Associating Automated Breast Ultrasound (ABUS) and Digital Breast Tomosynthesis (DBT) with Full-Field Digital Mammography (FFDM) in Clinical Practice in Cases of Women with Dense Breast Tissue
Abstract
1. Introduction
2. Materials and Methods
2.1. Study Design and Population
2.2. Image Acquisition
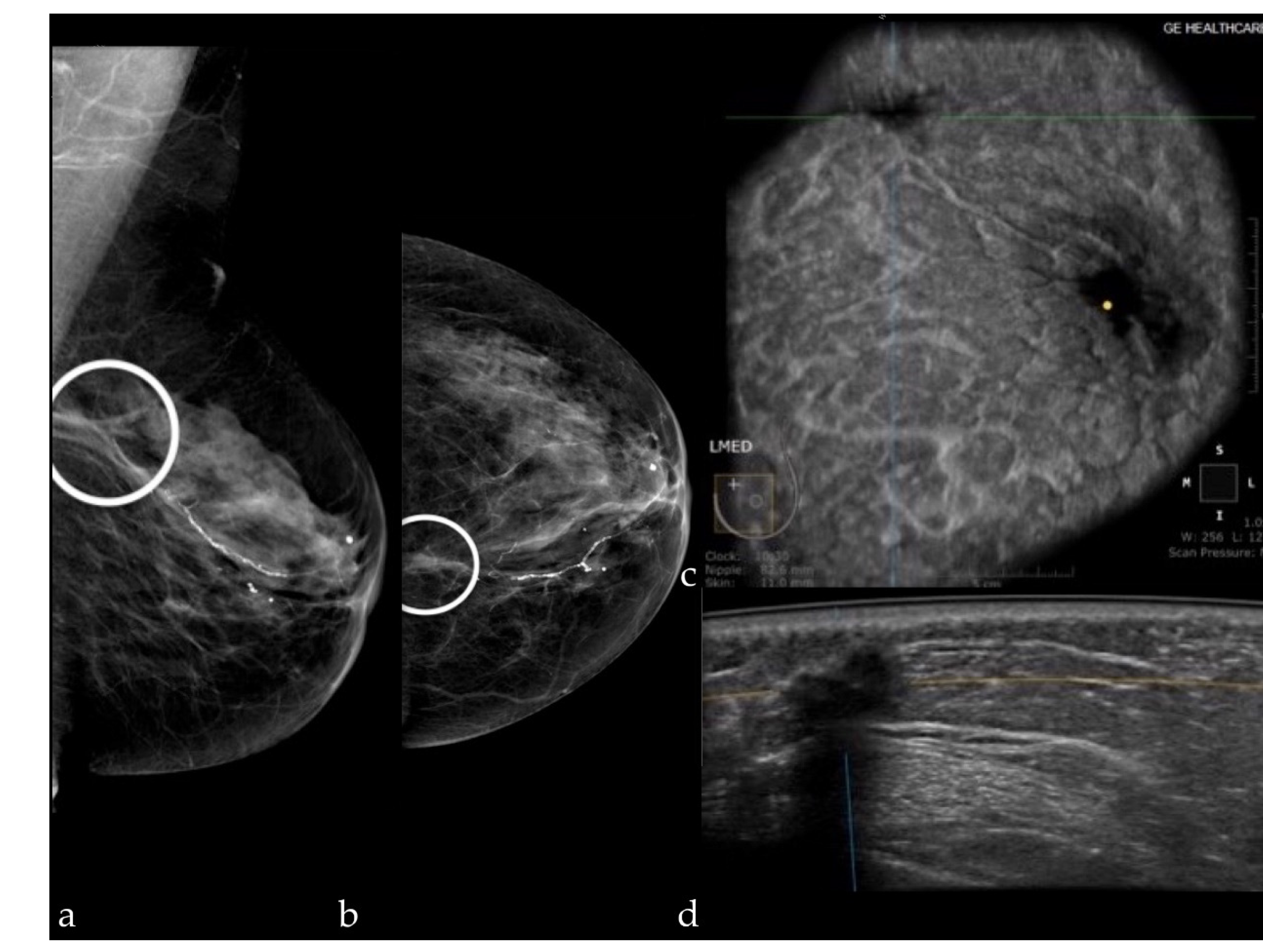
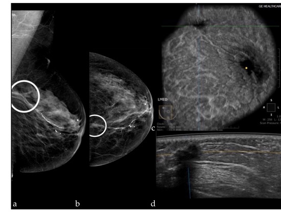
2.3. Image Review
2.4. Reference Standard
2.5. Statistical Analysis
3. Results
3.1. Study Population
3.2. Performance of FFDM+DBT and FFDM+ABUS Compared with the Standard
3.3. Agreement of FFDM+DBT with FFDM+ABUS Interpretation
3.4. Interobserver Agreement of FFDM+ABUS and FFDM+DBT Interpretation
4. Discussion
5. Conclusions
Author Contributions
Funding
Institutional Review Board Statement
Informed Consent Statement
Data Availability Statement
Acknowledgments
Conflicts of Interest
References
- Sardanelli, F.; Fallenberg, E.M.; Clauser, P.; Trimboli, R.M.; Camps-Herrero, J.; Helbich, T.H.; Forrai, G. Mammography: An update of the EUSOBI recommendations on information for women. Insights Imaging 2017, 8, 11–18. [Google Scholar] [CrossRef] [PubMed]
- Lip, G.; Zakharova, N.; Duffy, S.; Gillan, M.; Gilbert, F. Breast density as a predictor of breast cancer risk. Breast Cancer Res. 2010, 12, P1. [Google Scholar] [CrossRef]
- Weigert, J.; Steenbergen, S. The Connecticut Experiment: The Role of Ultrasound in the Screening of Women With Dense Breasts. Breast J. 2012, 18, 517–522. [Google Scholar] [CrossRef] [PubMed]
- Berg, W.A.; Zhang, Z.; Lehrer, D.; Jong, R.A.; Pisano, E.D.; Barr, R.G. Detection of breast cancer with addition of annual screening ultrasound or a single screening MRI to mammography in women with elevated breast cancer risk. JAMA J. Am. Med. Assoc. 2012, 307, 1394–1404. [Google Scholar]
- Sung, J.S.; Dershaw, D.D. Breast Magnetic Resonance Imaging for Screening High-Risk Women. Magn. Reson. Imaging Clin. N. Am. 2013, 21, 509–517. [Google Scholar] [CrossRef]
- Girometti, R.; Tomkova, L.; Cereser, L.; Zuiani, C. Breast cancer staging: Combined digital breast tomosynthesis and au-tomated breast ultrasound versus magnetic resonance imaging. Eur. J. Radiol. 2018, 107, 188–195. [Google Scholar] [CrossRef]
- Rella, R.; Belli, P.; Giuliani, M.; Bufi, E.; Carlino, G.; Rinaldi, P. Automated Breast Ultrasonography (ABUS) in the Screening and Diagnostic Setting: Indications and Practical Use. Acad. Radiol. 2018, 25, 1457–1470. [Google Scholar] [CrossRef]
- Brem, R.F.; Tabár, L.; Duffy, S.W.; Inciardi, M.F.; Guingrich, J.A.; Hashimoto, B.E.; Lander, M.R.; Lapidus, R.L.; Peterson, M.K.; Rapelyea, J.A.; et al. Assessing Improvement in Detection of Breast Cancer with Three-dimensional Automated Breast US in Women with Dense Breast Tissue: The SomoInsight Study. Radiology 2015, 274, 663–673. [Google Scholar] [CrossRef]
- Niu, L.; Bao, L.; Zhu, L.; Tan, Y.; Xu, X.; Shan, Y.; Liu, J.; Zhu, Q.; Jiang, C.; Shen, Y. Diagnostic Performance of Automated Breast Ultrasound in Differ-entiating Benign and Malignant Breast Masses in Asymptomatic Women: A Comparison Study With Handheld Ultrasound. J. Ultrasound Med. 2019, 38, 2871–2880. [Google Scholar] [CrossRef]
- Zuley, M.L.; Bandos, A.I.; Ganott, M.A.; Sumkin, J.H.; Kelly, A.E.; Catullo, V.J.; Rathfon, G.Y.; Lu, A.H.; Gur, D. Digital breast tomosynthesis versus sup-plemental diagnostic mammographic views for evaluation of noncalcified breast lesions. Radiology 2013, 266, 89–95. [Google Scholar] [CrossRef]
- Friedewald, S.M.; Rafferty, E.A.; Rose, S.L.; Durand, M.A.; Plecha, D.M.; Greenberg, J.S.; Hayes, M.K.; Copit, D.S.; Carlson, K.L.; Cink, T.M.; et al. Breast Cancer Screening Using Tomosynthesis in Combination With Digital Mammography. JAMA J. Am. Med Assoc. 2014, 311, 2499–2507. [Google Scholar] [CrossRef] [PubMed]
- Rafferty, E.A.; Durand, M.A.; Conant, E.F.; Copit, D.S.; Friedewald, S.M.; Plecha, D.M.; Miller, D. Breast Cancer Screening Using Tomosynthesis and Digital Mammography in Dense and Nondense Breasts. JAMA J. Am. Med Assoc. 2016, 315, 1784–1786. [Google Scholar] [CrossRef] [PubMed]
- Houssami, N.; Macaskill, P.; Bernardi, D.; Caumo, F.; Pellegrini, M.; Brunelli, S.; Tuttobene, P.; Bricolo, P.; Fantò, C.; Valentini, M.; et al. Breast screening using 2D-mammography or integrating digital breast tomosynthesis (3D-mammography) for single-reading or double-reading—Evidence to guide future screening strategies. Eur. J. Cancer 2014, 50, 1799–1807. [Google Scholar] [CrossRef]
- Hakim, C.M.; Chough, D.M.; Ganott, M.A.; Sumkin, J.H.; Zuley, M.L.; Gur, D. Digital Breast Tomosynthesis in the Diagnostic Environment: A Subjective Side-by-Side Review. Am. J. Roentgenol. 2010, 195, W172–W176. [Google Scholar] [CrossRef] [PubMed]
- Waldherr, C.; Cerny, P.; Altermatt, H.J.; Berclaz, G.; Ciriolo, M.; Buser, K.; Sonnenschein, M.J. Value of One-View Breast Tomosynthesis Versus Two-View Mammography in Diagnostic Workup of Women With Clinical Signs and Symptoms and in Women Recalled From Screening. Am. J. Roentgenol. 2013, 200, 226–231. [Google Scholar] [CrossRef] [PubMed]
- Kim, S.A.; Chang, J.M.; Cho, N.; Yi, A.; Moon, W.K. Characterization of breast lesions: Comparison of digital breast tomo-synthesis and ultrasonography. Korean J. Radiol. 2015, 16, 229–238. [Google Scholar] [CrossRef]
- Wallis, M.G.; Moa, E.; Zanca, F.; Leifland, K.; Danielsson, M. Two-View and Single-View Tomosynthesis versus Full-Field Digital Mammography: High-Resolution X-Ray Imaging Observer Study. Radiology 2012, 262, 788–796. [Google Scholar] [CrossRef]
- Shin, S.U.; Chang, J.M.; Bae, M.S.; Lee, S.H.; Cho, N.; Seo, M.; Kim, W.H.; Moon, W.K. Comparative evaluation of average glandular dose and breast cancer detection between single-view digital breast tomosynthesis (DBT) plus single-view digital mammography (DM) and two-view DM: Correlation with breast thickness and density. Eur. Radiol. 2014, 25, 1–8. [Google Scholar] [CrossRef]
- Skaane, P.; Bandos, A.I.; Gullien, R.; Eben, E.B.; Ekseth, U.; Haakenaasen, U.; Izadi, M. Prospective trial comparing full-field digital mammography (FFDM) versus combined FFDM and tomosynthesis in a population-based screening programme using inde-pendent double reading with arbitration. Eur. Radiol. 2013, 23, 2061–2071. [Google Scholar] [CrossRef]
- Svahn, T.; Houssami, N.; Sechopoulos, I.; Mattsson, S. Review of radiation dose estimates in digital breast tomosynthesis relative to those in two-view full-field digital mammography. Breast 2015, 24, 93–99. [Google Scholar] [CrossRef]
- Dang, P.A.; Freer, P.; Humphrey, K.L.; Halpern, E.F.; Rafferty, E.A. Addition of Tomosynthesis to Conventional Digital Mammography: Effect on Image Interpretation Time of Screening Examinations. Radiology 2014, 270, 49–56. [Google Scholar] [CrossRef] [PubMed]
- Vourtsis, A.; Berg, W.A. Breast density implications and supplemental screening. Eur. Radiol. 2019, 29, 1762–1777. [Google Scholar] [CrossRef] [PubMed]
- Kotsianos-Hermle, D.; Wirth, S.; Fischer, T.; Hiltawsky, K.; Reiser, M. First clinical use of a standardized three-dimensional ultrasound for breast imaging. Eur. J. Radiol. 2009, 71, 102–108. [Google Scholar] [CrossRef] [PubMed]
- Chang, J.M.; Moon, W.K.; Cho, N.; Park, J.S.; Kim, S.J. Radiologists’ performance in the detection of benign and malignant masses with 3D automated breast ultrasound (ABUS). Eur. J. Radiol. 2011, 78, 99–103. [Google Scholar] [CrossRef] [PubMed]
- Kim, H.; Cha, J.H.; Oh, H.-Y.; Kim, H.H.; Shin, H.J.; Chae, E.Y. Comparison of conventional and automated breast volume ultrasound in the description and characterization of solid breast masses based on BI-RADS features. Breast Cancer 2014, 21, 423–428. [Google Scholar] [CrossRef]
- Golatta, M.; Baggs, C.; Schweitzer-Martin, M.; Domschke, C.; Schott, S.; Harcos, A.; Scharf, A.; Junkermann, H.; Rauch, G.; Rom, J.; et al. Evaluation of an automated breast 3D-ultrasound system by comparing it with hand-held ultrasound (HHUS) and mammography. Arch. Gynecol. Obstet. 2014, 291, 889–895. [Google Scholar] [CrossRef]
- Kelly, K.M.; Dean, J.; Lee, S.-J.; Comulada, W.S. Breast cancer detection: Radiologists’ performance using mammography with and without automated whole-breast ultrasound. Eur. Radiol. 2010, 20, 2557–2564. [Google Scholar] [CrossRef][Green Version]
- Giuliano, V.; Giuliano, C. Improved breast cancer detection in asymptomatic women using 3D-automated breast ultra-sound in mammographically dense breasts. Clin. Imaging 2013, 37, 480–486. [Google Scholar] [CrossRef]
- Wilczek, B.; Wilczek, H.E.; Rasouliyan, L.; Leifland, K. Adding 3D automated breast ultrasound to mammography screening in women with heterogeneously and extremely dense breasts: Report from a hospital-based, high-volume, single-center breast cancer screening program. Eur. J. Radiol. 2016, 85, 1554–1563. [Google Scholar] [CrossRef]
- Giger, M.L.; Inciardi, M.F.; Edwards, A.; Papaioannou, J.; Drukker, K.; Jiang, Y.; Brem, R.; Brown, J.B. Automated Breast Ultrasound in Breast Cancer Screening of Women With Dense Breasts: Reader Study of Mammography-Negative and Mammography-Positive Cancers. Am. J. Roentgenol. 2016, 206, 1341–1350. [Google Scholar] [CrossRef]
- Skaane, P.; Gullien, R.; Eben, E.B.; Sandhaug, M.; Schulz-Wendtland, R.; Stoeblen, F. Interpretation of automated breast ultrasound (ABUS) with and without knowledge of mammography: A reader performance study. Acta Radiol. 2015, 56, 404–412. [Google Scholar] [CrossRef] [PubMed]




| BI-RADS Score | Imaging Technique | |
|---|---|---|
| FFDM+DBT | FFDM+ABUS | |
| 0 | 8 (16%) | 1 (2%) |
| 1 | 9 (18%) | 14 (28%) |
| 2 | 19 (38%) | 23 (46%) |
| 4 | 7 (14%) | 4 (8%) |
| 5 | 7 (14%) | 8 (16%) |
| Technique | ||
|---|---|---|
| FFDM+DBT (95% CI) | FFDM+ABUS (95% CI) | |
| Se (%) | 91.67 [61.52–99.79] | 81.82 [48.22–97.72] |
| Sp (%) | 71.79 [55.13–85.00] | 89.74 [75.78–97.13] |
| PPV (%) | 50 [37.08–62.92] | 69.23 [46.05–85.57] |
| NPV (%) | 96.55 [80.93–99.46] | 94.59 [83.26–98.40] |
| Accuracy | 76.47 [62.51–87.21] | 88 [75.69–95.47] |
| FFDM+DBT | Standard | Total (%) | |
|---|---|---|---|
| BI-RADS 1 + 2 (%) | BI-RADS 4 + 5 (%) | ||
| BI-RADS 1 + 2 (%) | 28 (100) | 0 (0) | 28 (100) |
| BI-RADS 0 + 4 + 5 (%) | 11 (50) | 11 (50) | 22 (100) |
| FFDM+ABUS | Standard | Total (%) | |
|---|---|---|---|
| BI-RADS 1 + 2 (%) | BI-RADS 4 + 5 (%) | ||
| BI-RADS 1 + 2 (%) | 35 (94.6) | 2 (5.4) | 37 (100) |
| BI-RADS 0 + 4 + 5 (%) | 4 (30.8) | 9 (69.2) | 13 (100) |
| FFDM+DBT | FFDM+ABUS | Total (%) | |
|---|---|---|---|
| BI-RADS 1 + 2 (%) | BI-RADS 0 + 4 + 5 (%) | ||
| BI-RADS 1 + 2 (%) | 28 (100) | 0 (0) | 28 (100) |
| BI-RADS 0 + 4 + 5 (%) | 9 (40.9) | 13 (59.1) | 22 (100) |
| FFDM+ABUS (First Reader) | FFDM+ABUS (Second Reader) | Total (%) | |
|---|---|---|---|
| No of Patients with a Negative BI-RADS Score (%) (BI-RADS 1 and 2) | No of Patients with a Positive BI-RADS Score (%) (BI-RADS 0, 4, and 5) | ||
| No of patients with a negative BI-RADS score (%) (BI-RADS 1 and 2) | 36 (94.7) | 2 (5.3) | 38 (100) |
| No of patients with a positive BI-RADS score (%) (BI-RADS 0, 4, and 5) | 0 (0) | 12 (100) | 12 (100) |
| FFDM+DBT (First Reader) | FFDM+DBT (Second Reader) | Total (%) | |
|---|---|---|---|
| No of Patients with a Negative BI-RADS Score (%) (BI-RADS 1 and 2) | No of Patients with a Positive BI-RADS Score (%) (BI-RADS 0, 4, and 5) | ||
| No of patients with a negative BI-RADS score (%) (BI-RADS 1 and 2) | 23 (88.5) | 3 (11.5) | 26 (100) |
| No of patients with a positive BI-RADS score (%) (BI-RADS 0, 4, and 5) | 2 (8.3) | 22 (91.7) | 24 (100) |
Publisher’s Note: MDPI stays neutral with regard to jurisdictional claims in published maps and institutional affiliations. |
© 2022 by the authors. Licensee MDPI, Basel, Switzerland. This article is an open access article distributed under the terms and conditions of the Creative Commons Attribution (CC BY) license (https://creativecommons.org/licenses/by/4.0/).
Share and Cite
Boca, I.; Ciurea, A.I.; Vesa, Ș.C.; Ciortea, C.A.; Dudea, S.M.; Manole, S. Associating Automated Breast Ultrasound (ABUS) and Digital Breast Tomosynthesis (DBT) with Full-Field Digital Mammography (FFDM) in Clinical Practice in Cases of Women with Dense Breast Tissue. Diagnostics 2022, 12, 459. https://doi.org/10.3390/diagnostics12020459
Boca I, Ciurea AI, Vesa ȘC, Ciortea CA, Dudea SM, Manole S. Associating Automated Breast Ultrasound (ABUS) and Digital Breast Tomosynthesis (DBT) with Full-Field Digital Mammography (FFDM) in Clinical Practice in Cases of Women with Dense Breast Tissue. Diagnostics. 2022; 12(2):459. https://doi.org/10.3390/diagnostics12020459
Chicago/Turabian StyleBoca (Bene), Ioana, Anca Ileana Ciurea, Ștefan Cristian Vesa, Cristiana Augusta Ciortea, Sorin Marian Dudea, and Simona Manole. 2022. "Associating Automated Breast Ultrasound (ABUS) and Digital Breast Tomosynthesis (DBT) with Full-Field Digital Mammography (FFDM) in Clinical Practice in Cases of Women with Dense Breast Tissue" Diagnostics 12, no. 2: 459. https://doi.org/10.3390/diagnostics12020459
APA StyleBoca, I., Ciurea, A. I., Vesa, Ș. C., Ciortea, C. A., Dudea, S. M., & Manole, S. (2022). Associating Automated Breast Ultrasound (ABUS) and Digital Breast Tomosynthesis (DBT) with Full-Field Digital Mammography (FFDM) in Clinical Practice in Cases of Women with Dense Breast Tissue. Diagnostics, 12(2), 459. https://doi.org/10.3390/diagnostics12020459

