Ectopic Eruption of First Permanent Molars in Children from North-Western Romania
Abstract
1. Introduction
2. Materials and Methods
2.1. Ethical Considerations
2.2. Sample Selection
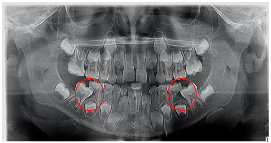
2.3. Radiological Examination
2.4. Statistical Analysis
3. Results
3.1. Socio-Demographic Characteristics
3.2. The Influence of Gender on the Ectopic Eruption of First Permanent Molars
3.3. The Severity of the Ectopic Eruption of First Permanent Molars
4. Discussion
5. Conclusions
Author Contributions
Funding
Institutional Review Board Statement
Informed Consent Statement
Data Availability Statement
Conflicts of Interest
References
- Roulias, P.; Kalantzis, N.; Doukaki, D.; Pachiou, A.; Karamesinis, K.; Damanakis, G.; Gizani, S.; Tsolakis, A.I. Teeth Eruption Disorders: A Critical Review. Children 2022, 9, 771. [Google Scholar] [CrossRef]
- Yaseen, S.M.; Naik, S.; Uloopi, K.S. Ectopic eruption—A review and case report. Contemp. Clin. Dent. 2011, 2, 3–7. [Google Scholar] [CrossRef] [PubMed]
- Barberia Leache, E.; Suarez-Clúa, M.C.; Saavedra-Ontiveros, D. Ectopic eruption of the maxillary first permanent molar: Characteristics and occurrence in growing children. Angle Orthod. 2005, 75, 610–615. [Google Scholar] [CrossRef] [PubMed]
- Cobourne, M.T.; Williams, A.; Harrison, M. National clinical guidelines for the extraction of first permanent molars in children. Br. Dent. J. 2014, 217, 643–648. [Google Scholar] [CrossRef] [PubMed]
- Güven, Y. Prevalence of ectopic eruption of first permanent molars in a Turkish population. Eur. Oral Res. 2018, 52, 1–5. [Google Scholar] [CrossRef] [PubMed]
- Helm, A.; Martín-Vacas, A.; Molinero-Mourelle, P.; Caleya, A.M.; Gallardo, N.E.; Mourelle-Martínez, M.R. Ectopic Eruption of Maxillary First Permanent Molars: Preliminary Results of Prevalence and Dentoskeletal Characteristics in Spanish Paediatric Population. Children 2021, 8, 479. [Google Scholar] [CrossRef]
- Aldowsari, M.K.; Alsaidan, M.; Alaqil, M.; BinAjian, A.; Albeialy, J.; Alraawi, M.; Al Moaleem, M.M. Ectopic Eruption of First Permanent Molars for Pediatric Patients Attended King Saud University, Riyadh, Saudi Arabia: A Radiographic Study. Clin. Cosmet. Investig. Dent. 2021, 13, 325–333. [Google Scholar] [CrossRef]
- Mooney, G.C.; Morgan, A.G.; Rodd, H.D.; North, S. Ectopic eruption of first permanent molars: Presenting features and associations. Eur. Arch. Paediatr. Dent. 2007, 8, 153–157. [Google Scholar] [CrossRef]
- Kupietzky, A. Correction of ectopic eruption of permanent molars utilizing the brass wire technique. Pediatr. Dent. 2000, 22, 408–412. [Google Scholar]
- Hennessy, J.; Al-Awadhi, E.A.; Dwyer, L.O.; Leith, R. Treatment of ectopic first permanent molar teeth. Dent. Update 2012, 39, 656–658, 660–661. [Google Scholar] [CrossRef]
- Proffit, W.R. Contemporary Orthodontics/Proffit WR, Fields Henry W, Sarver David M, 5th ed.; Mosby: St. Louis, MO, USA, 2013; p. 123. [Google Scholar]
- Mucedero, M.; Rozzi, M.; Cardoni, G.; Ricchiuti, M.R.; Cozza, P. Dentoskeletal features in individuals with ectopic eruption of the permanent maxillary first molar. Korean J. Orthod. 2015, 45, 190–197. [Google Scholar] [CrossRef] [PubMed]
- Hsiao, C.C.; Boynton, J.R. Etiology, Classification and Management of Ectopic Eruption of Permanent First Molars. J. Mich. Dent. Assoc. 2016, 98, 26–30. [Google Scholar] [PubMed]
- Meng, M.; Zhou, X.; Zhang, Q.; Zou, J. Management of ectopically erupting permanent molars in a seven-year-old girl: A case report. J. Pak. Med. Assoc. 2021, 71, 2809–2811. [Google Scholar] [CrossRef] [PubMed]
- Chen, X.; Huo, Y.; Peng, Y.; Zhang, Q.; Zou, J. Ectopic eruption of the first permanent molar: Predictive factors for irreversible outcome. Am. J. Orthod. Dentofac. Orthop. 2021, 159, e169–e177. [Google Scholar] [CrossRef] [PubMed]
- Moca, A.E.; Ciavoi, G.; Todor, B.I.; Negruțiu, B.M.; Cuc, E.A.; Dima, R.; Moca, R.T.; Vaida, L.L. Validity of the Demirjian Method for Dental Age Estimation in Romanian Children. Children 2022, 9, 567. [Google Scholar] [CrossRef]
- Izzetti, R.; Nisi, M.; Aringhieri, G.; Crocetti, L.; Graziani, F.; Nardi, C. Basic Knowledge and New Advances in Panoramic Radiography Imaging Techniques: A Narrative Review on What Dentists and Radiologists Should Know. Appl. Sci. 2021, 11, 7858. [Google Scholar] [CrossRef]
- Vaida, L.L.; Moca, A.E.; Todor, L.; Ţenţ, A.; Todor, B.I.; Negruţiu, B.M.; Moraru, A.I. Correlations between morphology of cervical vertebrae and dental eruption. Rom. J. Morphol. Embryol. 2019, 60, 175–180. [Google Scholar]
- Jamilian, A.; Jamilian, M.; Darnahal, A.; Hamedi, R.; Mollaei, M.; Toopchi, S. Hypodontia and supernumerary and impacted teeth in children with various types of clefts. Am. J. Orthod. Dentofacial. Orthop. 2015, 147, 221–225. [Google Scholar] [CrossRef]
- Hali, H.; Salehi, M.; Molania, T.; Farahbod, F.; Maghfouri, H. Prevalence of ectopic eruption of first permanent molars in panoramic images of 5-8- year-old children in Sari, Mazandaran Province, North of Iran in 2013-2020. Int. J. Pediatr. 2021, 9, 13591–13597. [Google Scholar] [CrossRef]
- Hafiz, Z.Z. Ectopic eruption of the maxillary first permanent molar: A review and case report. J. Dent. Health Oral Disord. Ther. 2018, 9, 154–158. [Google Scholar] [CrossRef]
- Mendoza-Mendoza, A.; Villalon-Rivero, G.; Caleza-Jimenez, C.; Solano-Mendoza, B.; Yañez-Vico, R.M.; Iglesias-Linares, A. Ectopic eruption of the permanent maxillary first molar: Study in a population of 505 South European children. Edorium J. Dent. 2014, 1, 7–11. [Google Scholar] [CrossRef]
- da Silva Dalben, G.; Costa, B.; Gomide, M.R. Prevalence of dental anomalies, ectopic eruption and associated oral malformations in subjects with Treacher Collins syndrome. Oral Surg. Oral Med. Oral Pathol. Oral Radiol. Endod. 2006, 101, 588–592. [Google Scholar] [CrossRef] [PubMed]
- Laurin, E.; Bradhsaw, J.; Hawley, L.; Gardner, I.A.; Garver, K.; Johnson, S.C.; Thakur, K.K. Importance of sample size for estimating prevalence: A case example of infectious hematopoietic necrosis viral RNA detection in mixed stock Fraser River sockeye salmon (Oncorhynchus nerka), British Columbia, Canada. Can. J. Fish. Aquat. 2021, 78, 589–598. [Google Scholar] [CrossRef]
- Chintakanon, K.; Boonpinon, P. Ectopic eruption of the first permanent molars: Prevalence and etiologic factors. Angle Orthod. 1998, 68, 153–160. [Google Scholar] [PubMed]
- Salbach, A.; Schremmer, B.; Grabowski, R.; Stahl de Castrillon, F. Correlation between the frequency of eruption disorders for first permanent molars and the occurrence of malocclusions in early mixed dentition. J. Orofac. Orthop. 2012, 73, 298–306. [Google Scholar] [CrossRef] [PubMed]
- Zou, J.; Meng, M.; Law, C.S.; Rao, Y.; Zhou, X. Common dental diseases in children and malocclusion. Int. J. Oral Sci. 2018, 10, 7. [Google Scholar] [CrossRef] [PubMed]
- Bondemark, L.; Tsiopa, J. Prevalence of ectopic eruption, impaction, retention and agenesis of the permanent second molar. Angle Orthod. 2007, 77, 773–778. [Google Scholar] [CrossRef]


| Girls | Boys | p * | ||||
|---|---|---|---|---|---|---|
| No. | % | No. | % | |||
| Severity | Moderate | 10 | 27.8% | 14 | 56% | 0.004 |
| Severe | 19 | 52.8% | 3 | 12% | ||
| Very severe | 7 | 19.4% | 8 | 32% | ||
| Location | Unilateral | 19 | 52.8% | 9 | 36% | 0.296 |
| Bilateral | 17 | 47.2% | 16 | 64% | ||
| Girls | Boys | p * | ||||
|---|---|---|---|---|---|---|
| No. | % | No. | % | |||
| Ectopic Molar | 1.6 | 14 | 24.6% | 5 | 10.9% | 0.239 |
| 2.6 | 11 | 19.3% | 7 | 15.2% | ||
| 3.6 | 17 | 29.8% | 16 | 34.8% | ||
| 4.6 | 15 | 26.3% | 18 | 39.1% | ||
| Dental Arch | Upper | 25 | 43.9% | 12 | 26.1% | 0.067 |
| Lower | 32 | 56.1% | 34 | 73.9% | ||
| Dental Hemiarch | Right | 29 | 50.9% | 23 | 50% | 1.000 |
| Left | 28 | 49.1% | 23 | 50% | ||
| Unilateral | Bilateral | p * | ||||
|---|---|---|---|---|---|---|
| No. | % | No. | % | |||
| Severity | Moderate | 16 | 57.1% | 8 | 24.2% | 0.016 |
| Severe | 9 | 32.1% | 13 | 39.4% | ||
| Very severe | 3 | 10.7% | 12 | 36.4% | ||
| Moderate | Severe | Very Severe | p * | |||||
|---|---|---|---|---|---|---|---|---|
| No. | % | No. | % | No. | % | |||
| Ectopic Molar | 1.6 | 5 | 15.6% | 9 | 23.1% | 5 | 15.6% | 0.930 |
| 2.6 | 5 | 15.6% | 8 | 20.5% | 5 | 15.6% | ||
| 3.6 | 12 | 37.5% | 10 | 25.6% | 11 | 34.4% | ||
| 4.6 | 10 | 31.3% | 12 | 30.8% | 11 | 34.4% | ||
| Dental Arch | Upper | 10 | 31.3% | 17 | 43.6% | 10 | 31.3% | 0.468 |
| Lower | 22 | 68.7% | 22 | 56.4% | 22 | 68.7% | ||
| Dental Hemiarch | Right | 15 | 46.9% | 21 | 53.8% | 16 | 50% | 0.854 |
| Left | 17 | 53.1% | 18 | 46.2% | 16 | 50% | ||
Publisher’s Note: MDPI stays neutral with regard to jurisdictional claims in published maps and institutional affiliations. |
© 2022 by the authors. Licensee MDPI, Basel, Switzerland. This article is an open access article distributed under the terms and conditions of the Creative Commons Attribution (CC BY) license (https://creativecommons.org/licenses/by/4.0/).
Share and Cite
Moca, R.T.; Juncar, R.I.; Moca, A.E.; Sabău, D.T.; Vaida, L.L.; Juncar, M. Ectopic Eruption of First Permanent Molars in Children from North-Western Romania. Diagnostics 2022, 12, 2731. https://doi.org/10.3390/diagnostics12112731
Moca RT, Juncar RI, Moca AE, Sabău DT, Vaida LL, Juncar M. Ectopic Eruption of First Permanent Molars in Children from North-Western Romania. Diagnostics. 2022; 12(11):2731. https://doi.org/10.3390/diagnostics12112731
Chicago/Turabian StyleMoca, Rahela Tabita, Raluca Iulia Juncar, Abel Emanuel Moca, Denisa Tabita Sabău, Luminița Ligia Vaida, and Mihai Juncar. 2022. "Ectopic Eruption of First Permanent Molars in Children from North-Western Romania" Diagnostics 12, no. 11: 2731. https://doi.org/10.3390/diagnostics12112731
APA StyleMoca, R. T., Juncar, R. I., Moca, A. E., Sabău, D. T., Vaida, L. L., & Juncar, M. (2022). Ectopic Eruption of First Permanent Molars in Children from North-Western Romania. Diagnostics, 12(11), 2731. https://doi.org/10.3390/diagnostics12112731

