Virtual Non-Contrast Reconstructions of Photon-Counting Detector CT Angiography Datasets as Substitutes for True Non-Contrast Acquisitions in Patients after EVAR—Performance of a Novel Calcium-Preserving Reconstruction Algorithm
Abstract
:1. Introduction
2. Materials and Methods
2.1. Patient Selection
2.2. CT Scan Protocol, Contrast Protocol, and Radiation Dose
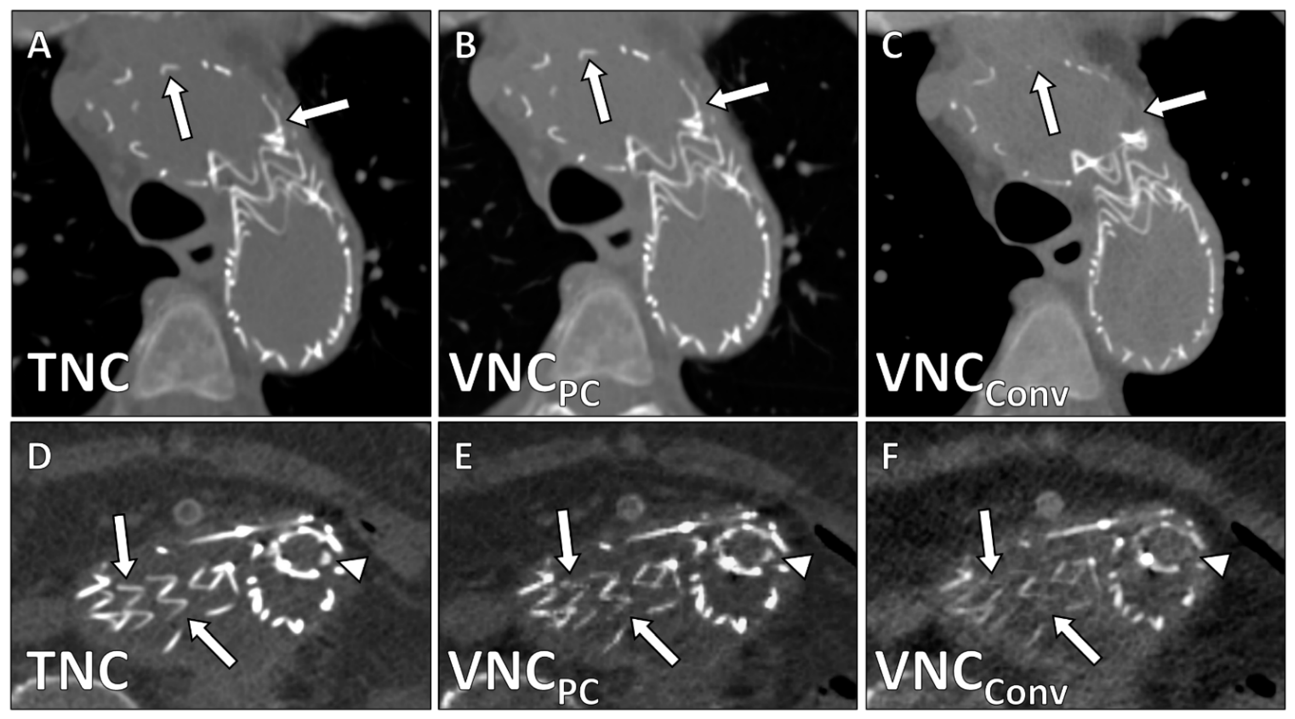
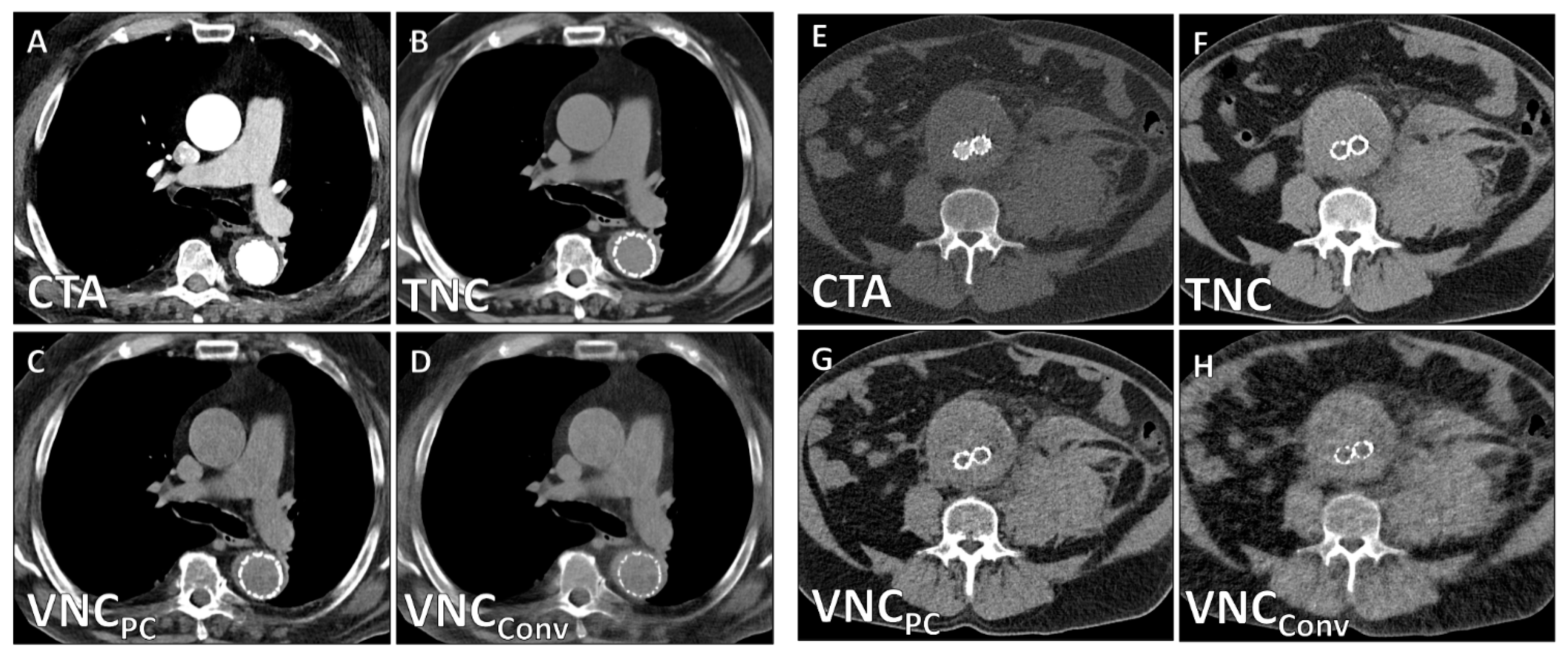
2.3. Image Reconstruction
2.4. Image Analysis
2.5. Statistical Analysis
3. Results
3.1. Patients, Scan Parameters and DLP
3.2. Quantitative Image Analysis
3.3. Subjective Image Quality Analysis
4. Discussion
5. Conclusions
Author Contributions
Funding
Institutional Review Board Statement
Informed Consent Statement
Data Availability Statement
Acknowledgments
Conflicts of Interest
References
- Chaikof, E.L.; Dalman, R.L.; Eskandari, M.K.; Jackson, B.M.; Lee, W.A.; Mansour, M.A.; Mastracci, T.M.; Mell, M.; Murad, M.H.; Nguyen, L.L.; et al. The Society for Vascular Surgery Practice Guidelines on the Care of Patients with an Abdominal Aortic Aneurysm. J. Vasc. Surg. 2018, 67, 2–77.e2. [Google Scholar] [CrossRef] [Green Version]
- Swerdlow, N.J.; Wu, W.W.; Schermerhorn, M.L. Open and Endovascular Management of Aortic Aneurysms. Circ. Res. 2019, 124, 647–661. [Google Scholar] [CrossRef]
- Smith, T.; Quencer, K.B. Best Practice Guidelines: Imaging Surveillance after Endovascular Aneurysm Repair. Am. J. Roentgenol. 2020, 214, 1165–1174. [Google Scholar] [CrossRef]
- de Jong, P.A.; Mayo, J.R.; Golmohammadi, K.; Nakano, Y.; Lequin, M.H.; Tiddens, H.A.W.M.; Aldrich, J.; Coxson, H.O.; Sin, D.D. Estimation of Cancer Mortality Associated with Repetitive Computed Tomography Scanning. Am. J. Respir. Crit. Care Med. 2006, 173, 199–203. [Google Scholar] [CrossRef]
- Brenner, D.J.; Hall, E.J. Computed Tomography—An Increasing Source of Radiation Exposure. N. Engl. J. Med. 2007, 357, 2277–2284. [Google Scholar] [CrossRef] [Green Version]
- White, H.A.; Macdonald, S. Estimating Risk Associated with Radiation Exposure during Follow-up after Endovascular Aortic Repair (EVAR). J. Cardiovasc. Surg. 2010, 51, 95–104. [Google Scholar]
- Johnson, T.R.C.; Krauß, B.; Sedlmair, M.; Grasruck, M.; Bruder, H.; Morhard, D.; Fink, C.; Weckbach, S.; Lenhard, M.; Schmidt, B.; et al. Material Differentiation by Dual Energy CT: Initial Experience. Eur. Radiol. 2007, 17, 1510–1517. [Google Scholar] [CrossRef]
- Sommer, W.H.; Graser, A.; Becker, C.R.; Clevert, D.A.; Reiser, M.F.; Nikolaou, K.; Johnson, T.R.C. Image Quality of Virtual Noncontrast Images Derived from Dual-Energy CT Angiography after Endovascular Aneurysm Repair. J. Vasc. Interv. Radiol. 2010, 21, 315–321. [Google Scholar] [CrossRef]
- Buffa, V.; Solazzo, A.; D’Auria, V.; del Prete, A.; Vallone, A.; Luzietti, M.; Madau, M.; Grassi, R.; Miele, V. Dual-Source Dual-Energy CT: Dose Reduction after Endovascular Abdominal Aortic Aneurysm Repair. Radiol. Med. 2014, 119, 934–941. [Google Scholar] [CrossRef]
- Müller-Wille, R.; Borgmann, T.; Wohlgemuth, W.A.; Zeman, F.; Pfister, K.; Jung, E.M.; Heiss, P.; Schreyer, A.G.; Krauss, B.; Stroszczynski, C.; et al. Dual-Energy Computed Tomography after Endovascular Aortic Aneurysm Repair: The Role of Hard Plaque Imaging for Endoleak Detection. Eur. Radiol. 2014, 24, 2449–2457. [Google Scholar] [CrossRef]
- Toepker, M.; Moritz, T.; Krauss, B.; Weber, M.; Euller, G.; Mang, T.; Wolf, F.; Herold, C.J.; Ringl, H. Virtual Non-Contrast in Second-Generation, Dual-Energy Computed Tomography: Reliability of Attenuation Values. Eur. J. Radiol. 2012, 81, e398–e405. [Google Scholar] [CrossRef]
- Lehti, L.; Söderberg, M.; Höglund, P.; Wassélius, J. Comparing Arterial- and Venous-Phase Acquisition for Optimization of Virtual Noncontrast Images From Dual-Energy Computed Tomography Angiography. J. Comput. Assist. Tomogr. 2019, 43, 770–774. [Google Scholar] [CrossRef]
- Lehti, L.; Söderberg, M.; Höglund, P.; Nyman, U.; Gottsäter, A.; Wassélius, J. Reliability of Virtual Non-Contrast Computed Tomography Angiography: Comparing It with the Real Deal. Acta Radiol. Open 2018, 7, 205846011879011. [Google Scholar] [CrossRef] [Green Version]
- Martin, S.S.; Wichmann, J.L.; Weyer, H.; Scholtz, J.E.; Leithner, D.; Spandorfer, A.; Bodelle, B.; Jacobi, V.; Vogl, T.J.; Albrecht, M.H. Endoleaks after Endovascular Aortic Aneurysm Repair: Improved Detection with Noise-Optimized Virtual Monoenergetic Dual-Energy CT. Eur. J. Radiol. 2017, 94, 125–132. [Google Scholar] [CrossRef]
- Schwarz, F.; Nance, J.W.; Ruzsics, B.; Bastarrika, G.; Sterzik, A.; Schoepf, U.J. Quantification of Coronary Artery Calcium on the Basis of Dual-Energy Coronary CT Angiography. Radiology 2012, 264, 700–707. [Google Scholar] [CrossRef]
- Flohr, T.; Petersilka, M.; Henning, A.; Ulzheimer, S.; Ferda, J.; Schmidt, B. Photon-Counting CT Review. Phys. Med. 2020, 79, 126–136. [Google Scholar] [CrossRef]
- Flohr, T.; Ulzheimer, S.; Petersilka, M.; Schmidt, B. Basic Principles and Clinical Potential of Photon-Counting Detector CT. Chin. J. Acad. Radiol. 2020, 3, 19–34. [Google Scholar] [CrossRef] [Green Version]
- Bette, S.J.; Braun, F.M.; Haerting, M.; Decker, J.A.; Luitjens, J.H.; Scheurig-Muenkler, C.; Kroencke, T.J.; Schwarz, F. Visualization of Bone Details in a Novel Photon-Counting Dual-Source CT Scanner—Comparison with Energy-Integrating CT. Eur. Radiol. 2021. [Google Scholar] [CrossRef]
- Emrich, T.; Aquino, G.; Schoepf, U.J.; Braun, F.; Woznicki, P.; Decker, J.A.; O’Doherty, J.; Brandt, V.; Allmendinger, T.; Nowak, T.; et al. Coronary CTA-Based Calcium Scoring: In-Vitro and In-Vivo Validation of a Novel Virtual Non-Iodine Reconstruction Algorithm on a Clinical, First Generation Photon Counting-Detector System. Investig. Radiol. 2022; in press. [Google Scholar]
- Landis, J.R.; Koch, G.G. The Measurement of Observer Agreement for Categorical Data. Biometrics 1977, 33, 159–174. [Google Scholar] [CrossRef] [Green Version]
- Connolly, M.J.; McInnes, M.D.F.; El-Khodary, M.; McGrath, T.A.; Schieda, N. Diagnostic Accuracy of Virtual Non-Contrast Enhanced Dual-Energy CT for Diagnosis of Adrenal Adenoma: A Systematic Review and Meta-Analysis. Eur. Radiol. 2017, 27, 4324–4335. [Google Scholar] [CrossRef] [PubMed]
- Holz, J.A.; Alkadhi, H.; Laukamp, K.R.; Lennartz, S.; Heneweer, C.; Püsken, M.; Persigehl, T.; Maintz, D.; Große Hokamp, N. Quantitative Accuracy of Virtual Non-Contrast Images Derived from Spectral Detector Computed Tomography: An Abdominal Phantom Study. Sci. Rep. 2020, 10, 21575. [Google Scholar] [CrossRef] [PubMed]
- Sauter, A.P.; Muenzel, D.; Dangelmaier, J.; Braren, R.; Pfeiffer, F.; Rummeny, E.J.; Noël, P.B.; Fingerle, A.A. Dual-Layer Spectral Computed Tomography: Virtual Non-Contrast in Comparison to True Non-Contrast Images. Eur. J. Radiol. 2018, 104, 108–114. [Google Scholar] [CrossRef] [PubMed]
- Si-Mohamed, S.; Dupuis, N.; Tatard-Leitman, V.; Rotzinger, D.; Boccalini, S.; Dion, M.; Vlassenbroek, A.; Coulon, P.; Yagil, Y.; Shapira, N.; et al. Virtual versus True Non-Contrast Dual-Energy CT Imaging for the Diagnosis of Aortic Intramural Hematoma. Eur. Radiol. 2019, 29, 6762–6771. [Google Scholar] [CrossRef]
- Decker, J.A.; Bette, S.; Lubina, N.; Rippel, K.; Braun, F.; Risch, F.; Woznicki, P.; Wollny, C.; Scheurig-Muenkler, C.; Kroencke, T.J.; et al. Low-Dose CT of the Abdomen: Initial Experience on a Novel Photon-Counting Detector CT and Comparison with Energy-Integrating Detector CT. Eur. J. Radiol. 2022, 148, 110181. [Google Scholar] [CrossRef]
- Euler, A.; Higashigaito, K.; Mergen, V.; Sartoretti, T.; Zanini, B.; Schmidt, B.; Flohr, T.G.; Ulzheimer, S.; Eberhard, M.; Alkadhi, H. High-Pitch Photon-Counting Detector Computed Tomography Angiography of the Aorta. Investig. Radiol. 2022, 57, 115–121. [Google Scholar] [CrossRef]
- Sartoretti, T.; Landsmann, A.; Nakhostin, D.; Eberhard, M.; Roeren, C.; Mergen, V.; Higashigaito, K.; Raupach, R.; Alkadhi, H.; Euler, A. Quantum Iterative Reconstruction for Abdominal Photon-Counting Detector CT Improves Image Quality. Radiology 2022, 211931. [Google Scholar] [CrossRef]
- Keith, C.J.; Passman, M.A.; Gaffud, M.J.; Novak, Z.; Pearce, B.J.; Matthews, T.C.; Patterson, M.A.; Jordan, W.D. Comparison of Outcomes Following Endovascular Repair of Abdominal Aortic Aneurysms Based on Size Threshold. J. Vasc. Surg. 2013, 58, 1458–1466. [Google Scholar] [CrossRef]
- Hobo, R.; Buth, J.; EUROSTAR collaborators. Secondary Interventions Following Endovascular Abdominal Aortic Aneurysm Repair Using Current Endografts. A EUROSTAR Report. J. Vasc. Surg. 2006, 43, 896–902. [Google Scholar] [CrossRef] [Green Version]
- de Donato, G.; Pasqui, E.; Panzano, C.; Brancaccio, B.; Grottola, G.; Galzerano, G.; Benevento, D.; Palasciano, G. The Polymer-Based Technology in the Endovascular Treatment of Abdominal Aortic Aneurysms. Polymers 2021, 13, 1196. [Google Scholar] [CrossRef]




| Number of Patients in Each Group/Subgroup (n) | Value | |
|---|---|---|
| Age, years | 20 | 68.5 ± 9.8 | 
| Gender, male | 17 (85%) | |
| Total DLP, mGy·cm | 20 | 442 ± 245 | 
| DLP, mGy·cm | ||
| Unenhanced | ||
| Total | 20 | 207 ± 115 | 
| Chest | 11 | 280 ± 107 | 
| Abdomen | 9 | 117 ± 30 | 
| CTA | ||
| Total | 20 | 229 ± 134 | 
| Chest + Abdomen | 14 | 315 ± 125 | 
| Abdomen only | 6 | 124 ± 23 | 
| CTDIvol, mGy | ||
| Unenhanced | ||
| Total | 20 | 6.0 ± 3.0 | 
| Chest | 11 | 7.9 ± 2.8 | 
| Abdomen | 9 | 3.6 ± 0.7 | 
| CTA | ||
| Total | 20 | 3.4 ± 1.7 | 
| Chest + Abdomen | 14 | 4.3 ± 1.7 | 
| Abdomen only | 6 | 2.2 ± 0.4 | 
| TNC | VNCPC | VNCConv | Friedman X2 | p | Subgroup Analysis | p | |
|---|---|---|---|---|---|---|---|
| CT values/HU | 44.4 ± 15.5 | 39.1 ± 15.8 | 33.2 ± 15.9 | 19.6 | 0.006 | TNC/VNCPC TNC/VNCConv VNCPC/VNCConv | 0.013 <0.001 <0.001 | 
| Noise/HU | 14.9 ± 7.1 | 16.7 ± 7.1 | 18.6 ± 5.3 | 22.8 | 0.003 | TNC/VNCPC TNC/VNCConv VNCPC/VNCConv | <0.001 <0.001 0.021 | 
| SNR | 3.3 ± 1.6 | 2.5 ± 1.3 | 1.9 ± 0.9 | 25.0 | <0.001 | TNC/VNCConv TNC/VNCConv VNCPC/VNCConv | <0.001 <0.001 <0.001 | 
| VNCPC | Cohen’s κ (95% CI) | VNCConv | Fleiss’ κ (95% CI) | p | |
|---|---|---|---|---|---|
| Image Quality | 4.2 ± 0.9 | 0.68 (0.44–0.78) | 2.5 ± 0.6 | 0.62 (0.43–0.77) | <0.001 | 
| Calcium Subtraction | 4.6 ± 0.5 | 0.75 (0.66–0.82) | 3.0 ± 0.6 | 0.58 (0.40–0.71) | <0.001 | 
| Stent Subtraction | 4.7 ± 0.7 | 0.72 (0.58–0.81) | 3.8 ± 1.2 | 0.62 (0.49–0.77) | 0.003 | 
| Contrast Subtraction Aorta | 5.0 ± 0.0 | 1.0 (1.0–1.0) | 5.0 ± 0.0 | 1.0 (1.0–1.0) | 1 | 
| Contrast Subtraction Total | 4.3 ± 0.8 | 0.86 (0.71–0.95) | 4.0 ± 1.1 | 0.79 (0.66–0.89) | 0.091 | 
| Publisher’s Note: MDPI stays neutral with regard to jurisdictional claims in published maps and institutional affiliations. | 
© 2022 by the authors. Licensee MDPI, Basel, Switzerland. This article is an open access article distributed under the terms and conditions of the Creative Commons Attribution (CC BY) license (https://creativecommons.org/licenses/by/4.0/).
Share and Cite
Decker, J.A.; Bette, S.; Scheurig-Muenkler, C.; Jehs, B.; Risch, F.; Woźnicki, P.; Braun, F.M.; Haerting, M.; Wollny, C.; Kroencke, T.J.; et al. Virtual Non-Contrast Reconstructions of Photon-Counting Detector CT Angiography Datasets as Substitutes for True Non-Contrast Acquisitions in Patients after EVAR—Performance of a Novel Calcium-Preserving Reconstruction Algorithm. Diagnostics 2022, 12, 558. https://doi.org/10.3390/diagnostics12030558
Decker JA, Bette S, Scheurig-Muenkler C, Jehs B, Risch F, Woźnicki P, Braun FM, Haerting M, Wollny C, Kroencke TJ, et al. Virtual Non-Contrast Reconstructions of Photon-Counting Detector CT Angiography Datasets as Substitutes for True Non-Contrast Acquisitions in Patients after EVAR—Performance of a Novel Calcium-Preserving Reconstruction Algorithm. Diagnostics. 2022; 12(3):558. https://doi.org/10.3390/diagnostics12030558
Chicago/Turabian StyleDecker, Josua A., Stefanie Bette, Christian Scheurig-Muenkler, Bertram Jehs, Franka Risch, Piotr Woźnicki, Franziska M. Braun, Mark Haerting, Claudia Wollny, Thomas J. Kroencke, and et al. 2022. "Virtual Non-Contrast Reconstructions of Photon-Counting Detector CT Angiography Datasets as Substitutes for True Non-Contrast Acquisitions in Patients after EVAR—Performance of a Novel Calcium-Preserving Reconstruction Algorithm" Diagnostics 12, no. 3: 558. https://doi.org/10.3390/diagnostics12030558
APA StyleDecker, J. A., Bette, S., Scheurig-Muenkler, C., Jehs, B., Risch, F., Woźnicki, P., Braun, F. M., Haerting, M., Wollny, C., Kroencke, T. J., & Schwarz, F. (2022). Virtual Non-Contrast Reconstructions of Photon-Counting Detector CT Angiography Datasets as Substitutes for True Non-Contrast Acquisitions in Patients after EVAR—Performance of a Novel Calcium-Preserving Reconstruction Algorithm. Diagnostics, 12(3), 558. https://doi.org/10.3390/diagnostics12030558
 
         
                                                

 
       