High Prevalence of Pre-Existing Liver Abnormalities Identified Via Autopsies in COVID-19: Identification of a New Silent Risk Factor?
Abstract
1. Introduction
2. Methods
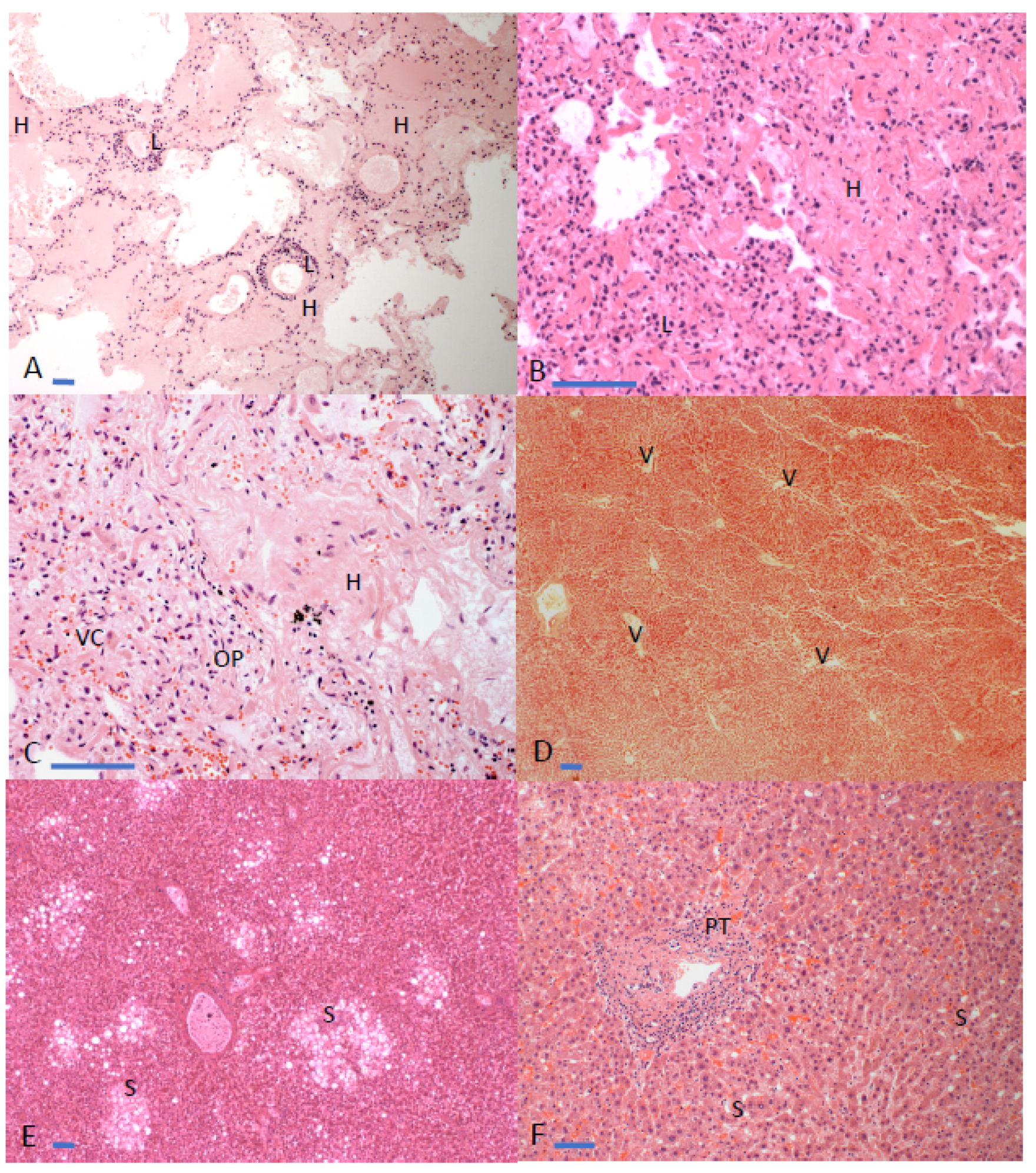
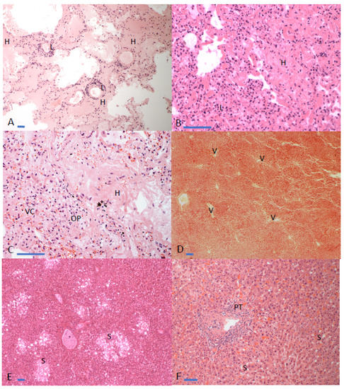
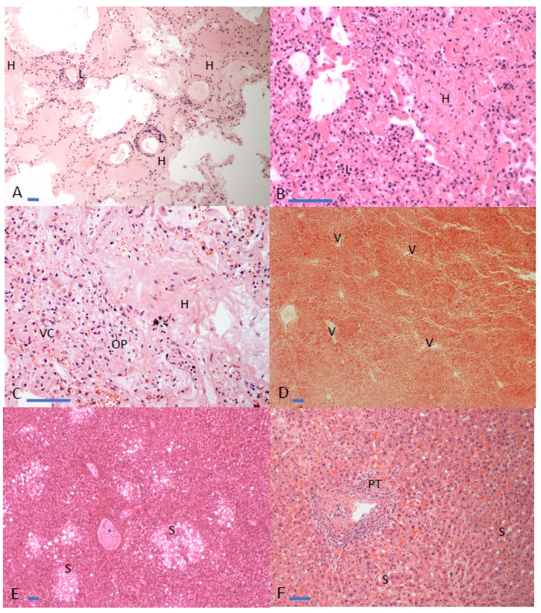
3. Results
4. Discussion
Author Contributions
Funding
Institutional Review Board Statement
Informed Consent Statement
Data Availability Statement
Acknowledgments
Conflicts of Interest
References
- Cucinotta, D.; Vanelli, M. WHO Declares COVID-19 a Pandemic. Acta Biomed. 2020, 91, 157–160. [Google Scholar] [CrossRef]
- Bolcato, M.; Aurilio, M.T.; Aprile, A.; Di Mizio, G.; Della Pietra, B.; Feola, A. Take-Home Messages from the COVID-19 Pandemic: Strengths and Pitfalls of the Italian National Health Service from a Medico-Legal Point of View. Healthcare 2020, 9, 17. [Google Scholar] [CrossRef] [PubMed]
- WHO. Coronavirus Disease (COVID-19) Dashboard; World Health Organization: Geneva, Switzerland, 2020. [Google Scholar]
- Tian, S.; Hu, N.; Lou, J.; Chen, K.; Kang, X.; Xiang, Z.; Chen, H.; Wang, D.; Liu, N.; Liu, D.; et al. Characteristics of COVID-19 infection in Beijing. J. Infect. 2020, 80, 401–406. [Google Scholar] [CrossRef]
- Wiersinga, W.J.; Rhodes, A.; Cheng, A.C.; Peacock, S.J.; Prescott, H.C. Pathophysiology, Transmission, Diagnosis, and Treatment of Coronavirus Disease 2019 (COVID-19): A Review. JAMA 2020, 324, 782. [Google Scholar] [CrossRef]
- Wu, Z.; McGoogan, J.M. Characteristics of and Important Lessons from the Coronavirus Disease 2019 (COVID-19) Outbreak in China: Summary of a Report of 72 314 Cases from the Chinese Center for Disease Control and Prevention. JAMA 2020, 323, 1239. [Google Scholar] [CrossRef]
- Zhou, F.; Yu, T.; Du, R.; Fan, G.; Liu, Y.; Liu, Z.; Xiang, J.; Wang, Y.; Song, B.; Gu, X.; et al. Clinical course and risk factors for mortality of adult inpatients with COVID-19 in Wuhan, China: A retrospective cohort study. Lancet 2020, 395, 1054–1062. [Google Scholar] [CrossRef]
- Gao, F.; Zheng, K.I.; Wang, X.-B.; Sun, Q.-F.; Pan, K.-H.; Wang, T.-Y.; Chen, Y.-P.; Targher, G.; Byrne, C.D.; George, J.; et al. Obesity Is a Risk Factor for Greater COVID-19 Severity. Diabetes Care 2020, 43, e72. [Google Scholar] [CrossRef] [PubMed]
- Bertram, S.; Heurich, A.; Lavender, H.; Gierer, S.; Danisch, S.; Perin, P.; Lucas, J.M.; Nelson, P.S.; Pöhlmann, S.; Soilleux, E.J. Influenza and SARS-Coronavirus Activating Proteases TMPRSS2 and HAT Are Expressed at Multiple Sites in Human Respiratory and Gastrointestinal Tracts. PLoS ONE 2012, 7, e35876. [Google Scholar] [CrossRef]
- Huang, C.; Wang, Y.; Li, X.; Ren, L.; Zhao, J.; Hu, Y.; Zhang, L.; Fan, G.; Xu, J.; Gu, X.; et al. Clinical features of patients infected with 2019 novel coronavirus in Wuhan, China. Lancet 2020, 395, 497–506. [Google Scholar] [CrossRef]
- Hamming, I.; Timens, W.; Bulthuis, M.; Lely, A.; Navis, G.; van Goor, H. Tissue distribution of ACE2 protein, the functional receptor for SARS coronavirus. A first step in understanding SARS pathogenesis. J. Pathol. 2004, 203, 631–637. [Google Scholar] [CrossRef]
- Ziehr, D.R.; Alladina, J.; Petri, C.R.; Maley, J.H.; Moskowitz, A.; Medoff, B.D.; Hibbert, K.A.; Thompson, B.T.; Hardin, C.C. Respiratory Pathophysiology of Mechanically Ventilated Patients with COVID-19: A Cohort Study. Am. J. Respir. Crit. Care Med. 2020, 201, 1560–1564. [Google Scholar] [CrossRef]
- Fan, E.; Beitler, J.R.; Brochard, L.; Calfee, C.S.; Ferguson, N.D.; Slutsky, A.S.; Brodie, D. COVID-19-associated acute respiratory distress syndrome: Is a different approach to management warranted? Lancet Respir. Med. 2020, 8, 816–821. [Google Scholar] [CrossRef]
- Levi, M.; Thachil, J.; Iba, T.; Levy, J.H. Coagulation abnormalities and thrombosis in patients with COVID-19. Lancet Haematol. 2020, 7, e438–e440. [Google Scholar] [CrossRef]
- Gupta, A.; Madhavan, M.V.; Sehgal, K.; Nair, N.; Mahajan, S.; Sehrawat, T.S.; Bikdeli, B.; Ahluwalia, N.; Ausiello, J.C.; Wan, E.Y.; et al. Extrapulmonary manifestations of COVID-19. Nat. Med. 2020, 26, 1017–1032. [Google Scholar] [CrossRef] [PubMed]
- Moher, D.; Liberati, A.; Tetzlaff, J.; Altman, D.G.; The PRISMA Group. Preferred Reporting Items for Systematic Reviews and Meta-Analyses: The PRISMA Statement. PLoS Med. 2009, 6, e1000097. [Google Scholar] [CrossRef] [PubMed]
- Adachi, T.; Chong, J.-M.; Nakajima, N.; Sano, M.; Yamazaki, J.; Miyamoto, I.; Nishioka, H.; Akita, H.; Sato, Y.; Kataoka, M.; et al. Clinicopathologic and Immunohistochemical Findings from Autopsy of Patient with. Emerg. Infect. Dis. 2020, 26. [Google Scholar] [CrossRef]
- Buja, L.M.; Wolf, D.A.; Zhao, B.; Akkanti, B.; McDonald, M.; Lelenwa, L.; Reilly, N.; Ottaviani, G.; Elghetany, M.T.; Trujillo, D.O.; et al. The emerging spectrum of cardiopulmonary pathology of the coronavirus disease 2019 (COVID-19): Report of 3 autopsies from Houston, Texas, and review of autopsy findings from other United States cities. Cardiovasc. Pathol. 2020, 48, 107233. [Google Scholar] [CrossRef] [PubMed]
- Fox, S.E.; Akmatbekov, A.; Harbert, J.L.; Li, G.; Quincy Brown, J.; Vander Heide, R.S. Pulmonary and cardiac pathology in African American patients with COVID-19: An autopsy series from New Orleans. Lancet Respir. Med. 2020, 8, 681–686. [Google Scholar] [CrossRef]
- Bösmüller, H.; Traxler, S.; Bitzer, M.; Häberle, H.; Raiser, W.; Nann, D.; Frauenfeld, L.; Vogelsberg, A.; Klingel, K.; Fend, F. The evolution of pulmonary pathology in fatal COVID-19 disease: An autopsy study with clinical correlation. Virchows Arch. 2020, 477, 349–357. [Google Scholar] [CrossRef]
- Lax, S.F.; Skok, K.; Zechner, P.; Kessler, H.H.; Kaufmann, N.; Koelblinger, C.; Vander, K.; Bargfrieder, U.; Trauner, M. Pulmonary Arterial Thrombosis in COVID-19 with Fatal Outcome: Results From a Prospective, Single-Center, Clinicopathologic Case Series. Ann. Intern. Med. 2020, 173, 350–361. [Google Scholar] [CrossRef]
- Heinrich, F.; Sperhake, J.-P.; Heinemann, A.; Mushumba, H.; Lennartz, M.; Norz, D.; Glatzel, M.; Lutgehetmann, M.; Puschel, K. Germany’s first COVID-19 deceased: A 59-year-old man presenting with diffuse alveolar damage due to SARS-CoV-2 infection. Virchows Arch. 2020, 477, 335–339. [Google Scholar] [CrossRef]
- Youd, E.; Moore, L. COVID-19 autopsy in people who died in community settings: The first series. J. Clin. Pathol. 2020. [Google Scholar] [CrossRef] [PubMed]
- Menter, T.; Haslbauer, J.D.; Nienhold, R.; Savic, S.; Deigendesch, H.; Frank, S.; Turek, D.; Willi, N.; Pargger, H.; Bassetti, S.; et al. Postmortem examination of COVID-19 patients reveals diffuse alveolar damage with severe capillary congestion and variegated findings in lungs and other organs suggesting vascular dysfunction. Histopathology 2020, 77, 198–209. [Google Scholar] [CrossRef]
- Schaller, T.; Hirschbühl, K.; Burkhardt, K.; Braun, G.; Trepel, M.; Märkl, B.; Claus, R. Postmortem Examination of Patients with COVID-19. JAMA 2020, 323, 2518–2520. [Google Scholar] [CrossRef]
- Stone, J.R.; Tran, K.M.; Conklin, J.; Mino-Kenudson, M. Case 23-2020: A 76-Year-Old Woman Who Died from Covid-19. N. Engl. J. Med. 2020, 383, 380–387. [Google Scholar] [CrossRef] [PubMed]
- Wichmann, D.; Sperhake, J.-P.; Lütgehetmann, M.; Steurer, S.; Edler, C.; Heinemann, A.; Heinrich, F.; Mushumba, H.; Kniep, I.; Schröder, A.S.; et al. Autopsy Findings and Venous Thromboembolism in Patients with COVID-19. Ann. Intern. Med. 2020, M20-2003. [Google Scholar] [CrossRef]
- Bradley, B.T.; Maioli, H.; Johnston, R.; Chaudhry, I.; Fink, S.L.; Xu, H.; Najafian, B.; Deutsch, G.; Lacy, J.M.; Williams, T.; et al. Histopathology and ultrastructural findings of fatal COVID-19 infections in Washington State: A case series. Lancet 2020, 396, 320–332. [Google Scholar] [CrossRef]
- Edler, C.; Schroder, A.S.; Aepfelbacher, M.; Fitzek, A.; Heinemann, A.; Heinrich, F.; Klein, A.; Langenwalder, F.; Lutgehetmann, M.; Meisner, K.; et al. Dying with SARS-CoV-2 infection-an autopsy study of the first consecutive 80 cases in Hamburg, Germany. Int. J. Legal. Med. 2020, 134, 1275–1284. [Google Scholar] [CrossRef]
- Wang, C.; Xie, J.; Zhao, L.; Fei, X.; Zhang, H.; Tan, Y.; Nie, X.; Zhou, L.; Liu, Z.; Ren, Y.; et al. Alveolar macrophage dysfunction and cytokine storm in the pathogenesis of two severe COVID-19 patients. EBioMedicine 2020, 57, 102833. [Google Scholar] [CrossRef]
- Schaefer, I.-M.; Padera, R.F.; Solomon, I.H.; Kanjilal, S.; Hammer, M.M.; Hornick, J.L.; Sholl, L.M. In situ detection of SARS-CoV-2 in lungs and airways of patients with COVID-19. Mod. Pathol. 2020, 1–11. [Google Scholar] [CrossRef]
- Barton, L.M.; Duval, E.J.; Stroberg, E.; Ghosh, S.; Mukhopadhyay, S. COVID-19 Autopsies, Oklahoma, USA. Am. J. Clin. Pathol. 2020, 153, 725–733. [Google Scholar] [CrossRef] [PubMed]
- Beigmohammadi, M.T.; Jahanbin, B.; Safaei, M.; Amoozadeh, L.; Khoshavi, M.; Mehrtash, V.; Jafarzadeh, B.; Abdollahi, A. Pathological Findings of Postmortem Biopsies from Lung, Heart, and Liver of 7 Deceased COVID-19 Patients. Int. J. Surg. Pathol. 2020, 29, 135–145. [Google Scholar] [CrossRef]
- Tian, S.; Xiong, Y.; Liu, H.; Niu, L.; Guo, J.; Liao, M.; Xiao, S.-Y. Pathological study of the 2019 novel coronavirus disease (COVID-19) through postmortem core biopsies. Mod. Pathol. 2020, 33, 1007–1014. [Google Scholar] [CrossRef]
- Nunes Duarte-Neto, A.; de Almeida Monteiro, R.A.; da Silva, L.F.F.; Malheiros, D.M.A.C.; de Oliveira, E.P.; Theodoro Filho, J.; Pinho, J.R.R.; Soares Gomes-Gouvêa, M.; Salles, A.P.M.; de Oliveira, I.R.S.; et al. Pulmonary and systemic involvement of COVID-19 assessed by ultrasound-guided minimally invasive autopsy. Histopathology 2020, 77, 186–197. [Google Scholar] [CrossRef] [PubMed]
- Suess, C.; Hausmann, R. Gross and histopathological pulmonary findings in a COVID-19 associated death during self-isolation. Int. J. Legal. Med. 2020, 134, 1285–1290. [Google Scholar] [CrossRef]
- Tombolini, A.; Scendoni, R. SARS-CoV-2-related deaths in routine forensic autopsy practice: Histopathological patterns. Int. J. Legal. Med. 2020, 134, 2205–2208. [Google Scholar] [CrossRef]
- Schwensen, H.F.; Borreschmidt, L.K.; Storgaard, M.; Redsted, S.; Christensen, S.; Madsen, L.B. Fatal pulmonary fibrosis: A post-COVID-19 autopsy case. J. Clin. Pathol. 2020, 74. [Google Scholar] [CrossRef]
- Ackermann, M.; Verleden, S.E.; Kuehnel, M.; Haverich, A.; Welte, T.; Laenger, F.; Vanstapel, A.; Werlein, C.; Stark, H.; Tzankov, A.; et al. Pulmonary Vascular Endothelialitis, Thrombosis, and Angiogenesis in Covid-19. N. Engl. J. Med. 2020, 383, 120–128. [Google Scholar] [CrossRef] [PubMed]
- Sauter, J.L.; Baine, M.K.; Butnor, K.J.; Buonocore, D.J.; Chang, J.C.; Jungbluth, A.A.; Szabolcs, M.J.; Morjaria, S.; Mount, S.L.; Rekhtman, N.; et al. Insights into pathogenesis of fatal COVID-19 pneumonia from histopathology with immunohistochemical and viral RNA studies. Histopathology 2020, 77, 915–925. [Google Scholar] [CrossRef]
- Aguiar, D.; Lobrinus, J.A.; Schibler, M.; Fracasso, T.; Lardi, C. Inside the lungs of COVID-19 disease. Int. J. Legal. Med. 2020, 134, 1271–1274. [Google Scholar] [CrossRef]
- The COVID-19 Autopsy. The first COVID-19 autopsy in Spain performed during the early stages of the pandemic. Rev. Esp. Patol. 2020, 53, 182–187. [Google Scholar] [CrossRef]
- Wang, Y.; Liu, S.; Liu, H.; Li, W.; Lin, F.; Jiang, L.; Li, X.; Xu, P.; Zhang, L.; Zhao, L.; et al. SARS-CoV-2 infection of the liver directly contributes to hepatic impairment in patients with COVID-19. J. Hepatol. 2020, 73, 807–816. [Google Scholar] [CrossRef] [PubMed]
- Farkash, E.A.; Wilson, A.M.; Jentzen, J.M. Ultrastructural Evidence for Direct Renal Infection with SARS-CoV-2. J. Am. Soc. Nephrol. 2020, 31, 1683–1687. [Google Scholar] [CrossRef]
- Konopka, K.E.; Nguyen, T.; Jentzen, J.M.; Rayes, O.; Schmidt, C.J.; Wilson, A.M.; Farver, C.F.; Myers, J.L. Diffuse Alveolar Damage (DAD) from Coronavirus Disease 2019 Infection is Morphologically Indistinguishable from Other Causes of DAD. Histopathology 2020, 77, 570–578. [Google Scholar] [CrossRef]
- Konopka, K.E.; Wilson, A.; Myers, J.L. Postmortem Lung Findings in a Patient with Asthma and Coronavirus Disease 2019. Chest 2020, 158, e99–e101. [Google Scholar] [CrossRef] [PubMed]
- Carsana, L.; Sonzogni, A.; Nasr, A.; Rossi, R.S.; Pellegrinelli, A.; Zerbi, P.; Rech, R.; Colombo, R.; Antinori, S.; Corbellino, M.; et al. Pulmonary post-mortem findings in a series of COVID-19 cases from northern Italy: A two-centre descriptive study. Lancet Infect. Dis. 2020, 20, 1135–1140. [Google Scholar] [CrossRef]
- Flikweert, A.W.; Grootenboers, M.J.J.H.; Yick, D.C.Y.; du Mée, A.W.F.; van der Meer, N.J.M.; Rettig, T.C.D.; Kant, M.K.M. Late histopathologic characteristics of critically ill COVID-19 patients: Different phenotypes without evidence of invasive aspergillosis, a case series. J. Crit. Care 2020, 59, 149–155. [Google Scholar] [CrossRef]
- Prieto-Pérez, L.; Fortes, J.; Soto, C.; Vidal-González, Á.; Alonso-Riaño, M.; Lafarga, M.; Cortti, M.J.; Lazaro-Garcia, A.; Pérez-Tanoira, R.; Trascasa, Á.; et al. Histiocytic hyperplasia with hemophagocytosis and acute alveolar damage in COVID-19 infection. Mod. Pathol. 2020, 33, 2139–2146. [Google Scholar] [CrossRef]
- Prilutskiy, A.; Kritselis, M.; Shevtsov, A.; Yambayev, I.; Vadlamudi, C.; Zhao, Q.; Kataria, Y.; Sarosiek, S.R.; Lerner, A.; Sloan, J.M.; et al. SARS-CoV-2 Infection-Associated Hemophagocytic Lymphohistiocytosis. Am. J. Clin. Pathol. 2020, 154, 466–474. [Google Scholar] [CrossRef]
- Yan, L.; Mir, M.; Sanchez, P.; Beg, M.; Peters, J.; Enriquez, O.; Gilbert, A. COVID-19 in a Hispanic Woman. Arch. Pathol. Lab. Med. 2020, 144, 1041–1047. [Google Scholar] [CrossRef]
- Gaitskell, K.; Perera, R.; Soilleux, E.J. Derivation of new reference tables for human heart weights in light of increasing body mass index. J. Clin. Pathol. 2011, 64, 358–362. [Google Scholar] [CrossRef] [PubMed]
- Zheng, Z.; Peng, F.; Xu, B.; Zhao, J.; Liu, H.; Peng, J.; Li, Q.; Jiang, C.; Zhou, Y.; Liu, S.; et al. Risk factors of critical & mortal COVID-19 cases: A systematic literature review and meta-analysis. J. Infect. 2020, 81, e16–e25. [Google Scholar] [CrossRef] [PubMed]
- Dudoignon, E.; Caméléna, F.; Deniau, B.; Habay, A.; Coutrot, M.; Ressaire, Q.; Plaud, B.; Berçot, B.; Dépret, F. Bacterial Pneumonia in COVID-19 Critically Ill Patients: A Case Series. Clin. Infect. Dis. 2021, 72, 905–906. [Google Scholar] [CrossRef] [PubMed]
- Craver, R.; Huber, S.; Sandomirsky, M.; McKenna, D.; Schieffelin, J.; Finger, L. Fatal Eosinophilic Myocarditis in a Healthy 17-Year-Old Male with Severe Acute Respiratory Syndrome Coronavirus 2 (SARS-CoV-2c). Fetal Pediatr. Pathol. 2020, 39, 263–268. [Google Scholar] [CrossRef]
- Varga, Z.; Flammer, A.J.; Steiger, P.; Haberecker, M.; Andermatt, R.; Zinkernagel, A.S.; Mehra, M.R.; Schuepbach, R.A.; Ruschitzka, F.; Moch, H. Endothelial cell infection and endotheliitis in COVID-19. Lancet 2020, 395, 1417–1418. [Google Scholar] [CrossRef]
- Lindner, D.; Fitzek, A.; Bräuninger, H.; Aleshcheva, G.; Edler, C.; Meissner, K.; Scherschel, K.; Kirchhof, P.; Escher, F.; Schultheiss, H.-P.; et al. Association of Cardiac Infection with SARS-CoV-2 in Confirmed COVID-19 Autopsy Cases. JAMA Cardiol. 2020, 5, 1281–1285. [Google Scholar] [CrossRef]
- Santana, M.F.; Pivoto, G.; Alexandre, M.A.A.; Baia-da-Silva, D.C.; da Silva Borba, M.G.; Val, F.A.; Brito-Sousa, J.D.; Melo, G.C.; Monteiro, W.M.; Souza, J.V.B.; et al. Confirmed Invasive Pulmonary Aspergillosis and COVID-19: The value of postmortem findings to support antemortem management. Rev. Soc. Bras. Med. Trop. 2020, 53, e20200401. [Google Scholar] [CrossRef] [PubMed]
- Sonzogni, A.; Previtali, G.; Seghezzi, M.; Grazia Alessio, M.; Gianatti, A.; Licini, L.; Morotti, D.; Zerbi, P.; Carsana, L.; Rossi, R.; et al. Liver histopathology in severe COVID 19 respiratory failure is suggestive of vascular alterations. Liver Int. 2020, 40, 2110–2116. [Google Scholar] [CrossRef] [PubMed]
- Golmai, P.; Larsen, C.P.; DeVita, M.V.; Wahl, S.J.; Weins, A.; Rennke, H.G.; Bijol, V.; Rosenstock, J.L. Histopathologic and Ultrastructural Findings in Postmortem Kidney Biopsy Material in 12 Patients with AKI and COVID-19. J. Am. Soc. Nephrol. 2020, 31, 1944–1947. [Google Scholar] [CrossRef] [PubMed]
- Su, H.; Yang, M.; Wan, C.; Yi, L.-X.; Tang, F.; Zhu, H.-Y.; Yi, F.; Yang, H.-C.; Fogo, A.B.; Nie, X.; et al. Renal histopathological analysis of 26 postmortem findings of patients with COVID-19 in China. Kidney Int. 2020, 98, 219–227. [Google Scholar] [CrossRef]
- Santoriello, D.; Khairallah, P.; Bomback, A.S.; Xu, K.; Kudose, S.; Batal, I.; Barasch, J.; Radhakrishnan, J.; D’Agati, V.; Markowitz, G. Postmortem Kidney Pathology Findings in Patients with COVID-19. J. Am. Soc. Nephrol. 2020, 31, 2158–2167. [Google Scholar] [CrossRef] [PubMed]
- Yang, M.; Chen, S.; Huang, B.; Zhong, J.-M.; Su, H.; Chen, Y.-J.; Cao, Q.; Ma, L.; He, J.; Li, X.-F.; et al. Pathological Findings in the Testes of COVID-19 Patients: Clinical Implications. Eur. Urol. Focus 2020, 6, 1124–1129. [Google Scholar] [CrossRef] [PubMed]
- Iuga, A.C.; Marboe, C.C.; Yilmaz, M.M.; Lefkowitch, J.H.; Gauran, C.; Lagana, S.M. Adrenal Vascular Changes in COVID-19 Autopsies. Arch. Pathol. Lab. Med. 2020, 144, 1159–1160. [Google Scholar] [CrossRef] [PubMed]
- Coolen, T.; Lolli, V.; Sadeghi, N.; Rovaï, A.; Trotta, N.; Taccone, F.S.; Creteur, J.; Henrard, S.; Goffard, J.-C.; De Witte, O.; et al. Early postmortem brain MRI findings in COVID-19 non-survivors. Neurology 2020, 95, e2016–e2027. [Google Scholar] [CrossRef]
- Reichard, R.R.; Kashani, K.B.; Boire, N.A.; Constantopoulos, E.; Guo, Y.; Lucchinetti, C.F. Neuropathology of COVID-19: A spectrum of vascular and acute disseminated encephalomyelitis (ADEM)-like pathology. Acta Neuropathol. 2020, 140, 1–6. [Google Scholar] [CrossRef]
- Kirschenbaum, D.; Imbach, L.L.; Ulrich, S.; Rushing, E.J.; Keller, E.; Reimann, R.R.; Frauenknecht, K.B.M.; Lichtblau, M.; Witt, M.; Hummel, T.; et al. Inflammatory olfactory neuropathy in two patients with COVID-19. Lancet 2020, 396, 166. [Google Scholar] [CrossRef]
- Bayyoud, T.; Iftner, T.; Bartz-Schmidt, K.U.; Rohrbach, J.M.; Ueffing, M.; Schindler, M.; Thaler, S. First results of investigations of SARS-CoV-2 RNA in human corneal tissue. Ophthalmologe 2020, 117, 615–617. [Google Scholar] [CrossRef] [PubMed]
- Casagrande, M.; Fitzek, A.; Puschel, K.; Aleshcheva, G.; Schultheiss, H.-P.; Berneking, L.; Spitzer, M.S.; Schultheiss, M. Detection of SARS-CoV-2 in Human Retinal Biopsies of Deceased COVID-19 Patients. Ocul. Immunol. Inflamm. 2020, 28, 721–725. [Google Scholar] [CrossRef] [PubMed]
- Zois, C.D. Steatosis and steatohepatitis in postmortem material from Northwestern Greece. WJG 2010, 16, 3944. [Google Scholar] [CrossRef]
- Sotoudehmanesh, R.; Sotoudeh, M.; Ali-Asgari, A.; Abedi-Ardakani, B.; Tavangar, S.-M.; Khakinejad, A.; Sadeghi, Z.; Malekzadeh, R. Silent liver diseases in autopsies from forensic medicine of Tehran. Arch. Iran. Med. 2006, 9, 324–328. [Google Scholar] [PubMed]
- Mak, K.; Chiu, S. Human Hepatic Progenitor Cell Expansion in Liver Fibrosis of Elderly Cadavers. J. Gastroenterol. Hepatol. Res. 2018, 7, 2632–2643. [Google Scholar] [CrossRef][Green Version]
- Ganesh, J.; Chander, V.; Mahendran, J. Incidental findings on liver autopsy with specific emphasis on Hepatitis B. Ann. Pathol. Lab. Med. 2017, 4, A508–A514. [Google Scholar] [CrossRef][Green Version]
- Patel, S.; Rajalakshmi, B.R.; Manjunath, G.V. Histopathologic Findings in Autopsies with Emphasis on Interesting and Incidental Findings-A Pathologist’s Perspective. J. Clin. Diagn. Res. 2016, 10, EC08–EC12. [Google Scholar] [CrossRef]
- Alagarsamy, J.; Muthureddy, Y.; Yadav, N.S. Subhash Rao Yadav Incidentally Discovered Liver Diseases—An Autopsy Study of Fifty Cases. Int. J. Sci. Res. 2014, 3, 1330–1332. [Google Scholar]
- Reis-Júnior, P.; Tanigawa, R.; de Mesquita, G.H.A.; Basan, N.; Alves, V.; D’Albuquerque, L.A.C.; Andraus, W. Steatosis and steatohepatitis found in adults after death due to non-burn trauma. Clinics 2019, 74, e1070. [Google Scholar] [CrossRef] [PubMed]
- Giannini, E.G.; Testa, R.; Savarino, V. Liver enzyme alteration: A guide for clinicians. CMAJ 2005, 172, 367–379. [Google Scholar] [CrossRef] [PubMed]
- Aziz, M.; Fatima, R.; Lee-Smith, W.; Assaly, R. The association of low serum albumin level with severe COVID-19: A systematic review and meta-analysis. Crit. Care 2020, 24, 255. [Google Scholar] [CrossRef]
- Huang, J.; Cheng, A.; Kumar, R.; Fang, Y.; Chen, G.; Zhu, Y.; Lin, S. Hypoalbuminemia predicts the outcome of COVID-19 independent of age and co-morbidity. J. Med. Virol. 2020, 92, 2152–2158. [Google Scholar] [CrossRef]
- Zhang, Y.; Zheng, L.; Liu, L.; Zhao, M.; Xiao, J.; Zhao, Q. Liver impairment in COVID-19 patients: A retrospective analysis of 115 cases from a single centre in Wuhan city, China. Liver Int. 2020, 40, 2095–2103. [Google Scholar] [CrossRef]
- Loomba, R.; Sanyal, A.J. The global NAFLD epidemic. Nat. Rev. Gastroenterol. Hepatol. 2013, 10, 686–690. [Google Scholar] [CrossRef]
- Sharma, P.; Kumar, A. Metabolic dysfunction associated fatty liver disease increases risk of severe COVID-19. Diabetes Metab. Syndr. Clin. Res. Rev. 2020, 14, 825–827. [Google Scholar] [CrossRef]
- Targher, G.; Mantovani, A.; Byrne, C.D.; Wang, X.-B.; Yan, H.-D.; Sun, Q.-F.; Pan, K.-H.; Zheng, K.I.; Chen, Y.-P.; Eslam, M.; et al. Risk of severe illness from COVID-19 in patients with metabolic dysfunction-associated fatty liver disease and increased fibrosis scores. Gut 2020, 69, 1545–1547. [Google Scholar] [CrossRef] [PubMed]
- Roca-Fernandez, A.; Dennis, A.; Nicolls, R.; McGonigle, J.; Kelly, M.; Banerjee, R. High liver fat associates with higher risk of developing symptomatic Covid-19 infection—initial UK biobank observations. medRxiv 2020. [Google Scholar] [CrossRef]
- O’Shea, R.S.; Dasarathy, S.; McCullough, A.J. Practice Guideline Committee of the American Association for the Study of Liver Diseases and the Practice Parameters Committee of the American College of Gastroenterology Alcoholic liver disease. Hepatology 2010, 51, 307–328. [Google Scholar] [CrossRef] [PubMed]
- Da, B.L.; Im, G.Y.; Schiano, T.D. Coronavirus Disease 2019 Hangover: A Rising Tide of Alcohol Use Disorder and Alcohol-Associated Liver Disease. Hepatology 2020, 72, 1102–1108. [Google Scholar] [CrossRef]
- Szabo, G.; Saha, B. Alcohol’s Effect on Host Defense. Alcohol Res. 2015, 37, 159–170. [Google Scholar] [PubMed]
- Collier, J. Clinical and biochemical assessment of symptomatic and asymptomatic liver disease. Medicine 2015, 43, 557–561. [Google Scholar] [CrossRef]
- Sipeki, N. Immune dysfunction in cirrhosis. WJG 2014, 20, 2564. [Google Scholar] [CrossRef]
- Gacouin, A.; Locufier, M.; Uhel, F.; Letheulle, J.; Bouju, P.; Fillatre, P.; Le Tulzo, Y.; Tadié, J.M. Liver Cirrhosis is Independently Associated with 90-Day Mortality in ARDS Patients. Shock 2016, 45, 16–21. [Google Scholar] [CrossRef]
- Cazzaniga, M.; Dionigi, E.; Gobbo, G.; Fioretti, A.; Monti, V.; Salerno, F. The systemic inflammatory response syndrome in cirrhotic patients: Relationship with their in-hospital outcome. J. Hepatol. 2009, 51, 475–482. [Google Scholar] [CrossRef]
- Masi, P.; Hékimian, G.; Lejeune, M.; Chommeloux, J.; Desnos, C.; Pineton De Chambrun, M.; Martin-Toutain, I.; Nieszkowska, A.; Lebreton, G.; Bréchot, N.; et al. Systemic Inflammatory Response Syndrome Is a Major Contributor to COVID-19–Associated Coagulopathy: Insights from a Prospective, Single-Center Cohort Study. Circulation 2020, 142, 611–614. [Google Scholar] [CrossRef]
- Fricker, Z.P.; Pedley, A.; Massaro, J.M.; Vasan, R.S.; Hoffmann, U.; Benjamin, E.J.; Long, M.T. Liver Fat Is Associated with Markers of Inflammation and Oxidative Stress in Analysis of Data from the Framingham Heart Study. Clin. Gastroenterol. Hepatol. 2019, 17, 1157–1164.e4. [Google Scholar] [CrossRef]
- Le Bon, A.; Tough, D.F. Type I interferon as a stimulus for cross-priming. Cytokine Growth Factor Rev. 2008, 19, 33–40. [Google Scholar] [CrossRef]
- Park, A.; Iwasaki, A. Type I and Type III Interferons—Induction, Signaling, Evasion, and Application to Combat COVID-19. Cell Host Microbe 2020, 27, 870–878. [Google Scholar] [CrossRef]
- Bastard, P.; Rosen, L.B.; Zhang, Q.; Michailidis, E.; Hoffmann, H.-H.; Zhang, Y.; Dorgham, K.; Philippot, Q.; Rosain, J.; Béziat, V.; et al. Autoantibodies against type I IFNs in patients with life-threatening COVID-19. Science 2020, 370, eabd4585. [Google Scholar] [CrossRef] [PubMed]
- Nguyen, V.-A.; Gao, B. Expression of interferon alfa signaling components in human alcoholic liver disease. Hepatology 2002, 35, 425–432. [Google Scholar] [CrossRef] [PubMed]
- Song, Y.; Zhang, M.; Yin, L.; Wang, K.; Zhou, Y.; Zhou, M.; Lu, Y. COVID-19 treatment: Close to a cure? A rapid review of pharmacotherapies for the novel coronavirus (SARS-CoV-2). Int. J. Antimicrob. Agents 2020, 56, 106080. [Google Scholar] [CrossRef] [PubMed]
- Osna, N.A.; Donohue, T.M.; Kharbanda, K.K. Alcoholic Liver Disease: Pathogenesis and Current Management. Alcohol Res. 2017, 38, 147–161. [Google Scholar]
- Younossi, Z.M.; Koenig, A.B.; Abdelatif, D.; Fazel, Y.; Henry, L.; Wymer, M. Global epidemiology of nonalcoholic fatty liver disease-Meta-analytic assessment of prevalence, incidence, and outcomes. Hepatology 2016, 64, 73–84. [Google Scholar] [CrossRef]
- Zelber-Sagi, S.; Godos, J.; Salomone, F. Lifestyle changes for the treatment of nonalcoholic fatty liver disease: A review of observational studies and intervention trials. Ther. Adv. Gastroenterol. 2016, 9, 392–407. [Google Scholar] [CrossRef]


| Case 1 | Case 2 | Case 3 | Case 4 | Case 5 | Case 6 | Case 7 | Case 8 | Case 9 | Case 10 | Case 11 | Case 12 | Case 13 | Case 14 | Case 15 | Case 16 | Case 17 | Case 18 | Case 19 | Case 20 | Case 21 | Case 22 | Key Findings Summary for Cases 1–22 | ||
|---|---|---|---|---|---|---|---|---|---|---|---|---|---|---|---|---|---|---|---|---|---|---|---|---|
| Age, race biological sex | 57y Cn M | 79y Cn M | 48y Cn F | 82y A-C/ mixed race M | 57y A-C M | 89y Cn M | 81y A-C M | 72y Cn M | 92y Cn M | 48y Cn M | 76y Cn M | 42y A-C F | 83y A-C M | 86y Cn F | 85y Cn F | 67y Cn F | 57y A-C F | 94y Cn F | 56y Cn M | 65y Cn M | 69y Cn F | 59y Cn M | 14/22 (64%) M; mean age 70y (SD: 16); 16/22 (73%) Cn | |
| Diagnosis of COVID-19 | History & histol | History & histol | AM RNA test | History & histol | History & histol | AM RNA test | AM RNA test | AM RNA test | AM RNA test | History & histol | History & histol | PM lung RNA test | AM RNA test | AM RNA test | PM RNA test | Histol | Histol | Histol | PM RNA test | Histol | AM RNA test | PM lung RNA test | ||
| MCCD section I (a): Disease or condition leading directly to death | ARDS | ARDS | Cardiac arryth-mia | PE & viral Pu, consis-tent with COVID-19 | PE | Acute bacterial Pu | Viral Pu with features consis-tent with COVID-19 | COVID-19 infection | COVID 19 | GI haemo-rrhage, ARDS, excess-ive blood levels of meth-adone | RHF leading to cardiac arrhyth-mia | PE | PTE & COVID-19 | COVID-19 & bacterial BPu | COVID-19 & IHD | Hypoxic brain injury, multi-organ failure | COVID-19 | Acute bacter-ial Pu | Multi-ple bil-ateral PTE | COVID-19 | COVID-19 | COVID-19 pneu-monitis | 6/22 (27%) thrombo-embolic complica-tion of COVID-19 included in MCCD Part I | |
| MCCD section I (b): Disease/ condition leading to I (a) | Pu | Pu | RHF | DVT | DVT | COVID-19 pneumo-nitis and aspirat-ion of food material | n/a | n/a | n/a | COVID-19 | Pulm-onary artery thromb-osis | DVT | DVT | n/a | n/a | Cardiac arrest due to arrhyth-mia | n/a | COVID-19 | DVT | n/a | n/a | n/a | ||
| MCCD section I (c): Disease/ condition leading to I (b) | n/a | n/a | OPu, mild lympho-cytic myo-carditis | n/a | Mild lympho-cytic Pu, consis-tent with resolving COVID-19 | n/a | n/a | n/a | n/a | n/a | ARDS/ viral pneu-monitis, consis-tent with COVID-19 | COVID-19 | n/a | n/a | n/a | n/a | n/a | n/a | COVID-19 | n/a | n/a | n/a | ||
| MCCD section II: Contribut-ing to but not directly causative of death | n/a | n/a | T2DM, hypo-thyroid-ism and Rett’s syn-drome | DM, demen-tia, frailty | n/a | IHD, Parkin-son’s disease | CHF, IHD, T2DM, CKD | IHD, T2DM, CKD | ILD, COPD, iron deficien-cy anaemia, IHD, aortic valve disease | n/a | n/a | n/a | CKD | CHF, AF, IHD, COPD | n/a | Bilateral BPu, arising on a back-ground of COVID-19 | n/a | n/a | n/a | n/a | n/a | HTN | ||
| Past medical history in addition to MCCD | HTN, high chol-esterol, prostat-ectomy, gout | IgG MGUS, AF, HTN, border-line DM, CKD, spinal degen-eration, neuro-pathy | Nil addit-ional | HTN, T2DM | not known | AF, CABG ×3 | End stage CKD, vascular demen-tia, stroke, HTN, epilepsy, blind-ness, cataracts, divertic-ular disease, gout | High chol-esterol, duo-denal ulcera-tion, IBS, MI, CABG ×4, PF | Demen-tia | not known | Uro-sepsis, AKI, Alz-heimer’s & vascular demen-tia, falls, T2DM | HTN | T2DM, HTN, Stage 3 CKD | Re-current UTIs, osteo-porosis | Drug eluting CA stent, hip replace-ment | Asthma, scoliosis, osteo-arthritis, cholecyst-ectomy | not known | not known | not known | Obesity, HTN, T2DM | CKD, hyper-thyroid-ism, HTN, arthritis, gout, major depress-ion | not known | 8/16 (50%) HTN; 8/16 (50%) DM; 6/16 (38%) arterio-path | |
| BMI (kg/m2) | 27.2 | 31.3 | 24.8 | 16.8 | 29.0 | 19.2 | 19.4 | 30.3 | 19.4 | 21.0 | 18.4 | 32.5 | 24.4 | 23.2 | 19.2 | 25.2 | 38.2 | 21.4 | 26.7 | 27.5 | 20.0 | 35.6 | Mean 25, S.D. 5.9 | |
| Cardiovascular | Heart weight/g (cent-ile) | 400 (50–90) | 610 (>97) | 320 (50–90) | 355 (>97) | 460 (>97) | 450 (>97) | 350 (>97) | 799 (>97) | 508 (>97) | 330 (90–97) | 380 (90–97) | 425 (>97) | 500 (>97) | 270 (10–50) | 460 (>97) | 320 (50–90) | 455 (50–90) | 280 (10–50) | 510 (>97) | 354 (10–50) | 425 (90–97) | 845 (>97) | 12/22 (55%) >97; 3/22 (14%) 90–97; 4/22 (18%) 50- 90 |
| CA sten-osis | + | N.S. | N.S. | + | + | +++ | +++ | +++ | ++ | + | + | N.S. | ++ | ++ | ++ | ++ | + | ++ | ++ | + | N.S. | + | 3/22 (14%) +++; 9/22 (41%) ++ to +++ | |
| Ventri-cles | Dilated L+/R++, sub-endo-cardial pallor | LVH | Dilated L++/ R+++, pallor, MNI+ | Dilated L++/ R+++, pallor | Dilated L+, pallor, MNI+ | Dilated L+++/ R+++, MH+++, MF++ | Dilated L+++/ R+++, MH++, MF++ | Dilated L+++/ R+++, MH+, MF+++, peri-cardial fibrosis +++ | Dilated L++/R++, sub-endo-cardial pallor, MF++ | Dilated L+++/ R+++; MNI+++ | Dilated L+++/ R+++, MF+ | Dilated L++/R++, pallor | LVH, dilated L+/R++ | Dilated L++/R++ | Dilated L+++/ R+++, pallor, MF+ | Dilated L++/R+++; MF+ | Border-line LVH | Dilated L+/R+++ | LVH, dilated R+++ | Dilated L++/R++, MF+, scattered neutro-phil infiltrate | Dilated L+/R+++, pallor | LHV, dilated L+++, MH+, MF++ | 20/22 (91%) >++ dilation. 9/22 (41%) IHD; 8/22 (36%) pallor | |
| Aortic athero-scler-osis | N.S. | N.S. | N.S. | + | + | +++ | +++ | ++ | N.S. | N.S. | + | N.S. | ++ | ++ | ++ | ++ | + | + | + | ++ | + | +++ | 9/22 (41%) ++ to +++ | |
| Respiratory | Key macro-scopic | ARDS | ARDS | ARDS, PO | ARDS, PO, PEs | ARDS, haemorr-hage, pus, PEs | ARDS, pus | ARDS, PO | ARDS, Pl adhes-ions | ARDS, emphy-sema, Pl eff, PEs | ARDS, emphy-sema, Pl eff, PEs | ARDS, Pl eff, PEs | PO, possible ARDS | Em-balmed, PEs, possible ARDS | Consoli-dation, possible ARDS, pus, PF, Pl adhes | ARDS | Consoli-dation, possible ARDS, pus, PO, Pl adhes, PEs | ARDS | ARDS, bronch-itis | ARDS, PO, PEs | ARDS, PO | ARDS, PO | ARDS, PO | 22/22 (100%) ARDS (macro &/ micro); 8/22 (36%) PE |
| Key micro-scopic | ARDS +++ | ARDS + | OPu+++ | ARDS +, OPu+++ | OPu+ | OPu+, arterial recanalis-ation+, pHTN+ | ARDS +++ | ARDS +++, arterial recanalis-ation+, pHTN+ | OPu+, PF+, pHTN+ | ARDS +++, BPu+ | ARDS +, PF+, pHTN+, old infarcts+ | ARDS + | ARDS +++, OPu+ | ARDS +, OPu++ | ARDS +, PF+, emphy-sema+ | ARDS +, OPu+ | ARDS +++, BPu+ | ARDS +++, BPu+, emphy-sema+ | n/e | ARDS +++, multi-nuclear macro-phages ++, thrombi, hyper-inflation | ARDS +, OPu+, hyper-inflation | ARDS +++, viral inclus-ions (type 2 pneum-ocytes) | ||
| Liver | S(ma)+ | C | VC+++ | n/e | n/e | S(ma)+, VC+, C, PL0 | VC+++ | S(ma) +++, C | VC+++ | Ischae-mic; PL0, paren-chymal L0 | VC++, PL0 | S(ma) +++ | S(ma)+, C | Normal | S(ma)+ | S (ma)++, ischaemic | S(ma) +++ | S(ma)+, VC+ | n/e | S(ma)+++ | S(ma)+, VC+++ | S(ma)+ | 12/19 (63%) S(ma); 5/19 (26%) VC++/ +++; 4/19 (21%) C | |
| System | Site/Feature | Key Findings (Positive and Negative) |
|---|---|---|
| Cardiovascular | Pericardium | Effusion [17,19,55]; fibrinous pericarditis [23] |
| Heart weight & chambers | Cardiomegaly/chamber hypertrophy [18,19,21,23,24,25,26,27,34] Chamber dilatation [17,18,19,20,21,22,26] | |
| Myocardial ischaemia | Infarction [24,27,31,56]; focal ischaemia, not otherwise specified [18] Scarring/ fibrosis [21,22,23,29,30,34,35] | |
| Cardiac inflammation | Lymphocytic myocarditis [23,25,28,29,33,35,55] Chronic inflammatory cells without myocarditis [18,23,26,36] | |
| Atherosclerosis | Significant coronary artery atherosclerosis [23] Atherosclerosis, not otherwise specified [22,24,27,28,29] | |
| Vascular abnormalities (multiple systems) | Vasculitis | Endothelialitis of heart, small bowel, lung [55]; fibrinoid alteration (exact location not specified) [35] |
| Microthrombi | Lung, glomeruli, spleen, heart, dermis, testis, liver sinusoids [35] | |
| Macroscopic thromboemboli | Deep venous [27]; pulmonary [18,21,29,38] | |
| Respiratory | Pleura and pleural cavity | Effusions [17,19,21,23,25,32,41,43]; pleuritis [51]; thickening [17,19,21]; adhesions [23,30] Subpleural petechiae [36] |
| Lung weights | Elevated [17,18,19,20,21,22,23,28,29,36,37,39,40,41,51,55] | |
| Lung cut surface | Red, consolidated, solidified [18,19,22,24,26,27,28,29,30,36,37,39,41,42,51,55,58] Haemorrhage [27,36]; oedema [23]; necrosis [27]; collapse [43] New fibrosis, extensive [23,38] Pre-existing structural lung disease [23,25,27] | |
| Airways | Upper airway inflammation [23,27,29,40,51,67] Bronchial inflammation [21,22,28,29,40,44,45,55] with mucus [19,26,30,40,46] Small airway acute inflammation (bronchopneumonia) [23,24,25,26,27,29,36,49] Aspiration pneumonia [40] No inflammation [17,32,37,40] | |
| Alveoli/interstitium | Diffuse alveolar damage/ARDS spectrum [17,18,19,20,21,22,23,24,26,27,28,29,30,31,32,33,34,35,36,37,38,39,40,41,42,43,44,45,46,47,48,49,50,51] Fibrosis [25,43,48,51] Lobar pneumonia [23] Chronic inflammatory cell infiltrate [17,18,19,22,23,24,27,28,29,30,33,34,39,41,42,47,49,56] Features suggestive of viral cytopathic effect [18,19,23,28,30,33,34,35,37,42,43,48,51] | |
| Vascular | Thrombosis with microangiopathy [18,19,20,21,22,24,27,28,31,35,37,39,45,46,47,49] Thrombosis [24,26,36,38,40,42,48,59] Small vessel fibrinoid necrosis [34] Severe endothelial injury with intracellular virus by EM [20,39] Neutrophilic & exudative capillaritis [18,20,21,22,29,32,33,45,46,47,48] Lymphocytic vasculitis [51] No vasculitis [49]; no thrombi [23] | |
| Kidneys | Vascular | Pallor/ shock/ ischaemia [24,27,41,61,62]; infarction [24,27,62]; medullary congestion [41] Arteriolar & arterial fibrin thrombi [31,61] Microthrombi in glomeruli1 [7,22,24,31,35,61] Glomerular capillary congestion [51,61] Peritubular capillary congestion [51,61] |
| Tubulo-interstitial | Acute tubular injury/ necrosis [21,24,28,35,42,44,51,60,61,62] ACE2 expression upregulated in proximal tubules [61] Acute tubulointerstitial nephritis61; no interstitial nephritis [62] | |
| Other | Nephrosclerosis [18,21,23,32,40,60] Other chronic kidney/ glomerular disease [24,35,40,43,60,61] Pyelonephritis [61] | |
| Lymphoreticular | Spleen | Splenomegaly [18,20,23,27,37,50]; congestion [18,21,29,37,50]; diffluence [50] Red pulp infarction [50]; red pulp lymphoplasmacytic infiltrate [18] Atrophy [18,21,28,35,37,50]; white pulp hyperplasia [50] Haemophagocytosis [17,50] Acute splenitis (concurrent bronchopneumonia) [24] |
| Lymph nodes & bone marrow | Hilar & mediastinal lymphadenopathy [21,24,50] & with haemophagocytosis [50] Lymph node haemophagocytosis (site not stated) [17]; no lymph node haematophagocytosis [50] Bone marrow haematophagocytosis [49]; no bone marrow haematophagocytosis [50] | |
| Adrenal glands | Shocked appearance [25]; microscopic haemorrhage [37]; zona reticularis hyperplasia [21] Acute fibrinoid arteriolar necrosis [64] No adrenal abnormalities [50] | |
| Pathology | Ref & Frequency Where Ascertainable | Applied Interpretation | |||
|---|---|---|---|---|---|
| Fibrosis | Periportal | 3/11 [21] | 29/48 [59] | Pre-existing hepatic disease | |
| Incomplete septa | 3/11 [21] | 8/48 [59] | |||
| Cirrhosis | 4/80 [29] 1/2 [32] | ¼ [34] | |||
| Steatosis | Centrilobular | 1/1 [22] | ½ [32] | Likely pre-existing alcoholic/non-alcoholic (e.g., obesity or diabetes-related) fatty liver disease | |
| Macrovesicular only | 1/4 [34] | 1/7 [33] 1/48 [59] | |||
| Microvesicular only | 3/48 [60] | ||||
| Mixed macrovesicular & microvesicular | 5/7 [33] 1/1 [36] | 2/2 [43] 22/48 [59] | |||
| Not further specified | 1/4 [20] 11/11 [21] 1/9 [23] 7/17 [24] 1/10 [25] | 2/12 [27] 1/1 [55] 9/14 [28] 6/10 [35] | |||
| Congestion | 1/4 [20] 8/11 [21] 4/9 [23] 2/12 [27] 1/1 [55] | 11/14 [28] 4/80 [29] 7/7 [33] 10/10 [35] 1/1 [41] | Right-sided cardiac failure (may be secondary to effects of COVID-19 or may represent evidence of pre-existing cardiorespiratory disease) | ||
| Hepatocyte injury | Cellular death | Not further specified | 0/4 [20] | 1/3 [56] | Various causes |
| Alcohol/ non-alcohol related steatohepatitis | 3/17 [24] | ||||
| Massive | 1/11 [21] | Seen in severe hepatic injury due to a variety of causes | |||
| Patchy/ focal | 2/11 [21] 7/7 [33] | ¼ [34] 2/2 [43] | May be seen in acute viral hepatitis (“spotty necrosis”; usually associated with lymphocytes) | ||
| Periportal & centrilobular | 1/4 [34] | Periportal necrosis may be due to interface hepatitis. Centrilobular necrosis is attributable to hypoperfusion injury but may also be seen in drug and toxin-mediated injury | |||
| Centrilobular | 4/11 [21] 5/17 [24] 4/14 [28] | 3/10 [35] 1/1 [36] | |||
| Mild ballooning degeneration | 4/7 [33] | May be seen in cholestasis or marked hepatitis | |||
| Kupffer cell activation | 2/4 [20] 10/10 [21] 1/4 [34] | 2/2 [43] 5/10 [35] | Non-specific finding secondary to hepatocyte injury | ||
| Syncytial hepatocytes | 2/2 [43] | Non-specific finding secondary to hepatocyte regeneration | |||
| Inflammation | Not further specified | 0/4 [20] | No evidence of hepatitis | ||
| Lymphoplasmacytic, not further specified | 1/1 [22] | Seen in a variety of pathologies including resolving acute hepatitis, autoimmune hepatitis, hepatitis B/C, biliary disease | |||
| Parenchymal | Lobular lymphocytic | 2/4 s [34] 24/48 [59] | May be seen in acute viral hepatitis (CMV, EBV), autoimmune hepatitis, and primary biliary cholangitis | ||
| Lobular lymphocytic & neutrophilic | 1/2 [43] | Neutrophilic inflammation may be seen in steatohepatitis (especially alcohol-related) | |||
| Lobular neutrophilic | 1/14 [28] | ||||
| Sinusoidal neutrophilic | 6/10 [35] | ||||
| Neutrophil microabscess | 1/1 [41] | Seen in human cytomegalovirus (CMV) infection but may also be seen in other settings, such as ascending cholangitis and seeding from a septic source | |||
| Not specified | 0/1 [36] | ||||
| Periportal | Lymphocytic | 8/11 [21] 4/14 [28] 1/4(C/SLL) [34] | 1/2 [43] 32/48 [59] | May be seen in a wide variety of hepatitises | |
| Lymphoplasmacytic | NS/10 (“minimal”) [25] | ||||
| Not specified | 7/7 [33] 0/1 [36] | 9/10 [35] | |||
| Vascular | Lymphocytic endothelialitis | 1/3 [56] | |||
| Sinusoidal abnormalities | Dilatation | 7/7 [33] | 2/4 [34] | Seen in hypercoagulability syndromes and venous flow abnormalities | |
| Intrasinusodal fibrin thrombi | 1/10 [35] 0/2 [43] | 13/48 [59] | Non-specific finding implicated in the pathogenesis of hepatic congestion | ||
| Ductal/canalicular abnormalities | Cholestasis | 8/11 [21] 2/7 [33] | 0/2 [43] | Non-specific finding that may be seen in sepsis amongst other aetiologies | |
| Ductular reaction with lymphocytic inflammation | 7/11 [21] | Non-specific finding secondary to acute biliary obstruction | |||
| Ductular reaction without inflammation | 1/11 [21] | ||||
| Haemophagocytosis | 1/4 [20] | 0/4 [50] | Non-specific finding that may be seen in sepsis and other systemic haemophagocytic disorders | ||
| Thrombosis | 1/11 [21] 35/48 [59] | Implies a pro-coagulant state (systemic/ localised) | |||
| Macroscopic impression of liver shock | 3/12 [27] | NS/80 [29] | Secondary to hypoperfusion | ||
| Hepatomegaly (aetiology not specified) | 1/1 (“minimal”) [22] | 1/4 [27] 0/4 [50] | Significance uncertain | ||
| PM Cohort | Steatosis | Venous Congestion | Cirrhosis |
|---|---|---|---|
| COVID-19 PM cases in our study (Table 1) | 12/19 (63%) p < 0.05 | 5/19 (26%) p > 0.05 | 4/19 (21%) p < 0.00001 |
| COVID-19 PM cases in published studies (Table 3) | 80/164 (49%) p < 0.0001 | 54/160 (34%) p < 0.00001 | 9/97 (9.3%) p < 0.001 |
| COVID-19 PM cases in our study and published studies | 92/183 (50%) p < 0.00001 | 59/179 (33%) p < 0.00001 | 13/116 (11%) p < 0.00001 |
| Aggregate data derived from all pre-pandemic PM studies detailed in the rows below | 682/2067 (33%) | 53/341 (16%) | 47/1843 (2.6%) |
| Unnatural causes of death, including sudden death and car accidents [70] | 156/498 31.% | Not measured | 6/498 1.2% |
| Non burn trauma [76] | 108/224 48% | Not measured | |
| Multiple causes: trauma (35%), acute myocardial infarction (30%), opiate overdose (13%), cerebrovascular accidents (4%), infectious diseases (3%) and others (15%) [71] | 283/896 31.6% | Not measured | 7/896 (0.8%) |
| Causes of death listed as “diverse”. Paper specifies that liver disease was not primary cause of death in any included case. NB this was a study of dissection room cadavers, not autopsies [72] | 24/68 35% | Not measured | 3/68 4.4% |
| Cardiovascular diseases 68%, respiratory illnesses 25%, gastrointestinal disorders 5% and cerebrovascular disease 2% [76] | 6/40 15% | Not measured | 3/40 7.5% |
| Road/railway accidents, burns, drowning, hanging and poisoning [71] | 24/70 34% | 19/70 27% | 8/70 11% |
| Road accidents, poisoning [73] | 25/100 25% | 12/100 12% | 4/100 4% |
| Medicolegal autopsies [74] | 46/121 38% | 9/121 7.4% | 8/121 6.6% |
| Road traffic Accidents (n = 35), poisoning (n = 5), hanging (n = 3), suspicious death (n = 1), Myocardial infarction (n = 2), drowning (n = 2), burns (n = 1) and on railway (n = 1) [75] | 10/50 20% | 13/50 26% | 8/50 16% |
| Length of Patient Admission (days) | Abnormal Albumin on Admission | p Value (Chi Squared) for Significance of Abnormal vs. Normal Albumin Compared with Poorer Patient Outcomes | Albumin Level (g/L) Mean ± SD [Normal Range: 35–50 g/L] | Abnormal Alanine Transaminase (ALT) on Admission | p Value (Chi Squared) for Significance of Abnormal vs. Normal ALT Compared with Poorer Patient Outcomes | Alanine Transaminase (iU/L) Mean ± SD [Normal Range: 10–49 iU/L] |
|---|---|---|---|---|---|---|
| <7 | 38/54 (70.4%) | 0.00043 | 29 ± 3.9 | 16/54 (26.6%) | 0.42 | 76.8 ± 45.3 |
| 7–13 | 46/52 (88.5%) | 0.020 | 27.8 ± 4.1 | 13/52 (25.0%) | 0.55 | 93.7 ± 59.8 |
| 14–20 | 37/43 (86.0%) | 0.028 | 26.8 ± 3.7 | 14/43 (32.6%) | 0.15 | 98.5 ± 133.6 |
| >21 | 35/39 (89.7%) | 0.081 (All survivors vs. deceased) | 24.5 ± 5.8 | 13/39 (33.3%) | 0.0135 (All survivors vs. deceased) | 66.2 ± 29.2 |
| Deceased | 80/88 (90.9%) | 24.6 ± 5.8 | 14/88 (15.9%) | 101.1 ± 88.7 | ||
| Total | 236/276 (85.5%) | 26.2 ± 5.2 | 70/276 (25.3%) | 87.3 ± 78.6 | ||
| One-way ANOVA p value | 0.000012 | 0.73 |
Publisher’s Note: MDPI stays neutral with regard to jurisdictional claims in published maps and institutional affiliations. |
© 2021 by the authors. Licensee MDPI, Basel, Switzerland. This article is an open access article distributed under the terms and conditions of the Creative Commons Attribution (CC BY) license (https://creativecommons.org/licenses/by/4.0/).
Share and Cite
Hirayama, Y.; Daniels, N.F.; Evans, S.; Clarke, D.; Purvis, S.; Oliver, C.; Woodmansey, S.; Staniforth, J.; Soilleux, E.J. High Prevalence of Pre-Existing Liver Abnormalities Identified Via Autopsies in COVID-19: Identification of a New Silent Risk Factor? Diagnostics 2021, 11, 1703. https://doi.org/10.3390/diagnostics11091703
Hirayama Y, Daniels NF, Evans S, Clarke D, Purvis S, Oliver C, Woodmansey S, Staniforth J, Soilleux EJ. High Prevalence of Pre-Existing Liver Abnormalities Identified Via Autopsies in COVID-19: Identification of a New Silent Risk Factor? Diagnostics. 2021; 11(9):1703. https://doi.org/10.3390/diagnostics11091703
Chicago/Turabian StyleHirayama, Yuri, Natasha Faye Daniels, Shelley Evans, David Clarke, Stephenie Purvis, Charlotte Oliver, Stephen Woodmansey, Joy Staniforth, and Elizabeth J. Soilleux. 2021. "High Prevalence of Pre-Existing Liver Abnormalities Identified Via Autopsies in COVID-19: Identification of a New Silent Risk Factor?" Diagnostics 11, no. 9: 1703. https://doi.org/10.3390/diagnostics11091703
APA StyleHirayama, Y., Daniels, N. F., Evans, S., Clarke, D., Purvis, S., Oliver, C., Woodmansey, S., Staniforth, J., & Soilleux, E. J. (2021). High Prevalence of Pre-Existing Liver Abnormalities Identified Via Autopsies in COVID-19: Identification of a New Silent Risk Factor? Diagnostics, 11(9), 1703. https://doi.org/10.3390/diagnostics11091703

