Severe Gastritis Due to Nivolumab Treatment of a Metastatic Melanoma Patient
Abstract
1. Introduction
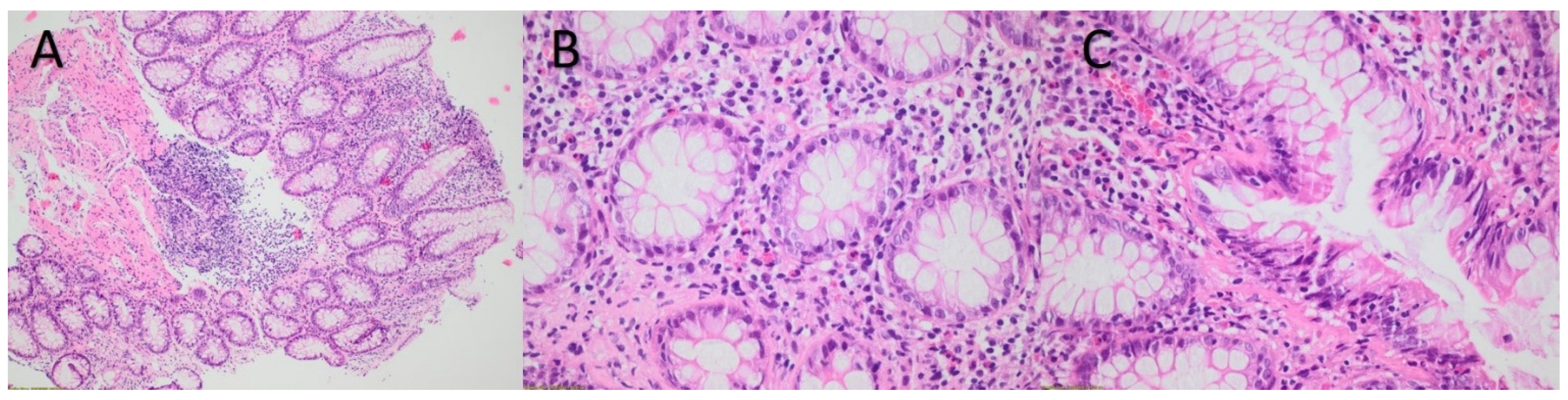
2. Case Presentation
3. Discussion
4. Conclusions
Author Contributions
Funding
Institutional Review Board Statement
Informed Consent Statement
Data Availability Statement
Conflicts of Interest
References
- Gong, J.; Chehrazi-Raffle, A.; Reddi, S.; Salgia, R. Development of PD-1 and PD-L1 inhibitors as a form of cancer immunotherapy: A comprehensive review of registration trials and future considerations. J. Immunother. Cancer 2018, 6, 8. [Google Scholar] [CrossRef] [PubMed]
- Darnell, E.P.; Mooradian, M.J.; Baruch, E.N.; Yilmaz, M.; Reynolds, K.L. Immune-Related Adverse Events (irAEs): Diagnosis, Management, and Clinical Pearls. Curr. Oncol. Rep. 2020, 22, 39. [Google Scholar] [CrossRef] [PubMed]
- Seidel, J.A.; Otsuka, A.; Kabashima, K. Anti-PD-1 and Anti-CTLA-4 Therapies in Cancer. Mechanisms of Action, Efficacy, and Limitation. Front. Oncol. 2018, 8, 86. [Google Scholar] [CrossRef] [PubMed]
- Rajan, A.; Kim, C.; Heery, C.R.; Guha, U.; Gulley, J.L. Nivolumab, anti-programmed death-1 (PD-1) monoclonal antibody immunotherapy: Role in advanced cancers. Hum. Vaccin. Immunother. 2016, 12, 2219–2231. [Google Scholar] [CrossRef] [PubMed]
- Boike, J.; Dejulio, T. Severe Esophagitis and Gastritis from Nivolumab Therapy. ACG Case Rep. J. 2017, 4, e57. [Google Scholar] [CrossRef] [PubMed]
- Puzanov, I.; Diab, A.; Abdallah, K.; Bingham, C.O.; Brogdon, C.; Dadu, R.; Hamad, L.; Kim, S.; Lacouture, M.; LeBoeuf, N.R.; et al. Managing toxicities associated with immune checkpoint inhibitors: Consensus recommendations from the Society for Immunotherapy of Cancer (SITC) Toxicity. J. Immunother. Cancer 2017, 5, 95. [Google Scholar] [CrossRef] [PubMed]
- Kobayashi, M.; Yamaguchi, O.; Nagata, K.; Nonaka, K.; Ryozawa, S. Acute hemorrhagic gastritis after nivolumab treatment. Gastrointest. Endosc. 2017, 86, 915–916. [Google Scholar] [CrossRef] [PubMed]
- Ebisutani, N.; Tozawa, K.; Matsuda, I.; Nakamura, K.; Tamura, A.; Hara, K.; Kondo, T.; Terada, T.; Tomita, T.; Oshima, T.; et al. A Case of Severe Acute Gastritis as an Immune-Related Adverse Event after Nivolumab Treatment: Endoscopic and Pathological Findings in Nivolumab-Related Gastritis. Dig Dis. Sci. 2021, 66, 2461–2465. [Google Scholar] [CrossRef] [PubMed]
- Vindum, H.H.; Agnholt, J.S.; Nielsen, A.W.M.; Nielsen, M.B.; Schmidt, H. Severe steroid refractory gastritis induced by Nivolumab: A case report. World J. Gastroenterol. 2020, 26, 1971–1978. [Google Scholar] [CrossRef] [PubMed]
- Rovedatti, L.; Lenti, M.V.; Vanoli, A.; Feltri, M.; De Grazia, F.; Di Sabatino, A. Nivolumab-associated active neutrophilic gastritis. J. Clin. Pathol. 2020, 73, 605–606. [Google Scholar] [CrossRef] [PubMed]
- Wu, C.X.; Zhu, Z.H. Diagnosis and evaluation of gastric cancer by positron emission tomography. World J. Gastroenterol. 2014, 20, 4574–4585. [Google Scholar] [CrossRef] [PubMed]
- Ojeda Gómez, A.; Jiménez García, N.; Barragán Martínez, J.; García Soria, A.; Sáez Fuster, J.; Cabezas Macián, M.; García Sepulcre, M.F. Acute neutrophilic gastritis induced by nivolumab used as treatment for non- metastatic malignant melanoma. Rev. Esp. Enferm. Dig. 2021, 113, 853–854. [Google Scholar] [CrossRef] [PubMed]
- Nguyen Tran, C.; Abu-Sbeih, H.; Luo, W.; Lu, Y.; Wang, Y. Vedolizumab Achieved Clinical and histologic remission in a patient with lung cancer who had a steroid--refractory upper gastrointestinal injury due to nivolumab treatment. J. Immunother. Precis. Onc. 2019, 2, 40–45. [Google Scholar] [CrossRef]
- Onuki, T.; Morita, E.; Sakamoto, N.; Nagai, Y.; Sata, M.; Hagiwara, K. Severe upper gastrointestinal disorders in pembrolizumab-treated non-small cell lung cancer patient. Respirol. Case Rep. 2018, 6, e00334. [Google Scholar] [CrossRef] [PubMed]
- Wong, A.N.M.; McArthur, G.A.; Hofman, M.S.; Hicks, R.J. The advantages and challenges of using FDG PET/CT for response assessment in melanoma in the era of targeted agents and immunotherapy. Eur. J. Nucl. Med. Mol. Imaging 2017, 44, 67–77. [Google Scholar] [CrossRef] [PubMed]
- Aide, N.; Iravani, A.; Prigent, K.; Kottler, D.; Alipour, R.; Hicks, R.J. PET/CT variants and pitfalls in malignant melanoma. Cancer Imaging 2022, 22, 3. [Google Scholar] [CrossRef] [PubMed]


Publisher’s Note: MDPI stays neutral with regard to jurisdictional claims in published maps and institutional affiliations. |
© 2022 by the authors. Licensee MDPI, Basel, Switzerland. This article is an open access article distributed under the terms and conditions of the Creative Commons Attribution (CC BY) license (https://creativecommons.org/licenses/by/4.0/).
Share and Cite
Samonis, G.; Bousmpoukea, A.; Molfeta, A.; Kalkinis, A.D.; Petraki, K.; Koutserimpas, C.; Bafaloukos, D. Severe Gastritis Due to Nivolumab Treatment of a Metastatic Melanoma Patient. Diagnostics 2022, 12, 2864. https://doi.org/10.3390/diagnostics12112864
Samonis G, Bousmpoukea A, Molfeta A, Kalkinis AD, Petraki K, Koutserimpas C, Bafaloukos D. Severe Gastritis Due to Nivolumab Treatment of a Metastatic Melanoma Patient. Diagnostics. 2022; 12(11):2864. https://doi.org/10.3390/diagnostics12112864
Chicago/Turabian StyleSamonis, George, Aikaterini Bousmpoukea, Aristea Molfeta, Antonios D. Kalkinis, Kalliopi Petraki, Christos Koutserimpas, and Dimitrios Bafaloukos. 2022. "Severe Gastritis Due to Nivolumab Treatment of a Metastatic Melanoma Patient" Diagnostics 12, no. 11: 2864. https://doi.org/10.3390/diagnostics12112864
APA StyleSamonis, G., Bousmpoukea, A., Molfeta, A., Kalkinis, A. D., Petraki, K., Koutserimpas, C., & Bafaloukos, D. (2022). Severe Gastritis Due to Nivolumab Treatment of a Metastatic Melanoma Patient. Diagnostics, 12(11), 2864. https://doi.org/10.3390/diagnostics12112864

