The Comparative Value of Serum Angiotensin Converting Enzyme (ACE) and Lysozyme and the Use of Polyclonal Antibody Activation in the Work-up of Ocular Sarcoidosis
Abstract
1. Introduction
2. Methods
2.1. Inclusion Criteria
2.2. Serum ACE and Lysozyme Analysis
2.3. Polyclonal Antibody Activation as a Marker for (Ocular) Sarcoidosis
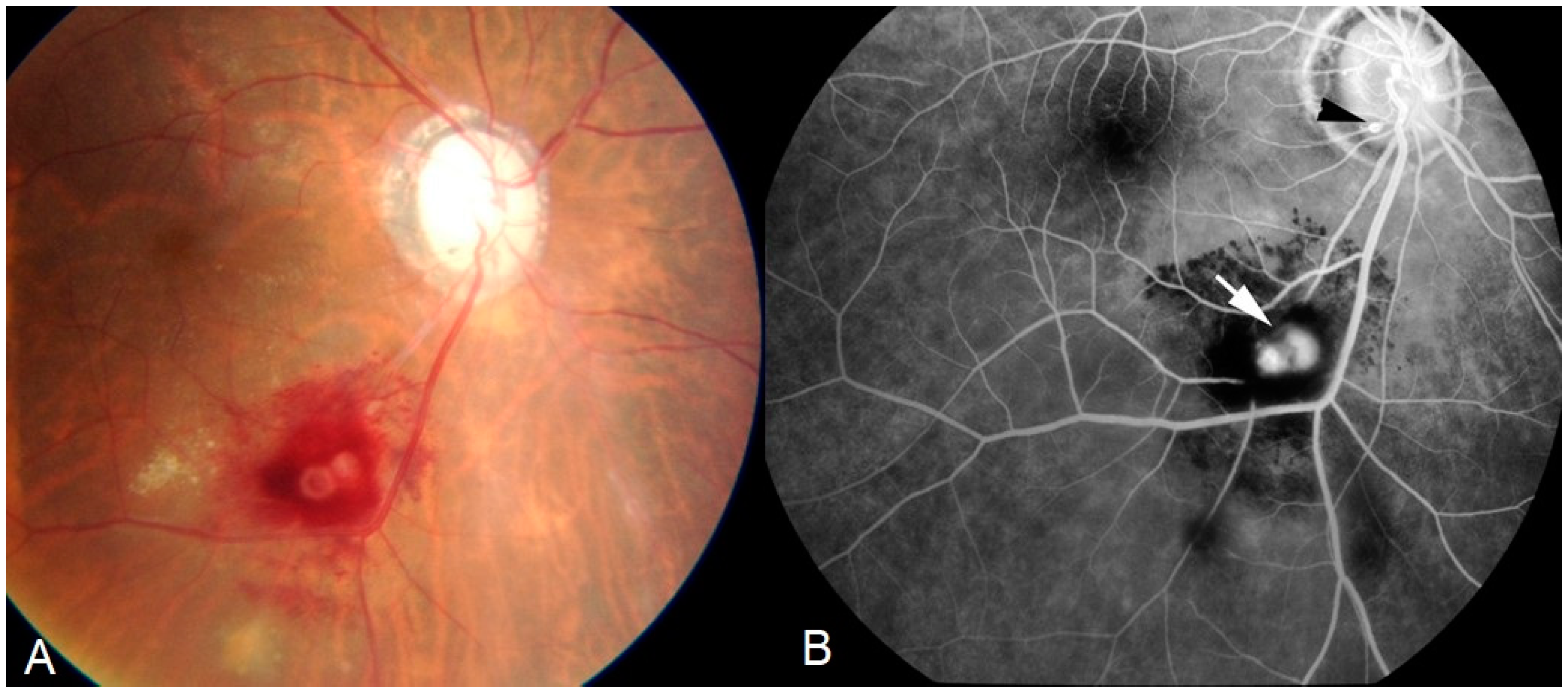
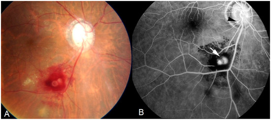
3. Results
3.1. Demographics
3.2. Serum ACE and Lysozyme Levels
3.3. Polyclonal Antibody Activation Results
4. Discussion
5. Conclusions
Author Contributions
Funding
Institutional Review Board Statement
Informed Consent Statement
Data Availability Statement
Acknowledgments
Conflicts of Interest
Sample Availability
Abbreviations
| ACE | angiotensin converting enzyme | 
| OS | ocular sarcoidosis | 
| IWOS | international workshops on ocular sarcoidosis | 
| BHL | bilateral hilar lymphadenopathy | 
| LFP | laser flare photometry | 
| EBV | epstein-barr virus | 
| CMV | cytomegalovirus | 
| HSV | herpes simplex virus | 
| VZV | varicella-zoster virus | 
| PPV | positive predictive value | 
| NPV | negative predictive value | 
| ACEIs | angiotensin-converting enzyme inhibitors | 
References
- Herbort, C.P.; Rao, N.A.; Mochizuki, M.; Scientific Committee of the First International Workshop on Ocular Sarcoidosis (IWOS). International criteria for the diagnosis of ocular sarcoidosis: Results of the first International Workshop On Ocular Sarcoidosis (IWOS). Ocul. Immunol. Inflamm. 2009, 17, 160–169. [Google Scholar] [CrossRef] [PubMed]
- James, D.G. Pathobiology of sarcoidosis. Pathobiol. Annu. 1977, 7, 31–63. [Google Scholar] [PubMed]
- James, D.G.; William, W.J. Immunologgy of sarcoidosis. Am. J. Med. 1982, 72, 5–8. [Google Scholar] [CrossRef]
- James, D.G. Ocular sarcoidosis. Ann. N. Y. Acad. Sci. 1986, 465, 551–563. [Google Scholar] [CrossRef] [PubMed]
- Daniele, R.P.; Dauber, J.H.; Rossman, M.D. Immunologic abnormalities in sarcoisosis. Ann. Int. Med. 1980, 92, 406–416. [Google Scholar] [CrossRef] [PubMed]
- Wolska-Goszka, L.; Cynowska, B.; Sztaba-Kania, M.; Jassem, E.; Slominski, J.M. Evaluation of the activity of angiotensin I convert-ing enzyme (ACE) and humoral immunity in patients with active pulmonary sarcoidosis. Wiad. Lek. 1992, 45, 887–889. [Google Scholar] [PubMed]
- Tannenbaum, H.E.; Rocklin, R.; Schur, P.H.; Sheffer, A.L. Immune function in sarcoidosis. Studies on delayed hypersensitivity, B and T lymphocytes, serum immunoglobulins and serum complement components. Clin. Exp. Immunol. 1976, 26, 511–519. [Google Scholar] [PubMed]
- Berthoud-Kündig, J.F.; Keller, A.; Herbort, C.P. Increase in polyclonal immunoglobulins: A possible useful aid in diagnosis of uvei-tis caused by sarcoidosis. Klin. Mon. Augenheilkd. 1994, 204, 323–329. [Google Scholar]
- Ramos-Casals, M.; Retamozo, S.; Sisó-Almirall, A.; Pérez-Alvarez, R.; Pallarés, L.; Brito-Zerón, P. Clinically-useful serum biomarkers for diagnosis and prognosis of sarcoidosis. Expert Rev. Clin. Immunol. 2019, 15, 391–405. [Google Scholar] [CrossRef]
- Sahin, O.; Ziaei, A.; Karaismailoğlu, E.; Taheri, N. The serum angiotensin converting enzyme and lysozyme levels in patients with ocular involvement of autoimmune and infectious diseases. BMC Ophthalmol. 2016, 16, 1–9. [Google Scholar] [CrossRef] [PubMed]
- Febvay, C.; Kodjikian, L.; Maucort-Boulch, D.; Perard, L.; Iwaz, J.; Jamilloux, Y.; Broussolle, C.; Burillon, C.; Seve, P. Clinical features and diagnostic evaluation of 83 biopsy-proven sarcoid uveitis cases. Br. J. Ophthalmol. 2015, 99, 1372–1376. [Google Scholar] [CrossRef] [PubMed]
- Beneteau, B.; Baudin, B.; Morgant, G.; Giboudeau, J.; Baumann, F.C. Automated kinetic assay of angiotensin-converting enzyme in serum. Clin. Chem. 1986, 32, 884–886. [Google Scholar] [CrossRef] [PubMed]
- Mancini, G.; Carbonara, A.; Heremans, J. Immunochemical quantitation of antigens by single radial immunodiffusion. Immunochemistry 1965, 2, 235-IN6. [Google Scholar] [CrossRef]
- Varron, L.; Abad, S.; Kodjikian, L.; Seve, P. Uvéites sarcoïdosiques: Actualités diagnostiques et thérapeutiques. La Revue de Médecine Interne 2011, 32, 86–92. [Google Scholar] [CrossRef] [PubMed]
- Schimmelpennink, M.C.; Quanjel, M.; Vorselaars, A.; Wiertz, I.; Veltkamp, M.; Van Moorsel, C.; Grutters, J.C. Value of serum soluble interleukin-2 receptor as a diagnostic and predictive biomarker in sarcoidosis. Expert Rev. Respir. Med. 2020, 14, 749–756. [Google Scholar] [CrossRef] [PubMed]
- Ishikawa, N.; Hattori, N.; Yokoyama, A.; Kohno, N. Utility of KL-6/MUC1 in the clinical management of interstitial lung diseases. Respir. Investig. 2012, 50, 3–13. [Google Scholar] [CrossRef] [PubMed]
- Mochizuki, M.; Smith, J.R.; Takase, H.; Kaburaki, T.; Acharya, N.R.; Rao, N.A. Revised criteria of International Workshop on Ocular Sarcoidosis (IWOS) for the diagnosis of ocular sarcoidosis. Br. J. Ophthalmol. 2019, 103, 1418–1422. [Google Scholar] [CrossRef] [PubMed]
- Kawaguchi, T.; Hanada, A.; Horie, S.; Sugamoto, Y.; Sugita, S.; Mochizuki, M. Evaluation of Characteristic Ocular Signs and Systemic Investigations in Ocular Sarcoidosis Patients. Jpn. J. Ophthalmol. 2007, 51, 121–126. [Google Scholar] [CrossRef] [PubMed]
- Baarsma, G.; La Hey, E.; Glasius, E.; de Vries, J.; Kijlstra, A. The Predictive Value of Serum Angiotensin Converting Enzyme and Lysozyme Levels in the Diagnosis of Ocular Sarcoidosis. Am. J. Ophthalmol. 1987, 104, 211–217. [Google Scholar] [CrossRef]
- D’Alessandro, M.; Bergantini, L.; Perrone, A.; Cameli, P.; Cameli, M.; Prasse, A.; Plataroti, D.; Sestini, P.; Bargagli, E. Serial investigation of Angiotensin-Converting Enzyme in sarcoidosis patients treated with Angiotensin-Converting Enzyme Inhibitor. Eur. J. Intern. Med. 2020, 78, 58–62. [Google Scholar] [CrossRef] [PubMed]







| Both Tests Elevated | 9/37 | 24.3% | 
| ACE Elevated, Lysozyme Normal | 2/37 | 5.4% | 
| ACE Normal, Lysozyme Elevated | 22/37 | 59.4% | 
| Both Tests Normal | 4/37 | 10.8% | 
| Laboratory Test | Sensitivity | Specificity | PPV | NPV | 
|---|---|---|---|---|
| High Serum ACE | 0.270 | 0.966 | 0.909 | 0.517 | 
| High Serum Lysozyme | 0.837 | 0.900 | 0.911 | 0.818 | 
| Polyclonal Activation | 0.700 | 0.904 | 0.866 | 0.775 | 
| Publisher’s Note: MDPI stays neutral with regard to jurisdictional claims in published maps and institutional affiliations. | 
© 2021 by the authors. Licensee MDPI, Basel, Switzerland. This article is an open access article distributed under the terms and conditions of the Creative Commons Attribution (CC BY) license (https://creativecommons.org/licenses/by/4.0/).
Share and Cite
Papasavvas, I.; Gehrig, B.; Herbort, C.P., Jr. The Comparative Value of Serum Angiotensin Converting Enzyme (ACE) and Lysozyme and the Use of Polyclonal Antibody Activation in the Work-up of Ocular Sarcoidosis. Diagnostics 2021, 11, 608. https://doi.org/10.3390/diagnostics11040608
Papasavvas I, Gehrig B, Herbort CP Jr. The Comparative Value of Serum Angiotensin Converting Enzyme (ACE) and Lysozyme and the Use of Polyclonal Antibody Activation in the Work-up of Ocular Sarcoidosis. Diagnostics. 2021; 11(4):608. https://doi.org/10.3390/diagnostics11040608
Chicago/Turabian StylePapasavvas, Ioannis, Béatrice Gehrig, and Carl P. Herbort, Jr. 2021. "The Comparative Value of Serum Angiotensin Converting Enzyme (ACE) and Lysozyme and the Use of Polyclonal Antibody Activation in the Work-up of Ocular Sarcoidosis" Diagnostics 11, no. 4: 608. https://doi.org/10.3390/diagnostics11040608
APA StylePapasavvas, I., Gehrig, B., & Herbort, C. P., Jr. (2021). The Comparative Value of Serum Angiotensin Converting Enzyme (ACE) and Lysozyme and the Use of Polyclonal Antibody Activation in the Work-up of Ocular Sarcoidosis. Diagnostics, 11(4), 608. https://doi.org/10.3390/diagnostics11040608
 
         
                                                

 
       