Predicting Factors for Pancreatic Malignancy with Computed Tomography and Endoscopic Ultrasonography in Chronic Pancreatitis
Abstract
:1. Introduction
2. Materials and Methods
2.1. Patients
2.2. Study Design
2.3. EUS-FNA/FNB Procedure Performance
2.4. Cytopathological Analysis
2.5. Statistical Analyses
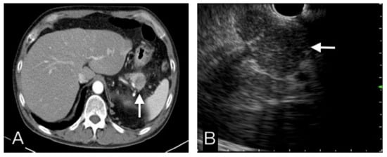
3. Results
4. Discussion
- (1)
- There was no contrast enhancement of the EUS images.
- (2)
- This is a single center, small retrospective cohort study.
Author Contributions
Funding
Institutional Review Board Statement
Informed Consent Statement
Data Availability Statement
Conflicts of Interest
References
- Sung, H.; Ferlay, J.; Siegel, R.L.; Laversanne, M.; Soerjomataram, I.; Jemal, A.; Bray, F. Global Cancer Statistics 2020: GLOBOCAN Estimates of Incidence and Mortality Worldwide for 36 Cancers in 185 Countries. CA Cancer J. Clin. 2021, 71, 209–249. [Google Scholar] [CrossRef] [PubMed]
- Becker, A.E.; Hernandez, Y.G.; Frucht, H.; Lucas, A.L. Pancreatic ductal adenocarcinoma: Risk factors, screening, and early detection. World J. Gastroenterol. 2014, 20, 11182–11198. [Google Scholar] [CrossRef] [PubMed]
- Al-Hawary, M.M.; Kaza, R.K.; Azar, S.F.; Ruma, J.A.; Francis, I.R. Mimics of pancreatic ductal adenocarcinoma. Cancer Imaging 2013, 13, 342–349. [Google Scholar] [CrossRef] [Green Version]
- Klein, F.; Jacob, D.; Bahra, M.; Pelzer, U.; Puhl, G.; Krannich, A.; Andreou, A.; Gül, S.; Guckelberger, O. Prognostic factors for long-term survival in patients with ampullary carcinoma: The results of a 15-year ob-servation period after pancreaticoduodenectomy. HPB Surg. 2014, 2014, 970234. [Google Scholar] [CrossRef] [PubMed]
- Yoon, S.H.; Lee, J.M.; Cho, J.Y.; Lee, K.B.; Kim, J.E.; Moon, S.K.; Kim, S.J.; Baek, J.H.; Kim, S.H.; Kim, S.H.; et al. Small (≤20 mm) Pancreatic Adenocarcinomas: Analysis of Enhancement Patterns and Secondary Signs with Multiphasic Multidetector CT. Radiology 2011, 259, 442–452. [Google Scholar] [CrossRef] [PubMed] [Green Version]
- Costache, M.I.; Costache, C.A.; Dumitrescu, C.I.; Tica, A.A.; Popescu, M.; Baluta, E.A.; Anghel, A.C.; Saftoiu, A.; Dumitrescu, D. Which is the Best Imaging Method in Pancreatic Adenocarcinoma Diagnosis and Staging—CT, MRI or EUS? Curr. Health Sci. J. 2017, 43, 132–136. [Google Scholar] [PubMed]
- Du, C.; Chai, N.-L.; Linghu, E.-Q.; Li, H.-K.; Sun, L.-H.; Jiang, L.; Wang, X.-D.; Tang, P.; Yang, J. Comparison of endoscopic ultrasound, computed tomography and magnetic resonance imaging in assessment of detailed structures of pancreatic cystic neoplasms. World J. Gastroenterol. 2017, 23, 3184–3192. [Google Scholar] [CrossRef] [PubMed]
- Kato, T.; Tsukamoto, Y.; Naitoh, Y.; Hirooka, Y.; Furukawa, T.; Hayakawa, T. Ultrasonographic and endoscopic ultrasonographic angiography in pancreatic mass lesions. Acta Radiol. 1995, 36, 381–387. [Google Scholar] [CrossRef]
- Dietrich, C.F.; Ignee, A.; Frey, H. Contrast-Enhanced Endoscopic Ultrasound with Low Mechanical Index: A New Technique. Zeitschrift für Gastroenterologie 2005, 43, 1219–1223. [Google Scholar] [CrossRef]
- Cannon, M.E.; Carpenter, S.L.; Elta, G.H.; Nostrant, T.T.; Kochman, M.L.; Ginsberg, G.G.; Stotland, B.; Rosato, E.F.; Morris, J.B.; Eckhauser, F.; et al. EUS compared with CT, magnetic resonance imaging, and angiography and the influence of biliary stenting on staging accuracy of ampullary neoplasms. Gastrointest. Endosc. 1999, 50, 27–33. [Google Scholar] [CrossRef]
- Lee, Y.S.; Paik, K.-H.; Kim, H.W.; Lee, J.-C.; Kim, J.; Hwang, J.-H. Comparison of Endoscopic Ultrasonography, Computed Tomography, and Magnetic Resonance Imaging for Pancreas Cystic Lesions. Medicine 2015, 94, e1666. [Google Scholar] [CrossRef]
- Vilmann, P.; Jacobsen, G.K.; Henriksen, F.W.; Hancke, S. Endoscopic ultrasonography with guided fine needle aspiration biopsy in pancreatic disease. Gastrointest. Endosc. 1992, 38, 172–173. [Google Scholar] [CrossRef]
- Vanbiervliet, G.; Napoleon, B.; Paul, M.C.S.; Sakarovitch, C.; Wangermez, M.; Bichard, P.; Subtil, C.; Koch, S.; Grandval, P.; Gincul, R.; et al. Core needle versus standard needle for endoscopic ultrasound-guided biopsy of solid pancreatic masses: A randomized crossover study. Endoscopy 2014, 46, 1063–1070. [Google Scholar] [CrossRef]
- Mizuide, M.; Ryozawa, S.; Fujita, A.; Ogawa, T.; Katsuda, H.; Suzuki, M.; Noguchi, T.; Tanisaka, Y. Complications of Endoscopic Ultrasound-Guided Fine Needle Aspiration: A Narrative Review. Diagnostics 2020, 10, 964. [Google Scholar] [CrossRef]
- Carrara, S.; Arcidiacono, P.G.; Mezzi, G.; Petrone, M.C.; Boemo, C.; Testoni, P.A. Pancreatic Endoscopic Ultrasound-guided Fine Needle Aspiration: Complication rate and clinical course in a single centre. Dig. Liver Dis. 2010, 42, 520–523. [Google Scholar] [CrossRef]
- Yoshinaga, S.; Suzuki, H.; Oda, I.; Saito, Y. Role of endoscopic ultrasound-guided fine needle aspiration (eus-fna) for diagnosis of solid pancreatic masses. Dig. Endosc. 2011, 23, 29–33. [Google Scholar] [CrossRef]
- Catalano, M.F.; Sahai, A.; Levy, M.; Romagnuolo, J.; Wiersema, M.; Brugge, W.; Freeman, M.; Yamao, K.; Canto, M.; Hernandez, L.V. EUS-based criteria for the diagnosis of chronic pancreatitis: The Rosemont classification. Gastrointest. Endosc. 2009, 69, 1251–1261. [Google Scholar] [CrossRef]
- Srisajjakul, S.; Prapaisilp, P.; Bangchokdee, S. CT and MR features that can help to differentiate between focal chronic pancreatitis and pancreatic cancer. Radiol. Med. 2020, 125, 356–364. [Google Scholar] [CrossRef]
- Lai, J.-H.; Lin, H.-H.; Lin, C.-C. Factors affecting cytological results of endoscopic ultrasound guided-fine needle aspiration during learning. Diagn. Pathol. 2020, 15, 17. [Google Scholar] [CrossRef]
- Baek, H.W.; Park, M.J.; Rhee, Y.-Y.; Lee, K.B.; Kim, M.A.; Park, I.A. Diagnostic Accuracy of Endoscopic Ultrasound-Guided Fine Needle Aspiration Cytology of Pancreatic Lesions. J. Pathol. Transl. Med. 2015, 49, 52–60. [Google Scholar] [CrossRef]
- Mei, S.; Wang, M.; Sun, L. Contrast-Enhanced EUS for Differential Diagnosis of Pancreatic Masses: A Meta-Analysis. Gastroenterol. Res. Pract. 2019, 2019, 1–9. [Google Scholar] [CrossRef] [PubMed] [Green Version]
- Gong, T.T.; Hu, D.M.; Zhu, Q. Contrast-enhanced EUS for differential diagnosis of pancreatic mass lesions: A meta-analysis. Gastrointest. Endosc. 2012, 76, 301–309. [Google Scholar] [CrossRef] [PubMed]
- He, X.; Ding, Y.; Sun, L.-M. Contrast-enhanced endoscopic ultrasound for differential diagnosis of pancreatic cancer: An updated meta-analysis. Oncotarget 2017, 8, 66392–66401. [Google Scholar] [CrossRef] [PubMed] [Green Version]
- Prokesch, R.W.; Chow, L.C.; Beaulieu, C.F.; Bammer, R.; Jeffrey, R.B. Isoattenuating Pancreatic Adenocarcinoma at Multi–Detector Row CT: Secondary Signs. Radiology 2002, 224, 764–768. [Google Scholar] [CrossRef]
- Varadarajulu, S.; Tamhane, A.; Eloubeidi, M.A. Yield of EUS-guided FNA of pancreatic masses in the presence or the absence of chronic pancreatitis. Gastrointest. Endosc. 2005, 62, 728–736. [Google Scholar] [CrossRef]
- Zhang, T.-T.; Wang, L.; Liu, H.-H.; Zhang, C.-Y.; Li, X.-M.; Lu, J.-P.; Wang, D.-B. Differentiation of pancreatic carcinoma and mass-forming focal pancreatitis: Qualitative and quantitative assessment by dynamic contrast-enhanced MRI combined with diffusion-weighted imaging. Oncotarget 2017, 8, 1744–1759. [Google Scholar] [CrossRef] [Green Version]
- Sandrasegaran, K.; Nutakki, K.; Tahir, B.; Dhanabal, A.; Tann, M.; Cote, G.A. Use of Diffusion-Weighted MRI to Differentiate Chronic Pancreatitis from Pancreatic Cancer. Am. J. Roentgenol. 2013, 201, 1002–1008. [Google Scholar] [CrossRef]
- Schima, W.; Böhm, G.; Rösch, C.S.; Klaus, A.; Függer, R.; Kopf, H. Mass-forming pancreatitis versus pancreatic ductal adenocarcinoma: CT and MR imaging for differentiation. Cancer Imaging 2020, 20, 52. [Google Scholar] [CrossRef]





| CT Image | EUS Image | p-Value | |
|---|---|---|---|
| Hypo-/Iso-pattern in CT or EUS | 18/22 | 33/7 | |
| Pancreatic dilatation, n (%) | 18 (45.0%) | 20 (50.0%) | |
| Distal pancreas atrophy, n (%) | 13 (32.5%) | 14 (35.0%) | |
| Vessel invasion, n (%) | 13 (32.5%) | 11 (27.5%) | |
| Correct image diagnosis rate, n (%) | 33 (82.5%) | 37 (92.5%) | 0.02 |
| Malignancy (n = 23) | Benign (n = 17) | p-Value | |
|---|---|---|---|
| Hypo/Iso-attenuating pattern in CT | 15/8 | 3/14 | 0.003 |
| Hypo/Iso-echoic pattern in EUS | 21/2 | 12/5 | 0.088 |
| Pancreatic dilatation in EUS, n (%) | 15 (65.2%) | 5 (29.4%) | 0.025 |
| Distal pancreas atrophy in EUS, n (%) | 12 (52.2%) | 2 (11.8%) | 0.008 |
| Vessel invasion in CT, n (%) | 12 (52.2%) | 1 (5.9%) | 0.002 |
| Predict Factors * | Benign (n = 17) | Malignancy (n = 23) | Sensitivity | Specificity | p-Value |
|---|---|---|---|---|---|
| At least one, n (%) | 13 (76.5%) | 23 (100%) | 100% | 23.5% | 0.014 |
| At least two, n (%) | 5 (29.4%) | 15 (65.2%) | 65.2% | 70.6% | 0.025 |
| Three, n (%) | 1 (5.9%) | 10 (43.5%) | 43.5% | 94.1% | 0.008 |
| Positive (n = 14) | False-Negative (n = 9) | p-Value | |
|---|---|---|---|
| FNA/FNB, n (%) | 8 (57.1%)/6(42.9%) | 8 (88.9%)/1(11.1%) | 0.106 |
| Pass number, n, mean + SD | 3.43 ± 1.56 | 3.89 ± 1.17 | 0.456 |
| Tumor location *, n | 1/7/3/3 | 1/6/2/0 | 0.513 |
| Tumor size, cm, mean ± SD | 4.2 ± 1.26 | 1.98 ± 0.84 | 0.00 |
| Calcification in pancreas, n | 2 (14.3%) | 2 (22.2%) | 0.643 |
Publisher’s Note: MDPI stays neutral with regard to jurisdictional claims in published maps and institutional affiliations. |
© 2022 by the authors. Licensee MDPI, Basel, Switzerland. This article is an open access article distributed under the terms and conditions of the Creative Commons Attribution (CC BY) license (https://creativecommons.org/licenses/by/4.0/).
Share and Cite
Lai, J.-H.; Lee, K.-H.; Chang, C.-W.; Chen, M.-J.; Lin, C.-C. Predicting Factors for Pancreatic Malignancy with Computed Tomography and Endoscopic Ultrasonography in Chronic Pancreatitis. Diagnostics 2022, 12, 1004. https://doi.org/10.3390/diagnostics12041004
Lai J-H, Lee K-H, Chang C-W, Chen M-J, Lin C-C. Predicting Factors for Pancreatic Malignancy with Computed Tomography and Endoscopic Ultrasonography in Chronic Pancreatitis. Diagnostics. 2022; 12(4):1004. https://doi.org/10.3390/diagnostics12041004
Chicago/Turabian StyleLai, Jian-Han, Keng-Han Lee, Chen-Wang Chang, Ming-Jen Chen, and Ching-Chung Lin. 2022. "Predicting Factors for Pancreatic Malignancy with Computed Tomography and Endoscopic Ultrasonography in Chronic Pancreatitis" Diagnostics 12, no. 4: 1004. https://doi.org/10.3390/diagnostics12041004
APA StyleLai, J.-H., Lee, K.-H., Chang, C.-W., Chen, M.-J., & Lin, C.-C. (2022). Predicting Factors for Pancreatic Malignancy with Computed Tomography and Endoscopic Ultrasonography in Chronic Pancreatitis. Diagnostics, 12(4), 1004. https://doi.org/10.3390/diagnostics12041004

