Uncommon Association of Mckittrick-Wheelock Syndrome and Clostridioides difficile Infection in Acute Renal Failure
Abstract
:1. Introduction
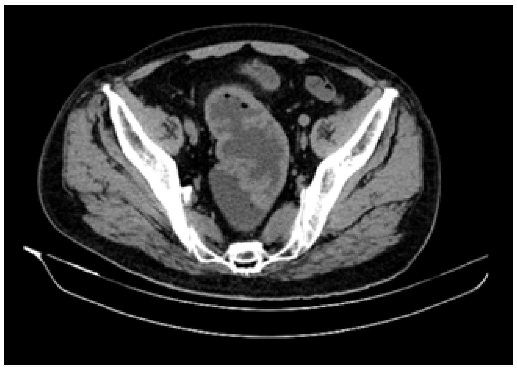
2. Case Presentation
3. Discussion
4. Conclusions
Author Contributions
Funding
Institutional Review Board Statement
Informed Consent Statement
Data Availability Statement
Conflicts of Interest
References
- McKittrick, L.S.; Wheelock, F.C. Carcinoma of the colon. Dis. Colon Rectum 1997, 40, 1494–1495. [Google Scholar] [CrossRef] [PubMed]
- Learney, R.R.; Ziprin, P.; Swift, P.A.; Faiz, O.D. Acute Renal Failure in Association with Community-Acquired Clostridium difficile Infection and McKittrick-Wheelock Syndrome. Case Rep. Gastroneterol. 2011, 5, 438–444. [Google Scholar] [CrossRef]
- Kuijpur, E.J.; Coignard, B.; Tull, P. Emergence of Clostridium difficile-associated disease in North America and Europe. Clin. Microbiol. Infect. 2006, 12, 2–18. [Google Scholar] [CrossRef] [Green Version]
- Dial, S.; Delaney, J.A.C.; Barkun, A.N.; Suissa, S. Use of gastric acid-suppressive agents and the risk of community-acquired Clostridium difficile-associated disease. JAMA 2005, 204, 2989–2995. [Google Scholar] [CrossRef] [Green Version]
- Mois, E.I.; Graur, F.; Sechel, R.; Al-Hajjar, N. McKittrick-Wheelock syndrome: A rare case report of acute renal failure. Clujul Med. 2016, 89, 301–3303. [Google Scholar] [CrossRef] [PubMed] [Green Version]
- Jyala, A.; Mehershahi, S.; Shah, N.; Shaikh, D.H.; Patel, H. McKittrick-Wheelock Syndrome: A Rare Cause of Chronic Diarrhea. Cureus 2021, 13, e13308. [Google Scholar] [CrossRef] [PubMed]
- Eisenberg, H.; Kolb, L.H.; Yam, L.T.; Godt, R. Villous adenoma of the rectum associated with electrolyte disturbance. Ann. Surg. 1964, 159, 604–610. [Google Scholar] [CrossRef] [PubMed]
- Jacob, H.; Schlondorff, D.; St Onge, G.; Bernstein, L.H. Villous adenoma depletion syndrome. Evidence for a cyclic nucleotide-mediated diarrhea. Dig. Dis. Sci. 1985, 30, 637–641. [Google Scholar] [CrossRef] [PubMed]
- Older, J.; Older, P.; Colker, J.; Brown, R. Secretory villous adenomas that cause depletion syndrome. Arch. Intern. Med. 1999, 159, 879–880. [Google Scholar] [CrossRef] [PubMed]
- Orchard, M.R.; Hooper, J.; Wright, J.A.; McCarthy, K. A systematic review of McKittrick-Wheelock syndrome. Ann. R. Coll. Surg. Engl. 2018, 100, 591–597. [Google Scholar] [CrossRef] [PubMed]
- Popescu, A.; Orban-Schiopu, A.M.; Becheanu, G.; Diculescu, M. McKittrick-Wheelock syndrome—A rare cause of acute renal failure. Rom. J. Gastroenterol. 2005, 14, 63–66. [Google Scholar]
- Winburn, G.B. Surgical resection of villous adenomas of the rectum. Am. Surg. 1998, 64, 1170–1173. [Google Scholar] [PubMed]
- Pigot, F.; Bouchard, D.; Mortaji, M.; Castinel, A.; Juguet, F.; Chaume, J.C.; Faivre, J. Local excision of large rectal villous adenomas. Dis. Colon Rectum 2003, 46, 1345–1350. [Google Scholar] [CrossRef] [PubMed]
- Emrich, J.; Niemeyer, C. The secreting villous adenoma as a rare cause of acute renal failure. Med. Klin. 2002, 97, 619–623. [Google Scholar] [CrossRef] [PubMed]





| Parameter | Normal Reference Range | Initial Presentation | Admission in Gastroenterology Department | Week 1 | Week 2 | 1 Week after Surgery |
|---|---|---|---|---|---|---|
| Sodium (mmol/L) | 136–145 | 130 | 135 | 140 | 140 | 142 |
| Potassium (mmol/L) | 3.5–5.1 | 2.8 | 3.4 | 2.5 | 3 | 4.1 |
| Chloride (mmol/L) | 98–107 | 85 | 87 | 99 | 107 | 112 |
| Bicarbonate (mmol/L) | 23–31 | 14 | 24.5 | 26.6 | 20.7 | 22 |
| Urea (mg/dL) | 18–55 | 300 | 110 | 171 | 41 | 69 |
| Creatinine (mg/dL) | 0.72–1.25 | 11 | 1.4 | 2.27 | 1.15 | 1.21 |
| Parameter | Initial Presentation | Admission in Gastroenterology Department | Week 1 | Week 2 | 1 Week after Surgery |
|---|---|---|---|---|---|
| Clostridioides difficile infection (Toxin A and B by direct enzyme immunoassay) | + | + | + | + | - |
Publisher’s Note: MDPI stays neutral with regard to jurisdictional claims in published maps and institutional affiliations. |
© 2022 by the authors. Licensee MDPI, Basel, Switzerland. This article is an open access article distributed under the terms and conditions of the Creative Commons Attribution (CC BY) license (https://creativecommons.org/licenses/by/4.0/).
Share and Cite
Ciortescu, I.; Drug, V.-L.; Bărboi, O.-B.; Pleșca, D.; Livadariu, R.; Ionescu, L. Uncommon Association of Mckittrick-Wheelock Syndrome and Clostridioides difficile Infection in Acute Renal Failure. Diagnostics 2022, 12, 784. https://doi.org/10.3390/diagnostics12040784
Ciortescu I, Drug V-L, Bărboi O-B, Pleșca D, Livadariu R, Ionescu L. Uncommon Association of Mckittrick-Wheelock Syndrome and Clostridioides difficile Infection in Acute Renal Failure. Diagnostics. 2022; 12(4):784. https://doi.org/10.3390/diagnostics12040784
Chicago/Turabian StyleCiortescu, Irina, Vasile-Liviu Drug, Oana-Bogdana Bărboi, Denis Pleșca, Roxana Livadariu, and Lidia Ionescu. 2022. "Uncommon Association of Mckittrick-Wheelock Syndrome and Clostridioides difficile Infection in Acute Renal Failure" Diagnostics 12, no. 4: 784. https://doi.org/10.3390/diagnostics12040784
APA StyleCiortescu, I., Drug, V.-L., Bărboi, O.-B., Pleșca, D., Livadariu, R., & Ionescu, L. (2022). Uncommon Association of Mckittrick-Wheelock Syndrome and Clostridioides difficile Infection in Acute Renal Failure. Diagnostics, 12(4), 784. https://doi.org/10.3390/diagnostics12040784

