Unusual Presentation of Clear Cell Odontogenic Carcinoma: Case Report and Literature Review
Abstract
1. Introduction
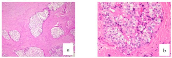
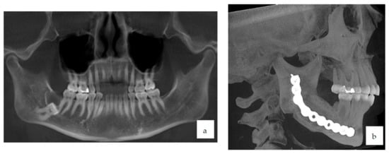
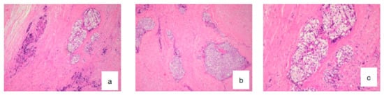
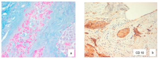
2. Case Report
3. Discussion
4. Conclusions
Author Contributions
Funding
Institutional Review Board Statement
Informed Consent Statement
Data Availability Statement
Conflicts of Interest
References
- Hansen, L.S.; Eversole, L.R.; Green, T.L.; Powell, N.B. Clear Cell Odontogenic Tumor—A New Histologic Variant with Aggressive Potential. Head Neck Surg. 1985, 8, 115–123. [Google Scholar] [CrossRef] [PubMed]
- Barnes, L.; Eveson, J.W.; Reichart, P.; Sidransky, D. (Eds.) World Health Organisation Classification of Tumours. Pathology and Genetics of Head and Neck Tumours; IARC Press: Lyon, France, 2005; p. 284. [Google Scholar]
- Guastaldi, F.P.S.; Faquin, W.C.; Gootkind, F.; Hashemi, S.; August, M.; Iafrate, A.J.; Rivera, M.N.; Kaban, L.B.; Jaquinet, A.; Troulis, M.J.; et al. Clear cell odontogenic carcinoma: A rare jaw tumor. A summary of 107 reported cases. Int. J. Oral. Maxillofac. Surg. 2019, 48, 1405–1410. [Google Scholar] [CrossRef] [PubMed]
- Kwon, I.J.; Kim, S.M.; Amponsah, E.K.; Myoung, H.; Lee, J.H.; Lee, S.K. Mandibular Clear Cell Odontogenic Carcinoma. World J. Surg. Oncol. 2015, 13, 284. [Google Scholar] [CrossRef] [PubMed][Green Version]
- Walia, C.; Chatterjee, R.P.; Kundu, S.; Roy, S. Clinical Enigma: A Rare Case of Clear Cell Odontogenic Carcinoma. Contemp. Clin. Dent. 2015, 6, 559–563. [Google Scholar] [CrossRef] [PubMed]
- Harbhajanka, A.; Lamzabi, I.; Jain, R.; Gattuso, P.; Kluskens, L. Cytomorphology and Immunohistochemistry of a Recurrent Clear Cell Odontogenic Carcinoma with Molecular Analysis: A Case Report with Review of Literature. Diagn. Cytopathol. 2015, 43, 743–746. [Google Scholar] [CrossRef] [PubMed]
- Liu, L.; Zhang, J.W.; Zhu, N.S.; Zhu, Y.; Guo, B.; Yang, X.H. Clear Cell Odontogenic Carcinoma: A Clinicopathological and Immunocytochemical Analysis. Pathol. Oncol. Res. 2020, 26, 1559–1564. [Google Scholar] [CrossRef] [PubMed]
- Desai, A.; Rivera, C.M.; Faquin, W.C.; Iafrate, A.J.; Rivera, M.N.; Jaquinet, A.; Troulis, M.J. Clear cell carcinoma: A comprehensive literature review of 254 cases. Int. J. Oral. Maxillofac. Surg. 2021, in press. [Google Scholar] [CrossRef] [PubMed]
- Kramer, I.R.; Pindborg, J.J.; Shear, M. The WHO Histological Typing of Odontogenic Tumours. A Commentary on the Second Edition. Cancer 1992, 70, 2988–2994. [Google Scholar] [CrossRef]
- Barnes, L.; Eveson, J.W.; Reichart, P.; Sidransky, D.; Bang, G.; Koppang, H. Clear Cell Odontogenic Carcinoma. In World Health Organisation Classification of Tumors. Pathology & Genetics: Head and Neck Tumors; IARC Press: Lyon, France, 2005; p. 292. [Google Scholar]
- Labrador, A.J.P.; Marin, N.R.G.; Valdez, L.H.M.; Valentina, M.P.; Sanchez, K.B.T.; Ibazetta, K.A.R.; Johan, B.; Cesar, A.V. Wright Clear Cell Odontogenic Carcinoma a Systematic Review. Head Neck Pathol. 2021, in press. [Google Scholar] [CrossRef] [PubMed]
- Loyola, A.M.; Cardoso, S.V.; de Faria, P.R.; Servato, J.P.; Barbosa de Paulo, L.F.; Eisenberg, A.L.; Dias, F.L.; Gomes, C.C.; Gomez, R.S. Clear Cell Odontogenic Carcinoma: Report of 7 New Cases and Systematic Review of the current Knowledge. Oral Surg. Oral Med. Oral Pathol. Oral Radiol. 2015, 120, 483–496. [Google Scholar] [CrossRef] [PubMed]
- Krishnamurthy, A.; Ramshankar, V.; Majhi, U. Clear Cell Odontogenic Carcinoma of the Mandible and Temporomandibular Joint with Cervical Lymph Nodal Metastasis. Natl. J. Maxillofac. Surg. 2014, 5, 221–223. [Google Scholar] [CrossRef] [PubMed]
- Kim, M.; Cho, E.; Kim, J.Y.; Kim, H.S.; Nam, W. Clear Cell Odontogenic Carcinoma Mimicking a Cystic Lesion: A Case of Misdiagnosis. J. Korean Assoc. Oral Maxillofac. Surg. 2014, 40, 199–203. [Google Scholar] [CrossRef] [PubMed]
- E-Naggar, A.D.; Chan, J.K.C.; Grandis, J.R.; Takata, T.; Slootweg, T.J. Clear Cell Odontogenic Carcinoma. In World Health Organisation Classification of Head and Neck Tumours, 4th ed.; IARC Press: Lyon, France, 2017; pp. 204–210. [Google Scholar]





| (x/n) | Percent | ||
|---|---|---|---|
| Cases | 117 | ||
| Age | Mean 55.4 (17–89 years old) | ||
| Gender | Female | 76/117 | 64.9% |
| Male | 41/117 | 35.0% | |
| Size | Mean 4.36 cm (range 3–10 cm) | ||
| Location | Lower jaw | 96/117 | 82.05% |
| Upper jaw | 20/117 | 17.95% | |
| Most commonly mandible body | 42/117 | 35.90% | |
| Signs and symptoms | Swelling | 74/117 | 80.40% |
| Pain | 31/117 | 41.30% | |
| Tooth mobility | 23/79 | 29.11% | |
| None | 1/79 | 1.27% | |
| Histologic pattern | Ameloblastic | 13/79 | 16.45% |
| Biphasic | 62/79 | 78.50% | |
| Monophasic | 4/79 | 5.06% | |
| Surgical margins | Positive | 17/41 | 41.50% |
| Negative | 24/41 | 58.54% | |
| Recurrence | Yes | 44/84 | 52.40% |
| No | 40/84 | 47.60% | |
| Local recurrence | Present | 33/81 | 40.74% |
| Absent | 44/81 | 54.32% | |
| Metastasis | Distant metastasis | 20/117 | 17.10% |
| Lung | 17/117 | 14.50% | |
| Regional metastasis | 10/117 | 8.55% | |
| Neck | 10/117 | 8.55% | |
| No reported metastasis | 87/117 | 74.37 | |
| Treatment modalities | Local resection | 64/102 | 62.75% |
| Curettage or enucleation | 5/102 | 4.90% | |
| Hemimandibulectomy | 23/102 | 22.55% | |
| Hemimaxillectomy | 10/102 | 9.80% | |
| Adjuvant therapy | Radiotherapy | 21/81 | 25.93% |
| Chemotherapy | 5/81 | 6.17% | |
| Follow up (88 patients) | Mean | 26.10 months | |
| Range | 1 to 152 months | ||
| Outcome | Healed from CCOC | 82/94 | 87.20% |
| Dead from CCOC | 12/94 | 12.80% | |
Publisher’s Note: MDPI stays neutral with regard to jurisdictional claims in published maps and institutional affiliations. |
© 2022 by the authors. Licensee MDPI, Basel, Switzerland. This article is an open access article distributed under the terms and conditions of the Creative Commons Attribution (CC BY) license (https://creativecommons.org/licenses/by/4.0/).
Share and Cite
Verdeja, R.; Stauffer, E.; Lombardi, T. Unusual Presentation of Clear Cell Odontogenic Carcinoma: Case Report and Literature Review. Diagnostics 2022, 12, 1019. https://doi.org/10.3390/diagnostics12041019
Verdeja R, Stauffer E, Lombardi T. Unusual Presentation of Clear Cell Odontogenic Carcinoma: Case Report and Literature Review. Diagnostics. 2022; 12(4):1019. https://doi.org/10.3390/diagnostics12041019
Chicago/Turabian StyleVerdeja, Raúl, Edouard Stauffer, and Tommaso Lombardi. 2022. "Unusual Presentation of Clear Cell Odontogenic Carcinoma: Case Report and Literature Review" Diagnostics 12, no. 4: 1019. https://doi.org/10.3390/diagnostics12041019
APA StyleVerdeja, R., Stauffer, E., & Lombardi, T. (2022). Unusual Presentation of Clear Cell Odontogenic Carcinoma: Case Report and Literature Review. Diagnostics, 12(4), 1019. https://doi.org/10.3390/diagnostics12041019

