Next Article in Journal
Reply to Orsi, M.; Somigliana, E. Incarceration of the Gravid Uterus: Proposal for a Shared Definition. Comment on “Tachibana et al. Incarcerated Gravid Uterus: Spontaneous Resolution Is Not Rare. Diagnostics 2021, 11, 1544”
Next Article in Special Issue
GroEL Chaperonin-Based Assay for Early Diagnosis of Scrub Typhus
Previous Article in Journal
Head and Neck Paragangliomas in the Czech Republic: Management at the Otorhinolaryngology Department
Previous Article in Special Issue
Importance of Adequate qPCR Controls in Infection Control
 
 
Font Type:
Arial Georgia Verdana
Font Size:
Aa Aa Aa
Line Spacing:
Column Width:
Background:
Article

Factors Affecting Patients with Concurrent Deep Neck Infection and Acute Epiglottitis

1
Center for Traditional Chinese Medicine, Division of Chinese Internal Medicine, Chang Gung Memorial Hospital, Taoyuan 333, Taiwan
2
School of Medicine, Chang Gung University, Taoyuan 333, Taiwan
3
Department of Otorhinolaryngology & Head and Neck Surgery, New Taipei Municipal TuCheng Hospital, New Taipei City 236, Taiwan
4
Department of Otorhinolaryngology & Head and Neck Surgery, Chang Gung Memorial Hospital, Linkou 333, Taiwan
5
Department of Medical Imaging and Intervention, Chang Gung Memorial Hospital, Linkou 333, Taiwan
*
Author to whom correspondence should be addressed.
Diagnostics 2022, 12(1), 29; https://doi.org/10.3390/diagnostics12010029
Submission received: 6 December 2021 / Revised: 20 December 2021 / Accepted: 22 December 2021 / Published: 23 December 2021
(This article belongs to the Special Issue Diagnostic Infectious Disease and Microbiology)

Abstract

:
Deep neck infection (DNI) is a serious disease of deep neck spaces that can lead to morbidities and mortality. Acute epiglottitis (AE) is a severe infection of the epiglottis, which can lead to airway obstruction. However, there have been no studies of risk factors in patients with concurrent DNI and AE. This study was performed to investigate this issue. A total of 502 subjects with DNI were enrolled in the study between June 2016 and August 2021. Among these patients, 30 had concurrent DNI and AE. The relevant clinical variables were assessed. In a univariate analysis, involvement of the parapharyngeal space (OR = 21.50, 95% CI: 2.905–158.7, p < 0.001) and involvement of the submandibular space (OR = 2.064, 95% CI: 0.961–4.434, p < 0.001) were significant risk factors for concurrent DNI and AE. In a multivariate analysis, involvement of the parapharyngeal space (OR = 23.69, 95% CI: 3.187–175.4, p = 0.002) and involvement of the submandibular space (OR = 2.465, 95% CI: 1.131–5.375, p < 0.023) were independent risk factors for patients with concurrent DNI and AE. There were no differences in pathogens, therapeutic managements (tracheostomy, intubation, surgical drainage), or hospital staying period between the 30 patients with concurrent DNI and AE and the 472 patients with DNI alone (all p > 0.05). However, we believe it is significant that DNI and AE are concurrent because both DNI and AE potentially cause airway obstruction, and concurrence of these two diseases make airway protection more difficult. The infections in critical spaces may cause the coincidence of these two diseases. Involvement of the parapharyngeal space and involvement of the submandibular space were independent risk factors associated with concurrent DNI and AE. There were no differences in pathogens between the concurrent DNI and AE group and the DNI alone group.

1. Introduction

Deep neck infection (DNI) is a lethal bacterial infection in the potential spaces of the neck [1]. DNI can lead to airway obstruction and cause severe morbidity and mortality, including severe sepsis, esophageal perforation, necrotizing fasciitis, descending necrotizing mediastinitis, disseminated intravascular coagulation, jugular vein thrombosis, and even pericarditis [2,3,4,5,6].
Acute epiglottitis (AE) is a bacterial infection of supraglottic structures that results in a symptom complex consisting of a sore throat, stridor, odynophagia, muffled voice, and a high fever; it is a potentially life-threatening condition secondary to airway obstruction [7].
DNI is clinically first suspected in patients with shortness of breath, local heat, redness, and swelling in the neck. The otolaryngologist will then use a flexible fiberoptic laryngoscope to look for an upper airway obstruction, and the coexistence of AE may be found.
Previous studies showed that some patients may present with concurrent DNI and AE [8,9]. Therapeutic management in patients with the cooccurrence of these two lethal diseases is complicated. AE necessitates protection of the airway, and severe DNI can cause septic shock and comorbidity. However, there have been no previous studies regarding risk factors for the cooccurrence of these two diseases. This study was therefore performed to investigate the risk factors in patients with concurrent DNI and AE.

2. Materials and Methods

We retrospectively reviewed the medical records of 502 patients diagnosed with DNI who were admitted to Chang Gung Memorial Hospital in Linkou, Taiwan, between June 2016 and August 2021. DNI diagnosis was performed by ultrasonography (USA) and computed tomography (CT), while AE was diagnosed by a lateral neck X-ray (Figure 1), flexible fiberoptic laryngoscopy, and CT. The treatment course included antibiotics, US-guided needle drainage, and open surgical incision and drainage. The empirical antibiotics used were ceftriaxon 1 gm Q12h and metronidazole 500 mg Q8h, based on previous reports, to cover aerobic and anaerobic bacteria before the culture results were available [10,11].

2.1. Exclusion Criteria

Patients with mis-swallowing of a foreign body, severe cardiopulmonary diseases, previous head and neck tumor surgery, and previous radiotherapy over the head and neck region, as well as immunocompromised patients, were excluded. A total of 502 patients with DNI were enrolled in the study, among whom 30 patients had cooccurrence of DNI and AE at the time of diagnosis.

2.2. Data Collection

To investigate the risk factors associated with concurrent DNI and AE, we collected data on the patients’ gender, age, hospital stay, C-reactive protein (CRP) level, blood sugar level, diabetes mellitus (DM) status, performance of incision and drainage surgery, number of spaces affected by DNI, deep neck space involvement (Figure 2), presence of mediastinitis, tracheostomy, and species of pathogens involved.

2.3. Ethics Statement

This study was approved by the Institutional Review Board (IRB) of the Chang Gung Medical Foundation (IRB no. 202101961B0). The data were collected retrospectively and the patients were anonymized before data analysis. The IRB waived the need for informed consent.

2.4. Statistical Analysis

All data were analyzed using MedCalc software (ver. 18.6; MedCalc, Ostend, Belgium). As the Kolmogorov–Smirnov test showed that the data were not normally distributed, we used the chi-square test for categorical variables, Mann–Whitney U test for the comparison of continuous variables, and logistic regression analysis for univariate and multivariate analyses. A multivariate forward stepwise selection procedure was implemented, and all of the variables included in the univariate analysis were entered into the final multivariate model. In all analyses, p < 0.05 was taken to indicate statistical significance.

3. Results

Demographic and clinical data are shown in Table 1. A total of 502 patients with DNI, consisting of 325 men (64.74%) and 177 women (35.26%) with a mean age of 51.99 ± 19.04 years, were enrolled. The mean hospital stay was 10.05 ± 8.33 days. With regard to laboratory data, the mean CRP level was 148.54 ± 108.89 mg/L and the mean blood sugar level was 144.95 ± 73.73 mg/dL. A total of 207 (41.23%) patients had DM, and 236 (47.01%) patients underwent incisional and drainage surgery for DNI.
Among these patients, 196 (39.04%) had involvement of a single deep neck space, 146 (29.08%) had involvement of two spaces, and 160 (31.88%) had involvement of more than three spaces.
With regard to deep neck space involvement, 300 (59.76%) patients had parapharyngeal space involvement, 234 (46.61%) had submandibular space involvement, 164 (32.66%) patients had retropharyngeal space involvement, 106 (21.15%) had masticator space involvement, 85 (16.93%) patients had parotid space involvement, 42 (8.36%) had anterior cervical space involvement, 32 (6.37%) patients had carotid space involvement, 30 (5.97%) had visceral space involvement, 21 (4.18%) had perivertebral space involvement, and 12 (2.39%) had posterior cervical space involvement. Mediastinitis was found in 46 (9.16%) patients. Tracheostomy was performed in 68 (13.54%) patients. AE was found in 30 (5.97%) patients. Table 1 lists the pathogens cultured from these patients. No specific pathogens were cultured from 79 (15.73%) patients.
Table 2 shows the results of a univariate analysis of variables for the 502 patients with DNI. The results show that parapharyngeal space involvement and submandibular space involvement were significant risk factors for AE (OR = 21.50, 95% CI: 2.905–158.7, p < 0.001 and OR = 2.064, 95% CI: 0.961–4.434, p < 0.001, respectively).
In Table 2, all factors were entered into a forward stepwise multivariate logistic regression model. Parapharyngeal space involvement (OR = 23.69, 95% CI: 3.187–175.4, p = 0.002) and submandibular space involvement (OR = 2.465, 95% CI: 1.131–5.375, p = 0.023) were significant independent risk factors for AE in patients with DNI.
As shown in Table 3, there were no significant differences in pathogens between the 30 patients with concurrent DNI and AE and the 472 patients with DNI alone (all p > 0.05). No specific pathogens were grown in blood cultures from three patients (10.00%) in the concurrent DNI and AE group and in 76 patients (15.25%) in the DNI alone group (p > 0.05).
In Table 4, there were no significant differences in therapeutic managements and hospital staying period between the 30 patients with concurrent DNI and AE and the 472 patients with DNI alone (all p > 0.05).

4. Discussion

In our study, involvement of the parapharyngeal space and involvement of the submandibular space were independent risk factors associated with concurrent AE and DNI. In addition, there were no differences in pathogens between the group with concurrent AE and DNI and the group with DNI alone.
The deep neck spaces lie within a complex framework formed by the cervical fascial planes [12]. As shown in Table 2, parapharyngeal space involvement and submandibular space involvement were independent risk factors for concurrent DNI and AE. The parapharyngeal space is a deep potential neck space shaped as an inverted pyramid, extending from the base of the skull to the hyoid bone [13]. The importance of the parapharyngeal space also lies in its connection with the other spaces of the neck. The masticator and parotid spaces are located laterally, the pharyngeal mucosal space is located medially, and the retropharyngeal space is located posteromedially [14]. The submandibular space is bounded anteriorly and laterally by the mandible, medially by the anterior belly of the digastric muscle, superiorly by the mylohyoid muscle, and inferiorly by the hyoid bone, while it also permits communication with the parapharyngeal space [15]. Therefore, infections can spread between the parapharyngeal space and submandibular space [16].
The epiglottis is formed of elastic cartilage [17]. Epiglottic inflammation can connect to the paraglottic and pre-epiglottic spaces and the parapharyngeal space [18]. Therefore, with the involvement of the parapharyngeal space and submandibular space, concurrent epiglottitis might occur, which can further lead to airway obstruction. In addition to concurrent DNI and AE, infection can be lethal in cases in which the DNI involves multiple spaces [1].
Proper protection of the airway with close surveillance of respiratory function and adequate infection control are important for the management of concurrent DNI and AE [19]. Airway specialists, such as otolaryngologists and anesthesiologists, should ideally evaluate the patient immediately to give sufficient time for preparation to secure the airway. In this cohort, tracheostomy was performed in 68 (13.54%) cases. The administration of effective broad-spectrum antibiotics against causative organisms is still important in the management of a severe infection. The involvement of multiple deep neck spaces was previously reported to be a risk factor for requiring tracheostomy [20].
Although many advances in diagnosis and treatment have been made, both DNI and AE can lead to rapid mortality if not managed appropriately. Patients with concurrent DNI and AE should be observed in a high acuity, closely monitored environment, such as the ICU, until the resolution of airway signs and symptoms [21].
Bacterial infection is the most common etiology of AE and DNI [7]. However, pathogens may vary geographically [22]. As shown in Table 3, there were no significant differences in pathogens between the 30 patients with concurrent DNI with AE and the 472 patients with DNI alone. In fact, DNI has a number of clinical presentations depending on the pathogenic organisms involved [23]. Streptococcus constellatus was the most commonly cultivated pathogen in the DNI patients regardless of whether they had concurrent AE (16.66%) or DNI alone (17.32%) (Table 3). This microorganism is a small catalase-negative coccus, which belongs to the Anginosus group, formerly known as Streptococcus milleri (along with Streptococcus anginosus and Streptococcus intermedius) [24]. Streptococcus constellatus infection was reported to be more common in patients aged between 35 and 54 years than in other age groups [25]. This microorganism behaves as a commensal organism of the oral cavity and oropharynx, but it can become invasive and pathogenic after mucosal disruption [23,26,27]. Streptococcus constellatus is known to be susceptible to β-lactam antibiotics, erythromycin, doxycycline, and vancomycin [28]. However, increases have been reported in resistance to penicillin and clindamycin [29]. The rate of specific pathogen non-growth in this cohort was 15.73% (79/502). However, blood culture is not a highly sensitive method for identifying pathogens, especially when antibiotics have already been administered [30].
In Table 4, there were no differences in therapeutic managements (tracheostomy, intubation, surgical drainage) or hospital staying period between the 30 patients with concurrent DNI and AE and the 472 patients with DNI alone. However, we consider concurrent AE and DNI is not simply a variant of DNI. We believe it is significant that DNI and AE are concurrent because coincidence of these two diseases makes airway protection more difficult. Therefore, these patients cause clinicians not only to pay more attention but also to make more effort to treat.

Limitations of the Article

This study has some limitations. First, the retrospective nature of the study resulted in a certain attrition rate. In addition, most patients were male, which could have been due to selection bias.

5. Conclusions

Both DNI and AE are serious illnesses, and infections in critical spaces may cause the cooccurrence of these two diseases. Involvement of the parapharyngeal space and involvement of the submandibular space were independent risk factors for concurrent DNI and AE. There were no differences in pathogens, therapeutic managements, or hospital staying period between the concurrent DNI and AE group and the DNI alone group.

Author Contributions

Conceptualization, C.-Y.H., Y.-C.W., S.-C.C., and S.-L.C.; methodology, C.-Y.H. and S.-L.C.; validation, C.-Y.H. and S.-L.C.; data curation, C.-Y.H. and S.-L.C.; writing—original draft preparation, C.-Y.H. and S.-L.C.; writing—review and editing, S.-L.C.; visualization, C.-Y.H., S.-C.C. and S.-L.C.; supervision, C.-Y.H., Y.-C.W. and S.-L.C.; project administration, C.-Y.H., S.-C.C. and S.-L.C. All authors have read and agreed to the published version of the manuscript.

Funding

This research received no external funding.

Institutional Review Board Statement

This study was approved on 22 November 2021 by the Institutional Review Board (IRB) of the Chang Gung Medical Foundation (IRB no. 202101961B0). The data were collected retrospectively, and the patients were anonymized before data analysis.

Informed Consent Statement

The IRB approved the waiver of the participant’s consent.


Data Availability Statement

All data generated or analyzed during this study are included in this published article. The data are available on request.

Acknowledgments

The authors thank all of the members of Department of Otorhinolaryngology—Head and Neck Surgery, Chang Gung Memorial Hospital, Linkou, for their invaluable help.

Conflicts of Interest

The authors declare no conflict of interest.

Abbreviations

DNI: deep neck infection; AE: acute epiglottitis; US: ultrasonography; CT: computed tomography; CRP: C-reactive protein; DM: diabetes mellitus; OR: odds ratio.

References

  1. Velhonoja, J.; Laaveri, M.; Soukka, T.; Irjala, H.; Kinnunen, I. Deep neck space infections: An upward trend and changing characteristics. Eur. Arch. Otorhinolaryngol. 2020, 277, 863–872. [Google Scholar] [CrossRef] [Green Version]
  2. Tapiovaara, L.; Back, L.; Aro, K. Comparison of intubation and tracheotomy in patients with deep neck infection. Eur. Arch. Otorhinolaryngol. 2017, 274, 3767–3772. [Google Scholar] [CrossRef] [PubMed]
  3. Rzepakowska, A.; Rytel, A.; Krawczyk, P.; Osuch-Wojcikiewicz, E.; Widlak, I.; Deja, M.; Niemczyk, K. The Factors Contributing to Efficiency in Surgical Management of Purulent Infections of Deep Neck Spaces. Ear Nose Throat J. 2021, 100, 354–359. [Google Scholar] [CrossRef] [PubMed] [Green Version]
  4. Boscolo-Rizzo, P.; Marchiori, C.; Montolli, F.; Vaglia, A.; Da Mosto, M.C. Deep neck infections: A constant challenge. ORL 2006, 68, 259–265. [Google Scholar] [CrossRef] [PubMed]
  5. Prado-Calleros, H.M.; Jimenez-Fuentes, E.; Jimenez-Escobar, I. Descending necrotizing mediastinitis: Systematic review on its treatment in the last 6 years, 75 years after its description. Head Neck 2016, 38 (Suppl. S1), E2275–E2283. [Google Scholar] [CrossRef]
  6. Aizawa, N.; Tsuchiya, A.; Takahashi, S. Two cases of deep neck infection with esophageal perforation. J.-STAGE 2013, 26, 149–154. [Google Scholar] [CrossRef]
  7. Tsai, Y.T.; Huang, E.I.; Chang, G.H.; Tsai, M.S.; Hsu, C.M.; Yang, Y.H.; Lin, M.H.; Liu, C.Y.; Li, H.Y. Risk of acute epiglottitis in patients with preexisting diabetes mellitus: A population-based case-control study. PLoS ONE 2018, 13, e0199036. [Google Scholar] [CrossRef] [Green Version]
  8. Komasawa, N.; Minami, T. Difficult airway management in a patient with combined severe deep neck abscess and acute epiglottitis with abscess. J. Clin. Anesth. 2014, 26, 581. [Google Scholar] [CrossRef]
  9. Ito, K.; Chitose, H.; Koganemaru, M. Four cases of acute epiglottitis with a peritonsillar abscess. Auris Nasus Larynx 2011, 38, 284–288. [Google Scholar] [CrossRef]
  10. Yang, S.W.; Lee, M.H.; See, L.C.; Huang, S.H.; Chen, T.M.; Chen, T.A. Deep neck abscess: An analysis of microbial etiology and the effectiveness of antibiotics. Infect. Drug Resist. 2008, 1, 1–8. [Google Scholar] [CrossRef] [Green Version]
  11. Chen, M.K.; Wen, Y.S.; Chang, C.C.; Lee, H.S.; Huang, M.T.; Hsiao, H.C. Deep neck infections in diabetic patients. Am. J. Otolaryngol. 2000, 21, 169–173. [Google Scholar] [CrossRef]
  12. Vieira, F.; Allen, S.M.; Stocks, R.M.; Thompson, J.W. Deep neck infection. Otolaryngol. Clin. N. Am. 2008, 41, 459–483. [Google Scholar] [CrossRef] [PubMed]
  13. Unger, J.M.; Chintapalli, K.N. Computed tomography of the parapharyngeal space. J. Comput. Assist. Tomogr. 1983, 7, 605–609. [Google Scholar] [CrossRef] [PubMed]
  14. Shin, J.H.; Lee, H.K.; Kim, S.Y.; Choi, C.G.; Suh, D.C. Imaging of parapharyngeal space lesions: Focus on the prestyloid compartment. Am. J. Roentgenol. 2001, 177, 1465–1470. [Google Scholar] [CrossRef]
  15. Patel, S.; Bhatt, A.A. Imaging of the sublingual and submandibular spaces. Insights Imaging 2018, 9, 391–401. [Google Scholar] [CrossRef] [Green Version]
  16. Huang, C.M.; Huang, F.L.; Chien, Y.L.; Chen, P.Y. Deep neck infections in children. J. Microbiol. Immunol. Infect. 2017, 50, 627–633. [Google Scholar] [CrossRef]
  17. Milroy, C.M. Ossification of the epiglottis. J. Laryngol. Otol. 1992, 106, 180–182. [Google Scholar] [CrossRef]
  18. Sideris, G.; Sapountzi, M.; Maragoudakis, P.; Delides, A. Paraglottic and Pre-epiglottic Space Abscess in Adults: Report of Two Cases. Iran. J. Otorhinolaryngol. 2020, 32, 187–191. [Google Scholar] [CrossRef]
  19. Pineau, P.M.; Gautier, J.; Pineau, A.; Emam, N.; Laccourreye, L.; Boucher, S. Intubation decision criteria in adult epiglottitis. Eur. Ann. Otorhinolaryngol. Head Neck Dis. 2021, 138, 329–332. [Google Scholar] [CrossRef]
  20. Chen, S.L.; Young, C.K.; Tsai, T.Y.; Chien, H.T.; Kang, C.J.; Liao, C.T.; Huang, S.F. Factors Affecting the Necessity of Tracheostomy in Patients with Deep Neck Infection. Diagnostics 2021, 11, 1536. [Google Scholar] [CrossRef]
  21. Dowdy, R.A.E.; Cornelius, B.W. Medical Management of Epiglottitis. Anesth. Prog. 2020, 67, 90–97. [Google Scholar] [CrossRef] [PubMed]
  22. Chen, S.L.; Young, C.K.; Liao, C.T.; Tsai, T.Y.; Kang, C.J.; Huang, S.F. Parotid Space, a Different Space from Other Deep Neck Infection Spaces. Microorganisms 2021, 9, 2361. [Google Scholar] [CrossRef] [PubMed]
  23. Han, J.K.; Kerschner, J.E. Streptococcus milleri: An organism for head and neck infections and abscess. Arch. Otolaryngol. Head Neck Surg. 2001, 127, 650–654. [Google Scholar] [CrossRef] [PubMed] [Green Version]
  24. Chrastek, D.; Hickman, S.; Sitaranjan, D.; Vokshi, I.; Kakisi, O.; Kadlec, J.; Bartosik, W.; Van Tornout, F.; Kouritas, V. Streptococcus constellatus Causing Empyema and Sepsis, Necessitating Early Surgical Decortication. Case Rep. Infect. Dis. 2020, 2020, 4630809. [Google Scholar] [CrossRef]
  25. Jiang, S.; Li, M.; Fu, T.; Shan, F.; Jiang, L.; Shao, Z. Clinical Characteristics of Infections Caused by Streptococcus anginosus Group. Sci. Rep. 2020, 10, 9032. [Google Scholar] [CrossRef]
  26. Gossling, J. Occurrence and pathogenicity of the Streptococcus milleri group. Rev. Infect. Dis. 1988, 10, 257–285. [Google Scholar] [CrossRef]
  27. Whiley, R.A.; Beighton, D. Emended descriptions and recognition of Streptococcus constellatus, Streptococcus intermedius, and Streptococcus anginosus as distinct species. Int. J. Syst. Bacteriol. 1991, 41, 1–5. [Google Scholar] [CrossRef] [Green Version]
  28. Nalmas, S.; Bishburg, E.; Chan, T. Streptococcus constellatus and Prevotella bivia penile abscess. Sci. World J. 2007, 7, 1631–1633. [Google Scholar] [CrossRef] [Green Version]
  29. Tracy, M.; Wanahita, A.; Shuhatovich, Y.; Goldsmith, E.A.; Clarridge, J.E.; Musher, D.M. Antibiotic susceptibilities of genetically characterized Streptococcus milleri group strains. Antimicrob. Agents Chemother. 2001, 45, 1511–1514. [Google Scholar] [CrossRef] [Green Version]
  30. Guardiani, E.; Bliss, M.; Harley, E. Supraglottitis in the era following widespread immunization against Haemophilus influenzae type B: Evolving principles in diagnosis and management. Laryngoscope 2010, 120, 2183–2188. [Google Scholar] [CrossRef]
Figure 1. A patient with concurrent acute epiglottitis and deep neck infection as seen from a (A) neck lateral view and (B) sagittal view on CT. Arrowhead: swelling of the epiglottis. 300 × 300 DPI.
Figure 1. A patient with concurrent acute epiglottitis and deep neck infection as seen from a (A) neck lateral view and (B) sagittal view on CT. Arrowhead: swelling of the epiglottis. 300 × 300 DPI.
Diagnostics 12 00029 g001
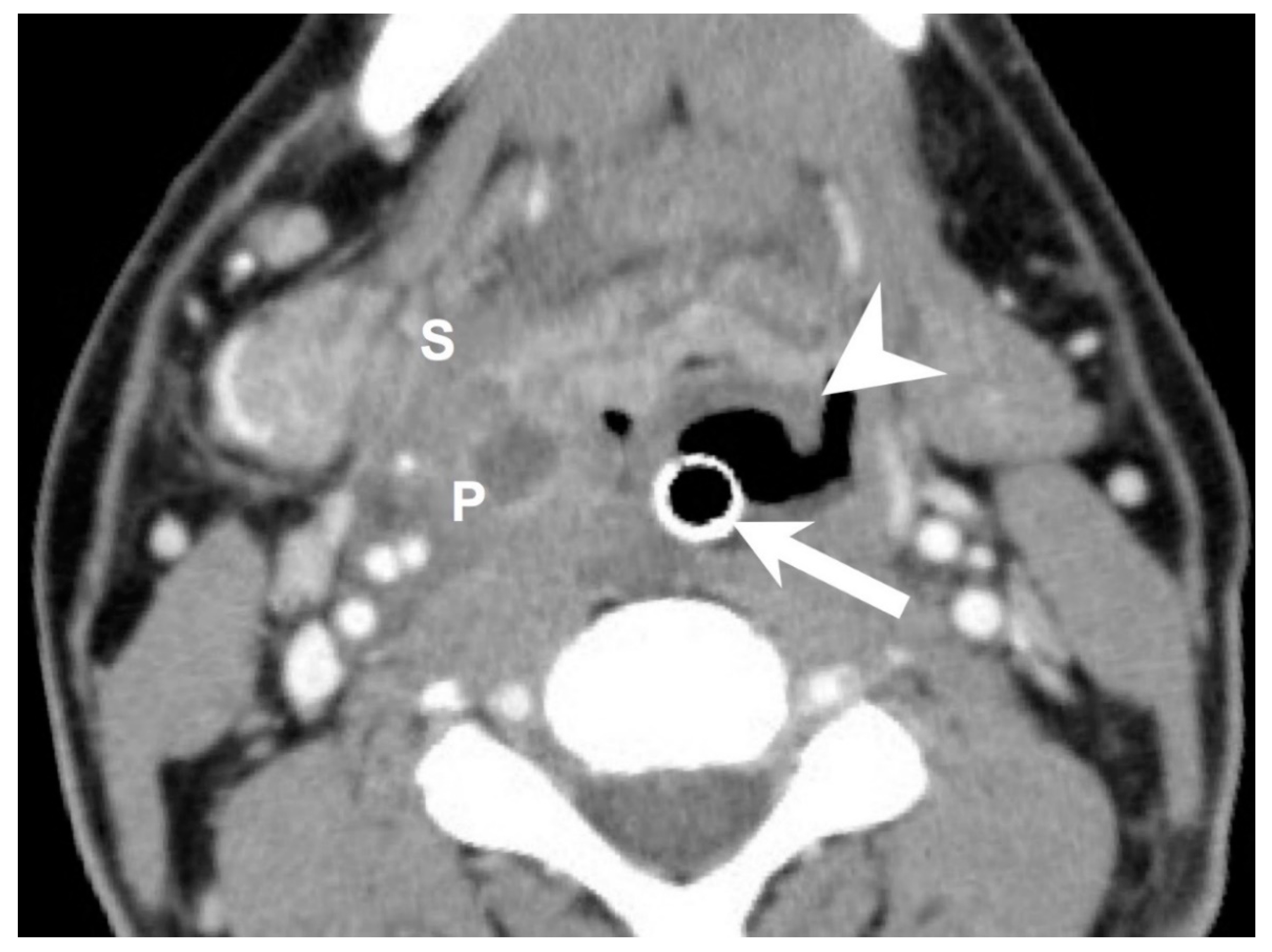
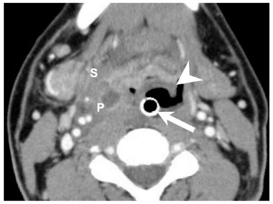
Figure 2. Axial CT view of an intubated patient with concurrent acute epiglottitis and multiple deep neck infections. Abscesses were detected in the parapharyngeal space and submandibular space. Arrow: endotracheal tube insertion; arrowhead: swollen and inflammatory epiglottis; P: parapharyngeal space; S: submandibular space. 300 × 300 DPI.
Figure 2. Axial CT view of an intubated patient with concurrent acute epiglottitis and multiple deep neck infections. Abscesses were detected in the parapharyngeal space and submandibular space. Arrow: endotracheal tube insertion; arrowhead: swollen and inflammatory epiglottis; P: parapharyngeal space; S: submandibular space. 300 × 300 DPI.
Diagnostics 12 00029 g002
Table 1. Clinicopathological characteristics of the 502 patients with deep neck infection.
Table 1. Clinicopathological characteristics of the 502 patients with deep neck infection.
CharacteristicsN (%)
Gender502 (100.00)
 Male325 (64.74)
 Female177 (35.26)
Age, years (SD)51.99 ± 19.04
Hospital staying period, days (SD)10.05 ± 8.33
CRP, mg/L (SD)148.54 ± 108.89
Blood sugar, mg/dL (SD)144.95 ± 73.73
Diabetes mellitus 207 (41.23)
Incision & drainage open surgery236 (47.01)
Number of deep neck space involvement
 Single space196 (39.04)
 Double spaces146 (29.08)
 Multiple spaces, ≥3160 (31.88)
Deep neck space involvement
 Parapharyngeal space300 (59.76)
 Submandibular space234 (46.61)
 Retropharyngeal space164 (32.66)
 Masticator space106 (21.15)
 Parotid space85 (16.93)
 Anterior cervical space42 (8.36)
 Carotid space32 (6.37)
 Visceral space30 (5.97)
 Perivertebral space21 (4.18)
 Posterior cervical space12 (2.39)
Mediastinitis46 (9.16)
Tracheostomy68 (13.54)
Acute epiglottitis30 (5.97)
Pathogens
 Streptococcus constellatus87 (17.33)
 Parvimonas micra64 (12.47)
 Klebsiella pneumonia59 (11.75)
 Prevotella buccae56 (11.15)
 Prevotella intermedia53 (10.55)
 Streptococcus anginosus52 (10.35)
 Staphylococcus aureus25 (4.98)
 Staphylococcus epidemidis18 (3.58)
 Streptococcus salivarius16 (3.18)
 Streptococcus oralis12 (2.39)
 Eikenella corrodens10 (1.99)
 Gemella morbillorum10 (1.99)
 Slackia exigua9 (1.79)
 Salmonella enterica9 (1.79)
 Pseudomonas aeruginosa5 (0.99)
 No growth 79 (15.73)
N = numbers; SD = standard deviation; CRP = C-reactive protein (normal range < 5 mg/L); blood sugar normal range: 70–100 mg/dL.
Table 2. Univariate and multivariate analyses of 30 cases of concurrent acute epiglottitis in 502 patients with deep neck infection.
Table 2. Univariate and multivariate analyses of 30 cases of concurrent acute epiglottitis in 502 patients with deep neck infection.
VariableAcute EpiglottitisUnivariate AnalysisMultivariate Analysis
YesNoOR95% CIp ValueOR95% CIp Value
Gender30472 0.342
 Male173080.6960.473–2.110
 Female131641.000
Age, years 0.442
 >50182491.3440.470–2.122
 ≤50122231.000
CRP, mg/L (SD)163.46 ± 114.14147.59 ± 108.601.0010.998–1.0040.439
Blood sugar, mg/dL (SD)130.63 ± 25.98145.86 ± 75.680.9960.990–1.0020.234
Diabetes mellitus 0.809
 Yes131940.9130.474–2.107
 No172781.000
Multiple spaces, ≥3 0.287
 Yes71530.6340.419–2.382
 No233191.000
Parapharyngeal space <0.001 * 0.002 *
 Yes2927121.502.905–158.7 23.693.187–175.4
 No12011.000 1.000
Submandibular space <0.001 * 0.023 *
 Yes192152.0640.961–4.434 2.4651.131–5.375
 No112571.000 1.000
Retropharyngeal space 0.160
 Yes61580.4960.199–1.240
 No243141.000
Masticator space 0.095
 Yes31030.3980.118–1.338
 No273691.000
Parotid space 0.086
 Yes2830.3340.078–1.432
 No283891.000
Anterior cervical space 0.250
 Yes1410.3620.048–2.730
 No294311.000
Carotid space 0.443
 Yes1310.4900.064–3.722
 No294411.000
Visceral space 0.123
 Yes4262.6390.857–8.124
 No264461.000
Perivertebral space 0.804
 Yes1200.7790.101–6.012
 No294521.000
Posterior cervical space 0.186
 Yes2103.3000.689–15.78
 No284621.000
Mediastinitis 0.871
 Yes3431.1080.322–3.805
 No274291.000
SD = standard deviation; OR = odds ratio; CI = confidence intervals; CRP = C-reactive protein; *, p < 0.05. Significant differences are shown in bold.
Table 3. Comparison of pathogens between 30 patients with concurrent acute epiglottitis and deep neck infection and 472 patients with deep neck infection alone.
Table 3. Comparison of pathogens between 30 patients with concurrent acute epiglottitis and deep neck infection and 472 patients with deep neck infection alone.
PathogensAcute Epiglottitis, N (%)Non-Acute Epiglottitis, N (%)p Value
Streptococcus constellatus5 (16.66)82 (17.32)1.000
Parvimonas micra3 (10.00)61 (12.92)1.000
Klebsiella pneumonia2 (6.66)57 (12.07)0.560
Prevotella buccae3 (10.00)53 (11.22)1.000
Prevotella intermedia3 (10.00)50 (10.59)1.000
Streptococcus anginosus4 (13.33)48 (10.16)0.537
Staphylococcus aureus3 (10.00)22 (4.66)0.181
Staphylococcus epidemidis3 (10.00)15 (3.17)0.085
Streptococcus salivarius2 (6.66)14 (2.96)0.246
Streptococcus oralis2 (6.66)10 (2.11)0.157
Eikenella corrodens2 (6.66)8 (1.42)0.115
Gemella morbillorum1 (3.33)9 (1.90)0.463
Slackia exigua2 (6.66)7 (1.48)0.095
Salmonella enterica2 (6.66)7 (1.48)0.095
Pseudomonas aeruginosa0 (0.00)5 (1.05)1.000
No growth 3 (10.00)76 (16.10)0.603
N = number.
Table 4. Comparison of managements and hospital staying period between 30 patients with concurrent acute epiglottitis and deep neck infection and 472 patients with deep neck infection alone.
Table 4. Comparison of managements and hospital staying period between 30 patients with concurrent acute epiglottitis and deep neck infection and 472 patients with deep neck infection alone.
CharacteristicsAcute Epiglottitis, N (%)Non-Acute Epiglottitis, N (%)p Value
YesNoYesNo
Tracheostomy13 (10.00)27 (90.00)65 (13.77)407 (86.23)0.783
Intubation16 (53.34)14 (46.66)226 (47.88)246 (52.12)0.578
I&D, open surgery15 (50.00)15 (50.00)221 (46.82)251 (53.18)0.850
Hospital staying period, days (SD)11.06 ± 6.139.98 ± 8.460.064
N = number; I&D = incision and drainage.
Publisher’s Note: MDPI stays neutral with regard to jurisdictional claims in published maps and institutional affiliations.

Share and Cite

MDPI and ACS Style

Ho, C.-Y.; Wang, Y.-C.; Chin, S.-C.; Chen, S.-L. Factors Affecting Patients with Concurrent Deep Neck Infection and Acute Epiglottitis. Diagnostics 2022, 12, 29. https://doi.org/10.3390/diagnostics12010029

AMA Style

Ho C-Y, Wang Y-C, Chin S-C, Chen S-L. Factors Affecting Patients with Concurrent Deep Neck Infection and Acute Epiglottitis. Diagnostics. 2022; 12(1):29. https://doi.org/10.3390/diagnostics12010029

Chicago/Turabian Style

Ho, Chia-Ying, Yu-Chien Wang, Shy-Chyi Chin, and Shih-Lung Chen. 2022. "Factors Affecting Patients with Concurrent Deep Neck Infection and Acute Epiglottitis" Diagnostics 12, no. 1: 29. https://doi.org/10.3390/diagnostics12010029

APA Style

Ho, C.-Y., Wang, Y.-C., Chin, S.-C., & Chen, S.-L. (2022). Factors Affecting Patients with Concurrent Deep Neck Infection and Acute Epiglottitis. Diagnostics, 12(1), 29. https://doi.org/10.3390/diagnostics12010029

Note that from the first issue of 2016, this journal uses article numbers instead of page numbers. See further details here.

Article Metrics

Back to TopTop