients with Acute Respiratory Distress Syndrome. Zhonghua Wei Zhong Bing Ji Jiu Yi Xue 2015, 27, 579–584. [Google Scholar] [CrossRef]
- Haddam, M.; Zieleskiewicz, L.; Perbet, S.; Baldovini, A.; Guervilly, C.; Arbelot, C.; Noel, A.; Vigne, C.; Hammad, E.; Antonini, F.; et al. Lung Ultrasonography for Assessment of Oxygenation Response to Prone Position Ventilation in ARDS. Intensive Care Med. 2016, 42, 1546–1556. [Google Scholar] [CrossRef]
- Caltabeloti, F.P.; Monsel, A.; Arbelot, C.; Brisson, H.; Lu, Q.; Gu, W.J.; Zhou, G.J.; Auler, J.O.C.; Rouby, J.J. Early Fluid Loading in Acute Respiratory Distress Syndrome with Septic Shock Deteriorates Lung Aeration without Impairing Arterial Oxygenation: A Lung Ultrasound Observational Study. Crit. Care 2014, 18, R91. [Google Scholar] [CrossRef] [PubMed]
- Bouhemad, B.; Brisson, H.; Le-Guen, M.; Arbelot, C.; Lu, Q.; Rouby, J.J. Bedside Ultrasound Assessment of Positive End-Expiratory Pressure-Induced Lung Recruitment. Am. J. Respir. Crit. Care Med. 2011, 183, 341–347. [Google Scholar] [CrossRef]
- Brenner, D.J.; Hall, E.J. Computed Tomography—An Increasing Source of Radiation Exposure. N. Engl. J. Med. 2007, 357, 2277–2284. [Google Scholar] [CrossRef]
- Ferreira, C.E.S.; Guerra, J.C.C.; Slhessarenko, N.; Scartezini, M.; França, C.N.; Colombini, M.P.; Berlitz, F.; Machado, A.M.O.; Campana, G.A.; Faulhaber, A.C.L.; et al. Point-of-Care Testing: General Aspects. Clin. Lab. 2018, 64, 1–9. [Google Scholar] [CrossRef]
- Peris, A.; Tutino, L.; Zagli, G.; Batacchi, S.; Cianchi, G.; Spina, R.; Bonizzoli, M.; Migliaccio, L.; Perretta, L.; Bartolini, M.; et al. The Use of Point-of-Care Bedside Lung Ultrasound Significantly Reduces the Number of Radiographs and Computed Tomography Scans in Critically Ill Patients. Anesth. Analg. 2010, 111, 687–692. [Google Scholar] [CrossRef] [PubMed]
- Kalafat, E.; Yaprak, E.; Cinar, G.; Varli, B.; Ozisik, S.; Uzun, C.; Azap, A.; Koc, A. Lung Ultrasound and Computed Tomographic Findings in Pregnant Woman with COVID-19. Ultrasound Obstet. Gynecol. 2020, 55, 835–837. [Google Scholar] [CrossRef] [PubMed]
- Inchingolo, R.; Smargiassi, A.; Moro, F.; Buonsenso, D.; Salvi, S.; del Giacomo, P.; Scoppettuolo, G.; Demi, L.; Soldati, G.; Testa, A.C. The Diagnosis of Pneumonia in a Pregnant Woman with Coronavirus Disease 2019 Using Maternal Lung Ultrasound. Am. J. Obstet. Gynecol. 2020, 223, 9. [Google Scholar] [CrossRef]
- Stewart, K.A.; Navarro, S.M.; Kambala, S.; Tan, G.; Poondla, R.; Lederman, S.; Barbour, K.; Lavy, C. Trends in Ultrasound Use in Low and Middle Income Countries: A Systematic Review. Int. J. Matern. Child Health AIDS IJMA 2020, 9, 103–120. [Google Scholar] [CrossRef]
- Everitt, M.L.; Tillery, A.; David, M.G.; Singh, N.; Borison, A.; White, I.M. A Critical Review of Point-of-Care Diagnostic Technologies to Combat Viral Pandemics. Anal. Chim. Acta 2021, 1146, 184–199. [Google Scholar] [CrossRef]
- Mongodi, S.; Orlando, A.; Arisi, E.; Tavazzi, G.; Santangelo, E.; Caneva, L.; Pozzi, M.; Pariani, E.; Bettini, G.; Maggio, G.; et al. Lung Ultrasound in Patients with Acute Respiratory Failure Reduces Conventional Imaging and Health Care Provider Exposure to COVID-19. Ultrasound Med. Biol. 2020, 46, 2090–2093. [Google Scholar] [CrossRef] [PubMed]
- Rajsic, S.; Breitkopf, R.; Bachler, M.; Treml, B. Diagnostic Modalities in Critical Care: Point-of-Care Approach. Diagnostics 2021, 11, 2202. [Google Scholar] [CrossRef]
- Kulkarni, S.; Down, B.; Jha, S. Point-of-Care Lung Ultrasound in Intensive Care during the COVID-19 Pandemic. Clin. Radiol. 2020, 75, 710.e1–710.e4. [Google Scholar] [CrossRef] [PubMed]
- Evans, L.; Rhodes, A.; Alhazzani, W.; Antonelli, M.; Coopersmith, C.M.; French, C.; Machado, F.R.; Mcintyre, L.; Ostermann, M.; Prescott, H.C.; et al. Surviving Sepsis Campaign: International Guidelines for Management of Sepsis and Septic Shock 2021. Intensive Care Med. 2021, 47, 1181–1247. [Google Scholar] [CrossRef]
- Laursen, C.B.; Sloth, E.; Lambrechtsen, J.; Lassen, A.T.; Madsen, P.H.; Henriksen, D.P.; Davidsen, J.R.; Rasmussen, F. Focused Sonography of the Heart, Lungs, and Deep Veins Identifies Missed Life-Threatening Conditions in Admitted Patients with Acute Respiratory Symptoms. Chest 2013, 144, 1868–1875. [Google Scholar] [CrossRef]
- Moore, C.L.; Copel, J.A. Point-of-Care Ultrasonography. N. Engl. J. Med. 2011, 364, 749–757. [Google Scholar] [CrossRef] [PubMed]
- Aldrich, J.E. Basic Physics of Ultrasound Imaging. Crit. Care Med. 2007, 35, S131–S137. [Google Scholar] [CrossRef]
- Markowitz: Probe Selection, Machine Controls and Equipment—Google Scholar. Available online: https://scholar.google.com/scholar_lookup?author=J+Markowitz&title=Probe+selection%2C+machine+controls%2C+and+equipment&publication_year=2011&pages=25-38 (accessed on 30 April 2022).
- Lichtenstein, D.A.; Mezière, G.A. Relevance of Lung Ultrasound in the Diagnosis of Acute Respiratory Failure: The BLUE Protocol. Chest 2008, 134, 117–125. [Google Scholar] [CrossRef]
- Soldati, G.; Smargiassi, A.; Inchingolo, R.; Buonsenso, D.; Perrone, T.; Briganti, D.F.; Perlini, S.; Torri, E.; Mariani, A.; Mossolani, E.E.; et al. Proposal for International Standardization of the Use of Lung Ultrasound for Patients With COVID-19: A Simple, Quantitative, Reproducible Method. J. Ultrasound Med. 2020, 39, 1413–1419. [Google Scholar] [CrossRef] [PubMed]
- Deng, Q.; Zhang, Y.; Wang, H.; Chen, L.; Yang, Z.; Peng, Z.; Liu, Y.; Feng, C.; Huang, X.; Jiang, N.; et al. Semiquantitative Lung Ultrasound Scores in the Evaluation and Follow-up of Critically Ill Patients with COVID-19: A Single-Center Study. Acad. Radiol. 2020, 27, 1363–1372. [Google Scholar] [CrossRef]
- Rouby, J.J.; Arbelot, C.; Gao, Y.; Zhang, M.; Lv, J.; An, Y.; Chunyao, W.; Bin, D.; Barbas, C.S.V.; Neto, F.L.D.; et al. Training for Lung Ultrasound Score Measurement in Critically Ill Patients. Am. J. Respir. Crit. Care Med. 2018, 198, 398–401. [Google Scholar] [CrossRef]
- Bhoil, R.; Ahluwalia, A.; Chopra, R.; Surya, M.; Bhoil, S. Signs and Lines in Lung Ultrasound. J. Ultrason. 2021, 21, e225. [Google Scholar] [CrossRef]
- Mbchb, A.M.; Fficm, F. Practical Approach to Lung Ultrasound. BJA Educ. 2016, 16, 39–45. [Google Scholar] [CrossRef]
- Lichtenstein, D.A. Lung Ultrasound in the Critically Ill. Ann. Intensive Care 2014, 4, 1–12. [Google Scholar] [CrossRef]
- Saraogi, A. Lung Ultrasound: Present and Future. Lung India 2015, 32, 250–257. [Google Scholar] [CrossRef]
- Cunningham, J.; Kirkpatrick, A.W.; Nicolaou, S.; Liu, D.; Hamilton, D.R.; Lawless, B.; Lee, M.; Brown, D.R.; Simons, R.K. Enhanced Recognition of “Lung Sliding” with Power Color Doppler Imaging in the Diagnosis of Pneumothorax. J. Trauma 2002, 52, 769–771. [Google Scholar] [CrossRef]
- Parab, S.Y.; Solanki, S.L. Lung Point and Power Slide Signs Help to Improve the Accuracy of Lung Ultrasound to Diagnose Pneumothorax. Saudi J. Anaesth. 2017, 11, 121–122. [Google Scholar] [CrossRef]
- Lichtenstein, D. FALLS-Protocol: Lung Ultrasound in Hemodynamic Assessment of Shock. Heart Lung Vessel. 2013, 5, 142. [Google Scholar]
- Lichtenstein, D.; Mézière, G.; Biderman, P.; Gepner, A.; Barré, O. The Comet-Tail Artifact. An Ultrasound Sign of Alveolar-Interstitial Syndrome. Am. J. Respir. Crit. Care Med. 1997, 156, 1640–1646. [Google Scholar] [CrossRef]
- Volpicelli, G.; Elbarbary, M.; Blaivas, M.; Lichtenstein, D.A.; Mathis, G.; Kirkpatrick, A.W.; Melniker, L.; Gargani, L.; Noble, V.E.; Via, G.; et al. International Evidence-Based Recommendations for Point-of-Care Lung Ultrasound. Intensive Care Med. 2012, 38, 577–591. [Google Scholar] [CrossRef] [PubMed]
- Lichtenstein, D.A.; Lascols, N.; Prin, S.; Mezière, G. The “Lung Pulse”: An Early Ultrasound Sign of Complete Atelectasis. Intensive Care Med. 2003, 29, 2187–2192. [Google Scholar] [CrossRef]
- Volpicelli, G. Sonographic Diagnosis of Pneumothorax. Intensive Care Med. 2011, 37, 224–232. [Google Scholar] [CrossRef]
- Markota, A.; Golub, J.; Svenšek, F.; Sinkovič, A.; Markota, A.; Stožer, A.; Fluher, J.; Prosen, G.; Bergauer, A.; Svenšek, F.; et al. Absence of Lung Sliding Is Not a Reliable Sign of Pneumothorax in Patients with High Positive End-Expiratory Pressure. Am. J. Emerg. Med. 2016, 34, 2034–2036. [Google Scholar] [CrossRef]
- Gelabert, C.; Nelson, M. Bleb Point: Mimicker of Pneumothorax in Bullous Lung Disease. West. J. Emerg. Med. 2015, 16, 447. [Google Scholar] [CrossRef] [PubMed]
- Lichtenstein, D.; Mezière, G.; Biderman, P.; Gepner, A. The “Lung Point”: An Ultrasound Sign Specific to Pneumothorax. Intensive Care Med. 2000, 26, 1434–1440. [Google Scholar] [CrossRef]
- Nieves Alonso, J.M.; Méndez Hernández, R.M.; Ramasco Rueda, F.; Planas Roca, A. Lung Pulse Visualized through Pleural Effusion as a Diagnostic Sign of Complete Obstructive Atelectasis of the Left Lung in a Critical Patient with Respiratory Failure. Rev. Esp. Anestesiol. Reanim. 2020, 67, 400–403. [Google Scholar] [CrossRef]
- Lichtenstein, D.A.; Menu, Y. A Bedside Ultrasound Sign Ruling Out Pneumothorax in the Critically III: Lung Sliding. Chest 1995, 108, 1345–1348. [Google Scholar] [CrossRef]
- Blaivas, M.; Lyon, M.; Duggal, S. A Prospective Comparison of Supine Chest Radiography and Bedside Ultrasound for the Diagnosis of Traumatic Pneumothorax. Acad. Emerg. Med. 2005, 12, 844–849. [Google Scholar] [CrossRef]
- Kirkpatrick, A.W.; Sirois, M.; Laupland, K.B.; Liu, D.; Rowan, K.; Ball, C.G.; Hameed, S.M.; Brown, R.; Simons, R.; Dulchavsky, S.A.; et al. Hand-Held Thoracic Sonography for Detecting Post-Traumatic Pneumothoraces: The Extended Focused Assessment with Sonography for Trauma (EFAST). J. Trauma 2004, 57, 288–295. [Google Scholar] [CrossRef]
- Volpicelli, G.; Boero, E.; Sverzellati, N.; Cardinale, L.; Busso, M.; Boccuzzi, F.; Tullio, M.; Lamorte, A.; Stefanone, V.; Ferrari, G.; et al. Semi-Quantification of Pneumothorax Volume by Lung Ultrasound. Intensive Care Med. 2014, 40, 1460–1467. [Google Scholar] [CrossRef]
- Oveland, N.P.; Lossius, H.M.; Wemmelund, K.; Johan Stokkeland, P.; Knudsen, L.; Sloth, E. Using Thoracic Ultrasonography to Accurately Assess Pneumothorax Progression during Positive Pressure Ventilation: A Comparison with CT Scanning. Chest 2013, 143, 415–422. [Google Scholar] [CrossRef] [PubMed]
- Lichtenstein, D.A.; Mezière, G.; Lascols, N.; Biderman, P.; Courret, J.P.; Gepner, A.; Goldstein, I.; Tenoudji-Cohen, M. Ultrasound Diagnosis of Occult Pneumothorax. Crit. Care Med. 2005, 33, 1231–1238. [Google Scholar] [CrossRef] [PubMed]
- Dulchavsky, S.A.; Schwarz, K.L.; Kirkpatrick, A.W.; Billica, R.D.; Williams, D.R.; Diebel, L.N.; Campbell, M.R.; Sargysan, A.E.; Hamilton, D.R. Prospective Evaluation of Thoracic Ultrasound in the Detection of Pneumothorax. J. Trauma 2001, 50, 201–205. [Google Scholar] [CrossRef] [PubMed]
- Volpicelli, G.; Gargani, L. Interstitial Syndrome. In Chest Sonography, 4th ed.; Springer: Cham, switzerland, 2017; pp. 45–50. [Google Scholar] [CrossRef]
- Noble, V.E.; Lamhaut, L.; Capp, R.; Bosson, N.; Liteplo, A.; Marx, J.S.; Carli, P. Evaluation of a Thoracic Ultrasound Training Module for the Detection of Pneumothorax and Pulmonary Edema by Prehospital Physician Care Providers. BMC Med. Educ. 2009, 9, 3. [Google Scholar] [CrossRef] [PubMed]
- Liteplo, A.S.; Marill, K.A.; Villen, T.; Miller, R.M.; Murray, A.F.; Croft, P.E.; Capp, R.; Noble, V.E. Emergency Thoracic Ultrasound in the Differentiation of the Etiology of Shortness of Breath (ETUDES): Sonographic B-Lines and N-Terminal pro-Brain-Type Natriuretic Peptide in Diagnosing Congestive Heart Failure. Acad. Emerg. Med. 2009, 16, 201–210. [Google Scholar] [CrossRef]
- Bedetti, G.; Gargani, L.; Corbisiero, A.; Frassi, F.; Poggianti, E.; Mottola, G. Evaluation of Ultrasound Lung Comets by Hand-Held Echocardiography. Cardiovasc. Ultrasound 2006, 4, 34. [Google Scholar] [CrossRef]
- Szabó, I.A.; Gargani, L.; Morvai-Illés, B.; Polestyuk-Németh, N.; Frigy, A.; Varga, A.; Ágoston, G. Prognostic Value of Lung Ultrasound in Aortic Stenosis. Front. Physiol. 2022, 13, 838479. [Google Scholar] [CrossRef]
- Lichtenstein, D.A.; Mezière, G.A.; Lagoueyte, J.F.; Biderman, P.; Goldstein, I.; Gepner, A. A-Lines and B-Lines: Lung Ultrasound as a Bedside Tool for Predicting Pulmonary Artery Occlusion Pressure in the Critically Ill. Chest 2009, 136, 1014–1020. [Google Scholar] [CrossRef]
- Copetti, R.; Soldati, G.; Copetti, P. Chest Sonography: A Useful Tool to Differentiate Acute Cardiogenic Pulmonary Edema from Acute Respiratory Distress Syndrome. Cardiovasc. Ultrasound 2008, 6, 16. [Google Scholar] [CrossRef]
- Reißig, A.; Kroegel, C. Transthoracic Sonography of Diffuse Parenchymal Lung Disease: The Role of Comet Tail Artifacts. J. Ultrasound Med. 2003, 22, 173–180. [Google Scholar] [CrossRef]
- Zanobetti, M.; Poggioni, C.; Pini, R. Can Chest Ultrasonography Replace Standard Chest Radiography for Evaluation of Acute Dyspnea in the ED? Chest 2011, 139, 1140–1147. [Google Scholar] [CrossRef] [PubMed]
- Lichtenstein, D.; Mezière, G. A Lung Ultrasound Sign Allowing Bedside Distinction between Pulmonary Edema and COPD: The Comet-Tail Artifact. Intensive Care Med. 1998, 24, 1331–1334. [Google Scholar] [CrossRef]
- Reissig, A.; Kroegel, C. Transthoracic Ultrasound of Lung and Pleura in the Diagnosis of Pulmonary Embolism: A Novel Non-Invasive Bedside Approach. Respiration 2003, 70, 441–452. [Google Scholar] [CrossRef]
- Zhao, Z.; Jiang, L.; Xi, X.; Jiang, Q.; Zhu, B.; Wang, M.; Xing, J.; Zhang, D. Prognostic Value of Extravascular Lung Water Assessed with Lung Ultrasound Score by Chest Sonography in Patients with Acute Respiratory Distress Syndrome. BMC Pulm. Med. 2015, 15, 98. [Google Scholar] [CrossRef]
- Bouhemad, B.; Liu, Z.H.; Arbelot, C.; Zhang, M.; Ferarri, F.; Le-Guen, M.; Girard, M.; Lu, Q.; Rouby, J.J. Ultrasound Assessment of Antibiotic-Induced Pulmonary Reaeration in Ventilator-Associated Pneumonia. Crit. Care Med. 2010, 38, 84–92. [Google Scholar] [CrossRef]
- Mongodi, S.; Pozzi, M.; Orlando, A.; Bouhemad, B.; Stella, A.; Tavazzi, G.; Via, G.; Iotti, G.A.; Mojoli, F. Lung Ultrasound for Daily Monitoring of ARDS Patients on Extracorporeal Membrane Oxygenation: Preliminary Experience. Intensive Care Med. 2018, 44, 123–124. [Google Scholar] [CrossRef]
- Treml, B.; Breitkopf, R.; Bukumirić, Z.; Bachler, M.; Boesch, J.; Rajsic, S. ECMO Predictors of Mortality: A 10-Year Referral Centre Experience. J. Clin. Med. 2022, 11, 1224. [Google Scholar] [CrossRef]
- Chiumello, D.; Mongodi, S.; Algieri, I.; LucaVergani, G.; Orlando, A.; Via, G.; Crimella, F.; Cressoni, M.; Mojoli, F. Assessment of Lung Aeration and Recruitment by CT Scan and Ultrasound in Acute Respiratory Distress Syndrome Patients. Crit. Care Med. 2018, 46, 1761–1768. [Google Scholar] [CrossRef]
- Bouhemad, B.; Zhang, M.; Lu, Q.; Rouby, J.J. Clinical Review: Bedside Lung Ultrasound in Critical Care Practice. Crit. Care 2007, 11, 205. [Google Scholar] [CrossRef]
- Baumgardner, J.E. Where Did the Gas Go? Recruitment Versus Aeration. Crit. Care Med. 2018, 46, 1873–1874. [Google Scholar] [CrossRef]
- Lee, K.S.; Han, J.; Chung, M.P.; Jeong, Y.J. Consolidation. In Radiology Illustrated: Chest Radiology; Springer: Berlin/Heidelberg, Germany, 2014; pp. 221–233. [Google Scholar] [CrossRef]
- Mathis, G.; Blank, W.; Reißig, A.; Lechleitner, P.; Reuß, J.; Schuler, A.; Beckh, S. Thoracic Ultrasound for Diagnosing Pulmonary Embolism: A Prospective Multicenter Study of 352 Patients. Chest 2005, 128, 1531–1538. [Google Scholar] [CrossRef] [PubMed]
- Gehmacher, O.; Mathis, G.; Kopf, A.; Scheier, M. Ultrasound Imaging of Pneumonia. Ultrasound Med. Biol. 1995, 21, 1119–1122. [Google Scholar] [CrossRef]
- Nazerian, P.; Vanni, S.; Volpicelli, G.; Gigli, C.; Zanobetti, M.; Bartolucci, M.; Ciavattone, A.; Lamorte, A.; Veltri, A.; Fabbri, A.; et al. Accuracy of Point-of-Care Multiorgan Ultrasonography for the Diagnosis of Pulmonary Embolism. Chest 2014, 145, 950–957. [Google Scholar] [CrossRef]
- Lichtenstein, D.; Mezière, G.; Seitz, J. The Dynamic Air Bronchogram. A Lung Ultrasound Sign of Alveolar Consolidation Ruling out Atelectasis. Chest 2009, 135, 1421–1425. [Google Scholar] [CrossRef] [PubMed]
- Cortellaro, F.; Colombo, S.; Coen, D.; Duca, P.G. Lung Ultrasound Is an Accurate Diagnostic Tool for the Diagnosis of Pneumonia in the Emergency Department. Emerg. Med. J. 2012, 29, 19–23. [Google Scholar] [CrossRef]
- Reissig, A.; Copetti, R.; Mathis, G.; Mempel, C.; Schuler, A.; Zechner, P.; Aliberti, S.; Neumann, R.; Kroegel, C.; Hoyer, H. Lung Ultrasound in the Diagnosis and Follow-up of Community-Acquired Pneumonia: A Prospective, Multicenter, Diagnostic Accuracy Study. Chest 2012, 142, 965–972. [Google Scholar] [CrossRef]
- Mongodi, S.; Via, G.; Girard, M.; Rouquette, I.; Misset, B.; Braschi, A.; Mojoli, F.; Bouhemad, B. Lung Ultrasound for Early Diagnosis of Ventilator-Associated Pneumonia. Chest 2016, 149, 969–980. [Google Scholar] [CrossRef]
- Treml, B.; Rajsic, S.; Diwo, F.; Hell, T.; Hochhold, C. Small Drainage Volumes of Pleural Effusions Are Associated with Complications in Critically Ill Patients: A Retrospective Analysis. J. Clin. Med. 2021, 10, 2453. [Google Scholar] [CrossRef]
- Yu, C.J.; Yang, P.C.; Chang, D.B.; Luh, K.T. Diagnostic and Therapeutic Use of Chest Sonography: Value in Critically Ill Patients. AJR Am. J. Roentgenol. 1992, 159, 695–701. [Google Scholar] [CrossRef]
- Lichtenstein, D.; Hulot, J.S.; Rabiller, A.; Tostivint, I.; Mezière, G. Feasibility and Safety of Ultrasound-Aided Thoracentesis in Mechanically Ventilated Patients. Intensive Care Med. 1999, 25, 955–958. [Google Scholar] [CrossRef]
- Balik, M.; Plasil, P.; Waldauf, P.; Pazout, J.; Fric, M.; Otahal, M.; Pachl, J. Ultrasound Estimation of Volume of Pleural Fluid in Mechanically Ventilated Patients. Intensive Care Med. 2006, 32, 318–321. [Google Scholar] [CrossRef] [PubMed]
- Vignon, P.; Chastagner, C.; Berkane, V.; Chardac, E.; François, B.; Normand, S.; Bonnivard, M.; Clavel, M.; Pichon, N.; Preux, P.M.; et al. Quantitative Assessment of Pleural Effusion in Critically Ill Patients by Means of Ultrasonography. Crit. Care Med. 2005, 33, 1757–1763. [Google Scholar] [CrossRef] [PubMed]
- Roch, A.; Bojan, M.; Michelet, P.; Romain, F.; Bregeon, F.; Papazian, L.; Auffray, J.P. Usefulness of Ultrasonography in Predicting Pleural Effusions > 500 ML in Patients Receiving Mechanical Ventilation. Chest 2005, 127, 224–232. [Google Scholar] [CrossRef] [PubMed]
- Hassan, M.; Rizk, R.; Essam, H.; Abouelnour, A. Validation of Equations for Pleural Effusion Volume Estimation by Ultrasonography. J. Ultrasound 2017, 20, 267–271. [Google Scholar] [CrossRef]
- Eibenberger, K.L.; Dock, W.I.; Ammann, M.E.; Dorffner, R.; Hörmann, M.F.; Grabenwöger, F. Quantification of Pleural Effusions: Sonography versus Radiography. Radiology 1994, 191, 681–684. [Google Scholar] [CrossRef]
- Lichtenstein, D.; Goldstein, I.; Mourgeon, E.; Cluzel, P.; Grenier, P.; Rouby, J.J. Comparative Diagnostic Performances of Auscultation, Chest Radiography, and Lung Ultrasonography in Acute Respiratory Distress Syndrome. Anesthesiology 2004, 100, 9–15. [Google Scholar] [CrossRef]
- Yang, P.C.; Luh, K.T.; Chang, D.B.; Wu, H.D.; Yu, C.J.; Kuo, S.H. Value of Sonography in Determining the Nature of Pleural Effusion: Analysis of 320 Cases. AJR Am. J. Roentgenol. 1992, 159, 29–33. [Google Scholar] [CrossRef]
- Tsai, T.H.; Yang, P.C. Ultrasound in the Diagnosis and Management of Pleural Disease. Curr. Opin. Pulm. Med. 2003, 9, 282–290. [Google Scholar] [CrossRef] [PubMed]
- Goerg, C.; Schwerk, W.-B.; Goerg, K.; Walters, E. Pleural Effusion: An “Acoustic Window” for Sonography of Pleural Metastases. J. Clin. Ultrasound 1991, 19, 93–97. [Google Scholar] [CrossRef]
- Qureshi, N.R.; Rahman, N.M.; Gleeson, F.V. Thoracic Ultrasound in the Diagnosis of Malignant Pleural Effusion. Thorax 2009, 64, 139–143. [Google Scholar] [CrossRef]
- Chian, C.F.; Su, W.L.; Soh, L.H.; Yan, H.C.; Perng, W.C.; Wu, C.P. Echogenic Swirling Pattern as a Predictor of Malignant Pleural Effusions in Patients with Malignancies. Chest 2004, 126, 129–134. [Google Scholar] [CrossRef] [PubMed]
- Nason, L.K.; Walker, C.M.; Mcneeley, M.F.; Burivong, W.; Fligner, C.L.; David Godwin, J. Imaging of the Diaphragm: Anatomy and Function. Radiographics 2012, 32, E51–E70. [Google Scholar] [CrossRef] [PubMed]
- Testa, A.; Soldati, G.; Giannuzzi, R.; Berardi, S.; Portale, G.; Gentiloni Silveri, N. Ultrasound M-Mode Assessment of Diaphragmatic Kinetics by Anterior Transverse Scanning in Healthy Subjects. Ultrasound Med. Biol. 2011, 37, 44–52. [Google Scholar] [CrossRef]
- Baldwin, C.E.; Paratz, J.D.; Bersten, A.D. Diaphragm and Peripheral Muscle Thickness on Ultrasound: Intra-Rater Reliability and Variability of a Methodology Using Non-Standard Recumbent Positions. Respirology 2011, 16, 1136–1143. [Google Scholar] [CrossRef]
- Kim, W.Y.; Suh, H.J.; Hong, S.B.; Koh, Y.; Lim, C.M. Diaphragm Dysfunction Assessed by Ultrasonography: Influence on Weaning from Mechanical Ventilation. Crit. Care Med. 2011, 39, 2627–2630. [Google Scholar] [CrossRef] [PubMed]
- Mariani, L.F.; Bedel, J.; Gros, A.; Lerolle, N.; Milojevic, K.; Laurent, V.; Hilly, J.; Troché, G.; Bedos, J.P.; Planquette, B. Ultrasonography for Screening and Follow-Up of Diaphragmatic Dysfunction in the ICU: A Pilot Study. J. Intensive Care Med. 2016, 31, 338–343. [Google Scholar] [CrossRef]
- Ferrari, G.; de Filippi, G.; Elia, F.; Panero, F.; Volpicelli, G.; Aprà, F. Diaphragm Ultrasound as a New Index of Discontinuation from Mechanical Ventilation. Crit. Ultrasound J. 2014, 6, 8. [Google Scholar] [CrossRef]
- Vivier, E.; Dessap, A.M.; Dimassi, S.; Vargas, F.; Lyazidi, A.; Thille, A.W.; Brochard, L. Diaphragm Ultrasonography to Estimate the Work of Breathing during Non-Invasive Ventilation. Intensive Care Med. 2012, 38, 796–803. [Google Scholar] [CrossRef] [PubMed]
- Umbrello, M.; Formenti, P.; Longhi, D.; Galimberti, A.; Piva, I.; Pezzi, A.; Mistraletti, G.; Marini, J.J.; Iapichino, G. Diaphragm Ultrasound as Indicator of Respiratory Effort in Critically Ill Patients Undergoing Assisted Mechanical Ventilation: A Pilot Clinical Study. Crit. Care 2015, 19, 161. [Google Scholar] [CrossRef]
- Jaber, S.; Petrof, B.J.; Jung, B.; Chanques, G.; Berthet, J.P.; Rabuel, C.; Bouyabrine, H.; Courouble, P.; Koechlin-Ramonatxo, C.; Sebbane, M.; et al. Rapidly Progressive Diaphragmatic Weakness and Injury during Mechanical Ventilation in Humans. Am. J. Respir. Crit. Care Med. 2011, 183, 364–371. [Google Scholar] [CrossRef] [PubMed]
- Dres, M.; Dube, B.P.; Mayaux, J.; Delemazure, J.; Reuter, D.; Brochard, L.; Similowski, T.; Demoule, A. Coexistence and Impact of Limb Muscle and Diaphragm Weakness at Time of Liberation from Mechanical Ventilation in Medical Intensive Care Unit Patients. Am. J. Respir. Crit. Care Med. 2017, 195, 57–66. [Google Scholar] [CrossRef]
- Houston, J.G.; Fleet, M.; Cowan, M.D.; McMillan, N.C. Comparison of Ultrasound with Fluoroscopy in the Assessment of Suspected Hemidiaphragmatic Movement Abnormality. Clin. Radiol. 1995, 50, 95–98. [Google Scholar] [CrossRef]
- Jung, B.; Moury, P.H.; Mahul, M.; de Jong, A.; Galia, F.; Prades, A.; Albaladejo, P.; Chanques, G.; Molinari, N.; Jaber, S. Diaphragmatic Dysfunction in Patients with ICU-Acquired Weakness and Its Impact on Extubation Failure. Intensive Care Med. 2016, 42, 853–861. [Google Scholar] [CrossRef] [PubMed]
- Dinino, E.; Gartman, E.J.; Sethi, J.M.; McCool, F.D. Diaphragm Ultrasound as a Predictor of Successful Extubation from Mechanical Ventilation. Thorax 2014, 69, 423–427. [Google Scholar] [CrossRef] [PubMed]
- Jiang, J.R.; Tsai, T.H.; Jerng, J.S.; Yu, C.J.; Wu, H.D.; Yang, P.C. Ultrasonographic Evaluation of Liver/Spleen Movements and Extubation Outcome. Chest 2004, 126, 179–185. [Google Scholar] [CrossRef]
- Randolph, A.G.; Cook, D.J.; Gonzales, C.A.; Pribble, C.G. Ultrasound Guidance for Placement of Central Venous Catheters: A Meta-Analysis of the Literature. Crit. Care Med. 1996, 24, 2053–2058. [Google Scholar] [CrossRef] [PubMed]
- Das, S.K.; Choupoo, N.S.; Haldar, R.; Lahkar, A. Transtracheal Ultrasound for Verification of Endotracheal Tube Placement: A Systematic Review and Meta-Analysis. Can. J. Anesth. 2015, 62, 413–423. [Google Scholar] [CrossRef]
- Werner, S.L.; Smith, C.E.; Goldstein, J.R.; Jones, R.A.; Cydulka, R.K. Pilot Study to Evaluate the Accuracy of Ultrasonography in Confirming Endotracheal Tube Placement. Ann. Emerg. Med. 2007, 49, 75–80. [Google Scholar] [CrossRef]
- Weaver, B.; Lyon, M.; Blaivas, M. Confirmation of Endotracheal Tube Placement after Intubation Using the Ultrasound Sliding Lung Sign. Acad. Emerg. Med. 2006, 13, 239–244. [Google Scholar] [CrossRef] [PubMed]
- Chun, R.; Kirkpatrick, A.W.; Sirois, M.; Sargasyn, A.E.; Melton, S.; Hamilton, D.R.; Dulchavsky, S. Where’s the Tube? Evaluation of Hand-Held Ultrasound in Confirming Endotracheal Tube Placement. Prehosp. Disaster. Med. 2004, 19, 366–369. [Google Scholar] [CrossRef] [PubMed]
- Ariff, S.; Ali, K.Q.; Tessaro, M.O.; Ansari, U.; Morris, S.; Soofi, S.B.; Merali, H.S. Diagnostic Accuracy of Point-of-Care Ultrasound Compared to Standard-of-Care Methods for Endotracheal Tube Placement in Neonates. Pediatr. Pulmonol. 2022, 1–7. [Google Scholar] [CrossRef] [PubMed]
- Mayo, P.H.; Goltz, H.R.; Tafreshi, M.; Doelken, P. Safety of Ultrasound-Guided Thoracentesis in Patients Receiving Mechanical Ventilation. Chest 2004, 125, 1059–1062. [Google Scholar] [CrossRef]
- Cavanna, L.; Mordenti, P.; Bertè, R.; Palladino, M.A.; Biasini, C.; Anselmi, E.; Seghini, P.; Vecchia, S.; Civardi, G.; di Nunzio, C. Ultrasound Guidance Reduces Pneumothorax Rate and Improves Safety of Thoracentesis in Malignant Pleural Effusion: Report on 445 Consecutive Patients with Advanced Cancer. World J. Surg. Oncol. 2014, 12, 139. [Google Scholar] [CrossRef] [PubMed]
- Gordon, C.E.; Feller-Kopman, D.; Balk, E.M.; Smetana, G.W. Pneumothorax Following Thoracentesis: A Systematic Review and Meta-Analysis. Arch. Intern. Med. 2010, 170, 332–339. [Google Scholar] [CrossRef]
- Mercaldi, C.J.; Lanes, S.F. Ultrasound Guidance Decreases Complications and Improves the Cost of Care among Patients Undergoing Thoracentesis and Paracentesis. Chest 2013, 143, 532–538. [Google Scholar] [CrossRef]
- Diacon, A.H.; Brutsche, M.H.; Solèr, M. Accuracy of Pleural Puncture Sites: A Prospective Comparison of Clinical Examination with Ultrasound. Chest 2003, 123, 436–441. [Google Scholar] [CrossRef]
- Sikora, K.; Perera, P.; Mailhot, T.; Mandavia, D. Ultrasound for the Detection of Pleural Effusions and Guidance of the Thoracentesis Procedure. ISRN Emerg. Med. 2012, 2012, 676524. [Google Scholar] [CrossRef]
- Koenig, S.J.; Narasimhan, M.; Mayo, P.H. Thoracic Ultrasonography for the Pulmonary Specialist. Chest 2011, 140, 1332–1341. [Google Scholar] [CrossRef]
- Gobatto, A.L.N.; Besen, B.A.M.P.; Cestari, M.; Pelosi, P.; Malbouisson, L.M.S. Ultrasound-Guided Percutaneous Dilational Tracheostomy: A Systematic Review of Randomized Controlled Trials and Meta-Analysis. J. Intensive Care Med. 2020, 35, 445–452. [Google Scholar] [CrossRef]
- Iftikhar, I.H.; Teng, S.; Schimmel, M.; Duran, C.; Sardi, A.; Islam, S. A Network Comparative Meta-Analysis of Percutaneous Dilatational Tracheostomies Using Anatomic Landmarks, Bronchoscopic, and Ultrasound Guidance Versus Open Surgical Tracheostomy. Lung 2019, 197, 267–275. [Google Scholar] [CrossRef] [PubMed]
- Song, J.; Xuan, L.; Wu, W.; Zhu, D.; Zheng, Y. Comparison of Percutaneous Dilatational Tracheostomy Guided by Ultrasound and Bronchoscopy in Critically Ill Obese Patients. J. Ultrasound Med. 2018, 37, 1061–1069. [Google Scholar] [CrossRef] [PubMed]
- Flint, A.C.; Midde, R.; Rao, V.A.; Lasman, T.E.; Ho, P.T. Bedside Ultrasound Screening for Pretracheal Vascular Structures May Minimize the Risks of Percutaneous Dilatational Tracheostomy. Neurocrit Care 2009, 11, 372–376. [Google Scholar] [CrossRef]
- Rodríguez, S.J.; Esteves, L.E. Real-Time Ultrasound-Guided Percutaneous Dilatational Tracheostomy. Crit. Care 2011, 15, 443. [Google Scholar] [CrossRef][Green Version]
- Huang, Y.; Wang, S.; Liu, Y.; Zhang, Y.; Zheng, C.; Zheng, Y.; Zhang, C.; Min, W.; Zhou, H.; Yu, M.; et al. A Preliminary Study on the Ultrasonic Manifestations of Peripulmonary Lesions of Non-Critical Novel Coronavirus Pneumonia (COVID-19). SSRN Electron. J. 2020. [Google Scholar] [CrossRef]
- Buonsenso, D.; Piano, A.; Raffaelli, F.; Bonadia, N.; de Gaetano Donati, K.; Franceschi, F. Point-of-Care Lung Ultrasound Findings in Novel Coronavirus Disease-19 Pnemoniae: A Case Report and Potential Applications during COVID-19 Outbreak. Eur. Rev. Med. Pharmacol. Sci. 2020, 24, 2776–2780. [Google Scholar] [CrossRef]
- Poggiali, E.; Dacrema, A.; Bastoni, D.; Tinelli, V.; Demichele, E.; Ramos, P.M.; Marcianò, T.; Silva, M.; Vercelli, A.; Magnacavallo, A. Can Lung US Help Critical Care Clinicians in the Early Diagnosis of Novel Coronavirus (COVID-19) Pneumonia? Radiology 2020, 295, E6. [Google Scholar] [CrossRef]
- Volpicelli, G.; Gargani, L. Sonographic Signs and Patterns of COVID-19 Pneumonia. Ultrasound J. 2020, 12, 22. [Google Scholar] [CrossRef] [PubMed]
- Yasukawa, K.; Minami, T. Point-of-Care Lung Ultrasound Findings in Patients with COVID-19 Pneumonia. Am. J. Trop. Med. Hyg. 2020, 102, 1198–1202. [Google Scholar] [CrossRef]
- Boero, E.; Schreiber, A.; Rovida, S.; Vetrugno, L.; Blaivas, M. The Role of Lung Ultrasonography in COVID-19 Disease Management. J. Am. Coll. Emerg. Physicians Open 2020, 1, 1357. [Google Scholar] [CrossRef]
- Kirkpatrick, A.W.; McKee, J.L.; Ball, C.G.; Ma, I.W.Y.; Melniker, L.A. Empowering the Willing: The Feasibility of Tele-Mentored Self-Performed Pleural Ultrasound Assessment for the Surveillance of Lung Health. Ultrasound J. 2022, 14, 2. [Google Scholar] [CrossRef]
- Mayo, P.H.; Beaulieu, Y.; Doelken, P.; Feller-Kopman, D.; Harrod, C.; Kaplan, A.; Oropello, J.; Vieillard-Baron, A.; Axler, O.; Lichtenstein, D.; et al. American College of Chest Physicians/La Société de Réanimation de Langue Française Statement on Competence in Critical Care Ultrasonography. Chest 2009, 135, 1050–1060. [Google Scholar] [CrossRef]
- Cholley, B.P. International Expert Statement on Training Standards for Critical Care Ultrasonography. Intensive Care Med. 2011, 37, 1077–1083. [Google Scholar] [CrossRef]
- Chulani, S.; Greenstein, Y.; Patrawalla, A.; Berman, A.; Guevarra, K. Critical care ultrasonography use at academic training programs: A survey of critical care program directors. Chest 2019, 156, A916. [Google Scholar] [CrossRef]
- Chulani, S.; Greenstein, Y.; Patrawalla, A.; Berman, A.; Guevarra, K. Critical care ultrasonography use at academic training programs: A survey of critical care fellows. Chest 2019, 156, A846. [Google Scholar] [CrossRef]
- Pietersen, P.I.; Madsen, K.R.; Graumann, O.; Konge, L.; Nielsen, B.U.; Laursen, C.B. Lung Ultrasound Training: A Systematic Review of Published Literature in Clinical Lung Ultrasound Training. Crit. Ultrasound J. 2018, 10, 23. [Google Scholar] [CrossRef] [PubMed]
- Flato, U.; Guimarães, H.; Petisco, G.; Bezerra, F.; Cavalcante, A.; Berwanguer, O. Use of Lung Ultrasonography in the Detection of Pneumothorax among Medical Students and Emergency Physician. Crit. Care 2011, 15, 46. [Google Scholar] [CrossRef]
- Chalumeau-Lemoine, L.; Baudel, J.L.; Das, V.; Arrivé, L.; Noblinski, B.; Guidet, B.; Offenstadt, G.; Maury, E. Results of Short-Term Training of Naïve Physicians in Focused General Ultrasonography in an Intensive-Care Unit. Intensive Care Med. 2009, 35, 1767–1771. [Google Scholar] [CrossRef]
- Millington, S.J.; Arntfield, R.T.; Guo, R.J.; Koenig, S.; Kory, P.; Noble, V.; Mallemat, H.; Schoenherr, J.R. The Assessment of Competency in Thoracic Sonography (ACTS) Scale: Validation of a Tool for Point-of-Care Ultrasound. Crit. Ultrasound J. 2017, 9, 25. [Google Scholar] [CrossRef]
- Tesch, C.; Froschle, G.; Gold, W.; Muradali, D.; Wilson, S. Sonography Machines as a Source of Infection. AJR Am. J. Roentgenol. 1997, 168, 567–568. [Google Scholar] [CrossRef][Green Version]
- Muradali, D.; Gold, W.L.; Phillips, A.; Wilson, S. Can Ultrasound Probes and Coupling Gel Be a Source of Nosocomial Infection in Patients Undergoing Sonography? An in Vivo and in Vitro Study. AJR Am. J. Roentgenol. 1995, 164, 1521–1524. [Google Scholar] [CrossRef] [PubMed]
- Hyun, D.; Wiacek, A.; Goudarzi, S.; Rothlubbers, S.; Asif, A.; Eickel, K.; Eldar, Y.C.; Huang, J.; Mischi, M.; Rivaz, H.; et al. Deep Learning for Ultrasound Image Formation: CUBDL Evaluation Framework and Open Datasets. IEEE Trans. Ultrason. Ferroelectr. Freq. Control. 2021, 68, 3466–3483. [Google Scholar] [CrossRef] [PubMed]
- Roy, S.; Menapace, W.; Oei, S.; Luijten, B.; Fini, E.; Saltori, C.; Huijben, I.; Chennakeshava, N.; Mento, F.; Sentelli, A.; et al. Deep Learning for Classification and Localization of COVID-19 Markers in Point-of-Care Lung Ultrasound. IEEE Trans. Med. Imaging 2020, 39, 2676–2687. [Google Scholar] [CrossRef]
- Van Sloun, R.J.G.; Demi, L. Localizing B-Lines in Lung Ultrasonography by Weakly Supervised Deep Learning, In-Vivo Results. IEEE J. Biomed. Health Inform. 2020, 24, 957–964. [Google Scholar] [CrossRef]
- Baloescu, C.; Toporek, G.; Kim, S.; McNamara, K.; Liu, R.; Shaw, M.M.; McNamara, R.L.; Raju, B.I.; Moore, C.L. Automated Lung Ultrasound B-Line Assessment Using a Deep Learning Algorithm. IEEE Trans. Ultrason. Ferroelectr. Freq. Control. 2020, 67, 2312–2320. [Google Scholar] [CrossRef] [PubMed]
- Muse, E.D.; Topol, E.J. Guiding Ultrasound Image Capture with Artificial Intelligence. Lancet 2020, 396, 749. [Google Scholar] [CrossRef]
- Sidhu, P.S.; Cantisani, V.; Dietrich, C.F.; Gilja, O.H.; Saftoiu, A.; Bartels, E.; Bertolotto, M.; Calliada, F.; Clevert, D.A.; Cosgrove, D.; et al. The EFSUMB Guidelines and Recommendations for the Clinical Practice of Contrast-Enhanced Ultrasound (CEUS) in Non-Hepatic Applications: Update 2017 (Long Version). Ultraschall Med. 2018, 39, e2–e44. [Google Scholar] [CrossRef]
- Caremani, M.; Benci, A.; Lapini, L.; Tacconi, D.; Caremani, A.; Ciccotosto, C.; Magnolfi, A.L. Contrast Enhanced Ultrasonography (CEUS) in Peripheral Lung Lesions: A Study of 60 Cases. J. Ultrasound 2008, 11, 89–96. [Google Scholar] [CrossRef]
- Sartori, S.; Postorivo, S.; Di Vece, F.; Ermili, F.; Tassinari, D.; Tombesi, P. Contrast-Enhanced Ultrasonography in Peripheral Lung Consolidations: What’s Its Actual Role? World J. Radiol. 2013, 5, 372. [Google Scholar] [CrossRef]
- Soldati, G.; Giannasi, G.; Smargiassi, A.; Inchingolo, R.; Demi, L. Contrast-Enhanced Ultrasound in Patients With COVID-19. J. Ultrasound Med. 2020, 39, 2483–2489. [Google Scholar] [CrossRef]
- Tee, A.; Wong, A.; Yusuf, G.T.; Rao, D.; Sidhu, P.S. Contrast-Enhanced Ultrasound (CEUS) of the Lung Reveals Multiple Areas of Microthrombi in a COVID-19 Patient. Intensive Care Med. 2020, 46, 1660–1662. [Google Scholar] [CrossRef] [PubMed]







| BLUE Protocol Profile | Profile Description | Etiology of Respiratory Failure |
|---|---|---|
| A-profile | Anterior lung sliding + A-lines + free veins | Exacerbated COPD or Severe acute asthma |
| B-profile | Anterior lung sliding + lung-rockets | Pulmonary edema |
| B’-profile A/B-profile C-profile A-V-PLAPS profile | B-profile + abolished lung sliding Half A-profile at one lung, half B-profile at another Anterior lung consolidation A-profile + free veins + PLAPS | Pneumonia |
| A-DVT profile | A-profile + DVT | Pulmonary embolism |
| A’-profile | A-profile + abolished lung sliding (+ lung point) | Pneumothorax |
| Sonographic Signs | Weil/Shubin Shock Classification | |
|---|---|---|
| Cardiac sonography | Tamponade, pulmonary embolism | Obstructive shock |
| BLUE: A’-profile | Pneumothorax | |
| BLUE: B-profile | Pulmonary edema | Cardiogenic shock |
| FALLS-protocol | Unchanged A-profile | Hypovolemic shock, |
| Change from A- to B-profile | Septic shock | |
Publisher’s Note: MDPI stays neutral with regard to jurisdictional claims in published maps and institutional affiliations. |
© 2022 by the authors. Licensee MDPI, Basel, Switzerland. This article is an open access article distributed under the terms and conditions of the Creative Commons Attribution (CC BY) license (https://creativecommons.org/licenses/by/4.0/).
Share and Cite
Breitkopf, R.; Treml, B.; Rajsic, S. Lung Sonography in Critical Care Medicine. Diagnostics 2022, 12, 1405. https://doi.org/10.3390/diagnostics12061405
Breitkopf R, Treml B, Rajsic S. Lung Sonography in Critical Care Medicine. Diagnostics. 2022; 12(6):1405. https://doi.org/10.3390/diagnostics12061405
Chicago/Turabian StyleBreitkopf, Robert, Benedikt Treml, and Sasa Rajsic. 2022. "Lung Sonography in Critical Care Medicine" Diagnostics 12, no. 6: 1405. https://doi.org/10.3390/diagnostics12061405
APA StyleBreitkopf, R., Treml, B., & Rajsic, S. (2022). Lung Sonography in Critical Care Medicine. Diagnostics, 12(6), 1405. https://doi.org/10.3390/diagnostics12061405

