Chronic Thromboembolic Pulmonary Hypertension: An Update
Abstract
:1. Introduction
2. Epidemiology
3. Pathogenesis
4. Risk Factors
5. Clinical Presentation
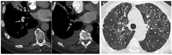
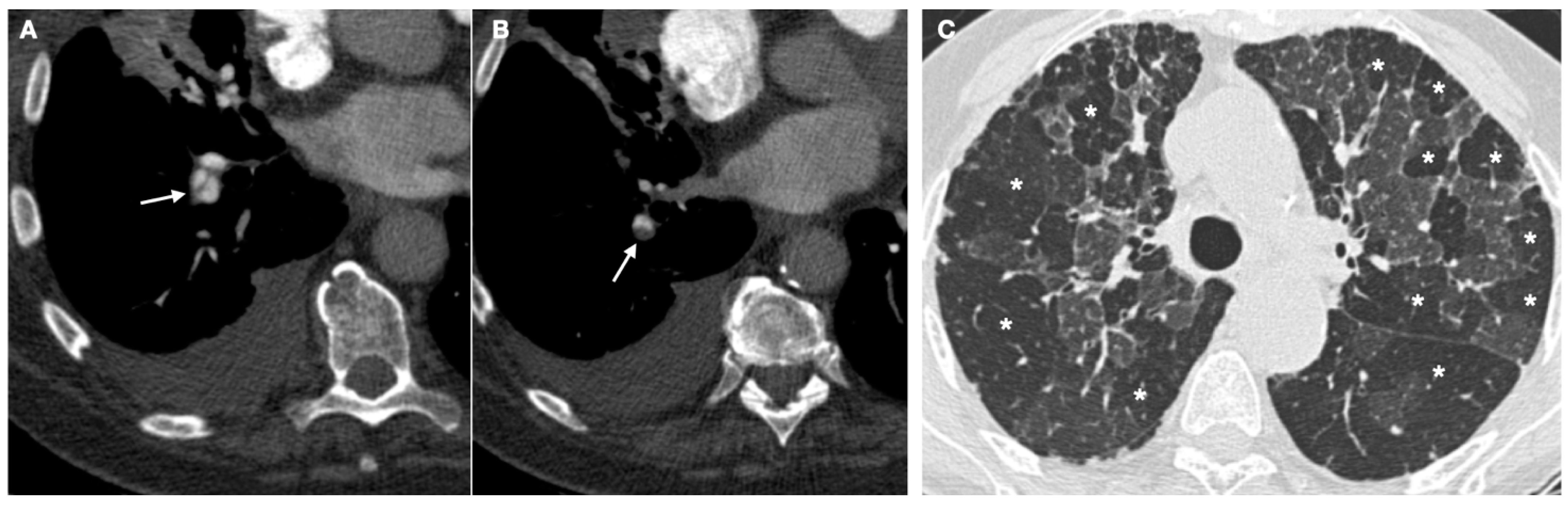
6. Diagnosis
7. The “Post Embolic Syndrome”
8. Treatment Options
8.1. Surgical Treatment
8.2. Pharmacological Treatment
8.3. Pulmonary Balloon Angioplasty
9. Conclusions
Author Contributions
Funding
Institutional Review Board Statement
Informed Consent Statement
Data Availability Statement
Conflicts of Interest
References
- Delcroix, M.; Torbicki, A.; Gopalan, D.; Sitbon, O.; Klok, F.A.; Lang, I.; Jenkins, D.; Kim, N.H.; Humbert, M.; Jais, X.; et al. ERS statement on chronic thromboembolic pulmonary hypertension. Eur. Respir. J. 2021, 57, 2002828. [Google Scholar] [CrossRef]
- Nossent, E.J.; Meijboom, L.J.; Bogaard, H.J.; Klok, F.A. Chronic thromboembolic pulmonary hypertension anno 2021. Curr. Opin. Cardiol. 2021, 36, 711–719. [Google Scholar] [CrossRef]
- Logue, R.; Safdar, Z. Chronic Thromboembolic Pulmonary Hypertension Medical Management. Methodist DeBakey Cardiovasc. J. 2021, 17, e29–e33. [Google Scholar] [CrossRef]
- Kim, N.H. Group 4 Pulmonary Hypertension: Chronic Thromboembolic Pulmonary Hypertension: Epidemiology, Pathophysiology, and Treatment. Cardiol. Clin. 2016, 34, 435–441. [Google Scholar] [CrossRef]
- Sandqvist, A.; Kylhammar, D.; Bartfay, S.-E.; Hesselstrand, R.; Hjalmarsson, C.; Kavianipour, M.; Nisell, M.; Rådegran, G.; Wikström, G.; Kjellström, B.; et al. Risk stratification in chronic thromboembolic pulmonary hypertension predicts survival. Scand. Cardiovasc. J. 2021, 55, 43–49. [Google Scholar] [CrossRef]
- Albani, S.; Biondi, F.; Stolfo, D.; Giudice, F.L.; Sinagra, G. Chronic thromboembolic pulmonary hypertension (CTEPH): What do we know about it? A comprehensive review of the literature. J. Cardiovasc. Med. (Hagerstown Md.) 2019, 20, 159–168. [Google Scholar] [CrossRef]
- Galiè, N.; Humbert, M.; Vachiery, J.L.; Gibbs, S.; Lang, I.; Torbicki, A.; Simonneau, G.; Peacock, A.; Noordegraaf, A.V.; Beghetti, M.; et al. 2015 ESC/ERS Guidelines for the diagnosis and treatment of pulmonary hypertension: The Joint Task Force for the Diagnosis and Treatment of Pulmonary Hypertension of the European Society of Cardiology (ESC) and the European Respiratory Society (ERS): Endorsed by: Association for European Paediatric and Congenital Cardiology (AEPC), International Society for Heart and Lung Transplantation (ISHLT). Eur. Heart J. 2016, 37, 67–119. [Google Scholar]
- Wilkens, H.; Konstantinides, S.; Lang, I.M.; Bunck, A.C.; Gerges, M.; Gerhardt, F.; Grgic, A.; Grohé, C.; Guth, S.; Held, M. Chronic thromboembolic pulmonary hypertension (CTEPH): Updated Recommendations from the Cologne Consensus Conference 2018. Int. J. Cardiol. 2018, 272S, 69–78. [Google Scholar] [CrossRef] [Green Version]
- Mullin, C.J.; Klinger, J.R. Chronic Thromboembolic Pulmonary Hypertension. Heart Fail. Clin. 2018, 14, 339–351. [Google Scholar] [CrossRef]
- Pepke-Zaba, J.; Delcroix, M.; Lang, I.; Mayer, E.; Jansa, P.; Ambroz, D.; Treacy, C.; Monforte, A.D.; Morsolini, M.; Snijder, R.; et al. Chronic thromboembolic pulmonary hypertension (CTEPH): Results from an international prospective registry. Circulation 2011, 124, 1973–1981. [Google Scholar] [CrossRef] [Green Version]
- Simonneau, G.; Gatzoulis, M.A.; Adatia, I.; Celermajer, D.; Denton, C.; Ghofrani, A.; Sanchez, M.A.G.; Kumar, R.K.; Landzberg, M.; Machado, R.F.; et al. Updated clinical classification of pulmonary hypertension. J. Am. Coll. Cardiol. 2013, 62 (Suppl. 25), D34–D41. [Google Scholar] [CrossRef] [PubMed] [Green Version]
- Yandrapalli, S.; Tariq, S.; Kumar, J.; Aronow, W.S.; Malekan, R.; Frishman, W.H.; Lanier, G.M. Chronic Thromboembolic Pulmonary Hypertension: Epidemiology, Diagnosis, and Management. Cardiol. Rev. 2018, 26, 62–72. [Google Scholar] [CrossRef] [PubMed]
- Demerouti, E.; Karyofyllis, P.; Voudris, V.; Boutsikou, M.; Anastasiadis, G.; Anthi, A.; Arvanitaki, A.; Athanassopoulos, G.; Avgeropoulou, A.; Brili, S.; et al. Epidemiology and Management of Chronic Thromboembolic Pulmonary Hypertension in Greece. Real-World Data from the Hellenic Pulmonary Hypertension Registry (HOPE). J. Clin. Med. 2021, 10, 4547. [Google Scholar] [CrossRef]
- Rådegran, G.; Kjellström, B.; Ekmehag, B.; Larsen, F.; Rundqvist, B.; Blomquist, S.B.; Gustafsson, C.; Hesselstrand, R.; Karlsson, M.; Kornhall, B.; et al. Characteristics and survival of adult Swedish PAH and CTEPH patients 2000–2014. Scand. Cardiovasc. J. 2016, 50, 243–250. [Google Scholar] [CrossRef] [PubMed]
- Skride, A.; Sablinskis, K.; Lejnieks, A.; Rudzitis, A.; Lang, I. Characteristics and survival data from Latvian pulmonary hypertension registry: Comparison of prospective pulmonary hypertension registries in Europe. Pulm. Circ. 2018, 8, 1–9. [Google Scholar] [CrossRef] [Green Version]
- Ende-Verhaar, Y.M.; Cannegieter, S.C.; Vonk Noordegraaf, A.; Delcroix, M.; Pruszczyk, P.; Mairuhu, A.T.A.; Huisman, M.V.; Klok, F.A. Incidence of chronic thromboembolic pulmonary hypertension after acute pulmonary embolism: A contemporary view of the published literature. Eur. Respir. J. 2017, 49, 1601792. [Google Scholar] [CrossRef]
- Barco, S.; Klok, F.A.; Konstantinides, S.V.; Dartevelle, P.; Fadel, E.; Jenkins, D.; Kim, N.H.; Madani, M.; Matsubara, H.; Mayer, E.; et al. Sex-specific differences in chronic thromboembolic pulmonary hypertension. Results from the European CTEPH registry. J. Thromb. Haemost. 2020, 18, 151–161. [Google Scholar] [CrossRef] [Green Version]
- Deng, L.; Quan, R.; Yang, Y.; Yang, Z.; Tian, H.; Li, S.; Shen, J.; Ji, Y.; Zhang, G.; Zhang, C.; et al. Characteristics and long-term survival of patients with chronic thromboembolic pulmonary hypertension in China. Respirology 2020, 26, 196–203. [Google Scholar] [CrossRef]
- Schölzel, B.E.; Snijder, R.J.; Mager, J.J.; Van Es, H.W.; Plokker, H.W.M.; Reesink, H.J.; Morshuis, W.J.; Post, M.C. Chronic thromboembolic pulmonary hypertension. Neth. Heart J. 2014, 22, 533–541. [Google Scholar] [CrossRef] [Green Version]
- Pepke-Zaba, J.; Hoeper, M.M.; Humbert, M. Chronic thromboembolic pulmonary hypertension: Advances from bench to patient management. Eur. Respir. J. 2013, 41, 8–9. [Google Scholar] [CrossRef] [Green Version]
- Pugliese, S.C.; Kawut, S.M. The Post-Pulmonary Embolism Syndrome: Real or Ruse? Ann. Am. Thorac. Soc. 2019, 16, 811–814. [Google Scholar] [CrossRef]
- Kim, N.H.; Delcroix, M.; Jais, X.; Madani, M.M.; Matsubara, H.; Mayer, E.; Ogo, T.; Tapson, V.F.; Ghofrani, H.A.; Jenkins, D.P. Chronic thromboembolic pulmonary hypertension. Eur. Respir. J. 2019, 53, 1801915. [Google Scholar] [CrossRef] [PubMed]
- Lang, I.M.; Pesavento, R.; Bonderman, D.; Yuan, J.X.-J. Risk factors and basic mechanisms of chronic thromboembolic pulmonary hypertension: A current understanding. Eur. Respir. J. 2013, 41, 462–468. [Google Scholar] [CrossRef] [PubMed] [Green Version]
- Mandras, S.A.; Mehta, H.S.; Vaidya, A. Pulmonary Hypertension: A Brief Guide for Clinicians. Mayo Clin. Proc. 2020, 95, 1978–1988. [Google Scholar] [CrossRef]
- Ende-Verhaar, Y.M.; Huisman, M.V.; Klok, E. To screen or not to screen for chronic thromboembolic pulmonary hypertension after acute pulmonary embolism. Thromb. Res. 2017, 151, 1–7. [Google Scholar] [CrossRef] [PubMed]
- Hoeper, M.M.; Humbert, M.; Souza, R.; Idrees, M.; Kawut, S.M.; Sliwa-Hahnle, K.; Jing, Z.-C.; Gibbs, J.S.R. A global view of pulmonary hypertension. Lancet Respir. Med. 2016, 4, 306–322. [Google Scholar] [CrossRef]
- Ghofrani, H.-A.; D’Armini, A.M.; Kim, N.H.; Mayer, E.; Simonneau, G. Interventional and pharmacological management of chronic thromboembolic pulmonary hypertension. Respir. Med. 2021, 177, 106293. [Google Scholar] [CrossRef] [PubMed]
- Al Abri, Q.; Lu, A.J.; Ramchandani, M.K. Chronic Thromboembolic Pulmonary Hypertension: A Comprehensive Review and Multidisciplinary Approach to Surgical Treatment. Methodist DeBakey Cardiovasc. J. 2021, 17, e18–e28. [Google Scholar] [CrossRef] [PubMed]
- Ranka, S.; Mohananey, D.; Agarwal, N.; Verma, B.R.; Villablanca, P.; Mewhort, H.E.; Ramakrishna, H. Chronic Thromboembolic Pulmonary Hypertension-Management Strategies and Outcomes. J. Cardiothorac. Vasc. Anesth. 2020, 34, 2513–2523. [Google Scholar] [CrossRef] [PubMed]
- Escribano-Subias, P.; Blanco, I.; Meseguer, M.L.; Lopez-Guarch, C.J.; Roman, A.; Morales, P.; Castillo-Palma, M.J.; Segovia, J.; Gómez-Sanchez, M.A.; Barberà, J.A. Survival in pulmonary hypertension in Spain: Insights from the Spanish registry. Eur. Respir. J. 2012, 40, 596–603. [Google Scholar] [CrossRef]
- Guérin, L.; Couturaud, F.; Parent, F.; Revel, M.-P.; Gillaizeau, F.; Planquette, B.; Pontal, D.; Guégan, M.; Simonneau, G.; Meyer, G.; et al. Prevalence of chronic thromboembolic pulmonary hypertension after acute pulmonary embolism. Prevalence of CTEPH after pulmonary embolism. Thromb. Haemost. 2014, 112, 598–605. [Google Scholar] [CrossRef]
- Bonderman, D.; Wilkens, H.; Wakounig, S.; Schafers, H.-J.; Jansa, P.; Lindner, J.; Simkova, I.; Martischnig, A.M.; Dudczak, J.; Sadushi, R.; et al. Risk factors for chronic thromboembolic pulmonary hypertension. Eur. Respir. J. 2008, 33, 325–331. [Google Scholar] [CrossRef] [PubMed] [Green Version]
- Simonneau, G.; Hoeper, M.M. Evaluation of the incidence of rare diseases: Difficulties and uncertainties, the example of chronic thromboembolic pulmonary hypertension. Eur. Respir. J. 2017, 49, 1602522. [Google Scholar] [CrossRef] [Green Version]
- Pengo, V.; Lensing, A.W.; Prins, M.H.; Marchiori, A.; Davidson, B.L.; Tiozzo, F.; Albanese, P.; Biasiolo, A.; Pegoraro, C.; Iliceto, S.; et al. Incidence of Chronic thromboembolic pulmonary hypertension after pulmonary embolism. N. Engl. J. Med. 2004, 350, 2257–2264. [Google Scholar] [CrossRef] [PubMed] [Green Version]
- Becattini, C.; Agnelli, G.; Pesavento, R.; Silingardi, M.; Poggio, R.; Taliani, M.R.; Ageno, W. Incidence of chronic thromboembolic pulmonary hypertension after a first episode of pulmonary embolism. Chest 2006, 130, 172175. [Google Scholar] [CrossRef]
- Ribeiro, A.; Juhlin-Dannfelt, A.; Brodin, L.-Å.; Holmgren, A.; Jorfeldt, L. Pulmonary embolism: Relation between the degree of right ventricle overload and the extent of perfusion defects. Am. Heart J. 1998, 135, 868–874. [Google Scholar] [CrossRef]
- Lang, I.M.; Madani, M. Update on chronic thromboembolic pulmonary hypertension. Circulation 2014, 130, 508–518. [Google Scholar] [CrossRef]
- Konstantinides, S.V.; Meyer, G.; Becattini, C.; Bueno, H.; Geersing, G.J.; Harjola, V.P.; Huisman, M.V.; Humbert, M.; Jennings, C.S.; Jiménez, D.; et al. ESC Scientific Document Group. 2019 ESC Guidelines for the diagnosis and management of acute pulmonary embolism developed in collaboration with the European Respiratory Society (ERS). Eur. Heart J. 2019, 31, ehz405. [Google Scholar]
- Lang, I. Chronic thromboembolic pulmonary hypertension: A distinct disease entity. Eur. Respir. Rev. 2015, 24, 246–252. [Google Scholar] [CrossRef] [Green Version]
- Hoeper, M.M. Pharmacological therapy for patients with chronic thromboembolic pulmonary hypertension. Eur. Respir. Rev. 2015, 24, 272–282. [Google Scholar] [CrossRef] [Green Version]
- Papamatheakis, D.G.; Poch, D.S.; Fernandes, T.M.; Kerr, K.M.; Kim, N.H.; Fedullo, P.F. Chronic Thromboembolic Pulmonary Hypertension: JACC Focus Seminar. J. Am. Coll. Cardiol. 2020, 76, 2155–2169. [Google Scholar] [CrossRef]
- Pepke-Zaba, J.; Jais, X.; Channick, R. Medical Therapy in Chronic Thromboembolic Pulmonary Hypertension. Ann. Am. Thorac. Soc. 2016, 13 (Suppl. 3), S248–S254. [Google Scholar] [CrossRef] [Green Version]
- Zhang, Y.; Yu, X.; Jin, Q.; Luo, Q.; Zhao, Z.; Zhao, Q.; Yan, L.; Liu, Z. Advances in targeted therapy for chronic thromboembolic pulmonary hypertension. Heart Fail. Rev. 2019, 24, 949–965. [Google Scholar] [CrossRef]
- Auger, W.R.; Kerr, K.M.; Kim, N.H.; Ben-Yehuda, O.; Knowlton, K.U.; Fedullo, P.F. Chronic thromboembolic pulmonary hypertension. Cardiol. Clin. 2004, 22, 453–466. [Google Scholar] [CrossRef] [Green Version]
- Blauwet, L.A.; Edwards, W.D.; Tazelaar, H.D.; McGregor, C.G. Surgical pathology of pulmonary thromboendarterectomy: A study of 54 cases from 1990 to 2001. Hum. Pathol. 2003, 34, 1290–1298. [Google Scholar] [CrossRef]
- Owens, G.K.; Kumar, M.S.; Wamhoff, B.R. Molecular Regulation of Vascular Smooth Muscle Cell Differentiation in Development and Disease. Physiol. Rev. 2004, 84, 767–801. [Google Scholar] [CrossRef]
- Ruaro, B.; Soldano, S.; Smith, V.; Paolino, S.; Contini, P.; Montagna, P.; Pizzorni, C.; Casabella, A.; Tardito, S.; Sulli, A.; et al. Correlation between circulating fibrocytes and dermal thickness in limited cutaneous systemic sclerosis patients: A pilot study. Rheumatol. Int. 2019, 39, 1369–1376. [Google Scholar] [CrossRef]
- Hassoun, P.M. Inflammation in chronic thromboembolic pulmonary hypertension: Accomplice or bystander in altered angiogenesis? Eur. Respir. J. 2015, 46, 303–306. [Google Scholar] [CrossRef] [Green Version]
- Toshner, M.; Pepke-Zaba, J. Chronic thromboembolic pulmonary hypertension: Time for research in pathophysiology to catch up with developments in treatment. F1000Prime Rep. 2014, 6, 38. [Google Scholar] [CrossRef]
- Quarck, R.; Wynants, M.; Verbeken, E.; Meyns, B.; Delcroix, M. Contribution of inflammation and impaired angiogenesis to the pathobiology of chronic thromboembolic pulmonary hypertension. Eur. Respir. J. 2015, 46, 431–443. [Google Scholar] [CrossRef] [Green Version]
- Ruaro, B.; Salton, F.; Braga, L.; Wade, B.; Confalonieri, P.; Volpe, M.C.; Baratella, E.; Maiocchi, S.; Confalonieri, M. The History and Mystery of Alveolar Epithelial Type II Cells: Focus on Their Physiologic and Pathologic Role in Lung. Int. J. Mol. Sci. 2021, 22, 2566. [Google Scholar] [CrossRef]
- Amelot, A.; Bouazza, S.; George, B.; Bresson, D. Causative role of infection in chronic non-thromboembolic pulmonary hypertension following ventriculo-atrial shunt. Br. J. Neurosurg. 2014, 28, 559–561. [Google Scholar] [CrossRef]
- Jais, X.; Ioos, V.; Jardim, C.; Sitbon, O.; Parent, F.; Hamid, A.; Fadel, E.; Dartevelle, P.; Simonneau, G.; Humbert, M. Splenectomy and chronic thromboembolic pulmonary hypertension. Thorax 2005, 60, 1031–1034. [Google Scholar] [CrossRef] [Green Version]
- Ruaro, B.; Confalonieri, P.; Santagiuliana, M.; Wade, B.; Baratella, E.; Kodric, M.; Berria, M.; Jaber, M.; Torregiani, C.; Bruni, C.; et al. Correlation between Potential Risk Factors and Pulmonary Embolism in Sarcoidosis Patients Timely Treated. J. Clin. Med. 2021, 10, 2462. [Google Scholar] [CrossRef]
- Yang, S.; Yang, Y.; Zhai, Z.; Kuang, T.; Gong, J.; Zhang, S.; Zhu, J.; Liang, L.; Shen, Y.H.; Wang, C. Incidence and risk factors of chronic thromboembolic pulmonary hypertension in patients after acute pulmonary embolism. J. Thorac. Dis. 2015, 7, 1927–1938. [Google Scholar]
- Li, J.H.; Safford, R.E.; Aduen, J.F.; Heckman, M.G.; Crook, J.E.; Burger, C.D. Pulmonary Hypertension and Thyroid Disease. Chest 2007, 132, 793–797. [Google Scholar] [CrossRef]
- Cutolo, M.; Vanhaecke, A.; Ruaro, B.; Deschepper, E.; Ickinger, C.; Melsens, K.; Piette, Y.; Trombetta, A.C.; De Keyser, F.; Smith, V. Is laser speckle contrast analysis (LASCA) the new kid on the block in systemic sclerosis? A systematic literature review and pilot study to evaluate reliability of LASCA to measure peripheral blood perfusion in scleroderma patients. Autoimmun. Rev. 2018, 17, 775–780. [Google Scholar] [CrossRef]
- Bonderman, D.; Turecek, P.L.; Jakowitsch, J.; Weltermann, A.; Adlbrecht, C.; Schneider, B.; Kneussl, M.; Rubin, L.J.; Kyrle, P.A.; Klepetko, W.; et al. High prevalence of elevated clotting factor VIII in chronic thromboembolic pulmonary hypertension. Thromb. Haemost. 2003, 90, 372–376. [Google Scholar] [CrossRef]
- Tscholl, D.; Langer, F.; Wendler, O.; Wilkens, H.; Georg, T.; Schäfers, H.-J. Pulmonary thromboendarterectomy–Risk factors for early survival and hemodynamic improvement. Eur. J. Cardio-Thoracic Surg. 2001, 19, 771–777. [Google Scholar] [CrossRef] [Green Version]
- Tunariu, N.; Gibbs, S.J.R.; Win, Z.; Gin-Sing, W.; Graham, A.; Gishen, P.; AL-Nahhas, A. Ventilation-perfusion scintigraphy Is more sensitive than multidetector CTPA in detecting chronic thromboembolic pulmonary disease as a treatable cause of pulmonary hypertension. J. Nucl. Med. 2007, 48, 680–684. [Google Scholar] [CrossRef] [Green Version]
- Khangoora, V.S.; Shlobin, O.A. Evolving spectrum of treatment for CTEPH. Curr. Opin. Pulm. Med. 2020, 26, 406–413. [Google Scholar] [CrossRef] [PubMed]
- He, J.; Fang, W.; Lv, B.; He, J.G.; Xiong, C.M.; Liu, Z.H.; He, Z.X. Diagnosis of chronic thromboembolic pulmonary hypertension: Comparison of ventilation/perfusion scanning and multidetector computed tomography pulmonary angiography with pulmonary angiography. Nucl. Med. Commun. 2012, 33, 459–463. [Google Scholar] [CrossRef] [PubMed]
- Sherrick, A.D.; Swensen, S.J.; E Hartman, T. Mosaic pattern of lung attenuation on CT scans: Frequency among patients with pulmonary artery hypertension of different causes. Am. J. Roentgenol. 1997, 169, 79–82. [Google Scholar] [CrossRef] [PubMed] [Green Version]
- Kawakami, T.; Ogawa, A.; Miyaji, K.; Mizoguchi, H.; Shimokawahara, H.; Naito, T.; Oka, T.; Yunoki, K.; Munemasa, M.; Matsubara, H. Novel Angiographic Classification of Each Vascular Lesion in Chronic Thromboembolic Pulmonary Hypertension Based on Selective Angiogram and Results of Balloon Pulmonary Angioplasty. Circ. Cardiovasc. Interv. 2016, 9, e003318. [Google Scholar] [CrossRef]
- Ghofrani, H.-A.; Simonneau, G.; D’Armini, A.M.; Fedullo, P.; Howard, L.S.; Jais, X.; Jenkins, D.P.; Jing, Z.-C.; Madani, M.M.; Martin, N.; et al. Macitentan for the treatment of inoperable chronic thromboembolic pulmonary hypertension (MERIT-1): Results from the multicentre, phase 2, randomised, double-blind, placebo-controlled study. Lancet Respir. Med. 2017, 5, 785–794. [Google Scholar] [CrossRef]
- Skoro-Sajer, N.; Marta, G.; Gerges, C.; Hlavin, G.; Nierlich, P.; Taghavi, S.; Sadushi-Kolici, R.; Klepetko, W.; Lang, I.M. Surgical specimens, haemodynamics and long-term outcomes after pulmonary endarterectomy. Thorax 2014, 69, 116–122. [Google Scholar] [CrossRef] [Green Version]
- Bernard, J.; Yi, E.S. Pulmonary thromboendarterectomy: A clinicopathologic study of 200 consecutive pulmonary thromboendarterectomy cases in one institution. Hum. Pathol. 2007, 38, 871–877. [Google Scholar] [CrossRef]
- Klok, F.A.; van der Hulle, T.; den Exter, P.L.; Lankeit, M.; Huisman, M.V.; Konstantinides, S. The post-PE syndrome: A new concept for chronic complications of pulmonary embolism. Blood Rev. 2014, 28, 221226. [Google Scholar] [CrossRef]
- Kahn, S.R.; Hirsch, A.M.; Akaberi, A.; Hernandez, P.; Anderson, D.R.; Wells, P.S.; Rodger, M.A.; Solymoss, S.; Kovacs, M.J.; Rudski, L.; et al. Functional and exercise limitations after a first episode of pulmonary embolism: Results of the ELOPE prospective cohort study. Chest 2017, 151, 10581068. [Google Scholar] [CrossRef]
- Kahn, S.R.; Akaberi, A.; Granton, J.T.; Anderson, D.R.; Wells, P.S.; Rodger, M.A.; Solymoss, S.; Kovacs, M.J.; Rudski, L.; Shimony, A.; et al. Quality of life, dyspnea, and functional exercise capacity following a first episode of pulmonary embolism: Results of the ELOPE cohort study. Am. J. Med. 2017, 130, 990.e9–990.e12. [Google Scholar] [CrossRef] [Green Version]
- Albaghdadi, M.S.; Dudzinski, D.M.; Giordano, N.; Kabrhel, C.; Ghoshhajra, B.; Jaff, M.R.; Weinberg, I.; Baggish, A. Cardiopulmonary exercise testing in patients following massive and submassive pulmonary embolism. J. Am. Heart Assoc. 2018, 7, e006841. [Google Scholar] [CrossRef] [Green Version]
- Guth, S.; Wiedenroth, C.B.; Rieth, A.; Richter, M.J.; Gruenig, E.; Ghofrani, A.; Arlt, M.; Liebetrau, C.; Prüfer, D.; Rolf, A.; et al. Exercise right heart catheterisation before and after pulmonary endarterectomy in patients with chronic thromboembolic disease. Eur. Respir. J. 2018, 52, 1800458. [Google Scholar] [CrossRef] [Green Version]
- Simonneau, G.; Montani, D.; Celermajer, D.; Denton, C.P.; Gatzoulis, M.A.; Krowka, M.; Williams, P.G.; Souza, R. Haemodynamic definitions and updated clinical classification of pulmonary hypertension. Eur. Respir. J. 2019, 53, 1801913. [Google Scholar] [CrossRef]
- Held, M.; Hesse, A.; Gött, F.; Holl, R.; Hübner, G.; Kolb, P.; Langen, H.J.; Romen, T.; Walter, F.; Schäfers, H.J.; et al. A symptom-related monitoring program following pulmonary embolism for the early detection of CTEPH: A prospective observational registry study. BMC Pulm. Med. 2014, 14, 141. [Google Scholar] [CrossRef]
- Wiedenroth, C.B.; Olsson, K.M.; Guth, S.; Breithecker, A.; Haas, M.; Kamp, J.C.; Fuge, J.; Hinrichs, J.B.; Roller, F.; Hamm, C.W.; et al. Balloon pulmonary angioplasty for inoperable patients with chronic thromboembolic disease. Pulm. Circ. 2018, 8, 1–6. [Google Scholar] [CrossRef] [Green Version]
- Akay, T.; Kaymaz, C.; Rüçhan Akar, A.; Orhan, G.; Yanartaş, M.; Gültekin, B.; Şırlak, M.; Kervan, Ü.; Gezer Taş, S.; Biçer, M.; et al. Raising the bar to ultradisciplinary collaborations in management of chronic thromboembolic pulmonary hypertension. Turk Gogus Kalp Damar Cerrahisi Derg. 2021, 29, 417–431. [Google Scholar] [CrossRef]
- Madani, M.M.; Auger, W.R.; Pretorius, V.; Sakakibara, N.; Kerr, K.M.; Kim, N.H.; Fedullo, P.F.; Jamieson, S.W. Pulmonary endarterectomy: Recent changes in a single institution’s experience of more than 2700 patients. Ann. Thorac Surg. 2012, 94, 97–103. [Google Scholar] [CrossRef] [PubMed]
- Biolo, M.; Salton, F.; Ruaro, B.; Busca, A.; Santagiuliana, M.; Fontanesi, L.; Gabrielli, M.; Baratella, E.; Confalonieri, M. Emergency laser treatment of a tracheobronchial carcinoid during ECMO. Med Res. Arch. 2020, 8. [Google Scholar] [CrossRef]
- Dartevelle, P.; Fadel, E.; Mussot, S.; Chapelier, A.; Hervé, P.; de Perrot, M.; Cerrina, J.; Ladurie, F.L.; Lehouerou, D.; Humbert, M.; et al. Chronic thromboembolic, pulmonary hypertension. Eur. Respir J. 2004, 23, 637–648. [Google Scholar] [CrossRef] [PubMed] [Green Version]
- Rosenblum, W.D. Pulmonary arterial hypertension: Pathobiology, diagnosis, treatment, and emerging therapies. Cardiol. Rev. 2010, 18, 58–63. [Google Scholar] [CrossRef] [PubMed]
- Thistlethwaite, P.A.; Mo, M.; Madani, M.M.; Deutsch, R.; Blanchard, D.; Kapelanski, D.P.; Jamieson, S.W. Operative classification of thromboembolic disease determines outcome after pulmonary endarterectomy. J. Thorac. Cardiovasc. Surg. 2002, 124, 1203–1211. [Google Scholar] [CrossRef] [Green Version]
- Hsieh, W.C.; Jansa, P.; Huang, W.C.; Nižnanský, M.; Omara, M.; Lindner, J. Residual pulmonary hypertension after pulmonary endarterectomy: A meta-analysis. J. Thorac. Cardiovasc. Surg. 2018, 156, 1275–1287. [Google Scholar] [CrossRef] [PubMed]
- Pepke-Zaba, J.; Ghofrani, A.; Hoeper, M. Medical management of chronic thromboembolic pulmonary hypertension. Eur. Respir. Rev. 2017, 26, 160107. [Google Scholar] [CrossRef] [PubMed]
- O’Callaghan, D.; Savale, L.; Montani, D.; Jais, X.; Sitbon, O.; Simonneau, G.; Humbert, M. Treatment of pulmonary arterial hypertension with targeted therapies. Nat. Rev. Cardiol. 2011, 8, 526–538. [Google Scholar] [CrossRef] [PubMed]
- Madonna, R.; Cocco, N.; De Caterina, R. Pathways and Drugs in Pulmonary Arterial Hypertension—Focus on the Role of Endothelin Receptor Antagonists. Cardiovasc. Drugs Ther. 2015, 29, 469–479. [Google Scholar] [CrossRef]
- Jaïs, X.; D’Armini, A.M.; Jansa, P.; Torbicki, A.; Delcroix, M.; Ghofrani, H.A.; Hoeper, M.M.; Lang, I.M.; Mayer, E.; Pepke-Zaba, J.; et al. Bosentan for treatment of inoperable chronic thromboembolic pulmonary hypertension: BENEFiT (Bosentan Effects in iNopErable Forms of chronIc Thromboembolic pulmonary hypertension), a randomized, placebo-controlled trial. J. Am. Coll. Cardiol. 2008, 52, 2127–2134. [Google Scholar] [CrossRef]
- Lang, I.M.; Gaine, S.P. Recent advances in targeting the prostacyclin pathway in pulmonary arterial hypertension. Eur. Respir. Rev. 2015, 24, 630–641. [Google Scholar] [CrossRef] [Green Version]
- Jensen, K.W.; Kerr, K.M.; Fedullo, P.F.; Kim, N.H.; Test, V.J.; Ben-Yehuda, O.; Auger, W.R. Pulmonary Hypertensive Medical Therapy in Chronic Thromboembolic Pulmonary Hypertension Before Pulmonary Thromboendarterectomy. Circulation 2009, 120, 1248–1254. [Google Scholar] [CrossRef] [Green Version]
- Reesink, H.J.; Surie, S.; Kloek, J.J.; Tan, H.L.; Tepaske, R.; Fedullo, P.F.; Bresser, P. Bosentan as a bridge to pulmonary endarterectomy for chronic thromboembolic pulmonary hypertension. J. Thorac. Cardiovasc. Surg. 2010, 139, 85–91. [Google Scholar] [CrossRef] [Green Version]
- Cabrol, S.; Souza, R.; Jais, X.; Fadel, E.; Ali, R.H.S.; Humbert, M.; Dartevelle, P.; Simonneau, G.; Sitbon, O. Intravenous Epoprostenol in Inoperable Chronic Thromboembolic Pulmonary Hypertension. J. Hear. Lung Transplant. 2007, 26, 357–362. [Google Scholar] [CrossRef]
- Cutolo, M.; Ruaro, B.; Pizzorni, C.; Ravera, F.; Smith, V.; Zampogna, G.; Paolino, S.; Seriolo, B.; Cimmino, M.; Sulli, A. Longterm Treatment with Endothelin Receptor Antagonist Bosentan and Iloprost Improves Fingertip Blood Perfusion in Systemic Sclerosis. J. Rheumatol. 2014, 41, 881–886. [Google Scholar] [CrossRef] [PubMed]
- Rombetta, A.C.; Pizzorni, C.; Ruaro, B.; Paolino, S.; Sulli, A.; Smith, V.; Cutolo, M. Effects of Longterm Treatment with Bosentan and Iloprost on Nailfold Absolute Capillary Number, Fingertip Blood Perfusion, and Clinical Status in Systemic Sclerosis. J. Rheumatol. 2016, 43, 2033–2041. [Google Scholar] [CrossRef] [Green Version]
- Klinger, J.R.; Abman, S.H.; Gladwin, M.T. Nitric oxide deficiency and endothelial dysfunction in pulmonary arterial hypertension. Am. J. Respir. Crit. Care Med. 2013, 188, 639–646. [Google Scholar] [CrossRef]
- Hadinnapola, C.; Pepke-Zaba, J. Developments in pulmonary arterial hypertension-targeted therapy for chronic thromboembolic pulmonary hypertension. Expert review of respiratory medicine. Expert Rev. Respir. Med. 2015, 9, 559–569. [Google Scholar] [CrossRef] [PubMed]
- Ghofrani, H.A.; D’Armini, A.M.; Grimminger, F.; Hoeper, M.M.; Jansa, P.; Kim, N.H.; Mayer, E.; Simonneau, G.; Wilkins, M.R.; Fritsch, A.; et al. Riociguat for the treatment of chronic thromboembolic pulmonary hypertension. N. Engl. J. Med. 2013, 369, 319–329. [Google Scholar] [CrossRef] [PubMed] [Green Version]
- Simonneau, G.; D’Armini, A.M.; Ghofrani, H.A.; Grimminger, F.; Hoeper, M.M.; Jansa, P.; Kim, N.H.; Wang, C.; Wilkins, M.R.; Fritsch, A.; et al. Riociguat for the treatment of chronic thromboembolic pulmonary hypertension: A long-term extension study (CHEST-2). Eur. Respir. J. 2015, 45, 1293–1302. [Google Scholar] [CrossRef]
- Andreassen, A.K.; Ragnarsson, A.; Gude, E.; Geiran, O.; Andersen, R. Balloon pulmonary angioplasty in patient with inoperable chronic thromboembolic pulmonary hypertension. Heart Br. Card. Soc. 2013, 99, 1415–1420. [Google Scholar] [CrossRef]
- Feinstein, J.; Goldhaber, S.Z.; Lock, J.E.; Ferndandes, S.M.; Landzberg, M.J. Balloon Pulmonary Angioplasty for Treatment of Chronic Thromboembolic Pulmonary Hypertension. Circulation 2001, 103, 10–13. [Google Scholar] [CrossRef] [PubMed] [Green Version]
- Mizoguchi, H.; Ogawa, A.; Munemasa, M.; Mikouchi, H.; Ito, H.; Matsubara, H. Refined Balloon Pulmonary Angioplasty for Inoperable Patients with Chronic Thromboembolic Pulmonary Hypertension. Circ. Cardiovasc. Interv. 2012, 5, 748–755. [Google Scholar] [CrossRef] [Green Version]
- Sugimura, K.; Fukumoto, Y.; Satoh, K.; Nochioka, K.; Miura, Y.; Aoki, T.; Tatebe, S.; Miyamichi-Yamamoto, S.; Shimokawa, H. Percutaneous Transluminal Pulmonary Angioplasty Markedly Improves Pulmonary Hemodynamics and Long-Term Prognosis in Patients With Chronic Thromboembolic Pulmonary Hypertension. Circ. J. 2012, 76, 485–488. [Google Scholar] [CrossRef] [Green Version]
- Fukui, S.; Ogo, T.; Morita, Y.; Tsuji, A.; Tateishi, E.; Ozaki, K.; Sanda, Y.; Fukuda, T.; Yasuda, S.; Ogawa, H.; et al. Right ventricular reverse remodelling after balloon pulmonary angioplasty. Eur. Respir. J. 2014, 43, 1394–1402. [Google Scholar] [CrossRef] [PubMed] [Green Version]
- Kataoka, M.; Inami, T.; Hayashida, K.; Shimura, N.; Ishiguro, H.; Abe, T.; Tamura, Y.; Ando, M.; Fukuda, K.; Yoshino, H.; et al. Percutaneous Transluminal Pulmonary Angioplasty for the Treatment of Chronic Thromboembolic Pulmonary Hypertension. Circ. Cardiovasc. Interv. 2012, 5, 756–762. [Google Scholar] [CrossRef] [Green Version]
- Riedel, M.; Stanek, V.; Widimsky, J.; Prerovsky, I. Long-term follow-up of patient with pulmonary thromboembolism. Late prognosis and evolution of hemodynamic and respiratory data. Chest 1982, 81, 151–158. [Google Scholar] [CrossRef] [PubMed]
- Delcroix, M.; Lang, I.; Pepke-Zaba, J.; Jansa, P.; D’Armini, A.M.; Snijder, R.; Bresser, P.; Torbicki, A.; Mellemkjaer, S.; Lewczuk, J.; et al. Long-term outcome of patients with chronic thromboembolic pulmonary hypertension: Results from an international prospective registry. Circulation 2016, 133, 859–871. [Google Scholar] [CrossRef]
- Saouti, N.; Man, F.H.-D.; Westerhof, N.; Boonstra, A.; Twisk, J.; Postmus, P.; Noordegraaf, A.V. Predictors of mortality in inoperable chronic thromboembolic pulmonary hypertension. Respir. Med. 2009, 103, 1013–1019. [Google Scholar] [CrossRef] [PubMed] [Green Version]




Publisher’s Note: MDPI stays neutral with regard to jurisdictional claims in published maps and institutional affiliations. |
© 2022 by the authors. Licensee MDPI, Basel, Switzerland. This article is an open access article distributed under the terms and conditions of the Creative Commons Attribution (CC BY) license (https://creativecommons.org/licenses/by/4.0/).
Share and Cite
Ruaro, B.; Baratella, E.; Caforio, G.; Confalonieri, P.; Wade, B.; Marrocchio, C.; Geri, P.; Pozzan, R.; Andrisano, A.G.; Cova, M.A.; et al. Chronic Thromboembolic Pulmonary Hypertension: An Update. Diagnostics 2022, 12, 235. https://doi.org/10.3390/diagnostics12020235
Ruaro B, Baratella E, Caforio G, Confalonieri P, Wade B, Marrocchio C, Geri P, Pozzan R, Andrisano AG, Cova MA, et al. Chronic Thromboembolic Pulmonary Hypertension: An Update. Diagnostics. 2022; 12(2):235. https://doi.org/10.3390/diagnostics12020235
Chicago/Turabian StyleRuaro, Barbara, Elisa Baratella, Gaetano Caforio, Paola Confalonieri, Barbara Wade, Cristina Marrocchio, Pietro Geri, Riccardo Pozzan, Alessia Giovanna Andrisano, Maria Assunta Cova, and et al. 2022. "Chronic Thromboembolic Pulmonary Hypertension: An Update" Diagnostics 12, no. 2: 235. https://doi.org/10.3390/diagnostics12020235
APA StyleRuaro, B., Baratella, E., Caforio, G., Confalonieri, P., Wade, B., Marrocchio, C., Geri, P., Pozzan, R., Andrisano, A. G., Cova, M. A., Cortale, M., Confalonieri, M., & Salton, F. (2022). Chronic Thromboembolic Pulmonary Hypertension: An Update. Diagnostics, 12(2), 235. https://doi.org/10.3390/diagnostics12020235

