The Role of Transthoracic Ultrasound in the Study of Interstitial Lung Diseases: High-Resolution Computed Tomography Versus Ultrasound Patterns: Our Preliminary Experience
Abstract
1. Introduction
2. Materials and Methods
2.1. High-Resolution Computed Tomography (HRCT)
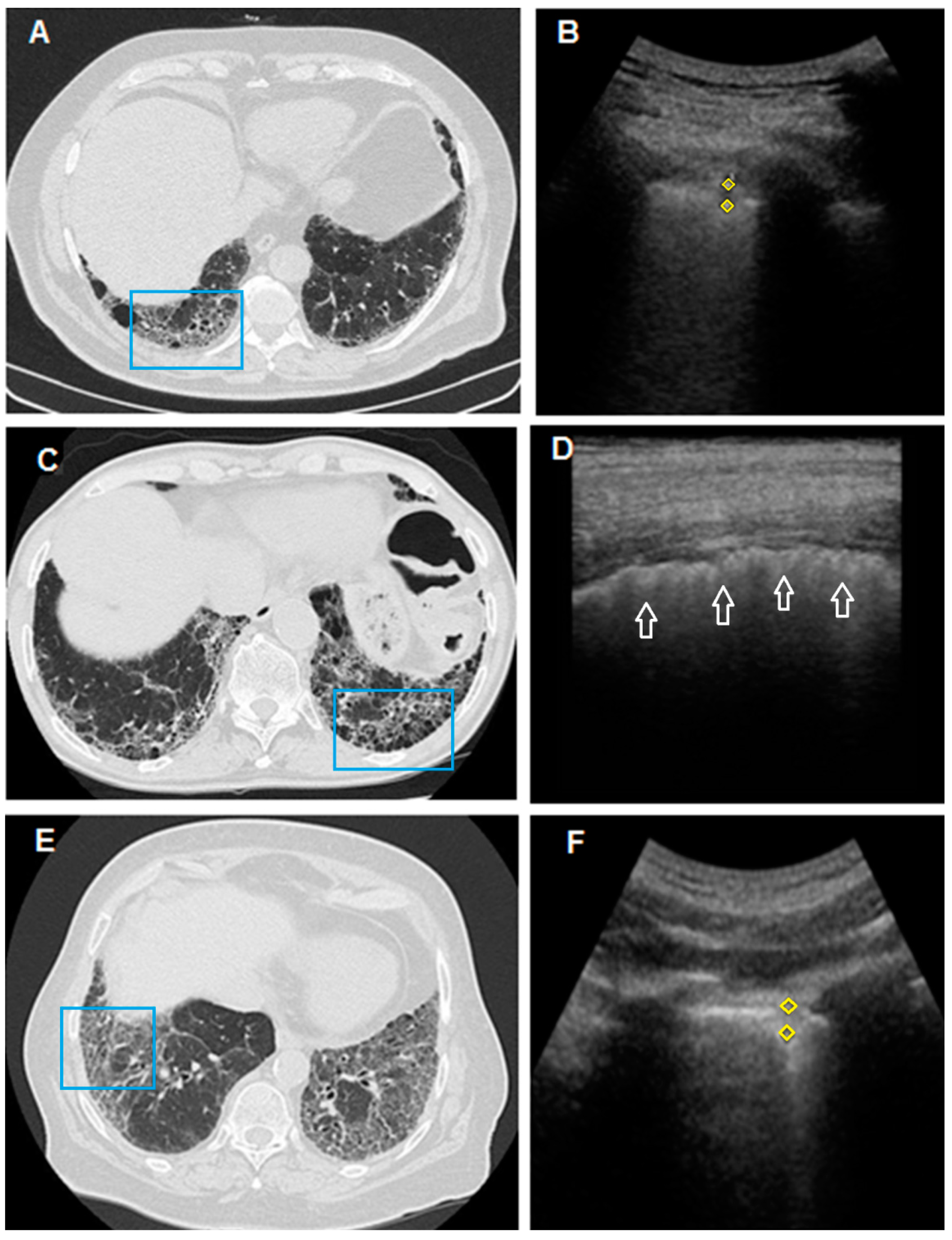
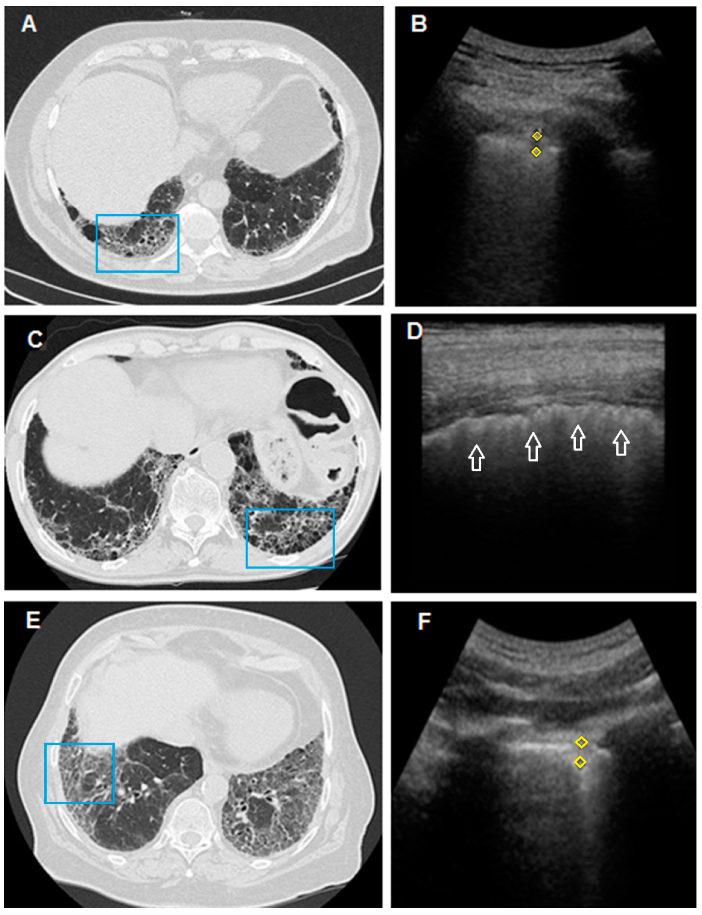
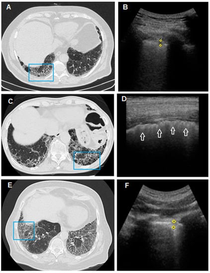
2.2. Transthoracic Ultrasound (TUS)
2.3. Pulmonary Function Tests (PFTs)
2.4. Six-Minute Walking Test (6mWT)
2.5. Statistical Analysis
3. Results
4. Discussion
5. Conclusions
Author Contributions
Funding
Institutional Review Board Statement
Informed Consent Statement
Data Availability Statement
Acknowledgments
Conflicts of Interest
References
- Molina-Molina, M.; Aburto, M.; Acosta, O.; Ancochea, J.; Rodríguez-Portal, J.A.; Sauleda, J.; Lines, C.; Xaubet, A. Importance of early diagnosis and treatment in idiopathic pulmonary fibrosis. Expert Rev. Respir. Med. 2018, 12, 537–539. [Google Scholar] [CrossRef]
- Lee, S.H.; Park, M.S.; Kim, S.Y.; Kim, D.S.; Kim, Y.W.; Chung, M.P.; Uh, S.T.; Park, C.S.; Park, S.W.; Jeong, S.H.; et al. Factors affecting treatment outcome in patients with idiopathic nonspecific interstitial pneumonia: A nationwide cohort study. Respir. Res. 2017, 18, 204–212. [Google Scholar] [CrossRef]
- Travis, W.D.; Costabel, U.; Hansell, D.M.; King, T.E., Jr.; Lynch, D.A.; Nicholson, A.G.; Ryerson, C.J.; Ryu, J.H.; Selman, M.; Wells, A.U.; et al. An official American Thoracic Society/European Respiratory Society statement: Update of the international multidisciplinary classification of the idiopathic interstitial pneumonias. Am. J. Respir. Crit. Care Med. 2013, 188, 733–748. [Google Scholar] [CrossRef]
- Raghu, G.; Remy-Jardin, M.; Myers, J.L.; Richeldi, L.; Ryerson, C.J.; Lederer, D.J.; Behr, J.; Cottin, V.; Danoff, S.K.; Morell, F.; et al. American Thoracic Society, European Respiratory Society, Japanese Respiratory Society, and Latin American Thoracic Society. Diagnosis of Idiopathic Pulmonary Fibrosis. An Official ATS/ERS/JRS/ALAT Clinical Practice Guideline. Am. J. Respir. Crit. Care Med. 2018, 198, e44–e68. [Google Scholar] [CrossRef]
- Buda, N.; Kosiak, W.; Wełnicki, M.; Skoczylas, A.; Olszewski, R.; Piotrkowski, J.; Skoczyński, S.; Radzikowska, E.; Jassem, E.; Grabczak, E.M.; et al. Recommendations for Lung Ultrasound in Internal Medicine. Recommendations for Lung Ultrasound in Internal Medicine. Diagnostics 2020, 10, 597–621. [Google Scholar] [CrossRef]
- Dunn, F. Attenuation and speed of ultrasound in lung. J. Acoust. Soc. Am. 1974, 56, 1638–1639. [Google Scholar] [CrossRef]
- Sperandeo, M.; Rotondo, A.; Guglielmi, G.; Catalano, D.; Feragalli, B.; Trovato, G.M. Transthoracic ultrasound in the assessment of pleural and pulmonary diseases: Use and limitations. Radiol. Medica 2014, 119, 729–740. [Google Scholar] [CrossRef]
- Sperandeo, M.; Filabozzi, P.; Varriale, A.; Carnevale, V.; Piattelli, M.L.; Sperandeo, G.; Brunetti, E.; Decuzzi, M. Role of thoracic ultrasound in the assessment of pleural and pulmonary diseases. J. Ultrasound. 2008, 11, 39–46. [Google Scholar] [CrossRef]
- Sperandeo, M.; Rea, G. Interstitial Lung Diseases. In Thoracic Ultrasound and Integrated Imaging; Elksevier International Publishing: Cham, Switzerland, 2020; pp. 61–82. [Google Scholar] [CrossRef]
- Sperandeo, M.; De Cata, A.; Molinaro, F.; Trovato, F.M.; Catalano, D.; Simeone, A.; Varriale, A.; Martines, G.F.; Trovato, G. Ultrasound signs of pulmonary fibrosis in systemic sclerosis as timely indicators for chest computed tomography. Scand. J. Rheumatol. 2015, 44, 389–398. [Google Scholar] [CrossRef]
- Tardella, M.; Gutierrez, M.; Salaffi, F.; Carotti, M.; Ariani, A.; Bertolazzi, C.; Filippucci, E.; Grassi, W. Ultrasound in the assessment of pulmonary fibrosis in connective tissue disorders: Correlation with high-resolution computed tomography. J. Rheumatol. 2012, 39, 1641–1647. [Google Scholar] [CrossRef]
- Sperandeo, M.; Varriale, A.; Sperandeo, G.; Filabozzi, P.; Piattelli, M.L.; Carnevale, V.; Decuzzi, M.; Vendemiale, G. Transthoracic Ultrasound in the Evaluation of Pulmonary Fibrosis: Our Experience. Ultrasound Med. Biol. 2009, 35, 723–729. [Google Scholar] [CrossRef]
- Buda, N.; Piskunowicz, M.; Porzezińska, M.; Kosiak, W.; Zdrojewski, Z. Lung Ultrasonography in the Evaluation of Interstitial Lung Disease in Systemic Connective Tissue Diseases: Criteria and Severity of Pulmonary Fibrosis—Analysis of 52 Patients. Ultraschall Med. 2016, 37, 379–385. [Google Scholar] [CrossRef]
- Barskova, T.; Gargani, L.; Guiducci, S.; Randone, S.B.; Bruni, C.; Carnesecchi, G.; Conforti, M.L.; Porta, F.; Pignone, A.; Caramella, D.; et al. Lung ultrasound for the screening of interstitial lung disease in very early systemic sclerosis. Ann. Rheum. Dis. 2013, 72, 390–395. [Google Scholar] [CrossRef]
- Falcetta, A.; Leccardi, S.; Testa, E.; Papaleo, F.; Fenoglio, L.; Melchio, R. The role of lung ultrasound in the diagnosis of interstitial lung disease. Shanghai Chest 2018, 2, 41. [Google Scholar] [CrossRef]
- Goodman Lawrence, R. Felson’s Principles of Chest Roentgenology, A Programmed Text, 4th ed.; Elsevier Saunders: Philadelphia, PA, USA, 2015. [Google Scholar]
- Goldin, J.G.; Lynch, D.A.; Strollo, D.C.; Suh, R.D.; Schraufnagel, D.E.; Clements, P.J.; Elashoff, R.M.; Furst, D.E.; Vasunilashorn, S.; McNitt-Gray, M.F.; et al. Scleroderma Lung Study Research Group.High-resolution CT scan findings in patients with symptomatic scleroderma-related interstitial lung disease. Chest 2008, 134, 358–367. [Google Scholar] [CrossRef]
- Cottin, V.; Nunes, H.; Brillet, P.Y.; Delaval, P.; Devouassoux, G.; Tillie-Leblond, I.; Israel-Biet, D.; Court-Fortune, I.; Valeyre, D.; Cordier, J.F. Groupe d’Etude et de Recherche sur les Maladies Orphelines Pulmonaires (GERM O P). Combined pulmonary fibrosis and emphysema: A distinct underrecognised entity. Eur. Respir. J. 2005, 26, 586–593. [Google Scholar] [CrossRef]
- Raghu, G.; Remy-Jardin, M.; Ryerson, C.J.; Myers, J.L.; Kreuter, M.; Vasakova, M.; Bargagli, E.; Chung, J.H.; Collins, B.F.; Bendstrup, E.; et al. Diagnosis of hypersensitivity pneumonitis in adults: An official ATS/JRS/ALAT clinical practice guideline. Am. J. Respir. Crit. Care Med. 2020, 202, E36–E69. [Google Scholar] [CrossRef]
- Dietrich, C.F.; Hirche, T.O.; Schreiber, D.; Wagner, T.O.F. Sonographie von Pleura und Lunge. Ultraschall Med. 2003, 24, 303–311. [Google Scholar] [CrossRef]
- Trovato, G.M.; Sperandeo, M. Sounds, ultrasounds, and artifacts: Which clinical role for lung imaging? Am. J. Respir. Crit. Care Med. 2013, 187, 780–781. [Google Scholar] [CrossRef]
- Quarato, C.M.I.; Venuti, M.; Sperandeo, M. The artificial count of artifacts for thoracic ultrasound: What is the clinical usefulness? J. Clin. Monit. Comput. 2020, 34, 1379–1381. [Google Scholar] [CrossRef]
- Graham, B.L.; Steenbruggen, I.; Miller, M.R.; Barjaktarevic, I.Z.; Cooper, B.G.; Hall, G.L.; Hallstrand, T.S.; Kaminsky, D.A.; McCarthy, K.; McCormack, M.C.; et al. Standardization of spirometry 2019 update an official American Thoracic Society and European Respiratory Society technical statement. Am. J. Respir. Crit. Care Med. 2019, 200, E70–E88. [Google Scholar] [CrossRef]
- Graham, B.L.; Brusasco, V.; Burgos, F.; Cooper, B.G.; Jensen, R.; Kendrick, A.; MacIntyre, N.R.; Thompson, B.R.; Wanger, J. 2017 ERS/ATS standards for single-breath carbon monoxide uptake in the lung. Eur. Respir. J. 2017, 49, 1600016–1600046. [Google Scholar] [CrossRef]
- Crapo, R.O.; Casaburi, R.; Coates, A.L.; Enright, P.L.; MacIntyre, N.R.; McKay, R.T.; Johnson, D.C.; Wanger, J.S.; Zwbalos, R.J.; Bittner, V.; et al. ATS statement: Guidelines for the six-minute walk test. Am. J. Respir. Crit. Care Med. 2002, 166, 111–117. [Google Scholar] [CrossRef]
- Mathis, G. Thoraxsonography—Part I: Chest wall and pleura. Ultrasound Med. Biol. 1997, 23, 1131–1139. [Google Scholar] [CrossRef]
- Nguyen, L.-P.; Harper, R.W.; Louie, S. Using and Interpreting Carbon Monoxide Diffusing Capacity (Dlco) Correctly. Consultant 2016, 56, 440–445. Available online: https://www.consultant360.com/articles/using-and-interpreting-carbon-monoxide-diffusing-capacity-dlco-correctly (accessed on 18 January 2021).
- McCormack, M.C. Facing the noise: Addressing the endemic variability in DLCO testing. Respir. Care 2012, 57, 17–23. [Google Scholar] [CrossRef]
- Du Bois, R.M.; Weycker, D.; Albera, C.; Bradford, W.Z.; Costabel, U.; Kartashov, A.; King, T.E., Jr.; Lancaster, L.; Noble, P.W.; Sahn, S.A.; et al. Forced vital capacity in patients with idiopathic pulmonary fibrosis: Test properties and minimal clinically important difference. Am. J. Respir. Crit. Care Med. 2011, 184, 1382–1389. [Google Scholar] [CrossRef]
- Casan Clarà, P.; Martínez González, C.; Ancochea, J. Lung function testing in idiopathic pulmonary fibrosis: More than just spirometry? Arch. Bronconeumol. 2016, 52, 457–458. [Google Scholar] [CrossRef]
- Zanforlin, A.; Smargiassi, A.; Inchingolo, R.; Sher, S.; Ramazzina, E.; Corbo, G.M.; Soldati, G. B-Lines: To Count or Not to Count? JACC Cardiovasc. Imaging 2014, 7, 635–636. [Google Scholar] [CrossRef][Green Version]
- Muniz, R.T.; Mesquita, E.T.; Souza Junior, C.V.; Martins, W.A. Pulmonary ultrasound in patients with heart failure—Systematic review. Arq. Bras. Cardiol. 2018, 110, 577–584. [Google Scholar] [CrossRef]
- Ross, D.W.; Abbasi, M.M.; Jhaveri, K.D.; Sachdeva, M.; Miller, I.; Barnett, R.; Narasimhan, M.; Mayo, P.; Merzkani, M.; Mathew, A.T. Lung ultrasonography in end-stage renal disease: Moving from evidence to practice-a narrative review. Clin. Kidney J. 2018, 11, 172–178. [Google Scholar] [CrossRef]
- Abbasi, S.; Shaker, H.; Zareiee, F.; Farsi, D.; Hafezimoghadam, P.; Rezai, M.; Mahshidfar, B.; Mofidi, M. Screening performance of Ultrasonographic B-lines in Detection of Lung Contusion following Blunt Trauma; a Diagnostic Accuracy Study. Emergency (Tehran, Iran) 2018, 6, e55–e61. Available online: http://www.ncbi.nlm.nih.gov/pubmed/30584571 (accessed on 17 January 2021).
- Chaari, A.; Bousselmi, K.; Assar, W.; Kumar, V.; Khalil, E.; Kauts, V.; Abdelhakim, K. Usefulness of ultrasound in the management of acute respiratory distress syndrome. Int. J. Crit. Illn. Inj. Sci. 2019, 9, 11–15. [Google Scholar] [CrossRef]
- Cortellaro, F.; Colombo, S.; Coen, D.; Duca, P.G. Lung ultrasound is an accurate diagnostic tool for the diagnosis of pneumonia in the emergency department. Emerg. Med. J. 2012, 29, 19–23. [Google Scholar] [CrossRef]
- Sriram, K.B.; Singh, M. Lung ultrasound B-lines in exacerbations of chronic obstructive pulmonary disease. Intern. Med. J. 2017, 47, 324–327. [Google Scholar] [CrossRef]
- Dankoff, S.; Li, P.; Shapiro, A.J.; Varshney, T.; Dubrovsky, A.S. Point of care lung ultrasound of children with acute asthma exacerbations in the pediatric ED. Am. J. Emerg. Med. 2017, 35, 615–622. [Google Scholar] [CrossRef]
- Attanasi, M.; Porreca, A.; Piloni, F.; Sansone, F.; Di Pillo, S.; Chiarelli, F.; Sferrazza, S. New application of point-of-care lung ultrasound in pediatric asthma exacerbations. Eur. Respir. J. 2020, 56. European Respiratory Society (ERS). [Google Scholar] [CrossRef]
- Carlino, M.V.; Mancusi, C.; De Simone, G.; Liccardi, F.; Guarino, M.; Paladino, F.; Sforza, A. Interstitial syndrome-lung ultrasound B lines: A potential marker for pulmonary metastases? A case series. Ital. J. Med. 2018, 12, 223–226. [Google Scholar] [CrossRef]
- Sperandeo, M.; Varriale, A.; Sperandeo, G.; Polverino, E.; Feragalli, B.; Piattelli, M.L.; Maggi, M.M.; Palmieri, V.O.; Terracciano, F.; De Sio, I.; et al. Assessment of ultrasound acoustic artifacts in patients with acute dyspnea: A multicenter study. Acta Radiol. 2012, 53, 885–892. [Google Scholar] [CrossRef]
- Szabo, T.L. Diagnostic Ultrasound Imaging: Inside Out, 2nd ed.; Elsevier Inc.: Amsterdam, The Netherlands, 2004. [Google Scholar] [CrossRef]
- Soldati, G.; Copetti, R.; Sher, S. Sonographic interstitial syndrome the sound of lung water. J. Ultrasound Med. 2009, 28, 163–174. [Google Scholar] [CrossRef]
- Spinelli, A.; Vinci, B.; Tirella, A.; Matteucci, M.; Gargani, L.; Ahluwalia, A.; Domenici, C.; Picano, E.; Chiarelli, P. Realization of a poro-elastic ultrasound replica of pulmonary tissue. Biomatter 2012, 2, 37–42. [Google Scholar] [CrossRef]
- Sperandeo, M.; Frongillo, E.; Dimitri, L.M.C.; Simeone, A.; De Cosmo, S.; Taurchini, M.; Cipriani, C. Video-assisted thoracic surgery ultrasound (VATS-US) in the evaluation of subpleural disease: Preliminary report of a systematic study. J. Ultrasound. 2020, 23, 105–112. [Google Scholar] [CrossRef]
- Sperandeo, M.; Gaudiuso, G.; Quarato, C.M.I.; Del Colle, A.; Inglese, M.; Molinaro, F.; De Cosmo, S.; Dimitri, L.; Bizzarri, M.; Frongillo, E. Transthoracic ultrasound versus intraoperative ultrasound in patients with pulmonary fibrosis: Reappraisal of artifacts. Beyond Rheumatol. 2019, 1, 31–36. [Google Scholar] [CrossRef]
- Sperandeo, M.; Varriale, A.; Sperandeo, G.; Bianco, M.R.; Piattelli, M.L.; Bizzarri, M.; Ghittoni, G.; Copetti, M.; Vendemiale, G. Characterization of the normal pulmonary surface and pneumonectomy space by reflected ultrasound. J. Ultrasound. 2011, 14, 22–27. [Google Scholar] [CrossRef][Green Version]
- Gargani, L.; Doveri, M.; D’Errico, L.; Frassi, F.; Bazzichi, M.L.; Delle Sedie, A.; Scali, M.C.; Monti, S.; Mondillo, S.; Bombardieri, S.; et al. Ultrasound lung comets in systemic sclerosis: A chest sonography hallmark of pulmonary interstitial fibrosis. Rheumatology (Oxford) 2009, 48, 1382–1387. [Google Scholar] [CrossRef]
- Nagai, A.; Chiyotani, A.; Nakadate, T.; Konno, K. Lung Cancer in Patients with Idiopathic Pulmonary Fibrosis. Tohoku J. Exp. Med. 1992, 167, 231–237. [Google Scholar] [CrossRef]
- Mizushima, Y.; Kobayashi, M. Clinical characteristics of synchronous multiple lung cancer associated with idiopathic pulmonary fibrosis: A review of Japanese cases. Chest 1995, 108, 1272–1277. [Google Scholar] [CrossRef]
- Lee, H.J.; Im, J.-G.; Ahn, J.M.; Yeon, K.M. Lung Cancer in Patients with Idiopathic Pulmonary Fibrosis: CT Findings. J. Comput. Assist. Tomogr. 1996, 20, 979–982. [Google Scholar] [CrossRef]




| Characteristics | Data |
|---|---|
| Age, y, mean ± SD | 70.77 ± 8.32 |
| Gender, n (%) | |
| Male | 32 (74%) |
| Female | 11 (26%) |
| Diagnosis, n (%) | |
| UIP/IPF | 28 (65%) |
| CPFE | 4 (9%) |
| NSIP | 2 (5%) |
| HP | 4 (9%) |
| Indeterminate ILD | 5 (12%) |
| Pulmonary function tests, mean ± SD | |
| FVC% | 83 ± 19 |
| DLCO% | 55 ± 14 |
| Meters traveled during 6mWT | 383 ± 80 |
| Nadir SaO2 6mWT | 91 ± 5 |
| HRCT patterns, n (%) | |
| Honeycombing | 32 (75%) |
| No Honeycombing | 11 (25%) |
| Predominant Ground Glass | 5 (12%) |
| Predominant Honeycombing | 28 (65%) |
| Mixed | 10 (23%) |
| Degree of fibrosis, n (%) | |
| Minimal | 4 (10%) |
| Mild | 16 (37%) |
| Moderate | 10 (23%) |
| Severe | 13 (30%) |
| Ultrasound findings, n (%) | |
| Thickness of the pleural line (>3 mm) | 43 (100%) |
| Irregular/fragmented/blurred pleural line | 42 (98%) |
| >3 B-lines | 38 (86%) |
| Subpleural nodes | 32 (74%) |
| Thickness of the Pleural Line (mm) | ||||
|---|---|---|---|---|
| Honeycombing (n = 32) | No Honeycombing (n = 11) | p Value | ||
| 4.70 ± 0.65 | 4.62 ± 0.56 | >0.05 | ||
| Ground Glass (n = 5) | Honeycombing (n = 28) | Mixed (n = 10) | p Value | |
| 4.87 ± 0.59 | 4.75 ± 0.60 | 4.63 ± 0.71 | >0.05 | |
| Minimal (n = 4) | Mild (n = 16) | Moderate (n = 10) | Severe (n = 13) | p Value |
| 3.58 ± 0.18 | 4.19 ± 0.30 | 4.91 ± 0.32 | 5.45 ± 0.52 | <0.0001 |
| >3 B-Lines | ||||
|---|---|---|---|---|
| Minimal (n = 4) | Mild (n = 16) | Moderate (n = 10) | Severe (n = 13) | p Value |
| 3 (75%) | 14 (88%) | 8 (80%) | 13 (100%) | >0.05 |
| Subpleural Nodules | |||
|---|---|---|---|
| Honeycombing (n = 28) | Reticulo-Nodular Pattern (with Honeycombing) (n = 4) | Reticular Pattern (without Honeycombing) (n = 5) | p Value |
| 23 (82%) | 3 (75%) | 5 (100%) | >0.05 |
Publisher’s Note: MDPI stays neutral with regard to jurisdictional claims in published maps and institutional affiliations. |
© 2021 by the authors. Licensee MDPI, Basel, Switzerland. This article is an open access article distributed under the terms and conditions of the Creative Commons Attribution (CC BY) license (http://creativecommons.org/licenses/by/4.0/).
Share and Cite
Lacedonia, D.; Scioscia, G.; Giardinelli, A.; Quarato, C.M.I.; Sassani, E.V.; Foschino Barbaro, M.P.; Maci, F.; Sperandeo, M. The Role of Transthoracic Ultrasound in the Study of Interstitial Lung Diseases: High-Resolution Computed Tomography Versus Ultrasound Patterns: Our Preliminary Experience. Diagnostics 2021, 11, 439. https://doi.org/10.3390/diagnostics11030439
Lacedonia D, Scioscia G, Giardinelli A, Quarato CMI, Sassani EV, Foschino Barbaro MP, Maci F, Sperandeo M. The Role of Transthoracic Ultrasound in the Study of Interstitial Lung Diseases: High-Resolution Computed Tomography Versus Ultrasound Patterns: Our Preliminary Experience. Diagnostics. 2021; 11(3):439. https://doi.org/10.3390/diagnostics11030439
Chicago/Turabian StyleLacedonia, Donato, Giulia Scioscia, Angelamaria Giardinelli, Carla Maria Irene Quarato, Ennio Vincenzo Sassani, Maria Pia Foschino Barbaro, Federica Maci, and Marco Sperandeo. 2021. "The Role of Transthoracic Ultrasound in the Study of Interstitial Lung Diseases: High-Resolution Computed Tomography Versus Ultrasound Patterns: Our Preliminary Experience" Diagnostics 11, no. 3: 439. https://doi.org/10.3390/diagnostics11030439
APA StyleLacedonia, D., Scioscia, G., Giardinelli, A., Quarato, C. M. I., Sassani, E. V., Foschino Barbaro, M. P., Maci, F., & Sperandeo, M. (2021). The Role of Transthoracic Ultrasound in the Study of Interstitial Lung Diseases: High-Resolution Computed Tomography Versus Ultrasound Patterns: Our Preliminary Experience. Diagnostics, 11(3), 439. https://doi.org/10.3390/diagnostics11030439

